【每日晨读】肺内淋巴瘤的影像表现





病例资料


















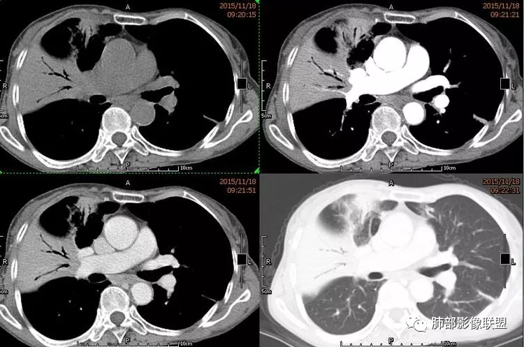
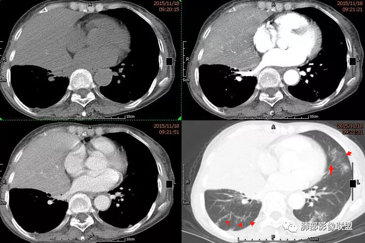
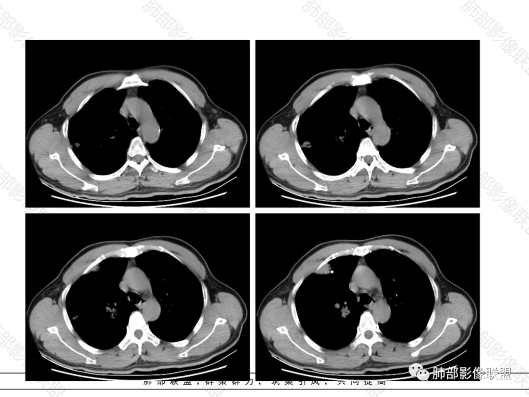
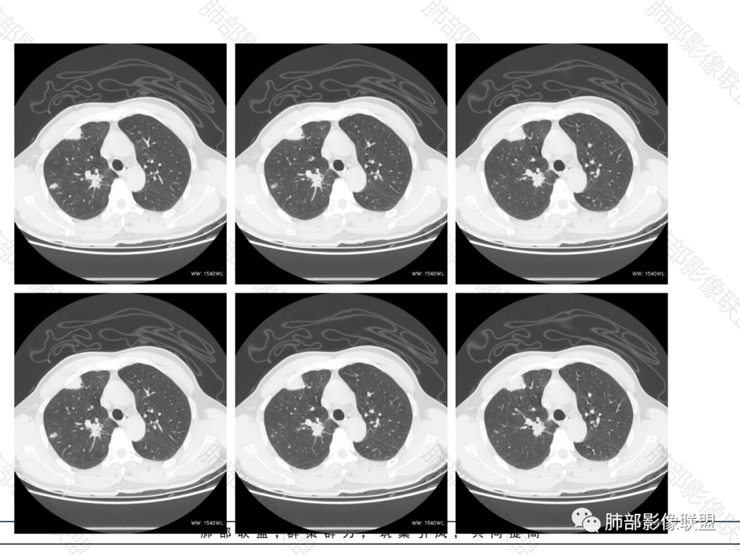
