【每日晨读】中分化鳞状细胞癌一例



致谢:湖南省人民医院  张卫东老师提供病例








































 群  内  讨  论
大雄:抗感染不吸收还是要警惕癌尤其主动脉旁的病灶红星:老年患者,咳嗽咳痰两个月,既往有糖尿病病史10年,左肺下叶后基底段斑片状、条索状、斑点状多形态的病灶,病灶内可见支气管征以及狭窄扩张的支气管影像。重建图像上可见到病灶沿支气管爬行。增强扫描病灶轻度强化,临近胸膜增厚。首先考虑感染性的病变,结核性的可能性最大。鉴别诊断上注意排除肺克以及淋巴瘤。三个石头:左肺下叶多发斑片,结节,条索,多态性?结核?多个结节边缘长毛刺,胸膜牵拉,分叶。矢状位支气管走行扭曲,没有完全阻塞,应该有粘液栓,有点像指状。主动脉旁病灶边缘平直,部分有鹏隆感,延迟强化。抗炎病灶变化不明显,结核?真菌?肿瘤也除外不了。没意见:左肺下叶基底段结节,膨隆、深分叶,毛刺,内侧串珠结节,中轴间质增厚,管腔狭窄,后基底段亚支不张,强化情况不明,考虑恶性,腺癌可能性大,另指套样征像,支气管壁增厚,不除外霉菌感染流心明智:老年患者,咳嗽咳痰2月。既往糖尿病史10年。胸CT:左肺下叶基底段多发结节影、斑片影、条索影,多数结节影沿支气管血管束分布,支气管壁厚,部分结节分叶、指状突,后基底段支气管狭窄闭塞。重建可见到病灶沿支气管爬行。增强扫描病灶明显强化,部分斑片影内可见低密度灶。普通抗感染无效。考虑:恶性病变,鳞?小?鉴别TB、隐球等。王秀仙:左肺下叶沿支气管血管束分布斑片、结节影,部分呈管状铸型生长,管腔狭窄,后基底段支气管阻塞,降主动脉旁不张实变,增强扫描病灶轻度强化,抗感染2周无吸收,考虑鳞癌。鉴别结核。蓝天白云:肺野内老年男性,咳嗽咳痰,有糖尿病病史,抗炎治疗无吸收。影像表现为左肺下叶支气管腔内结节影,支气管壁增厚,远侧小花小草,增强后实变影均匀强化,考虑鳞癌伴远端阻塞性炎症,鉴别结核。采莲:老年男性,咳嗽咳痰2月,有糖尿病史,左肺下叶沿支气管分布多发结节条状影,结节影不规则有分叶,成串珠样,靠下结节影成条索影,周围有空气储留,靠近主动脉不规则块状影,边缘平直,周围支气管壁增厚,支气管进入后阻塞,有糖尿病史,首选考虑炎性肺结核可能性大,鉴别肺鳞癌。了:左肺多发结节影,实性结节,,磨玻璃结节,左肺门结节影,深分叶,彭隆感,有血管滋养,考虑肿瘤,抗感染后病灶无吸收,感染不像,结节有强化,无卫星灶,结核可以排除不再涩的柠檬:老年男性,吸烟史,糖尿病史,咳嗽咳痰2月,抗感染2周无效。左下基底干及各分支管壁较弥漫增厚,伴支气管粘液栓,远端阻塞性肺炎,后基底段部分不张实变。先考虑感染病变,常规抗炎无效,需考虑结核、曲霉等,不能排除鳞癌合并感染,建议支气管镜检查。
尘缘:支气管壁增厚,沿支气管分布斑片状影,中远端支气管似堵塞,远端阻塞性改变,需要鉴别结核与肺癌,临床简单,镜检就行了。读片个人倾向于鳞癌伴感染吧。田园晚风:老年男性,有糖尿病史,咳嗽咳痰2月,左肺下叶沿支气管分布多发结节条状影,部分有分叶,成串珠样,靠下结节影成条索影,周围有空气储留,靠近主动脉不规则块状影,边缘平直,周围支气管壁增厚,支气管进入后阻塞,首选考虑肺癌可能性大,鉴别肺结核。


