【每日晨读】​肺内黏膜相关淋巴组织淋巴瘤


致谢病历提供老师:龙南县医院放射科 徐新庭





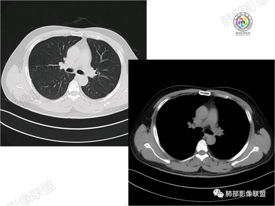
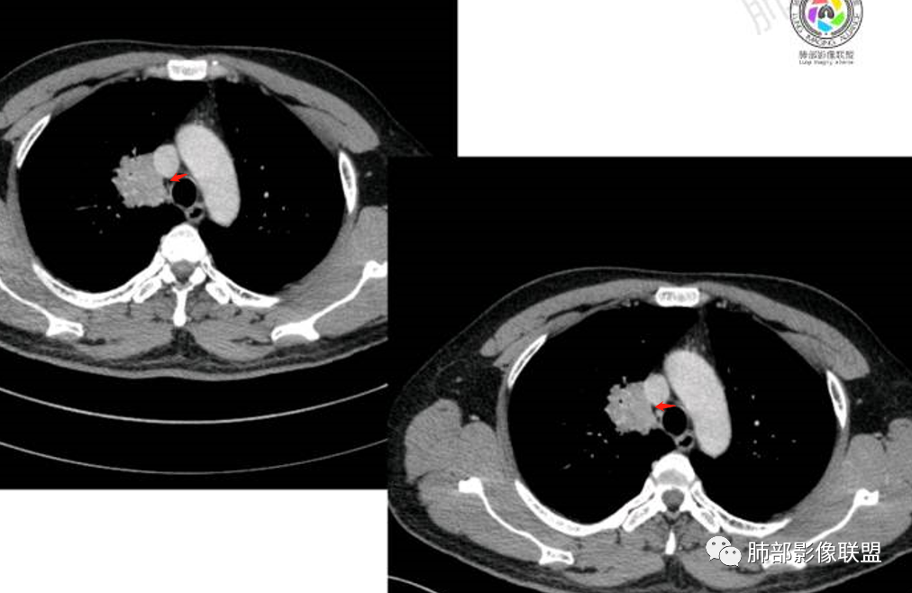
