【每日晨读】年轻男性,发热+皮疹+肺内点晕



SUMMER
2021.6.18
每日晨读


01
病例资料
男,19岁
主  诉:发热、全身皮疹2天。
现病史:患者源于2天前受凉后出现发热,最高体温为38.5℃,且颜面部出现少量皮疹,无鼻塞、流涕、咳嗽、咳痰,未在意而未作特殊处理,次日全身皮疹逐渐增多至全身,伴轻度瘙痒,在当地卫生所给予抗病毒、抗感染治疗(具体用药不详)体温有所下降,但皮疹无明显消退,无腹痛、头痛,食欲无明显减退,为进一步诊治,遂于今日急来我院求治,患者目前精神尚可,体力正常,食欲正常,睡眠正常,体重无明显变化,大便正常,排尿正常。
临床病史
体温37.4℃,脉搏87次/分,呼吸20次/分,血压117/67 mmHg,发育正常,营养中等,体型中等,急性热容,自动体位,步入病房,意识清楚,精神软弱,查体合作。
超敏CRP7.7mg/L高
降钙素原0.17ng/ml高
单核细胞计数0.7×10^9/L高
单核细胞百分比13.4%高





























































































































02
精彩分析
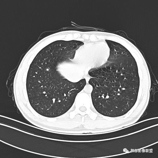
