【每日晨读】 扑朔迷离的 Castleman病


  
                                              
                              讨论部分
飞鹰行动:
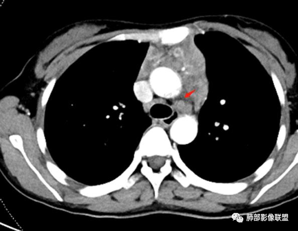
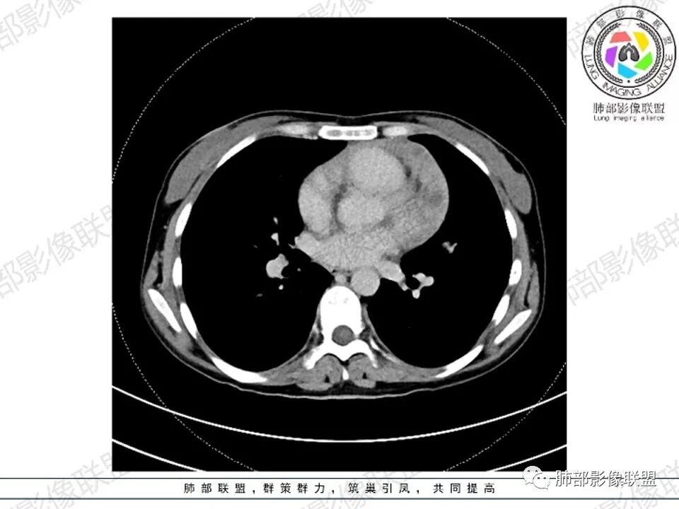
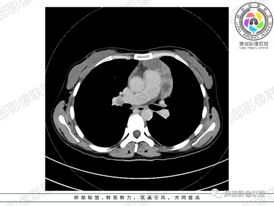
青年女性,贫血病史,前纵隔占位,增强病灶中度强化,可见血管包埋,考虑恶性病变,淋巴瘤,生殖类肿瘤待排除。
金豆:
定位前纵隔,肿块整体偏软,包绕血管,中度强化,中央坏死,腋窝淋巴结肿大,考虑恶性,考虑弥漫大B,鉴别胸腺癌(年龄不太支持)。
丽:
青年女性,前纵隔不规则软组织肿块,呈结节样融合,密度不均匀,见多发坏死,肿块包绕肺动脉主干,呈不均匀强化,多发低密度坏死无强化,内可见血管穿行,伴腋窝淋巴结肿大,考虑淋巴瘤可能大
张小兵:
年轻女性,乏力贫血,前中纵隔肿块,有多结节融合趋势,中度强化,坏死区边界清楚,左内乳淋巴结及双腋窝淋巴结肿大,考虑淋巴瘤。
秦化君:
年轻女性 前中纵隔多发肿块,质软,相互融合,向下侵及心包。增强不均匀强化,内见血管影。双侧腋下多组淋巴结肿大。考虑恶性,淋巴瘤,胸腺瘤。
蓝天白云:
前纵隔占位,多结节融合,内见坏死,坏死边缘清晰,内乳淋巴结及腋窝淋巴结肿大,包绕血管,贫血,年轻女性,考虑淋巴瘤,鉴别生殖细胞瘤,肉瘤
王江涛:
青年女性,前纵隔肿块,呈多结节融合状,内多发囊变坏死区,血管包埋,双侧腋窝淋巴结肿大,考虑胸腺淋巴瘤可能性大
食客:
前纵隔软组织肿块,融合,见多发坏死,强化不均,包绕血管,腋窝淋巴结肿大,考虑淋巴瘤
小强:
前中纵隔不规则肿块,似有多结节融合,强化不均匀,其内可见无强化区,年轻女性,贫血,考虑,淋巴瘤?淋巴管瘤并感染?髓外造血?
玫:
女,27岁,贫血,前纵隔不规则形软组织密度肿块影,边界欠清晰,其内密度不均匀,部分血管包埋,双侧腋窝见肿大淋巴结,考虑淋巴瘤可能。
宇宙:
前纵隔胸腺结节及肿块,融合,包绕大血管,不均匀强化,多发坏死,边界清,血管包埋,双侧腋窝肿大淋巴结,考虑淋巴瘤
东哥:
前纵隔不规则肿块,似多结节融合,包绕血管,不规则强化,考虑淋巴瘤
周太狼:
年轻女性,前纵隔多发淋巴结肿大融合,包绕心脏大血管,血管穿行。伴中纵隔、双侧腋窝淋巴结增大,考虑恶性,淋巴瘤可能大。
陈学君:
前纵隔占位,多结节融合,血管穿行,侵犯心包,考虑淋巴瘤
刘丹:
晨读前纵隔多发结节融合成团,包绕大血管,增强内有血管穿行,考虑淋巴瘤,鉴别胸腺肿瘤。
sun dt:
前上纵隔不规则肿块,多结节融合,边界欠清,多发坏死,腋窝多发大小不等淋巴结肿大,年轻女性,考虑恶性,淋巴瘤首先考虑,胸腺肿瘤不除外
巴伟:
前纵隔占位,多结节融合,多发坏死,边界欠清,血管包埋其中,不均匀强化腋窝见增大淋巴结影,首先考虑淋巴瘤,生殖类肿瘤待排!
月亮圆了!:
前纵隔不规则肿块,结节融合,边界不清,平扫密度欠均匀,增强多发低密度坏死,血管穿行,腋窝多发大小不等淋巴结肿大,年轻女性,贫血,发热。考虑恶性:胸腺癌。其次淋巴瘤
看图说话:
纵隔肿块,密度不均,边界模糊,侵及心包。增强不均匀强化,内见血管影。双侧腋下多组淋巴结肿大。考虑淋巴瘤,胸腺瘤,鉴别结核。
洪桥爱:
影像考虑淋巴瘤,但是与视力改变联系不上,应该有基础病,免疫缺陷继发巨细胞病毒视网膜炎?
滴水海:
年轻女性,长的比较奇怪,四不像,好像只有淋巴瘤可以解释,鉴别结核
大雄:
青年女性  多系统病变   头晕   贫血  视物模糊
纵隔多发结节堆积 塑型生长  质软 边界不清 强化不均  双侧腋窝淋巴结肿大
累及全身系统病变 , 淋巴瘤确实要考虑,
不过影像不太典型,坏死比较明显且边界不清
总体符合淋巴组织增生性疾病
初级诊断师:
年轻女性,贫血伴乏力,前纵隔占位,多发结节融合成块,爬孵感,边界模糊,不均匀强化,中心坏死,内可见血管造影,部分侵犯心包,双侧腋窝多发肿大淋巴结,首先考虑淋巴瘤
小兜:
年轻女性,贫血,CT示前纵隔团片状软组织占位,多结节堆积感,塑形生长,边界欠清,包绕大血管及心包,增强明显不均匀强化,内见血管漂浮。纵隔4R,5,7区及双侧腋窝多发肿大淋巴结,综合考虑为淋巴瘤可能
云帆沧海:
青年女性,前纵隔肿块,结节融合,边界不清,平扫密度欠均匀,增强多发低密度区,见血管穿行,考虑恶性
一切∮随缘:
前纵隔不规则肿块,多结节融合,边界欠清,延周围脂肪间隙生长,包绕主动脉及肺动脉血管,平扫密度欠均匀,增强扫描可见多发低密度坏死,并可见一条血管穿行,腋窝多发大小不等淋巴结肿大,年轻女性,考虑恶性:淋巴瘤,胸腺癌,肉瘤,浆细胞瘤
甄德强:
前纵隔占位,血管包埋,轻中度强化,考虑淋巴瘤。
红日东升:
年轻,前纵隔多结节融合样大肿块,包绕心脏大血管,伴中纵隔、双侧腋窝淋巴结增大,考虑淋巴瘤
云帆沧海:
青年女性,前纵隔肿块,结节融合,边界不清,平扫密度欠均匀,增强多发低密度区,见血管穿行,考虑恶性
南边:
捋一捋吧
青年女性。今天的病例化验这一块没提供啊
贫血3年,看病史可能更长
左侧视网膜脱离、双侧玻璃体混浊——3月
目前怀疑有可能是贫血所致
可惜无肝脏、肺窗CT图片
病灶两叶,相对独立,中央相连
整体还是胸腺的形态
边缘平直为主,稍膨隆,但是无明显的局限性凸起
囊变区域弥漫,大部分直达壁,分界不清,部分分界清楚
内部血管走形自然

多发淋巴结肿大

南边:
问题:胸腺区病变,从形态、分叶,判断胸腺来源病变应该没问题
胸腺增生、囊肿
淋巴瘤
多发淋巴结增大,应该考虑免疫相关的病变
问题就在于:这是不是肿瘤?
