【每日晨读】“火灾肺”--急性烟雾吸入性肺损伤




病例资料






























微信群发言
许慧良:
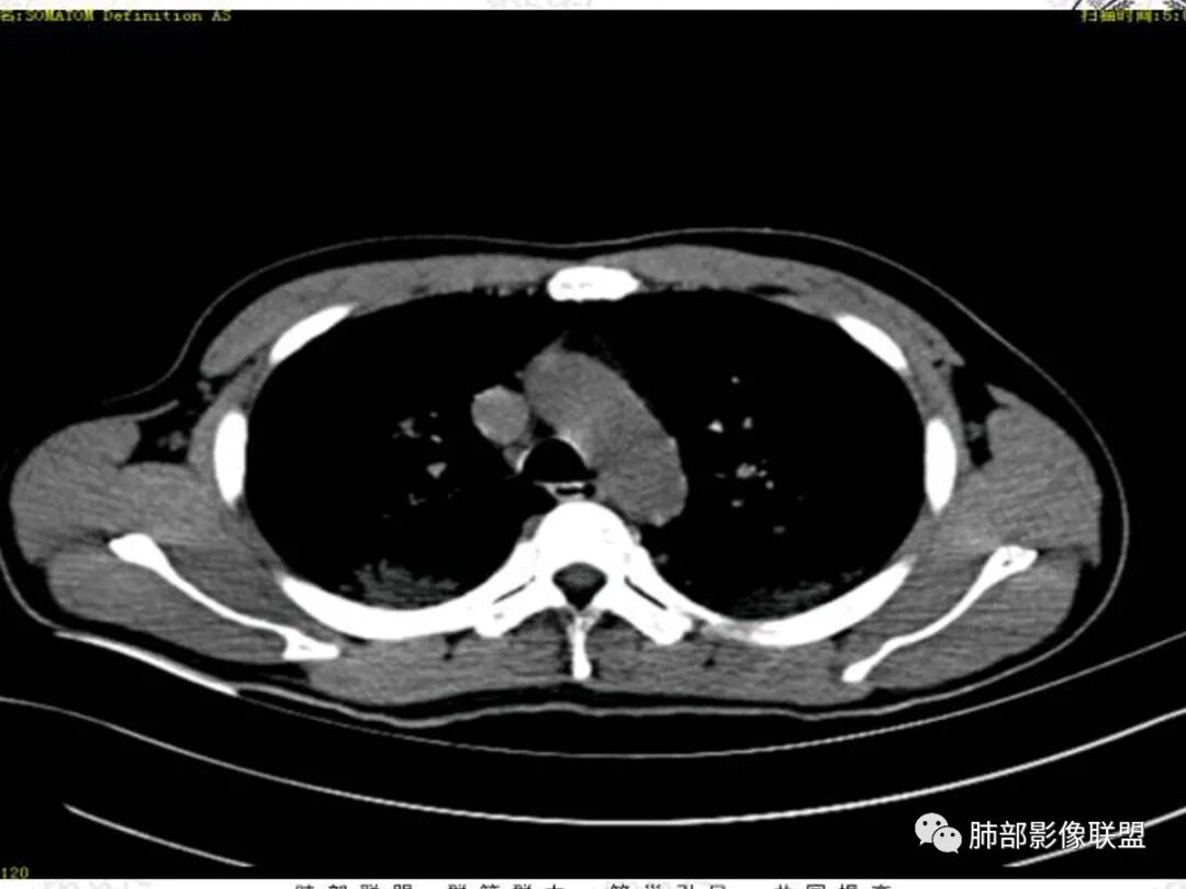
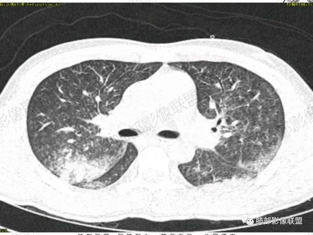
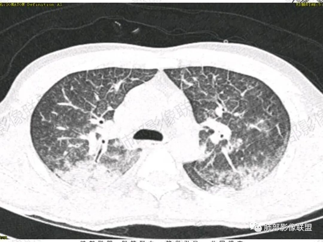
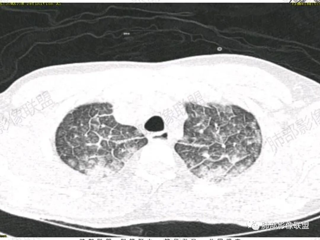
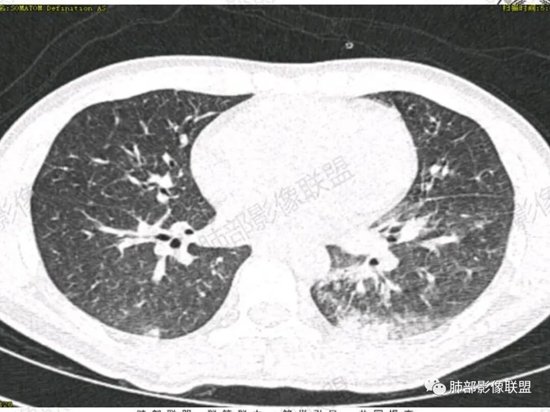
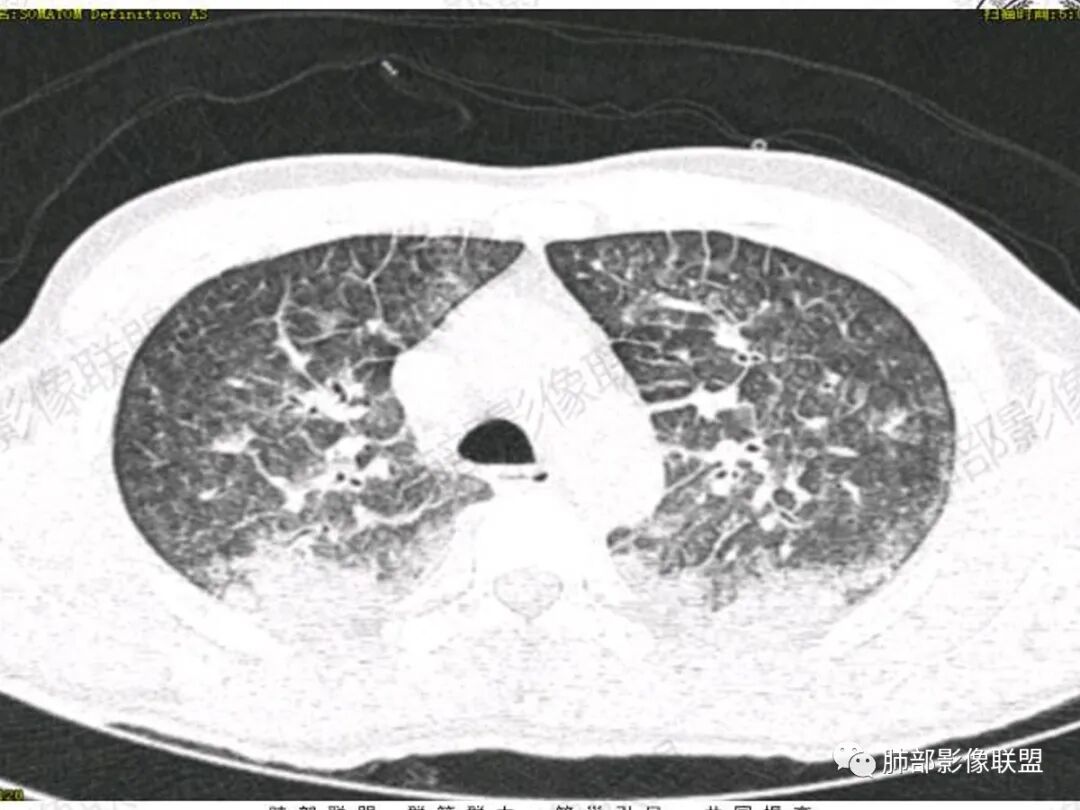
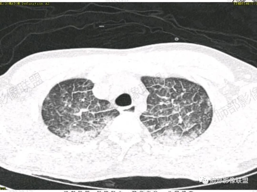
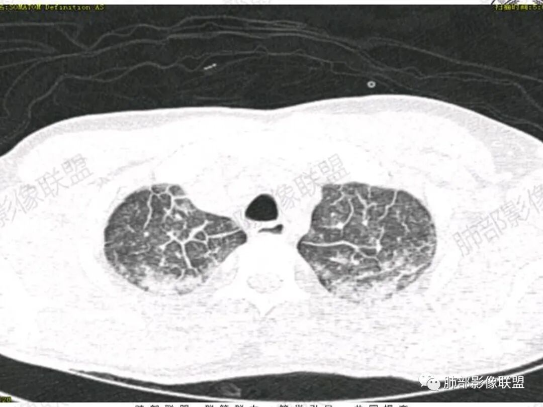