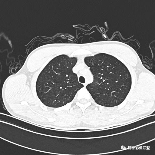
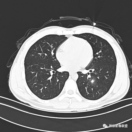
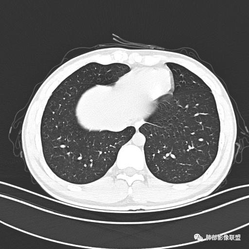
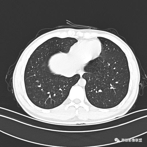
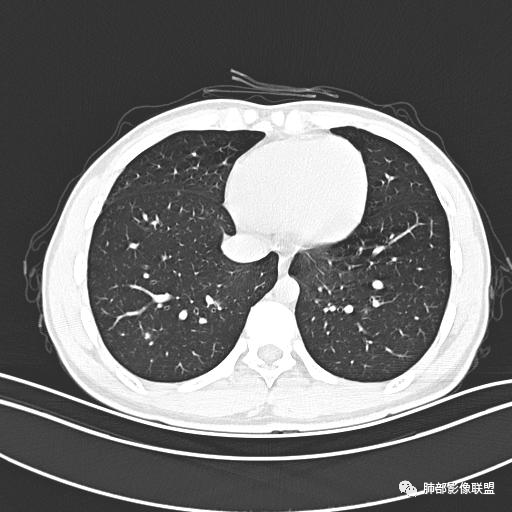
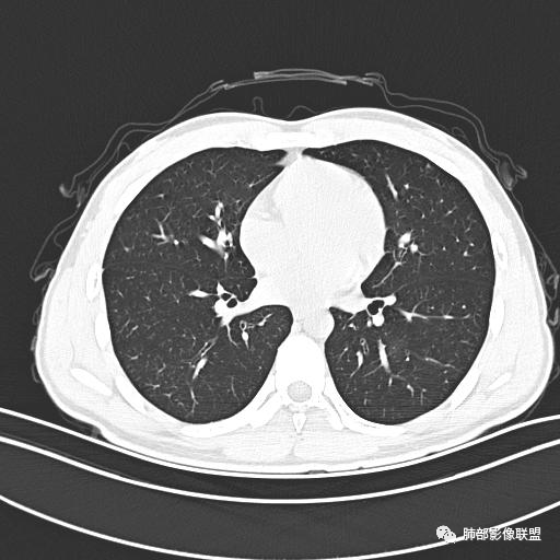
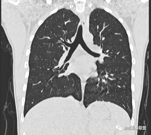
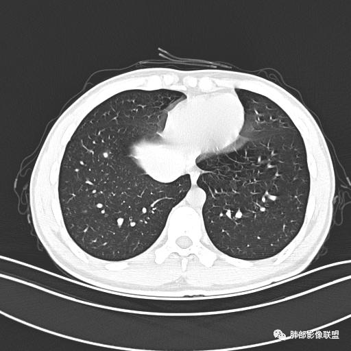
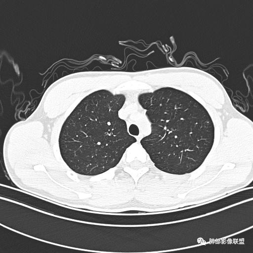
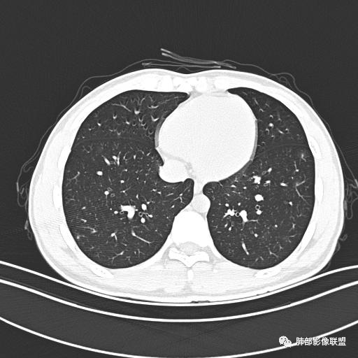
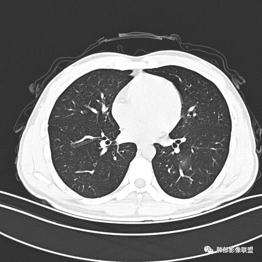
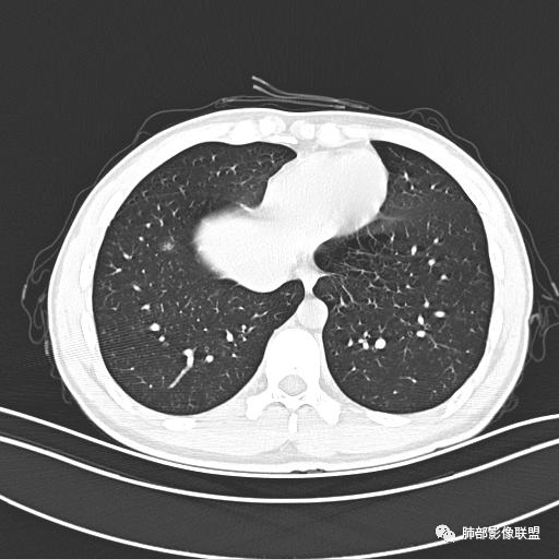
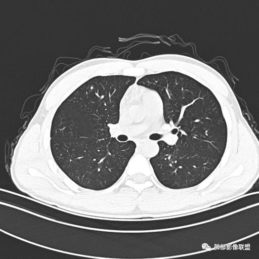
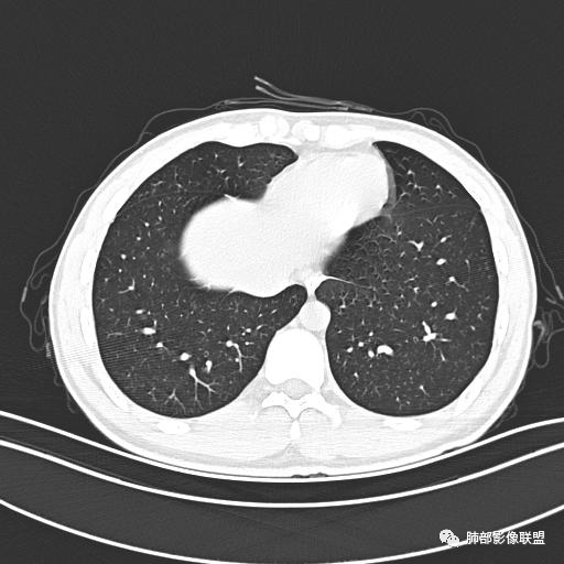
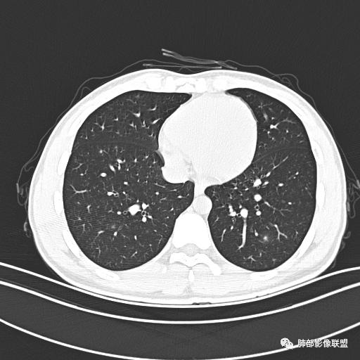