与眼病相关性如何?
常规还是一元论
采莲:
这么年轻会有视网膜脱落?玻璃体混浊,应该是有原因的
南边:
对!
应该是免疫相关的
目前病史认为是贫血所致
淋巴瘤会引起视网膜脱离吗
有没有相关的文献
滴水海:
这也是我得疑问,看上去胸腺的形态尚在
南边:
一般来说沿淋巴瘤都是附件啊
炎性首选,淋巴瘤其次
胸腺区病变确实不太支持肿瘤,但是也不敢排除
不吝慷慨:
@广东省结核病控制中心潘军平?月经期延长,引起的贫血,后视网膜或玻璃体混浊,可能与贫血有关
纵隔和肺门确实是有不少淋巴结,但是似乎不能说明恶性肿瘤
张燕萍:
纵膈占位及双侧腋下多发淋巴结,不规则强化,考虑恶性病变,淋巴瘤可能
烨:
从形态上看,像胸腺增生
流心明智:
女,27,间断头晕、乏力3年,左眼视物模糊2月。贫血。胸部CT:前纵隔不规则肿块,多结节融合,边界不清,沿主动脉及肺动脉间隙生长,平扫密度欠均匀,增强扫描可见多发低密度坏死,纵隔血管供血穿行,腋窝多发大小不等淋巴结肿大。考虑恶性病变,胸腺癌?肉瘤?淋巴瘤?鉴别胸腺瘤、结节病等。
云味:
前纵隔肿块,多结节融合状,内见坏死区血管包埋,双侧腋窝淋巴结肿大,考虑淋巴瘤
良孑:
年轻女性,慢性病史,前纵隔居中肿物,多发肿大淋巴结融合,不均匀强化,坏死边界清,可见血管飘浮征,双侧腋窝淋巴结肿大,定性恶性,年龄及肿物位置,坏死边界可排除胸腺瘤及生殖系统肿瘤,坏死边界清,血管飘浮,腋窝淋巴结肿大,病史较长,均支持淋巴瘤
赵春杨:
考虑淋巴瘤,鉴别结核。
谢加平:
前纵隔和双侧腋窝多发的淋巴结肿大,前纵隔为甚,融合呈中等强化,部分坏死呈低密度,包埋肺动脉主干和左心缘,融合斑块状,内见血管飘浮特点,前纵隔脂肪间隙混浊,首选淋巴瘤!
小锁:
临床:年轻女性,慢性病程,多系统病变,头晕,贫血,视物模糊。
CT:定位纵膈病变,前中纵隔多发肿块,质软,塑形,密度不均匀,边界清楚。增强不均匀强化,坏死边界清楚,血管漂浮征。双侧腋下多组淋巴结肿大,明显异常强化。
考虑淋巴瘤可能。
鉴别诊断:系统性疾病,胸腺增生,胸腺瘤,胸腺癌
尘缘:
赶个末班车,晨读淋巴瘤要考虑,但真的不好说,影像不典型。肉瘤三年病史也不是太支持,不典型结核感觉可能大
不典型结节病甚至也可能让大家翻车
心包恶性肿瘤伴转移也要鉴别
这个真不典型,不敢咬死淋巴瘤
                                   
                                       病理结果

                                        
                                           后续讨论   
尘缘:
我感觉考虑淋巴瘤的要翻车的
必有路:
MCD
滴水海:
这个表现也太少见了,囊变很多啊
必有路:
MCD有坏死囊变的?神奇  能质疑下病理吗
尘缘:
CD有点意外,范围太大,囊变太明显
这个需要随访,要看以后病情进展情况才能确定这个病理是否准确