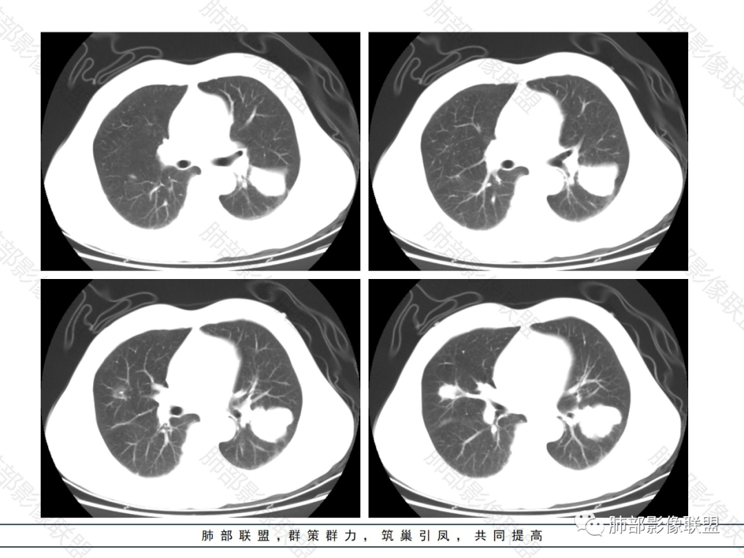
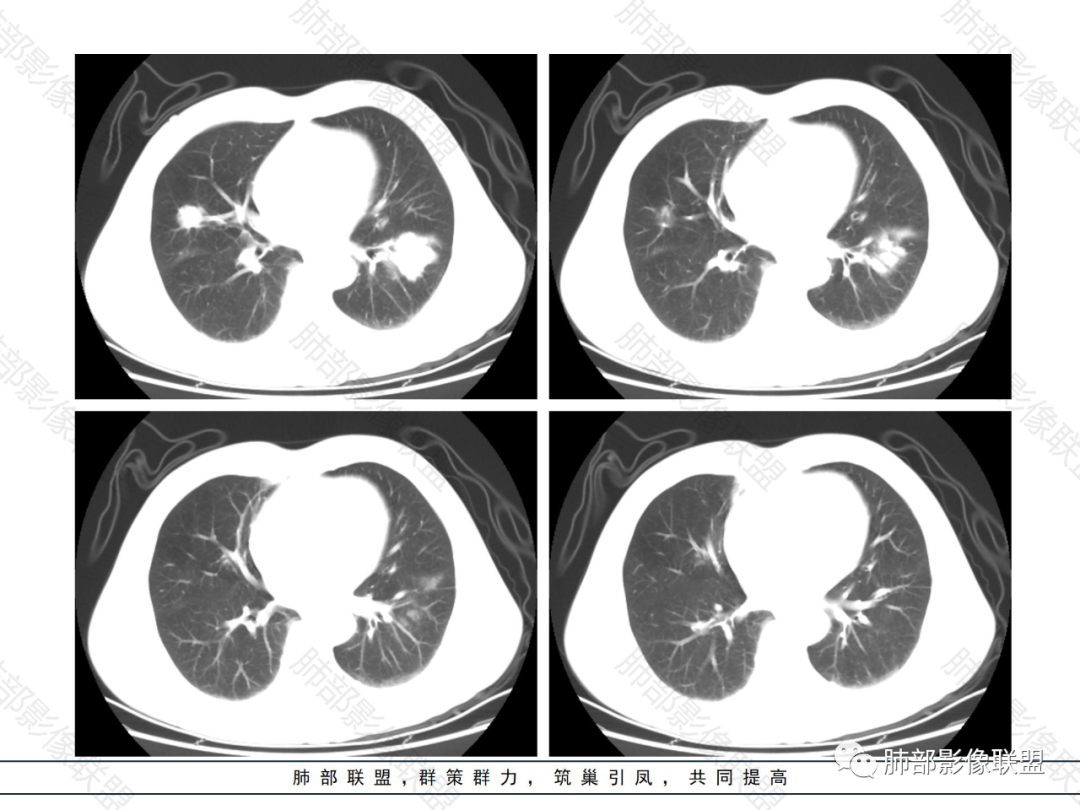
薄层的视频
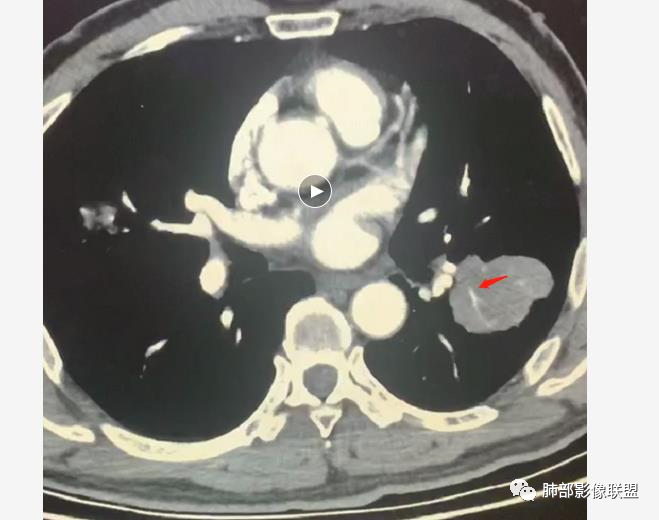
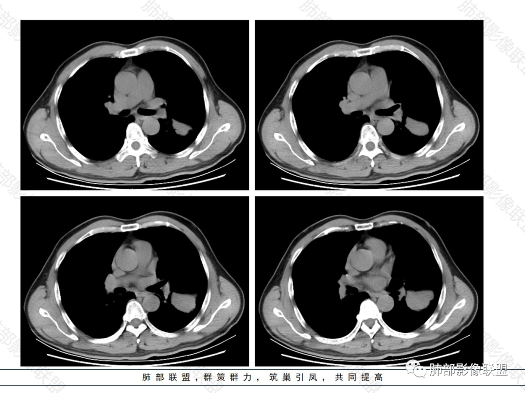
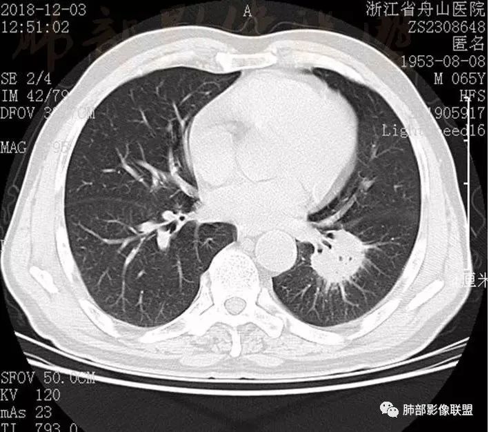
补充增强视频

