【每日晨读】双肺弥漫性磨玻璃如何解?













一 群内精彩发言
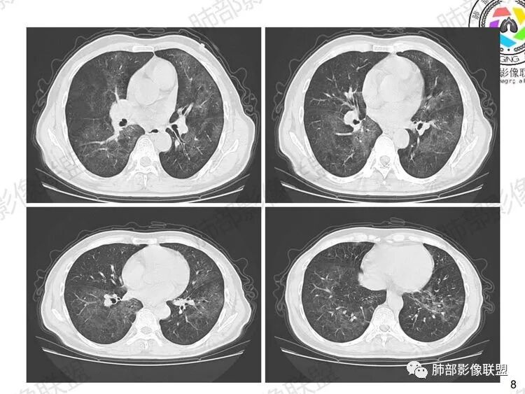
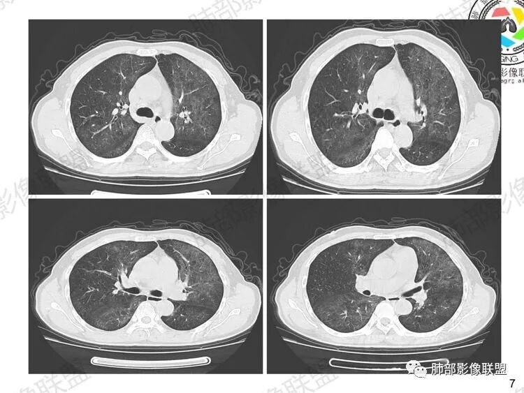
一切∮随缘:双肺多发斑片状渗出影,边界模糊,部分周围可见正常肺组织,其内可见血管走行自然,支气管无明显改变,病变整体以中内带为主,胸膜下受累不明显。
临床:男性,51岁,病史4个月,有高血糖,考虑:PCP,HP,DAH建议完善实验室检查及支气管镜检查。
谢加平:
两肺叶弥散性GGo,胸膜下清,职业农民,考虑过敏性肺泡炎,与PCP鉴别。
衡妈:
中年男性,呼吸困难为主。两肺弥漫性GGO,上肺内夹杂小囊。胸膜下累及少,未见明显小叶间隔增厚,两下肺可见小叶内间隔增呈小网格征,左下肺可见索条灶,急性感染临床不符合,第一想到了PCP,中期,所以需要查 HIV。第二肺水肿,但是两肺门不是对称,小叶间隔增厚几乎看不到,所以不考虑。第三过敏性肺炎,肺泡改变?第四滤泡性细支气管炎。第五弥漫性肺泡损伤,药物性?但没有特殊用药病史所以排除。综上还是考虑PCP可能大些。
薏米:
中年男性,呼吸困难为主,胸部CT双肺由内向外分布为主的磨玻璃影,考虑pjp,鉴别HP,肺水肿。
王秀仙:
两肺弥漫性磨玻璃,上肺内夹杂小囊,胸膜下未见累及,中年大叔,考虑PCP,查 HIV。
飞鹰行动:
老年人,呼吸困难,双肺可见广泛磨玻璃影,以中内侧带分布为主,考虑PCP,鉴别过敏性肺炎,PAP。
不吝慷慨:
双肺向心性磨玻璃影,似看见小气囊,首先考虑PJP,查HIV抗体,鉴别CHP,看看外周血嗜酸粒细胞是否高。
红星:
男性病人呼吸困难4个多月,既往有慢支肺气肿,影像学表现为两肺弥漫性的渗出性的改变,马赛克表现,肺动脉主干明显增粗,肺动脉高压的表现。注意排除心源性的肺水肿,肺泡炎、肺出血;感染性病变:过敏性肺炎?卡肺?
管洪林:
中年男性,呼吸困难为主,两肺弥漫性磨玻璃,夹杂小囊腔,肺门向外外分布,月弓征,建议临床排查pcp,鉴别hp
空格:
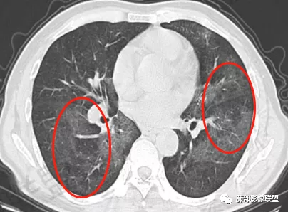
中年男性,胸闷气急为主,劳力后加重,病史像心源性,但冠脉条件看起来不错,无胸腔,心包积液,支气管管壁也无增厚,小叶间隔也无增厚,肺水肿不太像。pjp,未提供相关病史,起病四月无热咳,不会首先考虑。病灶以磨玻璃渗出为主,有马赛克灌注空气潴留,提示小气道病变,部分层面有树芽样改变,过敏性肺炎首先考虑,建议询问职业、工作环境、服药史。hiv检测排除pjp
大雄:中年男性,呼吸困难4月余,其他无异常。影像学表现双肺弥漫磨玻璃影,中上肺及中内带分布为主,伴下肺少许纤维化。第一印象比较符合PCP,但是病史四个月不伴有发热及干咳,似乎可能性不大。影像学还需要考虑的有HP,PAP,药损,EP。HP和药损需要病史支持,询问有无环境暴露以及药物相关因素。AEP从病史可以排除,CEP没有嗜酸增高,也基本排除。PAP影像学不太典型,但临床符合,可以放鉴别诊断剩下的DAD和DAH基本不用考虑了,病史不支持。再有就是慢性肺水肿,需要有临床的诱因。
