【每日晨读】塑形生长的胸膜肿块


01
病例资料
      















02
精彩讨论
一切∮随缘:
左肺下叶胸膜下肿块影,宽基底与胸膜相贴,尖端指向肺门,边缘平直光滑,密度均匀,增强后渐近性强化,考虑良性,鞘瘤,SFT,纤维瘤,血管瘤
必有路:
青年人,骨头破坏,低度恶性可能,渐进强化,含纤维成分,定位胸膜,间叶肿瘤,韧带样纤维瘤,IMT或者sft(恶)
大雄:
定位肺外,胸壁来源>胸膜
间叶来源梭性细胞肿瘤可能,良性或交界性、低度恶性
炎性肌纤维母细胞瘤、韧带样纤维瘤、间皮瘤、SFT
王秀仙:
左侧胸腔后壁肿块,边缘光滑清晰,沿斜裂生长,密度均匀,明显强化,相邻肋骨受侵呈锯齿状改变,胸膜下脂肪间隙消失,考虑壁层胸膜来源,神经鞘瘤?神经纤维瘤?
看图说话:
左胸壁肿块,边缘膨隆光滑,密度均匀,邻近肋骨增粗骨质破坏,硬化,渐进均匀强化,考虑恶性,SFT,韧带样纤维瘤,鉴别软骨母。
位移:
左肺肿块宽基底与胸壁相连,沿斜裂生长,尖端指向肺门,边缘清晰,肋骨破坏,增强延迟强化,定位胸壁来源   恶性肿瘤,高级别神经鞘瘤A型,炎性肌纤维母细胞瘤、间皮瘤。
琦遇:
肺外没有问题,来源于胸膜、胸壁或肋骨(神经源性、血管源性)   定性为恶性   胸膜或者胸膜腔内来源的有间皮瘤、恶性SFT、肉瘤(纤维肉瘤、脂肪肉瘤、滑膜肉瘤)、淋巴瘤  胸壁、肋骨、肌腱来源(骨肉瘤、恶性鞘瘤、副节瘤、神经纤维瘤、韧带样纤维瘤、血管肉瘤等)综合分析考虑范围有纤维肉瘤、滑膜肉瘤、恶性SFT、恶性鞘瘤
空格:
青年男性,胸痛月余。老规矩,吃不准先定性:总体偏向良性,理由:1 有被肺叶塑形的感觉 2 临近骨皮质增厚,针状骨膜反应,但也有向肋间隙钻的感觉。定位,肺外没问题,横断和矢状位看病灶中心不在斜裂,而且有肋间隙受累,来源胸壁可能大。病灶特点 1 青年 2 高强化 3 有侵袭但偏良性,4 跨多肋。最符合可能是DF了。
傅昌瑜:
青年男性,左肺下叶胸膜下肿块影,宽基底与胸膜相贴,边缘平直光滑,密度均匀,强化明显,见胸膜尾征,定位肺外,总体考虑良性病变,但肋骨见锯齿样低密度,也存在恶性可能:SFT、神经鞘瘤、胸膜间皮瘤?
Dr. xiao:
另外胸膜肿瘤一般是转移瘤、间皮瘤、孤立性纤维瘤、各种肉瘤(滑膜肉瘤最多见,12/23),虽然都可以出现胸壁的侵犯,但比例非常低,胸膜肿瘤向胸腔内压迫肺组织又软又舒服,何必去碰胸壁这个硬骨头。这个病变恶性程度不会很高,一般良性或低度恶性胸膜肿瘤,主要是孤立性纤维瘤,在体积比较大的时候才会出现胸壁的侵犯,这个肿瘤的体积可能还达不到
弹指之间:
青年男性,胸痛,定位:胸膜(脏层胸膜起源可能大),不支持点:肋骨受侵蚀;特点:宽基、伸入叶间裂间隙,张力不大,有强化(静脉期为主);定性:偏良或低度恶性,诊断:1.纤维来源:DF>SFT(动脉期强化不够);2.神经源性:神经纤维瘤待排。
1
03
南边老师分析
南边:
青年男性,胸痛月余
占位,胸痛,高度警惕累及胸膜或胸壁
叶裂有变异,但病灶骑跨在叶裂上,外侧宽基底与胸壁相连,呈D子征