嗯,这个不一定是最终结果
毕竟穿刺病理只是冰山一角
穿刺到的CD应该存在,但是到底能不能代表整个?而且估计穿刺是腋窝淋巴结,纵隔是否和腋窝同源?这些都需要随访,就像上周那个晨读穿刺慢性炎的结节一样,后面随访,手术结果又是腺癌
必有路:
嗯,这种临床还是需要随访,后续看治疗效果或者演变,有没必要再取病理
                    后 记
影像与临床:
1.年轻女性,间断头晕、乏力3年,左眼视物模糊2月。门诊以贫血待查收入院。
既往曾被诊断“缺铁性贫血”“贫血所致视网膜脱离”。实验室检查资料阙如。
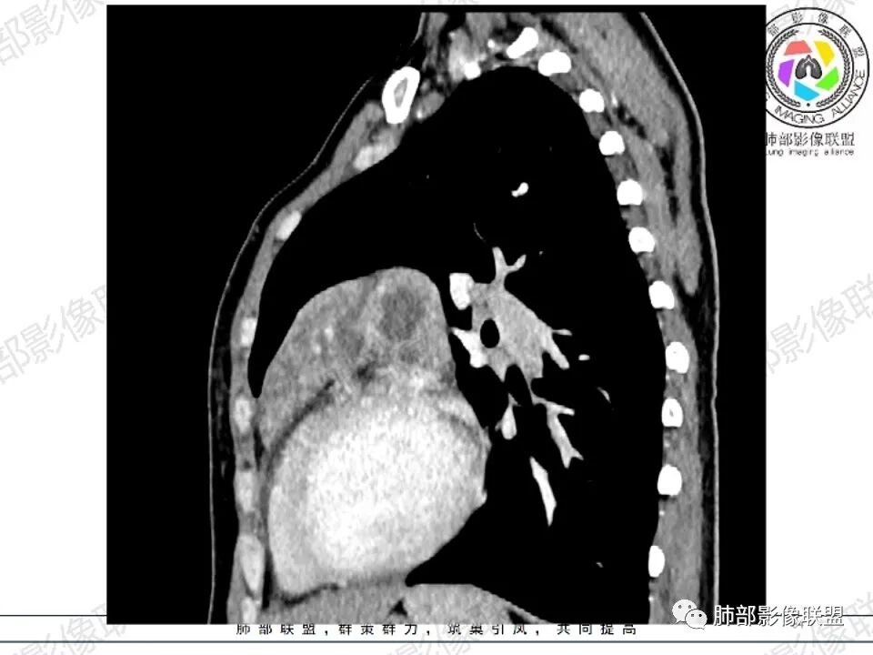
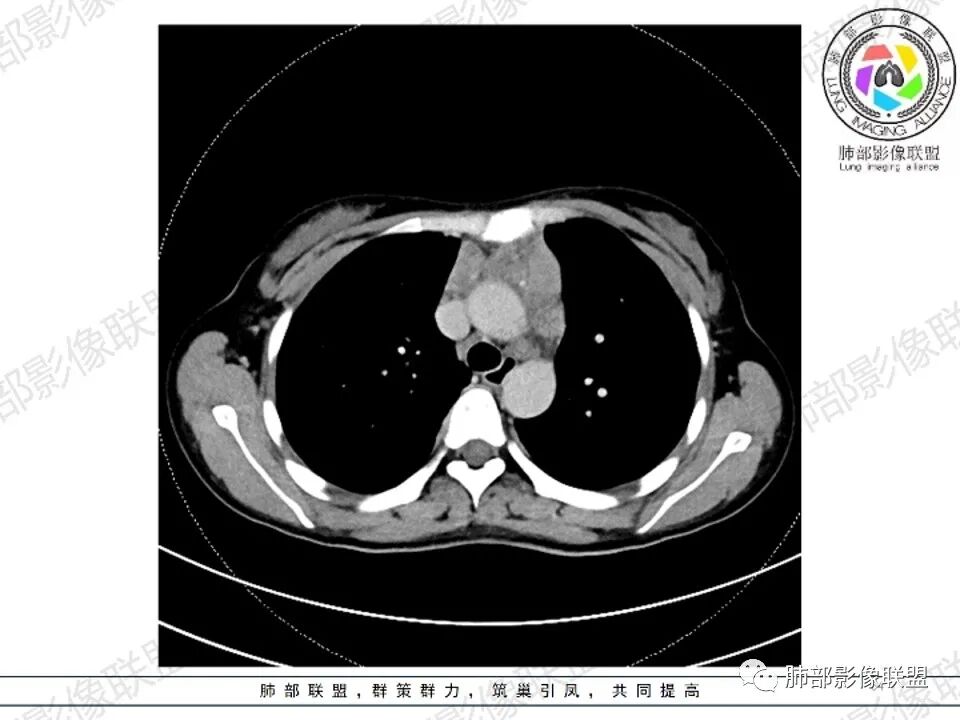
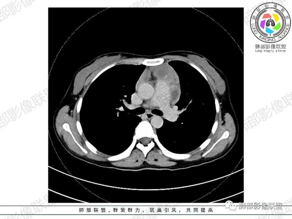
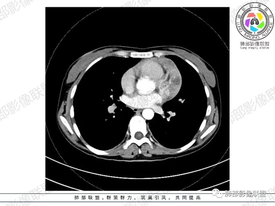
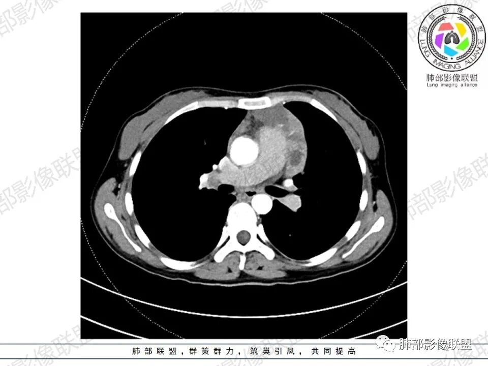
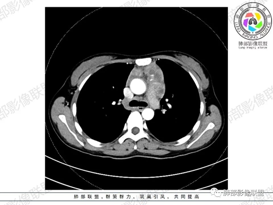
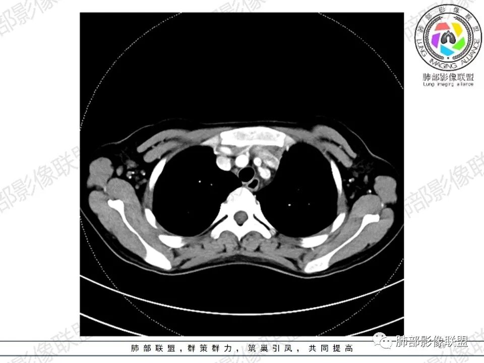
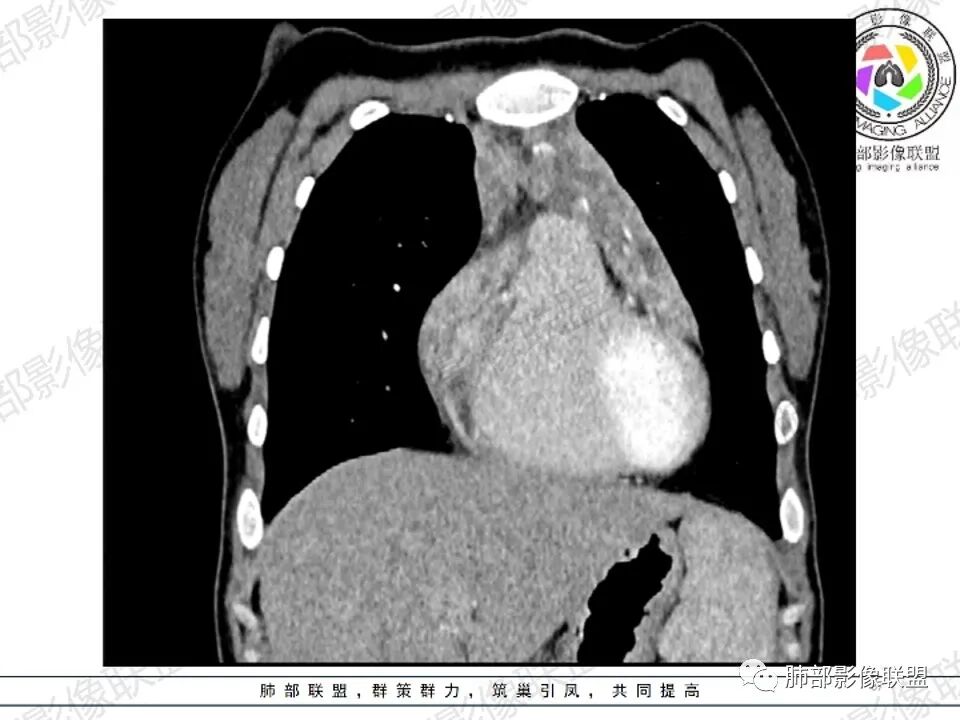
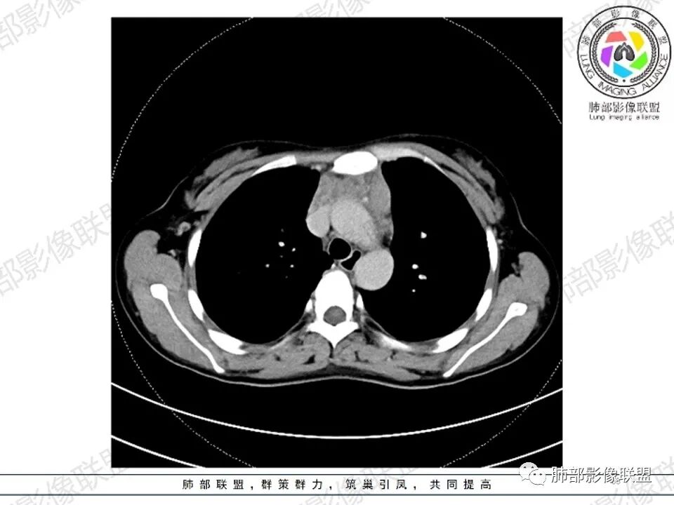