青年男性患者,气促7小时入院,白细胞及中性粒明显增高,PCT增高,CRP不高,心率快,呼吸急促,意识模糊,低氧血症,I型呼吸衰竭,PH偏低,失代偿性酸中毒,BNP偏高,胸部CT:双肺弥漫性多发斑片状实变密度影,双上肺明显,间质改变为主,综合:年轻男性,急性起病,迅速恶化,考虑中毒可能,鉴别:PCP,过敏,
一切∮随缘:
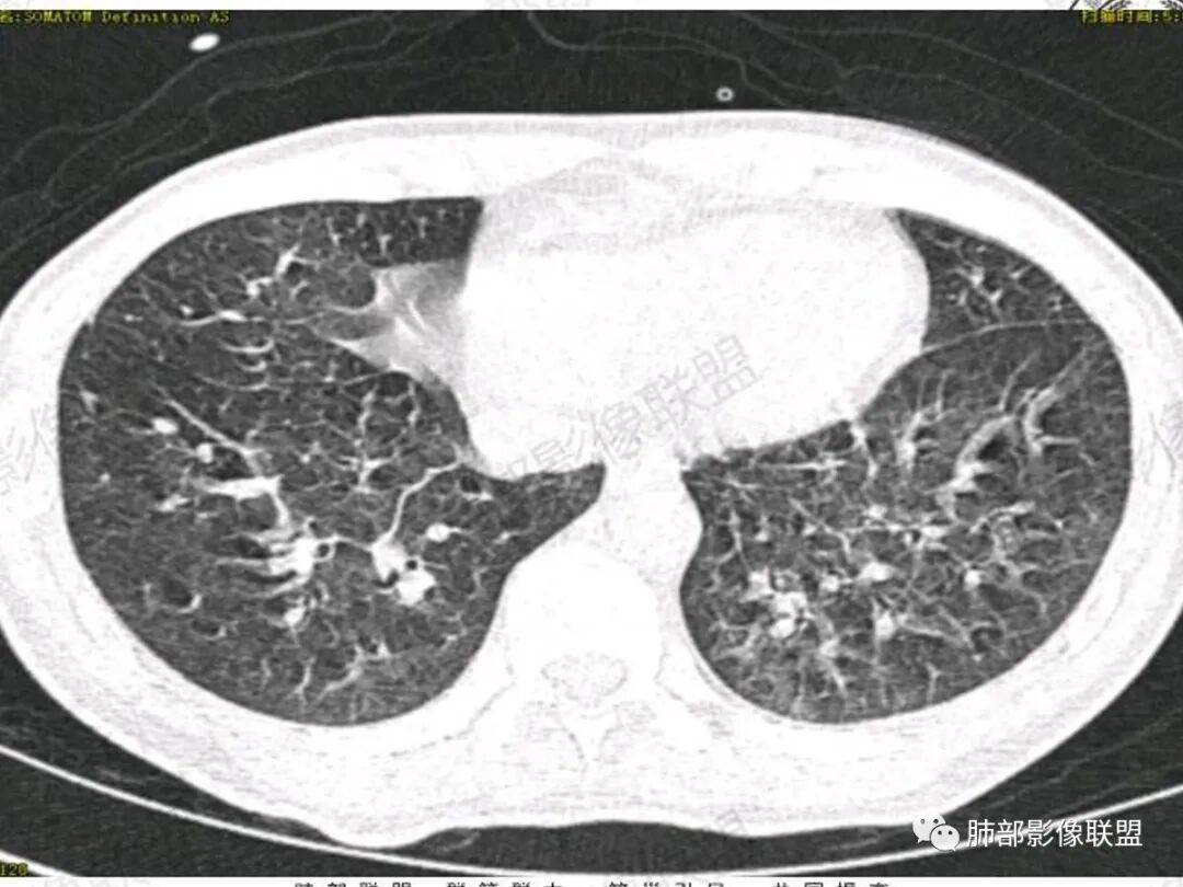
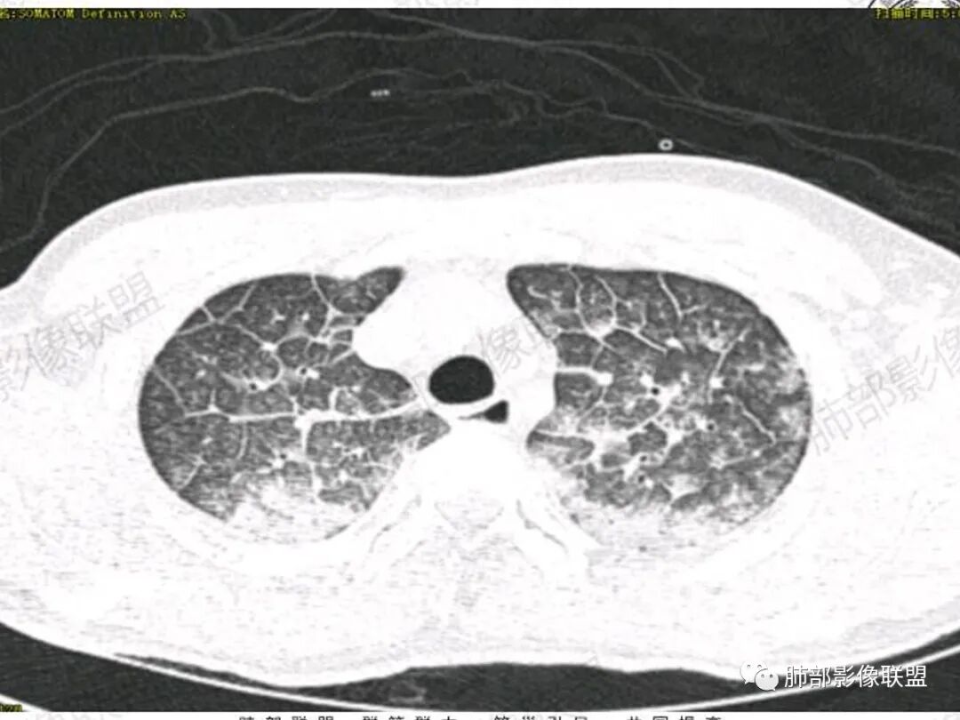
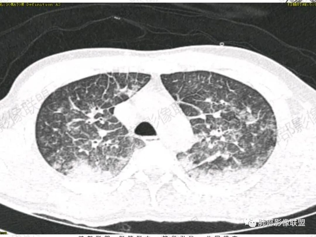
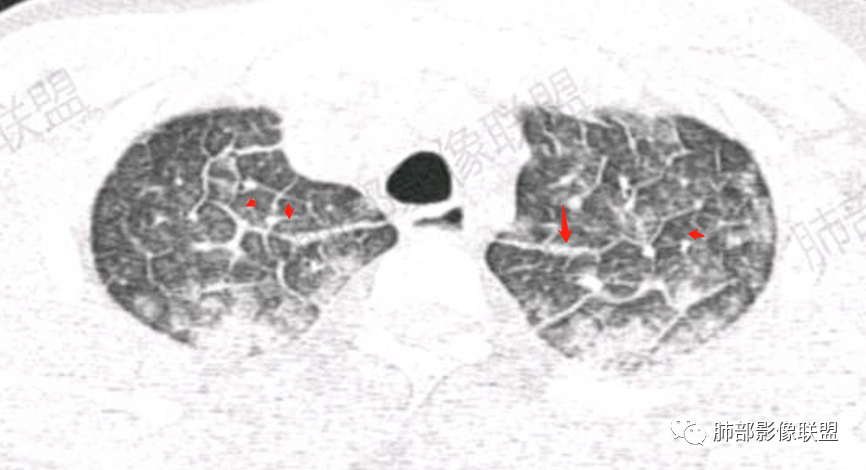
双肺上叶,下叶背段多发斑片状实变影,以胸膜下分布为主,部分重力作用,以背侧为主,部分小叶间质增厚,部分周围伴有散在磨玻璃影,边界欠清,临床急性病程,血象增及PCT明显增高,意识模糊,考虑:吸入性肺炎?鉴别:AHP?CEP?PCP
