【每日晨读】单侧蜂窝肺的启示



劳动节






肺部影像联盟向工作在医疗一线上的劳动者致敬。

01
临床资料











02
群内讨论
大雄 :
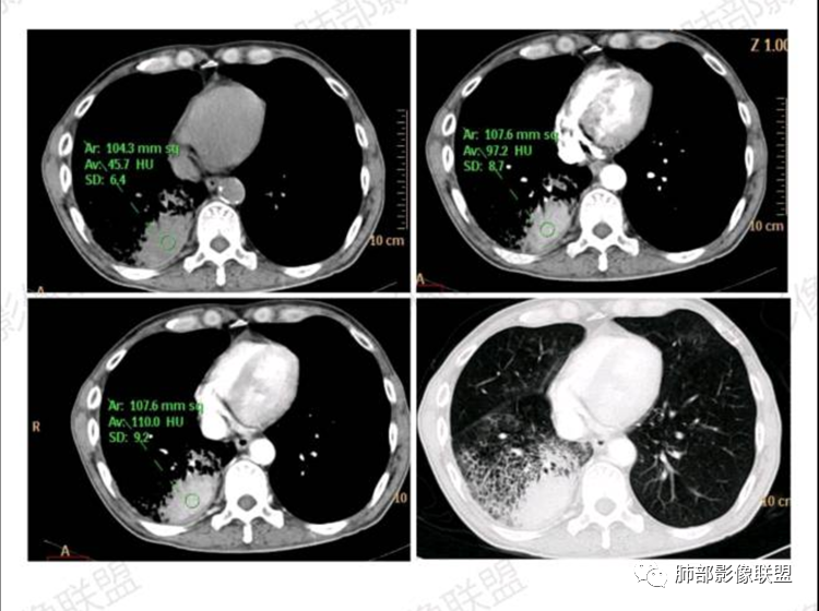
老年男性,咳嗽咳大量白色泡沫痰6个月,实验室中性粒及非小肿标增高。
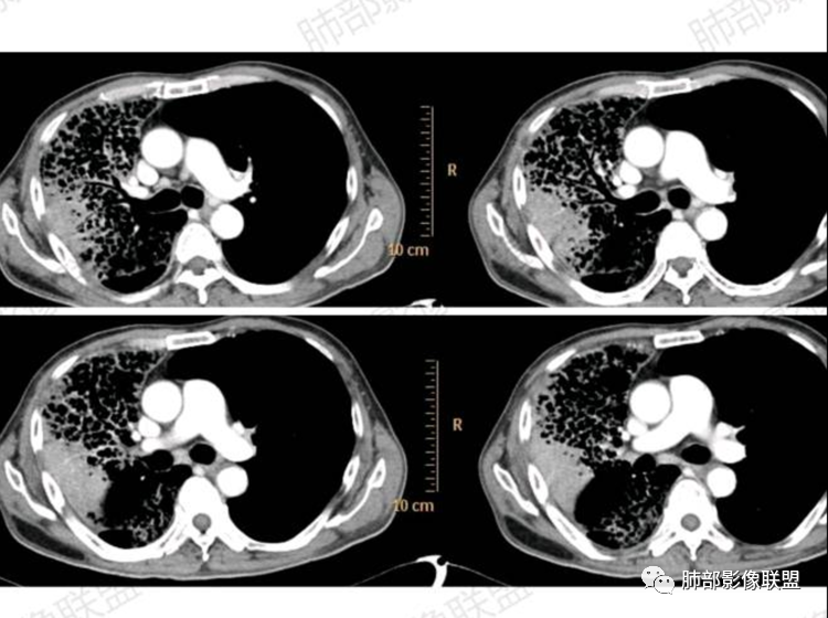
右肺弥漫实变浸润影➕小网格影,累及各叶段,实变部分位于胸膜下,明显均匀强化,内部血管影稀疏。
老年,慢性病程,无明显发热等感染症状,咳大量泡沫痰,结合影像表现,首先考虑肺炎型肺癌(鳞>腺)
王开金江津中心医院呼吸科:
65岁,咳嗽,咳痰6月,病程长,大量泡沫痰,ct提示右肺实变➕磨玻璃➕左肺结节,边界清楚,考虑肺炎性肺癌,粘液腺癌?
甄德强 :
老年,男性,病程长,咳大量白色泡沫痰,右肺多发蜂窝状影,部分病灶实变,增强扫描实性病灶明显强化,考虑肺炎型肺癌,腺癌。
薏米 :
老年男性,慢性咳嗽,咳痰,大量白色泡沫痰,右肺可见大片状密度增高影,内可见蜂窝改变,病变边界清,近胸膜可见大片实变,宽基地与胸膜相连,考虑肺炎型肺癌,腺癌可能
一切∮随缘 :
右肺体积缩小,右侧胸廓略塌陷,右肺中上叶多发簇状囊性影,大小不一,伴有间质增厚,胸膜下及脊柱旁多发实变影,宽基底与胸膜相连,平扫密度均匀,增强中等强化,左肺伴有散在斑片状磨玻璃影。
临床男性,56岁,病史半年,伴有白细胞高 ,右肺比左肺重,考虑:黏液腺癌合并感染,鉴别肺结核。
丽 :
老年男性,咳嗽咳痰,右肺可见磨玻璃密度影及实变密度影,实变影位于胸膜下,增强后明显强化,并见多发小叶间隔及小叶内间质增厚,呈蜂窝状改变,支气管走形僵硬,首先考虑恶性,肺炎型肺癌可能
良孑 :
右肺实变,边界清,实变内弥漫网格影,支气管走行僵直呈枯树枝样,高龄,大量白粘痰,考虑恶性,肺炎性肺癌,粘液腺癌可能性大
必有路 :
老年男性,咳嗽咳痰,白黏痰,cyfra-211明显增高,肺气肿背景,右肺下叶团块,强化明显,右肺弥漫病灶,无发热
诊断:炎症型肺癌(黏液腺癌可能)
建议:活检
Yiren Sishui(厶水伊人) :
老年,男性,病程长,咳大量白色泡沫痰,右肺多发蜂窝状影,部分病灶实变,增强扫描实性病灶明显强化,考虑肺炎型肺癌,腺癌(强化太好了,高分化?)。
看图说话 :
大量白色泡沫痰,右肺多发蜂窝状影,部分实变,支气管僵直,实性病灶明显强化,左肺有播散病灶,考虑肺炎型肺癌,粘液腺癌。
小强 :
右肺团片实变、磨玻璃(粘液飘散)、网格影(肿瘤侵犯+粘液排出),边界不清,支气管枯树枝改变,右下肺明显强化,咳大量白痰,考虑恶性,粘液腺癌实体性?
小兜 :
