【每日晨读】上肺肿块一眼锁定良或恶








微信群内各位老师精彩分析:
邢瑞欣: 
晨读,中青年,半年病程左肺上叶软组织密度影,边界清,密度不均,相应支气管截断,可见不均匀强化,考虑恶性肿瘤,鉴别机化性炎症
傅昌瑜: 
晨读:中年男性,咳嗽咳痰半年余。左上肺尖后段肿块?膨隆、分叶、胸膜牵拉。近端支气管截断,不均匀强化。考虑恶性,腺癌?鳞癌?部分边缘平直、周围似乎有卫星灶,注意鉴别结核。
不吝慷慨: 
纵隔旁肿物,定位肺内,恶性,收缩力非常强,中等不均匀强化,考虑腺癌可能性大,虽然没见晕征,可是可见癌淋表现。鳞癌,结核待排
秦化君: 
晨读 中年男性,半年病史,抗感染治疗好转。CT示左肺上叶纵隔旁团块影,边缘部分平直,膨胀感不强,尖角征,长条索,增强病灶内似液化坏死(面积较大),病变主动脉缘范围较广泛。考虑炎性病变,慢性脓肿?结核?。肿瘤待排。
红星: 
晨读中年男性左肺上叶纵隔旁主动脉弓旁实性肿块影,密度不是很均匀,具有一定的分叶状及长短不一的毛刺征象,矢状位见支气管截断改变,增强扫描不均匀的强化,内部见小片状的坏死。首先考虑恶性病变,腺癌或鳞癌的可能性大。鉴别诊断:病灶的周围两肺显得不是很干净,感觉有一些粟粒状的阴影,注意排除结核肉芽肿病变。
空格: 
鳞癌和肉芽肿的pk。中年男性,贫血、咳粘痰 ,抗感染有效。猜卫生、营养、生活情况较差。存在免疫低下的可能。左侧上纵隔旁块影。良性征像:有多边征、直边征、尖角、钙化及钙化趋势、粗大长毛刺、背景不干净。恶性征像:1 胸膜外侵袭,2 增强后低密度坏死还是支气管粘液栓?3 略有膨胀。结核或尘肺肉芽肿放前,鳞癌待排。
小飞: 
中年男性,左肺上叶尖段团块状肿物,边缘可见长短毛刺、胸膜凹陷征,支气管截断,不均匀强化,考虑恶性占位,鳞癌可能。
许慧良: 
晨读:中年男性患者,慢性病程,左肺上叶不规则病灶,边缘清晰,见长条锁,未见磨玻璃影,内部密度不均,支气管狭窄后截断,增强不均匀强化,常规考虑恶性病变,鳞癌,鉴别炎性肉芽肿
岁月: 
2020-12-22
中年男性,左侧胸痛不适半年,咳、痰、白粘、输液抗感染,气短近期;
毛刺牵拉长抵胸膜,短者凸,有小花小草,有锐角,脂肪间隙模糊,左肺体积缩小,代偿肺气肿不明显,生长旺盛,点状钙化 ,强化大片低密度,湖泊,脂肪间隙仍不清楚,形态不规则,支气管似乎截断。
诊断:鳞癌
鉴别:腺癌,炎性肉芽肿
出来:纤支镜,老片,询问病史,炎标,肿标,结核标,pet,纤支镜灌洗液NGS。
Zhuweichao: 
中年男性,左肺上叶团块状肿物,边缘可见长短毛刺、胸膜凹陷征,不均匀强化,内有坏死,考虑恶性占位,鳞癌可能。
小锁: 
中年男性,慢性病程。
左肺上叶椭圆形肿块,长轴与支气管平行,部分边缘平直内收、部分边缘膨隆分叶,长毛刺,支气管截断园顿,点状钙化及泥沙样钙化,临近胸膜受累,平扫密度不均匀,不规则低密度区,不均匀性强化。考虑肺癌,鳞Ca?腺癌?鉴别炎性肉芽肿,结核。
目前诊断集中于:1.肿瘤(腺癌?鳞癌?);2.肺结核;3.慢性脓肿;4.机化性肺炎。随着讨论的深入,结论似乎更加倾向肿瘤-鳞癌。
那么最终结果是什么?