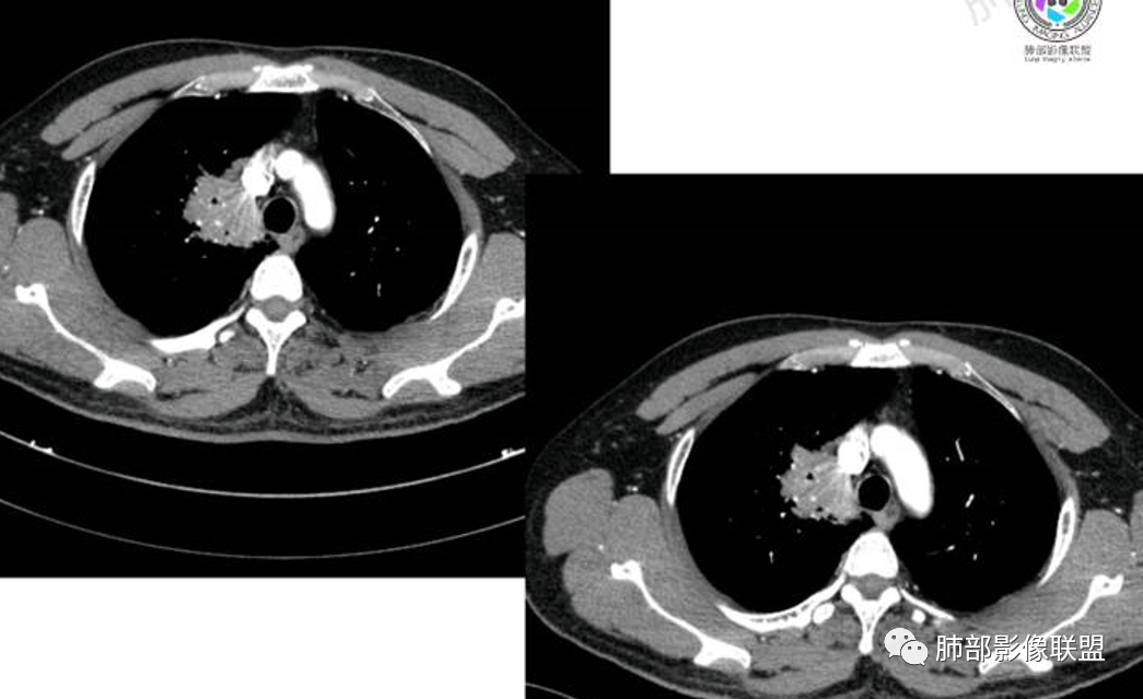
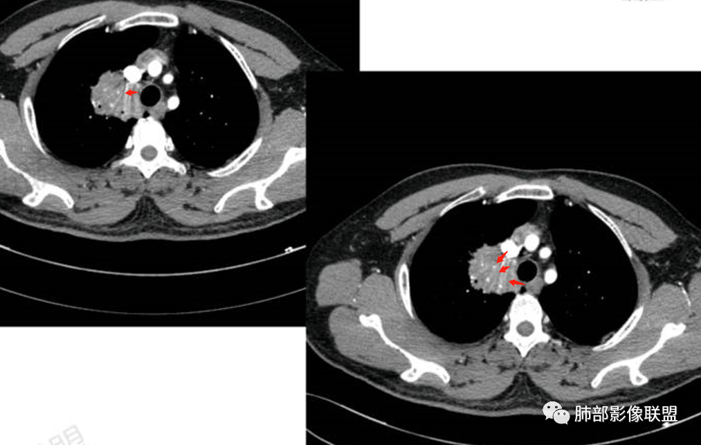
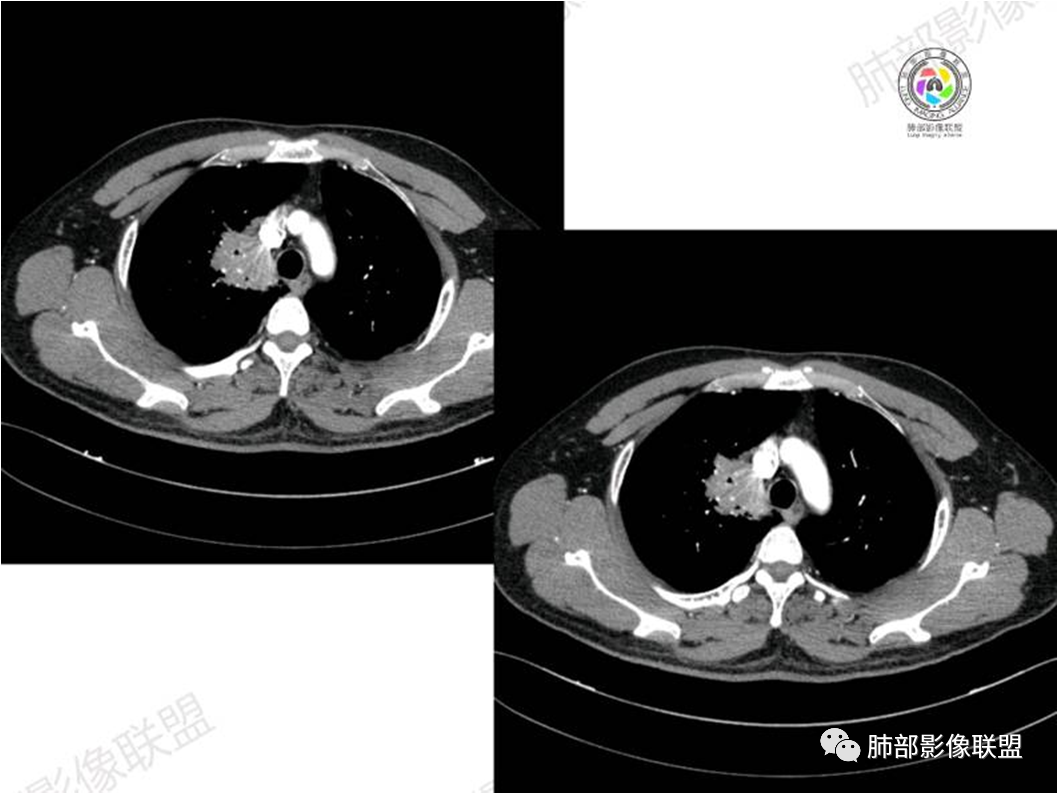
