【每日晨读】又见ANCA相关血管炎



01
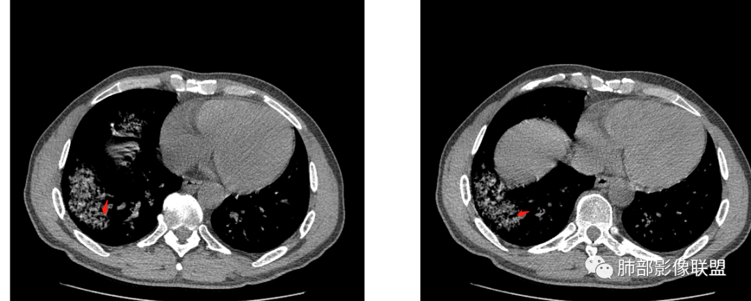
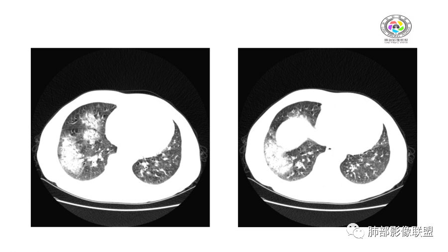
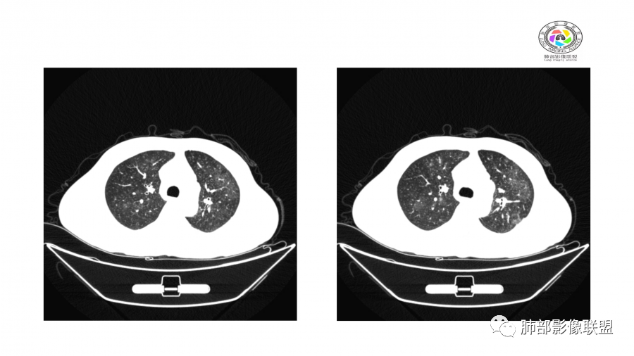
病例展示








































