【每日晨读】纵隔肿瘤知多少,黄氏定律寻答案



讨 论
王开金江津中心医院呼吸科:
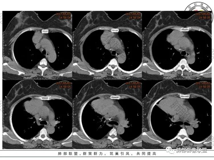
晨读,中年女性,前纵隔类圆形新生物,边缘光滑,内有钙化,考虑胸腺瘤,鉴别畸胎瘤。
张延军:
中年女性,体检发现,纵隔前外侧见不规则肿块,内见散在钙化灶,主动脉及心脏受压向后内侧轻度移位,增强后呈均匀性强化,未见明显坏死区,肺动脉延伸其中,轮廓光滑,肿块前外侧见胸膜尾。考虑胸膜来源可能性大,SFT?鉴别胸腺瘤
蓝天白云:
主要定位,胸膜来源,与纵隔脂肪间隙可见,sft。如果定位纵隔,考虑胸腺瘤。
春秋:
中年女性,体检,相邻肺组织受压,大部位于右前纵膈,貌似右侧内乳动脉增粗,肿物定位前纵膈,边界清晰,内见线样分隔及钙化,强化均匀!考虑胸腺瘤!
一切∮随缘:
晨读:定位前纵隔偏右侧,病变向右侧突出,形态欠规则,与肺组织交界清楚,右肺受压体积缩小,平扫密度不均匀,可见高密度钙化,增强后可见条状强化,51岁,考虑胸腺瘤囊变,囊性畸胎瘤,鞘瘤囊变
流心明智:
晨读:中年女性,体检发现病变。胸部CT:纵隔右前外侧不规则肿块,内乳动脉供血、胸膜掀起,肺动脉似乎也伸入其中?主动脉及心包受压向内后侧移位,肿块分叶、内见明显分隔、散在点状钙化灶,增强后呈均匀性强化。左侧膈顶有抬高?考虑:胸腺瘤(还是选B2吧)?鉴别SFT、神经源性肿瘤、淋巴瘤等。
小锁:
胸膜掀起,无胸膜尾征,肺侧肿块光整,纵隔侧肿块分叶,肺动脉供血不可靠,考虑胸腺瘤
陈学君:
中年女性,前纵隔偏侧占位,有分叶、钙化,轻中度强化,似见内乳动脉供血,符合肺外占位,考虑胸腺瘤,鉴别胸膜来源,SFT
云中月影:
晨读:前纵膈占位,分叶,密度均匀,增强轻度强化,其内见钙化,内乳动脉穿行,考虑胸腺瘤AB型。
山河:
晨读病例,前纵隔占位,肿块很大也没有坏死,首先倾向淋巴瘤
采莲:
中年女性,查体发现,右上前纵隔肿块,内乳动脉供血,纵隔脂肪间隙清晰,有强化。考虑来源纵隔,胸腺瘤可能性大,鉴别SFT。
吴婧wj:

最后一个平扫是吧。那么有强化,血管在里面走形,囊肿不考虑;有钙化,年龄不符合,淋巴瘤不考虑
有钙化我想到类癌,但是类癌强化比较明显,本例不符合。如果定位前纵隔考虑胸腺瘤ab型,有分隔有钙化
宇宙:
前纵隔偏右侧肿块,分叶,与心包及大血管间隙尚清晰,其内见分隔及点状钙化,轻度强化,内乳动脉供血,其内见纤细血管,无坏死及囊变,考虑胸腺瘤,AB型
Sugar阿Q:
右前纵隔占位,内见钙化灶,边缘光滑,增强扫描未见明显强化,考虑良性病变,胸腺瘤?畸胎瘤?
丽:
晨读,中年女性,右侧纵膈团块状软组织肿块,边缘膨隆分叶,内可见点状钙化,增强后均匀强化,常规考虑胸腺瘤,鉴别胸膜来源SFT
Yishion:
感觉得病灶跨胸膜,但是尖角指向纵隔,常规胸腺瘤,鉴别SFT
哦落花时节:
晨读,老年女性,右前纵隔、心包旁软组织密度影,内有斑点状钙化,周围脂肪间隙清晰,增强均匀强化,可见线样血管影,走行尚自然,考虑胸腺瘤,鉴别淋巴瘤、SFT
张慧:
前纵隔占位,考虑胸腺瘤。这样的病灶,临床一定手术了。具体分型等待病理结果即可
紫气东来:
定位前纵膈,边缘清楚,分叶,内钙化,强化轻度,考虑胸腺瘤,鉴别神经源性。
看图说话:
右前纵隔肿块,分叶,密度均匀,见钙化,均匀强化,血管走行自然,考虑胸腺瘤,鉴别淋巴瘤。
巴伟:
中年女性,前纵隔占位,分叶状,内有钙化,强化轻中度,似见内乳动脉供血,考虑肺外占位,胸腺来源,胸腺瘤,鉴别胸膜来源,SFT
小兜:
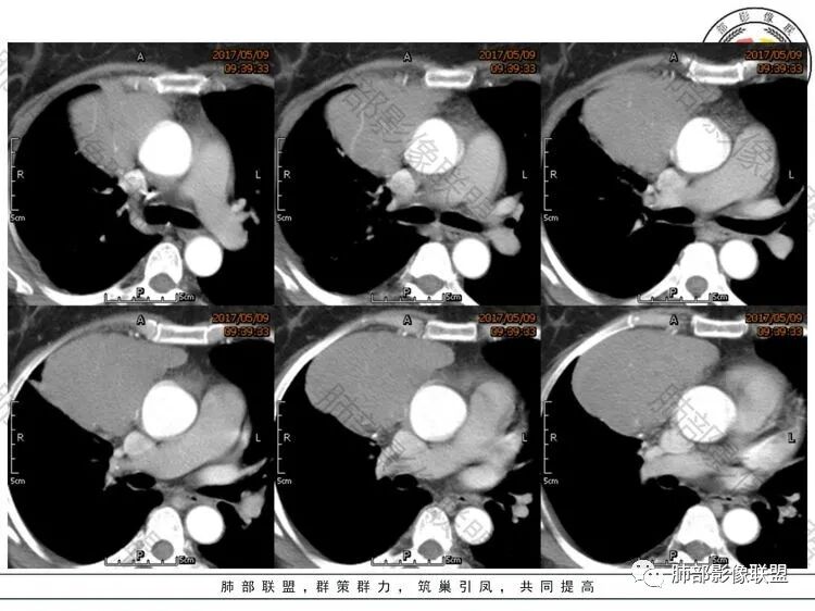
晨读:女,51岁,体检发现纵隔占位。CT示右前纵隔软组织肿块,密度较均匀,内乳动脉及临近大血管受压移位,边界清晰,内部可见点状钙化,增强扫描轻度均匀强化,内部可见血管穿行,考虑纵隔来源,胸腺瘤可能,鉴别SFT
许慧良:
中老年女性患者,无症状体检发现,右前纵隔纤维,瘤肺界面清晰,胸膜面脂肪间隙可见,无明显侵犯血管,内部密度均匀,见点状钙化,考虑胸腺瘤,
傅昌瑜:
晨读:51岁女性,前纵隔偏右侧占位,分叶?密度比较均匀,肿块内部见斑点状的钙化影,增强均匀强化,体动脉供血?从年龄看排除生殖细胞肿瘤,未见明显脂肪成分,基本排除畸胎瘤,首先考虑胸腺瘤。鉴别淋巴瘤。
了:
晨读,中老年女性,病史无特殊,CT前上纵隔肿块影,轻度强化,边界清楚,可见血管影,考虑胸腺瘤?
飞鹰行动:
老年人,女性患者,前纵膈占位,与纵隔脂肪间隙可见,病灶实性密度均匀,内见多发小钙化,增强内见条纹血管影,考虑SFT,胸腺瘤。鉴别淋巴瘤。
小丽:
中老年女性,前纵隔占位,密度较均匀,其内可见斑点状钙化,考虑胸腺肿瘤,胸腺瘤可能性大,鉴别于类癌
周太狼:
晨读:老年女性,右前纵隔分叶状软组织密度肿块影,内有斑点状钙化,周围脂肪间隙清晰,增强轻度均匀强化,可见线样血管穿行影。常规考虑胸腺瘤(AB型),鉴别淋巴瘤、SFT。
滴水海:
斑点钙化,轻度分叶,纤维分隔,坏死不明显,倾向AB型胸腺瘤,鉴别胸腺类癌及sft
王秀仙:
前纵膈偏右侧肿块,分叶,边缘清晰,内可见多发斑点状钙化,强化均匀,血管穿行,考虑胸腺瘤AB型,鉴别SFT。
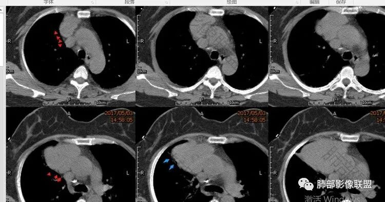
吴婧wj:
红色是掀开的胸膜,胸膜不是受压,定位前纵隔;蓝色是受压肺组织

有钙化应该不考虑淋巴瘤吧,还有年龄也不符合,淋巴瘤中心生长,这个偏侧,而且,胸腺瘤也不一定会坏死,淋巴瘤,是不符合的太多。其实强化也不符合,结节融合型他没有。弥漫大b他坏死不够,t母年龄不符。更别说还有钙化,诊断淋巴瘤是可能性太低


结果


总结
点石成金--黄氏定律
1.淋巴瘤一般都为乏血供,类癌血供还是很丰富。胸腺类癌,增强后大多数静脉期的强化还是高于动脉期的,这是类癌特点。 
2.类癌的边缘常较鳞癌清晰,部分类癌外侵不明显也是特点。对于胸腺区,外侵不是太显著的,如果血供丰富,要考虑胸腺瘤和胸腺类癌。
3.锁骨上淋巴结肿大,可以除外胸腺瘤。初诊时,侵袭性胸腺瘤很少血行转移,可以侵犯心包,术后胸腺瘤淋巴和血行转移可以见到。
4.胸腺恶性肿瘤多数直接侵犯临近的胸膜和心包,淋巴瘤多导致心包或胸腔的积液。
5.胸腺恶性肿瘤瘤肺界面光滑,一般不侵犯临近肺组织,但淋巴瘤侵犯临近肺组织常见。
6. 胸腺瘤和癌40岁以上多见,40岁以下少见,30岁以下罕见,这是规律。但类癌,可以发病年龄较小,在30岁以下,和肺的类癌一样。但我总结了17例,都在30岁以上,所以从年龄上不易区分。
7. 胸腺鳞癌,侵犯大血管是非常重要的特点,侵袭性胸腺瘤很少侵及血管,这一 点必须记住。
8. 成骨性转移,胸腺类癌常见。


黄勇老师倾心大作——胸腺肿瘤精准影像诊断上
黄勇老师倾心大作——胸腺肿瘤精准影像诊断(下)
编辑:周乔友(湘西州人民医院)
审核:清   茶


到顶部