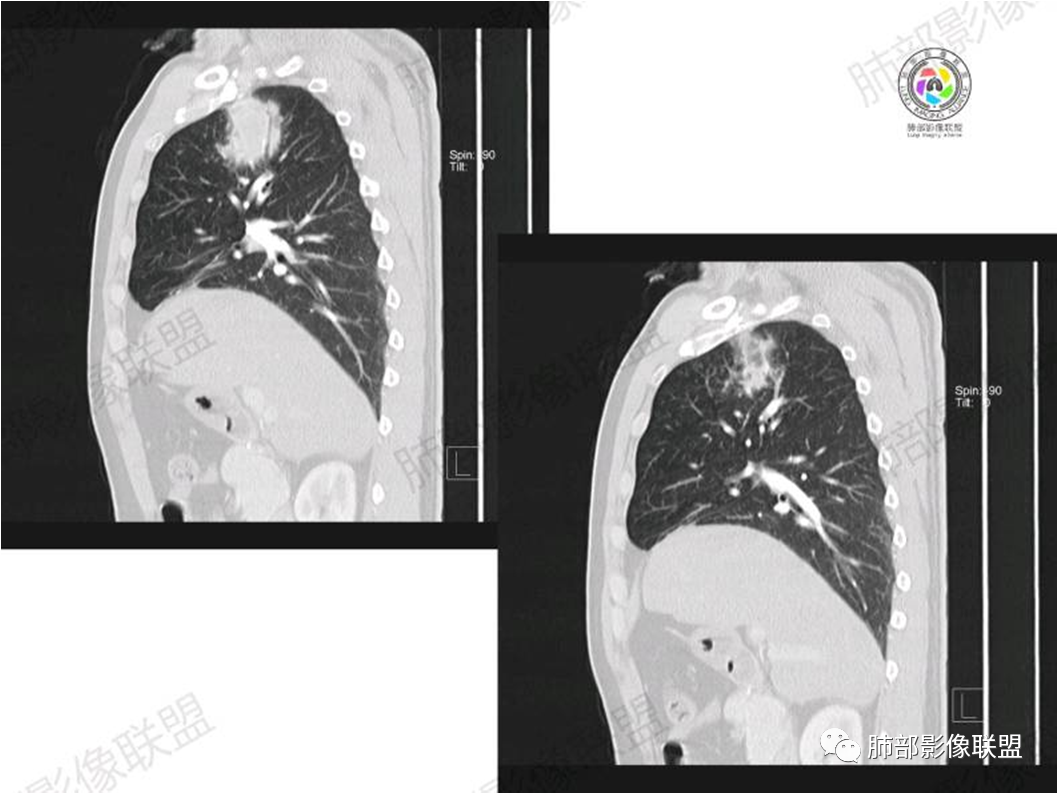
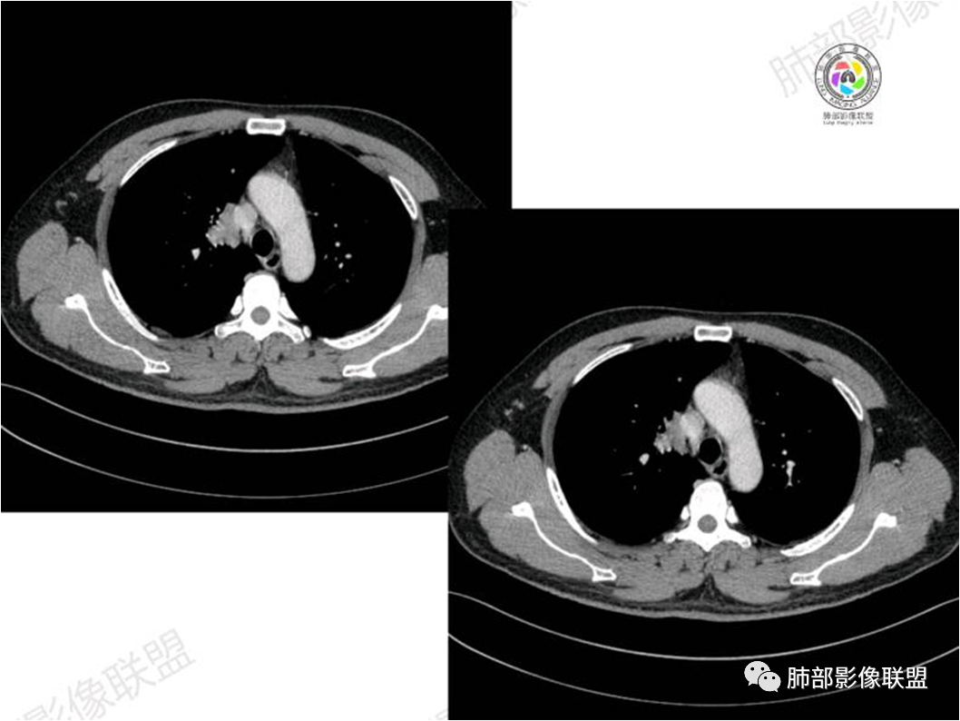
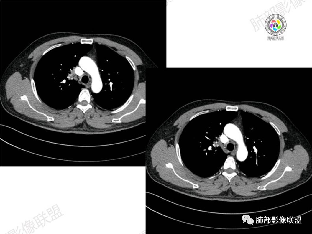
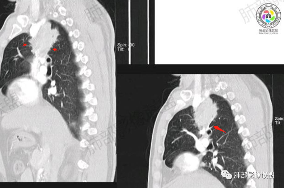
