【每日晨读】支气管囊肿合并曲霉



       坚持梦想,就算所有人都不支持你。这条路会很曲折,你也会一度认为是不是自己选错了,但只要坚持,就算最后没有成功,但努力了就不会有遗憾

 第一部分  病例资料








































第二部分  群内讨论精选

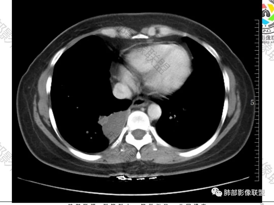
一切∮随缘:右肺下叶胸膜下肿块,宽基底与胸膜相贴,右侧胸水,平扫密度均匀,增强后囊性无强化,囊壁实性结节轻度强化,考虑:支气管囊肿,神经源性肿瘤囊变.
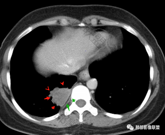
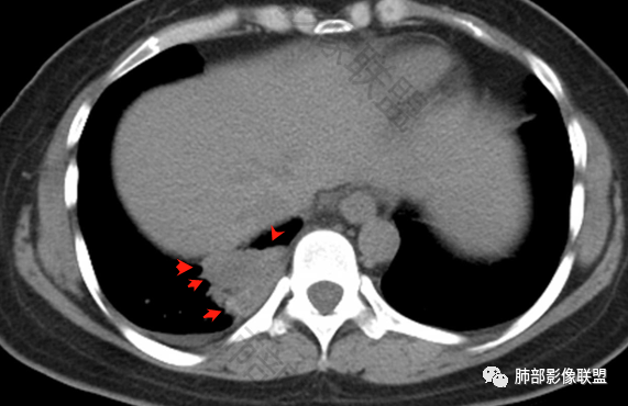
杨泽锋:病灶由两个部分组成靠后方近胸膜的为一囊性病灶,考虑支气管囊肿靠前方病灶为一实性软组织密度影,对囊性病灶形成了压迫,所以不是单纯的肺不张或者感染,应该有个占位性病变存在,看内部的血管还算自然,考虑良性病变,炎性肉芽肿可能大
飞鹰行动:右肺下叶胸膜下囊实性肿块,宽基底与胸膜相贴,内部密度均匀,增强后内部未见明显强化,实性结节轻度强化,相邻胸膜未见受侵犯,考虑良性病变,神经源性肿瘤囊变.其次支气管囊肿。
张慧:右肺下叶实变灶,宽基底、不规则,有少量胸腔积液。增强后边缘有强化,内部坏死(坏死不确定)。
考虑:良性病灶,结核可能性大。
看图说话:右肺下叶囊实性肿块,实性部分分叶,毛刺,轻度强化,囊性无强化,邻近胸膜增厚,脂肪间隙清晰,胸腔积液,考虑恶性,肉瘤,鉴别支气管囊肿感染。
晨:定位肺内,强化边缘有强化,内无强化,考虑支气管囊肿或包裹性积液?
harvey:右肺下叶胸膜下肿块,宽基底与胸膜相贴,平扫密度均匀,增强后内侧囊样无强化,考虑支气管囊肿可能性大
采莲:中年女性,因腹疼入院,血象不高,右肺下叶基底段靠近脊柱旁胸膜下肿块,由两部分组成,靠近胸膜下边缘较光滑,密度低,无明显强化,与胸膜宽基底相连,周围胸膜增厚,少量胸腔积液,胸膜下脂肪间隙清晰。靠外侧肿块密度高,有强化,考虑神经源性肿瘤?囊肿?患者腹疼不知道是否与病灶有关?
周太狼:女性,32岁,腹痛来诊,病史胸部症状一字未提,炎性指标不高,结核抗体阳性。
右肺下叶胸膜下肿块,宽基底与胸膜相贴,长轴与胸膜平行,胸膜下脂肪间隙清晰(定位胸膜),增强呈不均匀强化。另右肺上叶见小结节影,双侧胸腔少量积液,常规结核先考虑,鉴别肉瘤样癌、神经源性肿瘤。
一米阳光:年轻女性,右下肺胸膜下囊实性占位,边界清晰,囊性部分张力较高,实性部分密度均匀有分叶,胸膜下间隙清晰,增强后实性部分强化,囊性边缘强化。定位肺内,考虑支气管囊肿,鉴别结核,肉瘤样癌。
黄兴:定位:肺内,胸膜下脂肪间隙清晰右肺下叶胸膜下囊实性肿块,宽基底与胸膜相连,增强后实性结节轻度强化,胸水。考虑良性可能,支气管囊肿可能
流心明智:中年女性,腹疼入院。胸部CT:右肺下叶基底段胸膜下肿块,近脊柱,肺侧毛糙、胸膜侧平滑,病灶由两部分组成,尖顶部分密度较高且强化不均匀;基底部近胸膜侧边缘光滑、囊性,密度低且均匀,无明显强化,与胸膜宽基底相连,周围胸膜增厚,少量胸腔积液,胸膜下脂肪间隙清晰。考虑:肺和胸膜都有,胸膜结核瘤?支气管囊肿并感染?SFT?鉴别肉瘤样Ca、神经源性肿瘤等。
尘缘:反正我首先考虑良性病变,囊肿合并感染>结核,没有重建图像,不敢完全除外肺外病变,所以神经源性肿瘤合并囊变放最后,另外腹痛原因不知道什么?胃镜结果?所以如果真是恶性的话,我宁愿考虑转移或淋巴瘤。肉瘤样癌实在不符合,所以我不考虑