精彩讨论
一切随缘
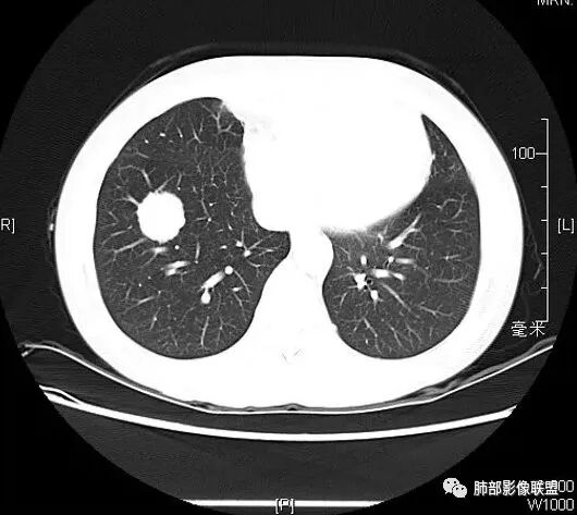
双肺多发大小不等结节,以胸膜下为主,部分边缘平直,彭隆,整体较密实,临床无症状体检发现,考虑淋巴瘤,转移瘤,IMT.
飞鹰行动:
老年男性,发现占位半年,双肺多发结节,病灶边界清晰,浅分叶,部分支气管进入后堵塞,部分病灶内部密实,无增强,考虑真菌感染,淋巴瘤待排除。
王秀仙:
双肺多发结节肿块,部分位于胸膜下,部分结节内可见扩张支气管,右肺上叶近肺门处结节呈分叶毛刺,支气管阻塞、扭曲扩张,考虑1淋巴瘤2腺癌转移。
Yishion:
双肺多发结节,密度均匀,部分可见支气管进去后堵塞,有胃部手术史,考虑淋巴瘤?鉴别腺癌转移,其他?
谢加平:
脾大表现,两肺叶多发结节,部分呈肿块(浅分叶轮廊),实性密度,边缘清楚,有膨隆,近胸膜下分布,支气管僵直略扩张,一元论,首选淋巴瘤。
小强:
双肺多发结节肿块,胸膜下支气管树旁为主,部分内可见支气管穿行,支气管扩张。淋巴瘤?肉芽肿性多血管炎?鉴别转移
必有路:老年男性,两肺多发结节,团块,病灶都位于胸膜下,血管相关,有支气管充气征,分叶,无坏死,周围无晕疾病谱:隐球菌病,GPA,OP,malt,转移,IgG4相关,栓塞诊断:鉴于患者体检发现半年,症状逍遥重点考虑 淋巴瘤 可能鉴别:隐球菌病,GPA,IgG4相关,转移
建议:增强检查,查隐球菌抗体,查肿瘤指标,活检
必有路:
病灶分布特点  说实话隐球菌要重点排查,发现病灶半年,需要对比旧片  至于转移瘤查查肿瘤指标  胃术后这么久,往往转移一个肿瘤指标能解决问题
洪桥爱:
多发团块影,胸膜下为主,边缘清楚、膨隆、平直,部分病灶可见分叶,病灶内支气管穿行,血管穿行,考虑淋巴瘤。
采莲:
刚看了视频,老年男性,体检发现,30年前有胃部手术史。双肺野多发结节肿块影,沿支气管血管束或胸膜下分布,有的结节内似有小空洞,支气管进入走形自然,肿块边缘膨隆,有分叶,支气管进入后有的截断,大部分支气管穿过,走形自然,纵隔内未见明显肿大淋巴结,总体考虑淋巴瘤,炎性肉芽肿(肉芽肿血管炎或隐球菌肺炎)等。考虑后者可能性大,肉芽肿血管炎或隐球菌肺炎,鉴别淋巴瘤。
一米阳光:
病变分布特点,胸膜下,叶间胸膜下为主,呈大小不等结节级团块影,部分病灶内见支气管影,病灶收缩不明显,从分布及慢性发病看,隐球和淋巴瘤都可,补充增强,病灶内见血管穿行,强化不明显,支持淋巴瘤
毛勤香:
老年男性,两肺多发结节肿块,胸膜下分布为主,部分支气管进入闭塞,增强扫描有强化,血管穿行无破坏,边缘尚光滑,周围无晕,病灶整体膨隆为主,半年病程,症状逍遥,首先考虑淋巴瘤
棉花糖:双肺多大小不等结节,边缘清楚,无毛刺,浅分叶,胸膜下分布为主,内可见支气管穿行,增强后中等程度强化,病灶内血管走行自然,考虑淋巴瘤,鉴别GPA

