【每日晨读】以囊性肿块表现的肺支气管先天发育异常




01
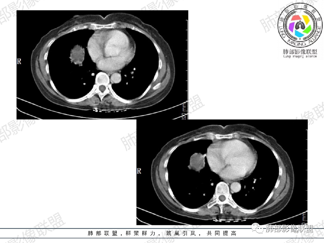
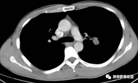
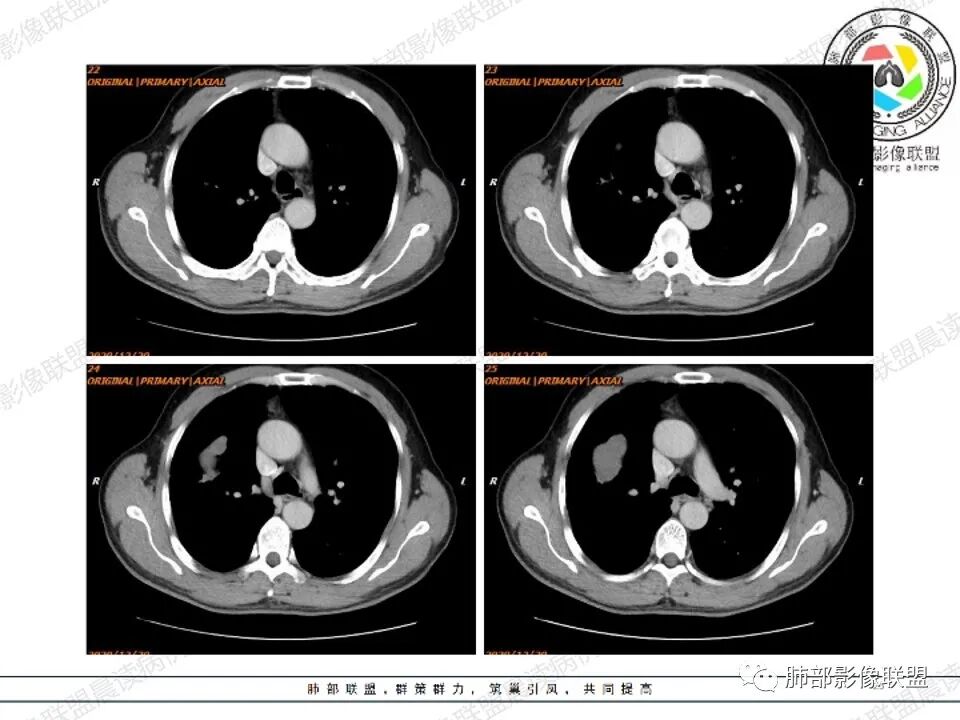
病例一



















       
02
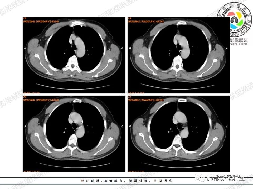
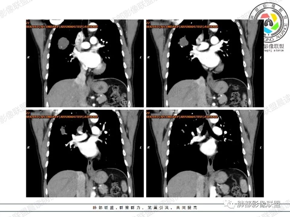
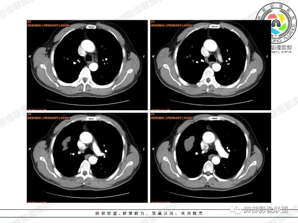
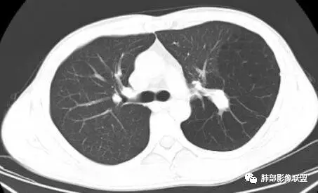
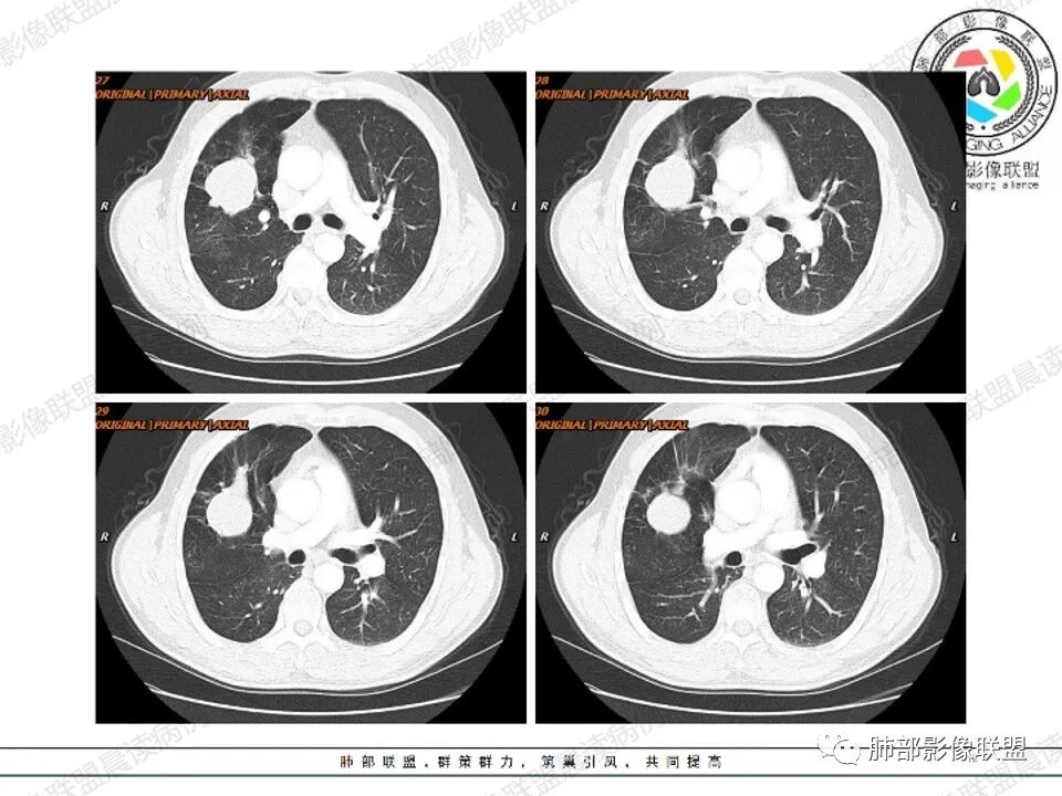
病例二





