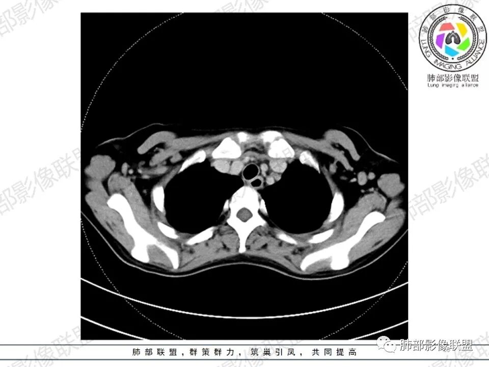
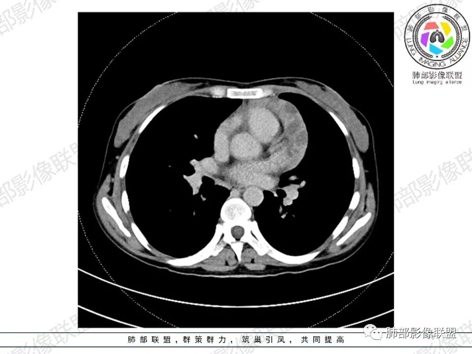
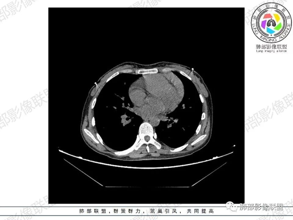
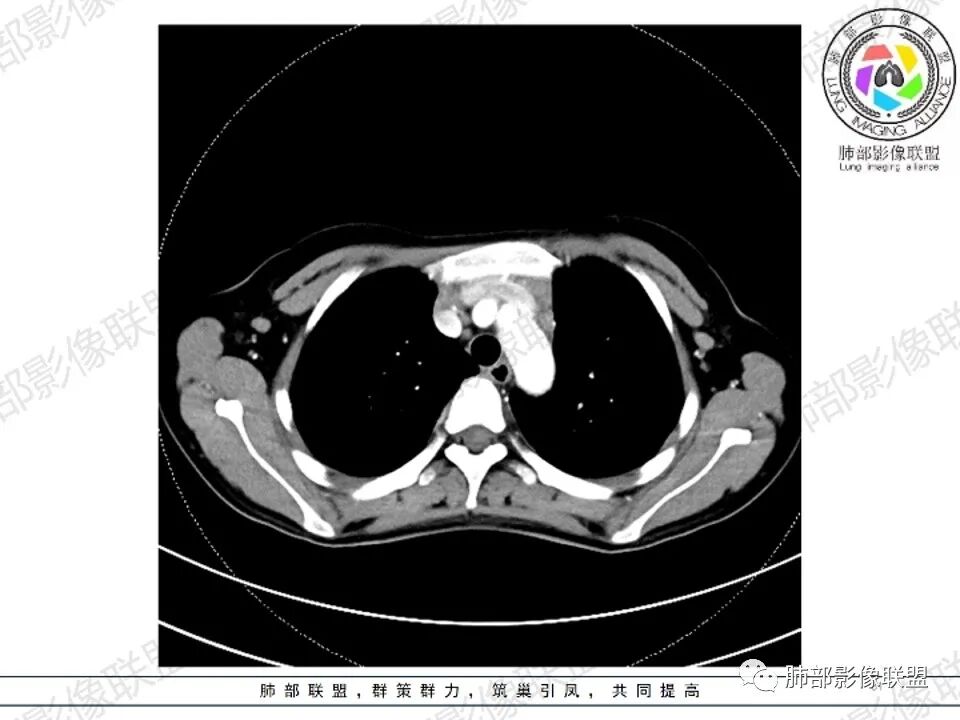
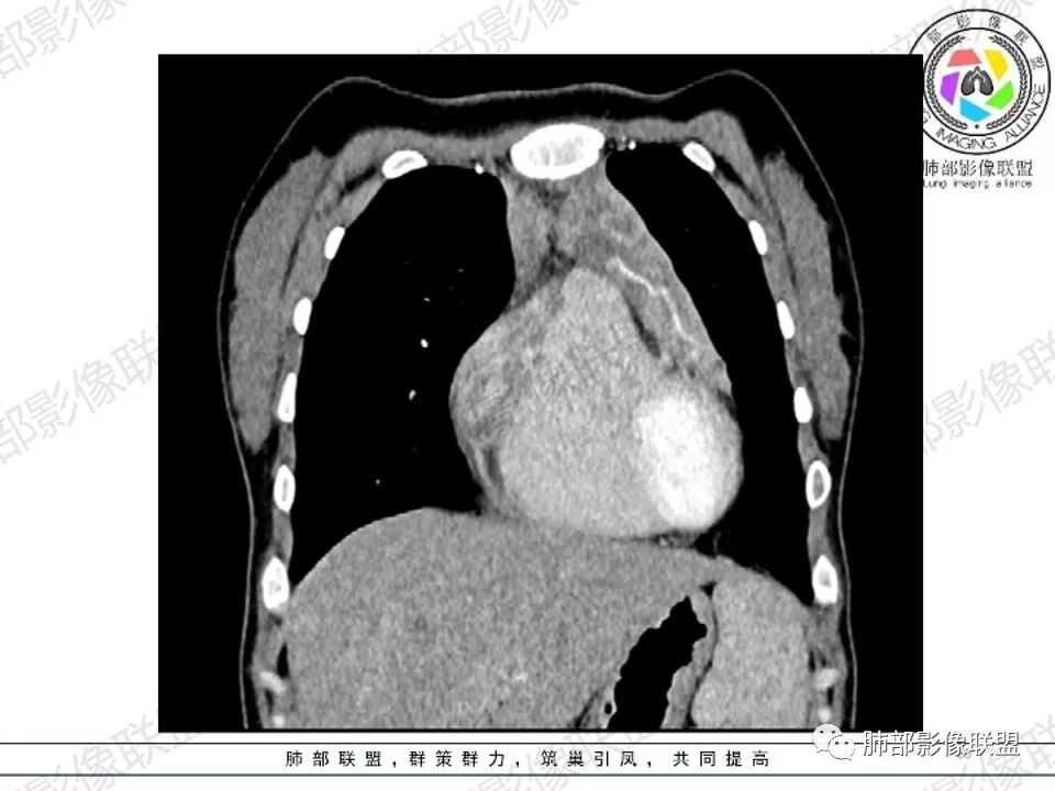
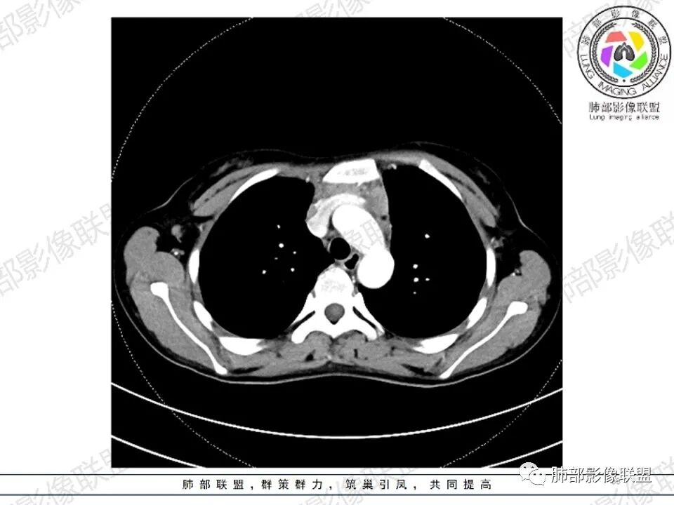
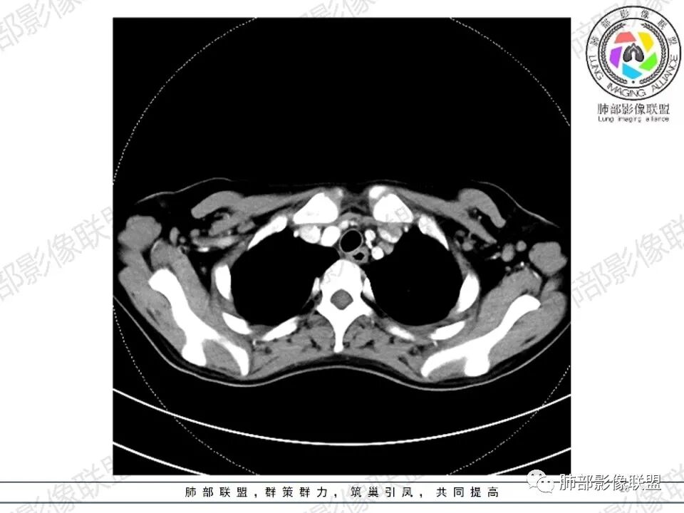
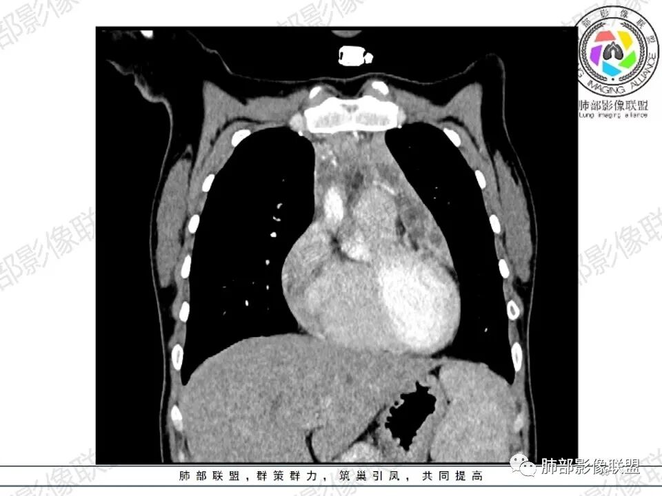
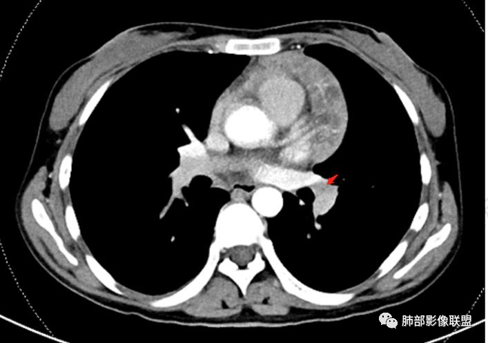
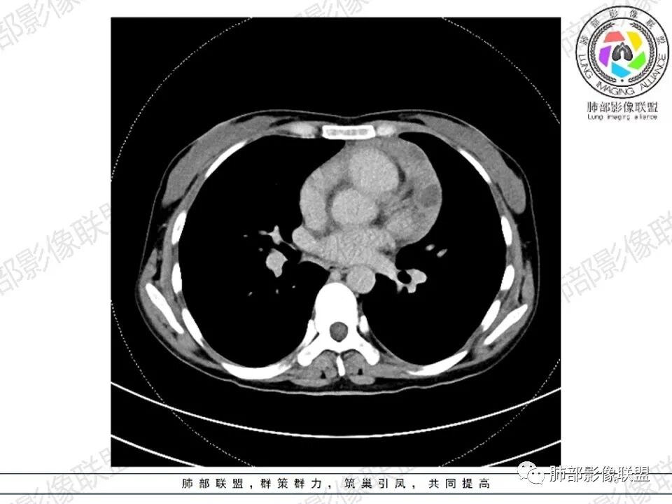
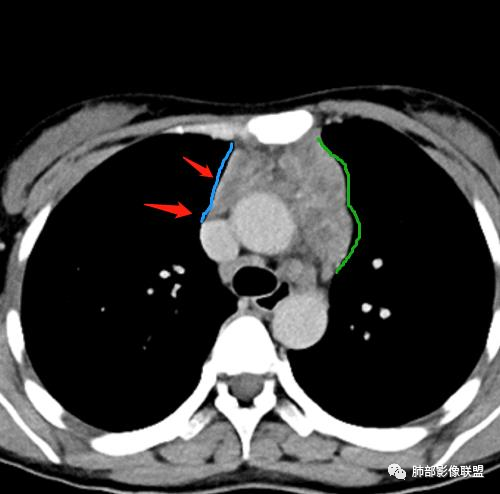
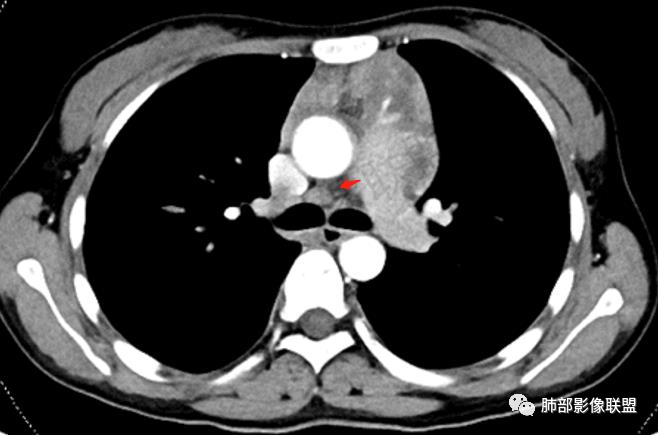
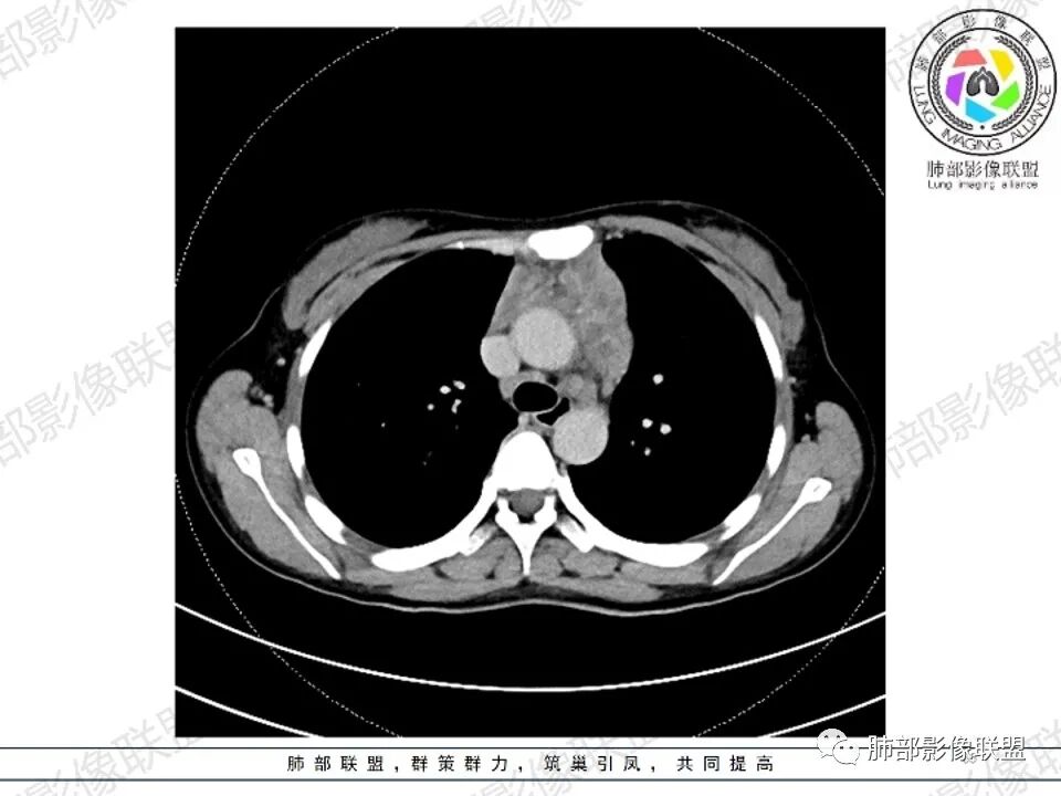
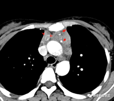
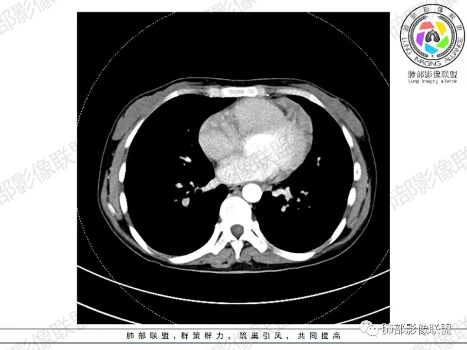
