【每日晨读】​放疗后骨肉瘤伴双肺转移


       
致谢病历提供老师: 郑昊宇老师
























































































精彩分析
了: 老年女性,直肠癌并骨转移,双肺多发类圆形结节影,边缘清楚,点状钙化,随机及胸膜下分布,考虑血道及淋巴道转移。

秦化君: 肺内多发随机分布大小不等,形态相近结节影,边缘光滑。右侧髂骨病理性骨折,骨质破坏,增生硬化,骨膜反应,软组织肿块(髂骨破坏不符合转移表现)。考虑肺内转移,来源髂骨恶性肿瘤或直肠癌。
?? 玫: 女,75岁,直肠癌术后放化疗5年后,双肺内及胸膜下见大小不等结节影,边缘光滑,双肺下叶少许间质性改变及条索影影,结合病史考虑考虑直肠癌肺内转移,右侧髂骨转移。

好好学习: 随机、类圆形,外周胸膜下分布为主,病史既诊断,首选肠癌肺转移

安吉木子何方李: 肺内多发病灶血道转移。病灶内有钙化,原发灶有疑惑

Kery Wang: 肺转移瘤,结合既往病史考虑为直肠癌骨转移、肺转移,肝内低密度影是囊肿吗?是否考虑转移灶?

小兜: 女,75岁,直肠癌术后放化疗5年,右臀部疼痛4月,加重半月。CT示双肺多发随机分布结节,边缘光滑。右侧髂骨混合性骨质破坏伴病理性骨折,周围软组织肿胀。结合病史考虑为直肠癌治疗后右侧髂骨及双肺转移>右侧髂骨恶性肿瘤伴双肺转移

陈学君: 双肺随机分布实性结节,右髂骨破坏,结合直肠癌病史,考虑转移瘤

宇宙: 老年女性,直肠癌病史,右髂骨骨质破坏伴软组织肿块及髂骨病理骨折,两肺内随机分布多发不等类圆形结节,部分结节有点状钙化,考虑右髂骨骨肉瘤伴肺内转移,鉴别直肠癌伴右髂骨及肺内转移

高兴就好: 双肺考虑转移瘤,直肠癌伴转移可能性大,髂骨首先考虑转移

一米阳光: 结合病史,考虑一元化,双肺及右髂骨转移瘤

放射线: 双肺多发大小不等结节影,边缘光滑,胸膜下分布为主,双肺下叶少许间质性改变及条索影,右侧髂骨溶骨性骨质破坏,骨皮质断裂(病理骨折),周围软组织肿块,直肠癌病史,考虑:双肺多发转移瘤,右侧髂骨转移。鉴别右侧髂骨骨肉瘤并肺内转移。

周太狼: 老年女性,直肠癌术后及放化疗后5年,右侧髂骨溶骨性骨质破坏伴周围软组织肿块,双肺散在多发大小不等结节影,边缘光滑,密度均匀,考虑恶性,常规考虑直肠癌伴右髂骨及双肺多发转移。鉴别右髂骨起源恶性肿瘤伴双肺转移

放射 小医生: 考虑髂骨转移性骨肿瘤(骨质破坏,局限性软组织肿块)并双肺转移(随机性分布多发结节)

飞鹰行动: 女,75岁,直肠癌术后放化疗5年后,双肺胸膜下见大小不等结节影,形态规则,边缘光滑,右侧髂骨骨质破坏,周围软组织肿块,结合病史考虑考虑直肠癌肺内转移,右侧髂骨转移。

大雄:

丽: 有直肠癌病史,双肺多发大小不等结节,部分位于胸膜下,并见点状钙化,另右侧髂骨骨质破坏伴软组织肿块、病理性骨折,一元考虑双肺及髂骨转移,鉴别右侧髂骨原发骨肉瘤,伴双肺多发转移

小飞: 老年女性,直肠癌病史,未行直肠癌根治术,肺内多发结节,边缘光整,胸膜下分布为主。右侧髂骨骨质破坏,增生硬化,骨膜反应,病理骨折,软组织肿块。考虑肺内及髂骨转移。

良孑: 双肺多发结节,随机分布,结节内可见钙化灶,右骼骨融骨性破坏,右臀部巨大软组织肿物,直肠癌病史,直肠癌肺内及右骼骨右臀部转移

看图说话: 直肠癌病史,双肺多发大小不等结节,边缘光滑,部分结节内见钙化,右侧髂骨溶骨性骨质破坏,周围软组织肿块,考虑右侧髂骨骨肉瘤并双肺转移,鉴别直肠癌双肺及右侧髂骨转移。

小锁: 看来还是转移瘤



飞杨: 结合病史考虑双肺及右髂骨转移瘤

红日东升: 老年女性,直肠癌术后5年,两肺多发结节,部分伴钙化,边缘光滑,右髂骨骨质破坏,随机分布,常规考虑转移

期 : 两肺多发结节,边缘光滑,随机分布,考虑转移

毛勤香: 有肿瘤病史,两肺随机分布结节,下肺为著,右侧髂骨骨质破坏并病理性骨折,常规考虑转移

蓝天白云: 肿瘤病史,双肺多发随机分布结节,右髂骨骨质破坏伴软组织肿块形成,考虑转移

洪桥爱: 既往肿瘤病史,CT提示双肺多发类圆形结节,随机分布,结节边缘清楚,大小不等,下肺相对密集,右髂骨破坏,诊断双肺血道转移瘤、右髂骨转移瘤

Yishion: 拿出来读的意义是?猜来自于直肠癌还是髂骨恶性肿瘤的转移灶?还是说肺上不是转移而是其他?不要最后来个隐球菌或者脑膜瘤之类的,然后全体翻车!不然一般常规考虑转移

