【每日晨读】一例炎性结节的思考

























群内精彩讨论
一切∮随缘:
右肺叶裂旁实性结节,边缘平直,部分收缩、凹陷,似有两个子灶融合,呈葫芦样改变,边缘可见磨玻璃影,及血管有轻度牵拉,无增强,考虑:炎性(隐球菌),建议短期随访及隐球菌荚膜实验,必要时穿刺。
必有路:
右中肺结节,光滑,两结节融合,支气管旁边穿行,斜裂轻微牵拉,没毛刺,没ggo,考虑肉芽肿炎(隐球菌?),建议完善隐球菌荚膜实验,鉴别腺癌
飞鹰行动:
老年女性,右肺中叶结节,光滑,两结节融合,结节可见膨隆,收缩,边缘平直,斜裂受牵拉,边缘长毛刺,边缘模糊的ggo,总体考虑炎性病变,隐球菌?结核?,就是担心肿瘤合并炎性病变,建议其他检查或治疗后复查。
巴伟:右肺中叶结节,边缘膨隆为主,局部平直,支气管截断,叶间裂牵拉,似见多个小结节,首先考虑恶性,腺癌可能大,鉴别炎性结节,隐球,结核。薏米:
右肺中叶结节,有凹陷,有膨隆,空泡,邻近胸膜叶间胸膜可见小结节,考虑恶性,腺癌可能,鉴别肉芽肿性炎症
哦落花时节:
右肺中叶结节,似多结节融合,伴索条,叶间裂牵拉,周围卫星灶,串珠影?六个核桃?考虑隐球,鉴别腺癌
丽:
右肺中叶结节,呈不规则状,似多结节堆积感觉,边缘膨隆分叶,周围长毛刺,临近叶间胸膜牵拉,重建显示支气管有截断,首先考虑恶性,腺癌,鉴别隐球
许慧良:
老年女性患者,右肺中叶不规则结节灶,边界清晰、平直,内部密度均匀,两个结节有融合趋势,胸膜有牵拉,支气管有堵塞,考虑炎性,隐球菌可能,鉴别腺癌
流心明智:
女,74,右上腹隐痛不适30年,以胆囊炎入院。胸部CT:右肺中叶叶裂旁实性结节,边缘清楚,部分膨隆,部分平直,似由两个病灶融合,邻近支气管有截断、有穿行,邻近叶裂牵拉,叶裂似有多个结节,看不清,血管集束,脐凹?考虑:IAC?两子灶融合,鉴别PC、TB等。
尘缘:
叶间胸膜下结节,边缘条索影,周围及叶间胸膜多发粟粒样小结节,支持炎性结节,隐球,结核或者慢性非特异性炎症。
吴婧wj:
第一感觉隐球菌,因为旁边有一个兄弟,支气管远端堵塞,鉴别结核和腺癌
红日东升:
支气管截断,邻近胸膜疑似多发微结节,比较强的收缩力,考虑腺癌,鉴别炎性肉芽肿
秦化君:
右肺中叶外侧段结节影(似两个结节融合),长毛刺,边缘清晰,支气管进去后截断。相邻胸膜多发结节。考虑炎性肉芽肿,隐球菌,结核。腺癌待排。
?????天涯?????:
老年女,叶裂明显牵拉移位,局部边缘平直,良恶征象都有,建议抗炎治疗后复查,除外炎性或肿瘤性病变可能
小兜:
患者女,74岁,上腹部隐痛不适30年,考虑胆囊炎入院。CT示右肺中叶近叶间胸膜实性结节,支气管远端堵塞,两个结节融合,边缘细长索条影,临近叶间胸膜牵拉伴多发小结节影,考虑为炎性病变,隐球菌或结核可能,鉴别腺癌
Yishion:结节边缘平直,边缘相对模糊,有结节融合感,冠状位斜裂比较平直,收缩力不太够,考虑炎性病变,隐球?结核?需要进一步检查或抗炎治疗后复查除外腺癌
琦遇:
右肺中叶外基底斜裂下多实性结节融合,周围未见GGO,边界平直收缩为主,可见缆绳征(血管纠集),叶间胸膜牵拉,结节周围似可见小叶间隔结节样增厚,与病灶有关血管间质上有结节感,斜裂上似可见多发小结节,良恶性都有,恶性征象较多 考虑腺癌可能性大 鉴别结核、隐球菌
风儿:
老年女性,右肺中叶实性结节,密度不均,呈多结节融合,边缘平直,周围少量长毛刺,邻近叶间胸膜牵拉增厚,叶间裂似见多个小结节,近侧支气管有截断,但截断处管腔不窄,血管从尖角处进入,考虑炎性肉芽肿:隐球;鉴别:腺癌
若尘:
右肺中叶结节,病灶散,多个相似结节融合,边缘平直、收缩、桃尖,周围见软毛刺,小支气管进入阻塞,斜裂稍受牵拉。老年女性,体检发现,考虑炎性肉芽肿,隐球菌,建议完善相关检查,鉴别结核、腺癌。
小锁:炎性和恶性征象都有,叶间裂多发小结节,考虑腺癌,鉴别炎性肉芽肿,隐球菌,结核

