【每日晨读】一根血管定乾坤








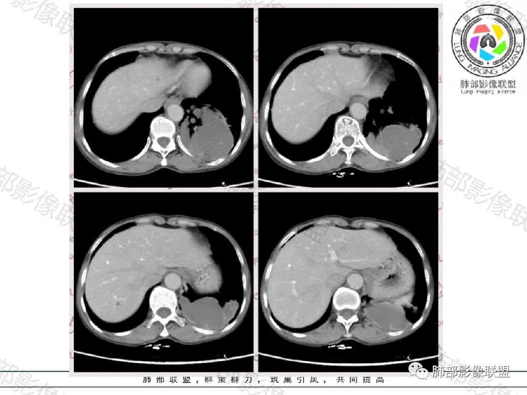
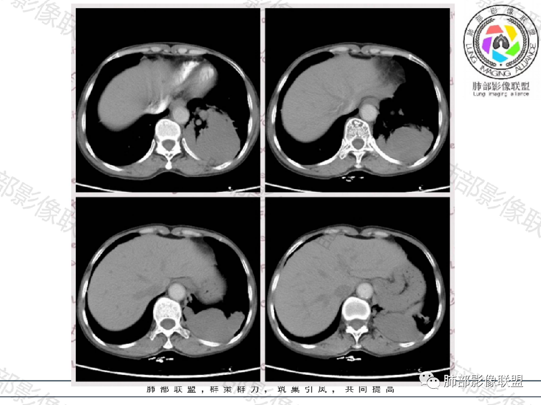
病例资料