病  理  结  果






病  例  分  析
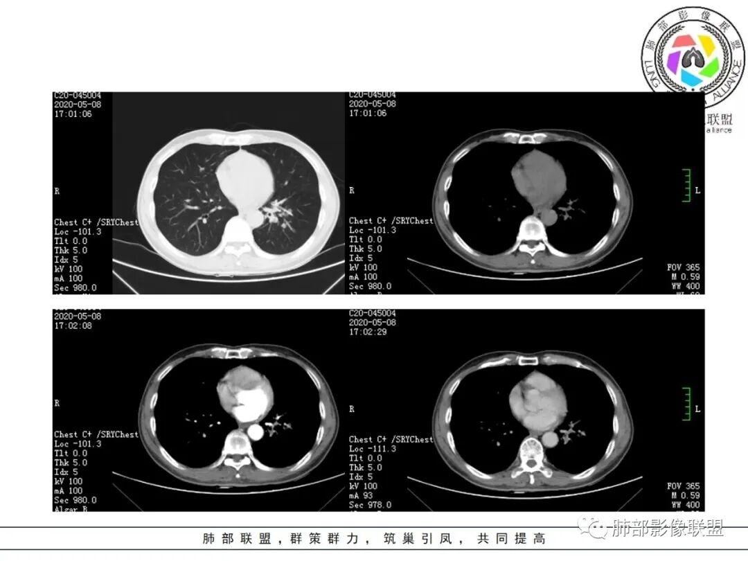
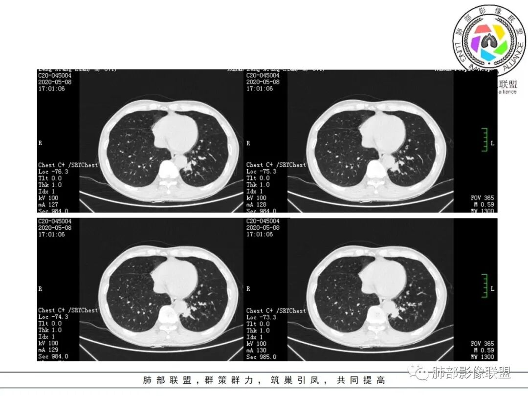