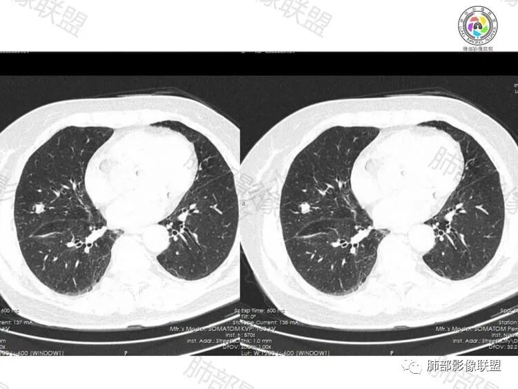
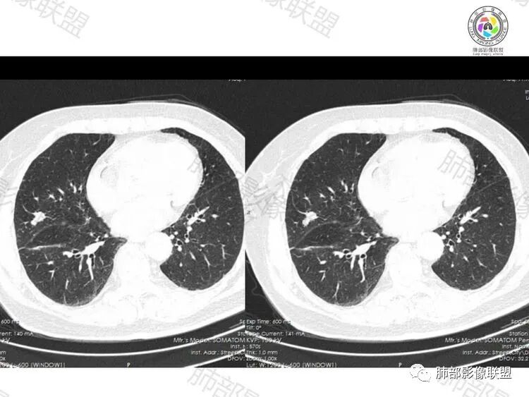
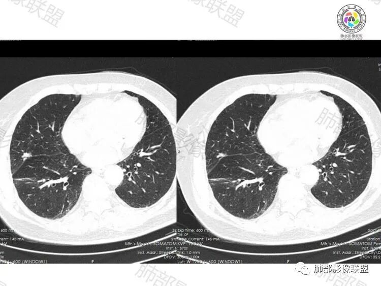
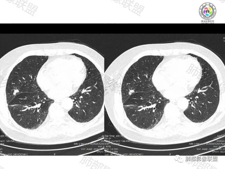
结果


病例总结
临床资料:
老年女性,上腹部隐痛30余年
影像征象:
右肺中叶叶裂旁结节,良恶性征象均有:
良性征象:结节边缘平直、收缩乏力,周围GGO边缘模糊,周围卫星灶,有多结节融合感,细长毛刺
恶性征象:结节部分膨隆,有一定收缩力,叶间胸膜牵拉,血管聚集,叶间裂可见小结节影(注意勿将叶间裂血管视为结节)
须鉴别结核及腺癌等
分析:患者症状及病史与肺部影像不具有相关性。影像上,良性征象居多,多结节融合感而看不出明显深分叶,细长毛刺等等。可惜本例未行增强扫描。
须鉴别结核及腺癌等:
鉴别:
1.腺癌:有时可见边缘清楚GGO晕。收缩力常较明显已出现胸膜凹陷,常见深分叶及粗短毛刺,有时可见空泡征。当腺癌表现为实性成分多时,脐凹征及异常血供多可提示诊断。低分化腺癌全实性成分,有时收缩力不明显。出现淋巴管炎及胸膜、叶间裂多发结节时,常高度提示腺癌可能。
2.结核:当结核灶纤维成分增多,可表现为明显的收缩力。结核灶常密度不均,易出现干酪性坏死及钙化,当出现长索条、钙化灶、周围卫星灶多可提示诊断,当出现空洞时,其内壁多光滑。
3.隐球:此例有多结节融合感,有“蘑菇兄弟”,隐球需要考虑,但隐球多无明显收缩力,周围有晕,毛刺细软,支气管多不受累及,多分布在外围及胸膜下,可以提示诊断。
4.慢性非特异性炎症:慢性非特异性炎多为肺部炎症、吸收、机化、最后纤维化发展而来,因初发炎症多表现为片状或大片状,故其吸收、修复后多表现为条状或长索条状影,当表现为结节时,其毛刺粗长,初发炎症坏死越多,其最后表现为慢性非特异性炎其实性成分越多,其内部多为纤维成分,故其强化多为渐进性强化。本例病理为慢性炎症。
综上,此例考虑为炎性,腺癌不能完全除外。当实性结节不能排除新生物且抗炎治疗无效时,应积极获得病理学依据。
本例穿刺病理结果提示慢性炎,小编认为还需年度随访更为稳妥些。

编辑:刘朋
审核:蔡笑燕  徐  晓
病例提供者:如皋市中医院 周翔


到顶部