【每日晨读】纵隔包块,居然可以这样推断?


 01
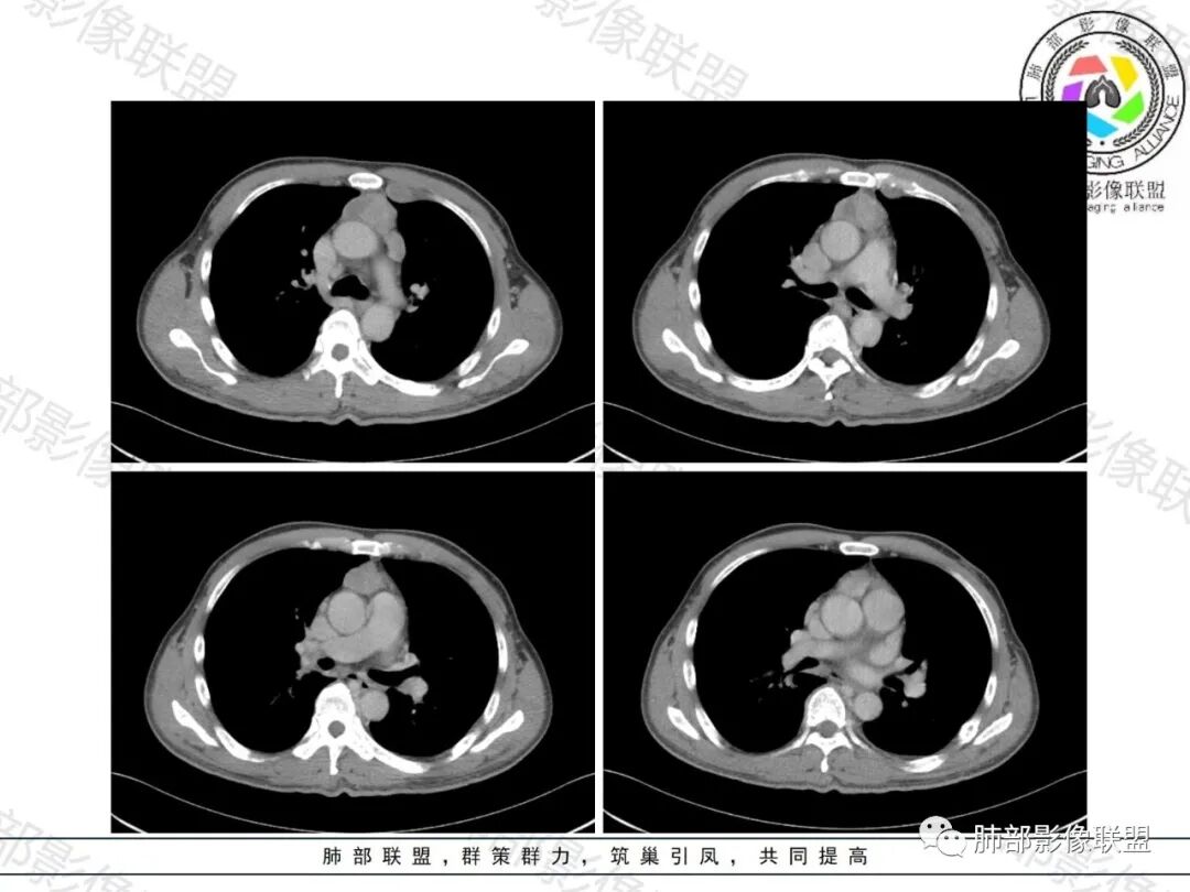
临床资料



















 02
群内分析
一切∮随缘: 前纵隔一实性肿块,居中,延主动脉、肺动脉间隙生长,病变较软,包绕血管,平扫密度均匀,增强后均匀强化,椎体有骨质破坏,考虑:胸腺癌(鳞癌,类癌强化偏弱),胸腺瘤,淋巴瘤,转移瘤。
必有路:男性,体检发现,前纵隔肿瘤,CEA轻微高,肿瘤对血管侵犯不明显,可疑上腔受侵犯,轻度强化,椎体破坏,考虑胸腺癌与淋巴瘤鉴别,鉴于CEA增高,胸腺癌>淋巴瘤,建议活检。
陈学君: 前纵隔肿块,多结节融合状,轻度强化,色绕左头臂静脉,伴有椎体骨质破坏,CEA轻度升高,综合考虑淋巴瘤。
看图说话: 前上纵隔实性肿块,密度均匀,均匀强化,包绕血管,受压不明显,胸椎体骨质破坏,考虑恶性:胸腺瘤,淋巴瘤,转移瘤。
不吝慷慨: 考虑恶性,有侵袭性并有胸椎转移性骨质破坏,常规胸腺癌。病灶结节状,似有结节融合表现,淋巴瘤也不能排除。再来个异位甲状腺癌也不意外。
张小兵: 前纵隔肿块,多结节融合,内乳淋巴结及纵隔淋巴结肿大,未见坏死,骨质破坏,恶性,淋巴瘤可能。
飞鹰行动: 老年人,男性,前上纵隔肿块,病灶相互融合,增强轻度强化,包绕周围血管生长,胸壁可见软组织肿块,形态规则,密度均匀,呈肉包骨样改变,部分椎体骨质破坏,CEA轻度升高,综合考虑小圆细胞类肿瘤,淋巴瘤,其次胸腺瘤,转移瘤。
小兜: 男,55岁,体检发现纵隔占位,CEA轻度增高,LDH明显增高。CT示前纵隔占位,多结节融合,包绕大血管生长,未见明显血管侵犯,平扫密度较均匀,增强扫描轻度强化,伴有骨质破坏吸收,首先考虑淋巴瘤,其次胸腺癌,(CEA增高,降钙素不知道怎么样,有增高再考虑一个甲状腺髓样癌)
琦遇: 前纵隔占位,包绕大血管,侵犯血管,纵隔淋巴结以及左侧内乳淋巴结肿大,病灶不规则,分叶,强化不明显,胸椎及肋骨转移,考虑SCLC 、鳞癌、淋巴瘤、转移(甲状腺癌转移)。结合临床首先考虑SCLC。