第三部分  吴婧老师分析

吴婧wj:
我先考虑良性
糊墙,胸膜增厚:

定位肺内,脂肪间隙没有问题,胸水在病灶后方,病变起源脏层胸膜以内,所以定位肺内
病灶边缘平直:



胸膜均匀强化,在病变后方

吴婧wj:    边缘平直,脂肪层清晰。与支气管关系并不密切。首先定位肺内应该没有问题。病变特点是囊性为主的,周围有一点是伴感染还是压缩肺?从这个密度来推测,可能的有:支气管囊肿,隔离肺血供不支持,结核,粘液腺癌,粘液腺瘤,肉瘤样癌。肉瘤样癌边缘不够膨隆。然后最后一个是转移。腹痛,到底有何联系,需要进一步腹部检查。
   最后疾病谱:支气管囊肿,结核,粘液腺癌,腺瘤,转移这么几个。
    建议:进一步完善腹部检查排除转移,毕竟恶性不能漏诊了。然后穿刺。但是介于年龄和边缘平直,我会良性考虑。支气管囊肿优先,其次腺瘤。转移或腺癌待排。结核主要是年龄,还有抗体阳性,优先考虑良性,支气管囊肿伴感染,结核,腺瘤(少见,放后面)。恶性方面,腹痛排除一下转移。肉瘤样癌是不太符合,比如血供,那个一般毕竟丰富,然后边缘都是很大膨隆的,这个不太像。

