【每日晨读】罕见的食管神经鞘瘤




TIME:2020.7.13
            













精彩讨论
小强: 
食管旁气管后肿块,密度均匀,轻度强化,考虑良性病变,平滑肌瘤?考虑起源食管,鉴别气管膜部病变纤维瘤
毛勤香: 
右后上纵隔软组织肿块,与食管关系密切,跨食管壁内外生长,长轴与食管走行一致,食管明显狭窄,邻近气管受压,密度相对均匀,渐进性强化,首先考虑食道来源平滑肌瘤,鉴别神经鞘瘤。
王江涛: 
右后上纵隔气管食管沟肿块,跨食管壁内外生长,长轴平行食管,食管管腔明显狭窄,邻近气管受压,密度均匀,渐进性强化,定位考虑食道来源,定性考虑平滑肌瘤,鉴别血管瘤或血管球瘤,恶性可能性不大
一切∮随缘: 
主支气管后方可见一类圆形肿块,边界光滑,清楚,病变与食管关系密切,食管受压推移,平扫密度均匀,增强后渐近线强化,考虑良性:食管平滑肌瘤,食管腺瘤,后纵隔神经源性肿瘤,IMT,
小兜: 
晨读:男性,体检发现右后纵隔占位,CT示右后纵隔梭形软组织肿块,局部与食管壁分界不清,压迫气管与食管,平扫密度均匀,增强轻度不均匀渐进性强化,内部可见片状低密度区,考虑为1、食管来源平滑肌瘤。2、神经鞘瘤
春秋: 
后纵膈肿物,食管受压移位,中度均匀强化,首先考虑神经源性肿瘤。


南边老师分析
1.定位没问题-后纵膈
2.食道,气管,胸膜均受压,关系密切。

3.与气管壁似乎有差异,不太支持气管壁来源,放后面。

4.胸膜分界不清,不能排除胸膜来源SFT

5.食管关系密切,不能排除食道来源:间质瘤或平滑肌瘤

南边: 
局部还有神经来源,密度均匀
定位明确
倾向于良性
气管来源的可能性小
平常心: 
这个位置,3p淋巴结,神经源性肿瘤。
而大家提到的食管源形肿瘤。初看食管外推为主,无梗阻表现。管腔没有堵死,外生性为主。
南大,如果排除食管本身来源
南边: 
不管气管、食管都是粘膜下的


病理结果
术中示:肿块位于右前上纵膈,奇静脉弓上3cm,大小约30mm×30mm,来源于食管;经腋前线第3肋间12cm操作切口,切开纵膈胸膜,纵形切开食管肌层,肿瘤基底部与食管黏膜粘连致密,将肿块大部分切除,送术中快速病检示:梭形细胞瘤可能。因肿瘤基底部较宽,且与食管黏膜粘连致密,无法与黏膜完全分离,黏胲残留少许肿瘤组织,将电刀烧灼肿瘤基底部表面,将肌层间断缝合




文献复习---神经鞘瘤
神经鞘瘤是神经鞘膜细胞发生的良性肿瘤, 为最常见的外周神经良性肿瘤之一, 可发生于颅神经根、脊神经根和周围神经干等部位, 消化道较少见, 主要发生于胃及小肠,食管来源罕见;食管神经来自于迷走神经及l一5胸交感神经节联合形成的肌层间及粘膜下的神经丛, 均可产生神经鞘瘤, 以迷走神经最常见。食管的神经鞘瘤与其他部位的神经鞘瘤形态相同, 一般具有完整的包膜, 有富于细胞的antoni A 区和结构疏松的antoni B 区, 多数A、B两区共存或相互移行。组织学上食管神经鞘瘤与平滑肌瘤相似,本病的确诊主要靠术后病理及免疫组织。
[1]方威,范钦和.食管巨大神经鞘瘤1例.诊断病理学杂志,2008,15(6):454-454.

回顾性分析病例
1.体检发现。患者缺乏吞咽后胸骨后疼痛或梗阻症状,更没有气道梗阻临床表现。 
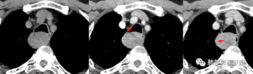
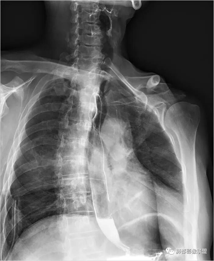
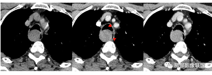
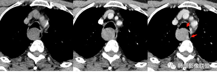
2.定位:右后上纵隔肿块,与食管关系密切,边缘光滑,冠状位显示肿块与食管壁结构相顺延,上下径大于横径,呈现跨管壁内外生长倾向,食管管腔狭窄,而气管腔内未见突入,因此食管来源肿块可能大。   
      
               
   3.结合CT增强图像及食道钡餐影像(管壁整体柔软,粘膜线完整),提示肿块来源于粘膜下。
    肿块影边界清楚、局限,未见管壁及周边浸润,提示良性病灶。
   最常见的食管良性肿瘤是平滑肌瘤,此外有间质瘤、血管瘤、囊肿、神经鞘瘤等。


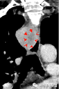
4.肿块渐进性强化,局部可见低强化区(下图红箭头所示),可以符合神经鞘瘤AB区的影像特点,尽管该部位神经鞘瘤罕见,毕竟食管壁也是有神经走行的,解剖也提示诊断的方向。
 须排除的是平滑肌瘤及间质瘤。血管瘤及囊肿因强化方式不支持。


●【每周一例】48期讨论实录  让人纠结的—(食管)神经鞘瘤
● 和我学纵隔神经鞘瘤——黄勇
END
编辑:张家口市肺科医院 张丽红
审核:蔡笑燕  徐  晓
病例提供者:湘雅常德医院    陈江超


到顶部