【每日晨读】肺部多发结节、肿块+鼻窦炎、中耳炎


致谢天津一中心医院 段建明老师

晨读病例资料





































                                                                   

精彩讨论
红日东升:
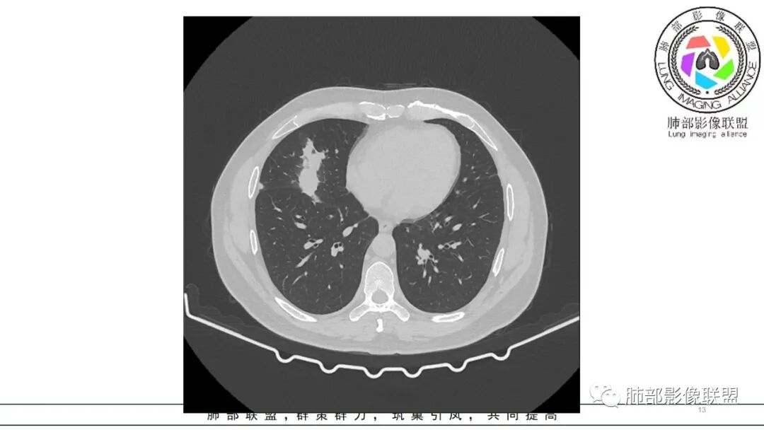
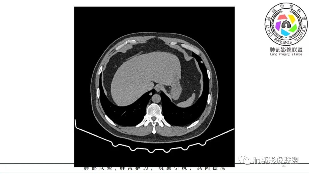
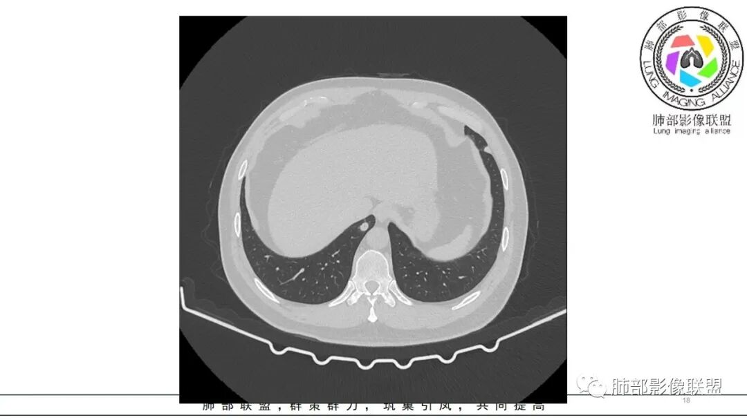
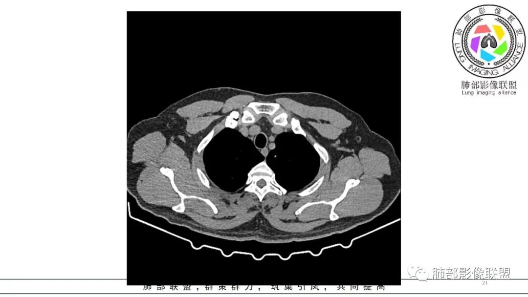
中年男性,咳嗽咳痰低热三天。右肺中叶、下叶条片状高密度影,局部边缘有晕,可见卫星灶。双肺另见多发小结节。考虑炎性肉芽肿,PC,鉴别GPA
大雄:
中年男性,咳嗽咳痰伴发热3天,有鼻窦炎、 中耳炎病史,血沉、 CRP 增高,中性粒稍高。
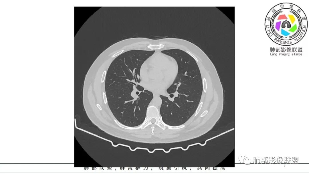
双肺多发实性小结节,边清,多位于胸膜下。右肺中叶不规则实变影,沿支气管血管束走行,似有跨叶。
此病例临床与影像比较割裂,难以统一。可能疾病谱:GPA,隐球,结核,NTM,肺癌并转移。
1、GPA(非感染性肉芽肿):有发热,鼻窦炎中耳炎,肺部多发结节,血沉及CRP高,可以支持,但尿常规无异常,血清总igE不高,建议查ANCA抗体,必要时活检。
2、感染性肉芽肿:隐球>结核>NTM>奴卡。影像都不太典型,多发胸膜下结节,会考虑到隐球的可能。结核分布有点奇怪,NTM与奴卡似乎没有找到宿主危险因素。查查隐球抗原与结核相关。
3、肿瘤:右中叶肺癌并双肺转移。年龄偏轻,影像也不典型。需结合肿标,穿刺活检。
好好学习:
分布有点怪异,多灶,胸膜下,外周小结节,中叶病灶跨叶,似乎与支气管垂直,不是平行关系,蠕虫样,周围渗出,内部坏死,血道来源?肿瘤不能解释,感染性肉芽肿炎不像,中耳炎病史,痰中血丝,GPA?寄生虫?嗜酸如何?查anca、肾功、寄生虫抗体
周太狼:
中年男性,咳嗽咳痰发热,鼻炎中耳炎,血沉高,右肺中叶条状高密度实变影,边界清楚 ,双肺散在小结节,部分小空洞,首先考虑GPA,鉴别结核
嘻嘻??:
双肺胸膜下多发结节,部分结节内可见空洞影。右肺中叶斑片影(类似指套征),并可见右肺中叶支气管壁增厚。看到病史的时候,看到鼻窦炎,中耳炎。想到如果与鼻窦炎相关,1.有GPA,但是GPA,典型是鼻,肺和肾的病变,有鼻窦炎,软骨受累,眼睛受累红肿等。晨读没有提到肾方面损害。另外,晨读的结节更多表现为血播,与支气管血管束关系不大。如果是GPA应该主要是与血管相关,与支气管血管束密切相关。2.和鼻窦炎有关的真菌感染,曲霉?但是肺内病变难以一元,右肺中叶与气道相关,双肺多发结节与血道相关。不是说一般气血难以兼容。还有就是如果是曲霉的指套,密度偏低了。3.按两肺多发结节方向考虑,隐球菌需要鉴别。总之,晨读隐球菌>GPA>真菌曲霉
