【每日晨读】年轻女性,双肺弥漫奇异囊腔
































群内精彩讨论

一切∮随缘:
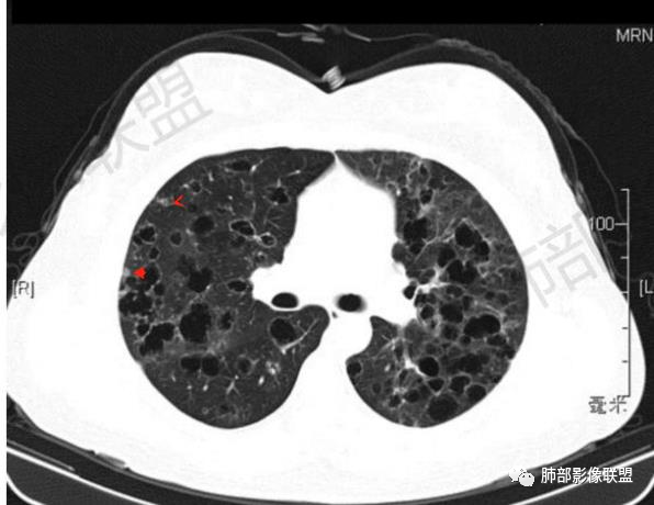
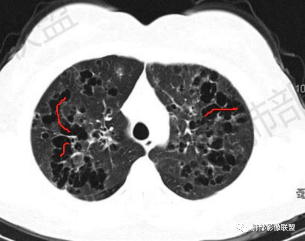
晨读:双肺多发大小不等囊腔影,部分囊有融合,形态不规则,部分壁偏薄,部分囊壁偏厚,囊壁可见结节?血管?右肺上叶及左肺下叶可见条状高密度影,双侧胸膜结节样增厚,临床年轻女性,考虑LAM,鉴别LIP
?? 玫:
晨读:女,31,间断咳嗽咳痰9个月,双肺多发大小不等囊泡影,壁薄厚不均,部分囊泡融合成片,双肺另见结节影,边界清晰,考虑PLCH,LAM。
丽:
晨读,青年女性,双肺及胸膜下多发大小不等囊腔,大部分呈薄壁,部分囊壁略厚,边缘毛糙,部分囊腔有融合,双肺内散在条状高密度影,考虑LAM
杨泽锋:
这些囊怎么这么怪异?
不符合LAM
可惜是女性,同时又故意给了肋膈角有囊的图片,提示我们不要考虑PLCH
所以我考虑气管支气管瘤病(尽管没有看到气管内结节影)
鉴别LIP
须臾。懂了:
晨双肺弥漫性囊腔影,类圆形,大小不等,既往恶性肿瘤手术。疾病谱:lip(排除)多见于干燥综合征等自身免疫疾病。BHD(排除)一般表现为薄壁囊腔,多合并肾,皮肤等其它肺外表现。plch(排除)多见于男性吸烟患者。CD(不考虑)极度少见的情况下会表现为双肺弥漫的囊状影。lam(考虑)年轻女性,类圆形囊腔,弥漫全肺。转移瘤(待排)临床上是不能无视她肿瘤病史的。其它少见的有淀粉样变,轻链沉积(赞不考虑)。
空格:
罕见病pk少见病的不典型表现(以自己的认知)。临床,支气管镜、灌洗、活检三堂会审都没招,肿瘤性病变的机会很小了。影像:1 两侧乳腺结节伴钙化,右侧腋下淋巴结肿大,当心乳腺癌存在。   2  两侧薄壁气囊,部分囊壁增厚,分布许多病灶沿血管部分,呈芭蕉扇状,内侧缘囊壁不完整?血管受压变细,高张力囊?这个分布不是lam和plch典型分布,plch还有两上肺为主,不累及肺底的特征,没交代吸烟史与本例不符。  青年女性,盆腔和网膜、肺联合病变,这点支持lam,但lam圆形为主,有些不圆的囊其实是囊的融合,那就基本符合。   lam 首先考虑,  其次先天性支气管囊肿继发感染?超出我认知的其他病变?
必有路:
年轻女性,咳嗽咳痰9个月,治疗效果不佳,纤支镜炎性为主
既往:卵巢交界性囊腺瘤术后
个人史:无吸烟
实验室:风湿免疫阴性
影像:双肺散在囊性病变,不规则,壁厚,部分见结节
诊断:转移瘤可能性大
鉴别:LAM 轻链等 
建议:再次活检
放开那盆小龙虾:
plch,lam,lip,bhd,囊性转移瘤,轻链沉积,淀粉样变性,ECD等等的鉴别,性别,有无吸烟病史,分布,囊的特点,考虑囊性转移瘤可能?鉴别lam
不再涩的柠檬:
年轻女性,有交界囊腺瘤史,风免阴性,无吸烟,影像多发怪异囊,有结节,部分壁厚,少许磨玻璃,左侧乳腺含钙化小结节,右侧乳腺外象限可疑结节,纵膈腋窝未见明显增大淋巴结。确实转移先要考虑,对比既往老片看看,鉴别plch,lip,lcdd,lam,bhd,建议穿刺活检
吴婧wj:
肺部弥漫性囊性变,疾病谱:PLCH   LIP   LAM LCDD  BHD,其他{转移,子宫内膜移位},先天性遗传性疾病。本例乍看一眼形态像plch,但是女性,肋隔角累及,分布不太支持,是系统性lch?
LAM,lip形态不支持,实验室检查不支持lip.
转移?交界性囊腺瘤一般不会转移。子宫肌瘤?没有提供,子宫内膜异位?咱不能排除 。如果疾病谱包括的话,以上需要考虑的是,系统性lch?妇科相关的子宫内裤异位,遗传性疾病等。不太典型,可能都错。
飞鹰行动:
女性,31岁,间断咳嗽咳痰9个月,影像表现双肺多发大小不等囊泡影,壁薄厚不均,部分囊泡融合成片,以双肺上叶多见,周围见结节影,边界清晰,考虑PLCH,LAM,鉴别LIP。
周太狼:
年轻女性,双肺多发不规则囊腔、结节影,部分融合,肋膈角受累。有交界性囊腺瘤手术史,支持首先考虑双肺多发囊性转移,鉴别LAM等其它囊性病变。
安吉木子何方李:
18年手术史应该有肺部ct。对比一下。如果原先正常的,那首先考虑转移,预案先有囊腔的考虑先天性病变。父母兄弟姐妹去检查一下
小强:
双肺多发囊腔,不规则,
PLCH  LIP  LAM
年轻女性,排除PLCH(吸烟相关,囊腔不规则,壁厚,少累计肋膈角)+LIP(结缔组织病相关,囊腔规则,可有壁结节),考虑LAM,分为结节硬化相关性单发性,多见于育龄期女性,一般囊腔规则,疾病进展囊腔可增大
THINKER:
囊融合排除LAM
女性不吸烟,肋隔角有囊,排除PLCH
风免阴性,排除LiP
BHD囊太小了,且需要遗传史
考虑:轻链沉积丶淀粉丶威廉姆斯坎贝尔综合征丶转移等
王秀仙:
双肺多发大小不等囊腔,形态不规则,大部分囊融合,部分囊壁偏厚,部分可见磨玻璃影及多发粟粒状影,临床有交界性浆液性囊腺瘤,首先考虑囊性转移瘤,鉴别LIP,BHD。LAM,PLCH影像不符,不考虑。
大雄:
见过这样的囊性腺癌
转移也许也可以
交界性囊腺瘤容易转移吗?LAM囊不像,LCH病史不符
毛勤香:
弥漫大小不等囊,疾病谱:PLCH   LIP   LAM LCDD  BHD,年轻女性,有交界性囊腺瘤病史,无吸烟史,风免指标阴性,两侧乳腺多发结节,首选LAM,鉴别转移
南边:



