【每日晨读】结核千千面


     



           
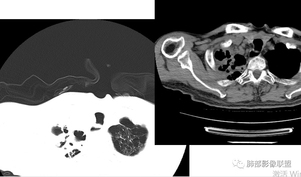
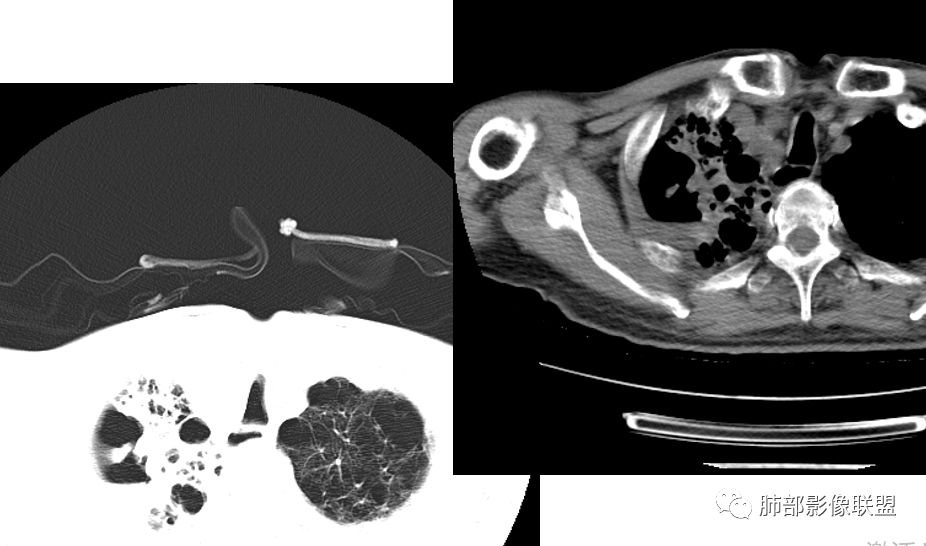
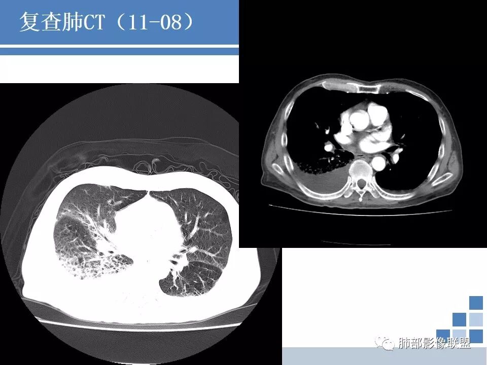
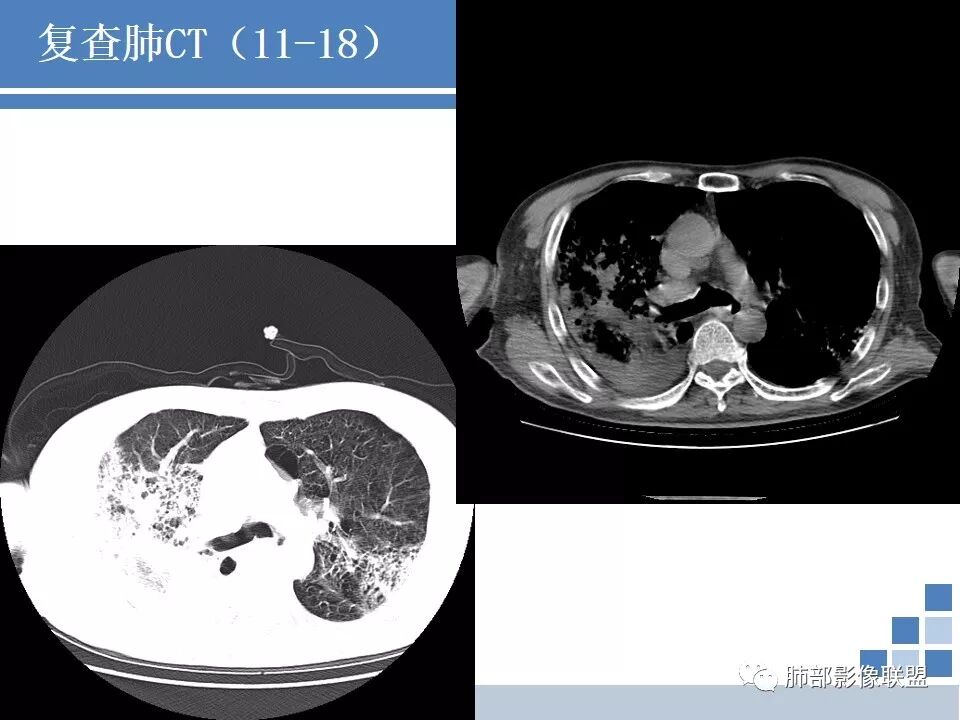
                    病例资料





































