【每日晨读】海南是地域发病还是烟雾,气道血道惹争议



病例资料










































































微信群发言
一切∮随缘:
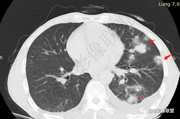
双肺多发大小不等结节影,边缘伴有磨玻璃影,边界欠清,部分与血管束相连,支气管似有穿行病灶内,结节有融合,左肺下叶厚壁空洞,伴有反晕征,左侧胸水,临床中年男性,发热40℃,CRP增高,感染性病变,1:类鼻疽伯克霍尔德菌(好发海南,影像表现也符合)
2:金葡
3:肺克,没有给PCT等实验室指标。
建议完善实验室指标及支气管镜灌洗液病原学检测。
大雄:
中年男性,农民,近日自海南返冀后发热,伴寒战,腹痛。
既往有过下水田后肺炎病史。
实验室中性粒和CRP明显升高,淋巴细胞减低。
影像:双肺多发结节、实变影,大部分病灶边界不清,分布相对随机,左下肺坏死空洞形成,伴左侧胸水。
考虑感染性病变
重点:类鼻疽
鉴别:诺卡菌
建议血培养+痰培养,必要时ngs
春秋:
海南的病史会不会是坑?
双肺多发实变影,左肺下叶反晕,左侧胸腔积液,考虑感染病变,高热三件套?鹦鹉热?
Coke with ice:
假如病人是高热,是糖尿病,是海南人。是用三件套呢?还是用四大金刚呢?还是类鼻疽呢?对于影像医生来说,是个很有意思的问题
大雄:
这个不用考虑三件套,影像不符合
King:
如果不是海南,是否优先考虑肺克呢
良孑:
双肺大片实变,实变周围有晕,实变内可见扭曲扩张的支气管,腹痛提示多系统受累,炎性标志物升高,海南归冀,类鼻疸感染不了解,综合病史感染性病变没问题,常规思路的话我考虑军团菌
go and see:
这样的病灶,军团菌也是很重了。
吴婧wj:
主要类鼻疽不熟悉,不能排除。感染是感染,常规分析的话1.血播的细菌2.真菌,隐球菌3.结核4.少见的菌,努卡那些5.三件套,腺病毒,军团,鹦鹉,但是本例有一个反晕后面可能要出空洞,三件套不太符合,主要没有提供肝肾功能等等,对于鹦鹉热来说这样的分布也少,白细胞太高了一点
血播感染的话,金葡菌小病灶没有出空洞,pCt没有提供,我觉得感染性病变还是需要提供更加全面的资料,包括pct,crp肝肾功能,血压等等。
觉得还是一步步来吧1.建议随访看看出洞的情况,反复血培养,看看血压,和腹部ct及血糖检查。pct先排除细菌血播。常规先抗感染。2.如果不是普通细菌血播,ngs,排查的有少见菌比如隐球菌,奴卡。结核是不太像。3.至于类鼻疽是不太懂,可以查一下,也许我们想太复杂,还是常规去考虑吧。
至于三件套目前看不太像。
常规考虑还是细菌血播,如果腹痛,查肝脓肿。很多项目没有给比如血压,腹部ct,pct其实海南是一个坑,套。还是常规考虑就对了
因为大部分病灶都是结节,血播,比较大的病灶在左下肺,有出洞,如果三件套不会坏死,白细胞也高了一点,然后结核也不像。隐球菌这个大反晕不像,症状不像。常规考虑细菌,需要提供更多,血糖,pct,病人情况就不难。最大的坑其实是海南,但是我不喜欢猜罕见菌,这个坑太明显了
龚小萌:
中老年男性,急性起病,高热、寒战,职业农民(种植水稻),三年前有肺炎病史。
实验室:中性粒细胞增高,轻度贫血。
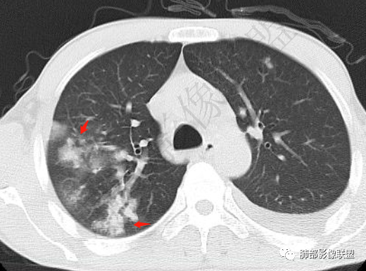
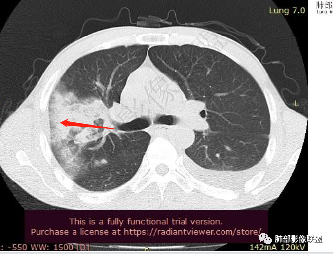
影像表现:双肺弥漫分布斑片影、实变影、磨玻璃影、结节影,晕征、反晕征,随机分布,部分病灶空洞形成前兆,左侧胸腔积液。
考虑:感染性病变,类鼻疽伯克霍尔德菌感染可能大(患者长期居住海南、种植水稻、三年前肺炎可能类鼻疽难治愈、这次复发)。
鉴别肺克
另外钩端螺旋体、流出(均为热带好发病,影像表现和临床不符合)
复查及结果:肺克

















