【每日晨读】 这样的肺结节---山丘征又现?


 01
病例资料











 02
精彩讨论
杨泽锋:
老年男性,有肺气肿背景(提示可能吸烟)
右肺下叶实性结节,有山丘征,右肺门可见淋巴结
首先考虑小细胞癌
lily:
老年男性,有肺气肿背景。右肺下叶实性结节,抗炎治疗后结节大小无明显变化,增强后不均匀强化,中心可见边界不清低密度,结节局部与胸膜界限不清,考虑恶性,建议穿刺。
必有路:
老年男性,胸膜下结节,多形态,山丘,分叶,强化欠均匀,周围缺乏磨玻璃,毛刺,胸膜下脂肪间隙存在,无侵犯,抗炎后无缩小,总体,小或者大细胞肺癌,鉴别腺癌,肉芽肿炎
王秀仙:
右肺下叶背段胸膜下结节,山丘状,抗炎一个月无明显缩小,边缘光滑清晰,部分胸膜下脂肪间隙消失,病灶密度不均,可见低密度坏死,右肺门淋巴结肿大,老年男性,肺气肿背景,考虑小细胞肺癌。鉴别鳞癌
丽:
老年男性,肺气肿背景,右肺下叶胸膜下结节,呈扁丘状,胸膜后脂肪间隙清晰,边缘膨隆,有浅分叶,内可见小空泡,增强后轻度不均匀强化,抗炎治疗无缩小,右肺门肿大淋巴结,首先考虑恶性结节,建议穿刺活检
刘丹:
胸膜下结节,抗炎治疗后结节未见缩小,结节周边肺气肿背景显示更清晰,结节胸膜下脂肪间隙清晰,增强轻度强化,右肺门有增大淋巴结。考虑恶性结节,腺癌?
