【每日晨读】气管结节---你了解多少?




病例资料








































































微信群讨论

一切∮随缘:
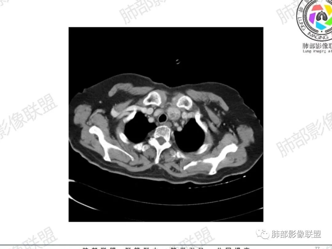
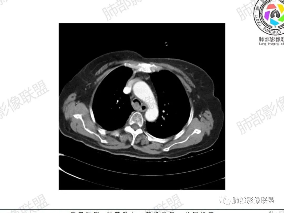
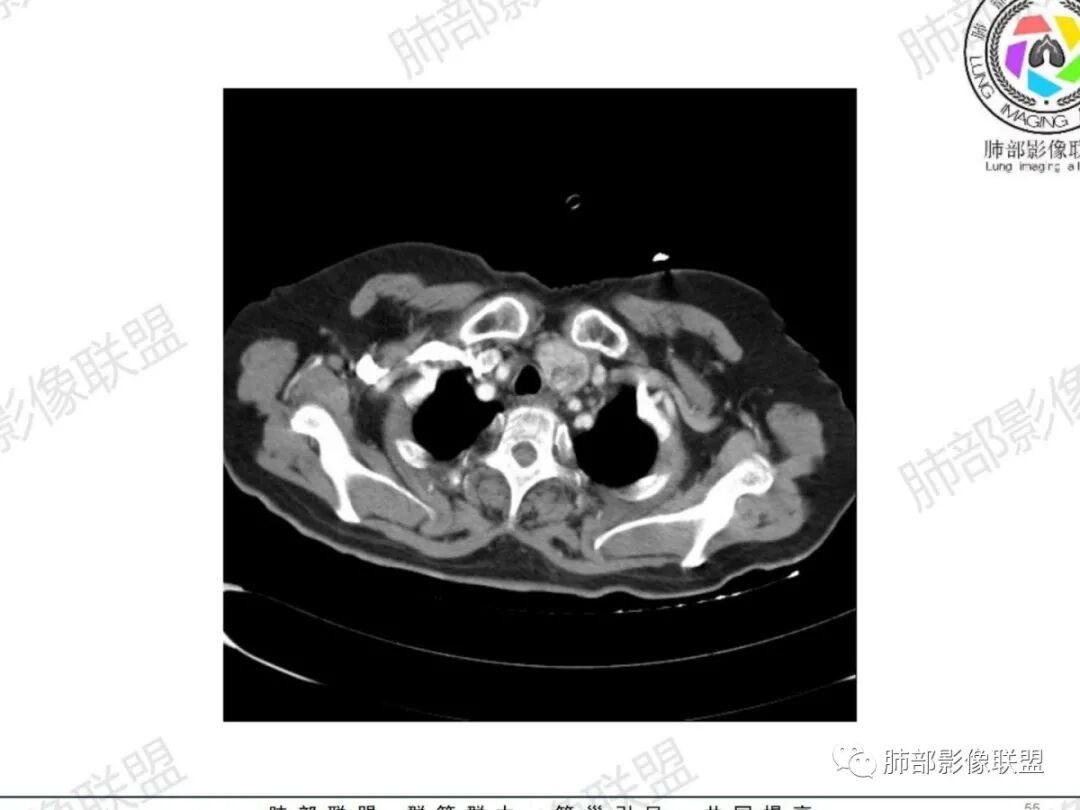
主支气管后缘外可见一实性结节,病变跨支气管管壁生长,部分突向管腔内,病变边缘光滑,平扫密度均匀,增强后尚均匀强化,纵隔淋巴结肿大不明显。
临床:69岁女性,考虑黏液表皮癌/腺样囊性癌,类癌,鉴别支气管乳头状瘤
王秀仙:
气管右后侧壁结节,结节向气管腔内突出,气管壁增厚,轻度强化,左侧甲状腺占位,考虑气管原发肿瘤,腺样囊性癌?类癌?
必有路:
老年人,气管后壁结节,部分突腔外,考虑恶性,腺样囊性癌可能大,鉴别炎性肌纤维母细胞瘤
玫:
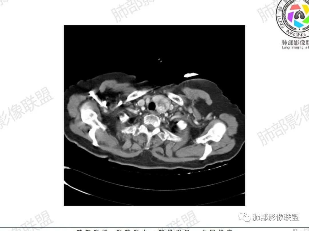
女,69反复咳嗽1年,胸闷二天,气管腔内见结节影,病灶突向腔内,管腔狭窄受压呈月牙状改变,增强扫描轻度强化,考虑腺癌?左侧甲状腺病变,不除外转移性病变。