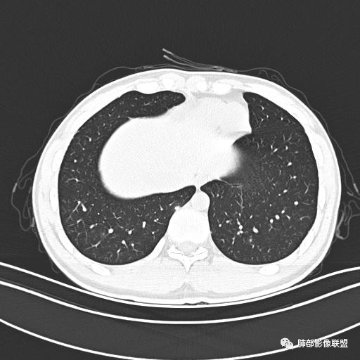
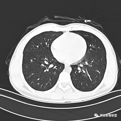
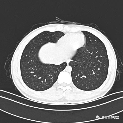
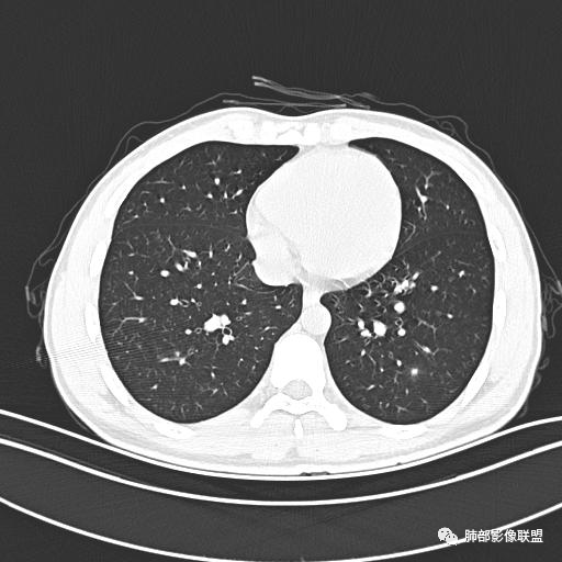
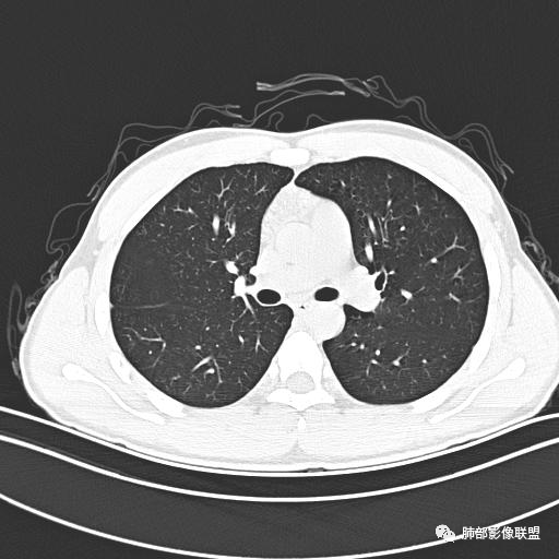
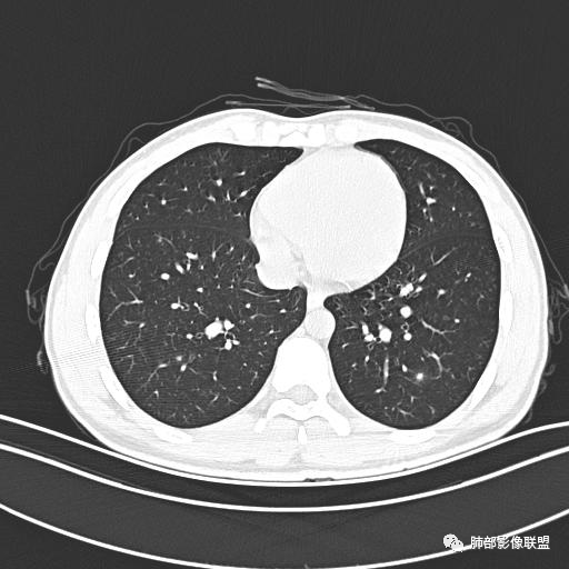
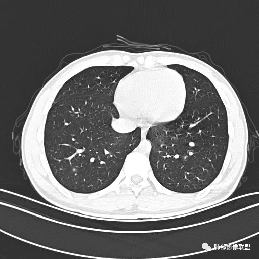
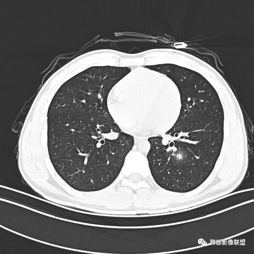
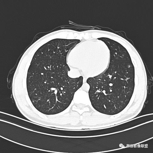
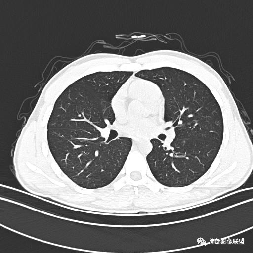
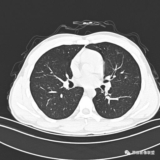
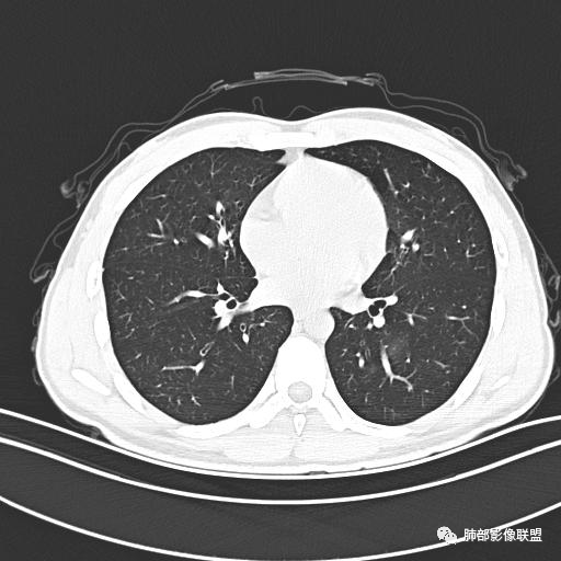
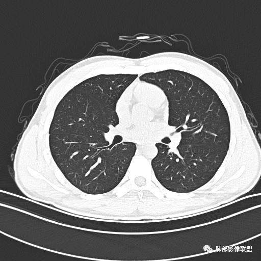
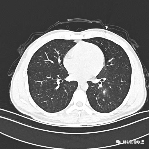
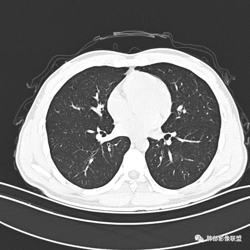
