【每日晨读】胸闷、气促、D-二聚体增高,竟不是结核惹得祸


致谢贺州市人民医院 傅昌瑜老师
01
病例资料

































                                                精彩分析
秦化君:
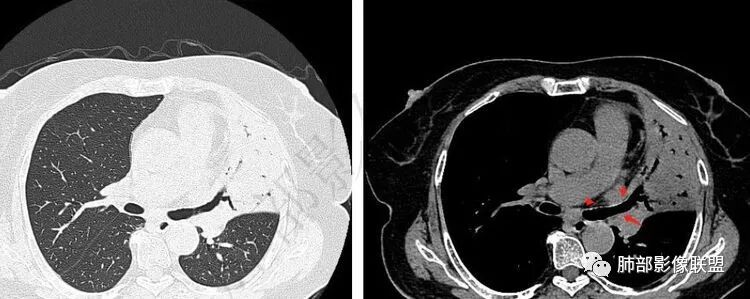
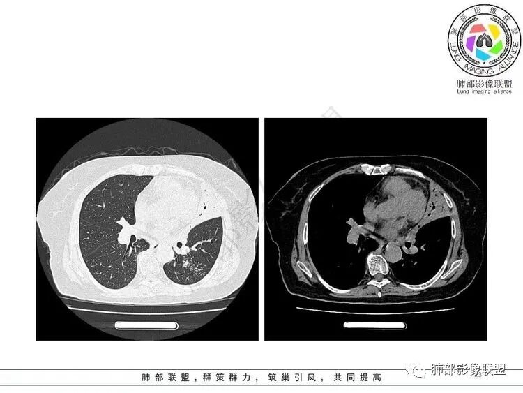
左肺上叶大片状实变,边缘部分清晰,密度不均,支气管部分扩张扭曲,同时散在分布小透光区,左下肺沿肺段及纹理走形斑点,粟粒影及树芽征。考虑左肺感染性病变,结核首选,其它感染待排
💞 玫:
女,65胸闷,气促半月入院,左肺上叶见大片状实变影,边缘模糊,其内见含气支气管征,支气管管壁不规整,凹凸不平,广泛性狭窄、僵硬、扭曲,左肺下叶另见粟粒,结节及树芽征征,结核感染T细胞阳性,考虑结核可能,除外其它感染性病变。
蔣勝華:
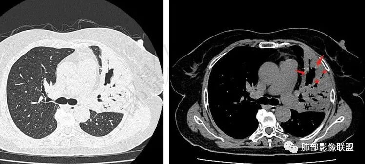
老年女性,呼吸衰竭,不发热,影像左肺上叶实变,支气管扩张,下叶小结节,t细胞检测阳性 ,常规考虑结核,但不发热。结合血气,超声,是不是有肺栓塞
张丽红:
老年女性,糖尿病,心衰,心功能差,降钙素高(提示感染?)D_二聚体,明显升高(栓塞?)胸部ct:左肺上叶实变,肺体积缩小,内部支气管扩张扭曲,左肺下叶散在树芽征。右侧纵隔淋巴结部分钙化。首先考虑肺结核。鉴别奴卡,淋巴瘤,肺栓塞
衡妈🇨🇳:
老年女性,糖尿病。左上肺大片状实变影,大部分边界清晰,沿胸膜面由外朝内,特点是病灶多发扩张支气管直达远端闭塞,左下肺树芽征。考虑感染性病变,炎性肉芽肿+树芽,奴卡菌肺炎,鉴别结核,淋巴瘤。
飞鹰行动:
老年女性,糖尿病,不发热,影像左肺上叶大片状实变,边缘部分清晰,密度不均,支气管部分扩张扭曲,左肺下叶可见粟粒影及树芽征。考虑左肺感染性病变,首先结可能性大核,NTM待排除。
丽:
老年女性,有糖尿病病史。边缘模糊不清,左肺上叶大片状实变密度影,内可见支气管穿行,走形迂曲并扩张,另左肺下叶多发点状高密度影,并树芽征,考虑结核
了:
老年女性。糖尿病基础病,结核T阳性,左肺上叶实变影,虫蚀样空洞,枯树枝征,远端树芽征,纵隔淋巴结肿大,结核首选
大雄: 
患者近期胸闷气促,D2高,低氧血症,肺动脉干增宽,确实需要警惕肺栓塞,可以做个CTPA排除一下。一元结核不太好解释主诉