南边老师分析
南边:

南边:
老年男性,半年病史。可惜,没旧片对比?
胸膜下多发实变病灶
淋巴细胞、蛋白低
病灶的影像特点:
外围胸膜下、支气管血管束分布
实变,密度较均匀
病灶的边缘平直、膨隆都有
内部支气管稍扩张,直达远端,或受压变形、移位
均匀强化
内部血管走形自然,稍纤细


这里似乎稍增粗

南边:
支气管通畅、稍扩张、移位——不支持支气管来源
提示间质来源、周围肺实质来源
疾病普:淋巴瘤、血管炎性病变、隐球菌
占位效应与收缩性均匀,内部支气管稍扩张,或推移,淋巴瘤要考虑
可惜没有前后对比的
如果此起彼伏——警惕血管炎性病变
其次要待排隐球菌
隐球菌不支持的地方支气管扩张过了一点,占位效应过于明显
占位效应太明显了

南边:
总体还是支持肉芽肿性病变
肿瘤性——淋巴瘤,炎性——血管炎、隐球菌
结核放最后,结核是万能的,啥时候都别忘了它
有前后对比可能有帮助
而且隐球菌多发,这么大,没症状不好说,放后面吧

病理结果
  病理诊断:淋巴瘤

肺淋巴瘤的相关知识点复习
   淋巴瘤为一组原因不明的累及全身淋巴网状系统的以淋巴组织过度增生为特征的恶性免疫细胞性肿瘤,病理上分为非霍奇金淋巴瘤(NHL)和霍奇金淋巴瘤(HL);肺内淋巴瘤是指淋巴瘤的肺内浸润,总共有4种:原发性肺淋巴瘤(PPL)、继发性肺淋巴瘤(SPL)、获得性免疫缺陷综合征相关淋巴瘤及移植后淋巴增值性疾病。
    原发性肺淋巴瘤(PPL)是指肺实质或支气管的淋巴组织异常增生,侵犯的主要对象就是肺间质和支气管粘膜下组织,无纵膈、肺门及其他部位的淋巴瘤,在发病时或者确诊后3个月内没有肺外病变的证据,是结外肺淋巴瘤的一种罕见类型,以肺的非霍奇金淋巴瘤(NHL)多见,其中NHL肿最常见的就是结外边缘区黏膜相关淋巴瘤组织(MALT)淋巴瘤,其次是弥漫大B细胞淋巴瘤。

