【每日晨读】还是典型的墨西哥仙人掌



正是江南好风景
落花时节又逢君


































群内讨论

一切∮随缘:
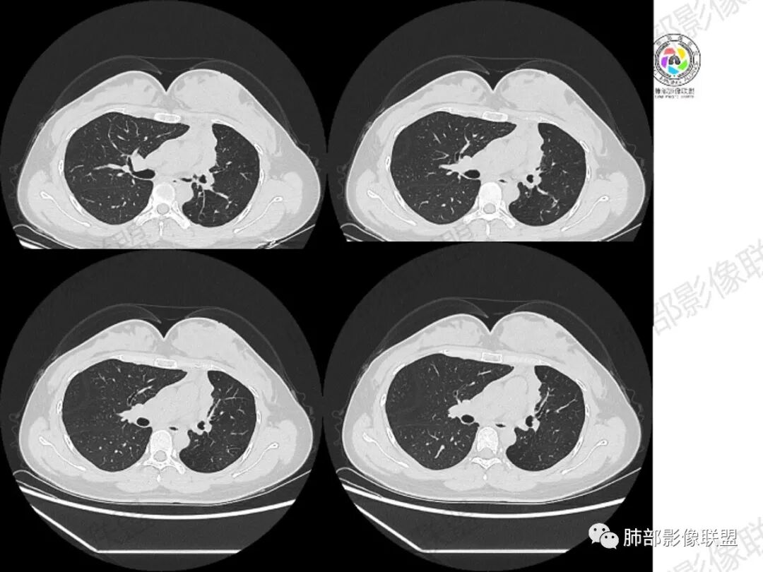
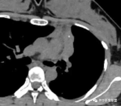
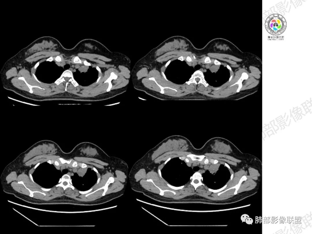
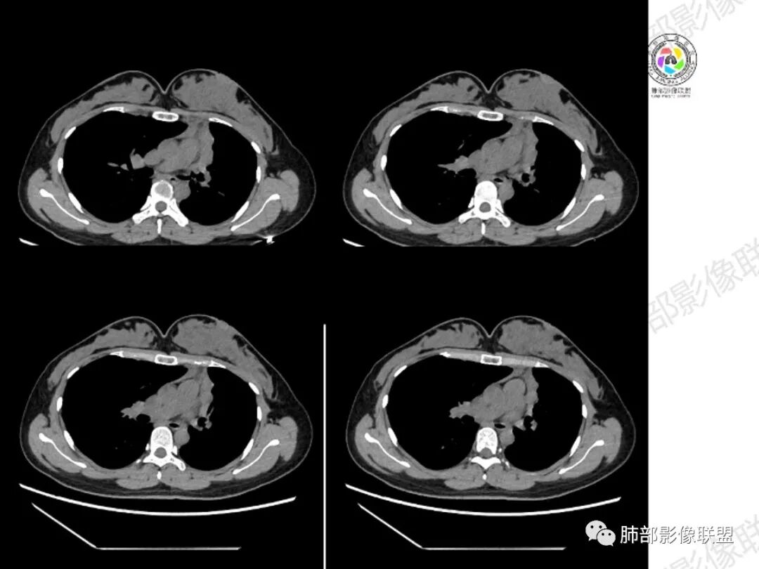
年轻女性,咳嗽咳痰一个月,左肺体积缩小,左肺尖部胸膜下实变影,宽基底与胸膜相贴,病灶边缘平直收缩,部分略膨隆,病灶下方可见支气管挤压,肺窗所示:周围伴有多发结节部分可见树丫征,纵隔窗可见病灶与纵隔胸膜黏连,部分与左肺动脉分界欠清,平扫密度尚均匀,增强扫描不均匀强化,内部可见多个低密度坏死,伴有条状血管影,纵隔淋巴结略有肿大。
考虑1:结核,2Pancoast瘤(好发肺尖部)
鉴别:间皮瘤,慢性脓肿,奴卡菌,放线菌。
必有路:
年轻女性,咳嗽咳痰带血一月余
实验室:缺
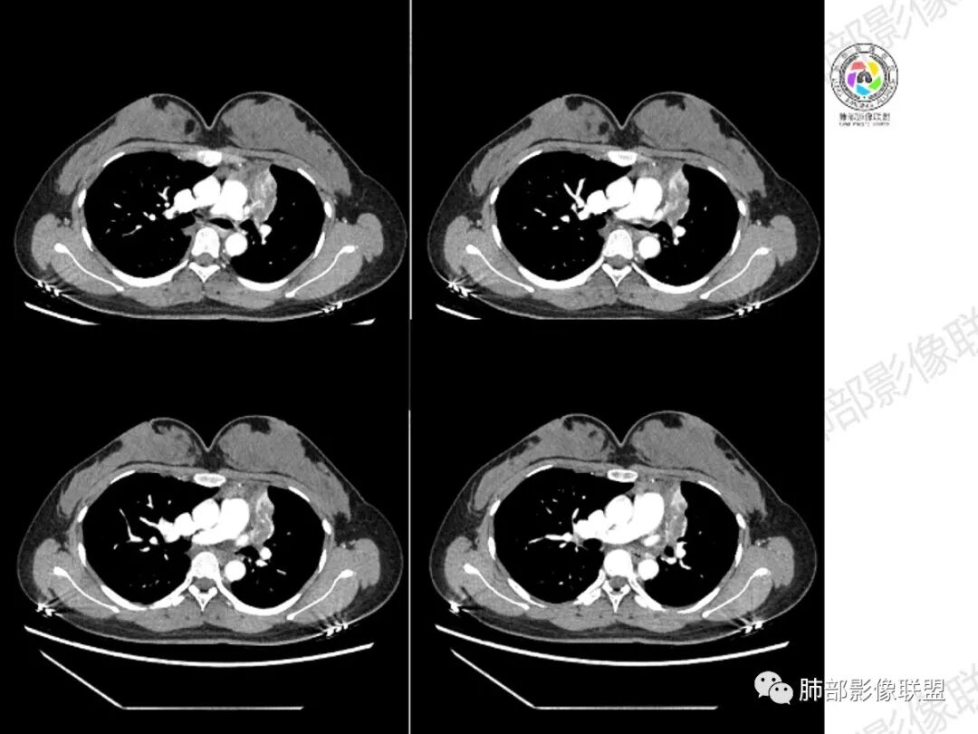
影像:左肺上叶支气管黏液栓伴实变不张,实变区域强化明显,小钙化灶,左肺下叶散在结节
诊断:黏液表皮样癌伴左肺转移
鉴别:支气管内膜结核伴肺内播散
建议:支气管内镜活检。
王秀仙:
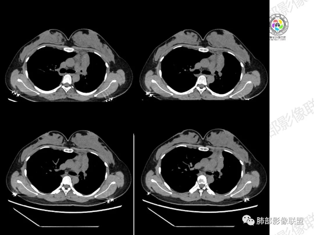
左肺上叶纵膈旁实变影,边缘清晰,密度不均,可见斑点状钙化及条形低密度粘液栓,与纵膈胸膜脂肪间隙清晰,实性成分强化明显,周围肺组织内见多发小结节状卫星灶,左肺上叶体积缩小,年轻女性,考虑:结核,鉴别:粘液表皮样癌
良孑:
年轻女性,慢性病程,左上叶纵隔旁大片实变,心脏纵隔左移,左主及左上叶支气管变窄呈针孔样,实变内可见斑点状钙化,显著不均匀强化,内可见低密度粘液拴,显著强化不支持TB,左上叶不张在腺癌少见,综合病变部位及强化表现考虑粘液表皮样癌,其次考虑类癌
赵山河:
年轻女性,左肺上叶纵膈旁实变影,边界尚可,密度不均,内部可见斑点状钙化及条形低密度粘液栓,增强实性成分强化明显,周围肺组织内可见多发小结节状卫星灶,左肺上叶体积缩小,首先考虑肉芽肿性病变,结核可能,鉴别:粘液表皮样癌。
小兜:
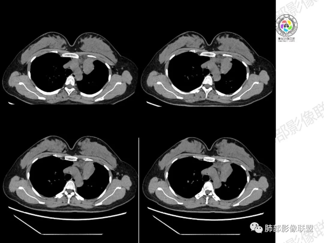
女性,29岁,咳嗽咳痰,痰中带血1月余,CT示左肺尖胸膜下纵隔旁不规则实变影,内部可见小点状钙化灶,支气管略狭窄,增强可见低密度不强化区,粘液栓?实性成分明显不均匀强化,局部与左肺动脉分界不清,另左肺可见多发小结节,考虑为恶性,黏表可能,鉴别结核
爱跳舞的猫:
年轻女性,咳嗽咳痰,痰中带血1月,影像左肺上叶纵膈旁条状影,边缘清晰,密度不均,可见斑点状钙化,与纵膈胸膜脂肪间隙清晰,增强实性成分强化明显,其内可见多发条状粘液栓,周围肺组织内可见多发小结节状卫星灶,左肺上叶体积缩小,考虑:结核
初级诊断师:
年轻女性,咳嗦咳痰伴咳血1月多,ct可见纵隔左移,左肺容积减小,左肺上叶可见一不规则实变影,朝肺内侧边界清楚,部分边缘与纵隔界限模糊,临近支气管堵塞,内见点状钙化,增强不均匀强化,内可见多个低密度区,粘液?并与左肺动脉界限模糊,似受侵,考虑恶性,黏表?但病灶远端有多发小结节,卫星灶?结核待排
那个人:
青年咳嗽,左上上叶贴近纵隔胸膜一实变,外围大,和支气管关系密切,上叶支气管有狭窄后扩张再堵塞?实变大多平直收缩,局部膨隆,病灶内钙化,粘液栓,强化,周围有卫星灶,纵隔内有小淋巴结肿大,考虑结核?鉴别肿瘤
大雄:


分隔样强化,符合粘液栓或干酪坏死,边界锐利清晰,剩下强化明显的部分有不张的肺组织
左主支气管狭窄,上叶不张,胸廓塌陷,同侧肺多结节灶,病灶内部多发钙化,病灶贴纵隔匍匐生长但没有侵袭性,均可以用结核解释
流心明智:
女,29,咳嗽、咳痰一个月。
胸部CT:左肺体积缩小,左肺上叶前段纵隔旁胸膜下大片实变影,边缘清楚、匀齐、平直收缩,部分略膨隆,周围多发结节、树芽卫星灶,纵隔窗病灶与纵隔胸膜黏连,实变内多发点状钙化。平扫密度尚均匀,增强扫描不均匀明显强化,多个低密度区,呈仙人掌样,伴有条状血管影,考虑慢性炎症伴左上叶前段支气管闭塞,TB?鉴别黏表、腺癌等。
傅昌瑜:
青年女性,咳嗽、咳痰、痰中带血1月余,左肺上叶纵隔旁团片影,边缘见平直、U型凹陷,边缘以收缩为主,部分膨隆,内有点状钙化,增强见支气管粘液栓,病灶近端见坏死。周围少许小点状影(考虑卫星灶可能),首先考虑结核,鉴别粘表。
马春平(张家港市一院胸外科):
青年女性、痰血症状一月,左胸廓缩小,左上肺固有段支气管狭窄堵塞,前段支气管扩张伴粘液栓、远侧肺不张,肿块整体呈梭形沿前段支气管爬行向外延伸,内可见多处圆形低密度坏死灶,肺不张处血管造影强化明显,周围散发束状细小结节灶,肺门及纵隔淋巴结尚正常。考虑结核可能大。
尘缘:
还是肉芽肿炎(结核>非特异性肉芽肿炎伴脓肿)与粘表的鉴别,但是周围有多发的小结节,要么是结核灶,要么是转移灶,但是粘表发生这么明显转移的还是相对少见,加上增强化坏死边界清楚,还是倾向于肉芽肿炎可能大,就看能否找到结核证据,找到就是结核,找不到就是非特异性肉芽肿炎。
南边:

左上叶支气管堵塞,腔内粘液栓,粘液栓不强化,远端不张实变



周围多发小斑片,病灶内可见点状钙化,29岁女性,警惕结核;
如果粘液栓强化,警惕癌,年轻女性,多为类癌、黏液表皮样癌
病理结果



结核与黏液表皮样癌鉴别讨论
Coke with ice:
关于晨读的鉴别问题,我有一个想法,但是还没查资料证实,仅供大家参考。这个病变是有明确的延迟强化特点的,是否可以作为肉芽肿性炎与黏表的鉴别要点呢。另外坏死边界清晰。
在慢性炎或肉芽肿性炎的时候,病变区组织结构排列紊乱,有间隔增厚纤维化,造影剂进入的慢也比较容易理解,延迟强化的特点也容易接受
1.肉芽肿的形成:当宿主抗胞内菌免疫与病原体的博弈相持不下、转为慢性感染时,就会在宿主感染局部形成一种称为肉芽肿的结构以局限化感染。肉芽肿的内层包含巨噬细胞和CD4+ T细胞,而外层是CD8+ T细胞。
2.肉芽组织的概念:是由新生薄壁的毛细血管及成纤维细胞构成,为组织损伤后修复。肉芽肿可伴或不伴有坏死。
3.干酪样坏死除常见于结核感染外,也可见于一些真菌感染,并非结核独有表现。
4.我查了一篇关于黏液表皮样癌的文献资料分享给老师们,做了一些最简单的截图分享。

尘缘:
主要是黏表不好解释两个问题:第一,中间的低密度肉眼看,强化并不明显,如果是黏表的粘液栓,应该有明显的强化的。第二,肺内多发的小结节,就要考虑转移,但黏表本身是低恶性肿瘤,发生这么明显的转移的还是相当少见的,本身有强化的还是相对多一些。分析的时候,尽量还是以常见表现为准,否则都要考虑到少见或不典型表现,那咱们的影像诊断就没法进行了。
必有路:

腔内,不是黏液,我觉得是长东西了
大雄:

文献报道:低级别黏表粘液特别多的时候可以看不到强化
晨读没考虑黏表 也不是因为强化  是因为其他征象都可以用结核解释  当然先考虑常见病啊  
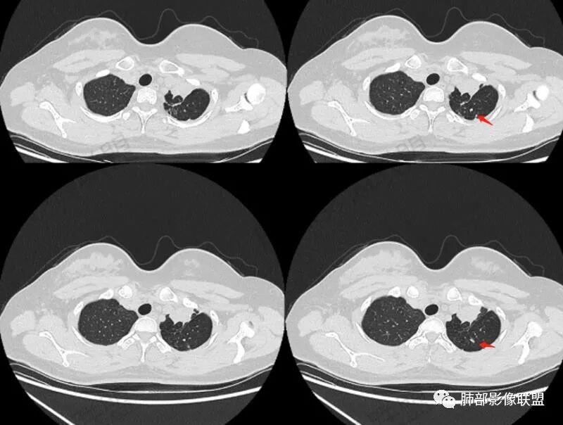
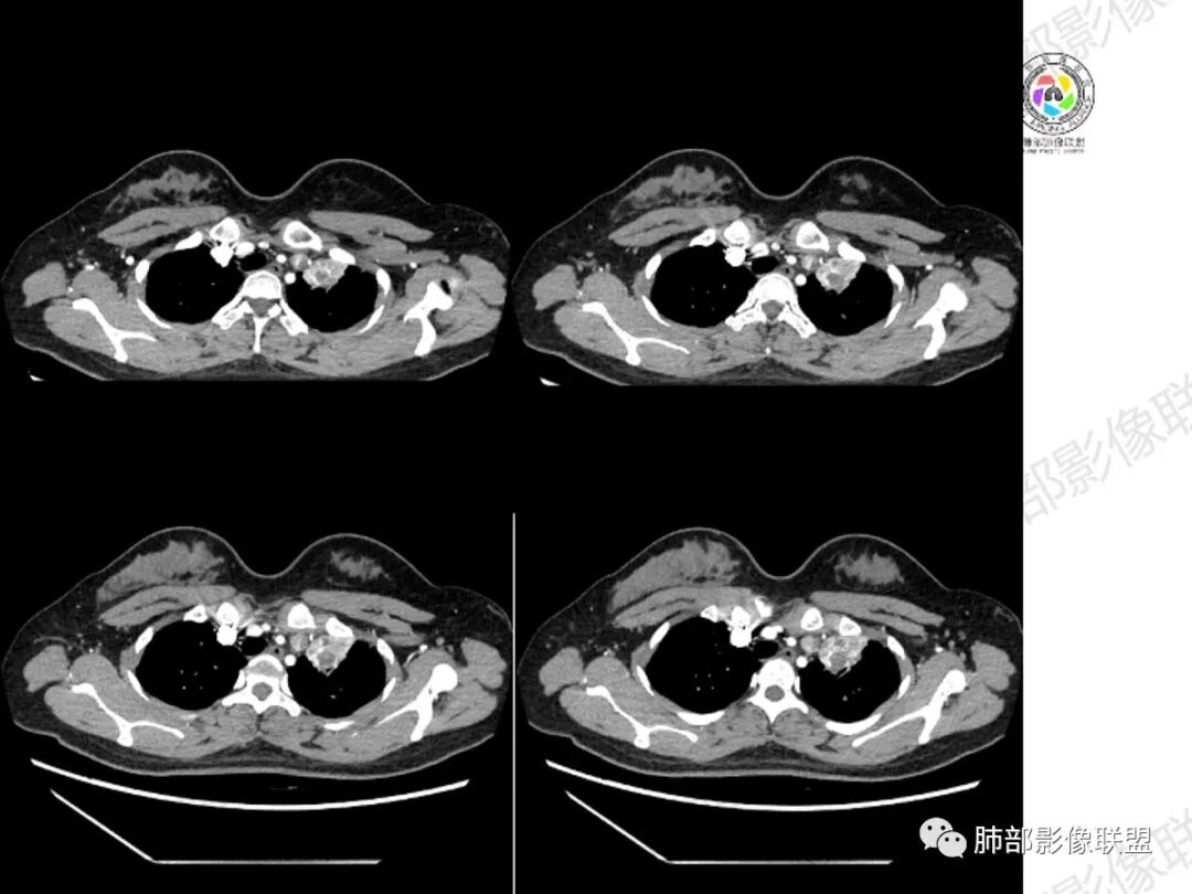
必有路:
黏表一例 供参考:

拿出来只是给大家提个醒,不是说没强化就不是癌 
尘缘:
其实黏表和结核的鉴别,不是局部开口处是否强化,而是结核的粘液栓没有强化,而黏表的粘液栓中含有肿瘤细胞生长,会有不均匀强化。晨读那些低密度区都看不到强化。就不太符合黏表了。
总体来说的思路应该是:年龄,发病率,影像特征,临床征像总结,几个综合思考,到底哪个符合性更高,就把哪个排前面,至于强化与否,确实不是关键问题(仅仅是一个参考)
年龄,强化边界清楚的坏死区,发病率,钙化发生率,支气管的不规则狭窄,远端的结节用黏表转移不好解释,这些都更倾向于结核
本例焦点问题
1.纵隔明显左移,提示病灶存在时间较长,存在明显牵拉和/或肺不张的可能。
2.病灶内见钙化。即可见于结核,也可见于粘液表皮样癌。
3.病灶内未强化液性低密度区,粘液可能性较大。
4.影像显示左肺上叶支气管阻塞,左主支气管多发附壁结节影,支气管壁散在结节影更常见于结核等慢性感染。
5.块影周围“卫星灶”,密度及分布特点,更多见于结核,而非转移。
6.年轻女性,结核发病率远远高于恶性肿瘤。
7.关于病灶的部分显著强化,及肺结核灶常有,也非粘液表皮样癌特点。但如强化部分为周围萎陷肺组织,则另当别论。
文献来源:
江森等.气管、支气管黏液表皮样癌的多层螺旋CT表现.临床放射学杂志,2006(25)
王定君等.肺黏液表皮样癌14例CT影像特征与组织学分级相关性初步研究.中华肿瘤防治杂志,2019(26)
病例提供:徐新庭
编辑:李志强
审核:徐  晓

到顶部