【每日晨读】海南旅游--咳嗽咳痰,是类鼻疽吗?



 01
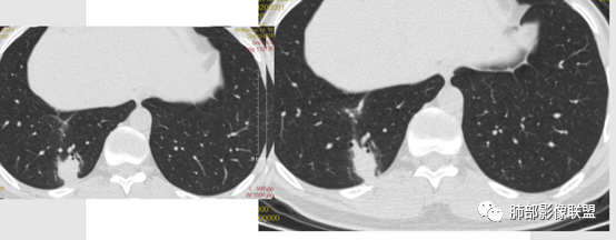
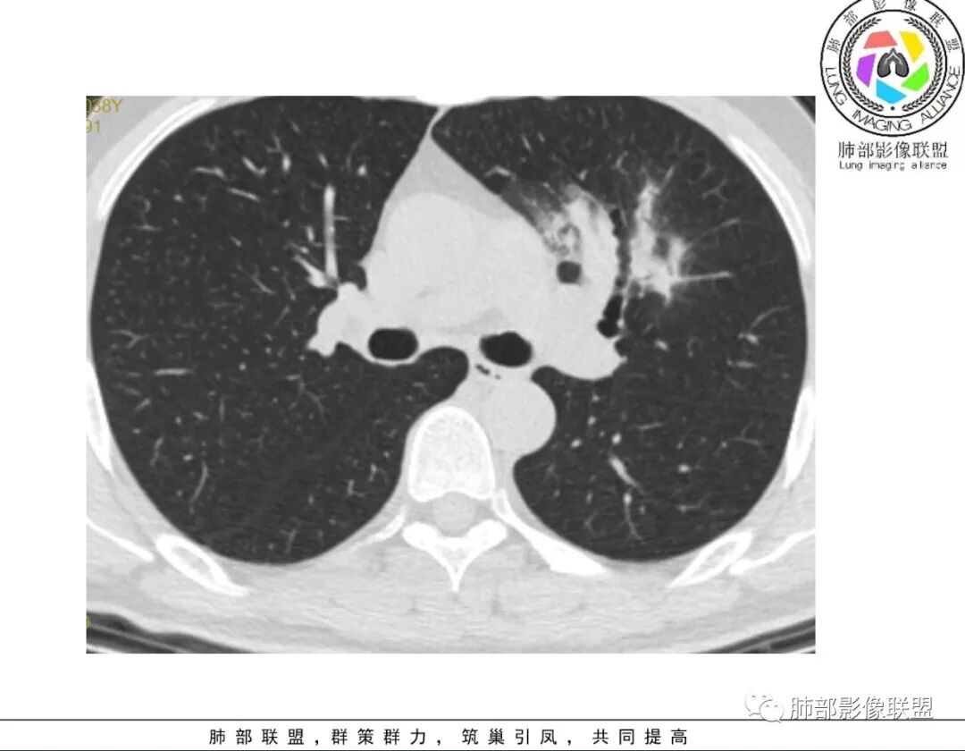
临床资料













