洪桥爱:
以前於老师好像说过,气管肿瘤于气管长轴方向长度:横断面长度>三分之二(好像是这个比值,记不太清了),提示腺样囊腺癌。
滴水海:
此部位腺样囊性癌多见,腺体位置,软骨与膜部交界处
大雄:
@洪桥爱 湘西自治州人民医院感染科  肿瘤沿气管纵径大于横径,提示腺样囊性癌
气管肿瘤恶性发病率最高的是鳞癌,其他有类癌 腺样囊性癌  黏表  转移瘤
良性发病率最高的错构瘤,其他有平滑肌瘤 血管瘤  纤维瘤  神经源性肿瘤等等
傅昌瑜:
气管结节,不均匀明显强化,跨气管壁,老年女性,考虑恶性——原发:腺样囊性癌、鳞癌、类癌;转移:甲状腺癌?转移。强化部分与甲状腺基本一致,转移瘤可能性大。
达克.萝卜:
无蒂,无颈,气管侧后壁(特殊部位),虽然是老年女性年龄不符合,但是腺样囊性癌仍做首要考虑,还要考虑鳞癌。
赵春杨:
主支气管腔内外见软组织肿块,密度不均,不均匀强化,腔内肿块边缘光滑,增强可见不均匀强化,病程长,考虑良性肿瘤性病变,支气管平滑肌瘤?甲状腺左侧叶结节,考虑甲状腺腺瘤或结节性甲状腺肿。
哦落花时节:
老年女性,慢性病程,反复咳嗽,胸闷2天,支气管内见新生物突向管腔,增强轻中度强化,无明显坏死,左侧甲状腺内见低密度结节,增强示低密度灶内结节状明显强化结节,肺部多发结节,考虑转移,鉴别粘液表皮样癌,腺样囊性癌

