【每日晨读】没了悬念的肺包块





01
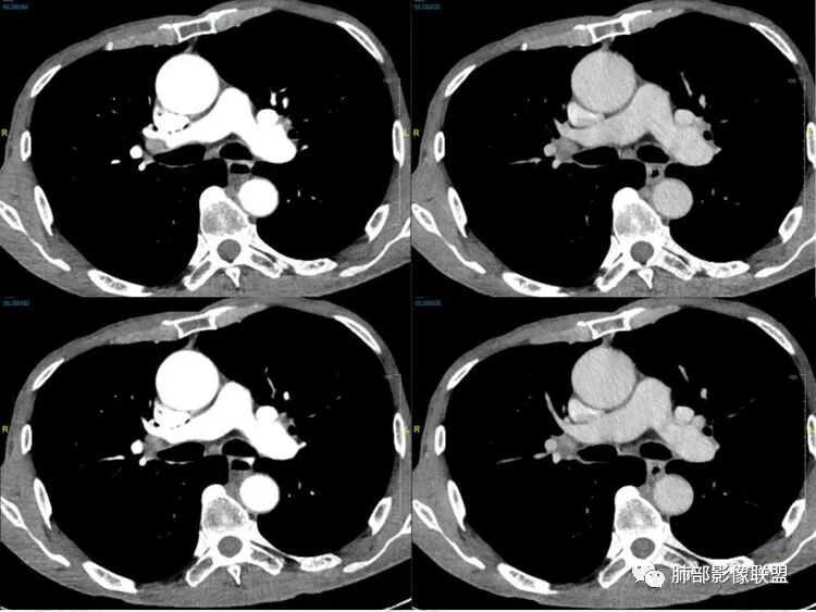
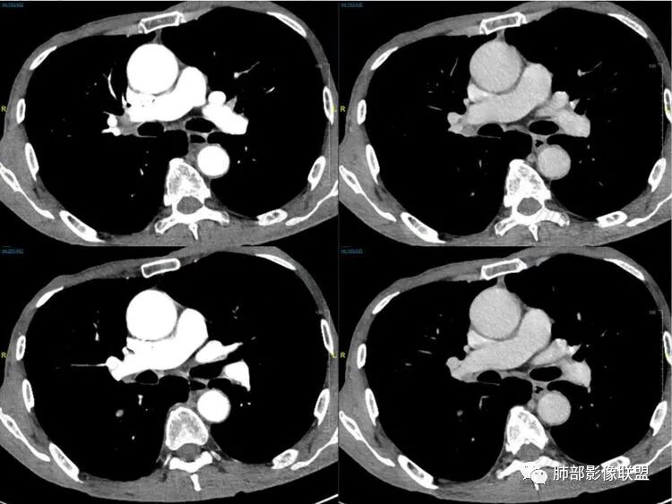
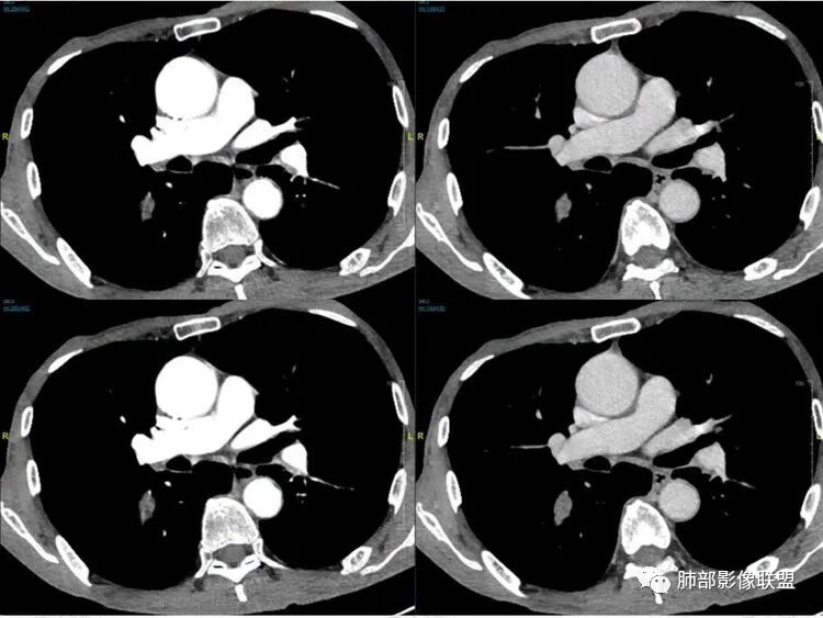
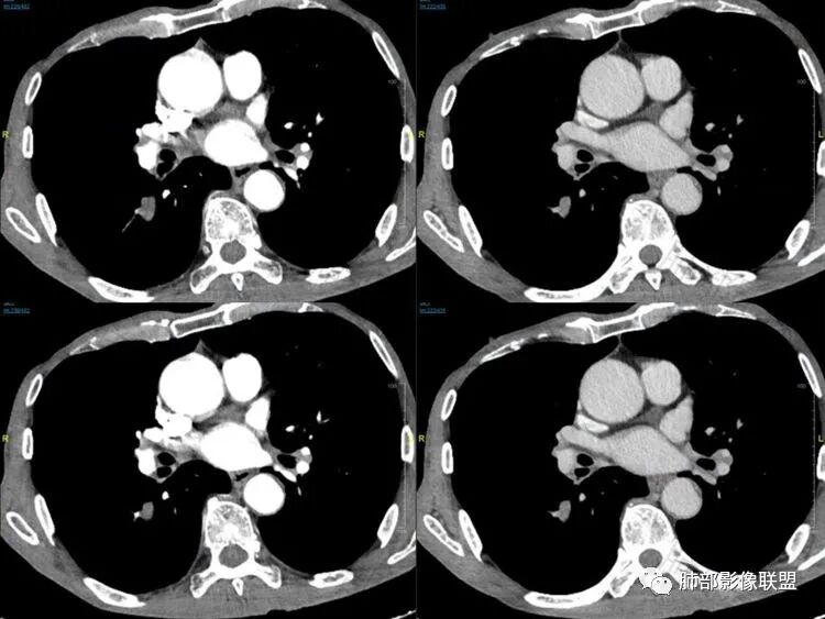
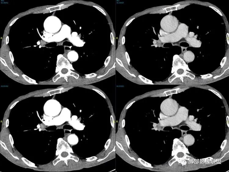
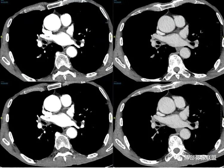
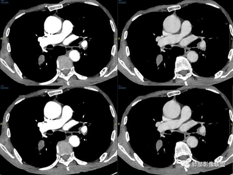
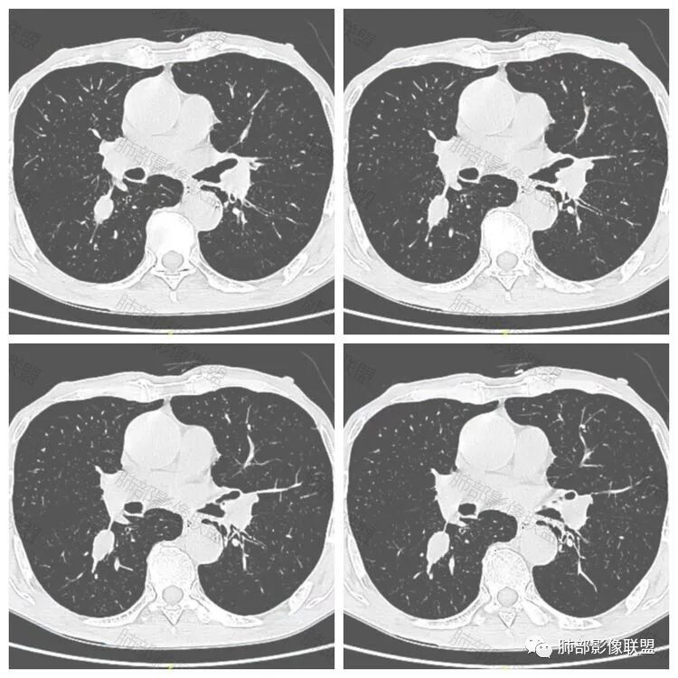
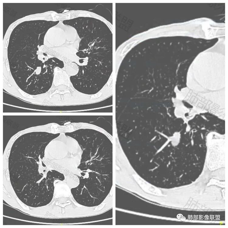
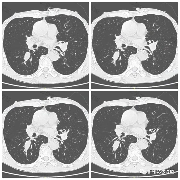
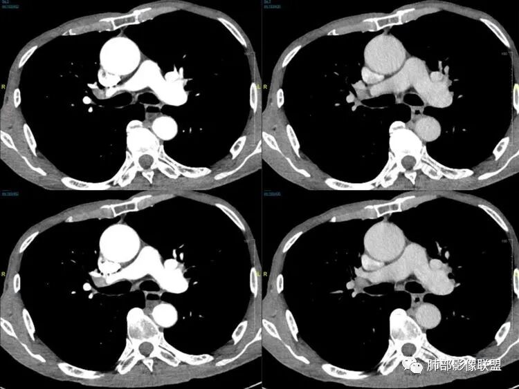
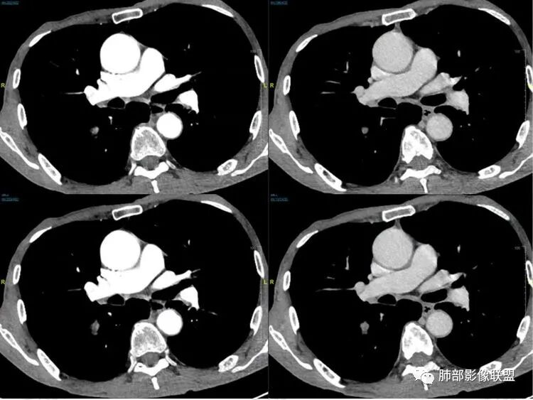