类似于支气管扩张,不过是在外围,病史没有说清楚

从病史推断,术前应该没有,如果有按理术前会病检,或者说术前很小,这个要交代一下,如果术前有,不用去考虑转移,因为术前就有,手术可能会有针对性处理,如果术前没有,后面才有的,31岁,考虑先天的囊为主的病变就不合适,自然转移瘤要考虑,因为病理:

病理提示腹壁有病灶,除掉手术病史,我们单看影像,囊,类似于支扩,常规这样的改变——影像上常见于LCH,LAM囊规则,小结节


如果从影像分析:LCH首选,虽然肋膈角区有,转移瘤,常见的这样表现肯定不符合,有没有特殊的我不敢说,其实病史要再仔细一些,手术前有没有,有,应该就不太考虑转移瘤,没有,要纳入考虑范围

从我的角度,首先去查病历,看看术前胸部有无问题
大雄:
系统性LCH应该病史也会很长,预后不好
南边:
是,就怕以前没临床症状,所以要看术前的
必有路:
如果术前有问题,或者跟腹部的同时有问题,腹部手术一样会做的
南边:
所以要问清楚啊,我们只是推测
必有路:
住什么科处理什么问题,在肺功能正常情况下
大雄:
成年人系统性LCH是不是比较少?
南边:
不会,青年多
必有路:
一般不影响他们手术 那假设同时存在呢?就不考虑转移吗?潘老师
南边:
特别强调吸烟病史,如果同时存在,我想应该是手术前会诊断明确,不然,不敢轻易手术,假设肺部多发转移灶,去腹部手术,是否不妥啊,应该是化疗为主

现病史,应该是这次的,不是上次的,不是手术时期的,所以我怀疑手术时是否有,如果上次有,最起码上次会提到吧,胸片也看得到
大雄:
手术时有  然后大了多了  也不能排除转移呗,说白了  就是有老片对比比较好:
那要是人家术前不做CT  就没办法,那没法对比
南边:
能做这样手术的肯定医院很大,不会出现这样的疏漏,胸片看到问题,CT是肯定会的,LAM囊腔真不符合,从囊腔,支持LCH,转移瘤我没见过这样的,转移瘤我没见过这样的,待排吧,从影像符合LCH,不支持点就是肋膈角,原发可以,但是我没看到恶性特点

