【每日晨读】出乎意料的胸膜肿块



病  例  展  示









































微信群分析(摘选)
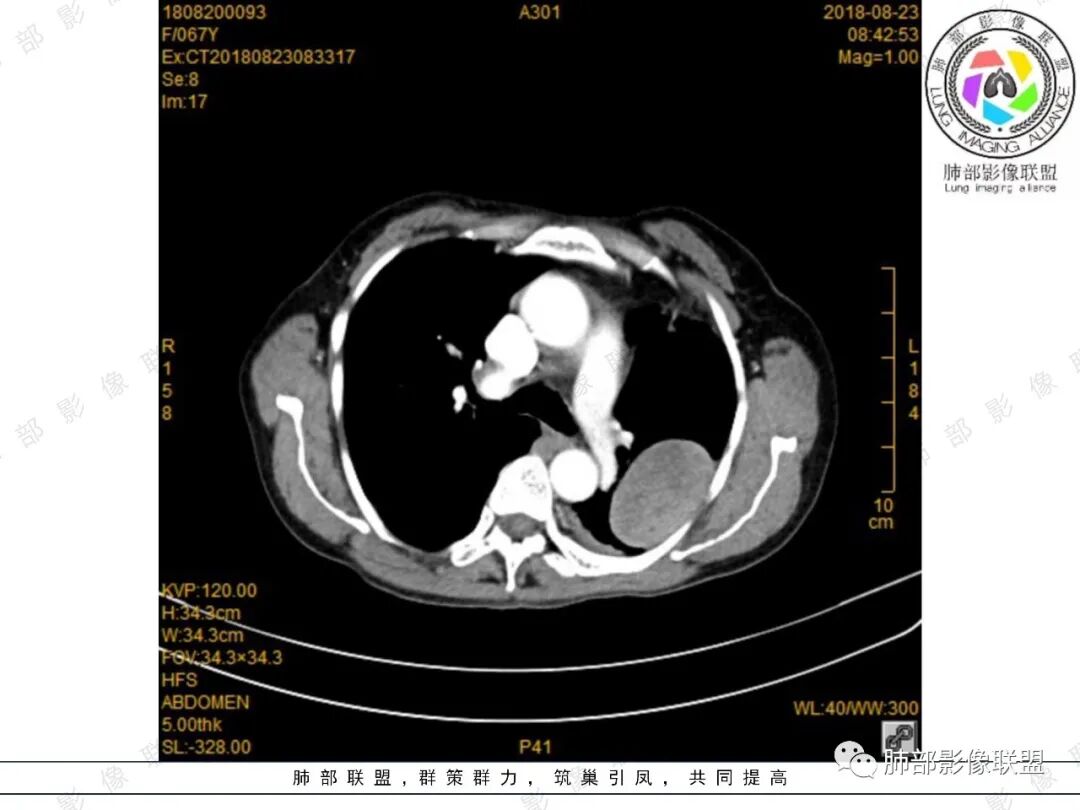
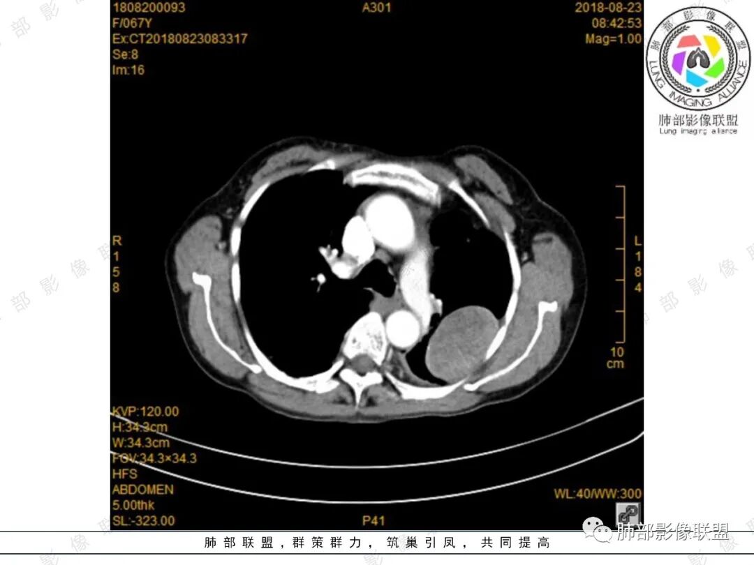
穿越七海的风:肺外,脾大,脾内软组织肿块,髓外造血。
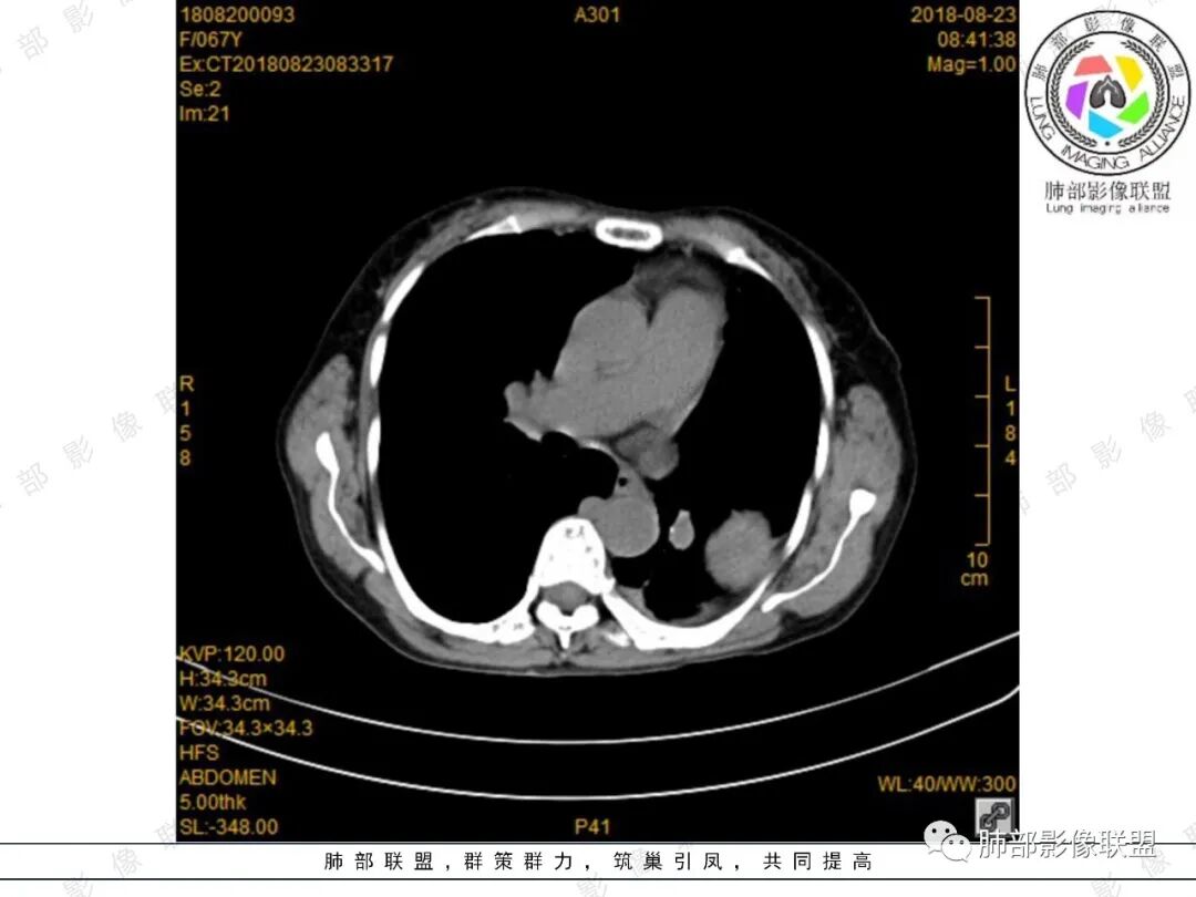