精彩讨论
南边:
两肺多发斑片状实变影,周围GGO


主体还是沿支气管,大片叶段性分布




影像上急性感染,大叶性病变为主
单凭影像:鹦鹉热、军团要考虑,因为内部无坏死,非典型气道为主
病史强烈提示类鼻疽,最起码要考虑这种可能,海南,种植水稻——肺炎,可惜没有提示是否皮疹,没显示肝脾
如果我们从影像给出的提示:急性炎症,大叶性为主
King:
我纠结的是,这是气道来源还是血播,如果血播加上海南下田,优先类鼻疽,如果气道,军团也要考虑,只是没见过军团反晕,除非免疫缺陷,混合感染。另外肺克,肺克好像气血皆可,后面反晕出洞,如果没有海南,也要考虑吧,肺克也是免疫妥协相关菌
赖晓宇:
糖尿病除了是肺克好发因素外,同样也是类鼻疽好发因素,差别是肺克多合并肝脓肿,类鼻疽少
go and see:
妥协的话,增加患肺克的风险,尤其高毒力肺克,但是内毒素跟免疫妥协没关系,细菌越多,内毒素释放越多,病情就越重。还是需要排除马尼,
大雄:
诺卡与马尼需要鉴别  其他基本不考虑。这个患者倾向血道为主  再累及气道,类鼻疽和血播肺克范围比较类鼻疽范围更广
但是肺克肝脓肿血播到肺的,看过很多,没有类似晨读那样表现的,今天晨读不是太典型的血播影像表现;复查的影像就很典型
早上这里是支持血播的


这些层面又像气道

King:
如果气道入血,还是类鼻疽吗?
南边:
这一类表现等于是病灶没有沿气道趋势,不支持以肺实质、支气管的分布区域,我认为是沿气道到播散,间质蔓延为主

这是比较早的病灶,其他的比较晚的病灶





觉得后面那些符合血道,左下的更符合气道的
目前大家支持的观点:肠道来源,肺血播,累及气道
常规分析:左侧胸水,左下肺病灶大,周围渗出明显,气道壁增厚,内部还无坏死,复查坏死空洞也小
从复查分析,按常规左下病灶比其他大,发病早,应该早空洞,更大才对
现在影像反而空洞小,而且早就累及气道,似乎不大符合常规
病例总结
临床资料:中年男性,农民,近日自海南返冀后发热,伴寒战,腹痛。没有皮肤感染或脓肿的记载。既往有过下水田后肺炎病史。实验室炎性指标升高,淋巴细胞减低,后续查实糖尿病。
影像表现:双肺多发结节、实变影,大部分病灶边界不清,随机分布趋势,左下肺“反晕征”,似有形成空洞趋势。左侧胸腔积液。治疗后复查 ,大部分病灶吸收好转,呈较为典型血播分布,肝脏低密度块影,边界不清,符合肝脓肿。
综合分析:结合症状及实验室检查,均提示本例为感染性病变;海南居住史首先会让我们考虑是否为类鼻疽,类鼻疽主要为血道播散,此时判断病灶为气道还是血道有重要鉴别意义。首次检查片分析气道、血道均有,没有薄壁气囊,结合临床PCT等实验室检查,肺炎克雷伯杆菌感染的可能性增大。复查片显示肝脓肿,加之糖尿病,临床诊断趋于明朗化。血培养及痰培养均可见肺克雷伯杆菌,诊断明确!
相关链接:【肺部联盟感染系列】01  再谈肺克肝脓肿侵袭综合征(兼论菌群异位及菌血症)
【每周一例】第85期 讨论实录    一例类鼻疽伯克霍尔德菌血流感染
编辑:杨  丽
审核:徐  晓


到顶部