小兜:
男,47岁,咳嗽咳痰发热三天,既往中耳炎病史。CT示双肺多发随机分布小结节,多位于胸膜下,部分伴小空洞,右肺中页不规则实变影,沿支气管血管束走行。实验室检查血沉,CRP增高。综合考虑为感染性病变,隐球可能,鉴别GPA
小锁:
中年男性,咳嗽咳痰、发热三天。
CRP及血沉高。
既往中耳炎病史。
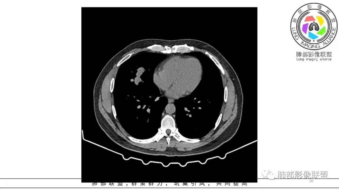
双肺多发结节,以胸膜下分布为主,形态相似,边缘较规整,少部分边缘晕征,无分叶毛刺;右肺中下叶多结节融合并实变影,边缘平直、U形征,跨叶。
病灶与支气管血管束无关,定位肺实质来源病变,考虑良性病变,炎性肉芽肿病变:隐球可能。
良孑:
急性起病,中耳炎病史,右中叶病灶呈蠕虫样,跨叶生长,水平裂牵拉移位,两肺胸膜下多发结节灶,血道来源,病史支持感染性,没有免疫抑制,无咯血不支持曲霉及血管炎,急性病史也不支持TB,右中叶病变呈蠕虫样,有点小细胞癌的征象,但小c转移常见的是肺门和纵隔,本例也不支持,综和考虑支持炎性肉芽肿GPA,鉴别PC
傅昌瑜:
中年男性,咳嗽咳痰低热3天,偶有血痰。有鼻炎、中耳炎病史。右中叶病灶呈指套样,跨右下叶,叶间胸膜牵拉移位。两肺胸膜下多发结节灶,边缘模糊见晕征,部分呈空洞结节。白细胞计数及CRP、血沉稍高。跨叶的指套样病灶有小细胞肺癌的影像特点,两肺多发结节,但近肺门、纵隔无肿大淋巴结,不符合小细胞肺癌的转移特点,考虑非肿瘤病灶。没有典型的多形态、未见树芽征,肺结核可能性小;两肺胸膜下病灶有晕征,存在隐球菌病可能,但右中下叶的主病灶形态在隐球菌病中罕见;有鼻炎病史,肺内病灶存在血管炎可能;患者为银行职员,应该经常接触纸币,有血痰症状,主病灶呈指套样,两肺多发晕征及空洞,存在曲霉菌感染可能。综上考虑肺曲霉菌病可能,鉴别血管炎、PC、TB。
雪狐7305:
右中叶病变+双肺多发胸膜下为主的结节,有中耳炎和鼻炎病史,似乎提示GPA,但是,右中叶病变像粘液栓,提示是气道来源,这个征象不大支持GPA。嗜酸不高,IgE不高,不支持ABPA和寄生虫感染,隐球表现有粘液栓征象的很少见吧?所以脑海里还没有搜索出更能解释这种影像的疾病,但总体印象,右中叶病变是气道来源病变,双肺胸膜下病变倾向于血道来源,病程较短,无典型恶性征象。抗菌素似乎有效,倾向于感染性病变,什么病原体?奴卡?结核?NTM?