吴婧分析


1.定位:软骨中断,非外压,而是气管本身起源,考虑恶性。与之鉴别是周围间叶起源的神经源性或平滑肌起源良性肿瘤
2.来源:气管原发的是唾液腺肿瘤,与鳞癌,神经内分泌肿瘤等。继发的是甲状腺恶性肿瘤及转移

增强层面仅有两个,看似比较均匀。直接支气管镜搞定
转移,还是可能性小,先考虑原发恶性肿瘤
坏死不明显,老年不抽烟女性,虽然这个位置鳞癌最多,但是影像和性别,可能低度恶性优先。其余看看淋巴结转移似没有

南边思路
南边:


老年女性,病史1年
提示这个气管占位一年前开始就引起症状了
从病史提示:甲状腺占位、气管占位、肺部炎症
南边:
左肺下叶背段见树芽征

南边:
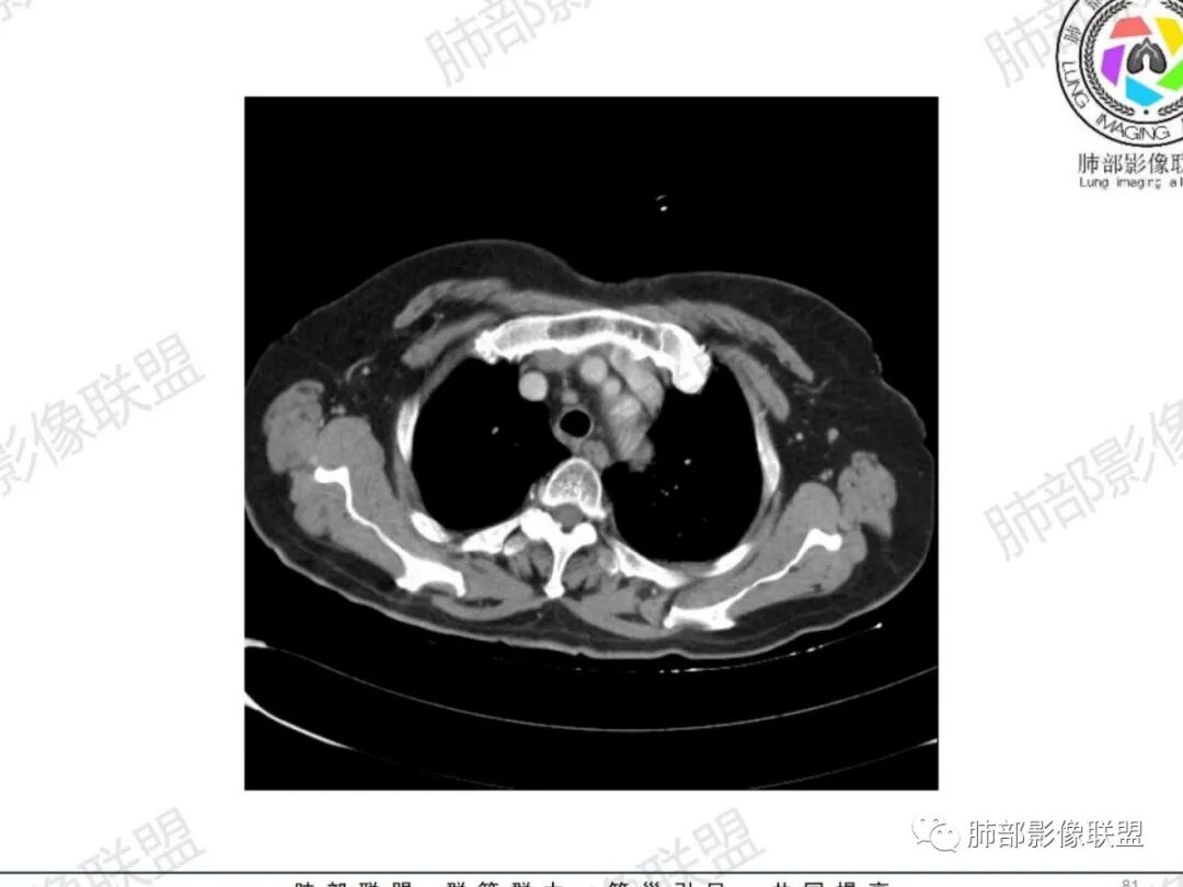
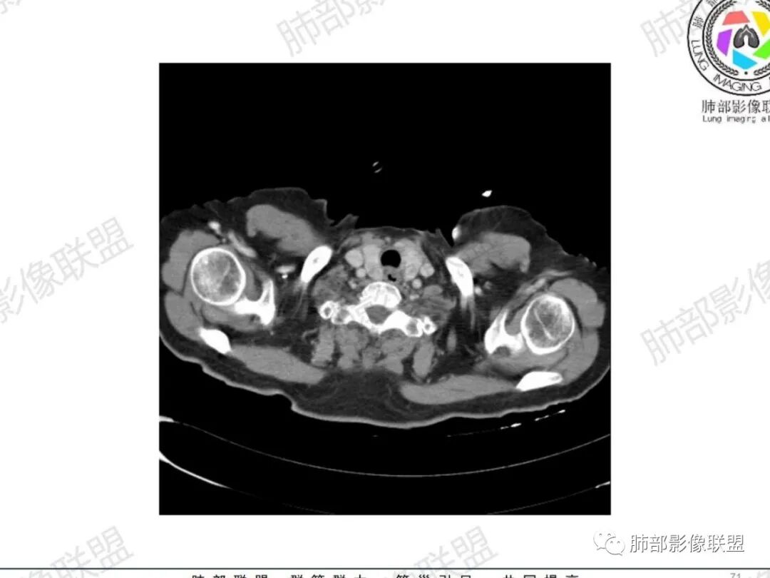
甲状腺左叶结节边界不太清楚