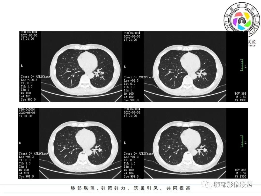
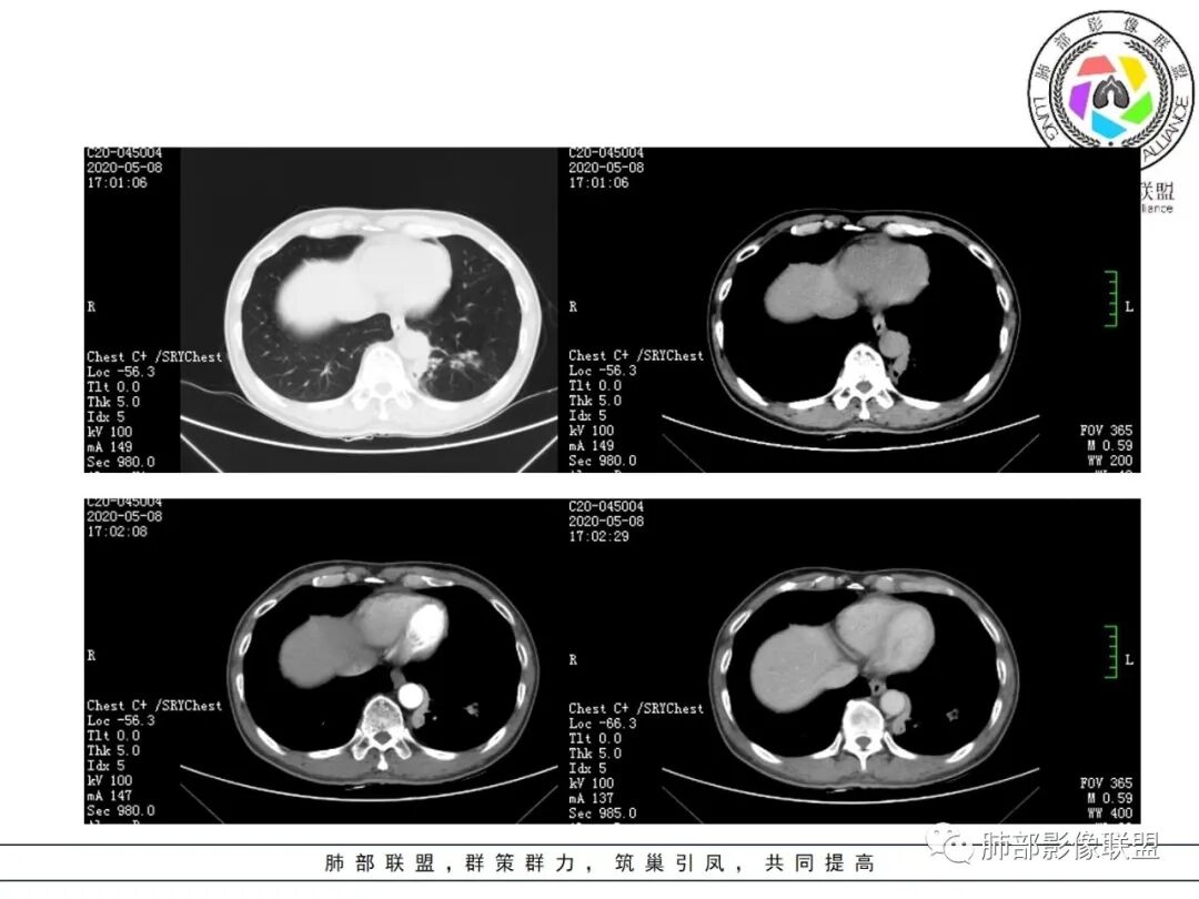
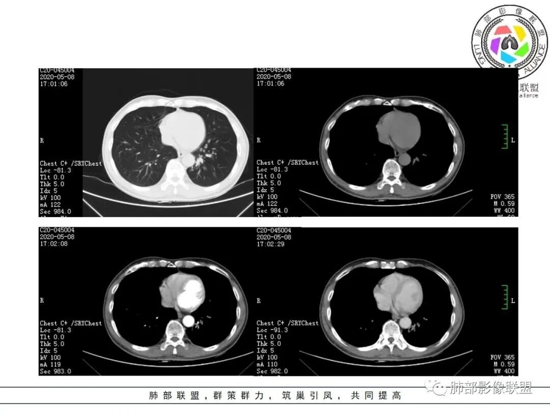