微信群精彩讨论
小酸:
老年人,男女不详,吸烟史不详,既往痴呆,未提供糖尿病病史,未提供肺气肿病史,从CT看,左肺有肺大泡和肺气肿,所以,第一感觉是基础存在肺气肿,右肺考虑肺气肿合并感染,下面就是责任菌分析,急性起病,低氧血症,低钠,低蛋白血症,血糖稍高,白介素6增高,PCT增高,凝血功能异常。亚胺培南无效。这个可以去掉大部分的阴性杆菌,后续病情仍然持续进展。所以不典型病原体感染:1、NTM;2、曲霉;3诺卡。感觉上不是结核,觉得进展比较快。
甄德强:
这个病变短期发展这么快,还是考虑感染,结核合并感染。
三个石头:
金葡菌以小时和天进展,曲霉菌以周、月进展,肺克也比较凶猛。前两个不像,难道是肺克?其他还有啥比较凶猛的?结核这么快的联盟有两个病例了。
没意见:
结核基础,气肿型肺炎,抗生素治疗效果差,短期进展,高毒力肺克、金葡。
小酸:
肺克的话亚胺培南理论上有效的,后来右肺有了,还是考虑气道播散了后来。所以,我还是站非典型病原体。
FeNo:
感染有吧,TB合并感染?合并肿瘤?CEA这么高,一般意义较大啊。发热、进展快,PCT高,肿瘤指标高,结核干扰素阳性,肺气肿背景,考虑TB合并感染,亚胺培南治疗无效,考虑未覆盖或耐药。
杨泽锋:
我只知道是在结构性肺病的基础上出现了感染性性病变,PCT升高但低于0.5,而且白细胞不高,所以考虑病毒感染,进展比较快,到后来出现了ARDS。感染性病变对放射科医生来说太难了,还是听各位老师分析比较好。
大雄:
晨读老年男性?
临床:发热咳嗽一周,血沉、CRP高,低氧血症,结核伽马干扰素阳性。抗生素治疗无效;
CT:肺气肿肺大泡背景,右上肺磨玻璃及实变影,10天及20天复查影像明显进展至两肺更大范围,伴右侧胸水。
考虑:感染性病变,结核可能,建议痰检。
Lotus:
感觉突破口在于空洞的形成,亚胺培南对革兰氏阳性、阴性的需氧和厌氧菌具有抗菌作用。抗菌谱包括链球菌、金黄色葡萄球菌、大肠杆菌、克雷伯氏杆菌、不动杆菌部分菌株、流杆嗜血杆菌变形杆菌、沙雷杆菌、绿脓杆菌等。亚胺培南无效是不是并不能排除这些菌?猜个真菌吧。
采莲:
老年男性病人,有肺气肿、肺大泡基础,急性病程,血象高,低蛋白血症,右上肺大片蜂窝实变影,逐渐进展实变空洞(空洞有可能是肺大泡感染),胸腔积液增多,左肺也有少许蜂窝斑片影,还是考虑感染性病变,其实这种在临床很常见,病原体有时候培养不出来。我还是觉得杆菌感染为主,肺克?大肠杆菌等吧。亚胺培南治疗20天效果不大,不知道是病人症状感觉无效,还是影像学进展,症状有好转。有没有奴卡菌感染可能?
一片树叶:
1.基础病;2.部位右肺上叶为主,注意观察病变形态及强化特点;3.短期进展;4.右侧少量胸腔积液,无纵隔增大淋巴结。
薏米:
患者结构性肺病基础上合并感染,常规阴性杆菌为多,铜绿假单胞菌多见,肺克,大肠埃希菌,但原则上美罗应该覆盖,但该患者病变进展,患者血糖高,左肺播散,结核?但结核进展这么快的见的少,再有真菌不能除外。
王江涛:
老年男性患者,急性起病,有发热。白6、CRP、PCT都升高,临床符合感染性表现。影像双肺慢支肺气肿,右肺上叶多发高密度影,后面两次复查,病变短期较前进展,并且右侧出现胸水。综合考虑感染,结核待排。肿瘤暂不考虑。
一切∮随缘:
病例分析:双肺肺气肿,肺大泡,右肺上叶大片实变及空洞影,空洞壁光滑,部分有液平,病变自胸膜下向内,胸膜增厚,右肺下叶实变伴有空洞,右侧胸水,右肺门淋巴结肿大 ,抗炎治疗后变化不大,临床起病一周,有发热,血沉及降钙素高,肿瘤标志物稍高,结核干扰素阳性,首先考虑结核,鉴别细菌(空洞有液平)。
那个人:
肺气肿基础上肺部感染,老年,有痴呆病史,可能存在隐性误吸可能,碳青霉烯治疗效果差,病灶进一步加重,出现空洞,空洞内出现液平,空洞好像还有分隔。阴性菌?病情似乎进展不快,只是影像改变。阳性菌?抗感染无效,PCT不高,需要排除。结核,干扰素试验阳性,影像高度怀疑,重点排除。
王开金江津中心医院呼吸科:
晨读,老年患者,发热,咳嗽,咳痰,白细胞及中性粒升高不明显,单核升高,血沉中度升高,上肺起病,实变,疑似空洞,胸膜增厚,有纤维条索,头孢类及亚胺培南无效,结核r干扰素阳性,考虑结核,但进展快,需进一步找病原证据。
秦化君:
晨读病例:双肺野透光度增强,胸膜下可见肺大泡。右肺上叶病灶三次影像对比病灶增大增多并出现空洞,液平。左肺上叶出现淡片状影,边缘模糊。右侧胸腔积液。考虑感染性病变,结核合并感染。
徐飞:
肺气肿,肺大泡背景,一周前出现症状,右肺上叶网格状及条片状病变,渗出为主。抗炎一周复查,范围加大,右侧胸水增多。再次复查,左肺上叶尖后段亦出现高密度影。增强扫描右上肺病变实性部分似乎没有强化。结合临床实验室检查,考虑结核可能性大。
明日の路过:
老年男性,起病急,感染指标高,肺部CT示肺气肿征象,双肺见肺大疱,感染病灶。予以碳青霉烯抗感染病灶出现明显进展,出现虫蚀样空洞、气液平。考虑患者细菌感染合并结核可能性大。但是结核进展可能太快了,需要排除真菌。
玫:
晨读:右侧胸腔积液,右肺上叶蜂窝状改变加实变,可见空洞形成并见液平,左肺见斑片状及条索状高密度影,左肺下叶呈蜂窝状改变,双肺气肿及肺大泡,考虑感染性病变,不除外结核。
毛勤香:
晨读:老年男性,肺气肿肺大疱背景,第一次右肺上叶像气肿性肺炎,治疗后无效,出现类空洞(或肺大疱并感染)伴液平,病情短期迅速进展,左肺也出现病变,右侧胸膜腔少量积液,淋巴结肿大不明显,考虑感染性病变,具体病原学就听各位老师分析了。
 蕊:
晨读:肺气肿肺大疱基础,有慢性病,病灶进展快,主沿胸膜下分布,胸腔积液出现,实变和蜂窝改变,空洞形成并伴液平,考虑结核合并细菌感染,至于鉴别聆听各位老师分析了。
阳光:
老年男性,急性起病,泰能抗炎无效,病灶迅速进展,白细胞正常,CRP高,考虑气肿型肺炎,病原菌考虑非典型或病毒。
丽:
晨读,发热咳嗽,老年男性,肺气肿背景,右肺片状高密度影及实变密度影,实变影内可见气液平面,伴多发蜂窝状改变,抗炎复查后病变明显进展,左肺上叶见相似病灶,右侧胸腔积液较前增多,首先考虑感染性病变,结核间质改变可能大,建议结合相关检查。
傅昌瑜:
12.30晨读:男性,有老年痴呆史(程度如何?),咳嗽咳痰发热1周,查体见喘息貌。血气分析:缺氧明显,过度通气,肿瘤标记物:CEA、CA199升高;白介素6升高。10.29第一次胸部CT:肺气肿、肺大泡背景,肺气肿背景感染改变,未见明显肿块及结节影,所以上面肿瘤标记物升高是坑?还是肺外有恶性肿瘤?抗感染治疗症状无改善,复查CT见病灶进展。临床最怕碰到这种病人。考虑感染性病变。结构性肺病相关性感染病原体:环境分枝杆菌、丝状细菌、烟曲霉、葡萄糖非发酵菌……太难了,敬候各位老师的精彩分析。
飞鹰行动:
晨读病例,老年人,右肺上叶病灶,治疗后出现空洞,内见液平,周围多发蜂窝状阴影,右侧胸腔积液,纵隔,肺门未见增大淋巴结,考虑感染性病变,金黄色葡萄球菌感染,其次结核。
流心明智:
晨读:老年人,咳嗽、咳痰伴发热1周。中性比、白介素6、血沉、CRP、PCT高,低氧血症,结核伽马干扰素阳性,肿标多项阳性。广谱抗生素治疗无效。CT:刀鞘样气管,肺气肿肺大泡背景,右上、下肺大片实变影伴蜂窝,进展快,沿胸膜下分布,有重力分布趋势,胸膜阻隔,10天及20天影像快速进展至两肺更大范围,伴右侧胸水,左上肺也出现病灶。常规考虑:感染性病变,结核?低蛋白明显,奴卡不除外。鉴别:肺炎型肺Ca。
王秀仙:
晨读:双肺肺气肿背景下右肺蜂窝状改变加实变,可见空洞和液平,左肺也见片状及条索状高密度影,左肺下叶呈蜂窝状改变,双肺肺大泡,考虑感染性病变,气肿性肺炎,不除外结核。
食客:
老年,肺气肿,右肺斑片、蜂窝高密度影及实变密度影,可见气液平面,短期复查后病变进展,右侧胸腔积液,首先考虑感染性病变,结核?恶性?
亚子(潘零星平一人医):
晨读:老年人,咳嗽、咳痰伴发热1周。中性比、白介素6、血沉、CRP、PCT高,低氧血症,结核伽马干扰素阳性,肿标多项阳性。广谱抗生素治疗无效。CT:刀鞘样气管,肺气肿肺大泡背景,右上、下肺大片实变影伴蜂窝,进展快,沿胸膜下分布,有重力分布趋势,胸膜阻隔,10天及20天影像快速进展至两肺更大范围,伴右侧胸水,左上肺也出现病灶。肺内病灶进展快,考虑感染性病变,气肿性肺炎,肺间质纤维化,胸腔积液是否与心功能不全相关?不考虑结核。
小飞:
晨读:老年人,肺气肿背景,右肺上叶斑片、空洞、索条,治疗后范围增大,出现液平,周围多发蜂窝状阴影,右侧胸腔积液,纵隔,肺门未见增大淋巴结,考虑结核合并其它感染!
恶默默:
老年患者,急性起病,有发热。白6、CRP、PCT、乳酸都升高,呼碱临床符合感染性表现。影像双肺慢支肺气肿,右肺上叶多发高密度影,后面两次复查,病变短期较前进展,并且右侧出现胸水。综合考虑感染,金葡?
尘缘:
只能初步考虑肺气肿基础上的感染性病变,抗生素治疗无效,进展迅速,喘息,发绀,所以先考虑侵袭性曲霉或结核,其他待排吧。
自信人生:
今天有点难,不看那么多化验结果,直接干的话往结核方向考虑?老年,刀鞘样支气管,肺气肿肺大泡,多发纤维索条及结节。强力抗生素没效果,另外就是真菌感染方向。
水晶石头:
晨读病例:老年,咳嗽、咳痰伴发热一周,血沉、C反应蛋白及降钙素原升高,低氧血症,结核伽马干扰素阳性,低钠、低蛋白,肿瘤标志物部分升高,抗生素(碳青霉烯)治疗无效。胸部CT:肺气肿肺大泡背景,右上肺条索、磨玻璃、实变影,抗感染复查影像明显进展至两肺更大范围,伴右侧胸水。综合考虑:肺气肿基础合并感染性病变,诺拉可能大。鉴别耐碳青霉烯阴性杆菌或结核。
醒梦如一:
晨读:肺气肿背景,有肺蜂窝状改变,有液平,胸水,增强好像强化不明显;临床:急性咳痰发热起病;首先考虑阴性杆菌感染,泰能一点用都没有,强化不明显,合并结核?或者耐碳氢酶稀的菌株?社区来源的感觉可能性小点。
青鸟~:
晨读病例:老年男性,急性起病,以咳嗽、咳痰、发热为主要临床表现,血象高,血沉快、伽马干扰素释放试验阳性,右肺纤维条索状网格、小结节,复查病灶增多迅速、变实,右肺病灶见不规则空洞、液气平面,右胸腔积液,综合考虑感染性病变,结核合并金葡菌感染?鉴别NTM、霉菌感染、诺卡菌病。

