【每日晨读】胸腺弥漫性增大



 01
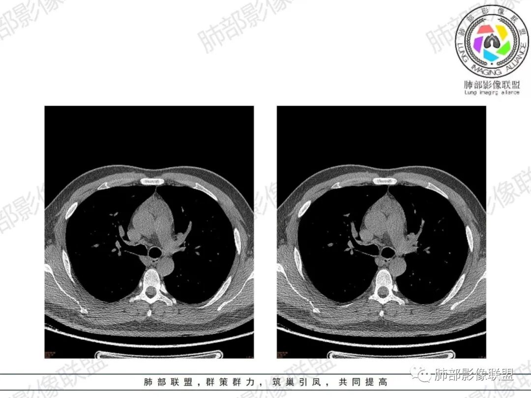
临床资料
























 02
群内讨论精华摘录
凝睦:有肌无力症状,定位胸腺来源,肿块形态较弥漫,边界清,密度低,考虑胸腺瘤或胸腺增生。
飞鹰行动:青年人,前上纵膈占位性病变,病灶与局部周围组织分界不清晰(有侵袭性),密度稍低于正常血管(无纵膈窗),没有可见钙化,脂肪密度。无增强,这个年龄,这个部位肿块,常规考虑生殖类肿瘤,淋巴瘤和胸腺增生待排除。
简·爱:年轻男性,26岁,小于30岁 (黄勇老师说小于30岁,诊断胸腺瘤要慎重),双下肢无力一个月,亚急性病程,前纵隔胸腺区不规则软组织密度灶,密度较均匀,无明显钙化和坏死、出血,隐约见条状低密度分隔影和斑点装脂肪密度,病灶比较软,浅分叶,胸腺轮廓基本还在,不知道强化怎么样,考虑胸腺增生,鉴别,胸腺瘤瘤,淋巴瘤,生殖细胞瘤。
King:确实在影像不足的情况下,年龄和症状是重要考量因素。影像形态膨胀不足,钻隙明显,密度似夹脂肪,首先胸腺增生,其次淋巴瘤,胸腺瘤或癌不首先考虑了。
大雄:晨读考虑胸腺癌/瘤>胸腺增生,都需要手术治疗。
毛勤香:青年男性,26岁,肌无力,病灶贴着主动脉,有结节感,感觉含脂,首先考虑胸腺增生,鉴别胸腺瘤,淋巴瘤,生殖来源肿瘤,得看一下重建和增强。
傅昌瑜:青年男性,双下肢乏力1月。前纵隔肿块,好像多结节堆积,包绕纵膈血管,脂肪间隙清晰,密度均匀。前纵隔占位常见疾病谱有:胸腺瘤、胸腺癌、胸腺增生、淋巴瘤、生殖细胞瘤、畸胎瘤。没有多密度成分,首先排除畸胎瘤;26岁病例基本排除胸腺癌,诊断胸腺瘤亦需慎重。首先考虑淋巴瘤,鉴别胸腺增生、生殖细胞肿瘤。
弹指之间:青年男性,双下肢无力,前纵隔肿块,形态不规则、分叶征,无钙化,无增强图像,考虑1.胸腺增生(年纪这么轻不考虑胸腺瘤),2.淋巴瘤(形态看符合、但密度似乎不均匀);3.生殖细胞类肿瘤(形态不呈球形)。综合:胸腺增生>淋巴瘤。
郑氏刀刀:年纪这么轻,边缘膨隆感局部较弱,质地软,中央有脂肪浸润样密度,伴肌无力,常规考虑胸腺增生,鉴别淋巴瘤(密度较高,均匀),胸腺瘤(密度较高,无脂肪浸润,质地较硬),精原细胞瘤(类似淋巴瘤,可坏死)。
被强煎的蛋.¢?:青年男性,胸骨后前纵隔内胸腺增大,厚度增加,边缘光整膨胀力弱,分叶浅,与胸骨及主动脉弓和心前缘接触面较宽,与周围正常结构分界清楚,无淋巴结肿大及胸膜、心包受累等。拟考虑胸腺增生。
鉴别诊断:
1.胸腺未退化或退化不全:多见于婴幼儿,临床无肌无力表现,形态对称,边缘平直,不向外膨突。
 2.胸腺瘤:好发成年人,肿块呈结节状或分叶状,并向一侧或双侧胸腔突出,或侵及心脏大血管间隙,分界可不清楚,恶性者可伴胸膜、心包膜受累及淋巴结转移。
 3.纵隔畸胎瘤:含软组织、钙化或骨化、脂肪结构,相对容易鉴别。
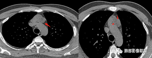
南边分析-征象标注
年轻男性,双下肌乏力,可惜没交代是啥手术,是不是前纵隔病变手术。
1、一般这样的乏力:1.神经系统问题;2.胸腺问题。
 * 整个形态就是胸腺的形态,定位在前纵隔,胸腺病变应该可以。26岁男性,这么年轻,胸腺源性肿瘤几率比较低,
1.非肿瘤性病变2.其他来源肿瘤性病变