 02
群内讨论
谢加平:左肺上叶和右肺下叶见多发散在性斑块病灶,边界清楚,部分见U形凹陷和刀切征,周围见模糊晕征,近胸膜下分布和蘑菇兄弟特点,累及左肺上叶上舌段支气管牵拉性扩张,前后13天复查整体病灶吸收不明显,有机化趋势表现,首选炎性肉芽肿(隐球菌感染?),请结合隐球菌荚膜抗原检查。
金豆:两肺多发斑片状影,晕,轻度延迟强化,考虑炎性肉芽肿,去过海南,类鼻疽?去过海南,类鼻疽要警惕,鉴别隐球。旅游史或者是烟雾弹。
必有路:中青年男性,3周咳嗽咳痰,畏寒,无发热
既往:肺炎病史
个人史:近期海南三亚旅游
实验室:白细胞、血沉稍高
影像:左肺上叶、右肺下叶团片病灶,右肺下叶有结节病灶,病灶内支气管僵硬,稍扩张,强化有死
诊断:类鼻疽伯克霍尔德菌肺炎
鉴别:其他感染
建议:血培养活检
蓝天白云:两肺多发斑片状影,晕,内见扩张支气管影,可见直边,轻度延迟强化,纵隔肿大淋巴结,考虑炎性肉芽肿,隐球,淋巴瘤。
丽:双肺散在片状及结节状高密度影,边缘模糊,支气管穿行,走形僵硬,不均匀强化,考虑:OP,鉴别隐球菌,淋巴瘤。
小兜:男性,39岁,3周前劳累受凉史,次日至三亚开始咳嗽咳痰,入院时自述症状减轻。CT示双肺多发斑片影,部分病灶内部支气管壁增厚扩张穿行,平扫密度均匀,增强未见明显坏死,治疗前后部分病灶略吸收。实验室检查白细胞血沉轻度增高。考虑隐球菌感染可能,鉴别类鼻疽,淋巴瘤。
青藤之凉:两肺多发斑片状影,周围有晕,轻度延迟强化,考虑炎性肉芽肿,考虑隐球。
安智轩:发病原因先于去海南旅游吧?不太赞同类鼻疽,旅游又不是下农田。
毛勤香:青年男性,两肺多发斑片状影,周围模糊,支气管穿行稍扩张,高热,病前有劳累过度史,常规治疗无效,海南旅游史,考虑感染性变,首选类鼻疽,鉴别隐球菌。
巴伟:双肺多发斑片影,边缘模糊,有晕,有支气管扩张,轻度强化,先考虑感染性病变,隐球,鉴别淋巴瘤。
穿越七海的风:双肺多发结节斑片影,边缘模糊有晕,亚急性病程,咳嗽黄痰,周围渗出,支气管张扩,胸膜增厚,复查病灶略有吸收,考虑感染性病变,隐球菌?
大雄:海南旅游史有可能是烟雾弹,即使去海南,健康人也不会轻易感染类鼻疽。一般要皮肤破损接触疫水或者有免疫缺陷状态下吸入环境中的带菌气溶胶、饮用污染的水,才会增加感染几率。
而且患者临床症状相对也比较轻,实验室炎性指标都没有明显异常,不太确定类鼻疽的临床表现是不是也可以比较多样?但是群里以前讨论过的类鼻疽病例临床都是很重的,全身多发脓肿、高热,而且发病患者有皮肤破损、糖尿病。今天晨读患者只是单纯提供了海南旅游史,没有提供其他方面的易感因素。