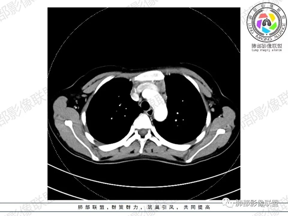
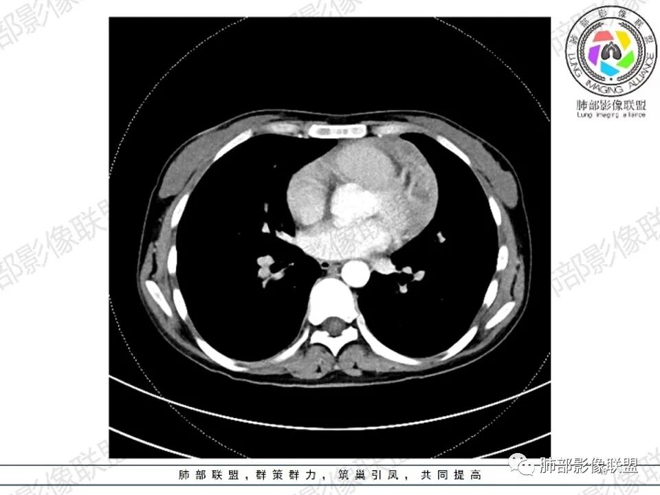
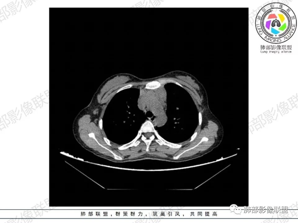
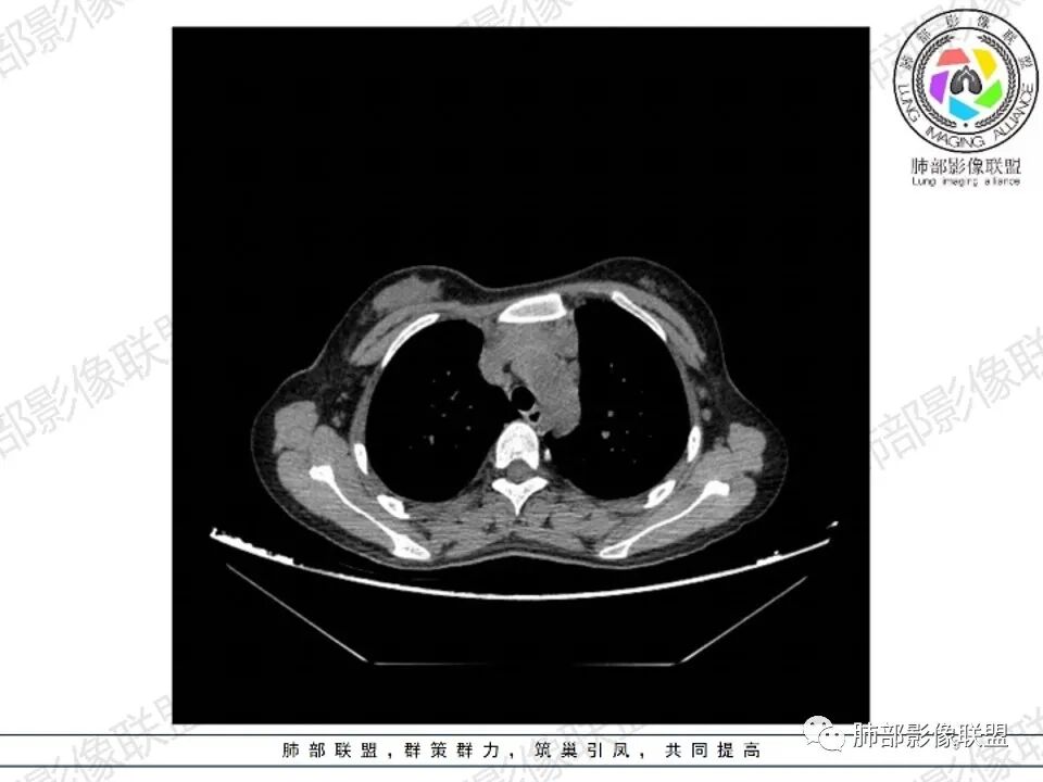
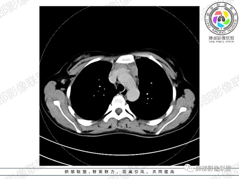
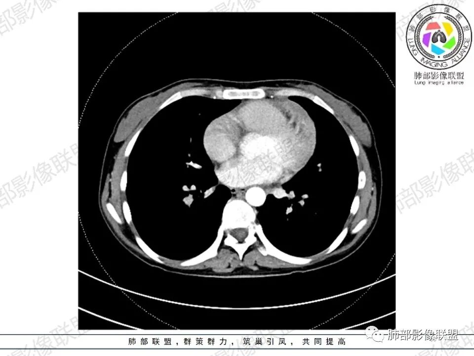
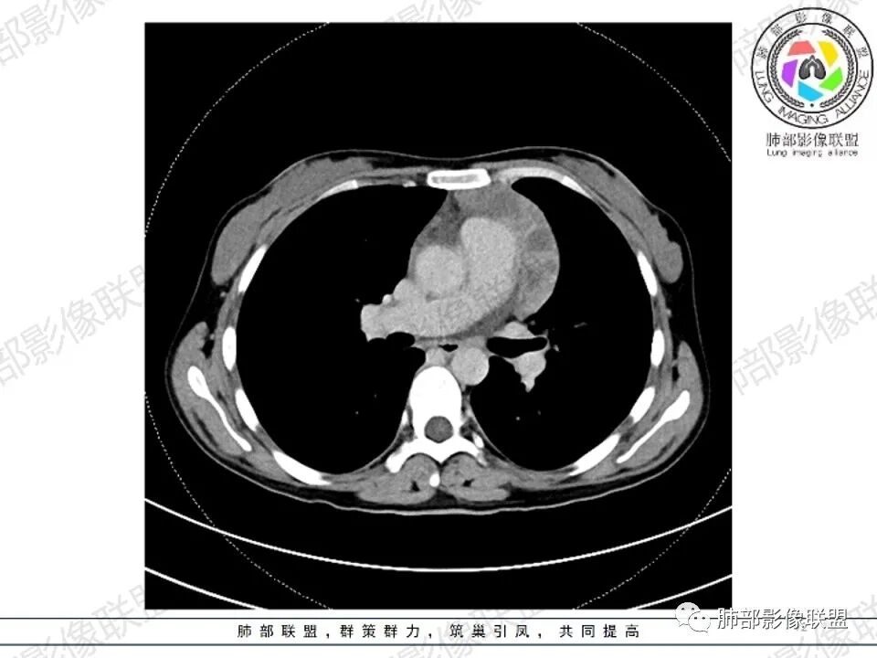
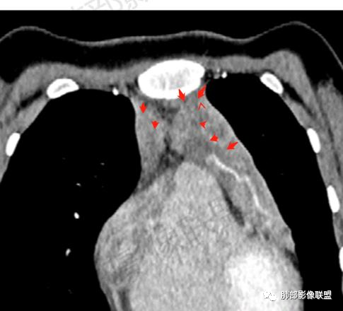
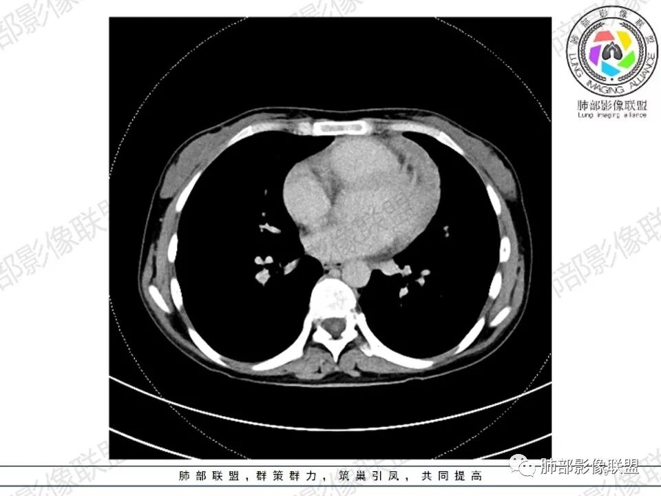
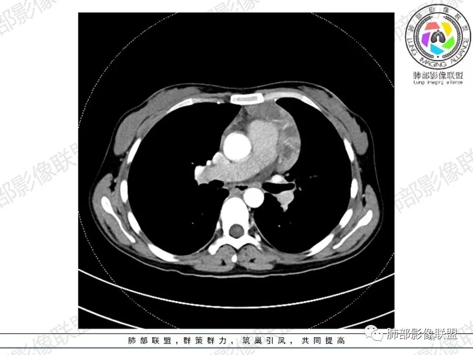
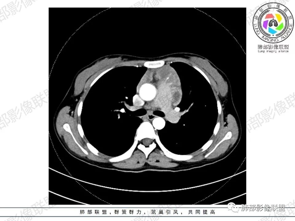
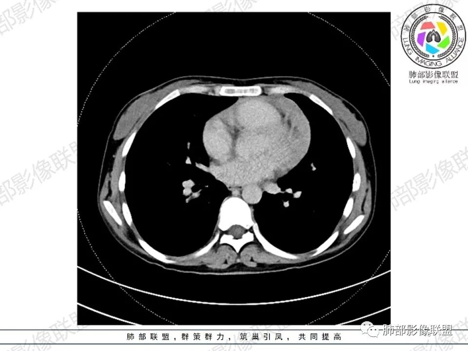
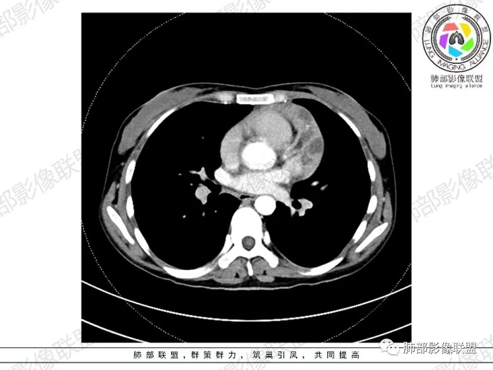
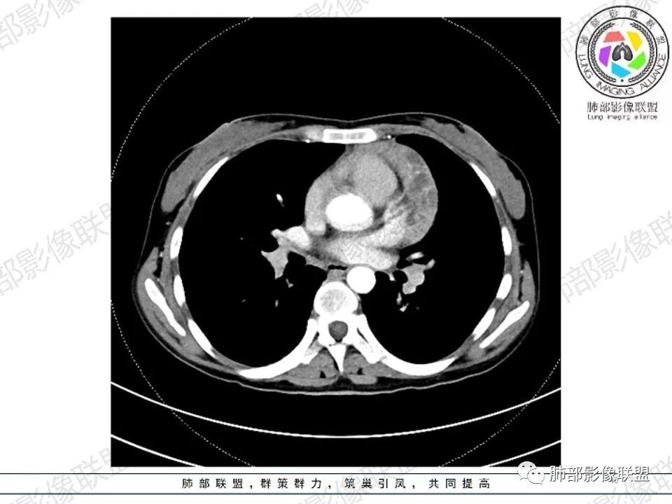
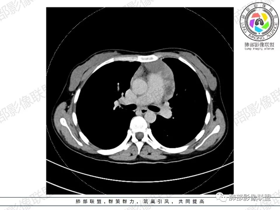