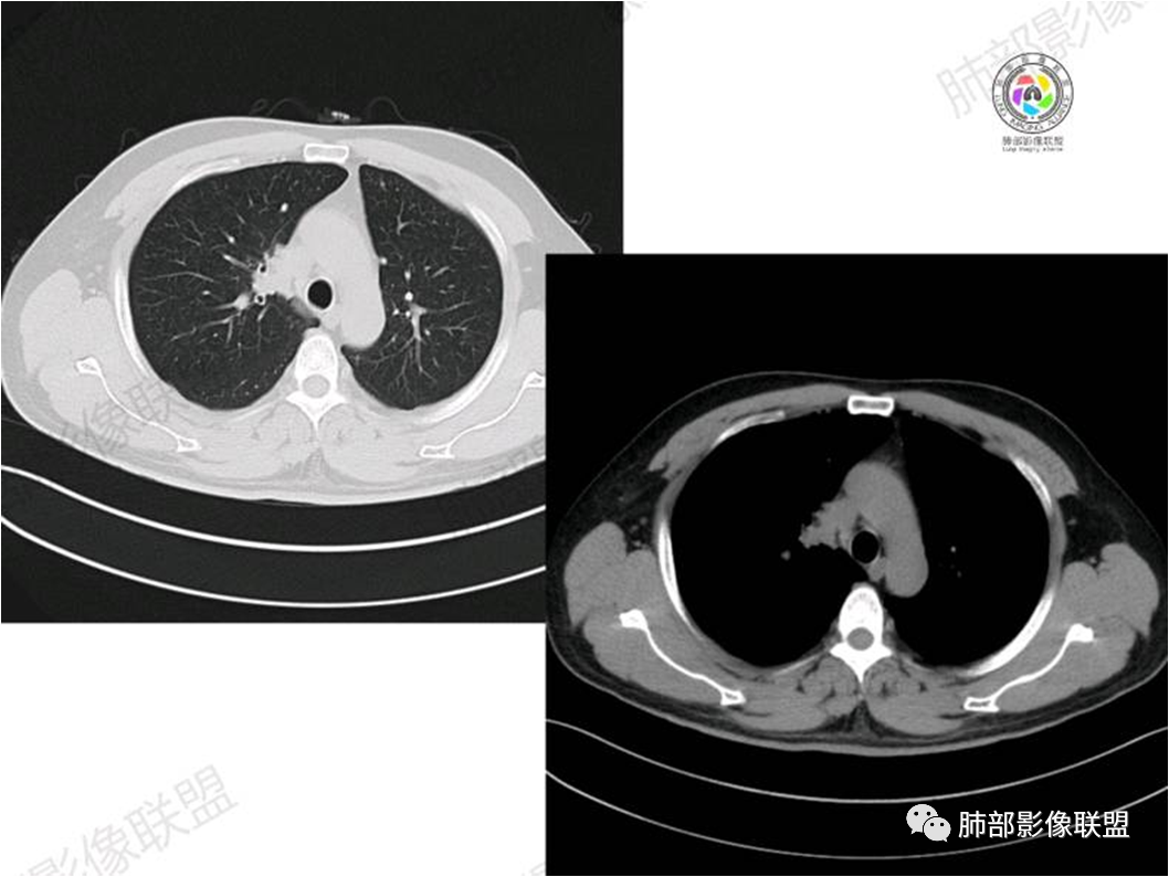
病例资料
致谢:龙南县医院放
男性:44岁
症状:近期偶有咳嗽。无咳痰,无胸痛。无其他不适。
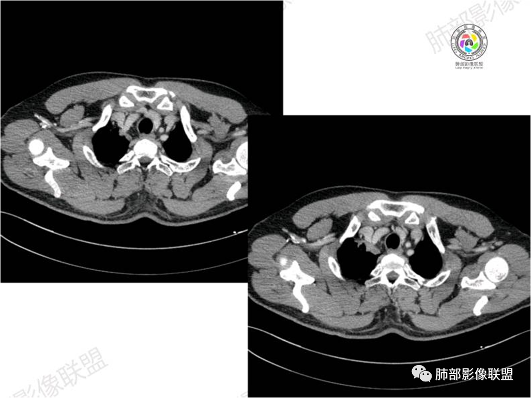
