【每日晨读】 cyfra21-1?鉴别“鳞癌”与“结核”给您高招



『每日晨读』鉴别“癌”与“结核”给您高招














                   请您诊断!

群 内 病 例 讨 论

王秀仙: 
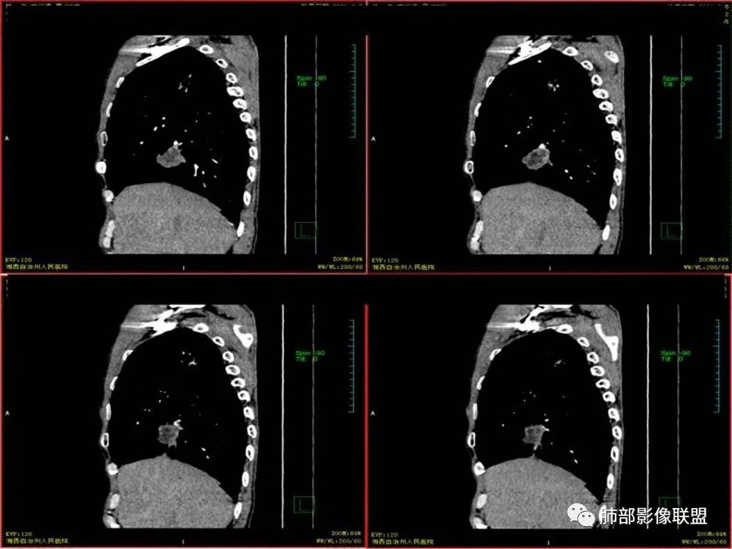
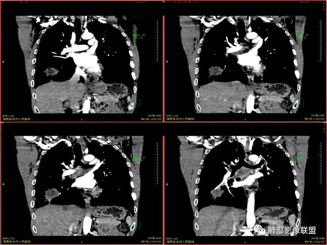
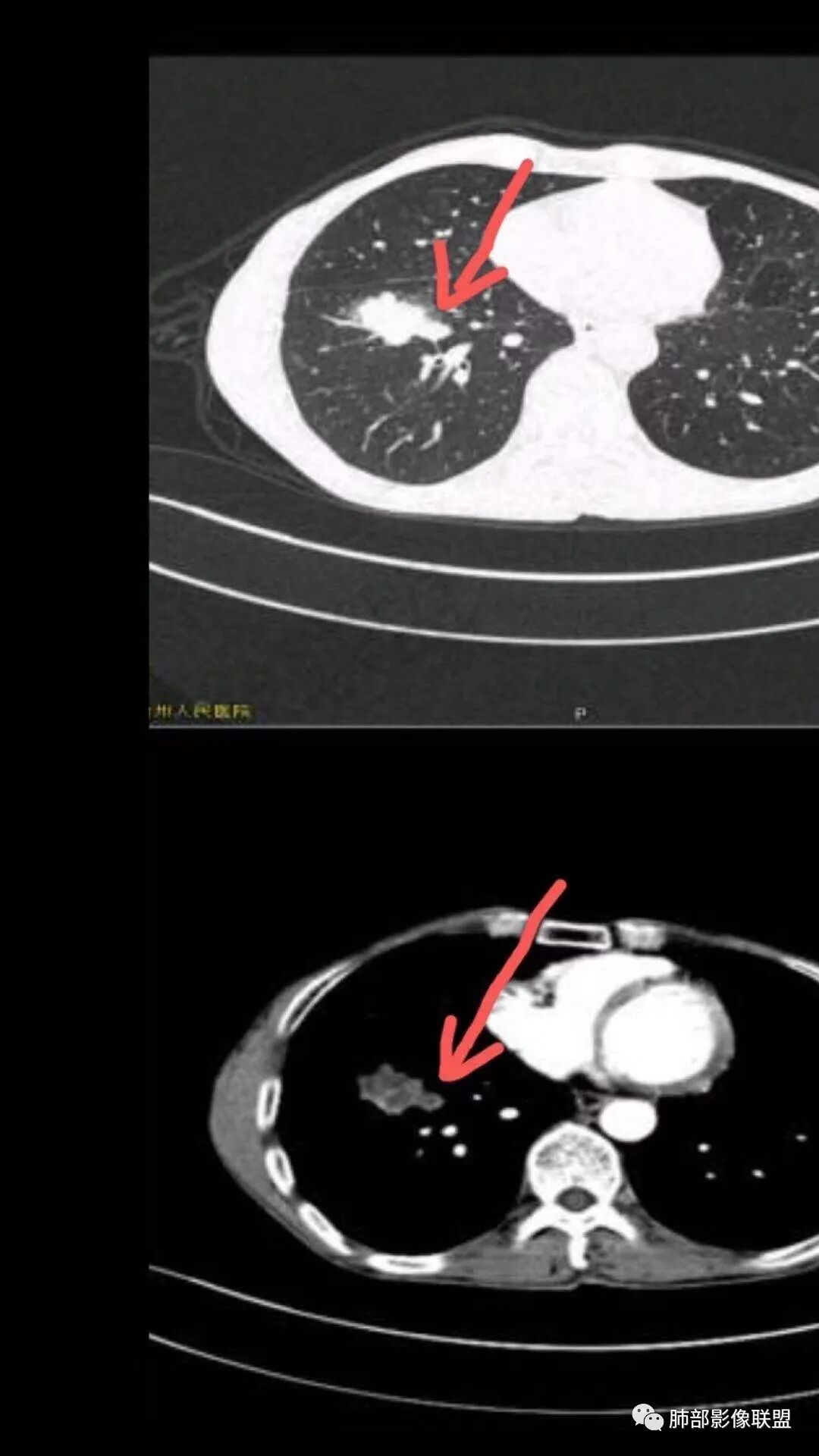