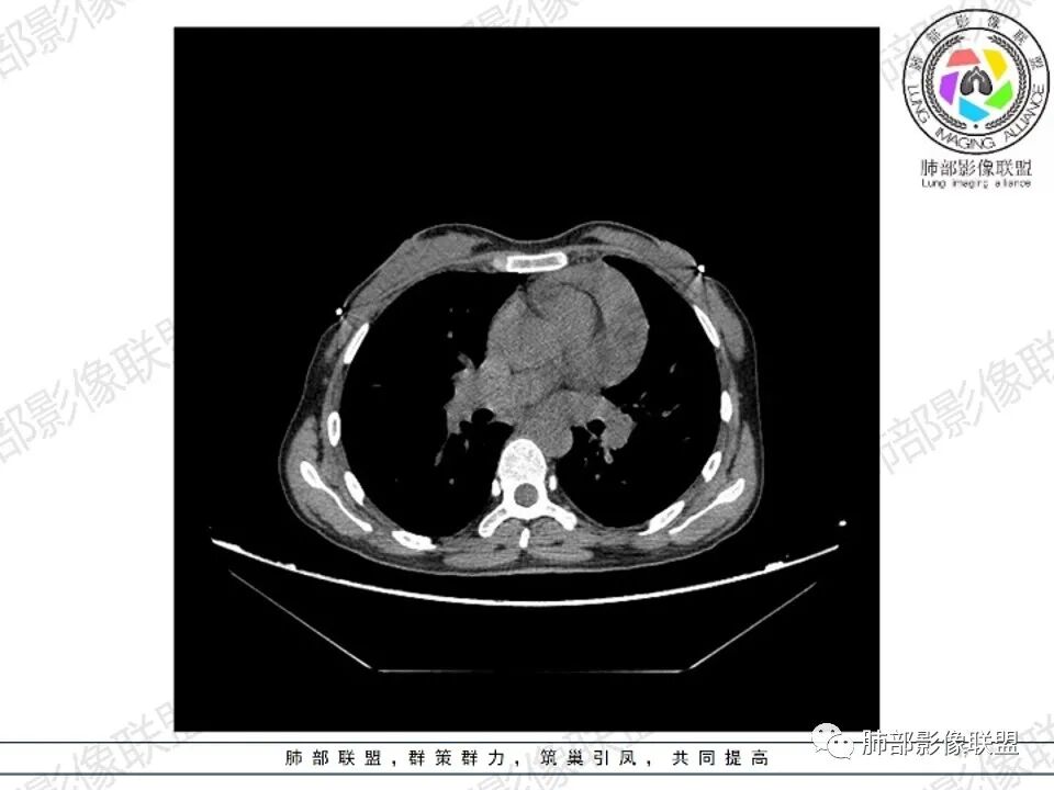
2.影像显示前纵隔不规则块状影,依势贴附心脏大血管旁,密度不均,边界不甚清楚,有结节融合感。
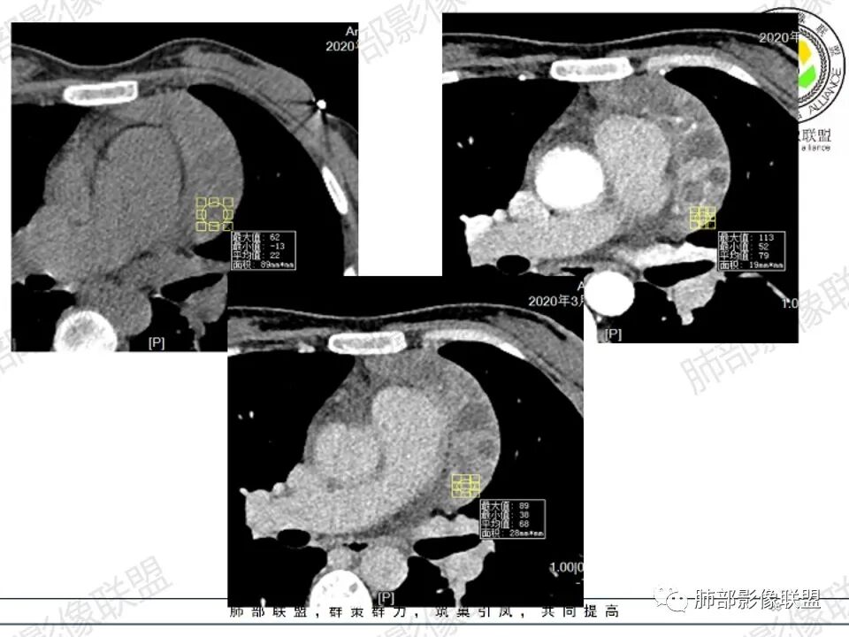
3.病灶轻度不均匀强化,可见血管穿行,散在液性低密度区。
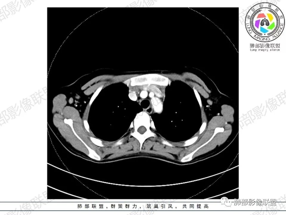
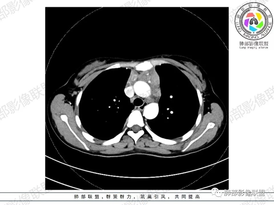
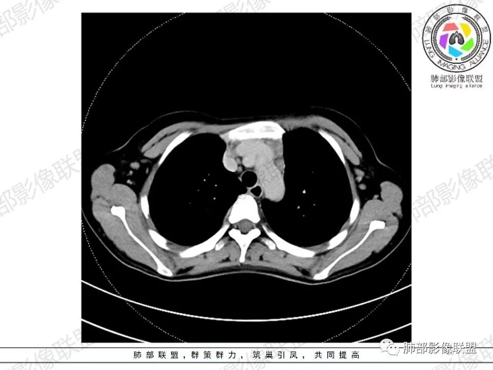
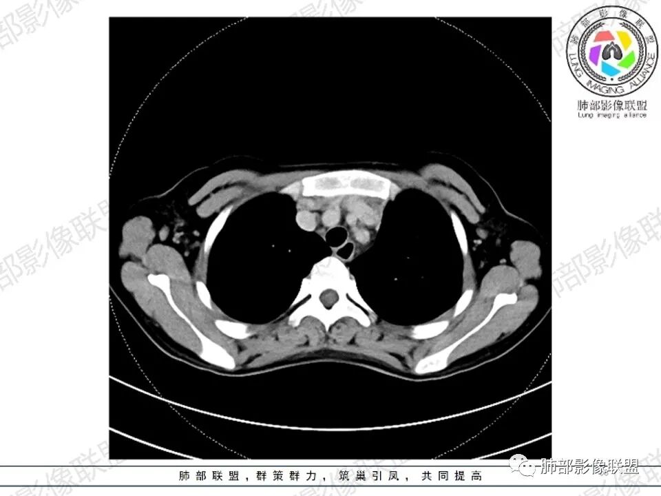
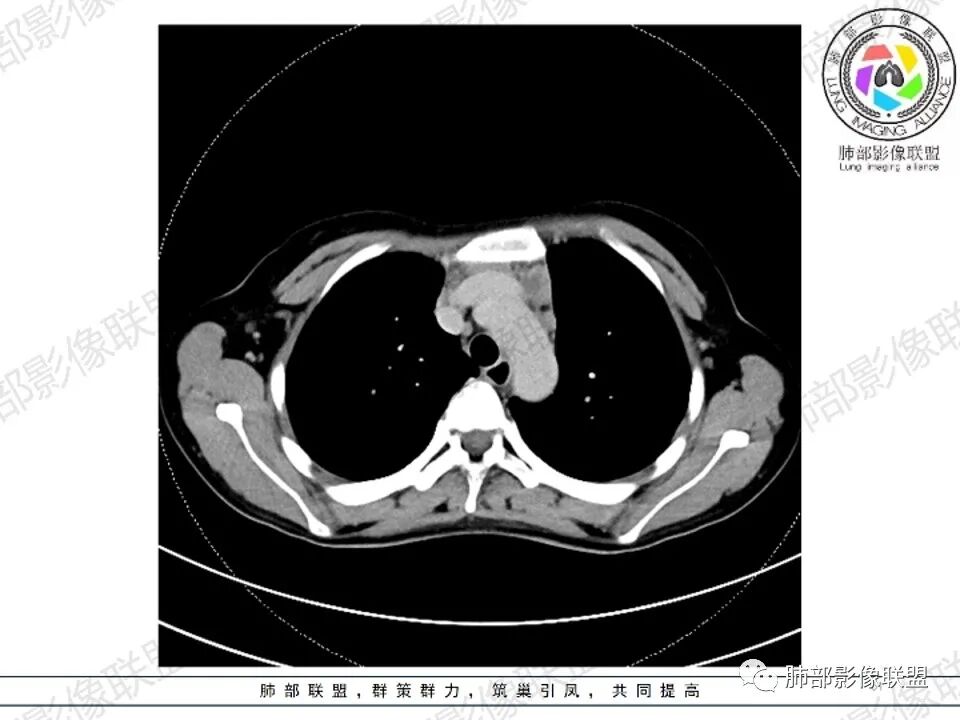
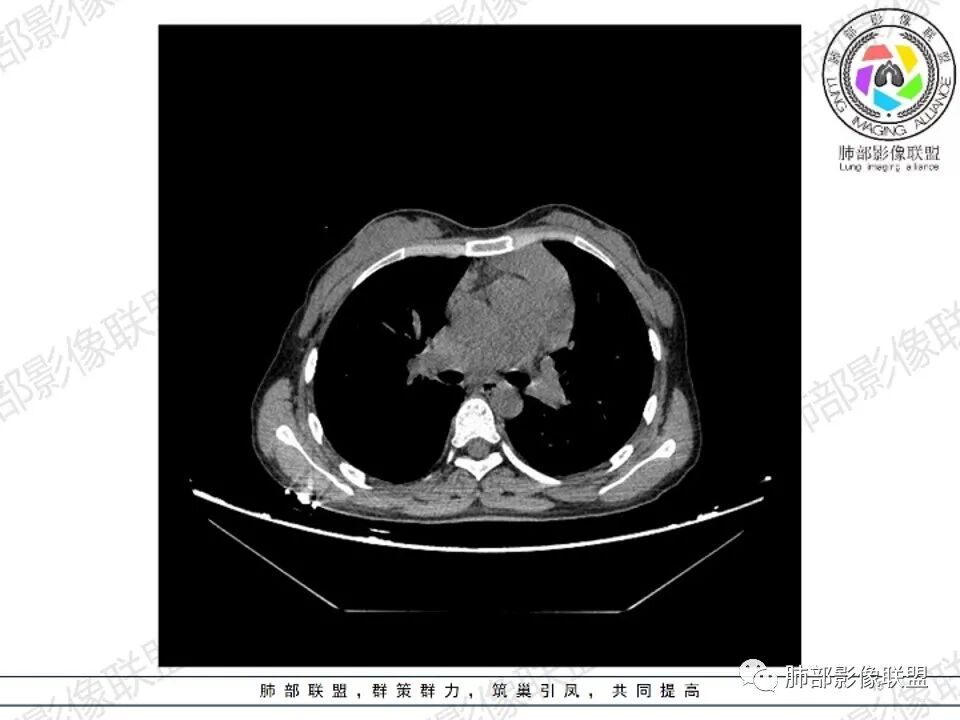
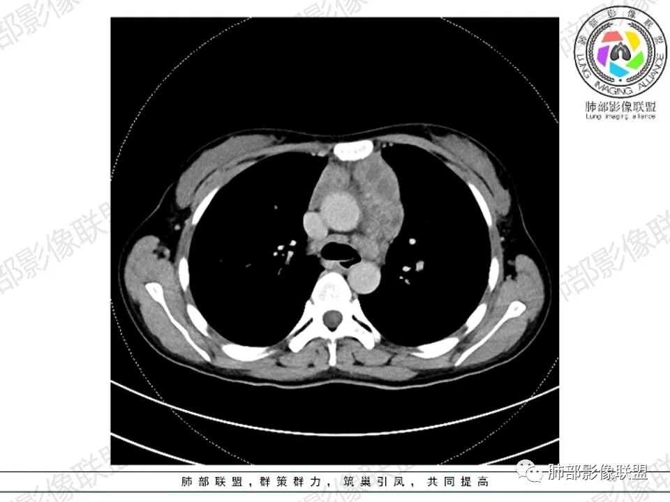
双肺门未见肿大淋巴结。
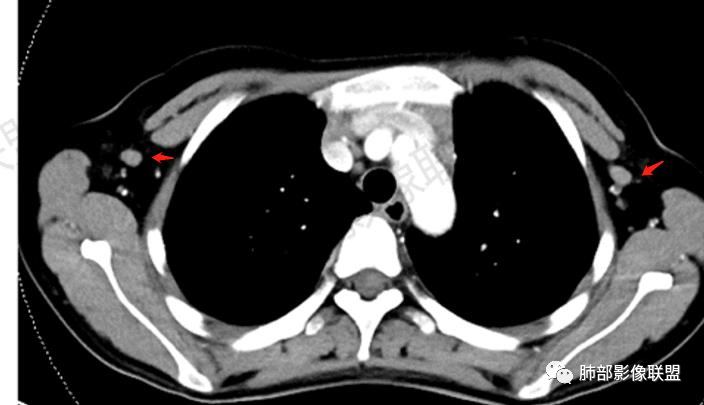
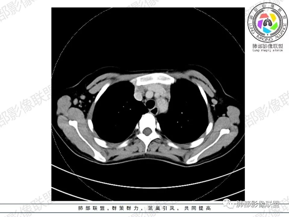
4.双侧腋窝区见增大淋巴结,边界清楚。
关于诊断:
1.年轻女性,前纵隔不规则块状影,密度不均,边界不甚清楚,有结节融合感,轻度不均匀强化,可见血管穿行,最常见最符合的无疑是淋巴瘤!
