山重水复疑无路,柳暗花明又一村。
不经一番寒彻骨,怎得梅花扑鼻香。
病例资料
群内讨论
一切∮随缘 :
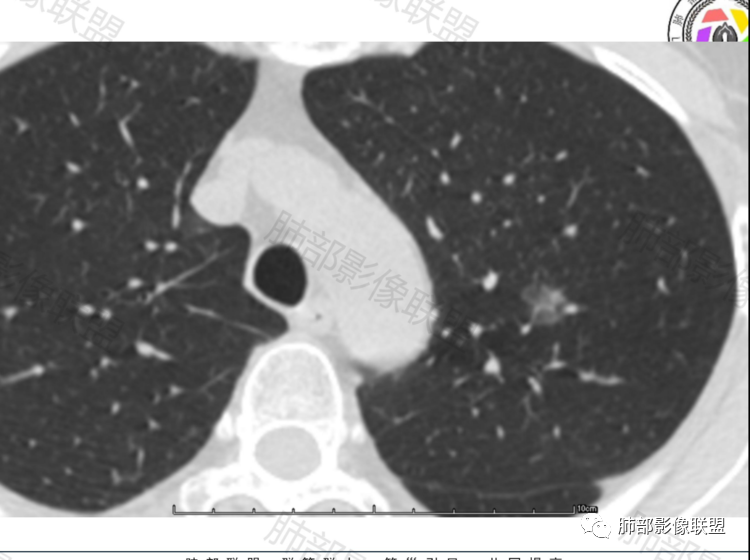
晨读,病例一:左肺磨玻璃结节,边缘清楚,内部有血管穿行自然,有低密度空泡?支气管?10个月后复查,结节增大0.2CM,不排除误差,考虑良性结节或炎性结节,继续短期随访。
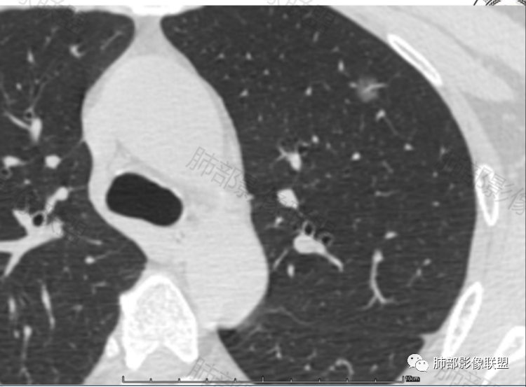
病历二:左肺磨玻璃结节影,边界清楚,内部血管穿行,考虑炎性结节或良性结节,继续短期随访。
采莲 :
病例一中年男性,左肺上叶纯磨玻璃结节,边界稍清,内部血管增粗,考虑炎性结节或AIS,建议抗炎治疗后三个月随访。
病例二老年女性,左肺上叶纯磨玻璃结节,边缘清楚,有月牙铲?内部有稍高密度影,血管增粗,考虑微浸润癌MIA,建议密切随访,一个月复查。
必有路 :
晨读:1 AIS 2AIS或者MIA偏后者 两者均可尝试抗炎,即便没吸收,6个月追踪
甄德强 :
第一例纯磨玻璃结节,边界清,其内可见空泡,血管被拉直增粗,考虑MIA。病例二混合磨玻璃结节,边界清,血管贴边,考虑炎性病变,抗炎后复查,排除MIA。
毛勤香 :
2例磨玻璃结节,复查无吸收,增大约2mm,说明增大不明显,病例2月牙铲,病例1首先考虑AIS,继续追观复查;病例2考虑MIA
王开金江津中心医院呼吸科 :
晨读,病例1,磨玻璃影,边界清楚,血管穿行,内空泡,考虑微浸润。病例2,磨玻璃结节,边界清楚,月牙铲,血管穿行,考虑腺癌。
许慧良 :
病例1,中年男性患者,左肺上叶尖端磨玻璃结节,边界清晰,内部见血管及空泡(也可能是支气管),10个月复查有轻微增大,考虑原位或微浸润,短期内随访,也可手术
病例2:中年女性患者,左肺上叶磨玻璃结节,边界清晰,有月牙铲改变,内部有增粗血管走形,1年后复查略有增大,考虑原位或微浸润
尘缘 :
第一个,有血管稍增粗,有空泡,整体类圆形,边界清楚,AIS-MIA可能性大一些,而且离胸膜距离相对近一些,可以干预,进行穿刺明确,第二例,形态不规则,部分呈条状的感觉,中间血管走行较自然,考虑炎性可能大,而且离胸膜位置远,穿刺难度也较大,就算万一是恶性,转移风险也不大,可以继续随访。
简·爱 :
病例一:中年男性,左上肺纯磨玻璃结节,边界清,无明显分叶,病灶内见血管穿行,血管隐约稍移位,内部隐约见小空泡,10个月复查 ,GGO持续存在稍稍增大,考虑AIS可能性大,建议继续随访(3个月)。
病例二:中年女性,左上肺亚实性GGO,纯ggo为主,局部见少些条片状高密度实性区,,边界清,有分叶和月牙铲,血管从边缘穿过,14个月后稍有增大,考虑MIA可能,建议手术。
结果
病例小结
这两个病例都是偶发肺内孤立结节,以磨玻璃密度为主,无明显实性成分,边界清晰,并且都经过长期(10-14个月)随访复查,病灶整体大小、形态、密度变化不明显。
两例最终都选择了手术,病例1结果:局灶性肺纤维化;病例2结果:浸润性肺腺癌。