南边:
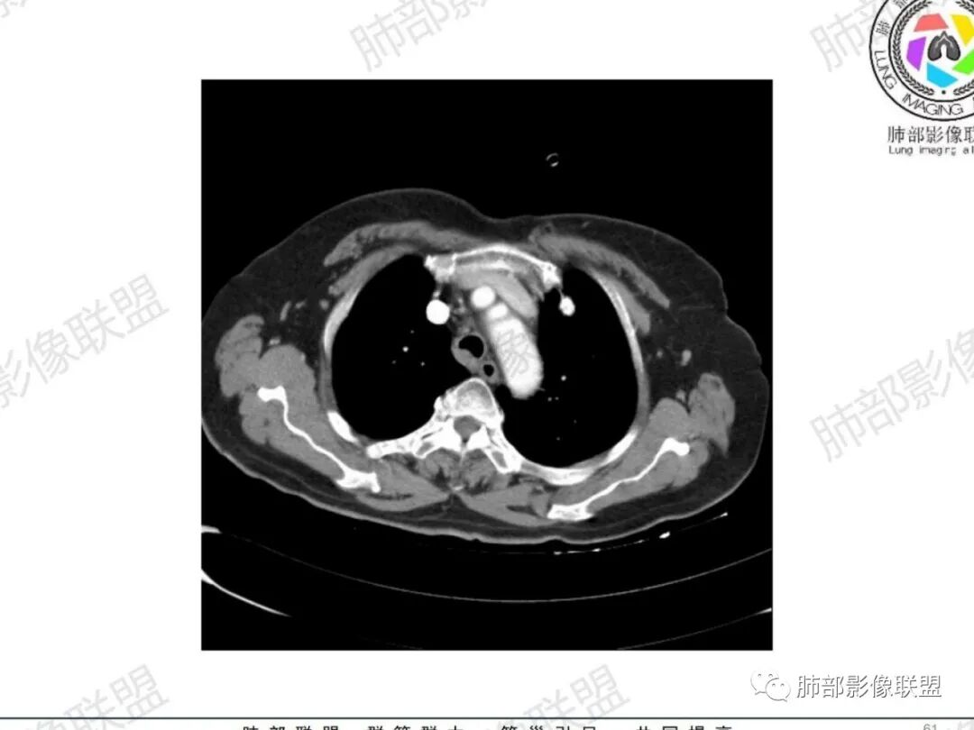
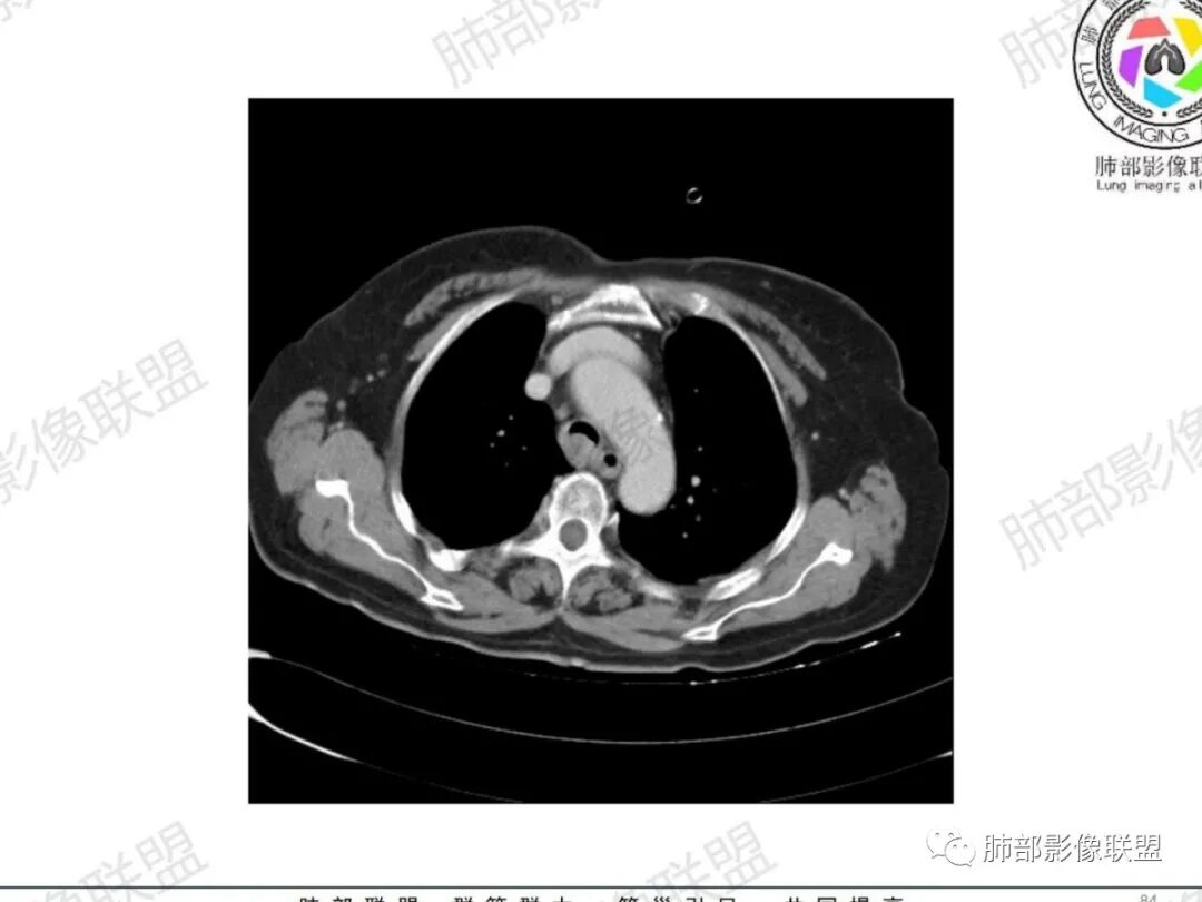
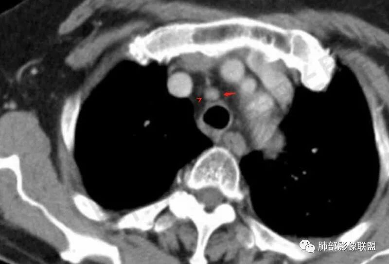
气管右后壁占位,平扫密度稍低于肌肉

