【每日晨读】宽基底的胸膜下孤立结节你怎样决断?



病例资料




























群内讨论
一切∮随缘:
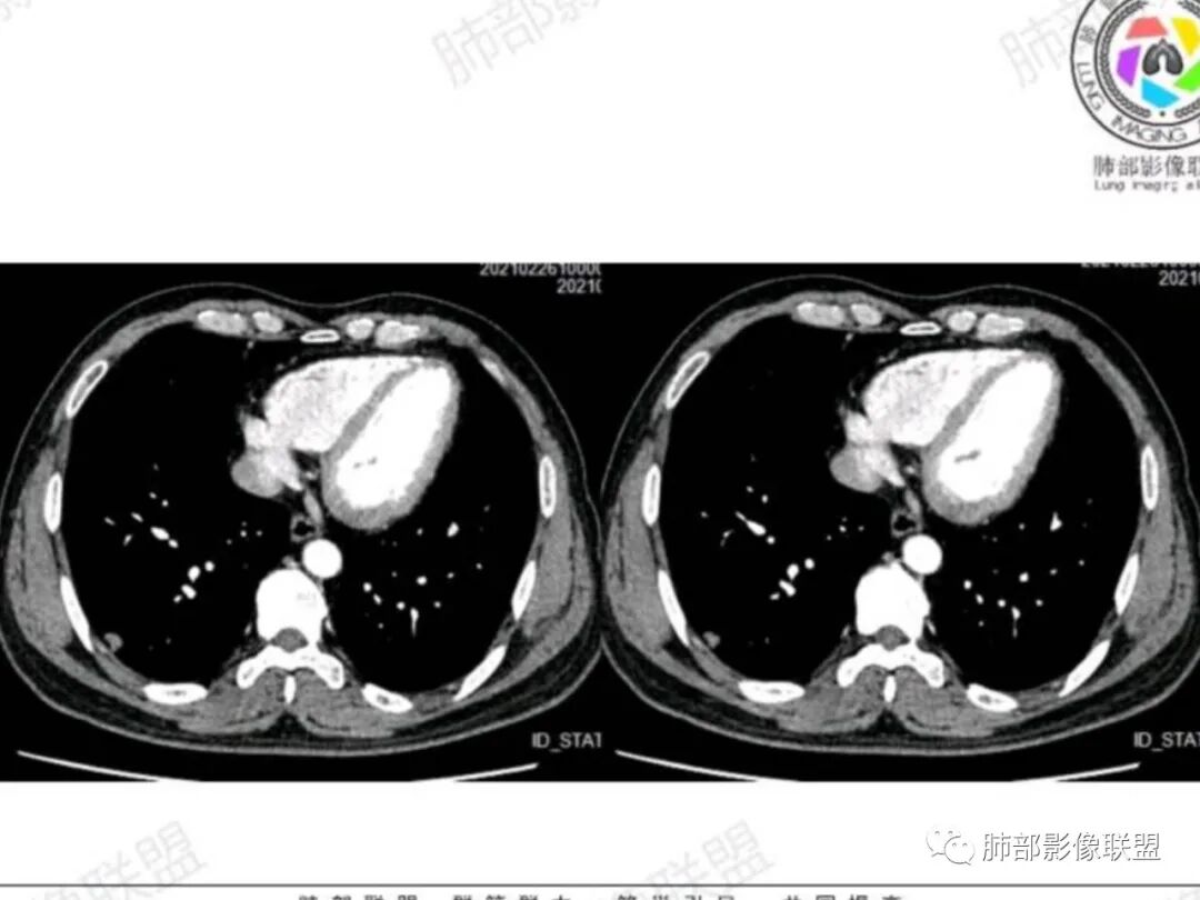
右肺下叶胸膜下实性小结节,呈条状,长轴平行胸膜,宽基底与胸膜相贴,病灶边缘毛糙,胸膜侧可见U型凹陷,轻度牵拉胸膜,平扫密度均匀,增强扫描后中度强化,单发孤立性结节,中年男性,体检发现,建议先隐球菌荚膜实验,阴性考虑腺癌可能性大,必要时建议短期随访,
须臾。懂了:
@河南省灵宝市城南医院-张思雨?张老师,这种孤立性肺结节,即使是隐球菌,隐球菌荚膜抗原阳性的概率比较小。有它的局限性。
一切∮随缘:
@吉安市第一人民医院呼吸内科周文平?是的,虽然阳性不高,但是可以先送检一下
一切∮随缘:
@吉安市第一人民医院呼吸内科周文平?可以穿刺,送病理科,隐球菌染色,做病理,你们临床手段多
那个人:
支持恶性 年龄,类圆形结节,整体膨隆,强化。支持良性,无分叶毛刺空泡,无磨玻璃,病灶边缘似乎有些平直,宽基底和胸膜相链,无侵犯,收缩力弱,支气管关系不明确,纵隔淋巴结不大
秦化君:
右肺下叶胸膜下实性山丘状结节影,密度均匀,边缘可见棘状突起,结节胸膜侧收缩,见胸膜凹陷征。周围无磨玻璃及卫星病灶,增强后结节轻-中等强化。考虑腺癌可能,肉芽肿性炎待排。
谢加平:
右肺下叶后基底段胸膜实性结节,不均匀轻_中强化,见小湖泊样坏死,坏死轮廊不清,形态不规则,边缘见短小毛刺,有胸膜下浸润征,考虑肺Ca(小细胞?),与炎性结节鉴别,建议穿刺活检!
薏米:
老年男性,右下肺近胸膜结节影,边界清,边缘部分膨隆,不均匀强化,可见坏死,可见脐凹,血管进入,血管扩张,未见明确支气管影,考虑恶性,腺癌可能,鉴别隐球菌、小细胞
红日东升:
老年男性,右肺下叶胸膜下孤立实性结节,边缘平直凹陷+膨隆,胸膜下脂肪间隙增宽,空洞型胸膜凹陷,中度较均匀强化,与支气管关系不明确。考虑炎性肉芽肿>癌
紫气东来:
右侧胸膜下实性结节,边缘毛刺,膨隆,强化,考虑炎性结节鉴别腺
小兜:
男性,53岁,体检发现右肺下叶胸膜下小结节,整体膨隆,宽基底与胸膜相连,不均匀强化,内部似见坏死区,局部层面似见小尾巴,考虑恶性可能,腺癌或小细胞
飞鹰行动:
老年男性,右肺下叶胸膜下结节,有膨胀性和收缩性,可见短毛刺,胸膜凹陷征,血管穿入结节内,不均匀强化。考虑恶性病变,腺癌可能。鉴别隐球感染。
看图说话:
紧贴胸膜实性结节,边缘毛糙,轻强化,有坏死,坏死边缘不清,形态不规则,胸膜浸润,考虑小细胞,鉴别腺癌。