胸膜尾

斜裂无偏移,病灶两侧膨隆,下缘背侧凹陷


病灶附近骨膜增厚、钙化


病灶明显突入胸壁,位于胸膜外

如果叶裂来源,附近胸膜应该朝外推移,不是朝内侧凸起

南边:
不是来自叶裂
肋骨改变明显,增生为主,提示慢性,偏良性,附近间隙显示欠佳,明显强化,倾向于胸壁来源神经源性肿瘤,其次胸膜SFT
其次小圆细胞来源肿瘤
纤维瘤要考虑
1
04
病理结果
晨读结果:孤立性胸膜纤维瘤
1
                     病例分析
影像与临床:
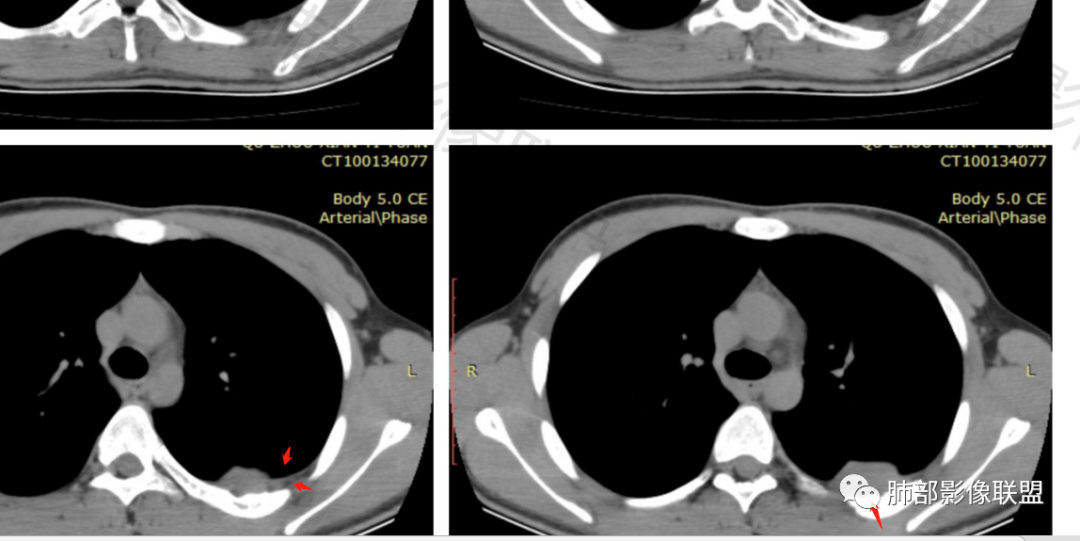
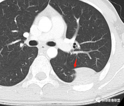
1.青年男性,胸痛半月。
2.左侧叶间裂后缘及胸壁区不规则块影,肺组织一侧边缘光整。密度不甚均匀,未见钙化,不均匀强化,未见明确支气管及肺血管影进入,也未能显示肋间动脉进入。
3.块影有沿胸膜生长蔓延趋势,可见胸膜尾征。胸壁侧边界不清,所经两处肋骨内侧缘骨皮质吸收破坏,局部硬化,边界可分辨。肋骨未见变形膨胀或葱皮样骨膜反应。注意没有胸水。
4.与双肺未见病灶。双肺门及纵隔未见肿大淋巴结。
综合分析:
1.病灶同侧胸痛症状,强烈提示病灶侵及壁层胸膜或胸壁。
2.块影沿胸膜生长蔓延,胸膜尾征,肺组织一侧边缘光整,未见支气管及肺血管影进入等也提示病灶位于肺外。
3.块影胸壁侧边界不清,肋骨破坏(肺单纯外压),提示具有一定侵袭性。肋骨未见膨胀,局部硬化,未见明确层状骨膜反应等,尽管骨外包块较大,即便患者年轻也不支持骨尤文肉瘤(Askin 瘤或PNET等),尤文肉瘤不具成骨能力。
发生部位以及未见Codman三角等也不支持成骨肉瘤。
缺少特征性钙化影,不支持软骨肉瘤。
事实上,这类特定方向上的多骨受累,通常不支持骨原发性肿瘤。
4.块影未沿肋间神经方向走行(肋骨神经沟),不大符合一般胸壁神经鞘瘤生长特征。
5.患者年轻,病灶合理的解释应为胸膜或胸壁间叶组织的具有侵袭性肿瘤,如梭形细胞瘤,纤维组织来源肿瘤,滑膜肉瘤等等。
本例应长期追踪。
05
孤立性纤维瘤
01
定义
孤立性纤维性肿瘤是一种少见的梭形细胞软组织肿瘤,近年来认为CD34阳性的树突状细胞,全身软组织均可发生,尤以胸膜多见,腹腔、肝、肾脏、眼眶、上呼吸道等亦有报道;胸膜孤立性纤维瘤为少见的梭形细胞肿瘤 ,可发生于任何年龄,5~87岁均有报道,但以中青年多见,女性略多。肿瘤生长缓慢,临床症状无特异性,主要与肿瘤的部位、大小有关,部分可表现出副肿瘤综合征:关节痛、肥大性骨关节病、特发性低血糖等。