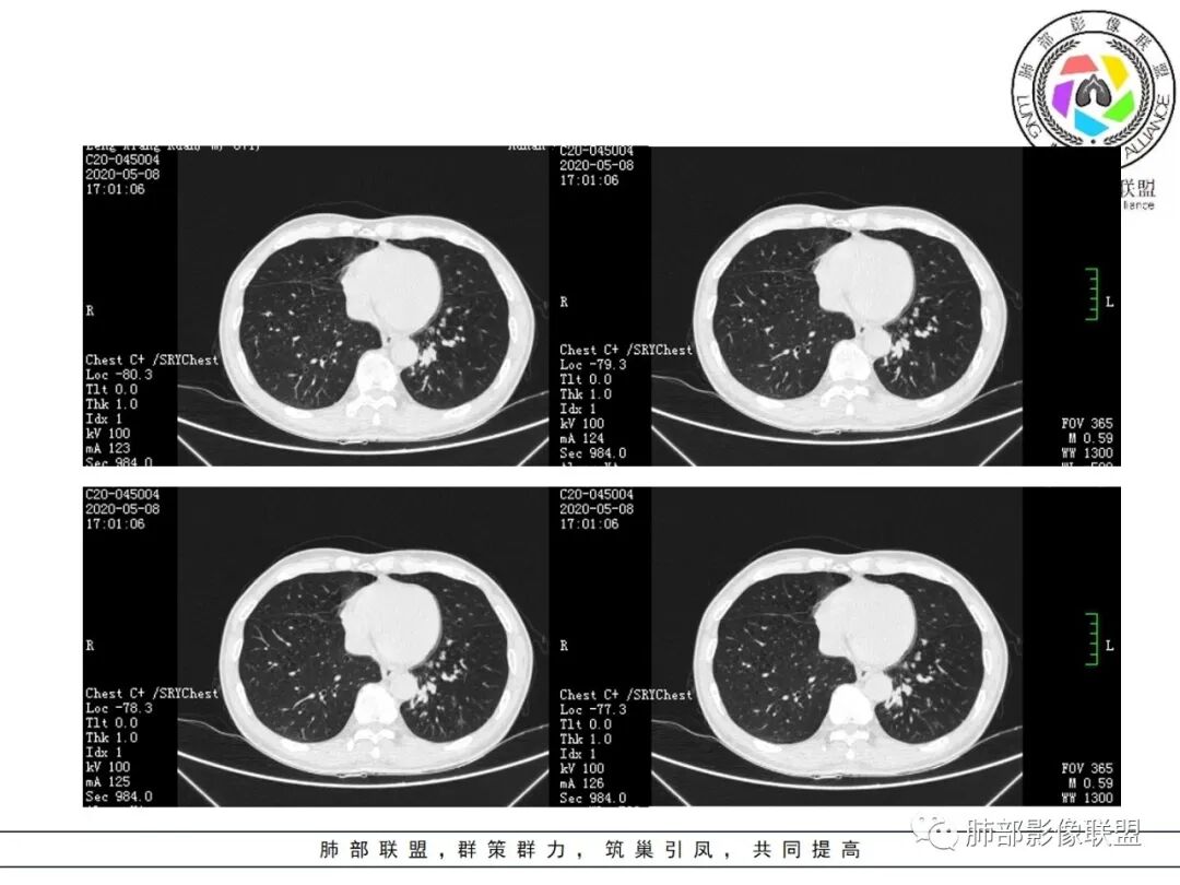
临床资料:老年男性,咳嗽咳痰2月余,慢性病史。有吸烟史40年(现已戒烟),抗感染治疗2周肺部病灶未见吸收。