肖慧娟:
37岁男性 气促 两肺对称分布磨玻璃及小叶间隔增厚,两肺上叶后段及下叶背段为著,有重力分布,下部密度较高,请结合病史排查肺水肿,理化性肺泡损伤  
谢加平:
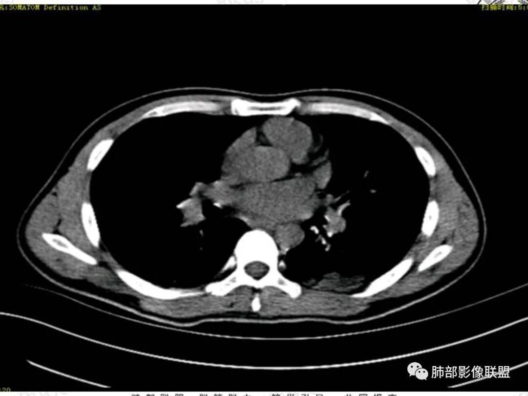
双肺叶透亮度对称性减低,呈磨砂状,小叶间隔规则增厚,上叶为甚,左右肺叶中轴间质增厚(示淋巴回流障碍),双肺叶弥散磨GGO征,以肺腺泡分布,双肺上,下叶融合片状,有重力分布特点,心脏大,肺动脉干增粗,首选心源性肺水肿,但无胸腔积液。与急性肺损伤和ARDS鉴别
必有路:
男性,急性起病,无发热,心率快,意识模糊,血氧低
实验室:wbc高,pct高 BNP偏高
血气:呼酸
影像:两肺上叶小叶间隔增厚,斑片,腺泡结节,重力分布,下肺不累及