增强后与肌肉类似,部分强于肌肉,提示强化


内外边缘光滑

宽基底与气管相连

附近壁增厚

前方见一小淋巴结,后内侧与食道联系很紧




淋巴结


南边:
如果我是临床医生,我想了解啥?
1、首先血供丰富与否,能否穿刺病检,这个应该可以
2、病灶与周围的关系如何?能否展开手术?因为不管良恶性,都影响到了生活
从这个角度来观察:1 、可以病检,就不知道其他的检查如何,是否能支气管镜检查,如果可以,这个可以病检,就是病灶病理类型问题,病检解决
2、除与食道似乎关系密切一些,其余还好,与大血管无直接关系,按理能够手术位置偏下,应该可以手术,而且食道胃镜引导下穿刺也无风险,就算不可以气管镜检查,也可以食道胃镜穿刺病检
影像角度分析:
宽基底,腔内外,看似边界清楚、光滑, 但是附近气管壁增厚,还是首先要考虑恶性,附近淋巴结也不太放心,因为强化明显
甲状腺结节边界不太清楚,但是窗宽窗位不太理想,需要调至最佳状态观察才合适
病理类型:甲状腺如果是恶性的,还是要警惕转移瘤;原发的:倾向于恶性,老年女性,表面光滑, 鳞癌几率比较低;腺样囊性癌确实要考虑
结论我觉得下到恶性可能性大
吴婧wj:
南大的分析有转变,更多不是病理的推断而是在意临床的处理
大雄:
与临床讨论处理已经是我们的日常了
正式的有MDT
非正式的有电话会诊