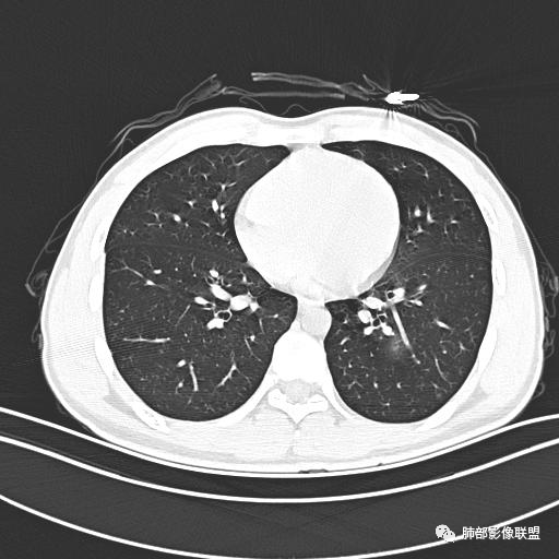
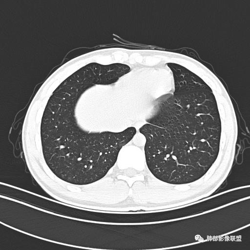
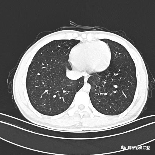
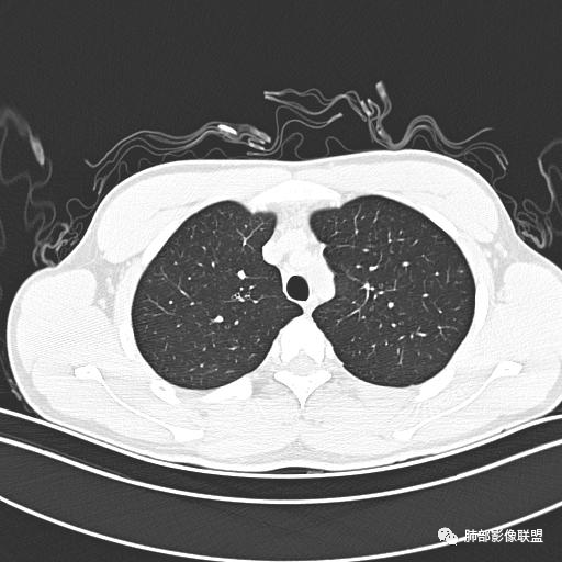
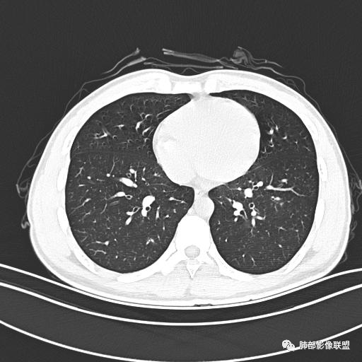
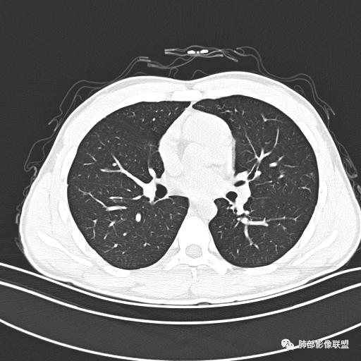
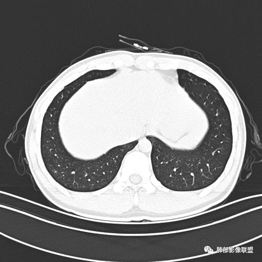
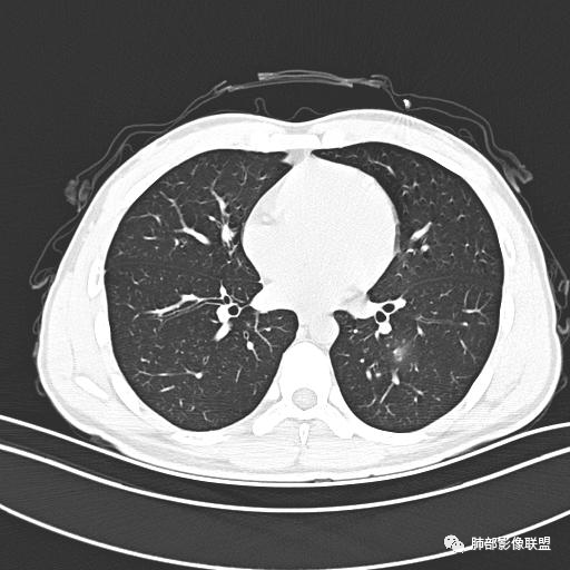
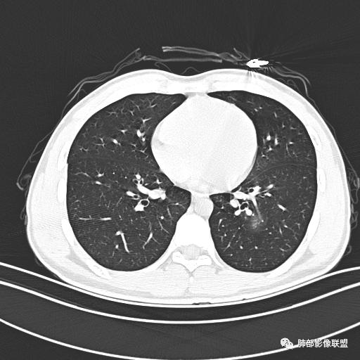
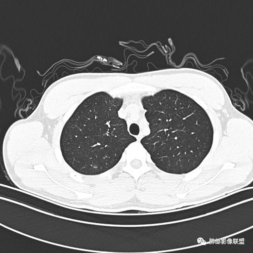
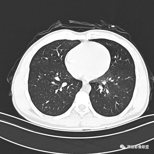
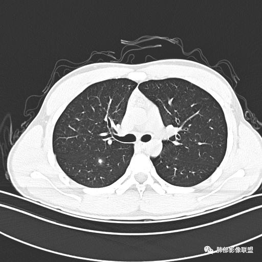
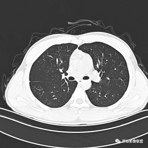
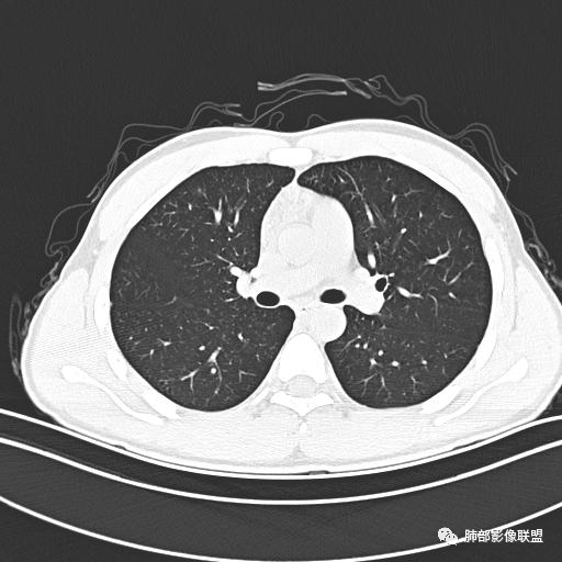
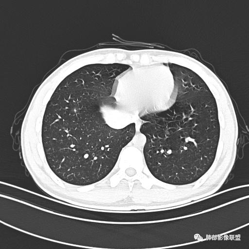
