【每日晨读】 单肺叶蜂窝影,暗藏玄机!




病例资料





















































































微信群讨论

秦化君:
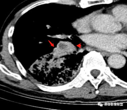
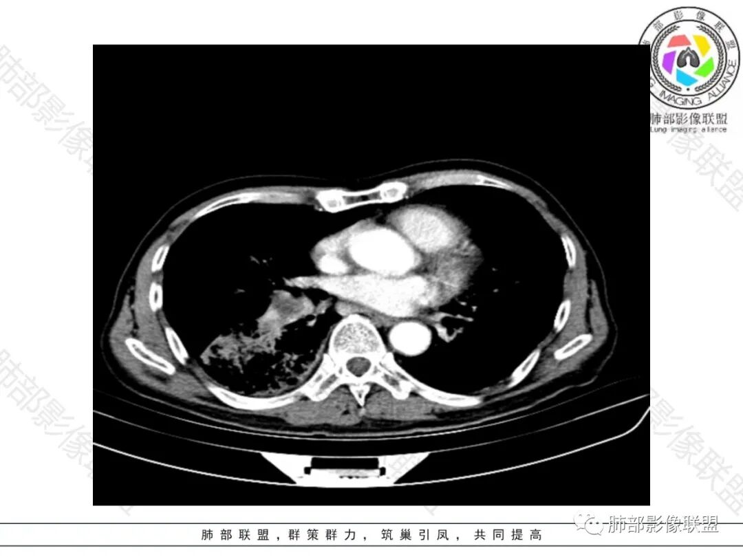
双肺慢支肺气肿。右肺下叶大片状影,支气管狭窄,枯枝状。间杂网格状影,实变影(与胸膜糊墙),叶间裂膨隆。右肺门增大。增强后右下肺片状影内血管束失去正常形态,边缘模糊。实变影不均匀强化。纵隔及右肺门多组淋巴结肿大,其中右侧10、11、12组淋巴结肿大内见液化。考虑肺炎型肺癌并感染?不典型结核待除外。左下小片影?(层面不全)。
谢加平:
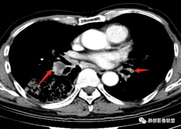
右肺下叶大团块影,斜裂膨隆,内支气管破坏,纵隔窗实质性成份少有强化(假大空),肿瘤CA125、199高,考虑粘液腺Ca右肺门淋巴结及纵隔淋巴结大,右肺下动干起始处充盈缺损(示栓塞或Ca栓;余肺叶弥散网格状改变,间质增厚及纤维化表现!
必有路:
粘液腺癌→肺动脉栓塞  或者ca199 他处癌→肺动脉癌栓→右下肺粘液播散
红星:
老年男性的病人。慢性的咳嗽憋喘为主的症状,慢性的病程。临床ca199明显的增高,癌胚抗原升高。白细胞增高提示有肺部感染的。影像学表现两肺弥漫性的网格状改变。而病变又集中在右肺下叶。右肺门见一个大结节的病灶,内部有片状坏死,不均匀的强化,邻近的支气管变窄,周围的肺组织呈大片状的实变影。纵隔淋巴结多个肿大。这样的影像学考虑右侧肺门旁的恶性病变。鳞癌或者粘液性腺癌,伴纵隔淋巴结转移,右肺下叶的癌性淋巴管炎,两肺慢性的间质性肺炎。
傅昌瑜:
老年男性,反复咳嗽咳痰喘憋8年,加重10天,发热半天。白细胞计数明显升高(存在细菌感染可能),CEA、CA19—9升高(肺癌或间质性肺疾病引起可能)。痰培养见肺克。CT;双肺弥漫小叶间质、中轴间质增厚,胸膜下肺气肿,右肺门及右下叶可见实变影,边界模糊,内支气管走形僵硬,部分见蜂窝样改变,增强后实变区可见低密度区(粘液?),叶间裂膨隆,纵隔及右肺门见肿大淋巴结,右肺门淋巴结内见坏死。存在感染,但单纯感染难以解释支气管走行僵硬、实变内的低密度病灶,考虑恶性伴感染,肺炎性肺癌或黏液腺癌。
滕翔:
既往慢阻肺病史,反复加重,治疗有效,胸部影像提示双肺间隔旁型肺气肿,也符合基础性疾病。本次病程为喘息加重10天,发热半天,为急性病程,有白色痰,相关感染指标升高,但白细胞和CRP升高比例不同步,胸部影像右肺下叶大片实变影,有膨隆感,原有的空洞考虑既往的肺气肿区域未完全填充的原因。但右肺10-12组淋巴结肿大,其内有低密度影,成环形强化,中叶支气管,下叶支气管狭窄管壁浸润感,不能用普通感染解释,需要考虑局部鳞癌?结核?
段建民:
这是个转移的淋巴结吧