必有路:
圆鼓鼓的,考虑腺癌>肉芽肿炎
大雄:
中年  实性结节  膨隆  毛刺 明显强化
恶性需要考虑
不过胸膜重建是“圆洞”不是“裂隙”,好像 更多见于良性
总体印象  癌>肉芽肿
建议穿刺
食客:
右侧胸膜下结节,膨隆毛刺,强化,考虑恶性
王秀仙:
右肺下叶后基底段胸膜下实性结节,病灶边缘毛糙,胸膜侧可见凹陷,内侧缘膨隆,轻度牵拉胸膜,增强扫描后中度延迟强化,考虑腺癌,鉴别隐球菌
王江涛:
结节边缘多发棘状突起,中等程度强化,周围无晕,考虑癌可能性大
采莲:
中年男性,查体发现,右肺下叶孤立实性结节,有膨隆,边缘稍光滑,长轴与胸膜平行,似山丘征,胸膜下脂肪间隙清晰,密度较高,轻度强化,无坏死,恶性考虑小细胞肺癌?良性结节考虑SFT,肉芽肿等。
张晴:
较大结节,影像判断比较难,恶性对待。直接穿刺或1个月复查。
大雄:
这种结节最好是穿刺  不建议随访复查
不吝慷慨:
一个月复查不太要紧,穿刺也行,看病人心态吧!
小飞:
中老年男性,体检发现,右肺下叶胸膜下结节,浅分叶、毛刺,均匀强化,考虑恶性
流心明智:
男,63,体检发现肺部结节。胸部CT:右肺下叶胸膜下类圆形实性结节影,边界清楚,边缘膨隆、短毛刺,细支气管在病灶边缘截断,小血管进入,胸膜牵拉圆洞样凹陷,胸膜外脂肪间隙增宽。增强密度不均匀,内有点状低密度。引流区域淋巴结增大?考虑恶性,腺?小?鉴别PC、TB等肉芽肿。
毛勤香:
右肺下叶胸膜下结节,膨隆为主,细小毛刺,增强静脉期较动脉期变化不大,密度不均匀,体检发现,邻近胸膜有牵拉,重建呈圆洞样改变,良恶性征象都有,老年人,孤立结节,按恶性对待,腺癌或转移瘤>炎性肉芽肿,建议穿刺活检
张小兵:
腺癌>炎性肉芽肿,胸膜表面重建示洞周洞底光整,多见于良性结节,粘液腺癌也可。
自信人生:
老年男性,胸膜下孤立结节,血管进入及血管扩张,病灶有膨胀感及胸膜牵拉
支持恶性,靠近胸膜下
干脆拿掉
妞妞:
右下实性结节,膨隆,有毛刺,强化不甚明显,胸膜下脂肪间隙清,重建空洞样改变,良恶性征象皆有,恶性对待,建议穿刺活检
吴婧wj:
这种可能会直接切除,没有办法或者穿刺,就是临床评估。我会建议不管良性恶性,穿刺或切掉
尘缘:
腺癌,不鉴别(靠肺内侧明显膨隆,毛刺,胸膜侧凹陷,两端与胸膜接触处有微积液,胸膜接触面无增厚,增强中度强化),收缩力相对偏弱,病理类型可能是腺泡为主,也可能是结节型粘液腺癌。
这种结节不可能建议随访。
要么直接手术(如果病人愿意强烈),要么穿刺明确,随访万一是恶性,太容易转移,承担不起后果