下一步,完善相关检查及支气管镜肺泡灌洗
洪桥爱:主诉没有发热,不等同无发热,而且PJP没有合并感染的话,发热症状一般不重,主要表现肺功能受损,所以还是站队PJP。爱跳舞的猫:晨读:中年男性,呼吸困难。CT示双肺弥漫磨玻璃影,可见小囊,内中带为主,考虑PCP,鉴别慢性肺水肿。
二 病例结果
晨读结果:患者HIV阳性,胸部CT诊断PCP。患者转上级医院治疗,电话随访,按PCP治疗,病变明显吸收,后出院。
三 后续讨论
洪桥爱:
卡氏菌对人不致病(PCP),对人体致病的是耶式菌(PJP)
胖胖:PCP和PJP都可以用吗,但是严谨场合用PJP更好PCP=PneumoCystis Pneumonia PJP=Pneumocystis Jirovecii Pneumonia
“卡氏肺孢子虫”后来在微生物领域被重新命名为“耶氏肺孢子菌”
大雄:
用PCP表示疾病名,应该是没问题的,致病菌是耶氏肺孢子菌PJP
胖胖: 这个是因为传统观点认为肺孢子菌是一种原虫,但是实际上现在公认的观点是肺孢子菌是类似于酵母的真菌,很多证据 例如肺孢子菌表达1,3-β-D-葡聚糖,都支持这个观点,以前的观点有些过于莽撞了,实际上肺孢子菌纲导致人类疾病的只有耶氏肺孢子菌,以前的观点一个是没有分清肺孢子菌的实质(是真菌不是原虫),另一个就是默认所有肺孢子菌都有致病性,这个观点其实不太准确,现在的微生物学分类里面,没有P. carinii(卡氏肺孢子菌)这个东西,有少部分学者认为耶氏肺孢子菌存在两个亚种,也就是P. carinii f. hominis和P. carinii f. carinii,用以表示两种差别不大但是具有宿主特异性的肺孢子菌,不过最近一次命名分类里面,为了区分两个亚种,又重新启用了P. carinii(卡氏肺孢子菌)这个名称,所以这个观点也是不稳固的,但是毕竟肺孢子菌的属名争议依然存在,目前微生物学文献会特意提到P.jirovicii“原名P.carinii”。至于另一种感染非人哺乳动物的肺孢子菌到底命名为P.carinii还是其他名字,这个就不好说了,所以在进一步的研究之前 我对“卡氏肺孢子菌”这个称呼保持谨慎。
四 肺孢子菌肺炎相关诊断知识点
1.肺孢子菌肺炎 的真正致病菌是耶氏肺孢子菌(PJP),卡氏肺孢子菌不是致病菌;肺孢子菌寄生于正常人的肺泡内,多通过吸入空气中包囊而感染,正常人体可以通过细胞免疫将其清除,当免疫功能低下时,可在肺泡腔内和肺间质内大量繁殖,释放氧自由基及炎症介质,引起肺泡上皮细胞的变性脱落、抑制肺泡上皮细胞的增殖与修复,同时启动炎症反应途径,加重肺损伤。随着病变进展可出现肺间质的纤维组织增生、肺泡间隙增宽,导致氧弥散障碍,引起低氧血症甚至呼吸衰竭而死亡。
2.易感人群
① 早产新生儿和营养不良的虚弱婴儿;
② HIV患者;