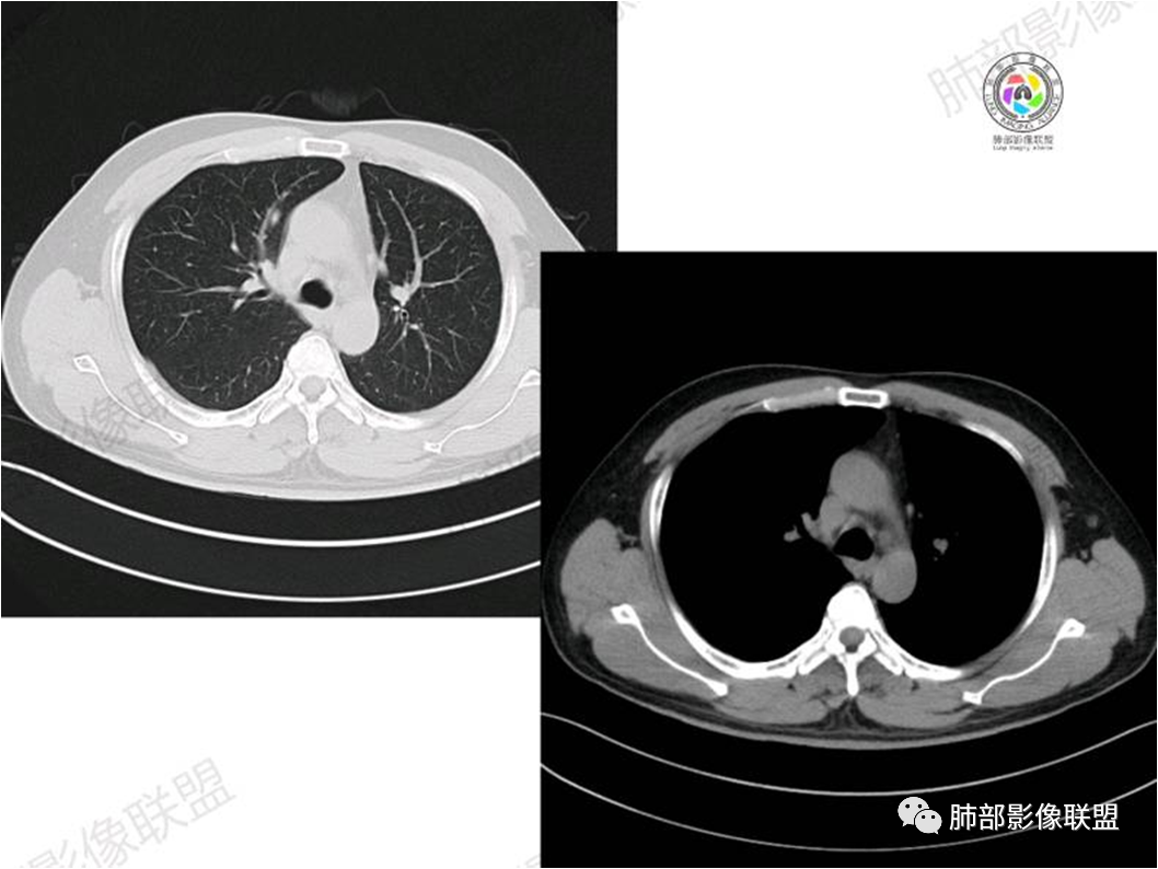
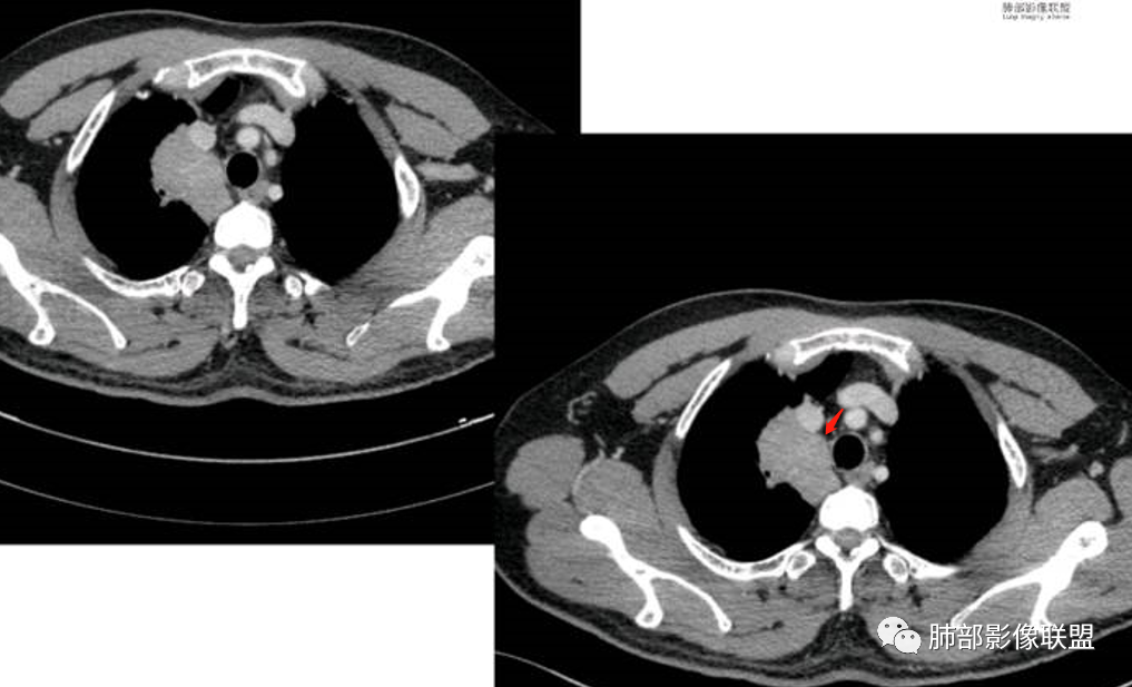
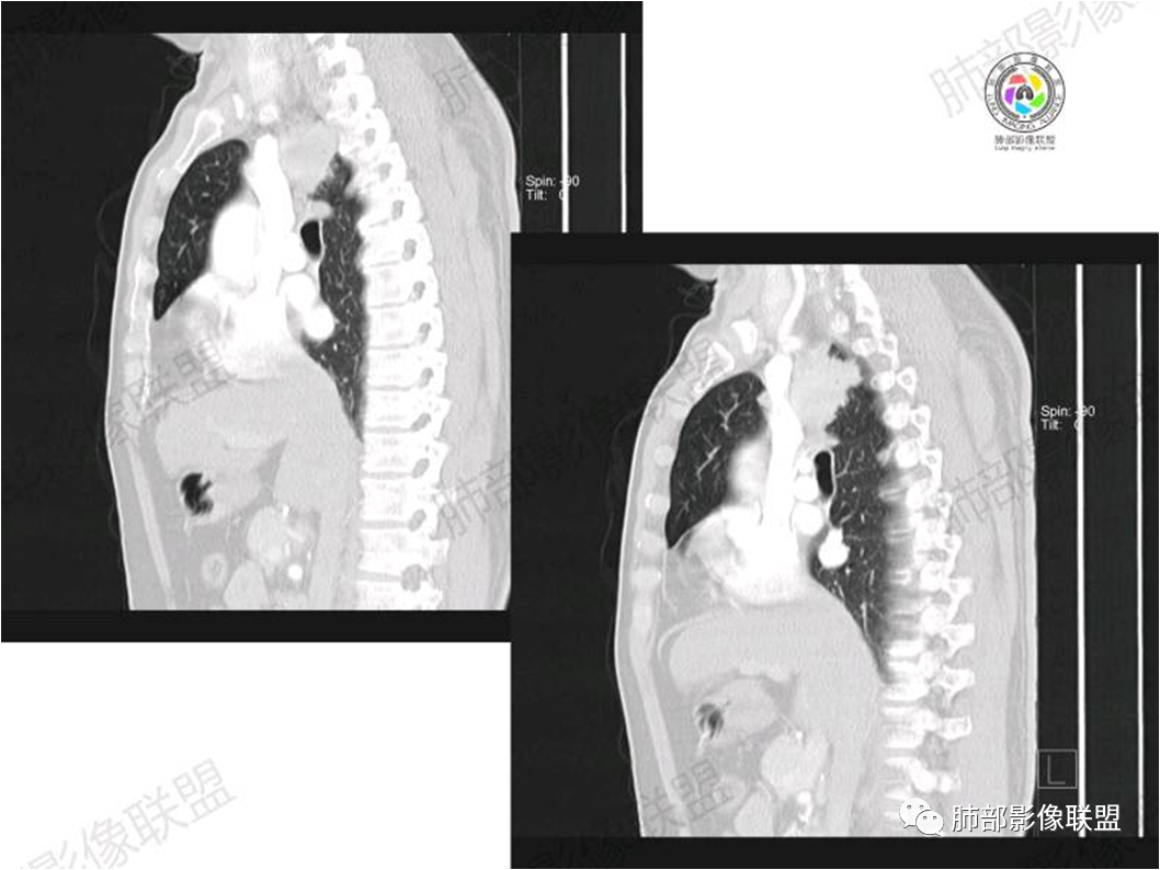