结果:腺样囊腺癌



知识拓展
恶性支气管内肿瘤:
非小细胞肺癌(>95%),鳞状细胞癌最多见
类癌
黏液表皮样癌
腺样囊性癌(源于气管黏液腺体)
支气管内转移瘤:
来源:乳腺、肾脏、结直肠、肉瘤、宫颈
良性支气管内肿瘤:
错构瘤(70%)、平滑肌瘤、脂肪瘤
神经源性肿瘤
纤维上皮息肉(炎性息肉)
淀粉样瘤、颗粒细胞瘤
血管瘤、纤维瘤、软骨瘤
非肿瘤性病变:
感染性肉芽肿组织
黏液栓
异物
骨软骨沉着性气管支气管病
支气管结石
良、恶性气管肿瘤的CT鉴别要点
1、良性肿瘤:基底部宽度小于瘤体最大横径、与气管内壁的夹角为锐角、可有蒂、不向周围纵隔侵犯、无淋巴结增大。
2、恶性肿瘤:基底部宽度大于瘤体最大横径、与气管内壁的夹角为钝角、无蒂、可向周围纵隔侵犯、可有淋巴结增大。(注意管壁是否增厚、肿块边缘及侵犯范围。侵及管壁内外、边界不清、淋巴结肿大常是恶性肿瘤特征)。
同时注意:
a、性别:老年女性腺样囊性癌、粘液表皮样癌多见,鳞癌非常少见。年轻女性类癌相对多见。
b、肿块的位置:腺样囊性癌、粘液表皮样癌多见于气管后方及侧后方,这与腺体分布有关。
c、强化程度:类癌以及血管类肿瘤显著强化较有特征性;鳞癌、腺样囊性癌、平滑肌瘤等常中度强化;粘液表皮样癌密度偏低,强化程度也较轻。腺样囊性癌及粘液表皮样癌常不均匀强化;
常见恶性肿瘤特点
1、鳞癌:多见于男性,有吸烟史。可朝腔外生长,多为类圆形,气管或支气管偏心狭窄或环形增厚,常合并坏死,强化不等。生长在大支气管的鳞癌阻塞严重,周围会有明显阻塞性肺炎和肺不张。淋巴结转移相对较迟。
2、类癌:典型类癌绝大多数为中央型。对于成年人,更常见于女性。累及主、叶、段支气管,远端朝外侵犯,支气管一般不是周围环形壁增厚;腔内外生长-冰山征;血供丰富、显著强化,可有钙化。
3、腺样囊性癌:是一种低级别恶性肿瘤,在气道恶性肿瘤中发病率居第2位。腺样囊性癌起源于气管黏液腺,好发于气管后壁软骨和膜部连接处,这与该部位黏液腺较多有关,肿瘤可呈息肉样或结节样突入气管,宽基底,管壁局部浸润性增厚,也可由气管黏膜下方沿管壁长轴浸润生长,至管壁不同程度增厚及相应管腔狭窄,肿瘤强化不明显。
4、粘液表皮样癌 :多见于40岁以下,与吸烟无关,好发于主支气管远段或叶、段支气管。多表现为支气管腔内结节,可分支状,轻度强化,常伴阻塞性肺炎/肺不张,粘液栓(密度低)。


编辑:杨 丽   赵永兵
审核:徐  晓
到顶部