隐球菌的话,这个患者病灶大部分以中内带分布为主,不太典型,重点是治疗前后对比,如果有变化支持感染,没变化也要考虑淋巴瘤的可能,目前所给图像层厚和层面都不太一致,会影响判断。而且只给了复查影像,并没有给治疗方案,是抗普通抗炎还是用了氟康唑。一般来说,隐球菌普通抗炎是无效的。
不吝慷慨:类鼻疽是真菌吗?
大雄:类鼻疽是细菌,阴性菌。
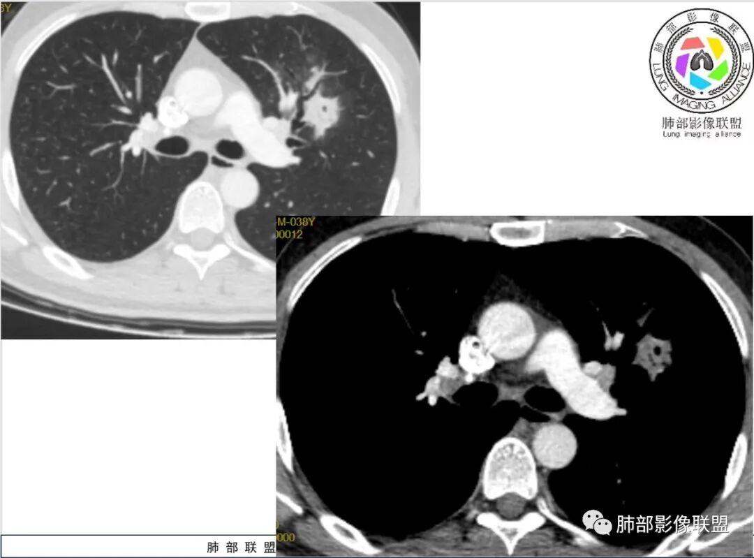
尘缘:中年男性,咳嗽咳痰伴乏力多汗,无发热,偶有畏寒。期间至某中医院治疗服中药后,症状好转。白细胞与血沉稍高。影像表现:左上肺团块状影(增强后CT值约22,伴有血管漂浮),中间支气管明显扩张,伴有小空洞形成,周围有晕,右下肺多发团块状影(增强后CT值约48),无明显支扩,伴胸膜下多发小结节,13天后复查,左上肺主病灶无明显变化,其他病灶范围有缩小,空洞消失,右下肺病灶变化不明显。
可能诊断:1、二元:左上肺淋巴瘤,强化程度较轻,明显支扩,血管漂浮,治疗后左上肺病灶有好转(考虑为周围渗出减轻,空洞消失所致),右下肺感染性病变,有感染的临床症状及白细胞增高,伴周围多发结节(卫星灶),治疗后无明显变化。病原体:隐球可能性大,鉴别结核,非典。2、一元:整体都考虑感染,那就形成了多形,多态,结核要考虑在前面,临床有咳嗽,咳痰,伴乏力,多汗,支持,影像也可以。一元隐球,左肺病灶形态不支持,支扩太明显,强化程度两肺相差大,所以可能较小。一元类鼻疽,没有糖尿病史,没有下田劳作史,可能小,再加上临床症状无发热,影像无明显SPE改变,无其他系统多发脓肿,而且中药治疗还有一定效果,不太符合。
综上:我考虑二元(左上肺淋巴瘤伴右肺隐球菌或非典感染可能大),鉴别一元结核。
傅昌瑜:青年男性,咳嗽咳痰3周。白细胞计数稍升高,CRP正常。两肺多发斑片状、结节影,周围见边缘模糊磨玻璃影,部分边缘见毛刺,支气管穿行稍扩张。治疗后(具体药物不详),周围磨玻璃影减少,病灶似乎变小。无明显发热、白细胞无明显升高、CRP正常,治疗10天后复查吸收不明显,不支持细菌性肺炎。无发热、鼻窦疾病及血尿(未提供相关检查)等,血管炎可能性不大。肺内病灶形态单一类似、无树芽征,不支持肺结核。综合考虑隐球菌可能性大,鉴别淋巴瘤、血管炎。
征象标注-南边
病史:中青年男性,去三亚前就有疲惫、着凉病史,按理免疫力下降了,到三亚就有症状了,用药效果不佳,回青岛就好一些。
 * 差不多2周,有差异吗?半个月左右吸收明显,肿瘤不考虑,炎性没问题。