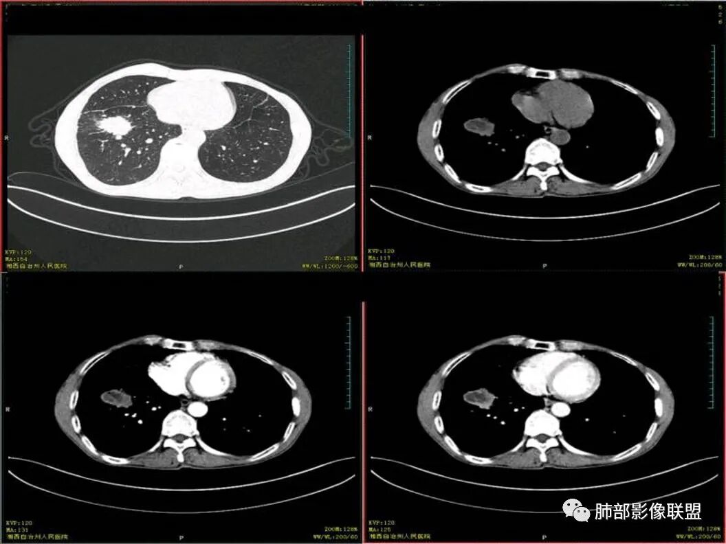
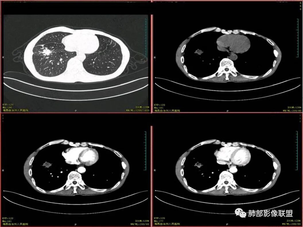
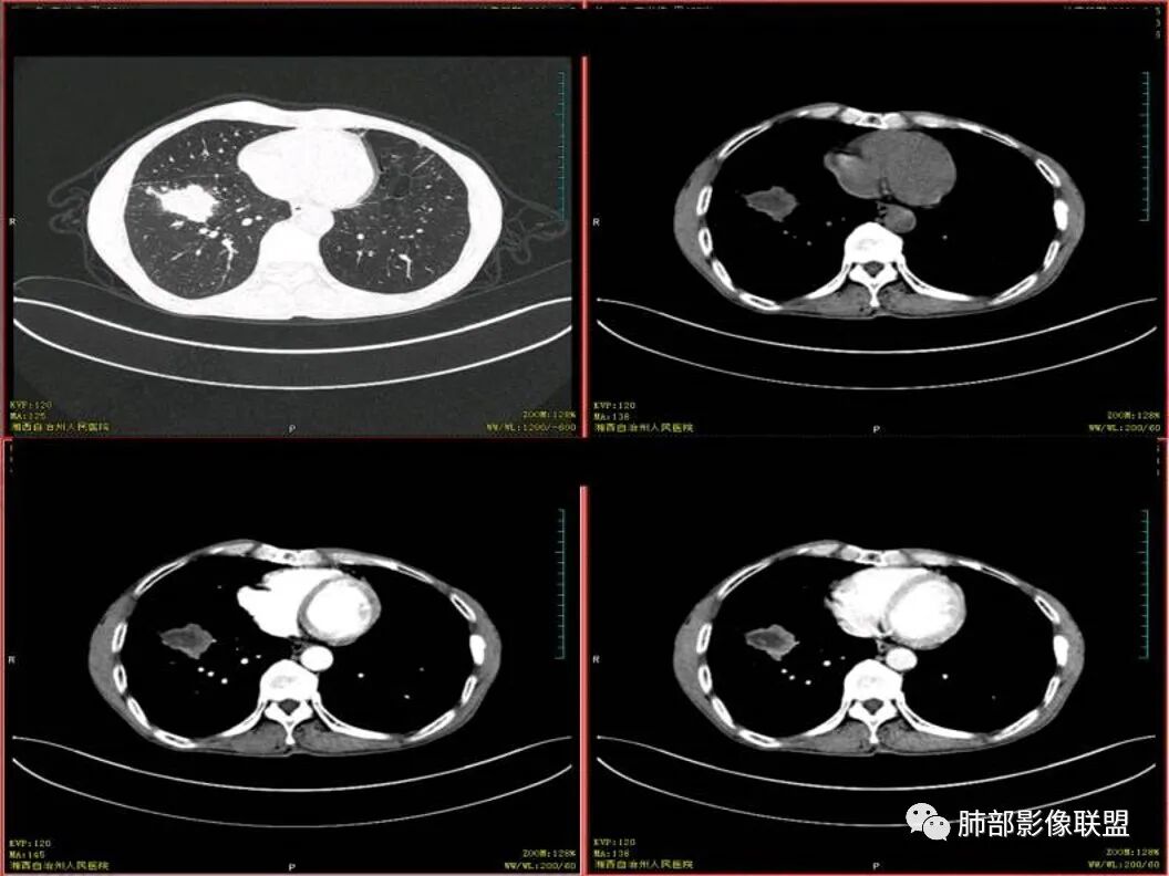
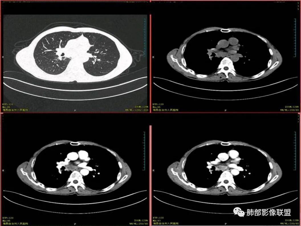
双上肺多发斑片、结节及条索影,边缘清晰,右肺下叶肿块,边缘分叶毛刺,密度不均有坏死,叶间胸膜及侧胸膜牵拉凹陷,斜裂可见六个核桃,周围小叶间隔呈串珠状,纵膈淋巴结肿大坏死,边缘可见钙化,考虑双肺结核,右下肺腺癌。鉴别鳞癌。
晕晕菜: 
患者中年男性,以咳嗽 胸痛就诊
既往有肺结核病史
胸CT可见右肺下叶前基底段占位性病变,病灶周围可见周围不清毛玻璃影,病灶边缘可见分叶,呈膨胀性生长,纵隔窗可见病灶内呈偏心性坏死,增强扫描静脉期强于动脉期,纵隔隆突下淋巴结可见肿大坏死。
诊断考虑肺结核合并肺癌?
必有路: 
男性,咳嗽咳痰,无发热,以往结核并治疗中,两肺有结核背景,淋巴结增大钙化,右肺下叶病灶边缘模糊,内部坏死,坏死区边缘光整,实性部分强化均匀,血管通过截断
诊断:双肺tb+右肺下叶肺癌(鳞癌>腺癌)
血管,肿瘤指标高,坏死→鳞癌