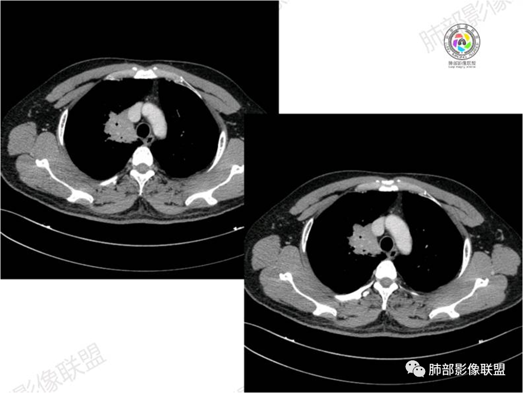
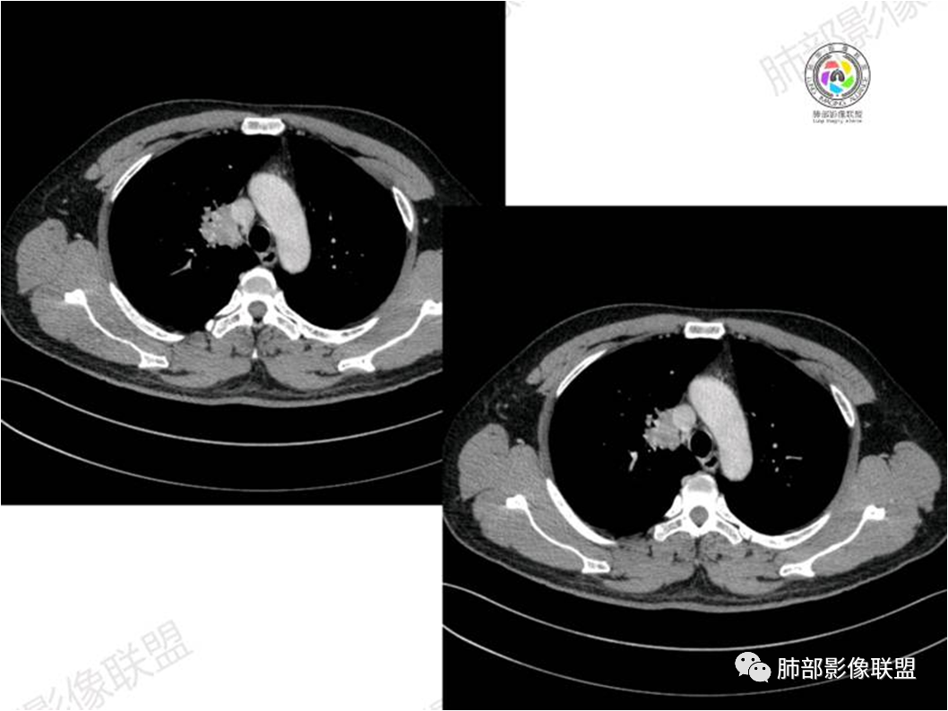
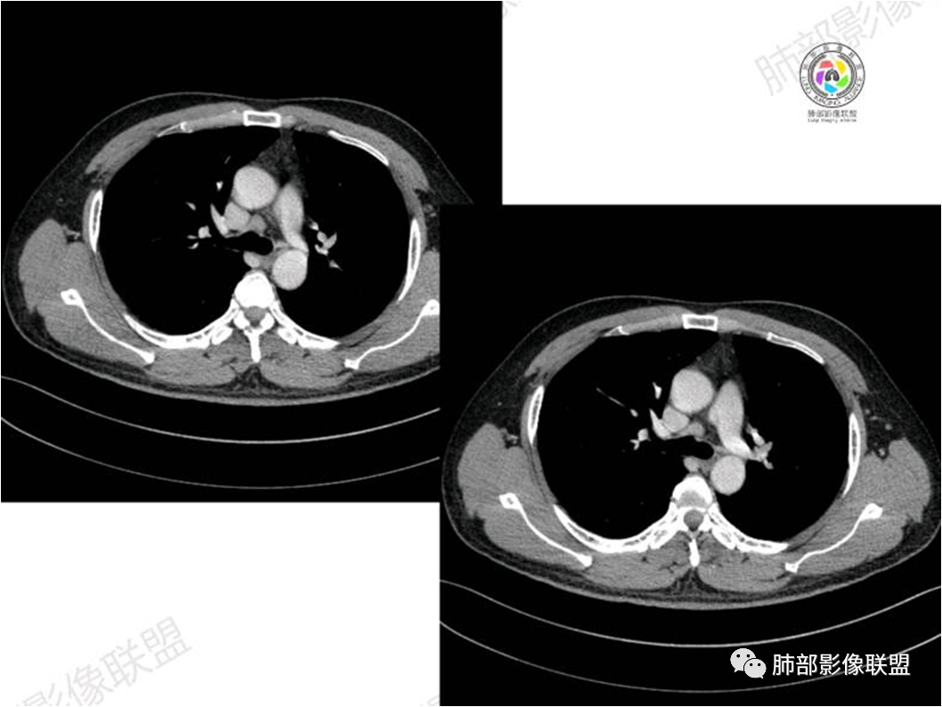
胸部CT:
