红星: 前纵隔分叶状的实性肿块,密度比较均匀,部分沿着血管间隙包绕血管,并深入到胸廓入口处,增强扫描轻度强化,可见片状的不均匀强化,主动脉弓旁及纵隔内见多发的淋巴结。椎体见骨质破坏。考虑淋巴瘤?特点是多结节融合,多发病灶范围比较广,具有包绕血管的征象,强化中等。鉴别:胸内甲状腺瘤?转移瘤?胸腺的恶性占位?
King:前中纵隔多结节融合感肿块+骨破坏+内乳淋巴结+叶间裂可疑微结节+LDH偏高,恶性,考虑小细胞癌和淋巴瘤,再查NSE和胃泌素释放前肽。从年龄和骨的角度,更偏向小细胞。
刘丹: 前纵隔融合成团软组织肿块,胸椎骨质破坏,增强轻度强化,部分包绕血管,考虑淋巴瘤,鉴别胸腺及甲状腺肿瘤。
毛勤香: 前纵隔实性占位,融合分叶状,左侧内乳淋巴结肿大,轻度强化,椎体骨质破坏,考虑恶性,首先考虑淋巴瘤,鉴别鳞癌。
采莲: 中年男性,前纵隔正中肿块,有分叶,密度不均,周围有淋巴结肿大,包绕血管,内乳动脉增粗,纵隔有肿大淋巴结,胸椎有骨质破坏,查体发现,CEA轻度升高,考虑恶性,淋巴瘤可能性大,鉴别胸腺瘤。
 
空格: 恶性无异议!抛开纵膈主灶,肺内以两侧斜裂局限弥漫增厚,小结节主要分布在水平裂周围,左下肺纹有串珠状改变,单以肺内分析,淋巴道受累为主。脊柱及肋骨的改变,常见于转移灶,骨淋巴瘤什么样不太熟悉。纵膈内前纵膈为主,腔静脉后也有,位置比较高,形态结节状,部分融合,没有明确的坏死,强化也较均匀,这几点似乎淋巴来源大于胸腺。所以淋巴来源排前面,到底是原发淋巴瘤,多部位侵润,还是猪脚没出场,躲在腹部,胸部都是转移灶?需要腹部检查后决定。患者体重无减轻,主角在腹部的可能性非常小了,主角应该都在台面上了。脊柱的改变,是淋巴瘤的命门。
 
良孑: 前纵隔肿物,位置居中,边界清,密度均,冠状位重建肿物与右侧颈部软组织肿物相连,中度强化,血管包饶及飘浮,推体及局部肋骨骨质破坏,定性恶性,支持淋巴瘤或胸内甲状腺。
吴婧影像分析
   *肺内见多发结节,呈串珠样分布,淋巴?