02
微信区讨论实录
秦化君:
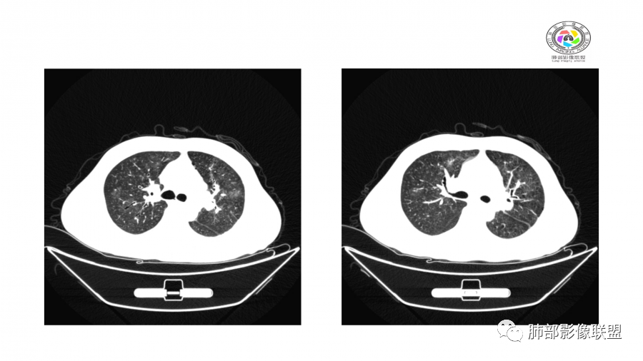
晨读:双肺不均匀分布片状,斑片状影,边缘有晕,部分病灶内见支气管像,密度不均。50多天3次CT复查,病变此起彼伏。考虑病毒>OP>吸入。
山河:
晨读:双肺不均匀分布片状,斑片状影,边缘有晕,部分病灶内见支气管征,密度不均。常规考虑OP,但是结核病人肝肾功能,还是考虑真菌,隐球菌可能,其次结核待排。
那个人:
病史,中年男性,乏力纳差,高血压,肾功能不全,贫血。影像,双肺多结节,斑片影,后期吸收,考虑肺水肿?血管炎?
甄德强:
病灶此起彼伏,肾功异常,部分病灶有晕,考虑肉芽肿性多血管炎。
必有路:
晨读:中年男性,肾功能不全,两肺游走性病变,此起彼伏
诊断:血管炎(ANCA相关或者SLE相关),最后伴有肺水肿嫌疑
鉴别:感染
建议:完善anca跟风湿免疫相关指标
安智轩:
病史非常详细,应该不是一般感染
血压高,肌酐高,肾功能不良
影像特征游走性浸润灶,符合血管炎特征
一切∮随缘:
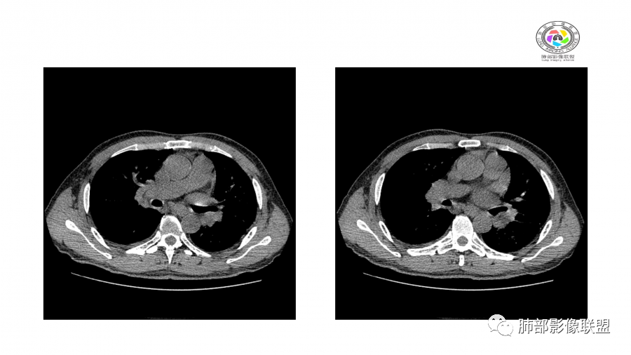
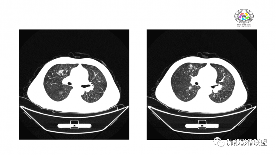
双肺多发实变及磨玻璃影,边界欠清,部分可见小叶间隔增厚,支气管穿行病灶内,多次随访复查,部分有吸收又似有新发,双侧纵隔淋巴结肿大,临床:男性49岁,肾功能异常,考虑GPA,OP
小兜:
患者,男,49岁,初次以头晕呕吐肾功能异常入院,后期伴双下肢水肿,CT示双肺多发斑片及结节影,部分周围伴晕,部分内部可见支气管穿行,多次复查可见部分病灶略吸收及新发病灶出现,最后一次复查双肺多发磨玻璃样改变,综合考虑血管炎,最后一次伴肺水肿可能
采莲:
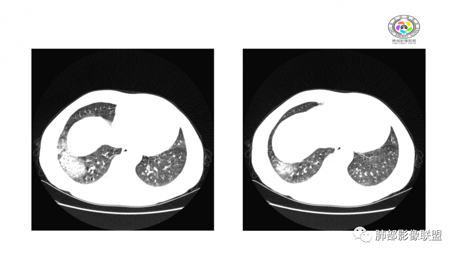
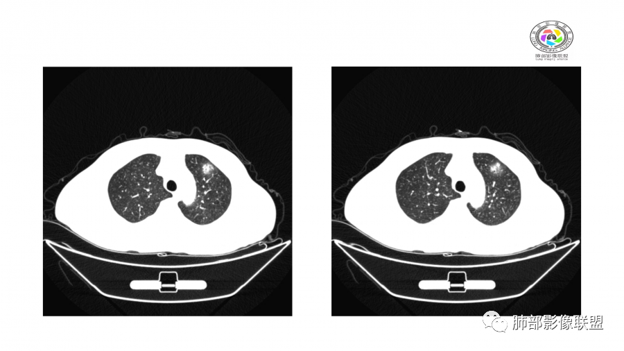
中年男性,高血压,肾功能衰竭,贫血病史,尿潜血阳性。3.8双肺野多发斑片磨玻璃实变影,结节影,边缘模糊,周围有晕征,内见支气管充气征,主要沿支气管血管束分布,部分胸膜下分布,3.12号病灶有吸收好转,4.8号斑片实变影基本吸收,主要沿支气管血管束分布结节影,边缘平直收缩,4.28病灶大部分吸收好转,双肺支气管血管束增粗,有少量结节影。考虑ANCA相关性血管炎可能性大,第一次片子觉得隐球菌不排除,但是后面没有抗真菌治疗就吸收了,觉得隐球菌可能性不大。
安吉木子何方李:
两肺多发病灶,游走,支气管充气征,结合患者尿毒症首先考虑系统性疾病,如goodpaster综合征,GPA等,需要抗核抗体系列,抗中性粒细胞全套,抗肾小球基底膜抗体等。排除系统性疾病后要考虑尿毒症肺炎肺水肿
红星:
男性49岁的一个病人,有高血压与肾功能不全的病史,肾功能衰竭,多次影像学表现是两肺多发的团片状结节状的实变影,病程的过程中也有见有弥漫性的粟粒性的病变,实性的病变当中,周围磨玻璃样阴影。考虑肺肾综合征,肺血管炎肉芽肿病变。
宇宙:
中年男性,肌酐高,两肺外周分布为主多发结节及斑片影,周围有晕,短期复查变化快,游走性,考虑血管炎,鉴别真菌感染
洪桥爱:
临床信息:中年男性,反复乏力、纳差、头晕3月,既往病史不详;辅助检查:血尿、蛋白尿、正细胞性贫血,嗜酸粒正常,BUN、CRE显著升高,提示慢性肾功能不全 尿毒症期,高血压考虑肾性高血压;
影像:双肺散在实变影及毛玻璃影,实性病变周围可见晕征,病灶于肺外围区域优势分布,病变区引流支气管未见增厚,考虑血管相关病变;3月、4月复查CT提示肺内病灶呈游走性,此起彼伏。
诊断:肉芽肿性多血管炎
鉴别诊断:无
飞鹰行动:
中年男性,肾功能异常,双肺多发结节及磨玻璃影,边界欠清,部分可见小叶间隔增厚,可见支气管及血管穿行病灶内,复查发现,病灶有吸收又有新发,考虑GPA,OP。鉴别病毒感染
THINKER:
中年,不发热,结合病史考虑:肾病起源,肾衰→贫血丶恶心呕吐,肾性高血压,高心病→心功不全,
影像:双肺多发结节丶片影,短期内右下消失,
cRp丶PcT上升,wBC正常,应该合并感染
整体考虑:ANCA相关性血管炎,既发肾病丶肺OP样改变。
鉴别:支原体丶金葡具有游走性,但影像丶病史显然不支持,隐球不具备游走性,右下短期内消失也不符合。
流心明智:
男,49,头晕、呕吐5天。反复纳差、乏力3月。血压超高,平素血压控制一般,血尿、蛋白尿、正细胞性贫血,血钾、AG、BUN、CRE显著增高,BNP、CRP、LCH、肌红蛋白增高。彩超示左房大。
胸部CT:双肺多发实性斑片影,散在GGO。实性斑片周围可见晕征、边缘模糊不清,病灶于肺外围区域优势分布。肺门区血管影增粗,支气管套袖,目测肺动脉增粗。3月、4月复查肺内实性斑片病灶呈游走性,此起彼伏。
诊断考虑:1.综合患者资料,初次治疗4天后影像即有改善,考虑原发高血压存在?高血压性肾病,肾源性肺水肿。2.高血压为肾衰并发症,肾小囊肿、小结石不足以解释肾衰,ANCA血管炎要考虑,鉴别PVOD、PCH等。3.血像不高,肺部不典型病原体感染待排,病毒、衣原体等,进一步完善相关检查。
王秀仙:
双肺多发斑片及结节状磨玻璃影,部分内部可见支气管穿行,多次复查可见部分病灶略吸收及新发病灶出现,肾功能不全,贫血,综合考虑肺泡出血,血管炎。
谢加平:
双肺多发斑片影,沿支气管血束分布,前后复查对比,大部分有吸收好转,另外新发(此起彼伏特点),患者肾功能不全及肾性高血压,首选血管炎,并肺泡出血可能。
欣:
以外围分布为主,有晕征,内部似有小空洞,治疗后明显渐渐吸收缩小。考虑真菌感染,隐球菌?
03
南边老师精彩分析