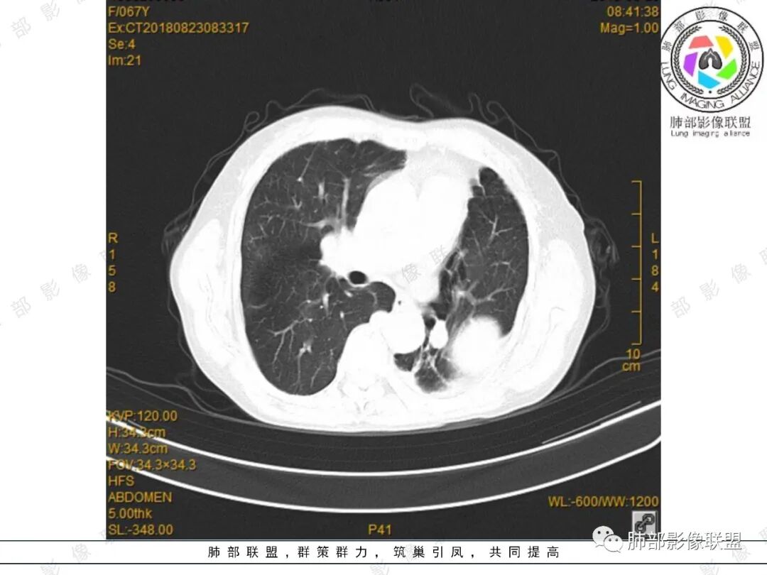
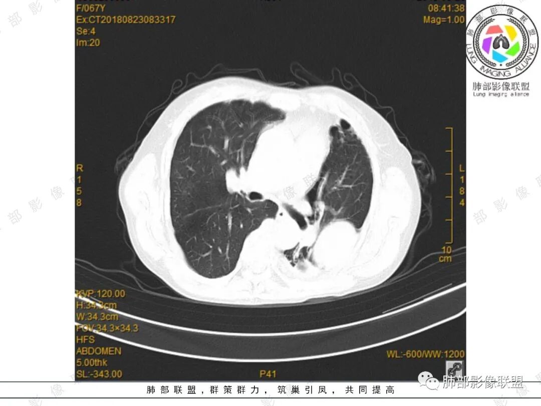
采莲:中年女性,有便血病史,左肺上叶椭圆形肿块,边缘光滑,长轴与胸膜平行,与胸膜宽基底相连,内部密度较均匀,有低密度区,密度较高,强化不明显,脊柱旁胸膜增厚,有便血病史,不知道是不是慢性,考虑来源胸膜,髓外造血?脾脏不会看。其他神经源性肿瘤?