流心明智:
晨读:男,66岁,发現肺部结节1月。胸部CT:间隔旁肺气肿背景,右肺下叶实性结节,居于气肿与正常肺交界处。治疗前边缘有渗出,内基底段也有渗出灶,治疗后结节边界清晰,内基底段渗出消失。结节广基与胸膜相接,山丘,边缘膨隆、棘突、指状突起,空泡,血管集束,似有支气管在边缘截断,平扫密度尚均匀,增强后轻度不均匀强化。考虑Ca,小C?大C?鉴别PC等。
弹指之间:
老年男性,发现肺部结节一月,右肺下叶胸膜下结节,形态欠规则、见分叶、部分呈丘状,胸膜下脂肪线大部分清晰,无栽赃及糊墙,增强不均匀强化,目测抗炎后病灶无明显缩小,首先考虑偏恶性肿瘤,如不典型类癌,隐球菌待排。
岁月:
男,66岁;发现右肺结节一月;
影像:锥形,抗感染一月;右下叶后或外基底段,锥+凸,短毛刺,肺气肿,20个层面,血管轻度弯,脂肪层不清晰,肺门有淋巴结,有强化,有低密度,矢状位糊墙。
诊断:鳞癌
鉴别:低分化腺癌、小细胞癌、隐球菌
处理:纤支镜,NGS,荚膜,G/GM,PET,穿刺。
 03
影像分析
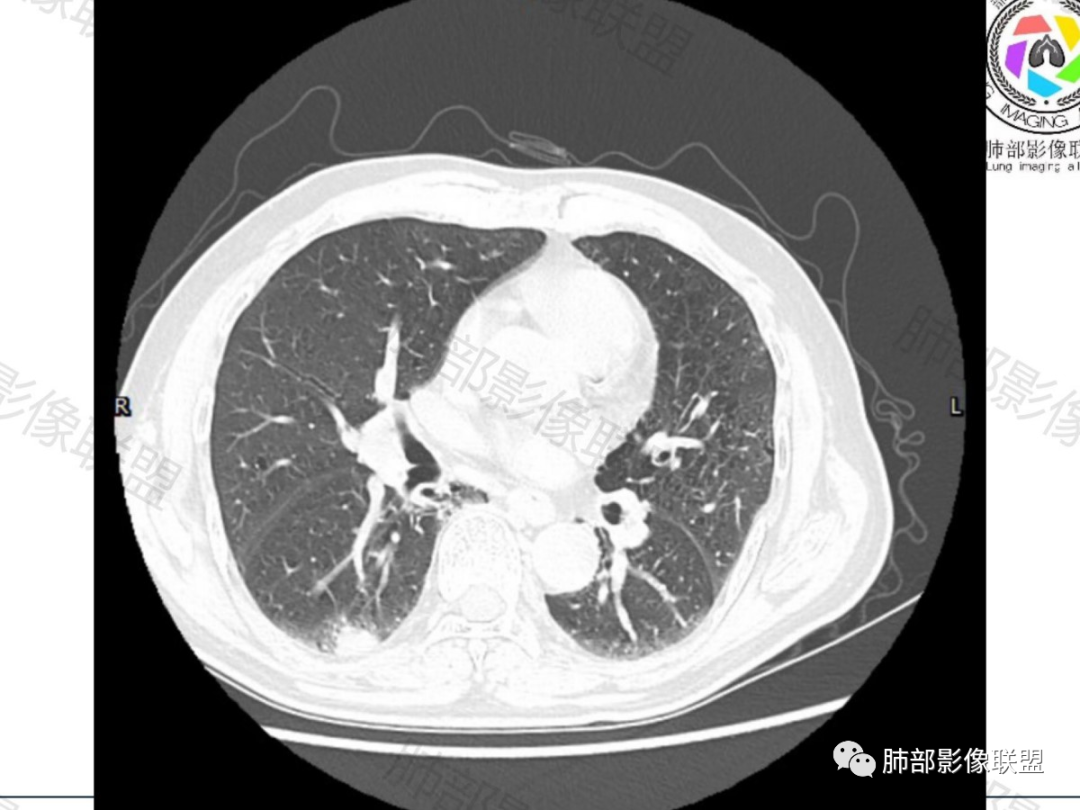
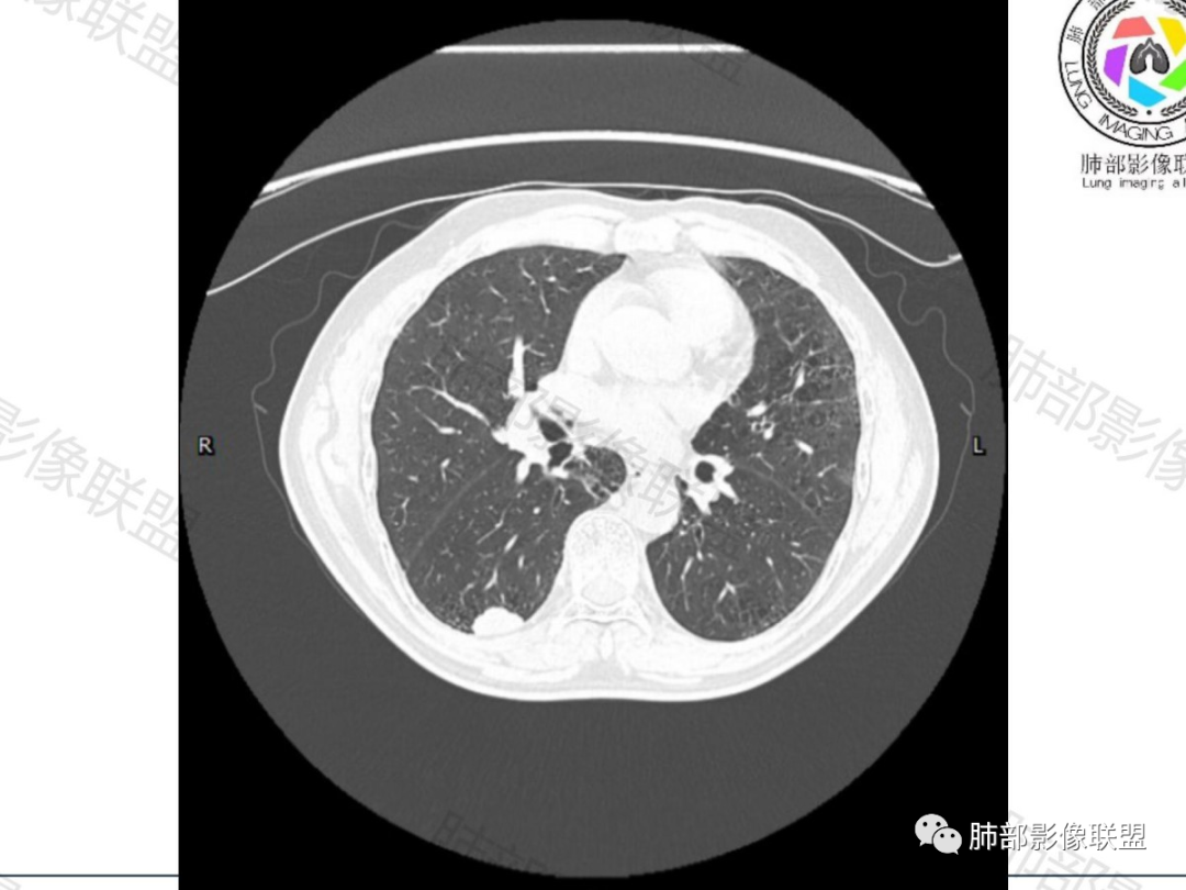
右肺下叶实性结节,肺气肿背景