老年男性,咳大量白色泡沫痰,CYFRA21-1偏高,右肺可见大片蜂窝状改变加实变,宽基底与胸膜相连,增强扫描实性成分明显强化,考虑粘液腺癌可能。
大雄 :
这个应该算“假蜂窝征”吧?影像学专业书籍上对“蜂窝征”是有确切定义的,特指肺纤维化终末期不可逆表现,用于描述其他病变似乎不合适
王秀仙 :
右肺大片网格,蜂窝,实变影,支气管阻塞,外朝内,老年男性,咳大量粘液痰。考虑粘液腺癌。
尘缘 :
没多少依据支持粘液腺癌的。右肺以胸膜下实变,明显渐进性强化,局部栽脏伴肺内蜂窝样改变为主,白细胞增高,大量白色泡沫痰(不是大量白粘痰),肺内无明显粘液样密度,左肺也无明显粘液播散灶,支气管明显枯树枝样改变,狭窄僵硬,恶性没问题,还是鳞癌与普通型腺癌的鉴别,肿标和性别年龄,要考虑鳞癌可能,但强化较明显,还是腺癌排前面吧:腺>鳞。
傅昌瑜 :
老年男性,咳嗽、咳大量泡沫样痰,右肺胸膜下实变,部分边缘膨隆,右肺各叶蜂窝样改变,左肺见大小结节灶,考虑肺癌,粘液腺癌可能性大。
流心明智 :
男,65,咳嗽、咳痰6个月,加重半个月,大量白色泡沫痰。化验wBC、CYFR211增高。
胸部CT:肺气肿,右肺上叶大片团片影,中叶纵隔侧小片影,下叶大片团片影;实变+磨玻璃+蜂窝,边界较清,小叶内间隔增厚,边缘膨隆为主,长轴平行于胸膜;实变区明显均匀强化,内部血管影稀疏。左肺上、下叶结节灶。老年病人,慢性病程,大量白色泡沫痰,肺部病灶重力分布、胸膜阻隔、左肺转移
考虑肺炎型肺癌,粘液腺癌?鉴别TB、NTM等。
哦落花时节 :
老年男性,咳嗽,咳大量白色泡沫痰入院,白细胞高,cyfra211高,影像表现:左肺多发实变,斑片影及网格影,多叶分布,外周胸膜下为著,增强实性成分渐进性强化,考虑恶性,肺气肿背景下的粘液腺癌,鉴别OP
吴婧wj :
支持,应该考虑肺癌。病史长,六个月,没有发热,感染不符合,白色黏痰,符合粘液腺癌。影像表现为类蜂窝的改变。
小锁 :
临床:老年男性,咳嗽咳大量白色泡沫痰6个月,慢性病程,实验室中性粒及非小肿标增高。
CT:右肺弥漫实变影及磨玻璃影,内见小网格影及蜂窝影,病灶由胸膜下向外进展,明显均匀强化。
意见:老年,慢性病程,无明显发热等感染症状,咳大量泡沫痰,结合影像表现,考虑肺炎型肺癌。
谢加平 :
右肺叶见混杂阴影,见弥散小网格征,部分融合大网格影,部分见网格小结节征,右肺叶范围广,以右肺上叶及下叶为甚,相应边缘略膨隆,及胸膜下斑块实变强化明显病灶(支气管血管束结构消失),强化密度不均匀,见多发小斑点低密度影,轮廓不清,支气管进入病灶呈“枯树枝”状,远段阻断,左肺舌叶及下叶见多发散在GGO密影,沿支气管血束分布,以肺腺泡分布。纵隔窗实性成份减少,肺肿瘤标志物高,首选粘液性肺腺Ca,无需鉴别!