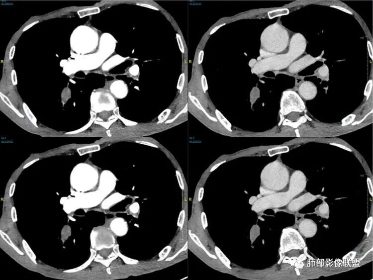
病例资料






















02
精彩讨论
许慧良:
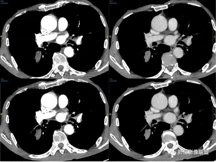
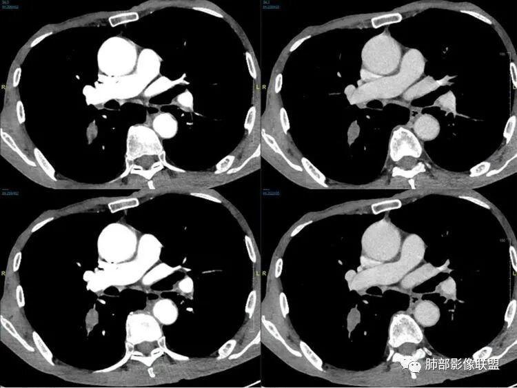
老年男性患者,胸部隐痛1月入院,有长期吸烟史,胸部CT:右肺下叶背段梭型结节灶,边界清晰,无明显分叶、毛刺及周边磨玻璃影,内部密度不均匀,支气管截断,增强扫描不均匀轻度强化,内部似乎见支气管黏液栓,纵隔淋巴结不大,考虑恶性病变:小细胞癌(缺少典型的纵隔肺门淋巴结增大融合),鳞癌(病史复合,但没有阻塞性肺炎,内部没有坏死,),类癌(多见于女性患者,与吸烟关系不大),首先考虑典型类癌,
飞鹰行动:
老年男性,右肺下叶梭形或椭圆形结节,形态较规则,边缘光整,支气管截断,增强不均匀轻度强化,右肺门及纵隔淋巴结增大,考虑恶性病变,鳞癌或小细胞癌,神经内分泌癌(小细胞形)。
红星:
老年男性患者,右肺下叶背段梭形结节影,边界比较光整,密度均匀,没有明显的分叶毛刺,没有阻塞性肺炎的表现,这些感觉具备有良性的特点。而近端支气管截断,增强明显的强化,纵隔多发的淋巴结,显得是恶性的特点。总体印象,老年患者+支气管截断征象+明显强化的结节+纵隔多发淋巴结,还是考虑恶性结节,小细胞癌或是鳞癌。
必有路:
男性,老年人,长期吸烟史,老慢支背景,右下肺背段占位,支气管亚段门口堵,病灶长轴与支气管平行,推测腔内生长可能,病灶内血管穿行,周围干净,轻度强化,右肺门淋巴结肿大,考虑恶性,神经内分泌癌(大小类)>淋巴上皮瘤样癌>腺癌>鳞癌
宇宙:
右肺下叶梭形实性结节,密度均匀,边缘光整,局部膨隆,近端支气管截断,轻度强化,血管走行自然,右肺门及纵隔淋巴结增大,考虑小细胞癌>鳞癌
王秀仙:
右肺下叶背段结节,沿着支气管走行呈长椭圆形,边缘圆滑清晰,近端支气管阻塞,远端支气管有沿壁增厚,右肺门淋巴结肿大,中度强化,老年男性,吸烟病史,肺气肿背景,考虑小细胞肺癌,鉴别鳞癌
丽:
老年男性,吸烟史,右肺下叶梭形肿块,边缘平直有分叶,支气管近端阻塞,右肺门肿大淋巴结,增强后轻度强化,欠均匀,首先考虑恶性,小细胞肺癌?
阳光:
老年男性+吸烟+右下肺肿块影+支气管截断+淋巴结肿大,考虑恶性,倾向小
小芳:
老年男性,吸烟史,右肺下叶背段梭型软组织肿块,边缘膨隆,不均匀强化,近端支气管截断,同侧肺门及纵隔淋巴结肿大,支持恶性,小细胞可能大,鳞癌缺少阻塞性改变
