【每日晨读】 孤立性转移瘤



每日晨读

01病例资料



















02精彩发言
若晗:
左肺门肿块,不均一强化,分叶,钙化,支气管堵塞,首先考虑直肠癌转移
必有路: 女性,中老年人,3年前直肠癌,如今体检发现右肺下叶团块,分叶,边清,无毛刺,无晕,强化不均,内部坏死,无支气管堵,无淋巴结肿大诊断:倾向恶性,转移瘤可能鉴别:原发肿瘤(神经内分泌癌>腺)建议:查肿瘤指标,尤其cea,追问原来直肠癌病理类型,活检
361度:
中年女性,既往直肠癌手术病史,现发现右肺下叶肿块,似两个结节融合。边缘膨隆,支气管阻塞,增强扫描不均匀强化,内血管影边缘模糊。考虑气道转移性肿瘤,鉴别肺原发肿瘤。
金豆 (刘权威): 右肺下叶类圆形结节,膨胀性生长,边缘清,浅分叶,轻度强化,内可见坏死,似乎坏死不太彻底,坏死边缘模糊,考虑恶性,腺癌,鉴别鳞,寡转移(既往直肠癌病史)。
空格: 中年女性,结肠术后3年,转移的高发时段。胸部无症状,有肿瘤偷袭风险。影像特点。1 感觉不是一个结节(蘑菇兄弟?),有强化的分隔,血行转移单克隆膨胀生长应该可以排除。2 病灶有沿支气管扇形分布,有沿支气管生长的可能,有结肠癌支气管内膜转移的可能   3 病灶低强化,有坏死,结肠癌转移一般强化较明显。不知道病人术后有没有放化疗,引起的低免疫状态,是否存在机会感染的可能。支气管内膜转移的发生率极低,从概率的角度。我的排序:鳞癌》隐球菌(结核)》支气管内膜转移。
必有路: 影像不像原发腺 女性鳞少,支持转移,3年前手术,必定有胸部检查,下肺,扫腹部ct也会看到,即便没有胸部ct,3年前无,现在有,小细胞不像,大细胞没那么快,原发腺,鳞,长没那么快… 除非低分化,少见的
前提排除肉芽肿病变先,影像没往这考虑
要么就是少见的肿瘤,黑色素瘤 或者 神经内分泌肿瘤 肺转移  平扫密度也比较高,不排除
所以要追问直肠肿瘤病理,上面我都写了
许慧良:

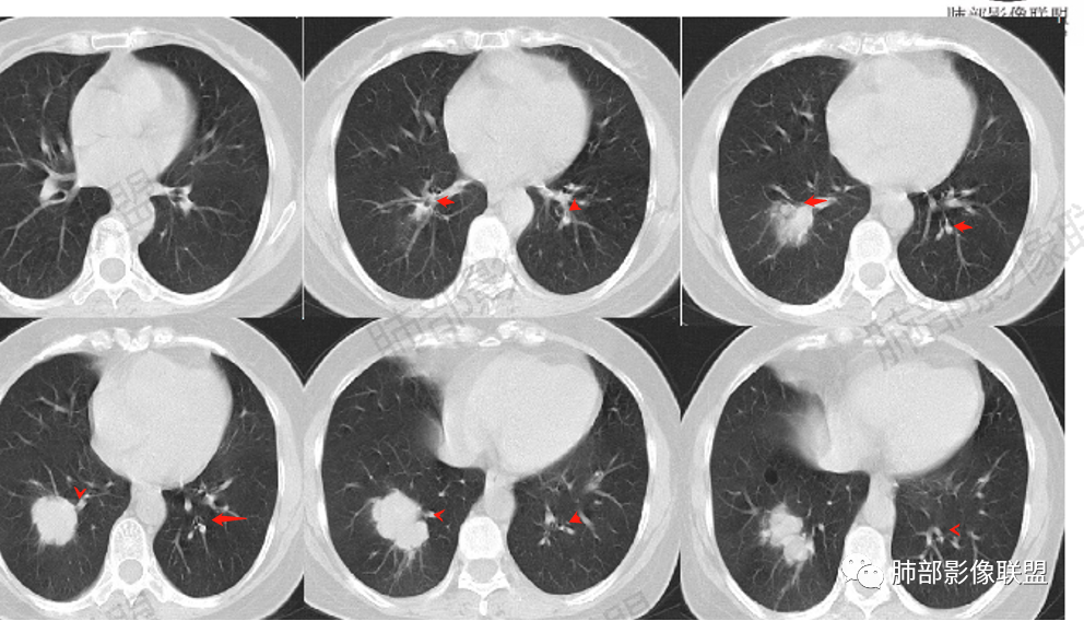
中年女性患者,右肺下叶后基底段占位性病变,
边界清楚,见分叶征,伴有纤维索条影,无毛刺,部分层面见磨玻璃晕,周边卫星灶不明显,内部密度不均匀,增强不均匀轻度强化,考虑恶性,腺癌可能,鉴别炎性肉芽肿
自信人生:
中年女,直肠癌术后病史  右肺下叶占位性肿块,浅分叶。增强后不均匀强化,内可见坏死,边缘毛刺考虑恶性,
首先转移瘤,鉴别原发肺癌
谢加平:
右肺下叶分叶状肿块,边界清,轮廓呈花瓣状,不均匀中等强化,内见多发坏死区,首选肺恶性肿块(腺Ca),既往直肠ca术后病史,与转移Ca鉴别,建议临床肺穿刺活检明确诊断!
吴婧wj:
支持恶性,转移首先考虑。其次原发,但是周围没有毛刺,很光滑,腺癌不太符合。原发放后面吧,单发,可以先做petct或全身检查排除多处转移可以切除,活检穿刺明确。边缘膨隆,坏死明显,无树丫无空洞,炎症不是太符合

