【每日晨读】中青年张牙舞爪的肺包块



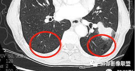
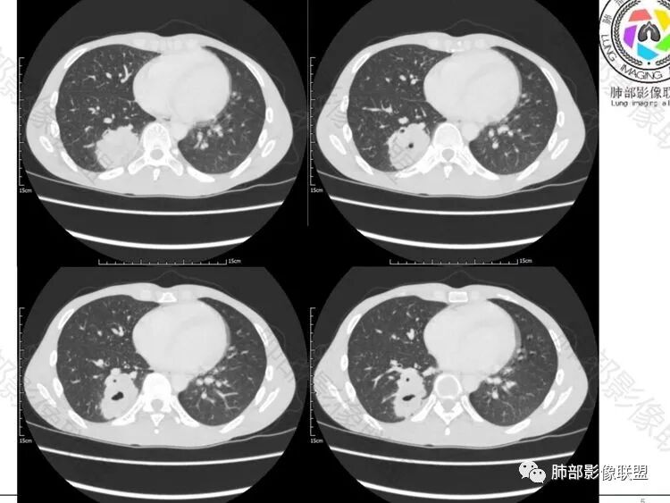
影像资料

























群内精彩发言
一切∮随缘:
右肺下叶背段实变影,宽基底与胸膜相连,边缘毛糙,内部可见空洞影,空洞壁光滑,内部可见坏死,近端支气管显示不清,远端胸膜下间隙可见,青年男性,考虑结核,鉴别NTM,鳞癌
郑春峰:
青年男性,呼吸道症状起病,右肺下叶背段肉芽肿样变,边缘分叶,胸膜糊墙,略牵拉,内部密度不均,空洞无物,壁整,支气管通畅,卫星灶,玫瑰结状小叶中心性结节及少量树芽;中度强化,湖泊样坏死,内部无完整血管影:结核可能性、鉴别:坏死性支原体肺炎、鳞癌。
张小林:
有晕征,第一感觉像是感染类病变,仔细看下叶支气管不通畅,感觉有阻塞,先考虑感染类病变,肺链?隐球?毛霉曲霉?TB?NTM?鉴别诊断肉瘤类,肉瘤样癌,类癌。
瑞欣:
青年,咳嗦,指标基本正常,右肺下叶不规则软组织密度影,密度不均,有坏死,小空洞,宽基底与胸膜相连,支气管觉得通畅,考虑感染,鉴别结核
洪桥爱:
35岁男性患者,病史及实验室检查无免疫受损相关依据,无感染毒血症状,炎症指标CRP、降钙素原、血沉均正常,曲霉抗原阴性;CT提示右下背段肿块影,边缘膨隆,有分叶及短毛刺,偏心空洞,增强扫描提示不均匀强化,有坏死,考虑:1.腺癌 2.隐球
Strive`Dr:
中年男性,咳嗽2月余,pct正常,首先排除普通肺炎。右下背段肿块,边缘毛糙,浅分叶,与胸膜宽基底相连,有坏死(无液平,为凝固性坏死,不考虑脓肿),常规考虑结核隐球菌,鉴别恶性肿瘤
许慧良:
青年男性患者,间断咳嗽、少量黄白痰2月,胸部CT:右肺下叶后基底段类圆形病灶,边界清楚,周围磨玻璃,内部有空洞形成,空洞干净,考虑炎性病变,脓肿,隐球,结核,鉴别鳞癌
大雄:
今天晨读太纠结了
看肺窗病灶边界很模糊,以及胸膜下局限性积液,支持炎性
看纵隔窗及增强,内部无正常血管走行,支气管截断,偏心空洞,弥漫边界不清坏死,支持恶性,综合一下,癌(鳞?)>结核
简·爱:

宇宙:
右肺下叶肿块,分叶,近端支气管部分堵塞,部分沿壁厚,沼泽样强化,可见空洞,邻近胸膜少量积液,膈肌牵拉,考虑肿瘤,鳞癌?鉴别NTM
周太狼:
青年男性,慢性病程,右肺下叶团块影,形态不规则,内见空洞,壁厚薄不均,不均匀轻度强化。考虑恶性,肺癌,肿标中角蛋白19增高,倾向于鳞癌,鉴别结核。
采莲:
中年男性,有咳嗽咳痰病史俩月,亚急性病程,炎性指标不高,右肺下叶后基底段近胸膜下不规则肿块,边缘膨隆毛糙,支气管近端阻塞,内有厚壁空洞,无液平,洞壁不均匀强化,周围支气管壁厚,远端有点片影,考虑鳞癌可能性大,鉴别肺脓肿和肺结核。但是血沉不快,crp不高,有点不大符合炎性。