病检支持炎性,PLCH就是包绕肺小动脉扩张


良孑:
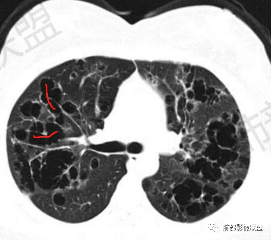
双肺多发不规则囊腔,囊壁增厚,并可见散在分布的结节与实变,多层面观察较多囊腔沿支气管走行分布,年轻女性双肺多发囊,但囊腔不规则,一般不考虑Lam,有结节及囊,有实变〈粘液拴〉年轻女性,首选PLcm或ccam
蓝天白云:
双肺多发囊腔影,形态不规则,年轻女性,有囊腺瘤病史,plam形态较圆,考虑交界性囊腺瘤转移或plam,plch好发于男性,吸烟,两上肺分布
尘缘:
直接拍死;转移,不鉴别,病理类型,多囊性间皮瘤>囊腺癌>腺癌(胸膜不规则结节性增厚伴肺内胸膜下多发结节+沿血管分布多发囊+病史大网膜间皮样增生)年轻女性有可能是腹膜多囊性间皮瘤,然后发生转移,真要是这个,难得的少见病例
流心明智:
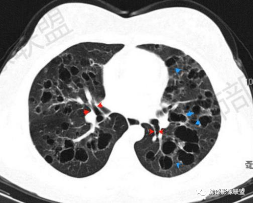
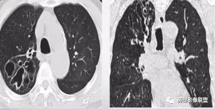
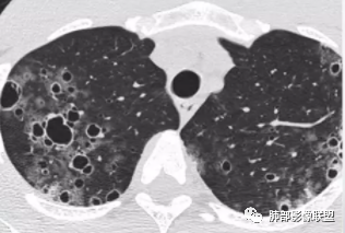
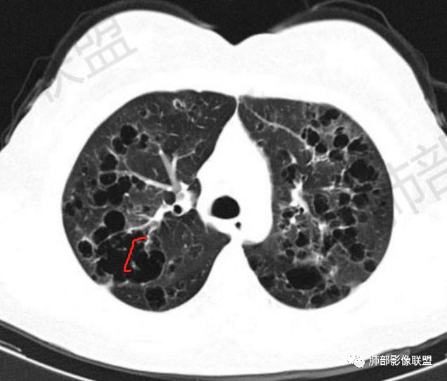
晨读:女,31,间断咳嗽、咳痰9月。卵巢交界性囊腺瘤术后。胸部CT:双肺多发大小不等薄壁囊腔影,部分融合,形态不规则,个别囊壁偏厚。右肺上叶及左肺下叶纤维索条影。左下叶不规则囊腔影,壁不均匀增厚,周围不规则实性成分加GGO,放射性毛刺,胸膜牵拉。考虑:囊腔型Ca?转移?鉴别PLCH,Lam,LIp,BHD,CF,CPAM等,听大咖解析。
傅昌瑜:
青年女性,间断咳嗽、咳痰9月。无吸烟史,
家族史(—),3年前有右侧附件交界性浆粘性囊腺瘤手术史。支气管镜检查病理:慢性炎,部分肺泡内见吞噬细胞。CA199升高。自身抗体阴性。
胸部CT:两肺多发囊腔,中上肺受累为主,囊腔形态不规则(囊有点丑),分叶状,囊壁厚薄不均,大部分囊壁薄。尚有一些结节影。
两肺弥漫囊样病变疾病常见有:
1.LAM  临床表现为进行性呼吸困难、反复发作性气胸、咯血、乳糜胸,多见于育龄期妇女,囊腔长得漂亮,囊腔之间肺组织正常。
            晨读病例囊长得不漂亮,也没有呼吸困难等症状,不怎么支持LAM。
2.LIP  多继发于干燥综合症、HIV等疾病,肺部表现为多发薄壁囊腔和小叶中心结节,囊腔周围有磨玻璃影,可见小叶间隔和支气管血管束增厚。
            晨读病例未见小叶间隔及支气管血管束增厚,无小叶中心结节,囊壁厚薄不均,自身抗体阴性,不支持LIP。
3.BHD:多有家族史,可见皮肤纤维毛囊瘤、肺囊肿、自发性气胸、肾肿瘤,多位于肺基底部近胸膜下,形态不规则,可大可小,都有大的肺囊肿。不支持。
4.PLCH:常见于吸烟青年男性,囊腔形态不规则,呈分支状,囊壁厚薄不均,双侧肋膈角常不受累。
           晨读囊不规则,分叶,存在PLCH可能,但为不吸烟女性,可能性下降。
5.囊腔型肺转移瘤:常见于头颈部的鳞状上皮癌、胃肠道的腺癌、女性生殖系统肿瘤、肺外肉瘤的转移。
             晨读病例有妇科肿瘤手术史,肺内病变转移瘤可能性大(而且一般盆腔肿瘤手术前基本都会完善胸部X检查,能够顺利完成手术估计手术时肺内无明显病灶),但肺囊肿有较明显的融合,这在转移瘤中较少见。综合上述考虑囊腔型肺转移瘤,鉴别PLCH。

结果



病理结果:肺粘液腺癌(转移不除外)
盆腔肿瘤病理复检结果为:交界性粘液性肿瘤

复盘讨论

南边:
上次手术肺部有没有?其实病史重要,LAM、LCH这些都应该是以前有,如果以前没有,突发出来的不支持,转移瘤,这样我的确实没见过,只能说罕见,我不知道与肺内原发的几率有多大差异
尘缘:
通过原有病史,原有病理,已经现有肺部病理综合分析,应该还是一个盆腔粘液腺癌肺内转移,有免疫组化就好了。当时的交界性粘浆样囊腺瘤的病理不一定准确,可能是粘浆液样囊腺癌
南边:
是,特别是腹壁有
尘缘:
交界性就是有恶性倾向,估计当时病理也纠结到底是瘤?还是癌了。
吴婧wj:
对,盆腔需要病理再看看,交界性一般不转移,但是病理准不准不知道
尘缘:
不管了,反正转移是拍死了的,病理类型确实也有点纠结,应该是病理报轻了。交界性的两年发生这么明显的转移,而且是腺癌转移,可能性太小了。
Coke with ice:
在上皮性肿瘤中,交界性肿瘤常常见于30多岁的女性, 偶尔甚至见于更年轻的女性,在这个年龄组上皮性癌相对罕见,而且主要是黏液性癌。病例提示肺部粘液腺癌,我感觉还是能符合起来的。而且肺内不像原发的肺内粘液腺。所以,综合考虑,转移瘤诊断靠得住。
尘缘:
已经做了的免疫组化区分不了是原发粘液腺还是转移性粘液腺,病理得出是转移可能大的结论也是基于原有病理是交界性粘液肿瘤来的。
尘缘:
@赵永兵 内蒙巴市临河妇幼影像科?肿瘤病人手术前都会常规做胸部CT,一些大一点的医院,甚至会做头胸腹联合CT扫描,以完成肿瘤前的分期评估,以制定完善的治疗或手术方案,所以这个常规来说,原来做盆腔手术的时候,胸部应该是正常的。也就是说,这个病人的结果为转移的可能应该远远大于原发。退一万步说,住院病人三大常规检查(胸片,心电图,血尿便)这是必须的,胸片是能发现现在这样的囊性病变的(病史中没提,也说明两年前没有),也可以基本排除LAM,LACH,LIP等基础病变可能。
大雄:
肺部有囊 腹部肿瘤也一样会做手术,这种还是最后做了楔形切确诊的  一般的活检都做不出来,对于基层医院来说,  这种病变医生敢去切肺是要有魄力的   压力很大,所以无需纠结术前有没有,只是说有老片,可以对比下,毕竟两三年时间,看看动态变化是有意义的

