【每日晨读】双肺上叶多发薄壁空洞


致谢无锡五院 程亮老师

晨读病例




































1

精彩发言
一切∮随缘:
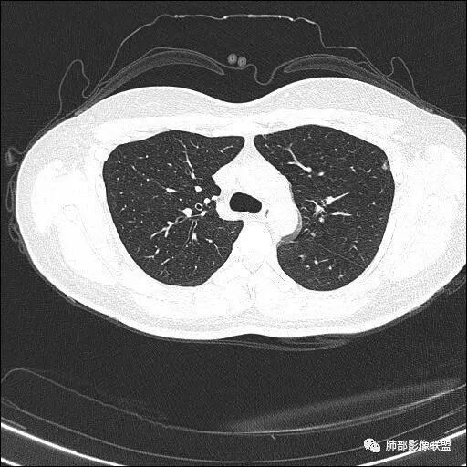
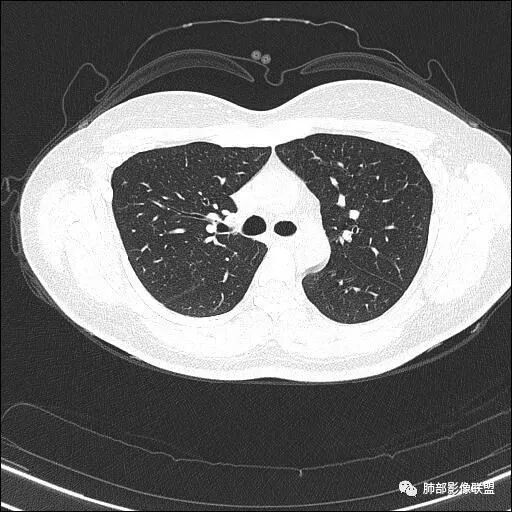
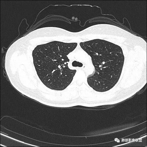
双肺上叶多发结节影及纤维索条影,部分结节内部可见空洞形成,形态欠规则,洞壁厚薄均匀,以胸膜下分布为主,多灶性,多态性,临床年轻女性,体检发现,考虑结核,寄生虫?NTM.
秦化君:
双肺上叶尖段分布为主多发囊腔伴斑点,斑片影,囊腔壁不规则,部分内见分隔。考虑结核可能
嘻嘻🤭:
两肺多发囊或空洞(部分腔内不干净可见间隔影)+多发结节 (右侧胸膜下的结节显著)+左肺尖斑片影。年轻女性,体检发现。考虑结核?鉴别PLCH(奇异囊加结节,吸烟男性多见),转移瘤(要有原发肿瘤病史)
放射线:
双肺上叶多发结节影,形态不规则,部分结节内部可见空洞形成,洞壁薄,胸膜下分布为主,年轻女性,体检发现,考虑结核
Kery Wang:
双肺上叶多发结节影,形态不规则,部分结节内部可见空洞形成,洞壁薄,胸膜下分布为主,年轻女性,体检发现,考虑朗格汉斯组织细胞增生症。鉴别NTM.LAM
飞鹰行动:
中年女性,体检发现, 双肺上叶多发囊腔伴斑点,斑片影,囊腔壁不规则,部分内见分隔,部分可见树芽征。考虑感染性病变,结核,NTM可能。
慎独:
中年女性,体检发现, 双肺上叶多发囊腔伴斑点,斑片影,囊腔壁不规则,部分内见分隔,部分可见树芽征。考虑感染性病变,结核,NTM可能;建议密切随访左上肺胸膜下囊性灶。
尘缘:
年轻女性,血常规正常,体检发现,影像表现:双上肺多发空洞及空腔样改变,薄壁为主,部分壁不规则,伴不规则分隔,疑似鬼脸征,多数位于胸膜下。诊断:1、隐球,年轻女性,体检发现,血常规正常,多数胸膜下,疑似鬼脸征,必须首先考虑。2、结核,发病部位支持,多发空洞样病变支持,但无临床症状,病灶形态太单一,无树芽征,可能性不大。3、PLCH,无吸烟史,无临床症状,可能性小。4、寄生虫,无嗜酸增高,无IGE增高,可能小,5、空腔性转移,无原发灶,年轻较小,暂不支持。6、多中心原发腺癌,空腔周围无明确边界清楚的GGO,年轻。可能小。7、NTM,无支扩,可能小。8、风湿类疾病,无相关病史,无相关自身抗体结果,暂不支持。综上,考虑隐球菌可能大。先查隐球荚膜抗原。必要时穿刺活检。
大雄: 青年女性,双上肺多发不规则薄壁空洞伴少许结节,部分洞内有分隔,病灶多位于胸膜下,无症状,血象正常。影像比较怪异,可能得疾病谱有:隐球,结核,寄生虫,NTM,类风湿结节,空洞型转移,PLCH结核无明显气道播散树芽,寄生虫嗜酸细胞不高,NTM无症状,类风湿结节与转移少见上叶优势分布,PLCH一般有吸烟史。综上,先考虑隐球菌,建议查隐球抗原
采莲: 青年女性,查体发现,实验室检查无异常,双肺上叶多发薄壁空洞,结节树芽征,虽然外带胸膜下多发,但还是首选考虑肺结核,其次隐球或NTM。一般NTM在中叶多见,支扩。隐球菌感觉结节少,本病人虽然多发空洞,但是以薄壁为主,且有的有纤维牵拉,疑似树芽征。所以结核放首位。
采莲: 31岁,女性,会有肺气肿?
尘缘: 肺气肿合并感染?这个感染不包括普通感染吧?没有临床症状,血像也正常。也没有提示炎性指标有异常。
风之子: 慢性感染可以症状不明显,炎症指标正常
采莲: 普通感染一般会有症状的,咳嗽,咳痰起码会有的。
King: 怪异的病例,临床也没啥支持点,分布上肺为主,胸膜下,囊腔,不甚干净,周围实性,临近胸膜厚,慢性病变。
感染性,NTM,TB。淋巴源性,淋巴瘤,CD,结节病。其他,内异症,没啥症状,转移性,原发未提。
怪怪的病例,一时难以确定,的慢慢查
吴婧wj: 肉芽肿形成,上肺分布+年纪,结核待排吧。但是拍死也不敢,提示一下可能还行
1