02
病理
肿瘤多呈类圆形或不规则形,多数有完整包膜。镜下:肿瘤细胞呈梭形,细胞排列方式多样,呈条束状、编织状、漩涡状等;细胞密集区及细胞稀疏区相间分布,细胞间可见不同程度的胶原纤维沉积,间质富含分支薄壁血管,并可形成典型的“血管外皮瘤样”区;良性病灶细胞异型性较小,核分裂象少见;恶性病灶细胞密度增加,细胞异型性明显,核分裂象>4个/10HPF。CD34是SFT最重要的特异性免疫标志物,文献报道阳性率为79%-100%,部分恶性病灶可不表达CD34。
03
影像表现
1)形态、大小:一般为单发,较小者呈类圆形或椭圆形,较大者呈浅分叶或不规则状;大小差异较大,直径1-25cm(有2个高峰期,大多数肿瘤直径<5cm,或者>10cm),肿瘤的大小与发生部位、病程长短有关;
2)生长方式:“铸型”生长;
3)密度:CT平扫肿瘤多呈等或稍低密度;肿瘤较小者密度均匀,较大者内部密度常不均匀、见多发灶性或不规则星芒状中心低密度区(细胞稀疏区含有丰富胶原纤维易发生黏液样变性或囊性变),钙化少见。
4)信号:MRI T1WI常呈等信号,亦可呈低信号或者混杂信号;T2WI信号混杂多样,信号强度随着胶原纤维含量的增高而减低,多呈混杂等或稍高信号(高信号反映病灶黏液变性、坏死区,稍高信号反映病灶细胞密集区,低信号区反映胶原纤维丰富区);DWI多呈为等低信号(可能与病变含纤维成分多相关)
5)肿瘤的强化程度及方式:增强扫描肿瘤早期实性成分呈不均匀斑片或斑驳样强化,多呈“地图样”明显强化,强化程度不一,可呈轻度-显著强化,静脉期持续强化,多期增强及动态增强扫描均呈“快进慢出”型强化,且强化范围逐渐增大并趋均匀。肿瘤由肺动脉或支气管动脉供血,内部及周围常见多发粗细不等强化或流空肿瘤血管影,呈蛇纹血管征。
6)其它:多具有明显较完整的纤维性包膜,文献报道包膜出现率约50%。中枢神经系统的孤立性纤维瘤多起源于硬脑膜,主要位于大脑镰、颅底硬膜及天幕区,病灶多以宽基底连于脑膜,增强后邻近硬脑膜可见明显强化,即“脑膜尾征”。

E
N
D

编辑:邢瑞欣
审核:蔡笑燕  徐  晓
病例提供:曲周县医院影像科 徐超


到顶部