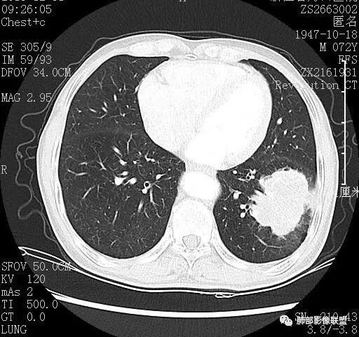
吴婧老师分析

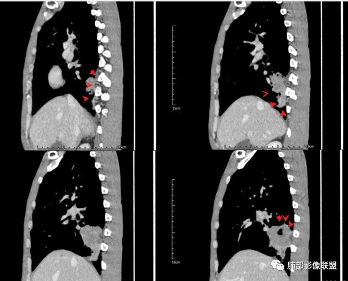
脐凹?边缘膨隆


边缘膨隆,血管走形其中似远端破坏

但是远端部分很散,边界清楚,应该是周围伴有炎症

看一下病灶主体,支气管堵塞


1.支气管截断

2.边缘模糊磨玻璃。
3.形态主体有明显膨隆,边缘有很多散发的病变边缘平直

4.远端有树丫,提示炎症一定存在的

5.淋巴结稍大
:
6增强后有很多坏死,与实性成分分界不清
7.脐凹?

总结
  结合年龄主要考虑的有:肺癌,与之非常相似的结核和隐球菌。。。隐球菌应该强化比较均匀不符合。主要是肺癌和结核鉴别,年轻,空洞,树丫,结核是需要考虑。但是边缘膨隆,强化不均匀,支气管堵塞,可疑脐凹,这些都比较支持恶性,建议支气管镜吧,比较少见的坏死性肉芽肿还有放线菌这种慢性炎症。


结果
11-20晨读病例结果:穿刺病理回报鳞癌(未拿到免疫组化结果)(张硕老师提供)



讨论
‍‍‍‍‍‍‍‍‍‍‍‍‍‍‍‍丁啸:
彭隆,分叶。坏死像凝固性坏死。主要是年龄迷惑人,三十出头的腺癌见过不少,鳞癌很少。
Strive`Dr:
‍‍‍‍确实是凝固性坏‍死,结核真菌肿瘤都有这个表现。‍化脓性炎症的坏死多为液化坏死,有典型气液平面,只是怎么说吧,30多岁的年轻人,鳞癌确实不放在首位考虑,但也不能排除‍‍
‍‍‍‍‍‍‍‍‍‍‍‍
嘻嘻??:

松子:
鳞癌一般比较大,容易出现湖泊状坏死,腺癌更容易出现毛刺,分叶更明显,不过粘液腺癌也可以很大,有低密度类似坏死的粘液,但是那种更像炎症,看多了就有感觉
空格:
空洞判别有误,以为支扩,这么长而光滑的空洞没见过。可能有粘液栓,可能还是支扩,是被粘液撑大的支气管?多支气管内粘液栓,肯定还是有支气管堵塞,忽视了


尘缘:
读片的目的是通过大量的病例分析,养成细致观察的习惯和形成更加完善合理的分析思路,有利于自己在工作中的影像报告趋于更加合理,从而更好的指导临床下一步怎么办。而不是简单的赌结果。结果的对错没有那么重要。重要的是收获了什么!
‍‍‍‍‍



周围型鳞癌相关知识点复习
       概述:肺鳞状上皮癌(下称鳞癌)指显示角化或细胞间桥的恶性肿瘤。与腺癌对比,约 80%的病例发生在自亚肺段支气管(3级)到中央的粗大支气管,泛指的中心型;其余的发生在次亚肺段(4级)以远的肺末梢,泛指的周围型,近年来发生率有缓慢增加倾向。发生在肺末梢的,也有向中央侧进展破坏比较粗大支气管的倾向。据相关统计资料,鳞癌占肺癌的40.9%,是最多见的肺癌。肺癌主要见于男性、鳞癌尤为突出,男性占95%。鳞状上皮癌组织学上分为高、中、低分化鳞癌。发生在肺末梢的鳞癌又称末梢型,不同于发生在中央大气管的鳞癌,末梢型易穿破薄的支气管壁,在肺野呈压迫增殖型发育,多形成球形浅大分叶的肿块,占周围型鳞癌的88%(含后述的中间型)。CT上轮廓清楚,有的甚至光滑(占31.8%)。但毕竟是发生在支气管的肿瘤,末梢侧常常出现继发性炎症和侵及胸膜的表现。适用于手术的周围型鳞癌比中央型多。
       形态:多数为浅大分叶肿块,对于浅大分叶肿块,因其肿块边缘清楚,需与肉瘤或肉瘤样癌鉴别,作者认为因鳞癌对支气管、血管破坏较肉瘤或肉瘤样癌重,故易形成坏死,坏死物易经破坏的支气管排空而形成空洞,而肉瘤或肉瘤样癌虽亦可见破布样坏死,但多因肿瘤发展快,而供血不足造成,因其支气管破坏较鳞癌轻,故空洞较少见,有观点认为,2cm以下非腺癌周围型肺癌中,多角形认为是鳞癌的特征性所见。