 2、下半部分,形态自然,边缘稍膨隆,内部密度实性夹杂稍低密度影,而且是线样低密度影,比较自然走形,支持胸腺组织增生或残留。如果其他肿瘤所致,应该是边缘膨隆,类圆形,内部密度均匀,或部分区域坏死,或者结节状灶之间间隔。所以这个首先:胸腺增生或残留应该有。
 * 部分区域边缘平直、稍凹陷,部分密度较低,边缘稍膨隆。     
* 部分密实。因为没有增强,附近血管分不开,内部密度差不是那么明显,但是有密度差。提示:内部组织结构有变化,不是单一的组织结构。
考虑:1.发生过炎症或内部组织增生程度不一,导致各区域密度差
2.不除外合并其他病变:
①可能合并囊变
②目前的资料不能排除合并其他肿瘤性病变的可能性
  
**综上所述** 
  1.胸腺增生或残留应该可以肯定
  2.病灶有过炎症或囊肿合并炎症
  3.不能除外合并其他肿瘤      
 03
病例结果

 04
群内延伸讨论摘录
南边:胸腺增生其实也不简单。我查过一些资料,胸腺增生不是单一的增生,我会诊过一例,内面就是囊肿,结果是囊性增生,增生过程中还合并或多或少的炎性反应,所以内部密度不均匀。
Chairman:年青人患重症肌无力者,可以是胸腺瘤也可以是胸腺增生~淋巴滤泡样增生而非真性增生。
1.与胸腺瘤的鉴别点是MR同反相位:增生的胸腺与正常的成年人胸腺都是丰富的脂肪浸润,所以反相位信号会减低,这是胸腺瘤少见的。当然,表现在CT平扫上是胸腺增生密度偏低,这一点与肾上腺的腺瘤是一样的。肾上腺的腺瘤起源于皮质,特别是束状带的,往往本身就含脂丰富,所以CT平扫、MR同反相位与胸腺增生类似。
2.与淋巴瘤的鉴别点就不要从临床、CT、MR上寻找了,没有鉴别点。成年人的胸腺增生与淋巴瘤的鉴别点常需借助镓放射性核素扫描,因为镓会被淋巴瘤组织摄取,很少被纤维组织、坏死组织或成人的胸腺摄取,但小儿胸腺的摄取量相对会多些。
3.真性胸腺增生一般不会出现重症肌无力。胸腺作为一个“腺体”,与所有的腺体一样,是由“上皮细胞”构成的,因为上皮细胞分被覆上皮与腺上皮2类。叫做胸腺上皮细胞,分皮质上皮与髓皮上皮。但胸腺细胞指的不是胸腺上皮细胞,而是T细胞。这一点部分老师可能存在概念上的混淆。按照病理学对“增生”的概念,真性增生是胸腺上皮细胞与胸腺细胞的“增生”,胸腺功能是活跃的。而胸腺淋巴滤泡样增生并不是病理学上的“增生”,应该属于“假性肥大”。
4.这同时也提出了另外一个问题:胸腺淋巴瘤患者治疗后的影像评价。请问,治疗后增大的胸腺到底是胸腺反弹性增生还是淋巴瘤残留?放射性镓核素扫描是靠谱的评价手段。从病理结果来看,是符合淋巴滤泡样增生的,与临床症状符合。
简·爱:但核磁反相位信号减低是脂质,脂肪变性,而脂肪组织(肥肉)不会信号减低的.想请假一下您,胸腺增生里面脂肪组织,是脂质还是脂肪块(肥肉)?
Chairman:这个其实还是对MR化学位移相位的理解问题。同反相位测出的是“水脂混合”信号,只要脂肪与水混合的足够好,反相位下都是信号减低。这也是脏器边缘在反相位下呈“勾边效应”的原理。脏器包膜里面有脂肪,腹腔内有水,所以在水脂交界处会形成反相位下的“黑线”。我借用一下下面这个图:胸腺里面CT平扫密度低,水脂混合成分。放大了看能发现里面分散分布的微小脂肪颗粒反相位信号应该可以看到减低。也就是说,反相位的信号减低可以是脂肪变性,也可以是微小的脂肪与水分混合~乳浊液。本质上都是“水脂混合成分”。