2.当然患者长期贫血,应当鉴别髓外造血,尽管无论从发病部位还是影像表现,都不典型。
3.本例腋窝区淋巴结的病理意见恐怕不能越俎代庖,轻易将纵隔那边界不清的巨大块影轻易指认为单纯的巨淋巴结增生症。
4.其他存在的疑问尚有,即便二者之间存在某种关联性,它们位于同一发展阶段吗?
关于Castleman病:
1、概述:又称巨淋巴结增生症,血管滤泡淋巴结增生,是少见的非典型淋巴增生疾病;病因不明,但有两种学说:第一种认为霍奇金病的变异型,有潜在的恶性;第二种认为是由炎症或某些未知抗原引起的淋巴反应性增生。局限型,常见于青少年;系统型,老年人,AIDS,导致全身症状如发热、贫血及淋巴瘤。
2、病理:①血管透明型,占80%~90%,滤泡内和滤泡间淋巴组织增生,滤泡中心含大量透明性的毛细血管;②浆细胞型,占10%~20%,以显著成片的浆细胞浸润为主,周围绕以免疫母细胞;③中间型,为上述两种类型的混合存在,可见于多中心型。
3、影像学表现:显著肿大强化的淋巴结,常局限性分布;当患者无或仅轻微症状,纵隔内和腹膜后出现单个慢性巨大肿块,CT平扫示肿块边缘清楚,实质密度均匀,尤其是肿块呈显著强化和邻近大血管一致时,提示本病的可能。即使实质密度不均匀,中心液化坏死,但实质部分呈显著强化,与邻近大血管相似时,在鉴别诊断中仍然要考虑到本病的可能。
4、显著强化的淋巴节可能:Castleman病;结节病;结核;转移淋巴结:肾细胞癌,甲状腺癌,肺癌,肉瘤,黑色素瘤
编辑:曲佩红
审核:徐  晓


到顶部