吴婧老师分析
吴婧wj:
第一感觉血管炎
鉴别隐球菌
雪狐7305:
右中叶改变是粘液栓吗
吴婧wj:
好像不是粘液栓

吴婧wj:
有结节融合之感,类似隐球菌的融合
肉芽肿伴晕,分布符合。
不是气道分布:
吴婧wj:
然后这条,血管周炎的。。如果血流感染一般不是这个形态
他不是气血都可以,他是沿着血管周围的炎症
所以,位置都可以,但是形态可能会沿着血管的长
吴婧wj:
轴形成条状,或者包绕支气管周围。最后也容易有晕征,以及这个鼻炎。。
也可以排除,曲霉分布是不符合的,血流感染的细菌形态不太符合。
主要是形态,分布和晕征,+鼻炎这个提示
隐球菌,这个条状的一般会与胸膜平行,这一点不太符合,而且胸膜下结节分布太散没有融合,这一点不太像,所以排在第二位
病例结果
病理结果

文献复习
一、肉 芽 肿 性 多血管炎(granulomatosis with polyangiitis,GPA)是一种多器官受累的坏死性肉芽肿性血管炎,曾用名韦格纳肉芽肿病(Wegener granulomatosis,WG)。GPA 属于自身免疫性疾病,为抗中性粒细胞胞浆抗体(anti-neutrophilcytoplasmic antibodies,ANCA)相关性小血管炎 。GPA 病因尚不明确,其病理以血管壁的炎性反应为特征,病变主要累及小动脉、静脉及毛细血管,可侵犯上、下呼吸道和肾脏。临床表现多样,常表现为鼻窦炎、肺病变和肾病变,还可累及关节、肌肉、皮肤、眼、心脏、神经系统等 。(一)影像学表现肺部病变影像学有三大特征 :(1)多样性:病灶呈毛玻璃状、线状、结节状等多种形态的阴影。(2)多发性:在肺部中、下野可同时或先后出现多处病灶。(3)空洞性结节:部分患者的结节内可出现空洞(二)诊断标准目前,临床上仍广泛采用 1990 年美国风湿病学会制定的分类标准 :(1)鼻或口腔炎性反应:痛性或无痛性溃疡,脓性或血性鼻腔分泌物。(2)胸部 X 线片异常:胸部 X 线片示结节、固定浸润病灶或空洞。(3)尿沉渣异常:镜下血尿(红细胞 > 5 个/HP)或出现红细胞管型。(4)病理性肉芽肿性炎性改变:动脉壁或动脉周围,或血管(动脉或微动脉)外区域有中性粒细胞浸润形成肉芽肿性炎性改变。符合 2 条或 2 条以上时可诊断,诊断的敏感度和特异度分别为 88.2%和 92.0%。     GPA 患者中 ANCA 和 PR3 的特异度在80%~90%,其敏感度可反映疾病的活动性,急性活动期患者的 ANCA 阳性率高。虽然 ANCA 阳性并不是 GPA 的特异性诊断指标,但 ANCA 阳性的患者如伴有系统表现、上呼吸道症状,应高度怀疑 GPA。参考文献:[1]刘彧.肉芽肿性多血管炎的诊治.中国医师进修杂志[J].2010, 7 (40):667-669.
二、显微镜下多血管炎
显微镜下多血管炎 (microscopic Dolyangiitis,MPA )是一种主要累及小血管的系统性坏死性血管炎 ,可侵犯肾脏 、皮肤和肺等脏器的小动脉 、微动脉、毛细血管和微小静脉。常表现为坏死性肾小球肾炎和肺毛细血管炎。因其主要累及包括静脉在内的小血管,故现多称为MPA。(一)抗中性粒细胞胞质抗体 (ANCA ):约 80%的 MPA 患者ANCA 阳性 ,是 MPA 的重要诊断依据 ,也是监测病情活动和预测复发的重要血清学指标 ,其滴度通常与血管炎的活动度有关。其中约 60%抗原是髓过氧化物酶(MPO)-ANCA (核周型CANCA )阳性 。