肺部弥漫囊性病变疾病谱

小叶中央型肺气肿

囊状支气管扩张

轻链沉积病

淀粉样物质沉积

卡氏孢子菌肺炎PCP

脱屑性间质性肺炎DIP

BHD

蜂窝肺

淋巴细胞性间质性肺炎LIP

淋巴管平滑肌瘤病LAM

肺朗格汉斯组织细胞增多症PLCH

恶性肿瘤肺转移(结肠癌肺转移)

  空洞性肺转移瘤的文献复习
  肺是发生转移瘤最多的脏器,几乎所有恶性肿瘤都可转移到肺,血行转移是最重要的转移途径。典型的肺转移瘤表现为多发圆形、大小不一的实性结节,边缘一般光整,多位于肺周边,多能明确诊断。空洞型肺转移瘤相对少见,约占肺转移瘤4%,其中70%为鳞癌转移;常见的空洞型肺转移瘤的原发恶性肿瘤多见于头颈部的鳞状上皮癌、胃肠道的腺癌和女性的生殖系统肿瘤以及其他部位的肉瘤等,组织学以鳞癌和腺癌最多见。
     空洞型肺转移瘤成因尚不完全明确, 可能与鳞癌中心角化物排空 、腺癌黏液样退变后黏液排空 、肿瘤血供不足引起坏死 、肿瘤继发脓肿 、化疗等机制有关,其中部分薄壁囊腔样结可能是肿瘤细胞沿着原有的肺大泡或其它囊性结构生长或者肿瘤向小支气管侵犯引起活瓣性阻塞而形成 ,但无一种机制能解释全部现象。空洞或囊腔大小并不反映病情变化, 其临床意义不大, 而瘤灶的数目及大小, 特别是瘤灶实性成分的多少才可能更准确反映病情变化。肺癌形成空洞与其肿瘤本身性质有明显联系,肿瘤分化程度差,倍增时间越短,恶性程度越高,组织液化坏死形成空洞倾向越明显;鳞癌空洞偏大,内缘不规则,常易形成X线平片中癌梁样改变与CT中壁结节样改变;而腺癌空洞大小不定,洞内分隔明显,内缘不规则,且较难于形成壁结节等改变;合伴空洞的肿瘤边缘情况也对判断肿瘤性质有帮助。
[1]张秋娟,郭佑民,王丽华,汪军峰,牛刚,金晨望.腺癌空洞型肺转移瘤的CT表现[J].实用放射学杂志,2006(09):1050-1053
[2]于小平,王平,梁赵玉.空洞型肺转移瘤的CT表现及与原发灶病理类型的关系[J].临床放射学杂志,2003(03):199-202.
详细请点击下方链接
肺部囊性病变的临床和影像诊断与鉴别(一)
肺部囊性病变的临床和影像诊断与鉴别(二)
肺部囊性病变的临床和影像诊断与鉴别(三)

END



编辑:刘朋
审核:蔡笑燕  於雄
病例提供者:杜开峰
到顶部