郑氏刀刀:这脂肪太小太散,同反相位难以鉴别,不过勾边信号会更低。镓在淋巴瘤诊断里作用还是比较有限,HL的阳性率高于NHL,但大部分是NHL,阳性率不高,特异性也不高,淋巴细胞浸润,血管增生毛细血管扩张等因素都可以高摄取,而且镓产生器造价昂贵,不太适用,但是在确诊了淋巴瘤后诊疗效果检测,镓的作用还是比较明显。F18用的广泛,淋巴瘤高增殖高凋亡高代谢,葡萄糖多是无氧酵解,利用率低,产ATP少,导致大量葡萄糖的消耗,F18比较便宜,可以结合CT和MR结合诊断,价值比较高,但特异性也不是很高,毕竟恶性肿瘤都可高摄取。
Chairman:镓的造价确实昂贵,限制了其用途,但葡萄糖只表明代谢状态,价值太低了。镓的这个特点就像现在的普美显,以前都认为可以鉴别FNH与肝腺瘤,但后来发现没那么简单,不少肝腺瘤照样能摄取普美显。
郑氏刀刀:今早这例很典型,也不需要核素显像,但是CT平扫就可以排除淋巴瘤了。
Chairman:是的,淋巴瘤CT平扫密度较高,细胞又小排列又紧密嘛,水分含量又不高,核质比很高,这是淋巴瘤CT平扫密度较高的原理。
郑氏刀刀:镓的作用近似三价铁,转铁蛋白和乳铁蛋白丰富的肿瘤也是高摄取的,特异性也不高。细胞内外水分少,射线摄取多,密度会比较实。
Chairman:另外LDH的升高也是淋巴瘤等血液系统疾病的一个特征,特别是排除了急性心梗、活动性肝炎等常见情况下
郑氏刀刀:LDH是无氧酵解辅酶,高无氧酵解的恶性肿瘤都是可以高的,不过诊断淋巴瘤时还是会习惯看一下LDH。
 05
文献复习
重症肌无力---胸腺增生VS胸腺瘤
   
    胸腺增生指增大的胸腺超过正常年龄组的标准,一般指体积超过正常值的50%,好发于儿童或青少年,可分为真性胸性增生和淋巴滤泡性增生。临床上诊断胸腺需在CT图像上测量其大小,一般认为:20岁以下,正常胸腺的最大厚度是1.8cm;大于20岁者,最大厚度为1.3cm,如果在CT图像上测量胸腺超过以上标准者,被认为是胸腺增生。
     真性胸腺增生:累及皮质与髓质,组织学结构正常,为胸腺的大小和重量大于正常胸腺,与重症肌无力无关。
     淋巴样滤泡性增生:指胸腺髓质发生淋巴滤泡性增生,表现为慢性炎症,也称自体免疫性胸腺炎,与重症肌无力紧密相关,多见于许多免疫系统的疾病,如系统性红斑狼疮、类风湿性关节炎、甲状腺毒症及Graves病等。
胸腺增生CT表现
体积、形态:
弥漫性增大,两缘对称,质地柔软,部分淋巴性胸腺增生的大小正常;形态保持其正常形态,呈类圆形、梨形,边缘光滑,可呈浅分叶
密度:
密度均匀,呈肌性密度,偶见细小钙化,其内有脂肪浸润样密度影
强化:
轻度或无强化
与周围结构关系:
与周围大血管、胸骨等周围组织结构分界清楚,无淋巴结肿大、胸膜及心包受累。
      目前公认重症肌无力(myasthenia gravis, MG)的发生发展与胸腺内发生的异常免疫应答直接相关;临床怀疑MG患者应首先除外胸腺病变;大约75%的MG患者并发胸腺异常,包括胸腺增生、胸腺瘤。MG患者80%~90%存在胸腺异常,其中 65% ~ 70%伴有胸腺增生,10%~15%伴有胸腺瘤。胸腺瘤MG患者发病年龄高峰在50岁左右,男女比例相似;胸腺增生MG患者则多见于青年女性。对于青年女性MG患者,应高度警惕胸腺增生的可能性,而中老年MG患者常并发胸腺瘤。
       胸腺瘤好发于成年,肿块呈结节状或分叶状,质地较硬,并向一侧或两侧突出,或侵及心脏大血管间隙,分界可不清楚,恶性者可伴胸膜、心包膜受累及淋巴结转移;增强扫描胸腺瘤多均匀或明显强化,胸腺增生略强化或强化不明显;若胸腺增生表现为结节或肿块样,CT与胸腺瘤难鉴别,可以用MRI化学位移成像对鉴别两者有帮助,正常胸腺和胸腺增生因弥漫脂肪浸润在反相位上呈衰减信号。无论是胸腺瘤还是胸腺增生都主张积极手术切除。
文献参考:
1.中国康复理论与实践 2017年12月第23卷第12期 Chin J Rehabil Theory Pract, Dec., 2017, Vol. 23, No.12
2.徐海东,洪应中,周康荣, 等.重症肌无力患者胸腺病变的CT诊断[J].中华放射学杂志,1994      :24-27.
 06
病病例理
总结
1、年轻男性,双下肌乏力,胸部CT提示前纵隔胸腺区病变,应当怀疑胸腺增生或胸腺瘤导致的重症肌无力。
2、前纵隔梨形软组织密度影,与正常胸腺形态一致,为胸腺弥漫性增大,两缘匀称,质地柔软,未见明显膨隆,其内可见脂肪浸润影,与周围结构分界清楚,再加上病人年龄,需要高度提示胸腺增生(淋巴滤泡样增生型)。胸腺瘤一般无脂肪浸润,质地较硬,呈结节或肿块状,且发病年龄较大。B2B3型肿块边界不清,可侵犯临近组织脏器,B3可胸膜转移,胸腺癌可引起纵隔淋巴结及远处转移。

病例来源:解放军第908医院放射科 张捷
编辑:张  慧
审核:蔡笑燕  徐  晓


到顶部