由此可见,随访持续存在的磨玻璃结节,并不一定都是早期肺腺癌(AIS MIA IAC)或癌前病变(AAH),也可以是局灶性肺纤维化或机化。影像学表现缺乏特异性,有时候并不能完全鉴别。
但即使是肺腺癌,以磨玻璃为主要成分的病灶,也是处于惰性的过程,一般来说进展相对缓慢,手术切除预后良好。
因此,对于此类磨玻璃结节,尤其是长径小于1cm的小结节,随访过程中无明显变化,可以不急于选择手术切除。患者应理性对待、减少焦虑,遵医嘱科学随访过程中观察到结节发生变化之后再选择手术,也是完全可以的,不影响预后。
肺小结节特征总结
1)AAH非典型腺瘤样增生特征小结:
1.病灶呈纯磨玻璃影,无实性成分。
2.病灶大小多在0.5CM以下,个别有达到1CM。
3.病灶密度均较低,CT值小于-700HU。
4.病灶无恶性征象。
5.病灶通过长期随访不变。
2)AIS原位腺癌特征小结:
1.病灶呈纯磨玻璃影或混合磨玻璃影。
2.病灶大小多在0.5CM以上,有少数可达到1.5CM以上,一般集中在0.6-1.5CM之间。
3.病灶CT值在-630HU,临床把AAH与AIS称为浸润前病变,与浸润性病变的临界CT值为-529HU。
4.少数病灶可有恶性征象,如分叶、血管集束征等。
5.和AAH一样,病灶通过长期随访不变。
混合磨玻璃影中的实性成分大多为血管影、肺泡塌陷、纤维灶、淋巴组织增生等原因,实践工作中要注意与癌性浸润灶区别。
3)MIA微浸润腺癌特征小结:
1.病灶以混合磨玻璃影为主,少数有纯磨玻璃影,但是密度一般较高,实践工作中要注意癌性浸润灶与肺泡塌陷、血管等鉴别。
典型病变表现为纯磨玻璃影中出现小于5MM的实性成分,薄扫加三维重建是诊断的关键。
2.病灶大小多在1CM左右,根据我们的统计平均大小会比AIS多1-2MM左右。3.病灶CT值在-450HU左右。
4.病灶可有其中的1-2个恶性征象。(如分叶、脐凹征、毛刺、胸膜凹陷征、空泡征、空气支气管征等)。
5.如果怀疑MIA,临床上不建议长期随访。
4)IAC浸润性腺癌特征小结:
1.病变多呈混合磨玻璃影或实性结节,少有纯磨玻璃影,与分化程度相关。
2.病灶大小多在1CM以上。
3.病灶CT值在-300HU左右,甚至更高。
4.病灶1个恶性征象要怀疑诊断,2个以上者要考虑诊断。(如分叶、脐凹征、毛刺、胸膜凹陷征、空泡征、空气支气管征等)。
5.病理特点:以附壁样(鳞屑样)、腺泡样、乳头状、实性、微乳头状生长,其中以微乳头状生长方式预后相对不佳,以附壁成分生长为主者预后良好。
《2018版肺结节随访中国专家共识》
pGGN:纯磨玻璃结节;mGGN:混合磨玻璃结节
实性结节
注:肺结节在随访中有以下变化时,多考虑为恶性:(1)直径增大,倍增时间符合肿瘤生长规律;(2)病灶稳定或增大,并出现实性成分;(3)病灶缩小,但出现实性成分或其中实性成分增加;(4)出现分叶、毛刺、空泡和或胸膜凹陷征
编辑:许建林
审核:於雄
病例提供:九江市第一人民医院影像科 於雄