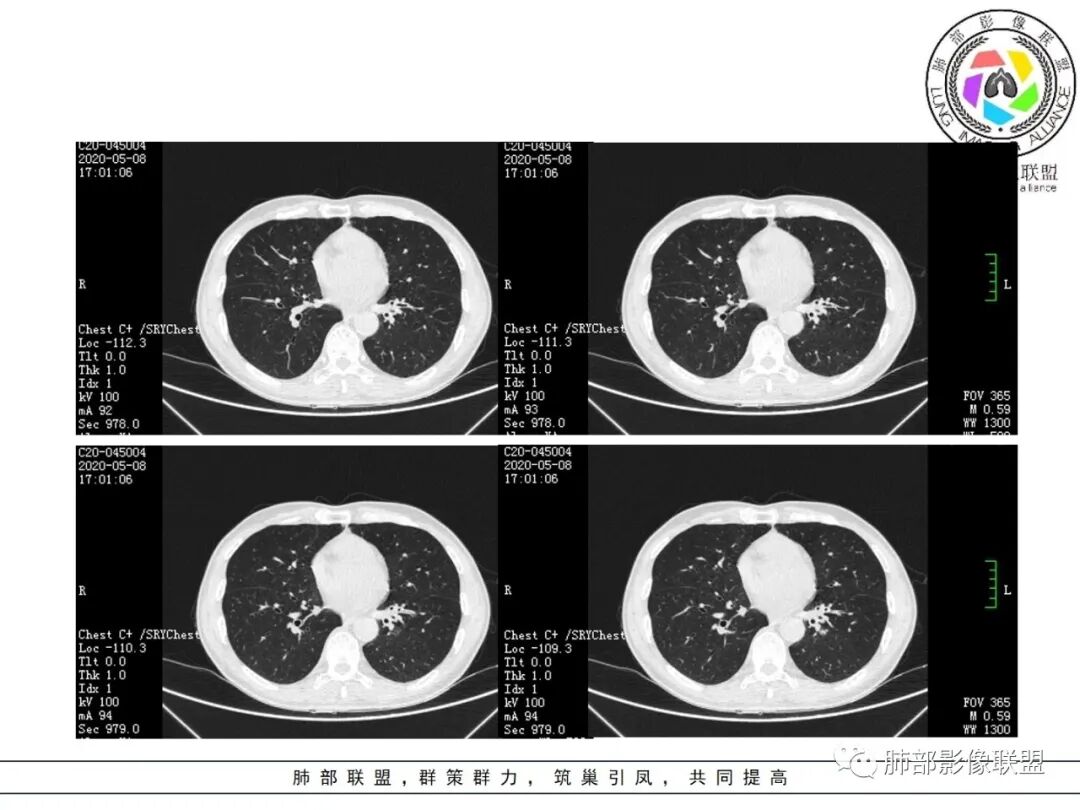
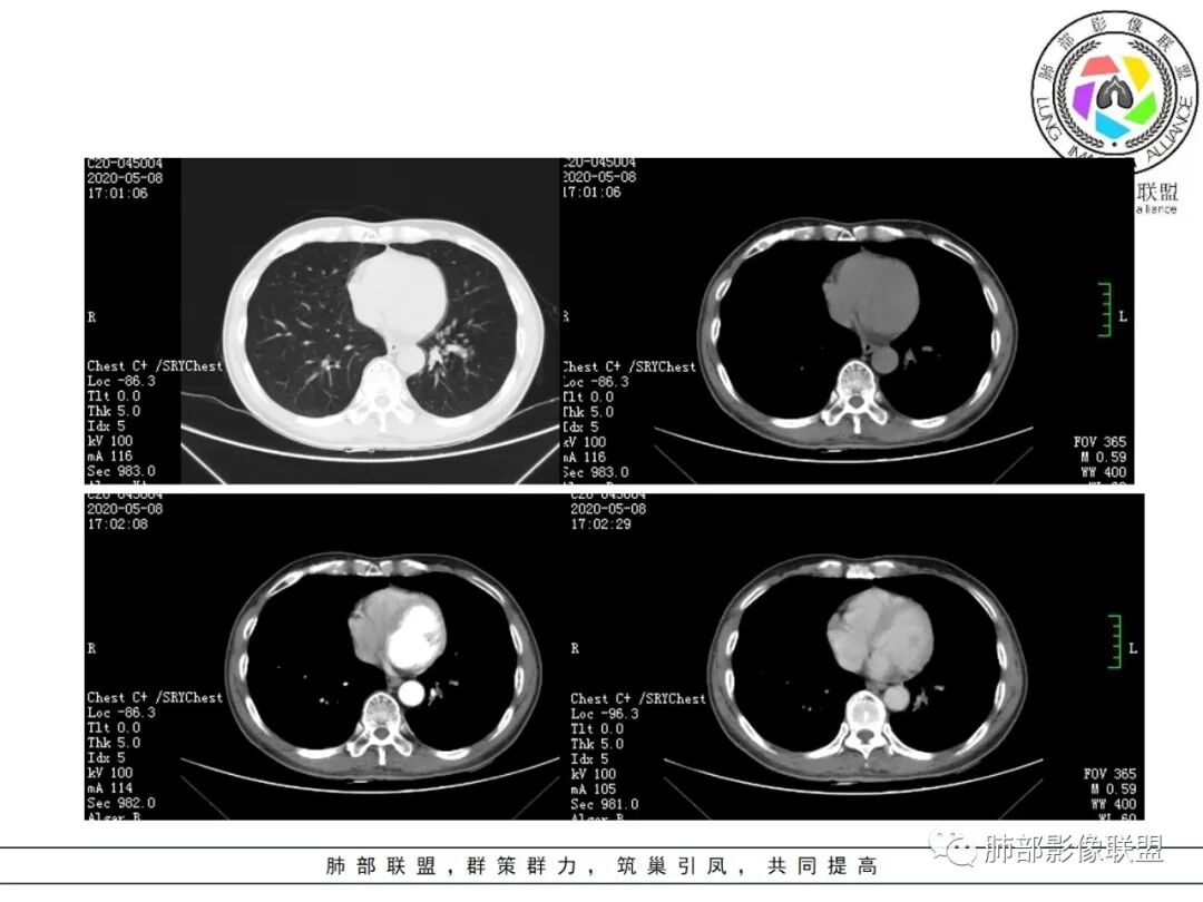
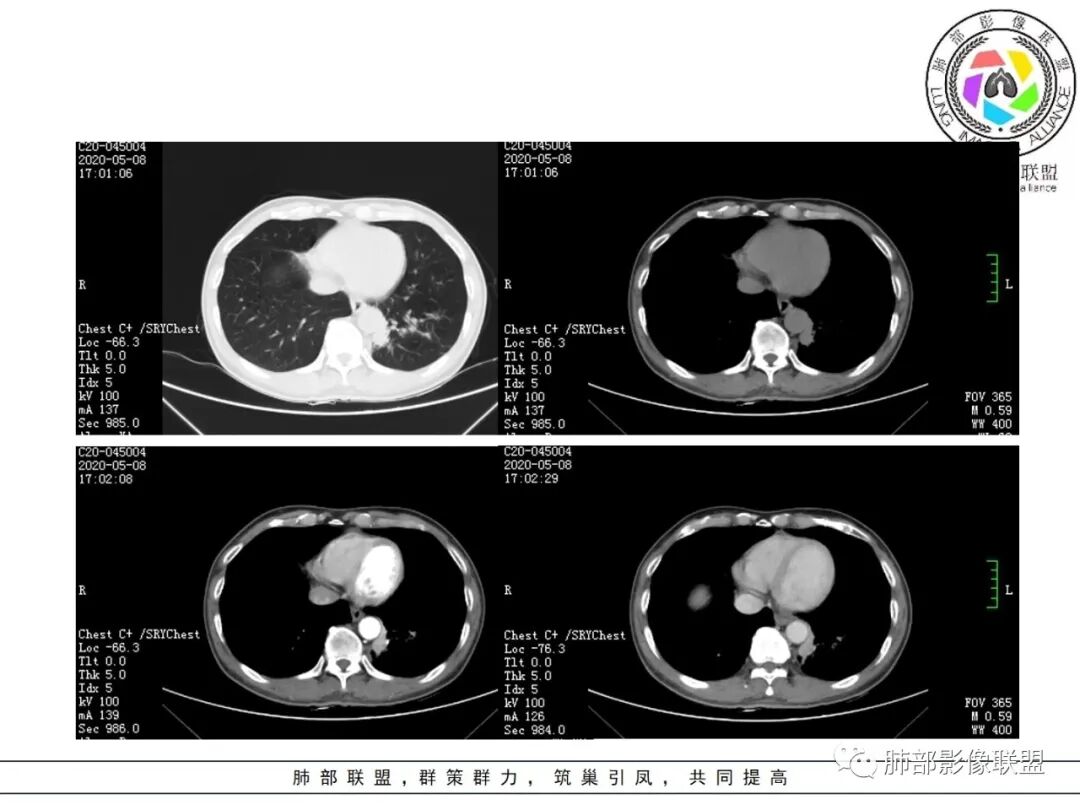
影像所见:

肺气肿背景。

结节伴分叶。

斑片影,考虑阻塞性炎症。

支气管壁厚,支气管腔内高密度影填充。

周围散在斑片影及结节影,类似“小花花草草”的感觉。

 本例小结及相关鉴别点
 
   1.关于病灶分布:本例多发小片影局限在左肺下叶,其他肺叶未见异常病灶。
   而肺结核表现为多灶性、多形态、多钙化性,本例前述征象均未见到,亦未见结核的典型树芽征。故肺结核缺乏支持点。
   2.关于支气管:上述病灶辖区外侧段支气管截断,环壁结节,远端阻塞性肺炎,是肺癌的重要征象。
    支气管内膜结核,易导致支气管较长范围壁增厚,管腔不均匀狭窄甚至狭窄后扩张,也会引起远端肺组织相应的改变,如含气不良、液性潴留等,但较少出现树芽征或新旧不等结节影。支气管镜检有助于鉴别。
    3.关于胸膜增厚:本例未见明显的胸膜凹陷及牵拉。病灶较小价值收缩力不强,同时因鳞癌的破坏力强,也抵消了肿块本身的收缩力。
   4.关于临床资料:老年男性,长期吸烟史,肺气肿背景,要警惕鳞癌的可能性。
   5.关于阻塞性肺炎:同一部位反复发生的感染,治疗效果不佳或反复发生,应仔细搜寻相关气道异常,警惕肿瘤导致阻塞性肺炎的可能。


编辑:李建丽 
审核:赵永兵  徐  晓
病例提供者:湖南省人民医院 张卫东
到顶部