之前听南边老师讲课 说CT上看到这种引流区肺门的淋巴结肿大 是不能让人放心。
空格:
临床热咳,多痰,cea、199升高。经验是肺199高,结核也可以。本例仍然是结核与腺癌的pk。淋巴结表现支持结核,右侧肺门环形强化的淋巴结,在腺癌中很少出现,纵隔淋巴结也是三角形且密度偏高,偏向结核。肺内初看比较符合炎性肺癌,血管造影征,病灶收缩、膨隆都有。但外周有小片的坏死及内壁光滑的小空洞,但弥漫的肺气肿背景,空洞是否可靠存在,存疑。其余,胸膜及胸膜外侵润,结核腺癌都可以。相对肺内表现结核不多见。淋巴结和肺内表现信谁?综合,结核的表演能力强些,江湖人称百变星君。我排结核第一。
良孑:
病史八年,慢支病史,两肺中轴间质及小叶间隔增厚,可见胸膜下线,提示有间质性肺病ulp,右下肺大片实变,叶间裂膨隆,纵隔淋巴结肿大,实变内GGO以网挌为中心,强化有血管造影征,实变内支气管走行僵直〈枯树枝征)并扭曲扩张,可见低密度粘液拴,综合考虑为1,右下肺炎性肺癌,粘液腺癌可能性大,2,uip
郑春峰:
间质性肺炎背景,还合并有小叶中心性,间隔旁型气肿,右下叶除了间质性肺炎外,还有实变、空泡、支扩、叶裂膨隆等改变,环形淋巴结强化,综合考虑:肺结核、肺克合并感染,鉴别:吸烟者粘液腺癌多见吗?
Vivi:
整个背景是一个肺气肿并间质纤维化,肺气肿以上肺为主(有些地方分不清到底是小叶中心或间隔下肺气肿伴间隔增厚还是蜂窝),左肺下叶正常结构消失,以弥漫网格为主,应该没有多少正常肺功能组织。右肺下叶肺动脉栓塞,再往下几层应该是肿大淋巴结并坏死。右肺下叶的病变考虑粘液性腺癌, 需与感染鉴别(有没有可能是肺梗死呢?)
大雄:
老年男性,慢性病程,炎性指标升高, 提示有感染存在的可能 
慢阻肺背景,右下肺外周胸膜下实变影伴内部细网格征,实性部分强化弱,右侧肺门淋巴结肿大并内部坏死。
如果常规抗炎吸收不佳,需要考虑肺炎型肺癌,肺结核,机化性肺炎的可能,进一步支气管镜或穿刺活检
病程比较长了, 两个多月 ,应该要结合前后老片对比看看,有助于判断
了:
中年人,反复咳嗽,咯痰病史,此次发热为主要表现,既往有肺结核,间质性肺炎,肺气肿病史,胸部CT双肺胸膜下网格影,蜂窝影,右下肺实变,未超过叶间裂,內见支气管征,管腔通畅,走形僵直,感染指标升高,明显强化,整体考虑感染性病变,真菌?粘液腺癌,管腔通畅,无明显周围间隔增厚,放在后面。