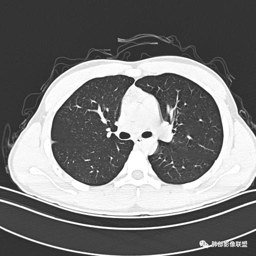
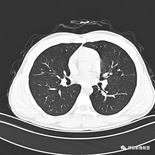
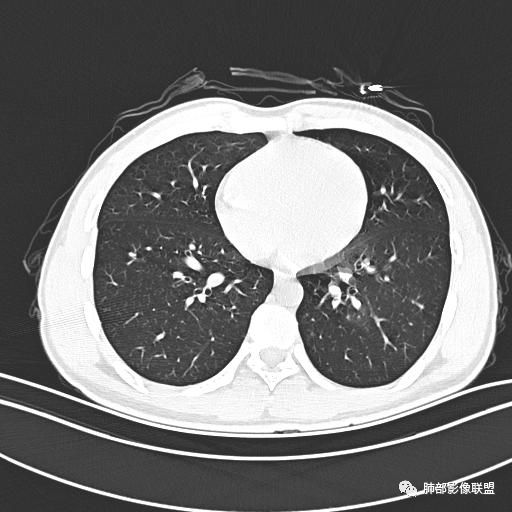
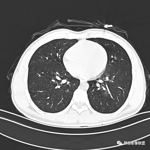
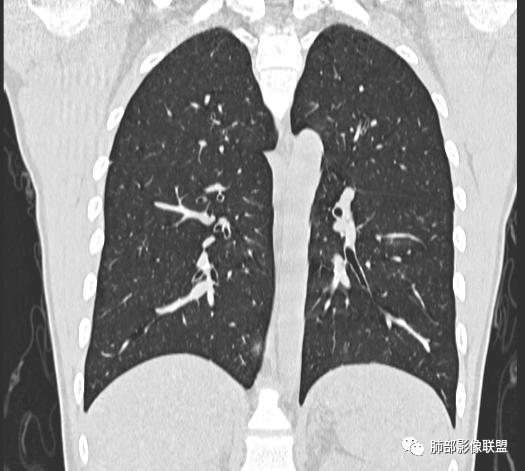
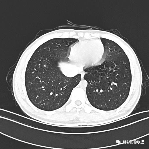
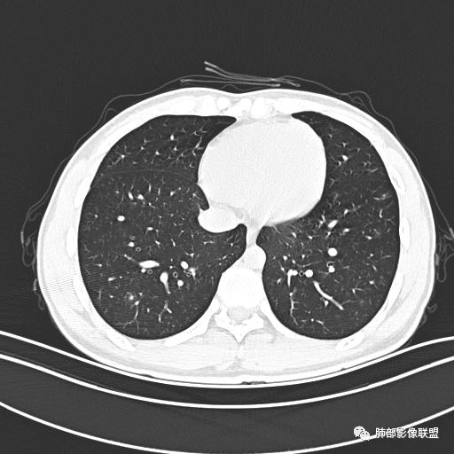
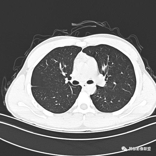
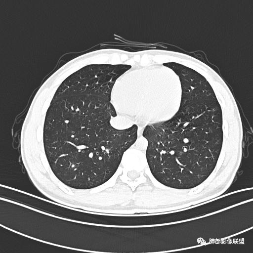
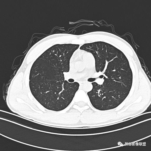
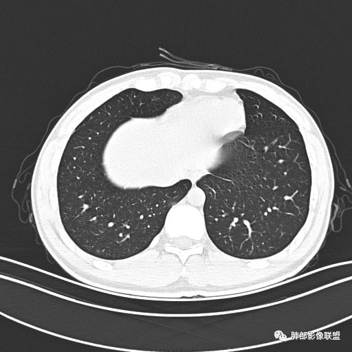
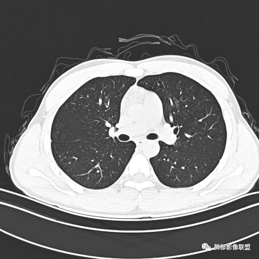
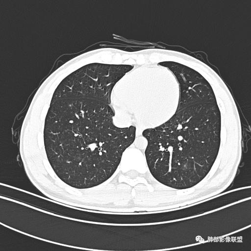
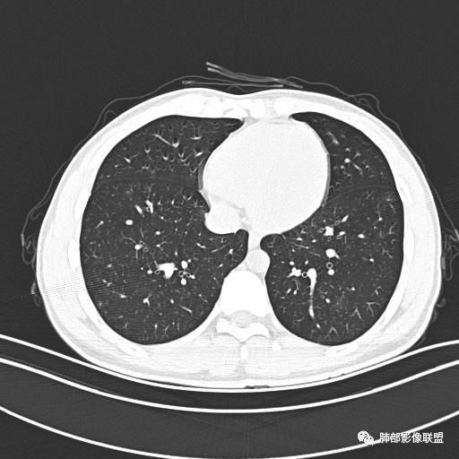
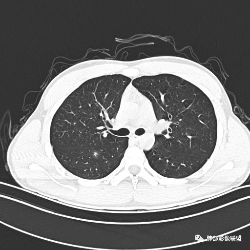