一切∮随缘: 
双肺肺气肿伴纤维索条,结节影,以双上肺为主,部分可见支气管扩张,右肺下叶实性肿块,边缘毛糙,病灶较密实,支气管堵塞可能?平扫密度尚可,增强后不均匀强化,叶裂可见多个结节影,纵隔淋巴结肿大,考虑:肺癌伴陈旧性肺结核,肺脓肿伴陈旧性结核
金豆: 
双肺上叶多态,多灶,支持结核。右肺下叶肿块,边缘模糊,毛刺,胸膜牵拉,中央坏死,不均匀强化,似乎有壁结节,斜裂增厚,纵隔淋巴结肿大,二元,结核+鳞。鉴别结核+曲霉。
藏客: 
双上肺多发病灶,考虑结核(陈旧灶为主),右肺下叶前基底段占位,分叶、毛刺、胸膜牵拉,中央坏死,局部壁不光滑,前基底段支气管未见显示,不均匀强化,病灶远端阻塞性炎症,纵隔淋巴结肿大、融合。综合考虑恶性病变,鳞癌可能大。
冷冷雨: 
双上肺多发条索及斑片状,局部支气管扩张,考虑结核。右下肺病灶分叶毛刺,胸膜牵拉,不均匀强化,坏死。纵隔淋巴结肿大,坏死,考虑右下肺肺癌并淋巴结转移,鳞癌可能。
哦落花时节: 
中年男性,双肺多形性病变,双上肺纤维条索影及片状影,右肺下叶团块,有分叶,胸膜牵拉,毛刺,增强示坏死明显,坏死边界较清,也可能是容积效应,周围卫星灶,目测没看到明显支气管堵塞,一元考虑结核,二元考虑结核合并恶性肿瘤(鳞癌?)
空格: 
临床 中年男性,咳嗽盗汗、老结核史,血沉高、t试验阳性,结核应该存在,cyf高4倍,价值怎么样待验证。影像 :两上肺实变加粗大索条灶,两肺野弥漫粟粒,考虑结核应该问题不大。重点分析右下病灶:隆突下淋巴结肿大,但伴钙化,有边缘强化?淋巴结融合又是恶性征像?右下肺病灶冠状位总体方正,横断位总体三角型,长毛刺、近端也有渗出、坏死彻底、空洞壁光滑锐利,似有边缘强化?看做薄壁空洞?以上符合炎性病灶。   支持恶性的征像 :冠状位的空洞似有壁结节,偏心坏死。   综合 ,右下肺鳞癌(偏心空洞+cfy)+两肺结核。
段建民: 
中年男,既往结核,慢性病程,有炎症指标增高和中毒症状。ct双肺上叶索条牵拉支扩伴有树丫,考虑陈旧性结核。
右下叶前基地段肿块,不规则边缘,周围树丫和长短毛刺,内部小空泡,强化后环形强化,纵膈淋巴结肿大,并有不规则环形强化和钙化,总体考虑感染性病变,结核病。
右下叶肿块鳞癌待除外。