大雄:增强确实看的有些奇怪,胸部的无强化,脾内的轻度强化。如果是EMH,按理有强化的,除非全部脂肪变性了。虽然不是EMH好发位置,但也可以。淋巴瘤强化也不符合,胸部的这个形态也不太像淋巴瘤。如果只是单纯脾大,那么孤立的EMH也很少见。
小强:脾大,延迟强化均匀,无明显占位,左胸膜下孤性增厚,局限性膨大,强化不均匀,先考虑EMH,不太支持的是临近骨质没有膨大。
看图说话:左肺肿块,边缘光滑,密度不均匀,不均匀强化,胸腔少量积液,纵隔肿大淋巴结。脾脏增大,见肿块影,不均匀强化,一元论,考虑淋巴瘤,转移瘤。
大雄:定位肺外  无明显强化  有坏死或囊变   脾大
胸膜来源:SFT肋间神经来源:神经鞘瘤胸壁来源:孤立EMH(少见)
水晶石头:患者老年年女性,便血两天就诊,查NSE稍升高。胸部CT:左肺上叶类圆形肿块,边缘光滑,边界清楚,长轴与胸膜平行,与胸膜宽基底相连,内部密度较均匀,有低密度区,强化轻中度强化。综合考虑来源胸膜来源,胸膜孤立性纤维瘤可能大。鉴别其神经源性肿瘤。
月亮圆了!:左肺上叶胸膜下肿块,宽基底与胸膜相连,边缘清晰,局部肺组织受压,支气管显示不佳,平扫密度不均匀,增强后,可见轻度不均匀强化,纵隔光滑,无分叶,无毛刺,周围组织无牵拉,收缩,内部有不均匀低密度,脾脏明显肿大,脾内多发类圆形低密度影,增强后,轻度强化,有便血,考虑可能:1:淋巴瘤2:脾梗死。
傅昌瑜:定位肺外,定性因为有脾脏占位有点困难,一元考虑恶性肿瘤并脾脏转移(神经内分泌肿瘤?),二元的话,胸部病灶考虑神经源性肿瘤,鞘瘤可能性大,SFT待排。
杨丽:老年女性,宽基底及胸膜掀起,考虑肺外病灶,供血动脉看不太不清,中等不均匀强化,首选sft;脾大,较均匀强化肿块,一元论考虑转移机会大,也不好除外二元论,淋巴瘤?
King:很有意思,能想到髓外造血的老师水平高。首先定位胸膜可能大,倾向良性,渐进强化,脾脏多发占位,渐进延迟强化,两者强化有类似之处,倾向一元论。病灶边缘斑点钙化,淋巴瘤少有。消化道肿瘤转移,胸膜孤立转移少有。恶性孤纤伴脾脏转移,也少。贫血,髓外造血,可以,但胸膜相对少见。副脾,少见部位,强化度差点。总之一元论的话像个少见病变,难以确定,就排个序吧。一元:髓外造血>副脾>淋巴瘤。二元:孤纤+血管瘤/错构瘤.