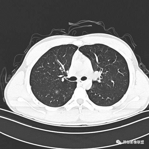
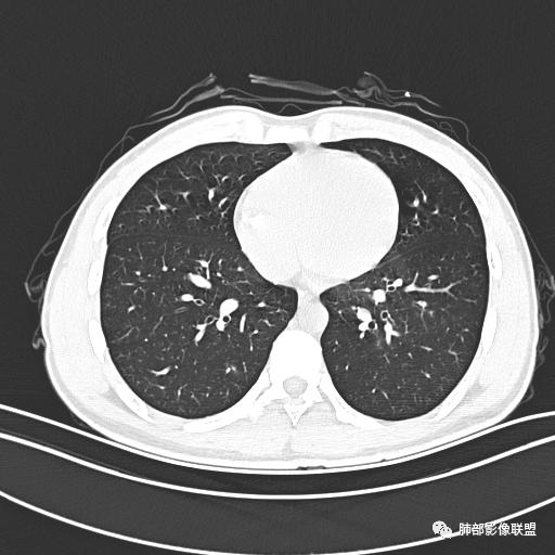
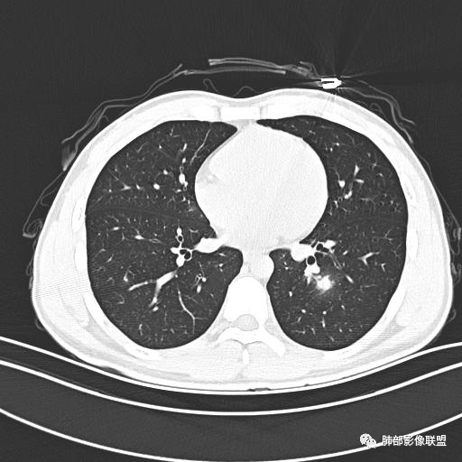
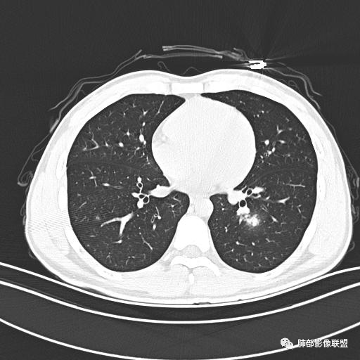
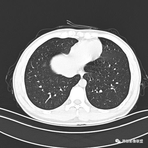
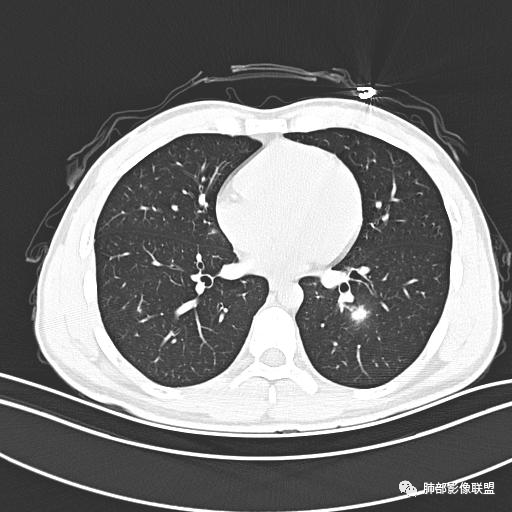
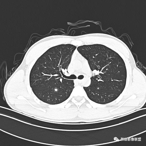
小强:青年,发热,皮疹;双肺散在结节,周围磨玻璃,点晕征,疱疹病毒感染,鉴别荚膜组织胞浆菌,结核。 大雄:青年,急性起病,发热伴全身皮疹2天,抗病毒治疗体温有下降。双肺随机分布大小不等类圆结节,“点晕征”。考虑水痘-疱疹病毒(VZV)血播询问接触史,查体皮疹分布以及形态基本可诊断。 王开金江津中心医院呼吸科:青年男性,起病急,病程短,以发热,皮疹为首发症状,感染指标以单核细胞升高为主,胸部ct双肺多发结界,周围有晕,点晕表现,随机分布,同意於老师意见,水痘疱疹病毒血流感染累及肺。 王秀仙:双肺多发大小不等结节,周围有晕,边缘模糊,呈点晕征表现。青年,急性起病,发热伴全身皮疹2天,抗病毒治疗体温有下降。考虑疱疹病毒。