   

病例一精彩讨论
甄德强:
右肺上叶见一分叶状结节,增强扫描未见明显强化,考虑1.错构瘤2.支气管囊肿。
小强:
右上肺孤立性肿块性影,形态规则,边界清,密度25HU左右,没有点状钙化样密度,未见明确强化,周围可见条索,内缘肺透过度增强,有一副裂发育,考虑发育异常,支气管囊肿,CT值略高考虑合并感染;支气管闭锁,邻近未见明确支气管通行可排除;错构瘤,无强化应该是软骨型错构瘤,但是钙化太少,也可以排除;肿瘤,无强化可基本排除;结核球,不出除外
一切∮随缘:
右肺实性结节,形态欠规则,边缘光滑,彭隆,分叶,近端支气管未见显示,可能堵塞,平扫密度均匀,增强扫描,可见贴边血管,实性轻度强化,肿瘤标志物无明显增高,考虑支气管囊肿,错构瘤,
周太狼:
中年男性,右上肺类圆形肿块影,边缘膨隆,无明显分叶毛刺,内可见点状钙化,肿块整体密度较低,增强CT值才25HU左右(说明强化不明显或根本没有强化),周围可见少许斑片索条影,考虑良性病变,首选支气管囊肿,鉴别错构瘤。
滴水海:
看着血管被推移,张力大,应该是无强化,良性病变,支气管闭锁一般周围肺气肿明显,倾向支气管囊肿,鉴别畸胎瘤,CCAM

病例二精彩讨论
一切∮随缘:
左肺下叶肿块影平行支气管生长,边缘有纤维索条影,整体边缘平直,略彭隆,边界清楚,伴行支气管堵塞,周围伴有肺气肿,增强扫描强化不明显,无明显实性病变,考虑良性,支气管闭塞?支气管囊肿?平滑肌瘤。
小强:
左肺下叶孤立性肿块,形态规则,密度均匀,边界清,周围可以气肿及条索,无强化,左肺下叶后基底段支气管未见发育?考虑发育畸形,支气管囊肿 ?闭锁?先天性囊性腺瘤样畸形?
采莲:
老年女性,查体发现,左肺下叶不规则实性肿块,边缘平直收缩,无毛刺,周围有纤维牵拉及肺气肿,强化不明显。先天肺发育不良,支气管闭锁。
穿越七海的风:
左肺下叶扁平形结节,边缘光滑平直,边界清晰,周围肺气肿,强化不明显,支持先天肺发育不良,支气管囊肿
巴伟:
左肺下叶不规则高密度早灶,边缘平直为主,界清,周围有肺气肿,无强化,考虑良性病变,支持先天肺发育异常,支气管闭锁,鉴别支气管囊肿,囊腺瘤样畸形。
蔣勝華:
左肺下叶高密度,边缘光滑,周围肺气肿,强化不明显,ccam?鉴别 隔离
优彤:
左肺下叶肿块,边缘光滑,支气管动脉伴行,周围肺气肿,考虑支气管闭锁
        