南边老师分析
南边:
老年男性,慢阻肺病史
CA199高,白细胞、中性粒细胞高



郑春峰:
吸烟者得腺癌机率大吗?
南边:
只能说吸烟男性好发鳞癌,腺癌好像不受影响,没有说吸烟会降低腺癌的发病率
琦遇:
粘液性腺癌有淋巴结转移后明显坏死的吗?
南边:
不多见
因为有肺气肿,这些蜂窝、张力都不能作为依据
淋巴结大,环形强化;淋巴结压迫支气管所致引流不畅?还是肺内病灶引起淋巴结肿大?






南边:
我是觉得支气管近端受压,远端不畅。就怕二元论,淋巴结独立,肺部独立。我倾向于二元,淋巴结独立,炎症继发。其实有前片就好办,炎症肯定变化大,癌变化不大。
可芸:
潘老师,这个是7月30日的片子。













南边:
3个月没变化,那就要考虑一元论。


结果分析

病理结果:腺癌(魏可芸老师提供)。因为在外院病理确诊,没有病理切片。

南边:
腺癌符合
粘液腺癌不支持
我怕的是淋巴结符合恶性,右下肺有没有其他来源可能
前后对比没变化,或进展缓慢自然考虑恶性
但是如果原来没有,现在才有,下肺就要考虑炎症
读肺炎型肺癌,最怕肺气肿

病例小结
1.临床资料:老年男性,慢性病程,咳嗽咳痰8年,加重10天,发热半天。炎性指标高、CA199升高,既往有肺结核、慢阻肺、间质性肺疾病史。
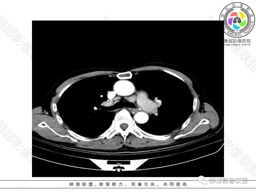
2.影像表现:肺气肿背景,右肺下叶呈现明显网格影及蜂窝影、枯枝征,边缘膨隆、叶间裂向前方推移。病灶密度不均,前份见不规则片状实性密度区,实性部分轻度强化,边界不清,周边特征掩盖不清。支气管主要分支显示,呈枯枝征。纵隔窗病灶密度偏低,病灶内血管影边缘稍显模糊,未见明显液化坏死区。
余双肺未见明显结节影。
右侧肺门淋巴结肿大,中央低密度;纵隔见轻度增大淋巴结。
3.综合分析:临床方面:慢性病程、急性发作,呼吸道症状伴发热,炎性指标升高,提示存在感染可能;CA199升高,但相对特异性不高。影像双肺气肿,右肺下叶蜂窝状改变明显,夹杂实变密度区,支气管相关但未见阻塞,较常见于感染性病变,如G-杆菌感染等。蜂窝影什么时候出现我们不得而知,实变区周边特征掩盖不清。
前后三月余病灶变化不明显,右肺门异常肿大淋巴结让人警惕恶性病变可能性。
显著肺门淋巴结肿大较少出现在粘液腺癌患者,何况如此大范围病灶未见播散结节。
主要相关支气管未见明显截断,病灶内血管影较为完好,也较少见于肺鳞癌。
肺腺癌也是肺炎型肺癌的“主角”之一,我们没有理由排除病灶的腺癌“嫌疑”!
因为有肺气肿背景、有蜂窝,周边特征及张力等都不能作为判断依据或参考。单肺叶蜂窝影伴实性密度区被确诊为肺腺癌的例子已不少见,敬请留意。
如本例片影长期不散以及肺门异常增大淋巴结是本例怀疑肺炎型肺癌的理由。
仅凭单次CT影像诊断肺炎型肺癌需慎重,治疗后复查对比,酌情病理检查,简单易行。

链接:
【联盟讲堂】潘军平(南边)老师11月21日晚8时《肺炎型肺癌的影像学特点》


编辑:杨  丽、赵永兵
审核:徐  晓
到顶部