03
南边老师分析
3年前直肠癌手术,最起码当时不明显

△外后基底段支气管应该堵了,深分叶,

△坏死边界不清,支持恶性。

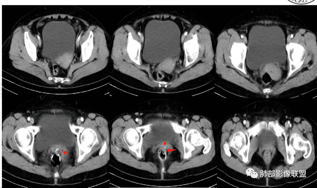
△直肠术区壁增厚,外壁欠清,局部强化偏低,转移瘤确实要考虑

△宫颈局部确实有受压的迹象

△直肠术区局部肠壁增厚了,增强局部有低强化灶,直肠确实符合复发的表现,还是要恶性首选
就肺部病灶本身而言,深分叶,近端支气管显示欠佳,双侧对比还是符合堵塞,强化也支持恶性特点,那就是良性肿瘤不支持,如果要考虑良性,就是特异性感染了。

04病理结果


05
文献复习---孤立性肺转移瘤
    恶性肿瘤的肺转移率高达 40%~50%,在所有的肺转移瘤中大多数为双肺多发转移,影像学检查多容易诊断,3 %~ 5 % 肺转移瘤发现时可为单发, 孤立性肺转移瘤(SPM)原发瘤多见于软组织肉瘤、黑色素瘤、乳腺癌、结肠直肠癌、骨肉瘤、睾丸恶性肿瘤、肾癌等。
  SPM是肺血行转移瘤的一种少见表现形式,应该具有肺血行转移瘤的转移及生长过程,所以SPM造就了分布特点是右肺略多于左肺、下肺多于上肺、几乎都分布于肺野外带及胸膜下肺组织。由于SPM只是肺血行转移瘤的一个阶段,随着病程的发展转移瘤的不断增大不出现其他转移灶的概率很小,决定了转移瘤多小于 4 cm,少有大者。SPM没有相当长的间变过程,使肿瘤细胞停留于血管末梢,在此间质中增生繁殖,或呈膨胀性生长、或呈浸润性生长,所以多为边缘光滑整齐的呈圆形、椭圆形或有轻度分叶的软组织肿块。肿瘤的转移与肿瘤内微血管数量、微血管密度呈正相关,所以多由血供丰富的原发瘤转移而来,SPM多顺延原发瘤的强化程度和式,可表现为多种形式的明显强化。SPM是由其他组织和器 官的原发肿瘤转移而来,所以不同程度地要顺延原发肿瘤的病理及生物学行为,导致了有同原发肿瘤类似的影像学表 现,决定了其 CT 表现具有多样性。SPM内出现脂肪密度影其原发瘤均为脂肪肉瘤。总之SPM的CT表现受肺血行转移过程以及原发瘤的病理生物学行为双重影响,表现形式多样,临床误诊率较高。
   SPM的CT诊断首先是原发瘤的诊断,无原发瘤的患者,转移瘤的概率仅为0.4%~0.9%,而有原发瘤的患者转移瘤的概率为25%,具有软组织肉瘤、黑色素瘤、乳腺癌、结肠直肠癌、骨肉瘤、睾丸恶性肿瘤、肾癌等原发瘤的患者转移瘤的可能性会明显增大。其次是看肺内孤立结节是否符合肺血行转移瘤的一般特点。第三如肺内孤立结节不具有肺血行转移瘤的一般特点,不能轻易排除转移瘤的可能。此时要看原发瘤的器官来源、组织类型以及其病理生物学行为。第四患者的病史及临床观察对孤立性转移瘤的诊断也意义重大。