  第四部分  病例结果

电话回访告知:支气管囊肿(刘权威老师提供)
穿刺结果:穿刺活检病原菌反馈是曲霉。

  支气管囊肿相关知识

概述:
   气管、支气管囊肿为先天性发育异常性疾病。在胚胎气管、支气管发育过程中,若有一部分细胞脱离了喉气管沟,则可形成气管、支气管囊肿。根据胚胎发育的过程,支气管树芽在胚胎早期发育异常形成的囊肿沿支气管树分布,常位于中纵隔或在后纵隔内,一般不与支气管相通。
肿瘤呈圆形或卵圆形,大小不等,单房或多房,表面光滑,囊壁完整。根据囊肿部位可将纵隔气管、支气管囊肿分为:气管旁型、隆突下型、食管型和肺门型4型。囊内含清亮液体,内壁被覆柱状上皮或扁平上皮,囊壁可由软骨、黏膜腺体、平滑肌以及有特征性呼吸道纤毛上皮内衬的纤维组织组成。
临床表现:
    气管、支气管囊肿是纵隔内最常见的囊肿,占原发纵隔囊肿的34%。任何年龄均可发病。2/3的病人无症状,婴儿气管、支气管囊肿由于气管和支气管的压迫,可出现严重的呼吸窘迫,支气管压迫可引起支气管狭窄、反复发作性肺炎。在儿童可反复出现肺部感染。在较大的儿童或成人中,可出现胸痛、呼吸困难、咳嗽、喘鸣或吞咽困难。囊内出血、感染并与支气管相通时可出现咯血、咳脓痰等症状。
诊断标准:
    胸片表现为中纵隔圆形、卵圆形或分叶状肿块影,边缘光滑,密度均匀,肿块边缘有时可见钙化,有时可见压迫气管、食管的征象。CT扫描见囊肿位于气管旁、隆突下,囊肿内密度均匀,边缘锐利。CT还能显示隆突下间隙,而此间隙用常规胸片不能显示。当囊肿位于隆突下显示为均匀密度的包块时,吞钡可显示食管受压,很难与肺门结构区别。
影像学特点:
    ①部位及形态。多位于中下肺及内带,无感染时边缘清楚,呈圆形或卵圆形。②X线平片呈软组织密度,合并感染时内见气-液平面及邻近肺实变或边缘模糊的密度增高影。③CT检查可清楚显示其内部成分。无感染时,囊肿壁菲薄。囊内充满液体时为水样密度(0〜20HU),约50%病例因囊肿内蛋白成分、钙质及黏液而呈较高密度。10%见囊壁钙化。液体完全排出时为含气囊肿。本病常合并感染(75%),此时嚢肿迅速增大,囊壁增厚及强化,外壁变模糊,囊内出现气-液平面,形似肺脓肿,但治疗后病变可有明显变化。囊肿邻近肺组织由于压迫的活瓣样作用及侧支通气造成过度膨胀及空气潴留。④MRI T2WI 上均为高信号,T1WI 则因成分不同而为低信号、等信号或高信号,合并感染则为中等信号。
鉴别诊断:
    ①肺脓肿:临床上常有高热、寒战、脓痰或脓血痰、白细胞计数增高,影像学上脓肿壁较厚,强化更明显,脓肿外壁模糊,短期内变化较慢。②肺大疱:位于肺内或胸膜下,壁菲薄或难以分辨,无气-液平面。③肺囊性腺瘤样畸形:常见于儿童,常为多囊性,下叶基底段多见。④肺间叶组织来源肿瘤:呈实性结构,增强后内部不同程度强化。⑤胸部其他前肠源性囊肿。
治疗:
   主要治疗方法是手术切除,可选择开胸切除囊肿,胸膜外切除囊肿或胸腔镜下摘除囊肿。手术切除不仅可明确诊断,减轻症状,而且可防止相关并发症的发生。由于反复感染或其他原因,不能完整切除时,可将囊肿开放,内囊壁尽量切除,残留者可用碘酒或石炭酸措灭,亦可达到良好的效果。另外,曾有在囊肿内查到支气管腺癌的报道,也是手术切除的重要原因。
               说在后面的话
影像与临床:
1.青年女性,腹痛就医,缺乏呼吸系统临床表现。
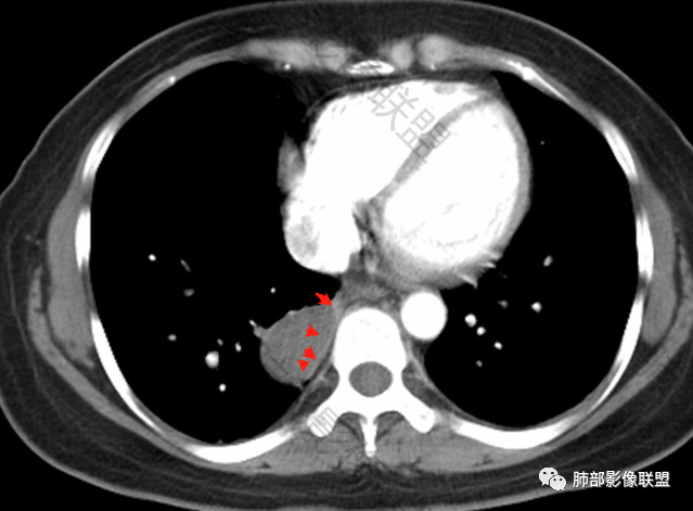
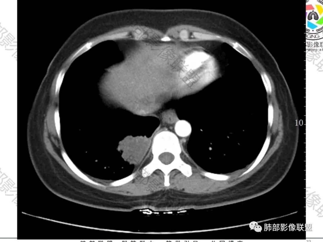
2.右肺下叶脊柱旁类椭圆形块影,边界清楚,密度偏低,隐约见轻度强化囊壁样结构,均匀一致,中央区域未见强化,因属囊样块影。前外缘处显示“壁外”小范围轻度强化软组织密度影,未见磨玻璃晕。
3.块影边缘见匍行血管影,未显示体循环供血。病灶与支气管关系未能显示或呈现。
病灶相邻胸膜轻度强化,未见壁层胸膜侵入或突破。
4.双肺门及纵隔未见增大淋巴结。
5.右侧胸腔少量积液。
综合分析:
1.肺部囊样结节影,壁较均匀一致,未见强化(壁轻度强化),常见者为支气管囊肿。内容物可为气体、低密度液体、高密度液体(如伴出血或感染等)。
2.囊样结节影如外形欠规则,观察到血管样结构穿行,囊壁不均匀增厚或呈现壁结节,结节外边界较清楚磨玻璃晕等,应想到恶性病变可能。
3.如灶周未见明显渗出,患者缺乏呼吸系统临床症状,不宜轻易冠以“感染”的诊断意见。
4.支气管囊肿伴曲霉菌寄生临床常见。
本例未出现曲霉菌感染或寄生的影像学特征,未做出相关判断在情理之中。
病理曲霉诊断出乎预料。


编辑:杨宏刚,赵永兵
审核:徐  晓
到顶部