病理结果

最终结果    

回顾性讨论
刘纯老师
老年男性,既往有肺结核病史。影像双上肺病灶考虑陈旧性肺结核病灶,关键是右下肺团块影,从视频看,右下叶前段分支有堵塞,病灶局部膨隆,有分叶,周围有磨玻璃,但边界不大清楚,远端还有可以阻塞性炎征象,内部有偏远心端坏死,故考虑恶性可能性大。
结核,一般规律治疗的复发概率比较低,所以没有把右下肺的病灶优先考虑为结核
吴婧老师: 
结核和肺癌鉴别,因为淋巴结坏死疾病就这两种,坏死来看并不像小细胞肺癌。主病灶膨隆,增强后,壁厚薄不均,有壁结节感觉,首先是不能放弃的是肺癌这个诊断。具体哪一种还是主要看病理,建议支气管镜穿刺淋巴结的。
     
小知识点拓展
      
   cyfra21-1是细胞角蛋白19的可溶性片段,被认为是一种主要用于检测肺癌的肿瘤标志物,尤其对非小细胞肺癌的诊断具有重要价值。肺癌组织中,CYFRA21-1 含量丰富,尤其是在肺鳞癌中有高表达。肺炎、肺结核、肺气肿、哮喘等疾病一般不引起CYFRA21-1升高。良性肝病、肾衰竭可引起轻微升高,但很少超过10ng/ml。CYFRA21-1的血清水平与年龄、性别、吸烟与否和妊娠等无关。如果肺部存在不清晰的环形阴影,同时血清CYFRA21-1浓度>30ng/ml,原发性支气管肺癌的可能性非常高。

病例总结
   中年男患,亚急性起病,既往有结核相关病史,辅助检查CRP高于正常,血沉稍高,CYFRA21-1偏高。
  影像表现为 双肺上叶多发索条斑片影,可见支气管牵拉性扩张,考虑为陈旧肺结核纤维硬结灶。右肺下叶前基底段团块影膨隆生长,边界不清,呈分叶,毛刺,胸膜牵拉,支气管截断,中央区坏死明显,但未形成空洞,坏死区边缘光整,不均匀环形强化,隐约见壁结节。纵隔淋巴结肿大伴钙化,病灶远端见阻塞性炎症,结合CYFRA21-1偏高,应想到考虑恶性病变,鳞癌可能性大。
鳞癌的影像特点:
对应的基本影像过程
中央型(最多见):局部支气管壁的增厚 → 支气管的狭窄至截断,远端阻塞性改变 → 继续扩大 
周围型(约占1/3):小支气管阻塞截断→ 支气管方向类椭圆形肿块形成、迅速突破支气管→ 类圆形肿块形成,远端阻塞性肺炎不明显
“周围中央型”:长大了哪里是初始点难辨。周围型也是长在小叶或亚段中央。
鳞癌的影像分析(最大特点—破坏力)
 1.在鳞癌内部,基本没有支气管穿过
2. 在鳞癌肿块内部,很少有肺动静脉穿过
3. 破坏小叶间隔和胸膜的能力也强(栽桩)
4. 连肿瘤自身也破坏,坏死多
5. 支气管软骨不容易破坏
6. 鳞癌的钙化少见,须排除支气管软骨钙化
鳞癌的分叶有特点
与普通腺癌的差别:分叶明显,每一个分叶表面相对较圆顿,不像肺腺癌分叶表面有微分叶或棘突;
与神经内分泌癌的差别:相比小细胞及类癌/不典型类癌,鳞癌分叶明显。
周围区与中央区的差别:周围区大肿块分叶相对不明显,中央部分因分叉和阻挡显得不规则。
引用王老师的图文:鳞癌的表面一般只有分叶,没有分叶里面的微分叶。

