【每日晨读】结核?非结核?你怎么看


病例资料























群内讨论
空帆船
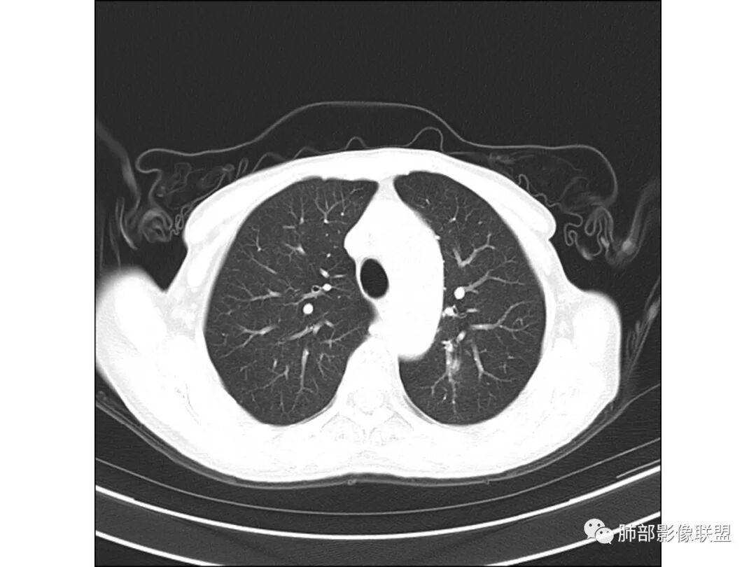
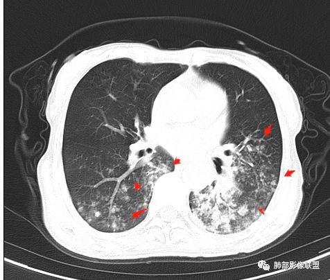
慢性迁延不愈患者 发热伴脓痰 双肺多发小结节伴磨玻璃影 左肺下叶体积缩小 支气管扩张伴实变 实变内支气管不规则 平扫密度尚均较肌肉稍低 支气管扩张感染基础上合并淋巴瘤待查 建议增强穿刺
左手
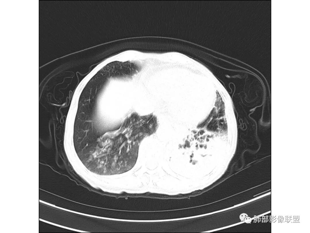
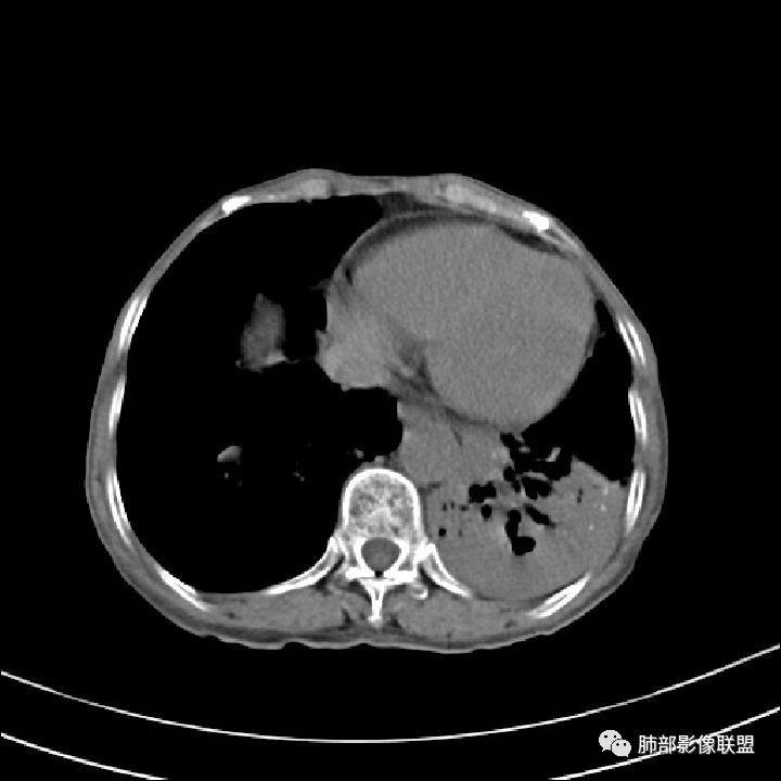
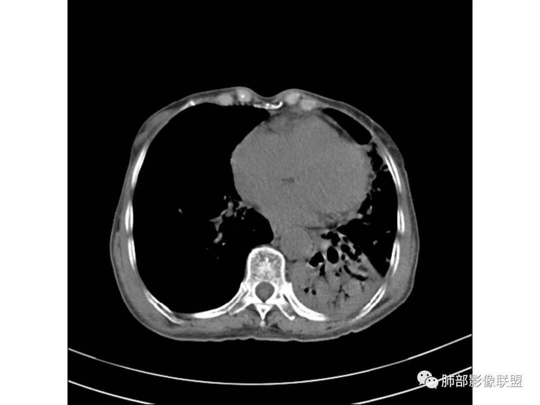
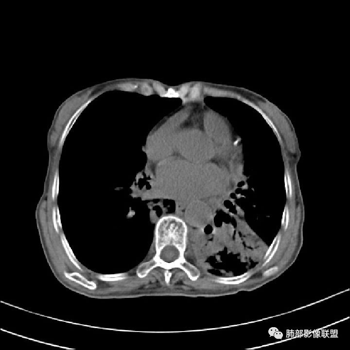
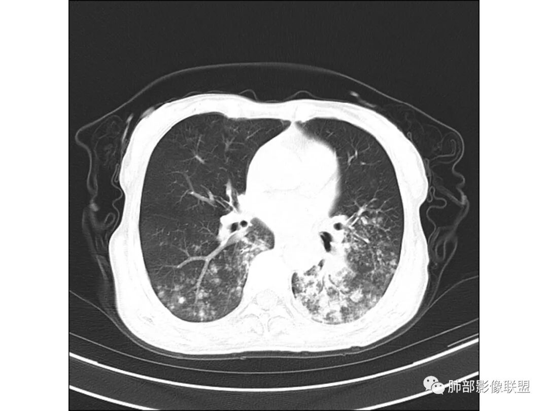
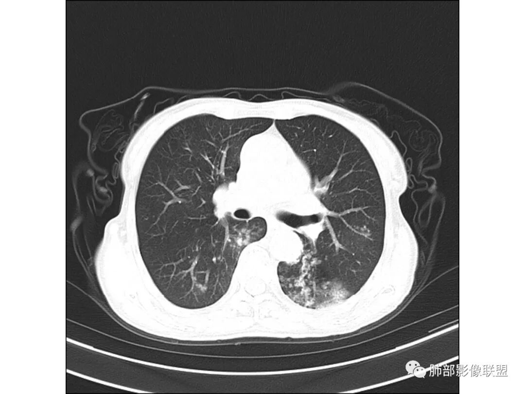
老年女性,慢性病程,有反复咯血、发热,左下胸廓塌陷,双肺下叶多发片状实变影,伴多发结节,左下肺实变为主伴卫星灶,支气管扩张,伴虫噬样空洞及支气管壁钙化,首先考虑结核,鉴别粘液腺癌
黄云开
气道来源,考虑感染性病变,特殊病原体,真菌?粘液腺癌不除外。
THINKER