病理结果
01
病例一结果:先天性囊性腺瘤样畸形



02
病例二结果:肺错构瘤样改变伴支气管扩张(支气管闭锁)



后续讨论
1
病例一结果讨论
必有路: 病理不一定会出闭锁,可能就是支气管囊肿感染之类的,如果是闭锁还是要结合影像诊断
我是觉得,这种病变,应该结合影像来报,影像报闭锁,病理就符合闭锁,CCAM不至于缺支气管,除非先天就发育少一根
大雄: 嗯,囊肿和闭锁都属于先天性病变,切除了都一样,不影响预后,反正影像就是个大囊肿,伴有肺叶发育畸形
都属于先天发育异常,这个闭锁也可以,影像>病理
囊肿 闭锁 CCAM都不算错
我查的书上写的病理,囊肿不与支气管相通CCAM的囊与支气管相通
闭锁的囊本质是远端扩张支气管内的粘液栓
哦落花时节 (刘朋): 闭锁印象中应该有相应的肺段含气增加。。。。。
大雄: 一般会有啊,代偿性肺气肿
必有路: 无论闭锁,还是ccam都会有肺气肿。。
尘缘: 所以这个最终的病理诊断应该是包括两部分:既有支气管囊肿(影像所见),也有腺瘤样改变(这个只能病理可见,影像上显示不出来)。最终病理诊断综合为为囊腺瘤样畸形,没有任何问题,咱们大家影像诊断的支气管囊肿也没有任何问题。
其实不管是支气管囊肿,还是支气管闭锁,还是CCAM,他们都是来源于支气管先天发育异常的一大类病变,前两者之间有时候很不好区别,前两者与CCAM的区别主要是看是否有腺瘤样改变。尤其是单发大囊肿的CCAM,与支气管囊肿在影像上是根本区别不了的。只有在镜下看是否合并有腺瘤样改变来区分。
2
病例二结果讨论
必有路: 局部可能存在胚胎发育的问题
还是先天发育的问题
闭锁存在的,切出来支气管扩张  病理也描述了
你也可以理解,只是支气管扩张,存在合并错构瘤样改变   在什么的基础上继发别的  细胞化生“样”
这个不是错构瘤  不能说大家错 就是闭锁 里面支扩粘液栓,合并有软骨成分,病理给了错构瘤样改变
里面什么成分改变,增多减少,也影响不了支气管闭锁的大体诊断
吴婧wj: 病理报不出闭锁,拿到的标本看不到的,我问过
大雄: 病理镜下支气管扩张伴粘液样物质结合影像符合支气管闭锁
尘缘: 
首先,病理不会报支气管闭锁(因为只是局部的镜下所见,镜下只能看到支气管扩张或粘液栓,看不到整个支气管的情况,除非是全肺叶切除,必须结合影像来诊断)
其次,支气管闭锁也是支气管先天异常的一种,错构瘤也是支气管发育异常(支气管错构)而支气管本身也有软骨成分,对于先天发育异常的支气管闭锁,局部发生支气管错构(软骨成分增加等也很正常,病理可能就根据这个报错构瘤样改变了)
实际上这就是一个支气管闭锁,同时伴有局部脉管增生和软骨成分而已。
可以认为是错构瘤的前身改变。错构瘤也有生长过程,先出现支气管错构,再慢慢生长成错构瘤。
如果病理结合影像,诊断应该是:支气管闭锁伴支气管错构畸形。这样更准确。
弹指之间: 影像医生学病理,病理老师需要了解影像


知识拓展---以囊性表现的肺支气管先天发育异常
     以囊性肿块表现的肺支气管先天发育异常主要有先天性支气管闭锁、肺内型支气管囊肿、先天性囊腺瘤样畸形、肺隔离症,这些先天性疾病表现为囊性的时候,病理需要结合影像才能做出正确的诊断。
01
先天性支气管闭锁
1.支气管闭锁是一种先天性支气管发育异常,通常累及段或亚段支气管,病变处支气管腔闭塞,闭锁远端发育正常的支气管分泌粘液,导致粘液聚集,引起支气管扩张和粘液栓形成,支气管周围肺组织通过侧枝通气导致局部肺气肿改变;
2.临床表现:由于病变局限,肺功能一般不受影像,患者多无症状或轻微咳嗽、咳痰、呼吸困难、咯血等,多数在20-30岁体检才被偶然发现;
3.影像表现:支气管粘液栓(形态沿支气管树分布的铸型结构,可呈分支状、圆形、椭圆或分叶状,多为水样密度,蛋白含量较高时可类似软组织密度,增强无强化),周围不同程度的肺气肿,可伴发感染。