鳞癌的收缩力
收缩力的来源:
鳞癌的上皮间质转化(EMT)明显
鳞癌阻塞引起的周围肺不张
收缩力表现:
 1. 胸膜凹陷,范围较宽
 2. 血管支气管近垂直进入,显示一定的血管
纠集 。其他收缩力表现不如浸润性腺癌强
 3. 肺不张引起的收缩
鳞癌的坏死特点
1. 坏死明显,范围大,多,散在
2. 坏死的边界清楚,坏死较彻底,“湖泊样”
3. 病理原因:巢团状生长,中央部分血供不足,并挤压破坏肺血管
4. 壁结节多,是坏死区融合的结果
5. 空洞位于远侧的原因:周围区坏死重
6. 周围区坏死壁常很薄
坏死灶的鉴别
一、炎性病变:
1.结核  整片、均匀薄壁、肺门侧空洞、支气管引流、缺乏壁结节
2.脓肿  圆形、边缘整齐、三层结构(坏死周围有强化环)、壁上一般无坏死
3.隐球菌  常为多发结节,单个中央坏死灶
二、低分化腺癌:坏死灶常单个不规则不彻底,界限不清
知识拓展
一、肺鳞癌的基本情况
1、肺鳞癌起源于气道粘膜上皮
2、中央型多
3、周围型约占1/3
4、男性比例高(舟山组24:1),与吸烟密切相关
5、年龄一般>50岁(长期)
6、发病率约占肺癌的30%
二、基本病理过程
最易发展成息肉或无蒂肿块,主要位于支气管腔,易阻塞管腔引起阻塞性肺炎.有时鳞癌也可发展成周围型,倾向于形成中央性坏死和空洞。
三:基本症状:
1.发热:
以此首发症状者占20%~30%。肺鳞癌所致的发热原因有两种,一为炎性发热,多在38℃左右,很少超过39℃,抗生素治疗可能奏效,但因分泌物引流不畅,常反复发作;二为癌性发热,多由肿瘤坏死组织被机体吸收所致,此种发热抗炎药物治疗无效,激素类或吲哚类药物有一定疗效。
2.咳嗽
咳嗽是最常见的症状,以咳嗽为首发症状者占35%~75%。肺鳞癌所致的咳嗽可能与支气管黏液分泌的改变、阻塞性肺炎、胸膜侵犯、肺不张及其他胸内合并症有关。对于吸烟或患慢性支气管炎的患者,如咳嗽程度加重,次数变频,咳嗽性质改变如呈高音调金属音时,尤其在老年人,要高度警惕癌变的可能性。
3.痰中带血或咯血
痰中带血或咯血亦是肺癌的常见症状,以此为首发症状者约占30%。由于肿瘤组织血供丰富,质地脆,剧咳时血管破裂而致出血,咳血亦可能由肿瘤局部坏死或血管炎引起。咳血的特征为间断性或持续性、反复少量的痰中带血丝,或少量咯血,偶因较大血管破裂、大的空洞形成或肿瘤破溃入支气管与肺血管而导致难以控制的大咯血。
4.胸痛
以胸痛为首发症状者约占25%。常表现为胸部不规则的隐痛或钝痛。
关于治疗:肺鳞癌早期常引发支气管狭窄,或阻塞性肺炎。肺鳞癌生长缓慢,转移晚,手术切除机会较多,5年生存率较高,肺鳞癌对放疗、化疗不如小细胞未分化癌敏感。
1.化疗
肺鳞癌第一个周期化疗较敏感,治疗作用可达25%,第二个周期化疗可达10%,三个周期以后作用基本为零。化疗会抑制骨髓造血系统,主要是白细胞和血小板的下降,可以应用粒细胞集落刺激因子和血小板刺激因子治疗。化疗分为治疗性化疗和辅助性化疗。
2.放疗
放疗对小细胞肺癌疗效最佳,鳞状细胞癌次之,腺癌最差。鳞状细胞癌对射线有中等度的敏感性,病变以局部侵犯为主,转移相对较慢,故多用根治治疗。放疗与化疗的联合可以视患者的情况不同,采取同步放化疗或交替化放疗的方法。
3.外科治疗
外科治疗是肺鳞癌首选和最主要的治疗方法,对于早期的肺鳞癌患者可以达到治愈的目的。
参考文献:《病理影像对照---肺鳞癌》王兆宇老师专题讲座
                 《肺鳞癌的病理影像学》 王兆宇老师专题讲座
           《实用内科学》第十四版-原发性支气管肺癌
    
编辑:邸立群
审核:徐  晓
致谢:湘西州医院感染科 洪桥爱




到顶部