03
南边分析
南边 :
老年男性,病史6月,加重半月,特点咳泡沫痰
CYFRA21-1偏高
病史警惕肺癌,粘液类可能
无明显肺气肿背景下右侧GGO+实变中见蜂窝征

实变区在胸膜下,部分边缘膨隆,凸向胸壁

似有栽赃嫌疑
支气管在近端堵塞,或狭窄


实变近端
边缘膨隆+收缩
部分GGO边界偏清


余肺多发结节


综合分析:考虑肺炎型肺癌,含粘液类腺癌可能
如果要考虑鳞癌的支持点是觉得有栽赃,栽赃在粘液腺癌罕见
其他的似乎不合适。


结果

病例分析与体会
一.影像与临床:
1.老年男性,咳大量白色泡沫痰,6个月长病程。白细胞轻度增高,CYFRA211增高。
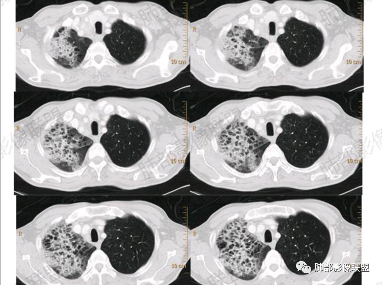
2.影像显示右肺较广泛蜂窝样阴影,上肺及下肺为主,未见液平及重力分布趋势。其中上叶后段及下叶后基底段近胸膜下可见实性密度区,实性密度区强化明显,周边特征掩盖不清。
3.病灶区叶段支气管显示较满意,未见明显狭窄、阻塞或截断。
4.左肺偶见小结节,但未见典型播散结节影。注意左肺未见蜂窝影。
5.纵隔轻度右移,提示右肺体积整体轻度减小。
6.纵隔未见增大淋巴结。右肺门掩盖。
二.综合分析:
1.老年男性,长病程,蜂窝样阴影,都提示病灶存在时间较长。
2.单肺或单肺叶蜂窝样阴影,CYFRA211增高等应当高度警惕恶性肿瘤,尤其是出现异常强化的实性密度区。正如有老师分析肺腺癌可能性较大!
3.尽管患者咳大量白色泡沫痰,但病灶区未显示重力分布趋势,大范围病灶并未见播散结节,粘液腺癌的可能性降低。病灶浸润破坏能力不强(蜂窝样结构尚存,胸膜受侵较迟等),强化较显著等,肺鳞癌可能性较小。
三.启示:
1.单肺或单肺叶蜂窝样阴影(注意不是双肺对称性改变),切不可掉以轻心!尤其是病灶逐渐扩大进而出现实变时。
2.多病例的临床实践表明,如为新生物,以肺腺癌居多。希望有更多病例加以总结。
3.部分病例磁共振扫描呈现大范围显著长T2信号影及蜂窝影,与CT表现并不完全一致。