***************************************************************



精彩讨论
一切∮随缘:
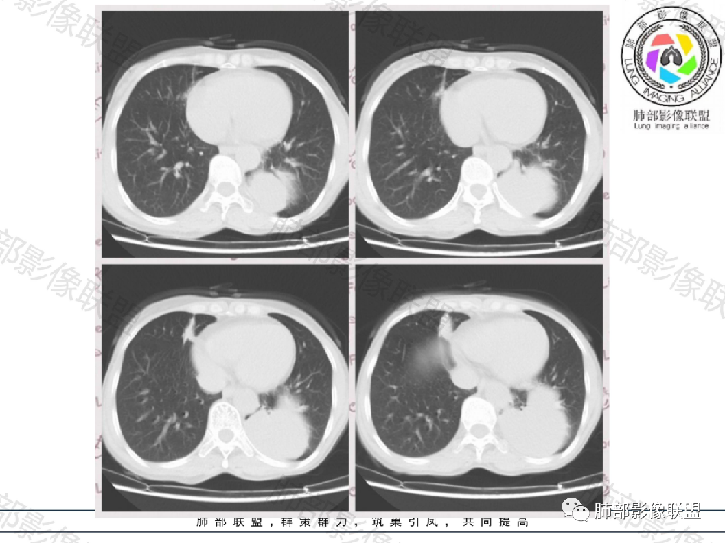
晨读:左肺下叶实性肿块,边缘光滑膨隆,近端支气管堵塞,远端宽基底与胸膜相连,部分胸膜下间隙消失,大肿块周围伴有多发小结节,小结节边缘光滑,平扫密度均匀,增强后不均匀强化,部分可见富血供强化,右肺下叶胸膜下条形实变影,收缩,右肺可能炎性病变,左肺下叶恶性肿瘤(癌肉瘤,肉瘤,鳞癌)
穿越七海的风:
左肺下叶多发囊性病灶,有相通融合,有分隔线,增强无明显强化,考虑囊肿类病变
大雄:
中年女性,体检发现左下肺占位,囊性为主,增强扫描大部分无强化,仅有局部边缘强化,似见内部分隔,可能为支气管壁,边缘有散在小结节,强化一致。
可能符合的疾病谱:
结核(干酪坏死伴卫星灶)
支气管囊肿或闭锁(需要薄层看支气管的关系)
肉瘤样癌(女性少见,和鳞癌一样多见于长期吸烟史老年男性)
王江涛:
需要先排除隔离肺
飞鹰行动:
晨读病例,中年女性,体检发现病灶,左肺下叶多发囊性病灶,部分相通融合,内有分隔线,边界清晰,增强病灶无明显强化,考虑支气管囊肿或闭锁,神经节细胞瘤,其次感染性病变(结核)。
采莲:
老年女性,查体发现,无症状,左肺下叶大肿块周围有同样小病灶,密度低,有包膜,多发囊样,内部无明显强化,周围轻度强化,支气管推移有狭窄,周围肺组织挤压,与胸膜宽基底相连,长轴与胸膜平行,考虑来源胸膜,SFT应该不均匀强化,考虑神经源性肿瘤,鞘瘤?鉴别SFT,肺隔离症,神经内分泌肿瘤等。
必有路:
晨读:左下肺不规则病灶,内侧带结节,液化/低强化,左肺萎缩或者占位效应均不明显,周围没明显阻塞压迫,考虑隐球菌感染,鉴别气道发育畸形,肉瘤样癌 黏液类肿瘤
许慧良:
晨读:中年女性患者,无症状体检发现,胸部CT:左下肺外后基底段胸膜下不规则病灶,内部密度均匀,边缘部分光滑,部分分叶,呈膨胀性生长,增强扫描无强化,支气管血管显示不清,冠状位与脊柱的关系似D字征,综合考虑良性病变:
结核?支气管囊肿?神经节细胞瘤?
必有路:
先天气道畸形应该放后面
宇宙:
左肺下叶胸膜下囊性肿块,其内见分隔,囊壁强化,周围多个小囊性病灶,周围肺组织无气肿,考虑1支气管囊肿或闭锁2CCAM
心灵鸡汤:
左肺下叶团状稍低密度影,周围部分类圆形稍低密度影,边缘部分膨隆,内朝外,与下叶支气管关系密切,邻近血管未见推移,与胸膜是糊墙改变,增强分隔轻度強化,其内稍低密度未见明显强化,定位肺内,常规考虑支气管囊肿或闭锁,隔离征?粘液性肿瘤待排。
joyzhy:
体检发现,左下肺病变,增强似乎没强化,其间血管走形,感觉是液性病变。发育畸形可能,ccam?隔离?鉴别产生粘液类涎腺肿瘤,支气管囊肿等
蓝天白云:
晨读:左肺下叶囊性肿块,边缘光滑膨隆,近端支气管堵塞,临近肺呈受压改变,与胸膜平行,近端多发小结节,小结节边缘光滑,似见轻度强化,血管贴边,内见分隔,考虑良性病变,支气管源性囊肿,结核或隐球
流心明智:
晨读:中年女性,无症状。胸部CT:左下肺后基底段肿块样病灶,边界清楚,患侧肺体积有减小。边缘光滑,囊性为主,可见分隔,相应肺段支气管未见,邻近肺受压,增强扫描强化不明显,仅有局部边缘强化,可能为支气管壁。个别层面似有肺外血管穿入。周围有散在小结节,形态、边缘、密度、强化一致。右下叶前基底段索条影。
考虑:支气管囊肿>肺隔离>CPAM>TB,鉴别Ca。
慎独:
中年女性,左下肺占位,以囊性为主,增强扫描大部分无强化,仅有局部边缘强化,内部似见分隔,边缘有散在小结节,强化一致;考虑良性病变,1.支气管囊肿?2.左肺下叶肺隔离症?3.隐球菌感染?4.右肺中叶内侧段慢性炎症。
慎独:
血管没有做,三维也没有图