joyzhy:脾脏占位增大,特点延迟期强化和脾脏一致,考虑血管瘤。胸部占位,考虑肺外,鞘瘤或髓外造血。
王薇老师:
患者既往没有贫血病史,只是血像检查结果提示轻中度贫血,当时不清楚是否与便血相关,另外在直乙状结肠交界处还有绒毛状管状腺瘤伴高级别上皮内瘤变。
尘缘:从临床角度来说,只有这个一元髓外造血最能解释所有影像与症状。髓外造血的造血功能随周围贫血情况而改变,治疗缓解后,逐渐变性为不造血的脂肪,纤维成分等组织。所以髓外造血,还是必须考虑在第一的,毕竟有贫血,有消化道出血,有脾脏改变,这个把血液系统相关疾病不考虑在第一个,是说不过去的。临床肯定要找出血原因,贫血原因,至于其他,肯定要鉴别,但都是后一步的事了。
答  案  揭  晓

髓外造血(EMH)
一、EMH病因及发病机制
髓外造血(EMH)是一种多能干细胞异常增殖生成血细胞的方式,是骨髓造血功能不足的生理性补偿。
EMH可发于20~89岁,男与女的比例为5:1。属于良性病变,对邻近组织主要为推压改变,其机制可能为:(1)胚胎时期具有造血功能的器官中的间叶细胞,为补偿骨髓造血功能的不足,重新恢复造血。(2)循环于患者周围血中的造血细胞,在特定条件下归巢于胚胎时期有过造血功能的器官,建立新的造血灶。(3)反应性增生:骨髓造血组织机能不足时,处于休眠状态的造血干细胞同时被异常刺激,产生EMH。常为一些血液病的并发症,如真性红细胞增多症,淋巴瘤,白血病骨髓移植后,骨髓纤维化等。身体不同部位都可发生,如脾、肝、胸腺、乳腺、肺、胸膜、心脏、肾脏、前列腺、肾上腺、卵巢、肠、巩膜、淋巴结、腹膜后、皮肤、神经及椎管内。
由于髓外造血组织不完全具备正常的骨髓微循环功能,所形成的血细胞分化不成熟,因此为无效造血。
 
二、EMH的影像特点
1、部位:EMH一般表现为全身或局部多发病灶,单发病灶极为少见,发生于后纵隔的EMH可位于上中下纵隔脊柱旁的任何部位,但以下胸椎(T7~T10水平)为多。胸膜、肝脏、脾、回肠及淋巴结也有发生。
2、大小:EMH多表现为微小病灶,但有时呈巨大肿块。
3、形态:发生在胸椎旁、胸膜的EMH表现为多发的丘状、类圆形病灶,以宽基底附于椎旁、后肋旁。发生于肝、脾、淋巴结的EMH多数呈圆形,个别可呈不规则形。发生于末段回肠者表现为肠管壁增厚。
4、密度、信号及骨骼情况:由于髓外造血组织呈缓慢的代偿性增生,因而病灶边缘光滑。又因血供较好,病变无囊变和钙化。EMH由不同阶段的造血细胞组成,平扫呈等或稍高密度,增强扫描处于造血活跃期的肿块呈中度~明显强化,处于缓解期的肿块,由于脂肪变性无明显强化。
EMH的MRI信号强度取决于造血细胞的活跃程度。活跃的造血组织有丰富的血管,病变在T1WI呈等信号、T2WI呈高信号,代表成熟或不成熟的红系和髓系。而不活跃的造血组织有铁质沉积,在T1WI和T2WI呈低信号,或由于脂肪变性而呈高信号。
 
三、诊断与鉴别诊断
EMH影像表现结合其临床资料,一般诊断不难。患者有明确的慢性溶血或慢性造血功能障碍病史,出现全身或局部多发瘤样肿块、密度均匀、增强后中度强化,MRI上“周围脂肪带”征等情况时,应该考虑到EMH的可能。
EMH需与以下疾病鉴别。①神经源性肿瘤:多位于脊柱旁沟内,肿块呈圆形或椭圆形,该肿瘤压迫侵蚀邻近的肋骨,椎间孔扩大,且无贫血史可资鉴别。②胸膜间皮瘤:多有石棉接触史。③胸壁多发的肌内黏液瘤:罕见。CT及MRI均表现为肌内囊性病灶,增强后无强化或不均匀强化,周围肌肉的萎缩可引起“周围脂肪带”征。④肝、脾内及末段回肠病灶应与淋巴瘤鉴别。肝、脾内淋巴瘤表现为略低密度(或信号),呈类圆形或不规则形。增强后多呈进行性轻中度持续强化。小肠淋巴瘤为肠壁增厚,肠腔不狭窄,增强后轻度强化,病灶内可见肠系膜血管穿行其中。⑤淋巴结EMH应与巨淋巴结增生症(透明血管型)鉴别,后者表现为孤立性肿块,瘤内可有裂隙样坏死区或出血灶。
文献来源:实用放射学杂志2014年12月第30卷第12期,《髓外造血的影像诊断》,刘灵灵、缪飞等。


编辑:赵永兵
审核:徐  晓
到顶部