知识拓展
蜂窝征蜂窝征是指CT上病变由多个密集的泡状、囊状低密度腔聚集在一起,宛如蜂窝状或蜂巢样。该征象可见于多种肺部疾病。CT表现蜂窝征表现为病变区内密度不均,呈蜂窝状低密度腔,大小均匀或不一,呈圆形或卵圆形。常累及一个肺段或整个肺叶,或广泛分布于两肺。蜂窝征疾病谱及病理机制如下:一、肿瘤肺部肿瘤多见于肺炎性肺癌(肺腺癌、鱗癌)。肿瘤所致蜂窝征由多个小泡集成蜂窝状,其大小比较一致。出现于边界清晰的磨玻璃影及实变影中。在肺窗上表现为小泡状模糊密度影,在纵隔窗上表现为小泡状透亮影。多见于腺癌,偶见于鱗癌。病理基础如下:①未被肿瘤组织占据的含气肺组织;②未闭合或扩张的小支气管;③癌组织结构间的含气腔隙;④沿肺泡壁生长的癌组织未封闭填充肺泡腔或破坏与扩大的肺泡腔。除蜂窝征外,还可见细支气管充气征、结节或肿块、实变、磨玻璃影等征象。磨玻璃影病理基础为肿瘤细胞沿肺泡壁生长,肺泡壁增厚,但肺泡腔未闭塞,内可有少量黏液或脱落的肿瘤细胞。二、间质性肺疾病弥漫性间质性肺疾病此类蜂窝征最常见的病因是特发性肺纤维化,约占50%。其次为各种结缔组织病(包括类风湿性肺病,进行性系统性硬化,皮肌炎、混合性结缔组织病,干燥综合征等)引起的慢性间质性肺炎。此外还见于石棉肺、结节病、外源性过敏性肺泡炎等。蜂窝为伴有肺破坏和肺结构瓦解的纤维化,其出现提示已是“终末期肺”。因此可见于所有引起终末期肺纤维化的疾病。病理上蜂窝为位于肺内的多个含气囊状空腔。它们通常起自扩张的呼吸细支气管,一般内壁衬以支气管上皮,有包括纤维组织、萎缩的肺泡和小肺血管构成的壁。蜂窝为伴有肺破坏和肺结构瓦解的纤维化,其出现提示已是“终末期肺”。因此可见于所有引起终末期肺纤维化的疾病。通常还伴有其他肺纤维化的征象,如胸膜下线状影、界面征、小叶间隔增厚、 牵张性支气管扩张、肺结构扭曲等。同时亦伴肺内磨玻璃影,其病理基础为肺泡壁间质的增厚,同时肺泡腔内充满炎性细胞、渗出液及受损细胞碎片,在慢性期,纤维细胞浸润修复受损肺组织及残留肺泡和细胞碎片导致受累区域肺内含气量下降。三、肺气肿及肺大疱病理上为终末细支气管远端肺实质内扩大的气腔,伴有肺泡壁的破坏。另外,组织学上缺乏明显的纤维化证据,肺气肿伴有肺大疱称为大疱性肺气肿(bullous emphysema)。肺气肿通常分三个亚型。①小叶中心型肺气肿是最常见类型。病理为支配腺泡的终末细支气管腔 炎性狭窄,位于小叶中央的2〜3级呼吸性支气管呈囊状扩张,而腺泡周围的肺泡管、肺泡囊和肺泡不累及,表现为直径几毫米低密度区聚集在小叶中心部位,周围绕以正常肺,多见于两肺上叶。②全小叶型肺气肿指病变累及终末支气管以下全部气道,也累及整个肺小叶,CT示全小叶肺结构一致性破坏,形成较大范围无壁低密度区,大小和形态不规则。