南边:
中年男性,肾功能不全,肾性高血压
一致没提肺部症状
两肺多发团片状高密度影


南边:
边界模糊,距离胸膜有间隙,内部支气管通畅

南边:
一月后:



南边:
病灶此起彼伏

南边:
10天后:病灶继续吸收好转
伴随少量胸水
应该与气道无关
符合间质、血管来源病变
此起彼伏
有肾功能不全
支持与肾病相关
警惕血管炎
隐球菌不支持
04
病例结果揭晓






05
病例总结及相关及相关知识复习
  抗中性粒细胞胞浆抗体(antineutrophil cytoplasmic antibodies,ANCA)相关性血管炎 (ANCA-associated systemic vasculitis,AASV)主要包括显微镜下多血管炎、肉芽肿性多血管炎和嗜酸性肉芽肿性多血管炎,是一种累及全身小血管 的系统性疾病,常见受累器官包括肺、肾等。AASV临床表现多样,肺部症状多不典型,部分患者常因咯血、咳嗽、肺部阴影而就诊。
一、肉芽肿性多血管炎(granulomatosis with polyangiitis,GPA)
是一种多器官受累的坏死性肉芽肿性血管炎,曾用名韦格纳肉芽肿病(Wegener granulomatosis,WG)。GPA 属于自身免疫性疾病,为抗中性粒细胞胞浆抗体(anti-neutrophilcytoplasmic antibodies,ANCA)相关性小血管炎 。GPA 病因尚不明确,其病理以血管壁的炎性反应为特征,病变主要累及小动脉、静脉及毛细血管,可侵犯上、下呼吸道和肾脏。临床表现多样,常表现为鼻窦炎、肺病变和肾病变,还可累及关节、肌肉、皮肤、眼、心脏、神经系统等 。1.影像学表现肺部病变影像学有三大特征 :(1)多样性:病灶呈毛玻璃状、线状、结节状等多种形态的阴影。(2)多发性:在肺部中、下野可同时或先后出现多处病灶。(3)空洞性结节:部分患者的结节内可出现空洞2.诊断标准目前,临床上仍广泛采用 1990 年美国风湿病学会制定的分类标准 :(1)鼻或口腔炎性反应:痛性或无痛性溃疡,脓性或血性鼻腔分泌物。(2)胸部 X 线片异常:胸部 X 线片示结节、固定浸润病灶或空洞。(3)尿沉渣异常:镜下血尿(红细胞 > 5 个/HP)或出现红细胞管型。(4)病理性肉芽肿性炎性改变:动脉壁或动脉周围,或血管(动脉或微动脉)外区域有中性粒细胞浸润形成肉芽肿性炎性改变。符合 2 条或 2 条以上时可诊断,诊断的敏感度和特异度分别为 88.2%和 92.0%。     GPA 患者中 ANCA 和 PR3 的特异度在80%~90%,其敏感度可反映疾病的活动性,急性活动期患者的 ANCA 阳性率高。虽然 ANCA 阳性并不是 GPA 的特异性诊断指标,但 ANCA 阳性的患者如伴有系统表现、上呼吸道症状,应高度怀疑 GPA。
参考文献:
[1]刘彧.肉芽肿性多血管炎的诊治.中国医师进修杂志[J].2010, 7 (40):667-669.
二、显微镜下多血管炎显微镜下多血管炎 (microscopic Dolyangiitis,MPA )是一种主要累及小血管的系统性坏死性血管炎 ,可侵犯肾脏 、皮肤和肺等脏器的小动脉 、微动脉、毛细血管和微小静脉。常表现为坏死性肾小球肾炎和肺毛细血管炎。因其主要累及包括静脉在内的小血管,故现多称为MPA。1.抗中性粒细胞胞质抗体 (ANCA ):约 80%的 MPA 患者ANCA 阳性 ,是 MPA 的重要诊断依据 ,也是监测病情活动和预测复发的重要血清学指标 ,其滴度通常与血管炎的活动度有关。其中约 60%抗原是髓过氧化物酶(MPO)-ANCA (核周型CANCA )阳性 。