③先天免疫功能缺陷者;
④ 器官移植后接受免疫抑制剂治疗者;
⑤恶性肿瘤,尤其是接受放、化疗的患者,放、化疗使机体免疫功能进一步降低;
⑥长期应用广谱抗生素及糖皮质激素者。
 由于器官移植、化疗药物及糖皮质激素的应用,PJP在这些免疫缺陷宿主患者中发病率和病死率明显提高,甚至超过HIV患者。
3.临床表现
症状有时缺乏特异性。起病较缓,最常见的典型症状是呼吸困难,其次为发热、干咳,高热并不常见。少见症状有咳痰、咯血、盗汗和胸痛等,体征与疾病症状的严重程度多不成比例。由于患者缺氧,所以有些面部表现深红色。
4.实验室检查
白细胞计数多在正常范围或稍增高,约半数病例淋巴细胞减少,嗜酸粒细胞轻度增高。对长期应用免疫抑制剂治疗者,白细胞计数常较低。患者往往因免疫功能损害可能还合并其他机会性感染,患者CD4+ T淋巴细胞计数越低,发生机会性感染几率就越大。血气分析示显著的低氧血症和肺泡动脉氧压差加大,肺功能测试可见进行性减退。血乳酸脱氢酶(LDH)能够反映患者肺部炎症的严重程度,与患者氧合指数的下降呈正相关,但并非肺孢子菌感染的特异性标志物。
 5.组织学及相应CT影像表现
 早期:孢子菌滋养体吸入附在肺泡壁上,破坏I型肺泡上皮细胞的细胞膜,使细胞坏死及毛细血管通透性增加。液体渗出到肺泡腔内,病灶主要位于肺泡内,肺泡腔密度增高,间质这时受累相对轻,因此早期为渗出期,病变由中心向外周分布,表现为两肺多发对称性的弥漫斑点状、粟粒状阴影,边界清楚。
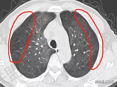
中期:孢子菌在肺泡腔内大量繁殖,引起炎性渗出及肺泡上皮增生,肺泡液内含有滋养体的嗜酸性渗出物及纤维蛋白和脱落的上皮细胞,Ⅱ型肺泡上皮细胞增殖修复受损的肺泡毛细血管间膜,肺间质内巨噬细胞、浆细胞和淋巴细胞增殖导致间质性肺炎,就是说有肺泡腔的密度增高,也有间质的增厚,整个肺受累区域密度都增高,形成以肺门为中心双侧对称的弥漫性磨玻璃样改变,胸膜下较少累及,呈典型的月弓征,采用积极的对症治疗后,大多数病变可吸收消失。
        注意肺孢子菌肺炎的肺部影像看上去比较“干”,不会呈现重力趋势。肺血管影及支气管影都比较清楚,尤其是含气支气管影,常常会衬托得格外清晰。
晚期:修复最终导致间质纤维化改变,双肺小叶间隔明显增厚,肺叶呈纤维状、条索状、网格状改变,支气管牵拉性扩张和蜂窝肺,HRCT病灶显示为碎石路征样改变,是本病的特征表现之一,该征象出现表示肺泡、肺间质同时受累,是病变进展的重要表现。肺气囊是肺孢子菌肺炎较常见的影像学特征,多见于晚期,多分布于肺上叶或肺周边, 也可发展到整个肺实质,其形成是由于肺实质的破坏。肺气肿可破裂引发自发性肺气胸、纵隔及皮下气肿。
6.鉴别诊断:
①肺水肿:肺间质水肿常有小叶间隔增厚、重力分布趋势。肺泡水肿密度偏高,浑浊一片,肺血管影模糊,且常可找到水肿原发病因(如左心回流障碍、肾功能不全等等)。
  (重力趋势是指因液体重力原因导致沿前后方向密度逐次增高)