肺野内仅剩血管、小叶间隔和支气管等肺内支持结构,为弥漫阻塞性肺气肿,中下肺野多见。③间隔旁型肺气肿的病理指病变选择性累及小叶的远侧部分,因此特征性的位于胸膜下区,肺周围部的小叶间隔旁。另外还有一种特殊类型肺气肿:瘢痕旁或不规则肺气肿,又称不规则形 气腔扩大,见于肺瘢痕、纤维化等病灶附近,与肺小叶或腺泡任何部位无关,常与细支气管扩张共存,形成所谓“蜂窝肺”。四、支气管扩张病理上多累及中等大小的支气管,管壁有单核细胞浸润,纤毛上皮变性退化,代之以鳞状上皮或柱状上皮,最后支气管管壁弹力层丧失,支气管肌肉和软骨破坏,导致不可恢复的异常扩张,常伴支气管壁的增厚。五、先天肺囊肿肺囊肿(pulmonary cyst)是胚胎发育障碍引起的先天性疾病,胚胎发育时期由原肠发生的肺芽,逐渐发展形成支气管树和肺泡。肺芽在发育初期是索条状组织,逐渐演变成管状,如果胚胎发育发生障碍,索条状结构不能演变成管状,远端的原始支气管组织与近端组织脱离,逐渐形成盲管,管腔内的分泌物不能排出,积聚膨胀就形成含黏液的囊肿。如果肺芽发育障碍发生在分支以后,则形成多发肺囊肿,如果一叶或多叶肺组织被蜂窝状的肺囊肿所占据,则称为囊肺。先天性肺囊肿的囊壁厚薄不一,内层由状或假复层纤毛上皮细胞组成,如果发生感染则可为扁平上皮所覆盖,部分为炎症肉芽组织;外层为结缔组织有弹力纤维、平滑肌纤维、黏液腺、软骨等组织。六、罕见疾病肺朗格汉斯细胞组织细胞增多症或肺淋巴管肌瘤病。HRCT上见到广泛的、多发的肺囊状阴影,一般提示为肺朗格汉斯细胞组织细胞增多症或肺淋巴管肌瘤病。病理基础为有清楚囊壁的含气腔,它们都有薄的可见的壁。囊壁可以由不同细胞成分中的一种所构成,通常为纤维性细胞或上皮细胞。囊肿大小与病程有密切关系,早期仅为数毫米,晚期则可达Icm甚至数厘米。前者发生病理机制为:以细支气管为中心的星状的星状间质性结节为病理特征改变,在疾病发展过程中,该结节逐步演变为囊性结节、厚壁囊腔,再到晚期薄壁囊腔,囊腔影为扩张的细支气管。后者发生病理机制为:细 支气管壁及其周围的类平滑肌细胞增生,使气道局限狭窄而致空气潴留,远端肺泡扩大融合呈囊状腔,囊壁由增生的类平滑肌细胞覆盖。两者囊肿形态及分布有各自特征,可借以鉴别。注:以上内容引自医学百科网

相关链接:【广西群读片系列】酷似炎性的肺癌!
                  南边老师讲晨读:一例酷似“孔雀开屏”的腺癌
             【联盟讲堂】潘军平(南边)老师11月21日晚8时《肺炎型肺癌的影像学特点》
编辑:许建林
审核:蔡笑燕  徐  晓
病例提供:赣州市立医院影像科  叶贱辉


到顶部