良孑:
晨读,右下叶梭形占位,边界光滑,支气管截断,可见尾征,不均匀轻度强化,肺门淋巴结肿大,有吸烟史,高龄高危患者,首先考虑恶性,考虑小细胞癌,鉴别一下鳞癌
傅昌瑜:
老年男性,前胸隐痛1月。2年前有白内障手术史。右下肺结节,沿中轴呈梭形,膨隆,边清、无分叶,无毛刺,近端支气管截断完全堵塞,病灶以远未见阻塞性炎症及肺不张。内部密度基本均匀,增强轻微强化,似见局部低密度影。纵隔及右肺门见肿大淋巴结。整体考虑恶性可能性大,小细胞癌?鳞癌?注意鉴别良性结节—错构瘤。
弹指之间:
老年男性,长期吸烟史,右肺下叶背段梭形低密度灶,边界清晰,无明显分叶、毛刺,边缘稍彭隆,支气管截断,右肺门淋巴结增大,增强扫描不均匀轻度强化(延迟略明显),首先考虑恶性,小?不典型结核球待排。
看图说话:
右肺下叶背段结节,气管堵塞,密度均匀,边界清晰,无明显分叶、毛刺,边缘膨隆,右肺门淋巴结增大,增强轻度强化,考虑小细胞癌,鉴别鳞癌。
自信人生:
右肺下叶梭形软组织结节,密度均匀,明显尾巴,边缘光整,近端支气管截断,轻度强化,血管走行自然,又腊肠尾巴征象
考虑恶性  小细胞癌?