肺受累者常有此抗体 ,另有约 40%的患者为抗蛋白酶-3(PR3 )-ANCA (胞质型一ANCA )阳性 。约 40%的患者可查到抗心磷脂抗体,少部分患者抗核抗体 、类风湿因子 (RF )阳性 。2.影像学表现胸部X线检查在早期可发现无特征性肺部浸润影或小泡状浸润影,、双侧不规则的结节片状阴影,肺空洞少见,可见继发于肺泡毛细血管炎和肺出血的弥漫性肺实质浸润影 。中晚期可出现肺间质纤维化 。3.诊断标准本病诊断尚无统一标准,如出现系统性损害并有肺部受累、肾脏受累及出现可触及的紫癜应考虑 MPA 的诊断,尤其是还有 MPO —ANCA 阳性者。肾活检及皮肤或其他内脏活检有利于 MPA 的诊断。部分患者需除外感染性心内膜炎。确定诊断之前 ,需与 PAN 和 WG 相鉴别。以下情况有助于 MPA 的诊断:①中老年 ,以男性多见;②具有上述起病的前驱症状 ;③肾脏损害表现:蛋 白尿、血尿或(及 )急进性肾功能不全等 ;④伴有肺部或肺肾综合征的临床表现;⑤伴有胃肠道、心脏 、眼、耳 、关节等全身各器官受累表现;⑥ANCA 阳性 ;
⑦肾、肺活检有助于诊断。
参考文献:
[2]中华医学会风湿病 学分会.显微镜下多血管炎诊断及治疗指南.中华风湿病学杂志,2011,4(15):259-261.
三、嗜酸性肉芽肿性血管炎嗜 酸 性 肉 芽 肿 性 多 血 管 炎(eosinophilic granulomatosis with polyangiitis,EGPA)与肉芽肿性多血管炎、显微镜下多血管炎因在患者血中检测到抗中性粒细胞胞质抗体(ANCA)而统称为ANCA相关血管炎(AAV),是临床最常见的一类系统性坏死性血管炎,而三者中EGPA最少见。EGPA以与支气管哮喘和嗜酸性粒细胞增多密切相关为最突出的临床特征,但可出现鼻、神经系统、肾脏、心脏、消化道等多器官受累 。EGPA的发病机制尚不明确。虽属于AAV,但仅有不足40%的患者体内可检测到ANCA,表明除ANCA外,更多的患者是通过其他机制发病的。1.影像学表现肺部游走性或一过性肺浸润影是EGPA的特征学影像学表现之一。以磨玻璃影、小结节影、气道壁增厚或支气管扩张为表现。2.实验室检查①、外周血和呼吸道嗜酸粒细胞:外周血嗜酸粒细胞增多是EGPA的特征之一,但其血嗜酸粒细胞的绝对值低于特发性嗜酸粒细胞增多症(IHES),可出现于病程的任何阶段。诱导痰或支气管肺泡灌洗液(BALF)中嗜酸粒细胞明显升高也是重要特征之一。②、ANCN:ANCA的检测必须同时采用间接免疫荧光法和酶联免疫吸附测定法。若中性粒细胞胞质的免疫荧光检测为阳性,称为胞质型ANCA阳性(c-ANCA);若中性粒细胞的细胞核周围免疫荧光检测为阳性,称为核周型ANCA阳性(p-ANCA)。用ELISA发测定时,c-ANCA阳性者丝蛋白酶-3(PR3)抗体阳性,即PR3-ANCA阳性;p-ANCA阳性者,髓过氧化物酶(MPO)阳性者,即MPO-ANCA阳性。但是ANCA阴性时不能排除EGPA的可能性。参考文献:[3] 陈婧,李菁,杨云娇,等.嗜酸性肉芽肿性多血管炎146例患者临床特征分析.中华内科杂志 ,2020,5(59 ):360-365.[4] 嗜酸性肉芽肿性多血管炎诊治规范多学科专家共识编写组.嗜酸性肉芽肿性多血管炎诊治规范多学科专家共识.中华结核和呼吸杂志, 2018, 7(41): 514-521.
相关知识复习:
1、【联盟讲堂】成官迅老师 2020年08月13日(周四)晚8时 《ANCA相关性血管炎的肺部影像学表现》
2、【每日晨读】ANCA阴性相关性血管炎
3【广西群读片系列】不走寻常路的血管炎
编辑:许慧良
审核:蔡笑燕  徐  晓
06

END


到顶部