诊断:吸入性肺泡损伤(气体)
鉴别:
非心源性肺水肿 BNP不太高,中轴不厚分布上肺为主,心脏不大,查肾功
感染  急性起病,分布对称,腺泡结节,不太好解释
综上:吸入性肺泡损伤可能性大,追问生活史,发病前后生活习惯
大雄:
临床起病急骤  呼衰、脉快 、意识模糊
中性粒及降钙素原明显升高
影像学提示肺水肿与肺泡腔液性渗出(小叶间隔增厚+实变+重力趋势),上叶显著。
考虑吸入性肺损伤可能性大
可能有隐瞒特殊病史,如气体或其他化学性中毒,溺水,误吸等等
尘缘:
这个影像就只能诊断到:考虑肺水肿,请结合临床。然后就是临床询问病史,病史出来了,结果就出来了。
THINKER:
单纯病毒丶非典,wBc丶pcT不会这么高而不发热,感染肯定是有,应该是球杆菌混合型感染,看pcT应该是脓毒症。小叶间隔丶支气管血管束都增粗了,间质水肿肯定是有,心影不大,无胸水,BNp正常排除心肌炎等心源性因素,高源性丶神经源性肺水肿wBc丶pcT不会这么高,单纯短期内病毒感染不会引起间质水肿,所以只有一种情况,掉水沟里或者是化粪池里了,吸入加混合型感染。
go and see:
双肺弥漫性病变以上肺,向心性,背部分布为主,肺动脉干无增粗,急性起病,典型的吸入性肺炎。
既有重力分布特点,也有吸入性特点,这个病例缺乏了特殊病史,是喝醉后还是别的原因引起的误吸。
双肺病灶比较均匀,倒是觉得掉入水里的溺水肺>误吸胃液的肺。
有外伤,还要排除合并神经源性肺水肿
傅昌瑜:
青年男性,气促7小时入院,意识模糊,白细胞及中性粒明显增高,PCT增高,CRP不高,心率快,体温正常,血压正常。胸部CT:双肺上叶小叶间隔光滑增厚,中轴间质增厚,弥漫性磨玻璃、多发斑片影,以上肺、背侧分布为主。影像表现考虑为肺水肿。病因:病史不支持肾功能衰竭、心源性、高原性肺水肿,无发热,似乎也不支持细菌、病毒、真菌等感染引起。吸入毒物?吸入水?