老年丶反复发作2年,但双肺下叶多发腺泡结节,延气道分布,影像不符合陈旧病变,左下实变影,伴牵拉支扩,考虑慢性病变首先考虑吸入性肺炎,建议结合病史是否有隐性误吸,可查胃镜、气管镜丶钡透,除外食管、气管瘘。鉴别腺癌丶放线菌丶努卡菌丶NTM
上海杜开锋 
淋巴瘤感觉有点不典型,还是考虑慢性感染性疾病结核放第一位
wonderful
对的 虫蚀样改变 长期发热 最常见还是tb
THINKER
这个TB不大象,TB2年,抗炎好转,出院复发,病史不符,影像TB2年会更重、胸廓可能会缩小,左下应该是牵拉支扩,不象洞
张帅
患者老年女性,反复咳嗽 咳痰 活动后胸闷 气短,胸ct:病变以左肺下叶体积缩小,呈大片实变,实变组织内可见 左肺下叶支气管开口扩张,右肺下叶背段多发结节样病灶,周围有毛玻璃影。良性考虑感染性病变,ABPA ?结核?;恶性考虑:粘膜相关淋巴瘤。
王秀仙
双肺多叶段多发腺泡结节,延气道分布,双下肺为诸,左下肺大片实变影,伴牵拉支扩,老年人首先考虑支气管肺炎。鉴别腺癌。
梁伟-山西河曲二院
双下肺多发腺泡结节,左肺下叶实变,彭隆,结核伴感染,鉴别结核伴粘液腺癌。
食客
双肺下叶多发片,结节,左下肺实变,局部膨隆,粘液腺癌?鉴别结核。
一米阳光
晨读病例,老年女性,病程长,左侧胸廓缩小,双下肺叶多发片状实变影,伴多发结节及树芽征,左下肺实变,有坏死空洞,支气管扩张壁增厚有钙化,考虑结核,鉴别粘液腺癌,淋巴瘤,排除异物