      边缘:肿块边缘无GGO是同高分化腺癌的主要鉴别点,多可见浅大分叶,当发现有内凹切迹时提示压迫增殖型肺癌膨胀发育,切迹处可见阻挡肿瘤发育的支气管血管,低分化鳞癌边缘凹凸更加明显,而无分叶主要见于高分化鳞癌,浸润收缩型鳞癌,边缘不整,棘状缘,出现支气管血管集束改变,类似分化型腺癌。中央型肺癌可见背离肺门侧肿块边缘因阻塞性炎症而显示不清,又称为彗星尾征。
       密度:周围型鳞癌中心部多有空洞样改变和低密度区。压迫增殖型肿块坏死倾向强,预后差。见到肿块内中心广泛坏死、或散在坏死灶形成的低密度区,坏死边缘不清,常呈沼泽样坏死,术后生存率多在1年以内。周围型鳞癌营养血管受到浸润闭塞,引起坏死形成空洞(32.3%),在肺癌的各组织型中鳞癌空洞发生率最高。多为偏心性空洞(远离肺门一侧),少数病例为中心型空洞,单发或多发,可有气液面;肿块中央侧支气管大多数阻塞,无引流支气管,即使有引流支气管也不在中央侧; 与良性空洞不同的是有壁结节和存在洞壁最大厚度>15mm的部分。
      支气管血管关系:周围型鳞癌的发育是淋巴管性,通过粘膜下淋巴管或外膜侧淋巴管沿支气管长轴向肺门进展,引起相应支气管血管束增厚,肺门及纵隔淋巴结转移。鳞癌的血管浸润与淋巴结浸润程度大致平行,癌的血管浸润与生存率密切相关,鳞癌的血管浸润率高于腺癌,生存率低,病理证实淋巴管血管内有癌栓者,术后半年死亡。影像上:瘤体端支气管动脉束周围间质有不同程度锥状肥厚或不规则肥厚,提示血管浸润。
       胸膜浸润:周围型鳞癌有胸膜浸润者,术后生存率多为1年,其胸膜浸润多为台状肥厚(板状肥厚),其范围往往超过病灶直径的1/2,累及壁层胸膜形成胸膜桥,即胸膜栽赃,偶有胸膜凹陷,与腺癌相比,其胸水发生率相对较低。
       组织学上肺原发高分化鳞癌发生率很低,肺内肿块在被诊断为鳞癌时,首先要想到肺转移瘤可能,应检查头颈部和妇科领域。
参考文献:
《胸部肿瘤CT诊断学》王兴义,罗娅红主编;李森,王天成,潘明辉副主编 辽宁科学技术出版社 



加餐病例






















































病检结果:鳞癌

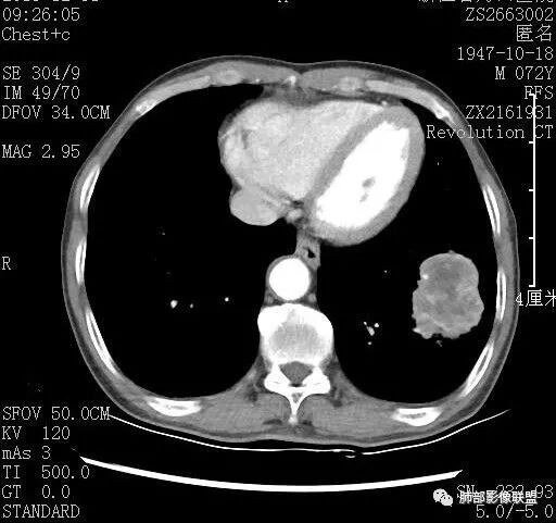
甄德强老师分析

多发小灶性坏死。强化程度轻,几乎观察不到完整血管影。

浅分叶,边界清

近端支气管堵塞

肺气肿背景
综上考虑鳞癌,鉴别低分化腺癌
反思
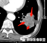
一般来讲,鳞癌收缩力弱,胸膜凹陷及牵拉少见,空洞坏死多见,而此例出现了“胸膜凹陷”,如下图:


      这种特点在鳞癌比较多见  周围型鳞癌经常这个形态,外周有类似喇叭样收缩形态,考虑周围型鳞癌引起局部肺不张,所以有远侧内收而缺乏侧面收缩力。 
                                                 ——————摘自群里老师观点
      回头看发现肿块近肺门侧边缘清楚,而远肺门侧边缘模糊,多考虑肿块阻塞支气管引起的阻塞性炎症,支持周围性鳞癌引起局部肺不张观点,两者形态相似,易与胸膜凹陷征混淆,小编认为,因肺不张为实变的肺组织,而胸膜凹陷为脏层胸膜受肿块牵拉凹陷形成的含液腔隙,故鳞癌形成的“胸膜凹陷”其密度较高,多为实性密度,而真正的胸膜凹陷征其内部密度较低,多为液体密度。

相关链接:
【每日晨读】论周围型鳞癌的杀伤力
【每日晨读】绝世双“爱”之鳞癌PK肉瘤样癌
【王兆宇专栏】----认识肺鳞癌
【每日晨读】“洞”悉一切——鳞癌vs脓肿
编辑:刘  朋
审核:蔡笑燕  徐  晓
病例提供者:天津海河医院 张硕


到顶部