病例结果

     由结果引发的再讨论


马小锁:
为什么考虑粘液腺癌?
尘缘:
首先,靠肺内侧明显膨隆,毛刺,胸膜侧凹陷,局部胸膜有黏连(不是增厚,是侵润),两端与胸膜接触处有微积液,增强中度强化,就可以基本确定恶性,然后收缩力相对偏弱,胸膜重建洞较圆,病理类型就可能是结节型粘液腺癌。
腺泡型为主的实性结节腺癌和结节型粘液腺癌都可以收缩力较弱,不敢肯定是哪一个,所以两个都带上
大雄:
腺泡为主的  收缩力不一定弱吧?
应该说收缩力强的更多
腺泡为主的收缩力大多比较明显
尘缘:
我说的是可以,没说一定收缩力弱
要看间质转换过程的程度
小锁:
我思考了一下,觉得结节性粘液腺癌的特点,恶性征象+收缩力偏弱+炎性征象
大雄:
粘液腺收缩力是偏弱的
但是这个和周围型鳞癌  并不好鉴别
小锁:
增强看得到粘液不?
尘缘:
看不到
大雄:
不要过于偏执病理分型,不可靠
尤其是当你看的病例够多
文献学习
原发性肺黏液腺癌,是特殊类型的一种腺癌,又称胶样腺癌,占肺癌的 0. 25% ,为少见的病理类型。
一、临床表现 
原发性肺黏液腺癌 ,以周围型最多见,中央型罕见,临床表现无特殊性,主要表现为干咳、咳痰、白色粘液痰,乏力、消瘦、胸闷气短等常见肺部疾病表现,偶尔痰中带血,早期易被误诊为肺炎、慢阻肺等,尤其易误诊为普通肺炎,部分患者常因为抗结核、抗炎治疗无效后,经支气管镜、经皮肺穿刺或术后病理确诊为原发性肺黏液腺癌。
二、命名发展 
  细支气管肺泡癌的概念首次提出是 Liebow博士,将此肿瘤描述为肿瘤细胞沿肺泡壁,并且分化良好的一种肺腺癌类型。 
  随后 1999 年 WHO 正式命名为细支气管肺泡癌,病理上其肿瘤细胞匍匐样生长,并无间质、血管及胸膜浸润表现;
  依据分泌粘液情况将其分为 3 种亚型;黏液型细支气管肺泡癌、非黏液型细支气管肺泡癌及混合型细支气管肺泡癌。因无间质、血管及胸膜浸润,也可视细支气管肺泡癌为原位癌。 
  细支气管肺泡癌这一概念到 2011年在肺腺癌学科分类标准中被取消。 
   对于小的孤立性结节性病变,依据有无浸润,提出了原位癌及微浸润癌。黏液型细支气管肺泡癌改为浸润性黏液腺癌,而非黏液型根据浸润程度改为非黏液型原位癌、微浸润癌以及匍匐样生长的腺癌。在原位癌、微浸润癌类型中主要为非黏液腺癌,黏液型腺癌少见。 
  黏液型腺癌起源于柱状上皮细胞或杯状细胞,分泌大量黏液并聚集在肺泡内而命名;
三、CT 表现及与病理特点对照
  原发性肺黏液腺癌肿瘤细胞沿肺泡壁匍行生长,因起源于具有分泌黏液功能的杯状细胞或柱状上皮细胞,癌细胞产生的黏液在胞外形成黏液湖,表面有癌细胞漂浮,反映在 CT 图像上密度偏低,呈现为水样密度至软组织之间密度影。