晨读:左肺下叶见实变影,期内密度不均,支气管扩张,双肺内见多发斑片,结节,考虑感染性病变,待除外左肺下叶占位,心腔密度减低,考虑贫血所致。
曹冠杰
左肺下叶图像给的有点少。未做增强。两元,左肺下叶倾向于腺癌,余肺内有感染存在。
没意见
反复气道感染症状,抗生素治疗有效,病史迁延;影像左下肺略膨隆,支气管树芽、支扩,钙化;隔离?结核待排
吴婧
ige高吗
丁啸
不高
吴婧
1.2年病史。反复发热,抗感染好转,比较符合肿瘤伴感染或奴卡这种慢性特殊感染的临床表现。
炎症方面,结核引起支扩很少,除非NTM...;奴卡病史符合,但是支扩会不会有不知道。。曲霉会支扩,我本考虑ABPA,但是IGE说不高,这个可以临床排除的,我就假设已经排除了。
这些支扩是非常光滑的,不是那种牵拉性的支扩,这么光滑的支扩:淋巴瘤,NTM,曲霉和少数急性细菌感染会发生。还有隔离肺,但是双侧多发,这个不考虑。
宇宙星空
有增强更好点,胸膜下多发三不均匀结节,左肺下叶背段干酪样肺炎改变,有点状钙化,支持结核
吴婧
有钙化符合2年病史。一般淋巴瘤不会钙化,但是我不明白这个是陈旧就有还是病变相关,如果有关,钙化更加支持慢性感染
南边老师分析
南边
女,62岁,患者2年前无明显诱因下反复出现咳嗽、咳中等量黄脓痰,量约20ml/日,曾咯鲜血数口,活动后稍有胸闷、气促,伴发热,体温最高39.0℃,多次在我院住院治疗,予抗感染治疗后症状稍稍转出院,出院后症状仍反复发作,近日症状加重。从病史看应该属于慢性感染性病变的特点
吴婧
目前大家考虑:1.结核/NTM 2.淋巴瘤 3.奴卡 。
南边
病灶位于中下肺部,左下叶应该是源头,其余是播散灶