晨读病例结果:

病例小结
临床特征:中年男性,慢性发病,咳嗽咳痰症状反复。没有咯血。
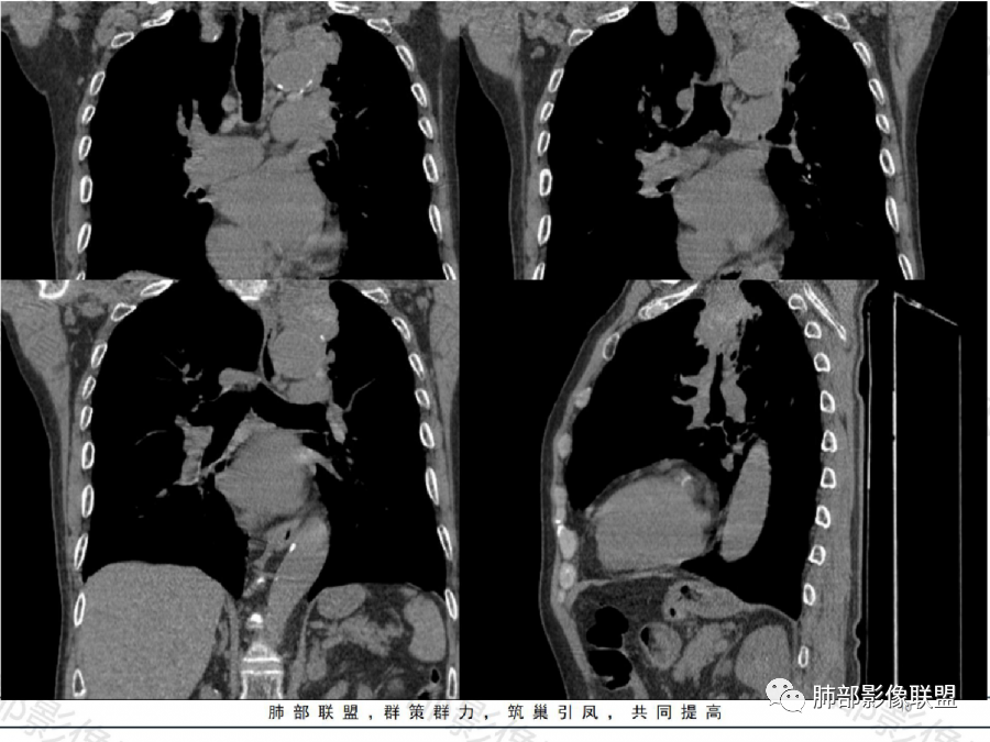
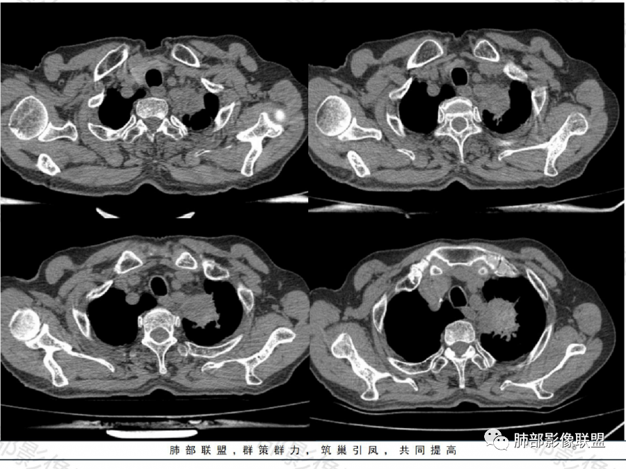
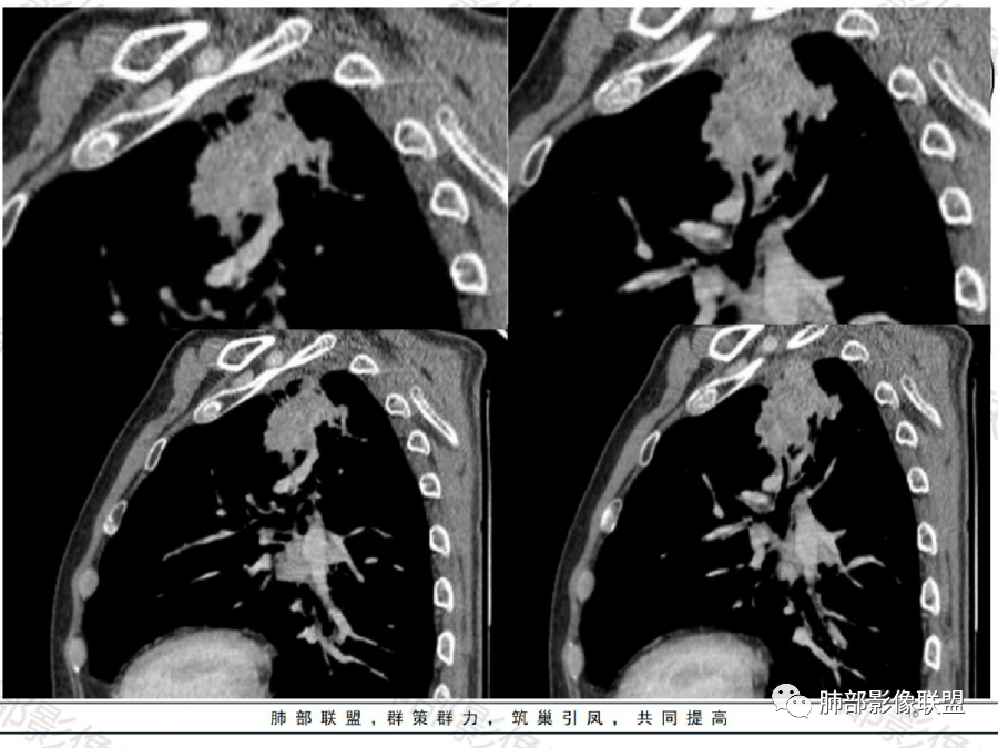
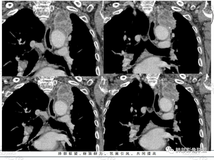
影像表现特点:左肺上叶纵隔旁主动脉弓上方实性肿块影,不规则,膨胀性生长,有棘状突起及收缩,肿块内密度不甚均匀,隐约见小钙化灶。周围具有一定的分叶及长短不一的毛刺征象,外围有小斑片影。矢状位显示支气管截断。增强扫描病灶不均匀强化,内部见小片状的坏死,呈典型的“沼泽样”改变。总体分析恶性征象更多。支持肺癌-鳞癌,支气管截断具有强烈提示意义。
支持肿瘤的影像特点:


鉴别诊断:
    1、肺结核:低热、盗汗及消瘦等结核中毒症状明显,PPD强阳性或阳性,痰检阳性。肺结核实变影按肺段、肺叶分布,常见于上叶尖后段及下叶背段,轮廓清晰,有时可见典型的“支气管爬行征”。此外,在实变阴影内常见低密度液化密度区,增强CT呈无强化或“环形强化”,液化坏死排出后形成虫蚀样空洞,有时可在同侧或对侧肺内见经支气管播散的结核病灶,呈斑片状边缘模糊阴影。
    2、慢性肺脓肿:发病早期常有急性肺部感染症状,如:高热,咳嗽,咳脓臭痰或血痰,抗感染治疗有效。后续转为慢性病程则症状反复迁延不愈。胸部CT特点:肺脓肿可呈结节状或团块状,有时呈不规则形。气道来源肺脓肿常单发,血行来源常多发,边缘模糊,部分病灶周围可见片状肺实变及磨玻璃影;病灶中央为液化坏死区,若脓肿与支气管相通,脓液排出可形成空洞,空洞内可形成液平;急性肺脓肿内壁多不规则;慢性肺脓肿洞壁较厚,一般不规则或形成多房空洞;CT增强扫描空洞壁可见强化,空洞壁为纤维肉芽组织,呈典型的环形强化;慢性肺脓肿周围可有较广泛的纤维索条影,可伴支气管扩张,肺气肿或胸膜增厚表现。



编辑:张丽红,赵永兵
审核:徐  晓
到顶部