  原发性肺黏液腺癌影像学表现呈多样性,在 CT 形态学上可分为孤立病变型和弥漫型。(王兆宇老师认为孤立结节是病灶发展的一个时期)
  CT表现主要表现为两种:一种是病变分布在肺野周围,边界不清的实性结节,此种结节、肿块型(孤立型)肺黏液腺癌更易出现假空洞征或囊变表现,CT 征象病理基础为肿瘤细胞沿管壁浸润性生长,管腔阻塞,形成活瓣,气体易进难出,并分泌液体所致。另一部分表现为伴支气管充气征,磨玻璃密度影或实变影,类似于炎症表现,此种磨玻璃影病变的病理基础可能是因为部分黏液被肿瘤细胞替代,间质增厚,而肺泡间隙未被填充充分,磨玻璃密度的边界可以因小叶间隔限制而边界清楚,也可以是不清楚的。裹挟有肿瘤细胞的粘液可以沿气道播散至远处肺泡(气道转移),这时期患者预后不好,可能与早期难以诊断、治疗不及时有关。
四、鉴别诊断 
(一 )结节、肿块型肺黏液腺癌的鉴别
  主要与结节、肿块样表现的病变相鉴别。首选形态学上区分结节或肿块的良恶性:
  1)恶性病变:若具有一般肺癌分叶、毛刺征象,可先初步判断为肺癌可能。进一步观察病变内密度情况,发现实性或部分实性结节伴空泡、充气支气管征或血管造影征等征象,可进一步提示为黏液型腺癌。因为非黏液型腺癌表现为纯磨玻璃密度影、实性病变内伴空泡少见,是与黏液腺癌鉴别的重要征象。注意粘液腺癌常常收缩力不强。
  2)良性病变:若没有一般肺癌征象,可诊断良性病变随访,或进一步行灌注等功能检查。
    A.结核多在上叶尖后段\下叶背段,多见钙化;
    B.硬化性血管瘤可见血管抱球征,界限锐利、清楚
    C.普通炎症抗炎治疗效果好等可资鉴别。 
(二)实变性黏液型腺癌的鉴别 
   病理基础是肿瘤细胞沿肺泡壁生长逐渐充满肺泡腔、肺泡间隔受侵犯所致。 以大片实变影为主要表现,可有磨玻璃密度区及重力趋势,可以有远处肺泡飘散结节影,此征象提示气道播散,预后不佳。主要与大叶性肺炎等感染性病变鉴别。
   1)临床表现:
    A.炎症多表现有高热等临床症状,血象增高明显,抗炎治疗效果显著;
    B.相反肺黏液腺癌,抗炎治疗效果不佳 。
   2)CT主要观察实变中含气支气管及管壁形态的改变:
    A.炎症多表现为支气管的阻塞、管腔扩张。
    B.肺黏液腺癌多表现为支气管枯枝征,表现为外围小气道显示不佳。        C.血管造影征。病灶区血管破坏不明显
  
参考文献:
[1]郭荣,卢定友.原发性肺黏液腺癌的CT表现与病理对照研究[J].临床肺科杂志,2018,23(12):2287-2290.

编辑:雷凤
审核:蔡笑燕  徐  晓
病例提供:邢台医专第二附属医院 崔刚老师




到顶部