联盟群内老师们的精彩分析
飞鹰行动: 
中年男性,偶有咳嗽,右肺上叶近纵膈旁占位,内可见僵硬的支气管和小空泡征,病灶边缘可见分叶,毛刺,增强病灶中度以上不均匀强化,可见血管造影征,考虑恶性病变,腺癌可能性大。
必有路: 
中年男性,右肺上叶尖段团片病灶,密度均匀,内部支气管充气相,渐进狭窄,强化均匀,血管造影,纵隔侧未见侵犯,诊断:良性,慢性非特异性炎症/机化性炎症,IMT
一切∮随缘: 
右肺上叶纵隔胸膜侧一实性肿块,与纵隔胸膜宽基底相连,局部脂肪间隙消失,形态欠规则,内部可见多个小空泡,平扫密度尚均匀,增强后可见点条状强化,内部穿行血管,周围肺组织干净,纵隔淋巴结略肿大,男性44岁,只有咳嗽,考虑恶性肿瘤,腺癌,鳞癌。鉴别结核,OP,炎性假瘤。
看图说话: 
右肺上叶近纵膈旁肿块,密度均匀,边缘分叶,毛刺,气管受压变窄,不均匀强化,可见血管造影征,考虑淋巴瘤,鉴别炎性假瘤。
丽: 
中年男性,右肺上叶纵隔旁软组织肿块,边缘膨隆、毛糙,可见多发分叶,支气管穿行,部分截断,增强后密度欠均匀,纵隔内见多发小淋巴结,首先考虑恶性,腺癌,鉴别淋巴瘤
Sugar阿Q: 
中年男性,右肺上叶纵隔旁肿瘤,稍膨隆,有毛刺,支气管穿行,远端闭塞,强化均匀,血管走行尚可,考虑淋巴瘤可能性大(支气管远端闭塞,不太符合),鉴别腺癌(气管穿行后闭塞,不太符合),op(病灶稍膨隆)
水晶石头: 
患者中年男性,咳嗽就诊,无其他不适。胸部CT:右肺上叶尖段上纵膈旁肿块,边界清楚,边缘光滑,内见支气管受压变窄,伴阻塞性改变,增强均匀强化,见血管造影征。综合考虑恶性病变,小细胞肺癌或淋巴瘤。气管镜活检应能明确。
衡妈: 
中年男性,右肺上叶纵隔旁实性病灶,边缘有彭隆,有平直,有分叶,有尖角,病灶边缘中心可见支气管征,周围少许磨玻璃,边缘模糊,增强后动脉期病灶可见强化血管影,渐进性强化,临近血管界限清晰。考虑炎性病灶,普通炎性肉芽肿?结核?炎性肌纤维母细胞瘤?鉴别腺癌,淋巴瘤
南边老师分析:
南边: 
病灶紧贴纵隔胸膜