抗炎治疗后周围渗出减少,结节大小无明显变化


形态呈山丘样改变,边缘膨隆

指状突起

浅分叶
胸膜下脂肪间隙不清

增强后不均匀强化,中心可见边界不清低密度坏死区,沼泽样坏死


右肺下叶实性结节,肺气肿背景,山丘,边缘膨隆、指状突起。治疗前边缘有渗出,治疗后结节边界清晰,大小变化不大。胸膜下脂肪间隙不清,增强后轻度不均匀强化,内部沼泽样坏死。
恶性问题不大,倾向小细胞肺癌。
 04
病理结果

 05
小细胞肺癌
小细胞肺癌SCLC起源于支气管粘膜下,沿支气管粘膜下及周围血管生长,病理上SCLC细胞较小,胞质很少,粘附力差,肿瘤质软,细胞密集,增值快,侵袭生长,坏死小,常不彻底,破坏力弱。
     有人认为SCLC以周围型多见,部分周围型SCLC因借肺门显著增大的淋巴结而摇身一变,以“中央型”的姿态出现在我们的视野中。
CT的主要征象:
1鸭蹼状突起、腊肠样尾巴、指状突起、蠕虫、分支及条状
      因为病灶沿支气管粘膜下及周围血管生长,走形方向与支气管一致,所以支气管血管周围生长也是SCLC的典型征象;
2娘小崽大、淋巴及血行转移早、冰冻纵隔及肺门血管脂肪间隙消失
  因为病灶侵袭力强,病灶易沿淋巴道、间质及心血管间隙等结构侵犯并密切挤压上述结构,常常能够观察到脂肪间隙消失。易于出现冰冻纵隔。原发灶与肺门转移灶可形成哑铃状外观,甚至转移灶体积大于周围原发灶,有人称之为“娘小崽大”。早期病灶有时很小甚或隐匿,仅能看到转移灶,或转移淋巴结与原发灶融合分界不清。病变向肺门延续的串珠样淋巴结转移也是SCLC的典型特点。
3
血管包埋征 
    病灶侵袭力强大,早期沿粘膜下疏松结缔组织及血管旁间隙扩散,包绕血管,间隙消失,血管会受压变形,因为小细胞癌破坏力弱,血管没有被破坏,所以仅仅表现为包埋浸润,但血流面光滑。
4
乏血供,沼泽样坏死
、罕见空洞
     病灶肿瘤密集而供血血管相对不多,密度较均匀,轻度强化,呈乏血供,有时候可以坏死,坏死不彻底,坏死区分散而较小,呈沼泽样坏死。很难造成较大范围引流支气管的破坏,所以空洞罕见。
5
阻塞性炎症轻,阻塞性肺不张少见
    支气管内肿瘤大多来自淋巴结转移,而且侵入支气管管壁的SCLC组织喜欢沿粘膜下组织间隙浸润,支气管粘膜面保留,所以支气管大多数表现为狭长而非填塞或截断,所以阻塞性炎症轻,阻塞性肺不张罕见。
6边缘圆钝、光整,未见毛刺
        神经内分泌肿瘤边缘通常圆钝,而且SCLC或周围没有任何促纤维结缔组织反应,质地软,所以边缘圆钝、没有毛刺。
         发生于肺边缘的小细胞癌有时会呈半圆形或圆冠状贴服于胸壁下,有老师称之为“山丘征”。经治疗后复查持续存在或增大的山丘影应当想到小细胞肺癌的可能性,尤其是在肺门纵膈淋巴结增大时。
 06
黄勇秘籍
[黄勇课堂]黄老师又双叒叕新征象——山丘征“经典馒头”
“山丘征”
病理显示小细胞癌的质地柔软
位于胸膜下的周围型Sclc沿着胸膜塑形成长:长轴贴于胸膜面,一侧或双侧与胸膜交为钝角,不侵及相邻肋骨,似山丘状或馒头状(馒头质地软)
位于胸膜下的鳞癌常与胸膜交成锐角
位于胸膜下的腺癌常伴胸膜凹陷征
少数鳞癌、腺癌可类似山丘征,侵及相邻肋骨为其特点

这个征象是首次提出。大多数比较可靠,但有待于大宗数据验证。目前看实用性较强。
我最近统计的周围型小细胞癌,位于胸膜下的,竟然没有1例侵及肋骨,由此可见小细胞癌的柔软性。
长在胸膜下,就像一滩泥一样,塑形生长。
其优势在于一些可以手术的小细胞癌,该征象可以排除手术。
来看图分析。


一侧或双侧与胸膜呈钝角,但肋骨无破坏。

这个原发灶也不典型,但还是呈钝角。

多么经典的“馒头”。

鳞癌或腺癌等一般非小是这样的。

是山丘征吗?是小细胞癌吗?
对,不是,肋骨破坏了。


这个山丘破坏肋骨了,是鳞癌。
我至今还在寻找,位于胸膜下的小细胞癌,并且侵及肋骨的,似乎不是那么好找。
这个征象,归根结底还是回到病理,质地软,破坏力差。
大家学会这个新征象了吗?
 07
相关链接
【每日晨读】难以琢磨的小细胞肺癌
诡秘难辨——隐球菌PK肺癌
【广西群读片系列】 小细胞肺癌也"淘气"




编辑:杨宏刚
审核:徐  晓
到顶部