  

                            支气管闭锁伴周围肺气肿
02
肺内型支气管囊肿
1.肺内型支气管囊肿属于前肠囊肿,是胚胎时期部分支气管芽未与支气管树相通所致,因此未发育为正常支气管,所以镜下囊壁由软骨、平滑肌及腺体构成,内衬假复层柱状纤毛上皮。
2.临床表现:临床一般无症状,囊肿增大出现压迫症状如干咳、气急、呼吸困难等或因合并感染出现咳嗽、咳痰、胸痛、发热等表现。
3.影像表现:表现为肺实质内圆形或类圆形、边缘光整的病灶,囊内密度一般为水样密度,部分因合并蛋白、钙质、粘液,或者出血时可呈较高密度,若含液囊肿与支气管相通、囊液排除,则形成气液囊肿或含气囊肿;囊壁均匀,部分囊壁可见弧形钙化,合并感染时囊壁可见明显增厚、强化,并可出现液气平,但治疗后病变可见有明显变化。
    相对低密度,边界清楚规整,有囊壁感,或伴钙化,内容物不强化等具有强烈提示意义。


                            肺内型支气管囊肿

温馨提示

    肺内型支气管囊肿与支气管闭锁的鉴别比较困难,而且支气管闭锁在病理上也常报告为支气管囊肿,因为他们的病理结构上是类同的,但是支气管囊肿多不形成周围的肺气肿,影像上表现的支气管粘液囊肿和周围肺气肿改变可提示先天性支气管闭锁的诊断。
03
肺先天性囊腺瘤样畸形(CCAM)
1.先天性肺囊腺瘤畸形由于胎儿肺芽发育过程中细支气管过度增生,几乎抑制了肺泡生长,肺泡发育不全,多于正常的支气管相交通的先天性肺气道畸形,组织学上以支气管样气道异常增生、缺乏正常肺泡为特征,与错构瘤相似,但是无软骨组织,由肺循环供血。
根据显微镜和大体解剖,CCAM可分为3肿类型:
I型:大囊型,起源于支气管远端或细支气管近端,病变以单个或多个的囊腔,囊肿大小不等,囊腔直径大于2cm,最常见,占65%以上;
II型:多发小囊型,起源于终末细支气管,病变内有多个大小不等的囊腔,囊腔直径小于2cm,类似蜂窝状,占20-25%;
III型:实变型,比较少见,肉眼和影像上像实变,但是镜下病变内有大量细小囊肿(直径小于2mm),有大量腺瘤样结构,其内有散在、薄壁、类似支气管的结构;
2.临床表现:婴幼儿多见,少数可见于成人,常因呼吸道反复感染、进行性呼吸困难、气胸或其它原因经影像学检查时被发现。
3.影像表现:可单发或多发,可见大小不等的囊腔和结节样、蜂窝状小囊肿影,部分囊腔周围见实性成分,囊腔形态不规则,可见分隔影,囊内含气为主,也有少数表现为实性肿块,邻近肺组织有含气不良,合并感染时周围肺实质可见炎性渗出及囊内液气平,由肺循环分支供血。

      黄玉芳,杨伟川,高文华,等. 成人肺先天性囊性腺瘤样畸形的CT表现及鉴别诊断[J]. 实用放射学杂志,2021,37(2):225-228. DOI:10.3969/j.issn.1002-1671.2021.02.013.
04
肺隔离症
1.肺隔离症也称为有异常动脉供血的肺囊肿症,是临床上相对多见的先天性肺发育畸形,为胚胎时期一部分肺组织与正常肺主体分离,单独发育并接受体循环动脉的异常动脉供血,所形成无呼吸功能囊性包块,这部分肺组织可与支气管相通,造成反复发作的感染,不相通时则不会出现呼吸道症状,多见于青少年,年龄在10-40岁。根据与正常肺有无共同胸膜覆盖分为叶内型和叶外型,叶外型罕见。
2.临床表现:叶内型大多数有呼吸道症状,容易伴发感染,如咳嗽、咳痰、发热、胸闷等;无症状主要发生于叶外型,早期叶内型病程与支气管不相通亦可无症状。
3.影像表现:常好发于下叶基底段,不规则团状、大片状软组织密度影及囊状低密度影,如合并感染可见液气平面,边缘模糊不清,增强扫描来自体循环的异常血供是关键,大多数来自降主动脉,病灶可见不规则强化。


   左下肺囊性肿块---肺隔离症,由腹主动脉供血

END
编辑:龙辉 蔡笑燕
审核:蔡笑燕  徐  晓



到顶部