鉴别荚膜组织胞浆菌。 傅昌瑜:19岁男性,发热、全身皮疹2天,单核细胞增高,双肺多发结节,结节边缘见边界不清磨玻璃影。点晕征+发热、全身皮疹+单核细胞增高——考虑水痘-带状疱疹病毒肺炎。 一切∮随缘:年轻男性,发热,皮疹两天,实验室,CRP,PCT增高,影像:双肺多发散在磨玻璃结节,边界欠清,大小不等,呈点晕征改变,以血管束周围分布为主,局部血管束略增粗,其它无明显改变,考虑:1:病毒性肺炎(水痘疱疹病毒?不知道皮肤有无改变)2:真菌(组织胞浆菌,血管侵袭性肺曲霉)3:GPA4:寄生虫(实验室没有看到嗜酸细胞增高) 赵山河:双肺散在结节,周围有晕,边缘模糊,呈点晕征表现。青年,急性起病,发热伴全身皮疹2天,抗病毒治疗体温有下降。考虑水痘—疱疹病毒感染。洪桥爱:青年男性,发热、皮疹2天,伴瘙痒,皮疹于面部首发,之后进展至全身,虽然没有对皮疹进行描述,但是从出疹时间及皮疹进展情况,伴瘙痒,应该就是个水痘患者;CT提示双肺随机分布结节影,部分结节伴有边界不清晕征,考虑水痘血播肺。 刘强:年轻男性,急性起病,皮疹,发热,抗感染治疗体温下降,说明有效。影像表现为散在点晕征,感染类疾病谱(疱疹病毒,真菌,结核),结合年龄,皮肤皮疹,考虑水痘-疱疹病毒性肺炎。 小兜:男性,19岁,发热皮疹两天,颜面部至全身,CRP,降钙素及单核增高。