糊墙,胸膜外未见明显侵犯迹象

病灶整体狭长一些
边缘平直、凹陷为主

支气管外侧带的通畅,片内侧带的似乎中近端狭窄,堵塞


内部肺动脉走形还可以

近端支气管壁弥漫增厚

强化均匀

整体炎性的特点比较明显

不踏实的地方:

边上有些毛糙
恶性待排除
恶性:还是淋巴瘤多见一些。
病理结果
病理结果:MALT
肺内黏膜相关淋巴组织淋巴瘤(MALT)
   
相关文献:
  黏膜相关淋巴组织(Mucosa associated lymphoid tissue, MALT)淋巴瘤是来源于黏膜相关淋巴 组织边缘带的低度恶性非霍奇金B细胞淋巴瘤。肺MALT淋巴瘤较为罕见,约占淋巴瘤的0.14%~1%,易被误诊为肺炎或肺癌。
      MALT淋巴瘤这一概念最早由Isaacson和 Wright等于1983年提出,其可发生全身具有黏膜的器官或组织,最常见于胃肠道,其次为肺(15%)组织,病因不明,目前多认为与慢性感染、吸烟或自身免疫性疾病有关。肺MALT淋巴瘤是较为罕见的低度恶性肿瘤,多见于50-70岁,男女发病率无明显差异,或男性略多于女性。
  MALT淋巴瘤影像表现为实变、结节及磨玻璃影,其中实变是其特点,胸膜下或支气管血管束节段性分布具有特征性,跨叶征较常见,这可能与肿瘤细胞进入血循环后往往又回到上皮黏膜部位,它们从一处黏膜到另一处黏膜,但不会到外周淋巴组织等有关。国外多名学者的影像-病理研究报道认为其病理学基础是由于肿瘤细胞沿支气管血管束周围间质及胸膜浸润生长,形成小叶间隔增厚、支气管血管束增粗等间质性改变,进一步浸润肺泡壁、充填肺泡腔。
肺MALT淋巴瘤具有以下几 个特点:
①实变的出现率100%,多表现为两(89%)或单肺多发,密度均匀,与邻近胸壁肌肉的密度大致相等,少见钙化(15%),这与病灶内血管保持 完整,血供丰富,且肿瘤生长缓慢,对缺氧耐受好,不易坏死有关。边缘磨玻璃影或晕征具有特异性,其病理学基础是肿瘤细胞对小叶间隔、肺泡壁的淋巴瘤样浸润;
②其余肺叶磨玻璃影或结节常见(67%), 多沿支气管血管束分布;
③扩张的充气支气管为其较特征性的表现,出现率约为89%,支气管管壁无破坏,支气管常扩张并达病灶的边缘,这与炎症性肺癌明显不同,其病理学基础是肿瘤起源于肺间质,肿瘤细胞沿着脏器解剖结构生长,周围增生的结缔组织牵拉导致支气管扩张,因而这类支气管扩张在肿瘤治疗后有时可消失;
④血管造影征是另一 点,强化的肺血管形态及走行正常,无扭曲或增 粗,其病理学基础为肿瘤细胞沿间质增生浸润,不破坏血管或支气管,病灶内肺支架结构完整,本研究发现率为75%;
⑤病灶多为中度强化,部分轻度强化;
⑥肺门及纵隔淋巴结肿大少见;
⑦胸腔积液少见且多为良性,与淋巴管或静脉阻塞有关,本组出现率约26%;
⑧邻近胸膜多无增厚,部分胸膜下见清晰脂肪或少许积液可能具有一定特征性,既往国内外研究尚未报道此征象,本文认为其病理学基础可能为肿瘤细胞生长缓慢,多为间质淋巴瘤样浸润而不破坏脏器解剖结构,肺泡塌陷及周围纤维组织增生,可能致病灶牵拉邻近胸膜有关,这不同于文献;报道的机化性肺炎致邻近胸膜多条状水肿、增厚,此征象有助于二者的鉴别。
肺MALT淋巴瘤需要与大叶性肺炎、肺结核、肺癌及继发性淋巴瘤等鉴别。大叶性肺炎多有高热症状,CT多表现为单个肺叶实变影,很少跨叶分布,充气支气管管径及形态正常。肺结核多有低热、盗汗症状,多发生于两肺上叶尖段及下叶背 段,多可见长毛刺、钙化或空洞,周围常见卫星灶,结核菌素试验阳性。肺炎型肺癌临床症状常较轻,部分因含量黏液而密度偏低,充气支气管可呈扭曲不规则狭窄、中断。肺癌CT表现为肺部肿块,可有分叶、毛 刺征、空泡征、血管集束征及胸膜凹陷征,肿块可有支气管中断、闭塞,可伴有肺门及纵隔淋巴结肿大。继发性淋巴瘤有肺外淋巴瘤的表现,除肺内病变外,常有肺门及纵隔淋巴结肿大。
总之,肺MALT淋巴瘤的CT.PET/CT表现有一 定特征性,结合其抗炎效果不佳及缓慢进展的病史,应考虑到肺MALT并及时行经皮肺穿刺或胸腔镜活检,依靠病理学来确诊。
文献来源:
《肺黏膜相关淋巴组织淋巴瘤的CT.PET/CT表现及预后随访》
雷强,李新春,万齐,邹乔,余煜栋,包盈莹,王宇泽,梁结宜
[1] Li H, Wang T, Wei X, et al. Marginal zone B-cell lymphoma of the pulmonary mucosa—associated lymphoid tissue: A case report [J]. Oncol Lett, 2015, 10(3): 1731.
[2] Borie R, Wislez M, Thabut G, et al. Clinical characteristics and
prognostic factors of pulmonary MALT lymphoma[J]. Eur Respiratory J, 2009, 34(6): 1408-1416.,
[3] 张卫东,关玉宝,李传行,等.肺黏膜相关淋巴组织淋巴瘤的CT诊 断[J].中华放射学杂志,2010,44(12):1294-1296.
  
【每日晨读】经典再现,见之不忘(典型的肺内MALT淋巴瘤)!
一例MALT淋巴瘤引发的PET-CT相关讨论
【张家港精益求精专栏】“软弱迟钝”的肺MALT淋巴瘤

END
编辑:张丽红
审核:蔡笑燕  徐  晓



到顶部