肺受累者常有此抗体 ,另有约 40%的患者为抗蛋白酶-3(PR3 )-ANCA (胞质型一ANCA )阳性 。约 40%的患者可查到抗心磷脂抗体,少部分患者抗核抗体 、类风湿因子 (RF )阳性 。(二)影像学表现胸部 X 线检查在早期可发现无特征性肺部浸润影或小泡状浸润影,、双侧不规则的结节片状阴影,肺空洞少见,可见继发于肺泡毛细血管炎和肺出血的弥漫性肺实质浸润影 。中晚期可 出现肺间质纤维化 。(三)诊断标准本病诊断尚无统一标准,如出现系统性损害并有肺部受累、肾脏受累及出现可触及的紫癜应考虑 MPA 的诊断,尤其是还有 MPO —ANCA 阳性者。肾活检及皮肤或其他内脏活检有利于 MPA 的诊断。部分患者需除外感染性心内膜炎。确定诊断之前 ,需与 PAN 和 WG 相鉴别。以下情况有助于 MPA 的诊断:①中老年 ,以男性多见;②具有上述起病的前驱症状 ;③肾脏损害表现:蛋 白尿、血尿或(及 )急进性肾功能不全等 ;④伴有肺部或肺肾综合征的临床表现;⑤伴有胃肠道、心脏 、眼、耳 、关节等全身各器官受累表现;⑥ANCA 阳性 ;⑦肾、肺活检有助于诊断。参考文献:[2]中华医学会风湿病 学分会.显微镜下多血管炎诊断及治疗指南.中华风湿病学杂志,2011,4(15):259-261.
三、嗜酸性肉芽肿性血管炎嗜 酸 性 肉 芽 肿 性 多 血 管 炎(eosinophilic granulomatosis with polyangiitis,EGPA)与肉芽肿性多血管炎、显微镜下多血管炎因在患者血中检测到抗中性粒细胞胞质抗体(ANCA)而统称为ANCA相关血管炎(AAV),是临床最常见的一类系统性坏死性血管炎,而三者中EGPA最少见。EGPA以与支气管哮喘和嗜酸性粒细胞增多密切相关为最突出的临床特征,但可出现鼻、神经系统、肾脏、心脏、消化道等多器官受累 。EGPA的发病机制尚不明确。虽属于AAV,但仅有不足40%的患者体内可检测到ANCA,表明除ANCA外,更多的患者是通过其他机制发病的。(一)影像学表现肺部游走性或一过性肺浸润影是EGPA的特征学影像学表现之一。以磨玻璃影、小结节影、气道壁增厚或支气管扩张为表现。(二)实验室检查1、外周血和呼吸道嗜酸粒细胞:外周血嗜酸粒细胞增多是EGPA的特征之一,但其血嗜酸粒细胞的绝对值低于特发性嗜酸粒细胞增多症(IHES),可出现于病程的任何阶段。诱导痰或支气管肺泡灌洗液(BALF)中嗜酸粒细胞明显升高也是重要特征之一。2、ANCN:ANCA的检测必须同时采用间接免疫荧光法和酶联免疫吸附测定法。若中性粒细胞胞质的免疫荧光检测为阳性,称为胞质型ANCA阳性(c-ANCA);若中性粒细胞的细胞核周围免疫荧光检测为阳性,称为核周型ANCA阳性(p-ANCA)。用ELISA发测定时,c-ANCA阳性者丝蛋白酶-3(PR3)抗体阳性,即PR3-ANCA阳性;p-ANCA阳性者,髓过氧化物酶(MPO)阳性者,即MPO-ANCA阳性。但是ANCA阴性时不能排除EGPA的可能性。参考文献:[3] 陈婧,李菁,杨云娇,等.嗜酸性肉芽肿性多血管炎146例患者临床特征分析.中华内科杂志 ,2020,5(59 ):360-365.[4] 嗜酸性肉芽肿性多血管炎诊治规范多学科专家共识编写组.嗜酸性肉芽肿性多血管炎诊治规范多学科专家共识.中华结核和呼吸杂志, 2018, 7(41): 514-521.
编辑:杨宏刚
审核:蔡笑燕  徐  晓
病例提供:天津一中心医院 段建民






到顶部