【每日晨读】一例支气管痰栓病例分析



(图片来自百度)












































参考资料

MSCT诊断
气道内痰栓和痰液滞留的价值
    支气管痰栓和痰液滞留在老年患者常见,尤其在慢支、肺气肿患者及脑血管意外、脑外伤手术后长期卧床患者中并不少见。
    支气管腔内分泌物,是由多种疾病导致支气管内粘稠的分泌物聚集而成,且排出障碍,往往伴有支气管扩张,分泌物可以是粘液、脓液或炎性物质。
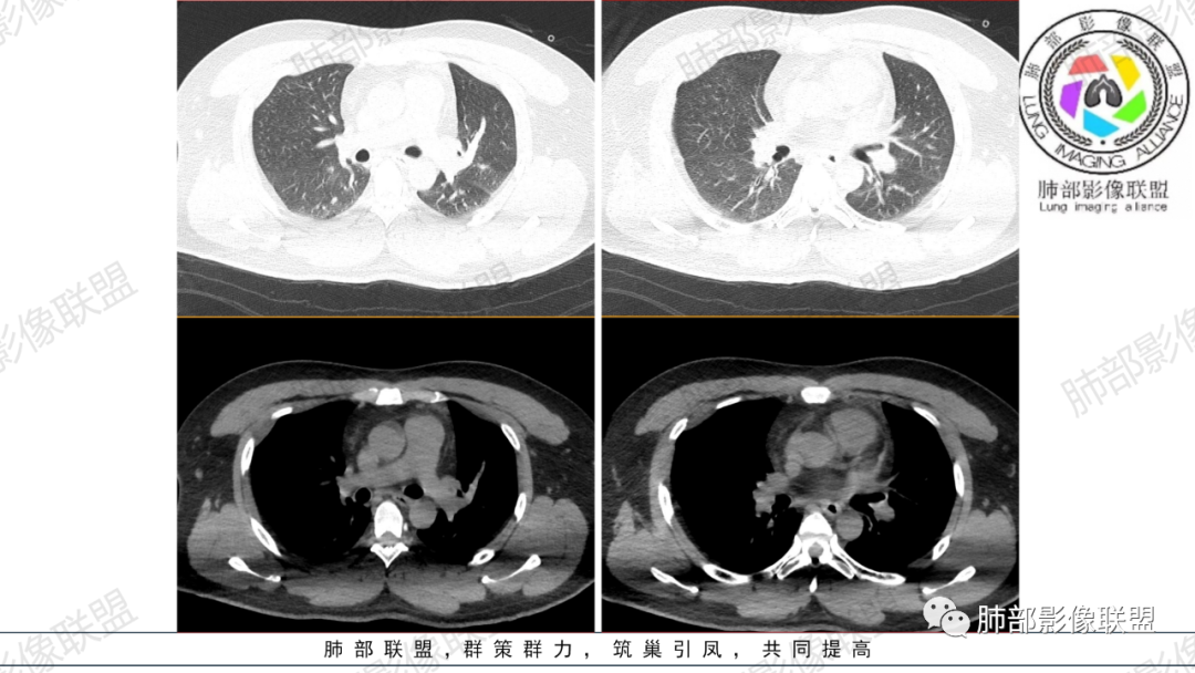
    支气管痰栓或粘液阻塞,临床上并不少见,本例患者有腹部手术或胸部外伤肋骨骨折病史,其原因多是长时间采取一种被动体位,因怕疼痛而不敢咳嗽导致痰液引流不畅,自主排痰有一定的困难,导致痰液形成后不能及时排除。滞留痰液集聚形成痰块,混合坏死组织,部分形成痰栓。痰栓附着在气道壁上,局部气道变窄,如果不及时通畅气道,导致原来肺部、胸腔病变加重或出现新的病变,严重者可致局部气道闭塞,相应的肺叶出现肺不张CT上支气管粘液栓形态多样,可呈圆形,类圆形,条状、指套状、葡萄串状等。
发表时间:2018-01-09T12:01:44.450Z
来源:《医师在线》2017年10月下第20期
作者:吴明峰

整理:赵永兵
审核:听雨


到顶部