【每日晨读】 紧贴胸膜的魅影




01
病例资料








02
精彩讨论
一切∮随缘:
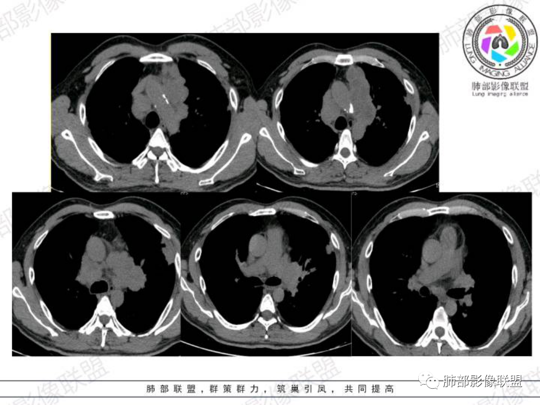
左肺上叶胸膜下实性结节,形态不规则,边缘毛糙,平行胸膜,近段支气管在病灶内堵塞,远端与胸壁相贴,左侧前纵隔多发肿大淋巴结融合,伴左肺门淋巴结肿大。
临床:中年男性,有糖尿病,考虑:小细胞肺癌?淋巴瘤?结核?建议完善增强检查,必要时穿刺检查。
金豆:
慢性病程,糖尿病,结构肺病,临床似乎太逍遥。左肺胸膜下病灶,糊墙,纵隔淋巴结肿大并坏死,标记物高,恶性  小  炎症金刚   结核    鉴别淋巴瘤  结节病(似乎不大支持)。
许慧良:
中年男性患者,咳嗽、咳痰伴气喘加重3月,既往有糖尿病病史,肿瘤指标阴性,胸部CT:左肺上叶胸膜下斑片影,左肺门及纵隔淋巴结明显肿大并融合,考虑恶性,鳞癌,小细胞癌,鉴别结核。
秦化君:
左肺上叶胸膜下不规则结节影,平行胸膜长轴,毛刺,支气管进入截断,胸膜糊墙,纵隔多组淋巴结肿大融合,平扫部分淋巴结密度不均。考虑恶性,小。鉴别结核。
衡妈:
中老年男性。糖尿病多年。考虑恶性,左上肺胸膜下病灶+左肺门纵隔多发肿大淋巴结,而且坏死融合,小细胞癌?其他?需要增强扫描。
丽:
有糖尿病病史,左肺上叶胸膜下结节,边缘模糊,见长索条,临近胸膜糊墙,重建后结节饱满,边缘见短毛刺,纵隔见多发肿大淋巴结,融合并坏死,部分边缘可见点状钙化,首先考虑恶性,小细胞?腺癌?鉴别结核,建议增强检查或结合穿刺活检。
飞鹰行动:
老年男性,糖尿病,CT左肺上叶胸膜下实性结节,有一定的膨胀性生长形态不规则,边缘毛糙,平行胸膜,左侧前纵隔及肺门多发肿大淋巴结融合,考虑恶性病变,小细胞癌或低分化腺癌伴转移可能。
不吝慷慨:
左肺胸膜下病灶还是像腺癌多一些,纵隔肺门淋巴结转移,虽然CEA高得不多,NSE高得多,还是不首先考虑小细胞。如果做个增强就好了。
小兜:
老年男性,糖尿病病史,左肺上叶胸膜下实性占位,膨隆,糊墙,边缘见短毛刺,肺门及纵隔多发肿大淋巴结,部分融合,坏死明显。肿瘤指标增高,考虑恶性,低分化腺癌,小细胞可能。
采莲:
中年男性,咳嗽咳痰一个月,有糖尿病史,肺纤维化病史,左肺门不规则肿块,边缘膨隆,有分叶,内有多灶性坏死,支气管截断阻塞,远端靠近胸膜下斑片实变影,纵隔淋巴结肿大,考虑恶性,小细胞肺癌可能性大,鉴别肺结核。
谢加平:
左肺上叶(上舌段)胸膜下斑块病灶,与胸膜界限不清,见栽赃浸润,形态不规则,左肺门和纵隔内多发肿大的淋巴结并部分融合成团块影,首选肺Ca,Nse高(考虑小细胞型)。

03
病理结果
小赵:


04
尘缘老师总结
尘缘:
纵隔淋巴结肿大,融合,坏死,不是小细胞的冰冻纵隔,低分化腺癌这种表现最常见,偶尔低分化鳞癌也可以。
胸膜下是原发灶,胸膜下往纵隔走,有癌淋存在。
没有明显的阻塞性肺炎,小细胞排除了。
有增强的话,可以明确看到多个淋巴结轮廓和明显的坏死,大家应该都不会考虑小细胞了。
气管内结节也基本排除小细胞,小细胞突破性能力没这么强,一般都突破不了大气管。
这种平扫都能看出明显的淋巴结坏死的纵隔转移,而且双侧纵隔淋巴结基本对称,就可以直接把小细胞pass掉了。
可惜没有增强扫描。小细胞肺癌的冰冻纵隔一般是患侧肺门向纵隔过度的,如果患者肺门没有冰冻,纵隔对称性的淋巴结肿大融合坏死,小细胞肺癌就想都不用想了。
在低分化腺癌伴有神经内分泌分化倾向的时候,NSE可以增高,这个病人CgA灶性阳性,可能伴有神经内分泌分化。
THE
END
编辑:刘权威
审核:蔡笑燕 徐  晓
到顶部