           肺水肿典型的重力趋势:注意小叶间隔的阻挡
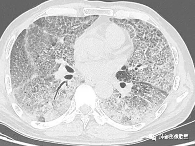
②肺泡蛋白沉积征(PAP):一种罕见疾病,早期表现轻微,后期可出现呼吸困难,特征性临床表现为进行性加重的呼吸困难,影像表现重而临床症状轻微,因脂蛋白涂布在肺泡内,典型影像表现为磨玻璃密度影伴碎石路征、地图样改变,病灶较多时可出现重力效应,分布随机,支气管受累不明显,可有轻微支气管壁增厚,无支气管扩张,无淋巴结肿大。肺泡灌洗既为诊断手段,亦为治疗手段。

                          PAP 典型的碎石路
③弥漫性肺泡出血:如出现反复咯血、缺铁性贫血和影像上弥漫性磨玻璃影可提示此诊断,急性期表现为浓淡不一磨玻璃密度影,慢性期表现为广泛分布的小结节及网格影。
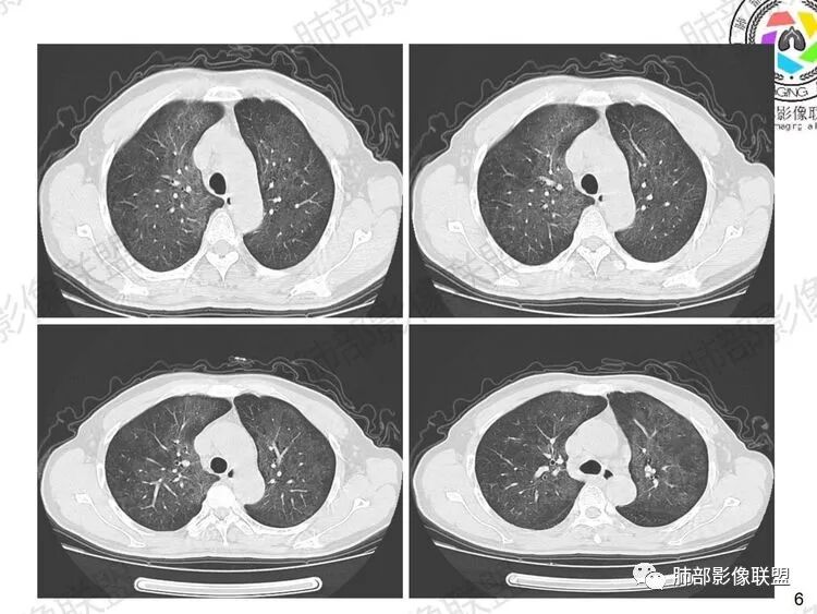
④过敏性肺炎,病史上常有过敏原吸入史,影像上急性或亚急性期表现为弥漫磨玻璃影(早期肺泡炎)、小叶中心结节及空气潴留(肉芽肿炎及气道不畅),如果出现纤维化及蜂窝,则提示进入慢性期。

         HP弥漫分布的小叶中心结节及空气潴留(图片来自吴婧老师)
五 病例总结
临床资料:
中年男性,亚急性病程,无明显诱因出现呼吸困难4月,劳累后加重;
影像表现:
1、双肺从中心向外周对称性弥漫分布的磨玻璃密度影,无重力分布特点

2、中内带分布为主,胸膜下较少受累,可见月弓征

3、下肺纤维灶形成

    结合患者症状典型的呼吸困难症状及影像学改变,临床症状轻,影像重,双肺从中心向外周对称性弥漫分布的磨玻璃影,无重力分布,胸膜下受累不明显(月弓征),呈典型的间质性改变,需要考虑肺孢子菌肺炎的可能,临床上需要结合有无HIV、使用免疫抑制剂病史、器官移植等免疫缺陷病史,还可以借助化验CD4细胞、LDH等进一步判断病情。
相关链接:
PCP影像解析
张嵩老师讲堂——PCP
一例PCP引出的弥漫性GGO分析套路
END
编辑:刘  朋 
审核:蔡笑燕  徐  晓
病例提供者:长沙市中医医院放射科 陆喜红



到顶部