                       南边老师分析
    肺气肿背景,病灶进展明显,有液气平面,支持细菌感染。后面是否合并心功能不全?而且最后一次左侧也有,但是有重力作用。而且胸水,右侧明显,我怀疑是否有心功能不全。至于结核,要考虑,不敢排除,因为第一次的病灶位置在右上叶,而且很多条带状。肺气肿合并感染的特点:难进、难出。

                              病例结果结果



对结果的后续分析
初学者:
这个还是符合结核。念珠菌一般不会肺炎,除非血播,目前这样认为。
如果没有结果,分析是这样:这个人肺气肿基础,出现大片实变,那符合气肿性肺炎,头两次影像上还看不出结核来,但是白细胞不高,中性粒仅仅高一点的,然后血沉高,R干扰素高,抗感染不好。然后这个人有老年痴呆,初期可能会考虑这个人会不会只是一个细菌性肺炎呢,进展快。入院常规给与抗细菌没有问题。但是到11.08号影像出现一些端倪。一般气肿性肺炎虽然说可能好的不那么快,但是给与了亚胺培南这么高级的药反而进展,再加上血常规和一些实验室检查,好像普通细菌感染就有一点说不过去了。到第三次,出现空洞了,和肺气肿肺炎的气肿已经不一样了,气肿随着实变增加,里面应该会填实才对,但是出现空洞,这个说明不再是气肿里面的,而是真的空洞,而且还是那种肺尖的、光滑、有壁结节的空洞。

初学者:
增强后里面密度整体低,比较支持坏死,一般炎症强化比较高,会有毛细血管新生,这个强化太低,提示坏死性炎症。这个还蛮符合干酪样坏死,实验室也支持。结核我感觉肯定有。



没意见:
泰能都上了,培养不出来细菌很有可能。痰里念珠菌没啥意义。这个人低蛋白血症,全身情况估计很差,又有结构性肺病,如果细菌感染抗感染治疗不佳也可能的。炎性指标不高不是排除细菌感染唯一标准。
醒梦如一:
念珠菌性肺炎很少,但有,前面有次呼吸界的PCCM直播病例有一例念珠菌肺炎,这例念珠菌定植还是感染如何鉴别?有液平,考虑同时混合细菌感染吧,结核的干酪性坏死会有液平吗?
初学者:
确实,可能也不能排除混合细菌。


编辑:靳文剑
初审:赵永兵
终审:蔡笑燕
病例提供者:新疆职业病医院  黄超

到顶部