CT示双肺散在小结节,周围伴磨玻璃影,点晕征,考虑为水痘-带状疱疹病毒(varicella-zoster virus,VZV)肺炎 必有路:青年,皮疹+发热+“点晕征”→水痘-疱疹病毒(VZV) 许慧良:青年男性患者,发热、皮疹2天,体温最高38.5℃,第3天皮疹扩展至全身,伴瘙痒,胸部CT:双肺多发随机分布的小结节,结节周边见边界模糊的晕征,考虑水痘病毒感染流心明智:男,19,急性起病,发热伴全身皮疹2天。出疹顺序头→全身,抗病毒有效。胸部CT:两肺多发大小不等类圆形实性小结节影,随机分布,结节周围环绕GGO,边界模糊,呈点晕征。出疹特点是关键,未提示。考虑:血播病毒性肺炎,水痘-疱疹病毒?麻疹?鉴别荚膜组织胞浆菌、TB、血管炎、寄生虫等。 浪迹天涯:病灶多为5-10mm大小结节,结节周围可见磨玻璃样的晕环,常多发,可分布于肺内任何区域,考虑水痘—带状疱疹病肺炎如果短时间内有新的一个区域浸润,更加能说明,
03
病例结果


04
知识拓展--点晕征疾病普

1. 肿瘤:血管原发肿瘤:血管肉瘤(右房)、上皮样血管内皮瘤、血管内淋巴瘤(大B)转移瘤:消化道、生殖道转移,关注绒癌、恶黑及结肠癌
2.感染:真菌:荚膜组织胞浆菌。病毒:疱疹病毒。结核。
3.血管炎。4.寄生虫病。5.PCH/PVOD。

05
文献复习






往期回顾
《【肺部影像系列】武汉归来,发热伴肺部阴影,结果出人意料》
姿势已摆好
就等你点啦
病例提供:张捷 编辑:刘权威 蔡笑燕
审核:蔡笑燕  徐  晓


到顶部