南边老师分析
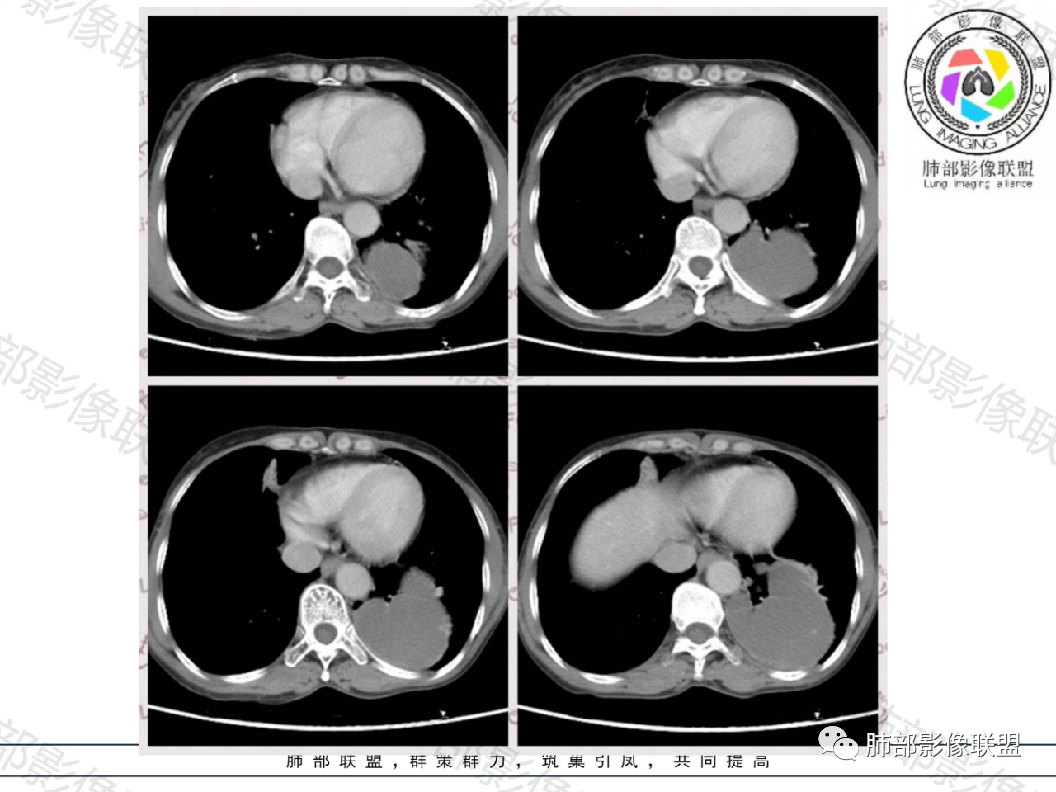
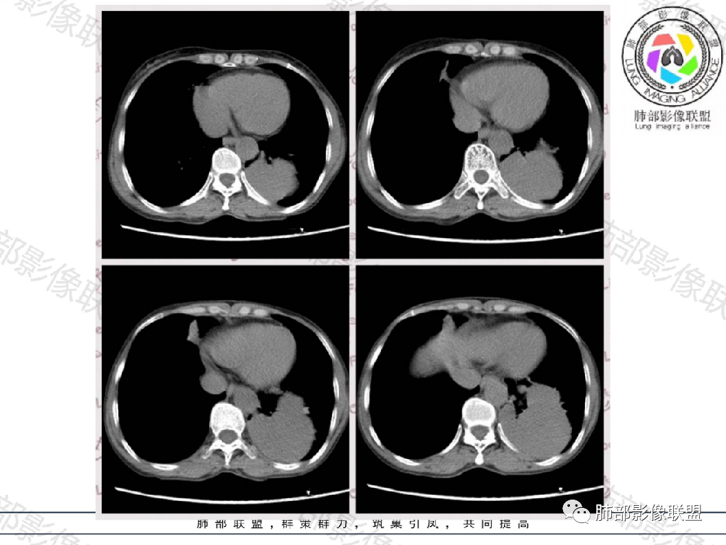
南边:
这区域,囊性
南边:
隔离常规是要考虑的,我需要看到供血血管
南边:
如果明确不是体循环供血
南边:

南边:
这些结节是相连的还是独立的
如果相连,我觉得有没有可能管状影
小赵:
@南边?潘老师,陈老师一会儿发视频到这里
南边:
总体还是倾向于:肺内,囊性,先天性病变可能
特特:
特特:
吴婧wj:
隔离肺
特特:
特特:
这个比较慢一点
吴婧wj:
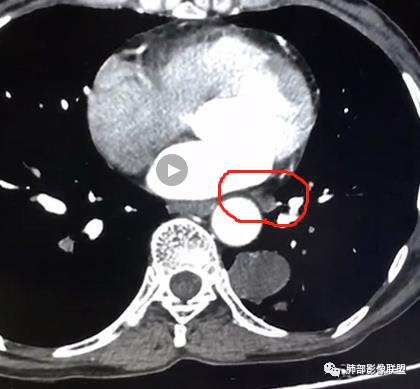
膈下的体动脉供血
南边:
体循环供血
常规两类
1、隔离征合并感染
2、恶性肿瘤
吴婧wj:
囊性的,不考虑恶性肿瘤
特特:
南边:

必有路:
融合,隔离肺。。
必有路:
体循环供血
琦遇:
隔离肺

小赵:
@南边?潘老师,陈老师又发给我一个血管的VR重建,我发来
小赵:
南边:
这种常规来说,供血血管是非常清晰的。
就是一个体循坏的膈下的供血,我为什么考虑先天性的,我觉得左下肺是变小的。
我担心的是有些恶心肿瘤的,它也可以是体循坏供血。
但是这么明显的少,放个待排吧,首先选择隔离征吧。


病理结果

大雄:
结果还是:肺隔离症
病理上有时候是分不清支气管囊肿/闭锁,隔离肺和CCAM的
这类先天性病变表现为囊性的时候,影像诊断>病理
这个病理结果结合影像,有明显的体循环动脉供血血管进入病灶,诊断隔离肺 没问题


肺隔离症
定义:肺隔离症也称为有异常动脉供血的肺囊肿症,是临床上相对多见的先天性肺发育畸形,为胚胎时期一部分肺组织与正常肺主体分离,单独发育并接受体循环动脉的异常动脉供血,所形成无呼吸功能囊性包块。
分型:隔离肺可有自己的支气管,分为叶内型和叶外型。
叶内型:位于脏胸膜组织内,其囊腔病变与正常的支气管相通或不相通,临床多见;
叶外型:被自己的胸膜包盖,独立于正常肺组织之外,囊腔与正常支气管不相通。
供血:体动脉供血,多来自胸主动脉下部或腹主动脉上部,较为粗大,直径0.5~2cm,异常动脉多在下肺韧带内,经下肺韧带到达病变部位

    一、隔离症的血管
1.有体循环供血动脉
2.并无伴行静脉,回流到纵隔的血管不容易见到
3.相应流量的静脉,在隔离症周围通常仅有肺静脉
4.供血动脉形态有改变,常有扩张及退变



   二、肺隔离症病理谱系
•支气管的狭窄---肺气肿
•支气管部分(有几支闭塞)堵塞---中央实变加周围肺气肿
•支气管几乎完全堵塞---完全实变,没有肺气肿,但容易感染
•支气管完全闭塞---完全实变,不容易感染
   三、隔离症发生时间及原因
•推测发生于出生后
•最初体循环供血并不影响肺组织发育结构,因为血压相等
•出生后血压不平衡,肺动脉难以发育,伴随支气管也发育异常
•随着年龄增大,体循环血压持续上升,影响持续增大
    四、隔离症疾病发展过程
•最初是婴儿期的体肺动脉压力差形成,局部血供替换
•接着是支气管肺动脉结构改变,支气管狭窄,肺动脉不发育
•然后是空气张力作用下远侧支气管扩张及肺气肿形成
•反复的积液感染,形成实性囊性混合病变
•感染可以向周围播散






关于“肺隔离症”与“异常体循环动脉供血下肺”
当前CT血管成像技术条件下,发现异常体动脉供血肺组织已非难事。
“肺隔离症”与“异常体动脉供血正常左肺下叶”区别在哪里?
1.“肺隔离症”必须具有异常体动脉供血及相关的肺部囊样病变或囊实性病变,而“异常体循环动脉供血下肺”的肺部没有这样的相关病损。
2.“异常体循环动脉供血正常左肺下叶”的下肺组织相对正常,支气管与其他相关正常肺支气管结构顺延。
3.个人以为,采用“无隔离肺的异常体循环动脉供血”的名称也许更为贴切,因该部分肺组织体积有缩小,血供有异常,不宜用“正常”二字表述,且有异常体动脉供血右肺下叶的报道。
4.“无隔离肺的异常体循环动脉供血”的供血动脉常常较为粗大,多为肺静脉引流。体循环的动脉压力约为肺动脉6倍,如循环血量过大(如有短路更是如此),局部肺血增多,血流动力学类同主动脉血回流左房室(左-左分流),左心前负荷增大,患者可能会出现咯血、心脏大血管杂音、心功不全等临床表现。
5.“无隔离肺的异常体循环动脉供血”的鉴别诊断尚需包括动静脉瘘。


01
【肺部联盟讲堂】肺“隔离症”的病理影像学-王兆宇
02
  肺隔离症?发育不良?or肺囊肿?且听南大深入剖析
编辑:任正纲
审核:蔡笑燕    於雄
编辑:长沙市中医医院 陈婷婷



到顶部