南边老师分析
南边:
肺水肿应该没啥疑问吧,就是病因的问题吧
对称性小叶间隔增厚

高密度影重力趋势

南边:
病灶的分布以上肺为主
确实要考虑吸入,倾向于吸入的是气体类的可能,因为朝上走
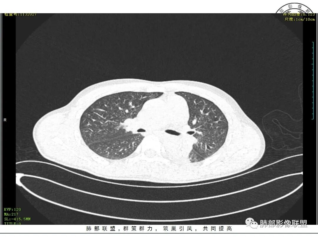
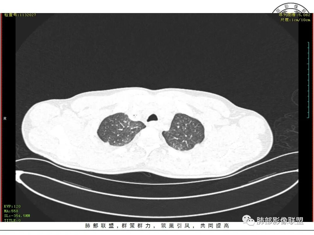
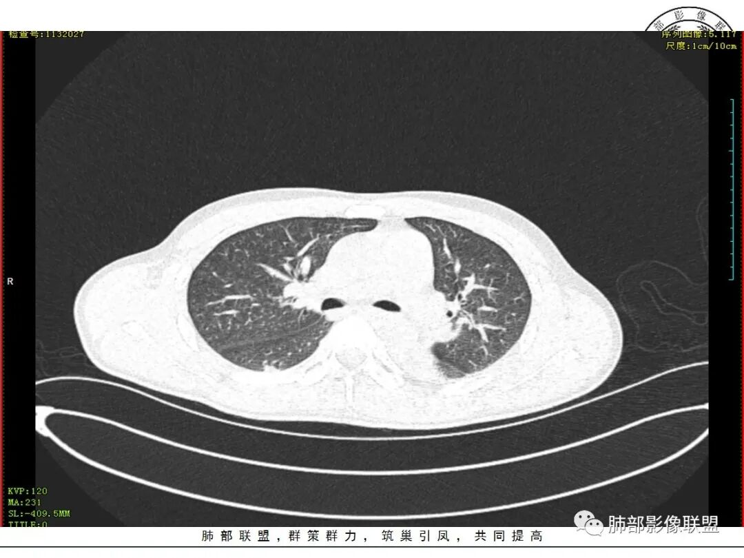
复查及病史












结果讨论


大雄:
结合病史,最终诊断是 “急性烟雾吸入性肺损伤”,影像学表现主要是肺水肿及弥漫性肺泡损伤改变,因为烟雾气体吸入肺内分布以上肺显著,因此影像学表现也是累及上肺更明显。损伤因素包括大量一氧化碳 二氧化碳 一氧化氮等燃烧产生的有毒气体,也有烟雾粉尘颗粒对气道黏膜的损伤。
本病例实验室检查中性粒及降钙素原明显升高,加上双肺弥漫性病变,容易误诊为急性感染性病变,而实际上非感染的炎症反应,也可以出现降钙素原的升高。中性粒细胞升高是由于炎细胞的激活:中性粒细胞聚集和激活是引起肺部毛细血管和肺泡受损的主要原因。在吸入性肺损伤早期,肺内各种趋化因子激活中性粒细胞,使其大量聚集于肺循环内,黏附在毛细血管表面并释放大量有害物质损伤内皮细胞。
临床上抗生素的使用主要是预防感染,肺泡损伤及巨噬细胞损伤,后期容易继发感染,但是抗生素的使用也可能产生耐药菌,因此需要综合考虑。
放开那盆小龙虾:
初始的pct升高也可以见于中毒等这种损伤
后续动态观察才能确定是不是感染,这种ARDS后期合并感染很常见
pct主要是甲状旁腺滤泡旁细胞产生,但是也可以有肺内或者肠内的神经内分泌细胞产生,像小细胞肺癌之类的,或者在肺、肠道等炎症情况下或全身炎症反应情况下,这些组织可以产生大量的PCT
病毒一般产生干扰素诱导pct降解,所以大部分病毒不会引起升高

文献阅读






文献来源:中华哮喘杂志2011年8月第5卷第4期;作者:孙磊 李代波 曹佳 (第三军 医大学军事预防医学院军事毒理教研室 重庆 400038 )
注:本文献转载仅用于学习交流目的,无任何商业用途,如有版权问题,请联系公众号删除。

相关链接:【吴婧专栏】84消毒剂所致吸入性肺损伤的影像表现及其动态转归
编辑:杨 丽  赵永兵
审核:徐  晓  於雄


到顶部