【每日晨读】 让人不安心的肺肿块




01
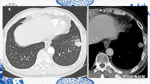
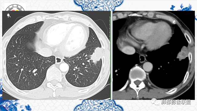
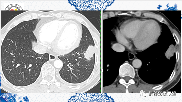
病例资料












02
微信群精彩讨论
                                          
傅昌瑜:
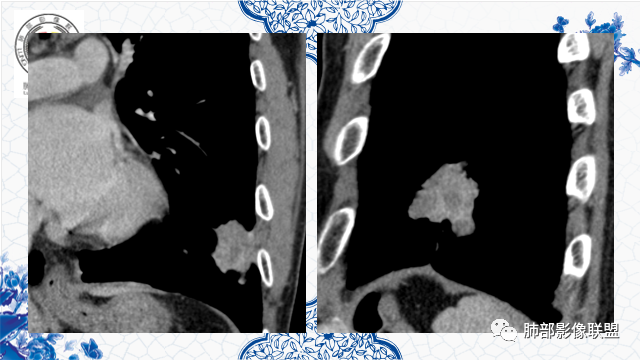
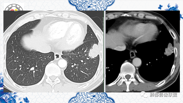
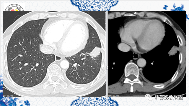
有胃肾恶性肿瘤手术史。左肺下叶胸膜下不规则肿块,部分边缘平直、部分膨隆,近端见支气管进入后截断,增强后不均匀强化,可见低密度坏死无强化,边缘见边界清楚的GGO,考虑恶性肿瘤——肺腺癌可能性大。鉴别转移瘤、鳞癌。
果哣.:
患者有胃肾肿瘤史,左肺下叶一不规则肿块,边界清晰,彭龙为主,靠近胸膜,有栽赃,支气管截断,内有坏死,考虑恶性腺癌可能。
流心明智:
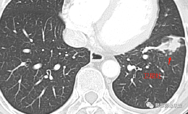
发現肺占位3月,患者既往有肾、胃恶性肿瘤病史。胸部CT:左肺前外基底段近胸膜下不规则实性病灶,分叶,部分边缘平直、部分明显膨隆,内部密度不均匀,周围见磨玻璃影、边界清楚,支气管进入病灶堵塞,血管聚集,胸膜糊墙,增强扫描不均匀强化,内部多发低密度区。综合考虑恶性,转移?鉴别隐球菌、结核。
良孑:
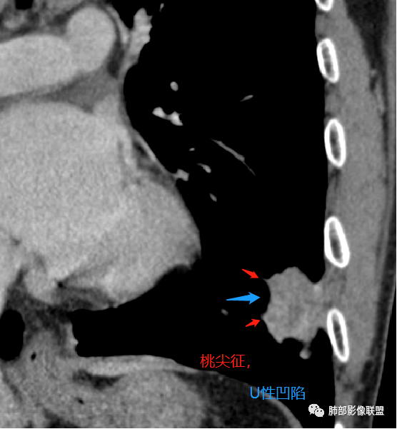
左下叶不规则实变,有平直及u型凹陷,胸膜糊墙,不均匀强化,其内可坏死灶,肿块内缘起始部可见钙化灶,病史较长,虽有胃肾肿瘤史,但影像表现及病灶走行(爬行征)均不支持转移,综合分析考虑炎性肉芽肿,OP并脓肿,其次考虑TB,留个尾巴鉴别腺癌
王秀仙:
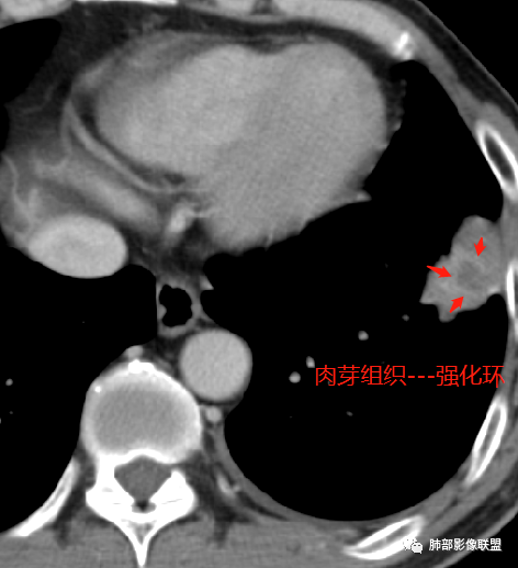
左肺下叶前基底段肿块,分叶状,边缘平直凹陷,部分膨隆。支气管进入后截断,宽基底与胸膜相连,内部坏死,周围有小卫星灶,强化见坏死区周围环形高密度,首先考虑良性,肉芽肿,结核?鉴别腺癌。
自信人生:
既往胃肾肿瘤。左下肺病灶直边,凹陷,支气管进入并有截断,宽基底与胸膜相连,内部有囊圆形坏死,旁边有卫星灶,考虑良性,肉芽肿,恶性,腺癌转移待除
尘缘:
反正直接考虑恶性风险大,理由:1、年龄,性别未提供,2、无CT旧片对照,胸片提示三个月前多发小结节,现在的CT是肿块样改变,变化这么快?整体边缘虽有膨隆,但更多是平直,桃尖。3、这个胸膜栽桩只能说可能,不能说肯定(层面不够)。4、周围的GGO样改变与主病灶关系不确切,疑似卫星灶。5、增强这个坏死情况三不像。6、纵隔淋巴结是否肿大?没提供相应层面。
琦遇:
3月前左肺中下野可见结节灶,现CT可见沿支气管走形融合成团片灶,近端支气管进入后截断,病灶整体以平直收缩为主,局部膨隆,与胸膜呈糊墙样改变,病灶周边可见结节,总体分析病灶是结节融合形成,远端大近端小,符合支气管爬行征,强化后其内可见多发低强化区,低强化边界不清,其内未见血管,首先考虑炎性病灶结核,隐球菌分布不符合,但是也可以有,另外恶性不能排除,建议排查结核、隐球菌,如不能明确,穿刺活检是必要的!
尘缘:
@万琦 辽宁沈阳结核医院 今天我和你站同一条战线上,先考虑炎性病变,恶性待排,而且如果是恶性,三个月变化这么大,我觉得腺癌可能也不大,更支持低分化鳞癌。
我的思路是:炎性病变>鳞癌>转移,先短期抗炎治疗后复查,查结核及隐球相关指标,如果变化不明显,相关指标阴性,再穿刺活检.
琦遇:
平直收缩、尖桃都有 病灶变化快 炎性
即使非创伤性检查明确结核或者隐球菌,这个也需要穿刺活检,因为有二元可能
尘缘:
良性的依据有五点::第一,周围收缩,凹陷,桃尖,边缘大部分平直,周围卫星灶。第二,栽脏不明确,第三,强化有环形强化的感觉。第四,有支气管爬行的味道。第五,专门提出三个月前胸片多发小结节,三个月后变大成肿块。
M-Imaging :
增强坏死周围似乎见环形强化的环
尘缘:
对于这种良恶性征像都有,而且缺乏一锤定音的依据的病例,更多还是要常规分析,诊断不能武断的只考虑恶性或者良性,要考虑良性在前,恶性在后,临床处理要良性结节恶性对待,先按良性结节抗炎治疗同时,查结核隐球相关指标,短期内积极进行穿刺明确。
M-Imaging :
气管异物,阻塞性肺炎,可能不
琦遇:
@张震-吉林松江河影像  异物感觉不太可能,因为没有看到边上的肺动脉!

                 

03
病例结果



04
回顾性讨论分析
尘缘:
良性的依据有五点:
第一,周围收缩,凹陷,桃尖,边缘大部分平直,周围卫星灶。


第二,栽脏不明确,
第三,强化有环形强化的感觉,坏死区太圆太规整。

第四,有支气管爬行的感觉。
第五,专门提出三个月前胸片多发小结节,三个月后变大成肿块。
尘缘:
对于这种良恶性征像都有,而且缺乏一锤定音的依据的病例,更多还是要常规分析,找出线索及关联性,临床处理要良性结节恶性对待,先按良性结节抗炎治疗同时,查结核隐球相关指标,短期内积极进行穿刺明确。
END
编辑:曲佩红
审核:蔡笑燕  徐  晓
病例提供:邵武市立医院CT室 陈丽君


到顶部