   南边老师分析
南边:
65岁女性。胸闷、气促半月
这么大片病灶,症状这么轻?体温36.9°C
体查好像没啥,这个有点怪,这么大片,按理有
叩诊、听诊?
糖尿病,血糖超高
结核感染T细胞检测阳性


支气管狭窄后扩张




南边:
壁连续软骨破坏不明显可见不规则空洞,内壁光滑、腔内干净,远端支气管显示清楚病灶收缩明显左下叶见多发边界清楚结节、树芽征
糖尿病,病史半月,症状逍遥空洞特点、支气管特点、树芽征,支持结核不除外恶性肿瘤傅昌瑜:



南边:这个是左上肺基本没啥功能所致吧肺动脉粗了尘缘:晨读:一、肺栓,CTPA去证实,这个一定有的,二,结核?这个不一定是,也不一定有结果,3、间质性肺水肿,这个应该有,但结果不一定能体现出来。综上:考虑肺栓塞伴间质性肺水肿,结核待排。

                                                  病例结果
小赵:








经痰涂片及CTPA检查的结果:肺结核合并肺栓塞。
痰涂片:抗酸杆菌++++。痰结核菌DNA测定:阳性。
傅昌瑜:
影像特点支持结核。气促、左上肺病灶似乎不能解释I型呼吸衰竭加上D—二聚体明显升高、肺动脉干增粗,临床需要想到二元可能:肺结核合并肺栓塞可能,需要完善CTPA明确有没有肺栓塞,因为急性肺栓塞是急危重症。

                                                病例小结
影像与临床:
1.老年女性,胸闷、气促半个月入院。无发热、咯血、胸痛等。
既往糖尿病病史。双下肢凹陷性水肿。
降钙素高,D-二聚体升高,结核感染T细胞检测阳性。呼衰。
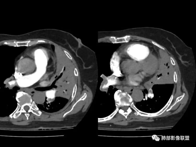
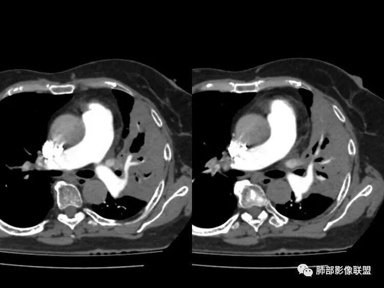
2.纵隔左移。肺动脉增宽。
3.左肺上叶较大范围实性密度区,密度偏高不均,支气管穿行且轻度扩张,可见无壁不规则空洞(未能显示外壁),未显示液平或腔内结节。
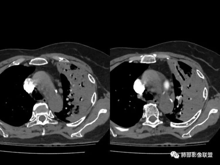
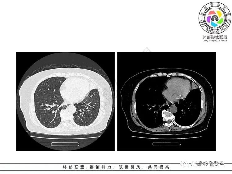
4.左肺下叶多发结节影及条索影,密度不均,边界较清楚,可见树芽征。
5.纵隔见轻度增大淋巴结,较密实。
综合分析:
1.左肺上叶较大范围实性密度区,支气管未见阻塞,无壁空洞,整体比较“干”,加之纵隔左移,比较符合病程较长的结核性病变。
左肺下叶多发结节影、条索影、树芽征等具有相当明显的提示意义—符合继发性肺结核。
2.“胸闷、气促”以及呼衰的临床表现,难以以当前肺部的病灶加以解释。
D-二聚体升高,肺动脉成像等明确患者肺栓塞的存在!
编辑:周乔友
审核:蔡笑燕 徐  晓



到顶部