   孤立性肺转移瘤--尿路上皮癌

孤立性肺转移瘤--肾癌
                         孤立性转移瘤---恶性黑色素瘤

                     孤立性转移瘤---乳腺癌

孤立性转移瘤---乳腺癌

结直肠癌的肺转移特点
   约10%~15%的肺转移发生在进展期结直肠癌,其中大部分是双肺多发转移,只有约2%~7%是孤立性肺转移。消化道脏器的血液回流入门静脉。结、直肠癌的第一转移站为肝,肺为第二转移站,约有10%~20%跳过第一转移站(肝)首先出现肺转移者只有2%~4%,多项研究表明不论是否伴同时性还是异时性肺转移,结直肠癌患者发生肺转移与结直肠癌发生部位相关,一般来说,直肠癌患者发生肺转移的概率比结肠癌患者要大,这与静脉血回流解剖很大关系,原因可能是因为直肠癌细胞由直肠中下静脉直接流向下腔静脉后迅速到达肺脏,从而形成肺转移灶,而结肠癌细胞则由门脉系统流向肝脏易形成肝转移灶。
   结直肠癌肺转移瘤多数边缘光整清楚,可以分叶、毛刺、空洞及强化不均匀,有时候与原发肿瘤不易鉴别;结直肠癌肺转移瘤有片状低密度区考虑与结、直肠癌含有粘液及转移性腺癌有更多的坏死成份有关。另结直肠癌中粘液腺癌远处转移灶内部可出现钙化,其病理类型属于黏液样钙化。

  直肠癌肺转移瘤中低密度区


  结直肠癌肺转移瘤中的钙化(图片来自黄勇老师)
文献参考: 
1.李标达,王丽华,黄炯强,等. 直结肠癌肺转移CT诊断及易发因素分析[J]. 实用医学影像杂志,2018,19(5):407-409. DOI:10.16106/j.cnki.cn14-1281/r.2018.05.013.
2. 陈建华 孤立性肺转移瘤CT表现  基层医学论坛 2011 年第 15 卷增刊
             结直肠癌肺转移经验谈
1.血道转移,落脚于血管末梢的肺间质,常两肺多发,随机分布,较少造成支气管阻塞,也很少见支气管穿行,罕见出现肺不张或阻塞性肺炎。
换句话说,如多个结节影与支气管关系密切,则较少会想到转移灶。
2.膨胀性生长,病灶往往较圆隆,如类圆形,边缘截然孤悬,似与相邻肺组织了无瓜葛!
3.结节影缺乏张力,或者收缩乏力,鲜有观察到毛刺。在孤立病灶,这都是与肺腺癌明显不同的。
4.强化程度不一,取决于原发灶血供特点、病灶内粘液成分多寡及坏死情况等等。
5.结直肠肺转移发现时,病灶常常较大且较多,这即反映出病灶生长周期可以较长,也反映出患者气道受累较轻、较迟。患者呼吸道症状不明显,先期也较少出现咯血等症状。
医疗条件及经济条件较好患者则会发现肺部小结节。
6.单发肺转移灶(SPM)有时会冷不丁出现在原发灶发现诊治多年以后,定期随诊是必要的。

END

编辑:谢壁樯  蔡笑燕
审核:蔡笑燕  徐  晓
病例提供:成都市金堂县中医医院 周阳武



到顶部