张延军: 病史明确,直肠癌并双肺及右髂骨转移。二元论右髂骨恶性肿瘤并双肺转移

若晗: 老年女性,肺部转移没问题,感觉上右侧骼骨是原发的,考虑恶性,肉瘤可能

赵山河: 首先考虑直肠癌伴肺內及右侧髂骨转移,估计有坑;两肺散在结节,结节内见高密度影,可否考虑髂骨骨源性肿瘤伴肺內转移,比如骨肉瘤。

流心明智: 老年女性,直肠癌放化疗术后。胸部CT:双肺多发大小不等实性结节影,边缘光滑,随机分布,胸膜下多,双肺下叶为主,部分结节内有点状高密度,个别胸膜下山丘征。右侧骨盆骨质破坏(溶骨性、成骨性都有),病理性骨折,周围软组织肿块包裹,强化明显,内见多发模糊灶性坏死。考虑恶性,骨肉瘤伴肺转移?肺Ca伴骨转移?直肠Ca伴双肺、骨转移?鉴别骨髓瘤(成骨少),淋巴瘤(其他位置未见肿大淋巴结、肺内部分病灶有钙化趋势)等。

大雄: 转移瘤钙化多见于 骨肉瘤 软骨肉瘤 滑膜肉瘤 甲状腺癌 粘液腺癌




7-12晨读结果


joyzhy: 这个病人直肠癌放化疗五年,肿瘤科一直评估的是癌瘤控制好。怎么一下就髋痛加肺转移了呢。“是原发肿瘤转移?还是骨肉瘤转移?” 影像诸病灶考虑恶性没问题,但是要准确回答肿瘤科老师的疑问,很多影像老师应该都没有信心。个人觉得简单病例,也有不简单的知识点。故喜与盟友分享。下来查文献骨肉瘤和直肠癌关联,骨肉瘤和放化疗关联发现了“放疗后诱发骨肉瘤”这个知识点,对照病人病史和髂骨肿瘤,肺部钙化转移表现,诊断骨肉瘤并肺转移信心十足。后来病理活检也证实。
                病例小结
影像与临床:
1.老年女性,直肠癌术后放疗后5年,右臀部疼痛4个月,加重半月
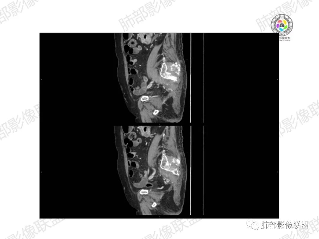
2.右髂骨轻度变形伴广泛骨质吸收破坏,边界不清且突破骨皮质。近中线区以溶骨性破坏为主,髂骨翼一侧则成骨性改变明显,骨表面见垂直骨针或花边样高密度瘤骨。
3.患骨多处皮质断裂,符合病理性骨折。注意折端可能会形成骨痂,但本例无论是形态还是部位都不符合骨痂。
4.患骨两旁(即盆骨内外)见边界不清的较大范围软组织快影,其间偶见骨化影。
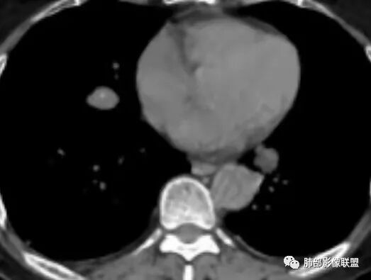
5.双肺多发类圆形结节影,边界清楚,随机分布,其间多见钙化密度影。
6.双肺门及纵隔未见肿大淋巴结。
7.扫描范围内双侧乳腺未见明显块影。
综合分析:
老年女性,右侧髂骨出现这样的影像学改变非常少见!
1.边界不清的骨质吸收破坏,溶骨明显,骨皮质突破,软组织肿块,种种迹象表明其恶性无疑!
2.但注意这是有“成骨”的恶性骨肿瘤!我们知道老年患者的骨原发性恶性肿瘤“成骨”非常少见。少数转移瘤可为成骨型或混合型,女性患者如乳腺癌骨转移等。在男性,最典型的成骨转移是前列腺癌。
本例右侧髂骨具有较为典型的“骨肉瘤”影像学特征,有边界不清的吸收破坏、有新生骨、形成软组织肿块等等。
3.双肺病灶符合转移瘤,伴有中央部分钙化者也以骨肉瘤转移较为多见。
4.“成骨肉瘤”绝大多数发生于青少年,发生于老年患者则往往见于其他因素,如诱发于畸形性骨炎(Paget病,本例影像不支持),骨照射、骨坏死等。其他如骨旁骨肉瘤等,发病年龄可以偏大。
本例非常具有临床意义,值得我们警惕!
 
提示:
1.在骨的原发性性恶性肿瘤中,“成骨”能力对骨肉瘤的判断具有举足轻重的重要意义。
2.“血清碱性磷酸酶”的升高对于骨肉瘤的判断具有相对重要的临床意义。

放疗后骨肉瘤相关文献









编辑:杨新娟
审核:徐  晓



到顶部