 * 看看这边缘,平直、凹陷,炎性没问题,修复阶段。提示亚急性,有OP形成;多发,斑片,强化偏轻,常规抗炎效果不佳。首先:诊断炎性病变,三亚,多发病灶,斑块状,周围GGO,类鼻疽要考虑。

 03
结果






 04
复盘分析
必有路:也就觉得炎性肉芽肿这类,又看到地方特点就先入为主了,其他感染也没细想。还特地查了类鼻疽影像表现,确实有这种片状的。
尘缘:右肺隐球还是必须考虑,只是左上肺那个支扩以及强化明显比右肺弱,让我不敢直接考虑一元隐球,不过鉴别中,我也提到了一元隐球,只是觉得可能小一些。再次验证了,隐球这个肺部四大妖之一,也是名不虚传的。
必有路:是啊,左肺强化不太像典型肉芽肿的强化模式。但是它吸收了,减少了。也不支持肿瘤。
尘缘:是的,主要是图像不同层,我就不敢肯定,如果是自己的机器上同层比较,明显吸收好转,自然不会考虑肿瘤了。
必有路:类鼻疽就是临床不够重,实验室不够重,这点早上存在疑问。
大雄:这个病例的病史其实有一部分误导,给了治疗后复查影像,病灶吸收缩小,但是没说明使用了氟康唑,一般来说普通抗炎治疗对隐球菌是无效的,因此这个复查就容易把隐球排除。还有病灶整体而言,大多是肺中内带分布远离胸膜的,沿支气管血管束走行,支气管通畅,也不符合典型的隐球菌分布特点。
 05
本病例总结
1、病史:患者中年男性,既往体健,发病前有劳累史。
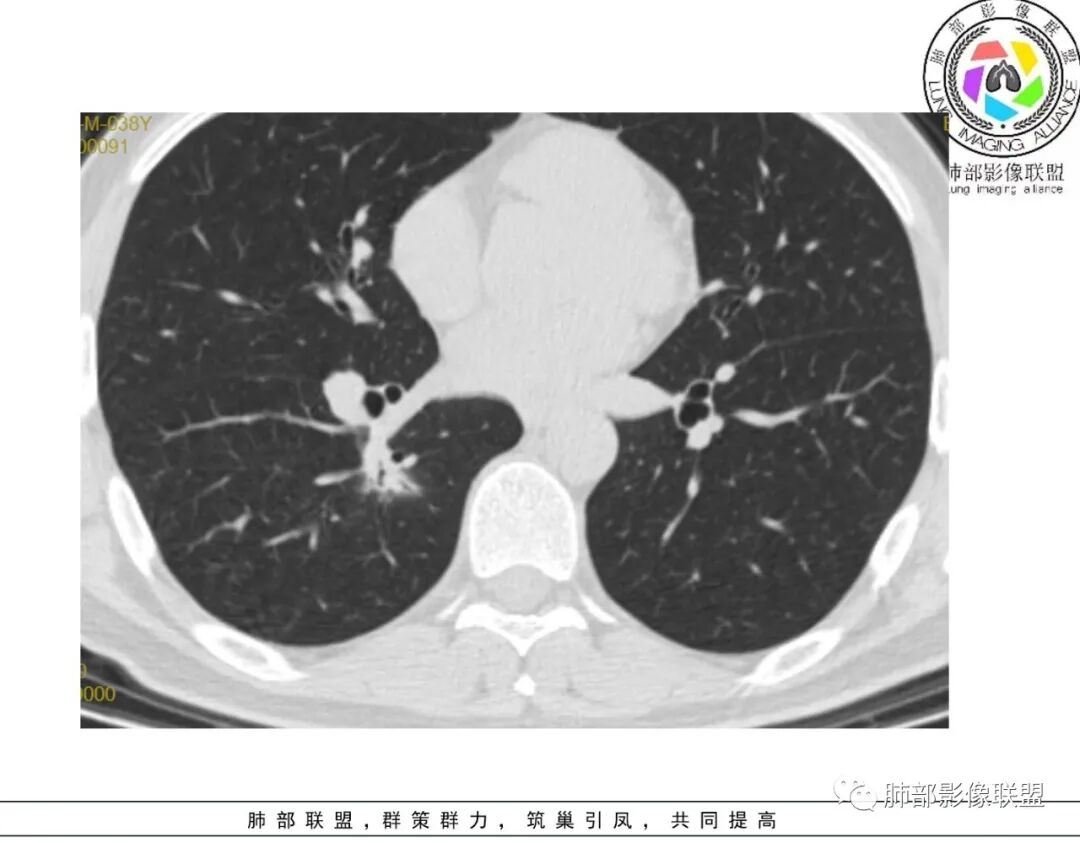
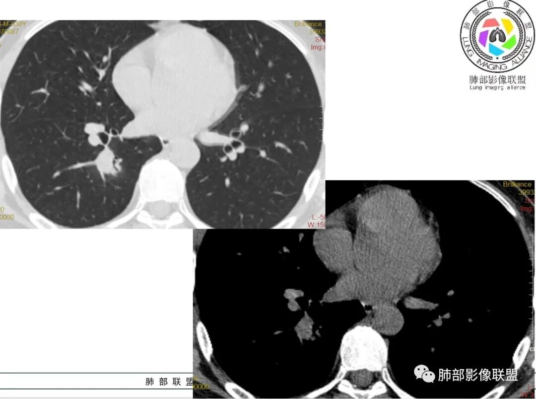
2、影像资料:双肺多发的小结节、斑片状及不规则型的实性病灶,周围有晕,沿支气管血管束分布,部分的病灶周围可见磨玻璃样影、支气管的扩张以及小的空洞。增强扫描病灶,轻度强化内部见支气管造影征。部分的病灶,支气管有扩张,内壁凹凸不平的改变,纵隔淋巴结未见肿大。病灶整体的形态还是多样化,部分位于胸膜下。
3、治疗:经氟康唑治疗2周后,影像上以边缘的磨玻璃样病灶的吸收为主。
 06
临床拓展
【类鼻疽病】
1、概念:类鼻疽病由类鼻疽伯克霍尔德菌引起的一种人兽共患的传染性疾病。
2、类鼻疽伯克霍尔德菌(BP)
①类鼻疽伯克霍尔德菌是一种非发酵革兰阴性机会致病菌,常见的易患因素有糖尿病、酗酒、慢性心肺及肾脏疾病和长期使用糖皮质激素等。
②海南省是我国类鼻疽最主要的疫源地,也是目前我国类鼻疽伯克霍尔德菌分离率最高的地区。
③类鼻疽伯克霍尔德菌主要分布于热带和亚热带地区的土壤和水域中,比如:稻田以及新种植油棕的土壤、季风雨排水地、花园以及运动场等处的土壤和地表水中,因此接触疫水或土壤的人群为高危人群。
3、感染途径:主要是破损的皮肤、消化道、呼吸道传播。
4、类鼻疽伯克霍尔德菌的菌落