南边
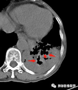
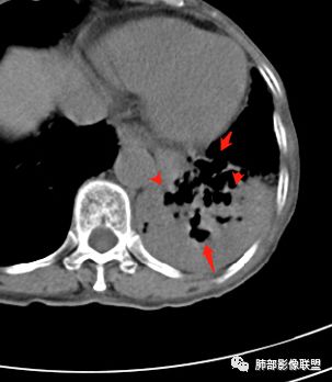
大家看看这支气管
宇宙星空
以双肺下叶背段及右肺上叶后段为主,是结核的好发部位
这些支气管扩张
刘纯
支气管有扩张


南边
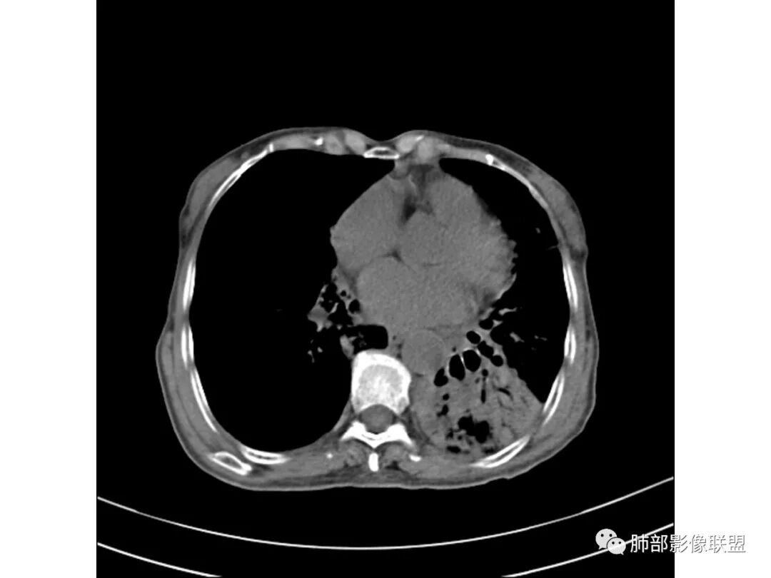
这些应该是胸水


南边
支气管扩张、扭曲成团,附近钙化灶
肿瘤会这样吗?
宇宙星空
一般不会
纵膈也左移了
吴婧
所以大家也多考虑慢性炎症
南边:
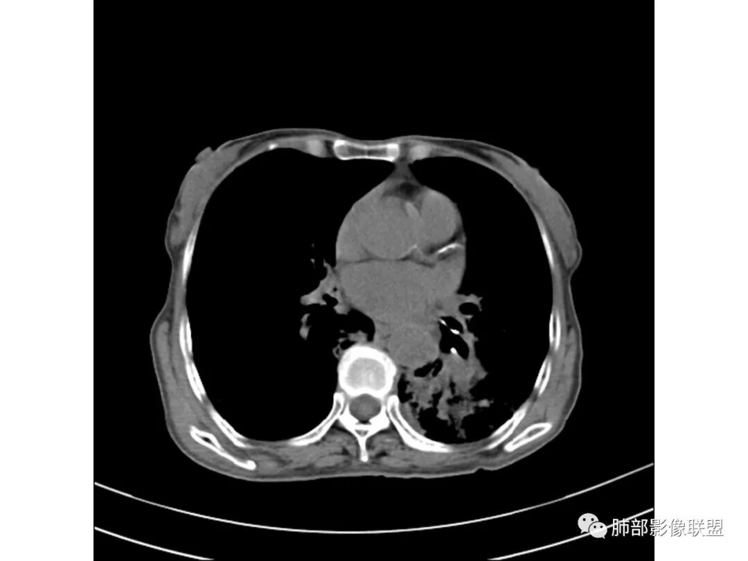
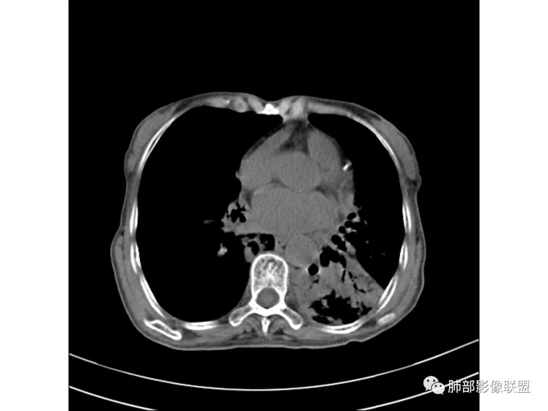
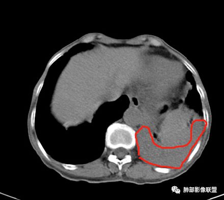
这例左下叶的体积是整体缩小的,左下叶的支气管主干稍微小一点点,然后左上叶的下舌段也有类似的病灶,然后我们看到一团乱的支气管扩张,但它有特点,边缘凹凸不平。那什么样的支气管扩张边缘会如此凹凸不平呢,等我截个图:


南边:
看最后一幅图,上面这个支气管,有可能是淋巴瘤,为什么?他的支气管稍扩张,直达远端、实变。

南边:
首先这幅图支气管很多地方是扭曲的,远端扩张的特别厉害。如果是肿瘤,首先考虑淋巴瘤,因为支气管可直达远端,稍扩张,但是它的前提是周围要实性占位的,而且它不会这样扭曲变形。我们看这个病例的支气管扩张,它支气管扩张占大部分区域,中间稍有些实性的结构,这就不符合了。这幅图你会发现所有支气管都是扩张的,实性部分偏少,外围胸水。所以我更倾向慢性炎性病变,能够引起支气管扩张的炎性病变有哪些?结核?NTM?支扩伴感染?大方向是慢性炎性病变。这些左下肺播散出来的病灶,咳中等量黄浓痰,我考虑还可能合并细菌感染。
结果

NTM小知识
定义:非结核分枝杆菌肺病(NTM)是分枝杆菌数内除MTB复合群和麻风分枝杆菌以外的其它分枝杆菌。
分类:Runyon分类法分为四组:
Ⅰ组:光产色菌,以堪萨斯分枝杆菌,海分枝杆菌,猿分枝杆菌为主
Ⅱ组:暗产色菌,以瘰疬分枝杆菌,戈登分枝杆菌,苏尔加分枝杆菌为主
Ⅲ组:不产色菌,以鸟-胞内分枝杆菌复合菌组,嗜血分枝杆菌,溃疡分枝杆菌为主。
Ⅳ组:快速生长分枝杆菌,以偶发分枝杆菌,脓肿分枝杆菌,龟分枝杆菌等为主。
NTM肺病影像学表现:
上叶空洞型
结节支气管扩张型
“热水浴肺”
孤立结节型
说在后面的话:
1.双肺斑片影、大小不等结节影,边界不清,密度较均一,钙化不多见,可见树丫。
2.左肺下叶大范围病灶,其间柱状支气管扩张相当显眼。
这些都支持慢性炎性改变。
3.我们知道继发性肺结核为典型的慢性消耗性疾病,较少出现高热及较大量浓痰。该患者病灶密度较均一,新旧不等的特点并不突出,缺少高密度区,双肺上叶比较干净,夸张的支扩也有别于结核病灶导致的“鸡爪样”改变。
4.两次培养出鸟-胞内分枝杆菌,其为致病菌之一当无异议,是否有其他病原菌趁火打劫未能确定。
5.影像学改变可以用非结核分枝杆菌感染解释。
6.我们不能确定的是,该病例支扩与NTM感染之间的先后关系。NTM感染易形成支扩,但支扩是否早已存在,缺乏历史资料比对。
相关链接:NTM非结核性分支杆菌的影像表现,你知多少?
编辑:唐大川
审核:冯连彩  徐   晓
病例提供:无锡五院呼吸科  丁啸



到顶部