流心明智:
男,83,前胸部隐痛不适1月。有长年大量吸烟史。胸部CT:肺气肿,右肺下叶纺锤型实性结节灶,边界清晰,支气管截断,内部密度不均匀,增强扫描不均匀强化,右肺门淋巴结大。考虑恶性病变:小?鳞?鉴别炎性肉芽肿、错构瘤等。
棉花糖:
晨读:老年男性+吸烟+右肺下叶与气管长轴一致的梭形肿块影+支气管截断,轻度强化,右肺门肿大淋巴结,考虑恶性,小细胞肺癌可能,鉴别鳞癌
南边:
有强化吗?
强化就支持恶性
呈典型管状改变,近端支气管堵塞、稍扩张,病灶有强化倾向于恶性,没有强化倾向于炎性病变(结核之类);近端呈结节状(鳞癌多一些),这个病例呈管状(小细胞Ca多一些);平扫与强化有差异,有轻度强化,是粘液栓还是血管?

03
病理结果:小细胞肺癌






04
关于小细胞肺癌

   小细胞肺癌(Small Cell Lung Cancer,SCLC)约占肺癌的15%-30%,起源于支气管粘膜或腺上皮内的Kulchitsky细胞(嗜银细胞),是一种小细胞组成的恶性上皮肿瘤,恶性程度极高、转移早、易复发、预后差、放化疗敏感。
    临床特点:发病年龄35-68岁,平均发病年龄60岁,男性多于女性。吸烟为高危因素,早期可无症状,咳嗽为最常见症状,刺激性干咳、咯血、胸闷、气短,进而出现胸痛、上腔静脉综合征、Horner综合征等及各部转移引起相应的症状和体征。
CT主要表现:
1鸭蹼状突起、腊肠样尾巴、指状突起、蠕虫、分支及条状
      因为病灶沿支气管粘膜下及周围血管生长,走形方向与支气管一致,所以支气管血管周围生长也是SCLC的典型征象。当然有时会像小山丘或者灌汤包一样趴在肺边缘。
2娘小崽大、淋巴及血行转移早、冰冻纵隔及肺门、血管脂肪间隙消失
     因为病灶侵袭力强,病灶易沿淋巴道、间质及心血管间隙等结构侵犯并密切挤压上述结构,常常能够观察到脂肪间隙消失。易于出现冰冻纵隔。原发灶与肺门转移灶可形成哑铃状外观,甚至转移灶体积大于周围原发灶,有人称之为“娘小崽大”。早期病灶有时很小甚或隐匿,仅能看到转移灶,或转移淋巴结与原发灶融合分界不清。病变向肺门延续的串珠样淋巴结转移也是SCLC的典型特点。
3
血管包埋征 
    病灶侵袭力强大,早期沿粘膜下疏松结缔组织及血管旁间隙扩散,包绕血管,血管会受压变形,因为小细胞癌破坏力弱,血管没有被破坏,所以仅仅表现为包埋浸润,但血流面光滑。
4
乏血供,沼泽样坏死
、罕见空洞
     病灶肿瘤密集而供血血管相对不多,密度较均匀,轻度强化,呈乏血供,有时候可以坏死,坏死不彻底,坏死区分散而较小,呈沼泽样坏死,很难造成引流支气管的破坏,所以空洞罕见。
5
阻塞性炎症轻,阻塞性肺不张少见
    支气管内肿瘤大多来自淋巴结转移,而且侵入支气管管壁的SCLC组织喜欢沿粘膜下组织间隙浸润,支气管粘膜面保留,所以支气管大多数表现为狭长而非填塞或截断,所以阻塞性炎症轻,阻塞性肺不张罕见。
6边缘圆钝、光整,未见毛刺
        神经内分泌肿瘤边缘通常圆钝,而且SCLC或周围没有任何促纤维结缔组织反应,质地软,所以边缘圆钝、没有毛刺。

编辑:龙辉(湘西州人民医院)
审核:蔡笑燕  徐  晓
提供病例: 温燕(连云港市第一人民医院 )


到顶部