*内乳淋巴结增大

*前纵隔病变,淋巴转移?还是都是淋巴结?


     
*血管包在里面 


*骨质破坏

 03
第二轮讨论:
吴婧:恶性疾病:1.淋巴增殖性疾病,淋巴瘤?2.恶性肿瘤的淋巴结转移?
大雄: 恶性没问题,淋巴瘤不除外;肿块整体边界不清、质软、血管包埋。
Yishion:好像黄勇老师说过一般胸腺类癌的话容易胸椎破坏,但我觉得更倾向于淋巴瘤。

 04
病例结果

大雄:黄老师这张图真的是绝了,不知道患者是不是有库欣综合征,所以临床做了这个皮质醇的检测。胸腺类癌发病率不高,影像提示恶性,下一步穿刺病检,应该差不多了。
 
尘缘: 要一锤定音诊断到胸腺类癌,还是有难度。我只能肯定到恶性,然后对于是淋巴瘤还是胸腺癌真的不敢直接确定。骨质破坏,淋巴瘤一样可以。
                 说在后面的话
影像与临床:
1.中年男性,体检发现。CEA轻度增高
2.前纵隔不规则块影,密度均匀,有多结节堆积融合感,边界隐约可辨,轻度不均匀强化。3.块影包埋并挤压左无名静脉。相邻大血管均未见侵犯,纵隔两侧胸膜未见突破,未见胸腔积液,右侧叶裂结节样增厚。
4.左内乳淋巴结肿大,上纵隔及右颈根部淋巴结肿大。
5.胸椎及肋骨见虫噬样吸收破坏,骨皮质不完整,未见硬化,骨旁软组织影增宽,未见死骨。
综合分析:
1.胸腺所在地不规则块影,有多结节堆积融合感,淋巴结肿大,胸椎骨及肋骨破坏,恶性肿瘤判断当无异议。
2.块影边界可分辨,不似一般胸腺癌那样攻城略地或糊成一片,也没有胸水。
多结节堆积融合感,内乳淋巴结等肿大,似乎提示我们更像是淋巴瘤,淋巴瘤界外浸润骨骼并不少见。
3.黄勇老师曾发现胸腺类癌易转移至胸椎,本例病理报告恰恰为胸腺类癌。
这一关联性值得我们进一步总结和探讨。
 05
文献延伸阅读
  1、概念:
  胸腺类癌是一种罕见的神经内分泌肿瘤,约占胸腺肿瘤的2% ~5%。2015版WHO肺部肿瘤分类将胸腺神经内分泌肿瘤分为4类,即类癌(包括典型类癌和非典型类癌)、大细胞神经内分泌癌、小细胞癌和混合性胸腺癌。临床大多数病例为非典型类癌。
  2、临床:
  胸腺类癌好发于男性, 青年至老年均可发病,具有侵袭性生物学行为,易侵犯周围纵隔结构,易复发及转移。患者可出现:胸闷胸痛,气短,咳嗽,面颈部肿胀,声音嘶哑;库欣综合征;一部分患者合并多发性神经内分泌肿瘤-1型,包括垂体瘤、甲状旁腺腺瘤等,可表现为头痛、视力下降、肾结石、心悸等。
  3、并发症:
  上腔静脉综合征、库欣综合征、多发性神经内分泌肿瘤-1型等。
  4、影像学:
  胸腺类癌侵袭性强,易侵犯周围结构,CT表现为浸润性生长,与大血管及心包分界不清,可沿大血管间隙生长。CT平扫密度均匀或不均匀,增强后表现为轻、中度渐进性强化,病灶内出现纤细血管影可能为其较特异的征象。
参考文献:
张茂伟,李智勇.胸腺类癌CT影像学分析[J].中国医学影像技术,2019,35(02):308-309.
 06
相关链接
黄勇老师倾心大作-胸腺肿瘤精准影像诊断
病例来源:赣州市立医院-叶贱辉老师
编辑:张慧、赵永兵
审核:徐  晓


到顶部