  
1

    肺内淋巴瘤的影像学表现形式各样,总共有五种类型,⑴结节肿块型、⑵肺炎肺泡型、⑶间质型(支气管血管淋巴管型)、⑷粟粒型、⑸混合型(多种形态并存),不过小编认为分型只是对于病灶形态的描述,很多情况下多种类型并存,其中粟粒型分型比较少见。

               孤立肿块性--MALT

    孤立肿块性--血管免疫母细胞T细胞淋巴瘤

    肺炎肺泡型--弥漫大B细胞型淋巴瘤

    多发结节、肿块型---肺淋巴瘤样肉芽肿

          混合型---霍奇金淋巴瘤

    颈部弥漫大B细胞淋巴瘤肺浸润
1

    肺内淋巴瘤的影像表现都具有一些主要的特征性表现。
1.病灶分布:因为肺内淋巴瘤主要侵犯对象是肺间质和支气管黏膜下组织,病灶主要位于在沿支气管血管束分布、肺间质及胸膜下,病灶可跨叶分布。
2.病灶的密度:密度均匀,部分病灶内可见空洞及气液平,轻中度均匀强化。

    MALT--密度均匀、轻中度强化
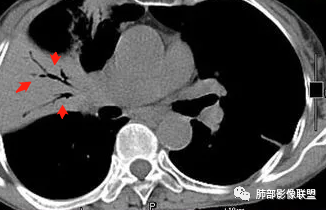
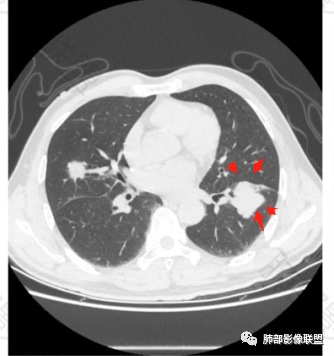
3.支气管充气征伴或不伴支气管扩张:肿瘤细胞沿肺间质及支气管黏膜下组织浸润,支气管管壁未见明显破坏,管腔内未见肿瘤细胞充填,呈现充气支气管征;充气支气管走行自然,无扭曲、僵硬,内壁管腔光滑,支气管管壁见增厚并常有管腔的扩张,含气支气管可呈串珠样不均匀扩张,扩张明显处呈空腔样或皂泡样的囊状含气影;支气管扩张目前有两种意见:一是由于肿瘤组织起源于肺间质,肿瘤沿或跨越脏器解剖结构生长,原有解剖结构残留,周围增生的纤维结缔组织牵拉导致支气管扩张;二肿瘤侵犯支气管粘膜下植物神经丛致平滑肌张力丧失;而这类支气管扩张在肿瘤治疗后有时可消失。

           支气管充气征伴扩张
4.血管造影征:肿瘤组织浸润引起间质增厚、肺泡壁破坏、肺泡腔充填,而周围充盈血管走行自然,未受肿瘤侵犯。血管造影征
5.病灶的边缘:有膨隆,浅分叶,也有平直、收缩,平直收缩是因为肿瘤组织浸润致肺泡塌陷及周围纤维组织增生,牵拉正常的肺组织向病灶中心形成聚拢状改变,似呈“炎性”改变。

      膨隆、平直
6.间质性改变:多位于病灶周围,可见边缘磨玻璃密度影或晕征及树芽征象,周围组织间质增厚并且有结节感,病理基础为肿瘤细胞浸润细支气管周围间质及肺泡壁。

      磨玻璃影及间质小结节影
THE
END
编辑:任正纲  蔡笑燕
审核:蔡笑燕  徐  晓



到顶部