5、类鼻疽肺炎胸部影像学表现
1.胸片表现:
①双肺弥漫性斑片状模糊影,部分融合成大片状。
②肺门为中心,向周围肺野呈放射状分布的条状模糊影。
③单或双侧肺门增大模糊。
④厚壁环形透亮影。
⑤双或单侧肺部斑片状、颗粒状影。
2.CT表现:
①肺叶或肺段为单位的大片致密阴影,密度均匀,以叶间胸膜为界,可见空气支气管征。
②肺门影增大,并见空气支气管征。
③双侧肺野多发结节状影,大小不等,边界清楚。
④单发厚壁空洞,可见液平,或多发厚、薄壁空洞,厚壁空洞内有较长液平或无液平,薄壁空洞内未见液平;其次为大片致密阴影中多发不规则透亮影,类圆形、条形或方形,似虫蚀状。
⑤双或单侧肺部斑片状、颗粒状影。
⑥一侧胸腔后部弧形阴影,呈水样密度,为胸膜渗出表现。
6、治疗:由于类鼻疽肺部病灶持续较长时间,伴有一定的复发率,易变为慢性感染,类鼻疽患者的诊治应规范抗生素,治疗周期一般为3-6个月。
【参考文献】
[1]郑婉婷,钟成望,王清滢,林灿灿,蔡佳芮,林锋,钟有清,杜永国,吴彪,肖莎.227例类鼻疽病例的流行病学特征[J].中国热带医学,2021,21(02):124-127.
[2]陈映,吴华,王会玉,王妹妹,卢槐,莫海花.外伤引起的类鼻疽伯克霍尔德菌致肺部感染合并败血症一例[J].新医学,2020,51(03):239-241.
 07
他山之玉
类鼻疽伯克霍尔德菌重症肺炎1例
病例资料:男性,48 岁。因“反复咳嗽、咳痰1 周,加重伴气促2天”于2018 年9 月7 日入院。外院胸部CT示右肺炎,经治疗后无好转,来我院急查血常规示:白细胞9.2× 10^9 /L,N% 84.9%。超敏CRP:462.52mg/L。降钙素原>100ng/ml。葡萄糖19.6mmol/L。血酮体(+)。查体: 体温:40.2℃,呼吸:32次/分,脉搏:164次/分,血压:100/
38mmHg( 多巴胺维持) 。呼吸机辅助呼吸,双下肺可闻及较多湿啰音,心率齐,未闻及杂音。诊断:重症肺炎呼吸衰竭、感染性休克、2型糖尿病并酮症酸中毒。
本病例肺部病灶累及双肺,以右中上肺的浸润状团块影为主要表现,伴有双肺结节影及胸腔积液,后期局部空洞形成。类鼻疽肺部病灶吸收缓慢,发病第22天时肺部病灶仍无明显变化,发病第65天时肺部病灶仍未完全吸收。本例患者出院后1个半月仍抗感染治疗,经随访无复发表现。

【参考文献】
[3]罗经宏,类鼻疽伯克霍尔德菌重症肺炎1例[J].医学影像学杂志,2020,30(06):1087+1131.
 08
Take Home Message
1、这个病例最大的烟雾弹是“海南的旅游史”;对于临床医师启示的是:即使是既往体健的中青年,没有免疫缺陷,但是过度疲劳后发病,结合影像学特征,隐球菌该放在疾病谱里的时候,千万不要犹豫。 
2、鼻疽与类鼻疽:均可作为生物战剂,鼻疽与类鼻疽均在美国本土灭绝,只存在实验室感染与输入病例,其中,鼻疽在全球几乎灭绝,类鼻疽还有热带流行疫区。
   *类鼻疽*
1.类鼻疽感染有巨噬细胞胞内潜伏能力
2.潜伏期从数天到数年
3.类鼻疽为环境菌,感染从环境到人
4.流行病学:热带(我国海南)、水田作业(水、土壤)、雨季(湿度、细菌雾化)、糖尿病(巨噬细胞)
5.感染方式:皮肤破口接触、吸入、食入带菌水土
6.感染类型:局部脓肿、肺炎与脓胸、脓毒血症、慢性感染(多发性脓肿)

编辑:张慧
审核:於雄

到顶部