南边老师分析
南边:
女,31岁,体检
除了CT,其他均未见异常,检查项目有限
南边:
两肺多发病灶
分布特点:上肺胸膜下







南边:
图太少了,不连续,都是切面问一句:大家不觉得是沿间质分布的吗?网格状吗肿瘤不考虑吧如果单独拿这一个出来,要警惕肿瘤

全部拿出来,好像就不符合




局限,内部密度低





空洞不太符合
结核不支持,结核,如果空洞,内部干净,壁光滑这个不符合考虑肺气肿合并感染


肺气肿的基础上的话,结核就不能排除不是首选还是觉得符合慢性炎症自己能调节窗宽窗位就好,可以细致观察是否肺气肿


我觉得有密度差
1

病例结果

南边:
好像其他区域肺气肿不明显啊
觉得还是以网格为主,就是间质为主的特点
M-Imaging :
周围没有树芽,那就不是空洞,间质的肺结核了吧?
南边:
空洞不是
这种层面内部正常
看内部结构
密度稍低


我考虑肺气肿,是觉得内部纹理都在

只是稍膨隆,密度稍低高密度灶符合网状为主,所以朝肺气肿考虑


张延军:青年间隔旁型的不少见
1

                     病例小结
影像与临床:
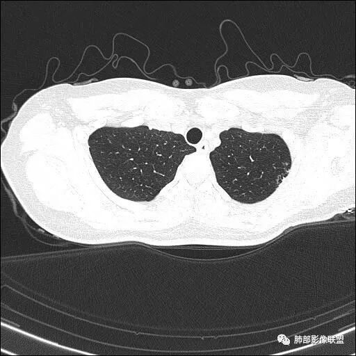
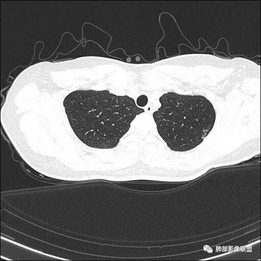
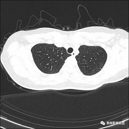
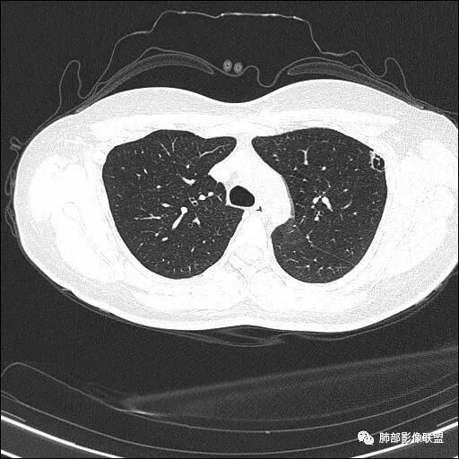
1.年轻女性,体检发现肺部病灶
血常规正常
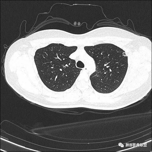
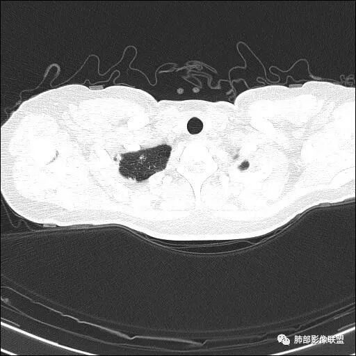
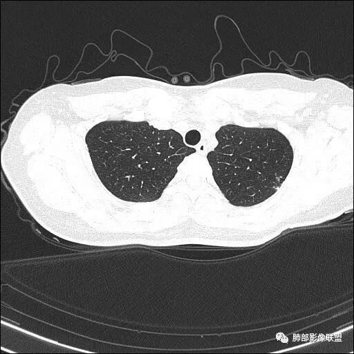
2.双肺多发薄壁空洞影、条索影及结节影,边界较清楚,密度偏高不柔和,散乱,但有成簇倾向或堆积感,胸膜下分布为主,双肺上叶分布为主。
3.空洞相当不规则,缺乏张力,未见血管穿行,未见壁结节,未见液平。
4.双肺门及纵隔未见肿大淋巴结。未见胸腔积液。
综合分析:
1.年轻女性,缺乏临床表现,多发空洞及结节影、条索影,上肺胸膜下分布为主,临床实践中常见肺病是什么?正如部分老师分析的—继发性肺结核!
至于临床表现,许多临床医师或许都会有这样的体会,相当部分的继发性肺结核患者,“发热”或其他中毒症状似乎在逐渐“淡出”人们的视野。
2.多发空洞可以见于如鳞癌等转移瘤,但年轻女性,缺乏随机分布特征,没有相关病史,可能性大大降低。
3.女性不吸烟,空洞分布特点、形态以及与支气管关系等都不支持PLCH等。
整理者:龙辉 湘西州人民医院
审核:蔡笑燕  徐  晓



到顶部