【每日晨读】这样的前纵隔占位如何分析?



致谢李运建老师
病例资料










精彩发言
一切∮随缘:
晨读:右肺上叶胸膜下实变影伴有肺大泡(结核?),前纵隔一实性肿块,骑跨主动脉生长,病变侵犯压迫腔静脉,平扫密度均匀,增强扫描均匀强化,内部可见低密度小坏死区无强化,考虑:淋巴瘤,鉴别胸腺癌(坏死偏少)
冥冥之中:
前纵隔占位,位置偏上,呈多结节融合,部分囊变,累及上腔静脉,老年男性。
疾病谱,胸腺瘤或癌,淋巴瘤,副节瘤
多中心起源,轻度强化,不支持副节瘤;腔静脉受累,不支持淋巴瘤。
考虑恶性,侵袭性胸腺瘤B3或胸腺癌
?? 玫:
晨读:男,60岁,面部肿胀一月入院,前纵隔见不规则形实性肿块影,病灶骑跨主动脉生长,部分层面与腔静脉分界欠清晰,增强扫描病灶轻度强化,病灶内见少许坏死,考虑侵袭性胸腺瘤,鉴别淋巴瘤。
小兜:
晨读:男,60岁,颜面部肿胀1月入院。CT示右肺上叶条索影及实变影伴局部支气管扩张,肺大泡(陈旧性肺结核?)。前纵隔可见实性肿块,骑跨主动脉生长,平扫密度不均匀,内部可见低密度区,增强扫描渐进性不均匀强化,可见坏死区,上腔静脉受侵,考虑为恶性,侵袭性胸腺瘤或胸腺癌>淋巴瘤
大雄:
老年,前纵隔实性占位,中心生长,轻中度强化,少许坏死,侵犯上腔、无名静脉。
考虑恶性:胸腺癌>高危胸腺瘤
直接侵犯上腔、无名静脉大血管,淋巴瘤和胸腺瘤的可能性都比较小,更多见于胸腺癌
飞鹰行动:
晨读病例:男性患者,60岁,面部肿胀一月入院,影像表现,前纵隔实性肿块影,密度均匀,部分层面与腔静脉分界欠清晰,增强扫描病灶轻度强化,病灶内可见低密度无强化区,上腔静脉受侵犯,右侧肺门,纵膈淋巴结增大,考虑恶性病变,胸腺癌>侵袭性胸腺瘤,鉴别淋巴瘤。
  
青藤之凉:
老年,前纵隔实性占位,中心生长,轻中度强化,侵犯上腔、无名静脉。右肺病变为陈旧病变。考虑恶性:侵袭性胸腺瘤可能,鉴别淋巴瘤
大雄:
“侵袭性胸腺瘤”的说法其实已经不太用了
现在,一般将A、AB、B1作为低危胸腺瘤,B2及以上作为高危胸腺瘤,而不再用侵袭与非侵袭去区分胸腺瘤
傅昌瑜:
晨读,老年男性,面部肿胀1月余。前纵隔肿块,边缘膨隆,见分叶,整体较均匀强化,内见小坏死,侵犯周围大血管,考虑恶性,胸腺癌可能性大。
月亮圆了!:
面部肿胀(腔静脉阻塞综合征),前纵隔实性肿块,密度均匀,分叶,病灶内多个低密度区,与腔静脉分界不清晰,增强病灶轻度强化,肺门,纵膈淋巴结增大,胸腺癌?
南边老师分析
●老年男性
●前纵隔占位明确
●上腔静脉侵犯明确
●定性恶性明确
按理到了这里应该是完成任务了
临床对于病理,应该会病检,临床想知道的是与周围结构的关系,是否有远处转移
我们影像提供了这些应该可以了
读片想去分析一下,了解病理类型

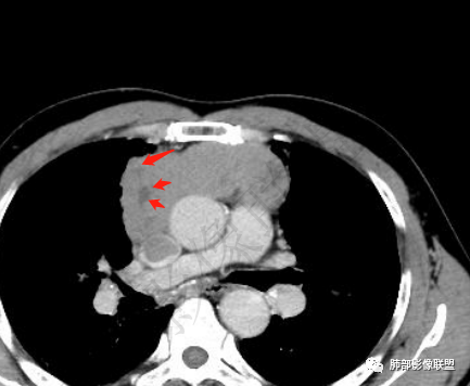
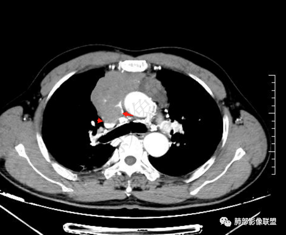
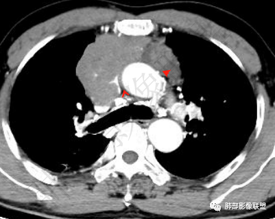
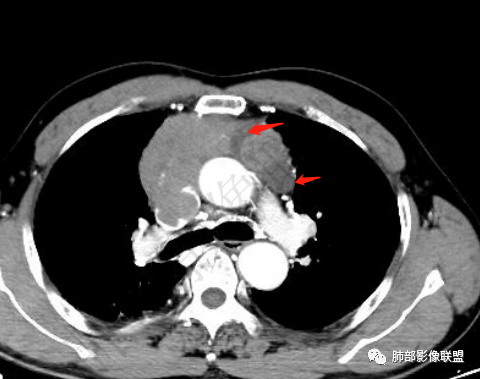
▲上腔静脉内瘤栓

▲病灶骑跨在主动脉前缘,主动脉包绕
下面没提及右心房,估计没累及。

▲左侧边缘有强化的病灶,似乎符合坏死或囊变、或有粘液类物质。内部似有裂隙、坏死。坏死边界偏清。

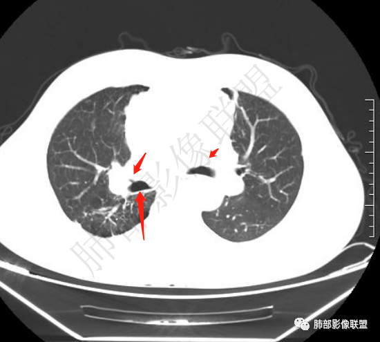
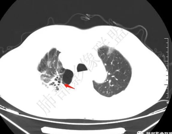
▲右上叶、下叶胸膜下为主的斑片实变影,局部结构变形。支气管后移。支持慢性炎性病变,结核可能。从这个角度分析:纵隔肿瘤与肺部病灶关系不密切。
前纵隔肿瘤,恶性,哪些可能?
1、胸腺类:癌,最多见鳞癌
2、淋巴类:淋巴瘤
3、生殖类:内胚窦瘤、精原细胞瘤、畸胎瘤恶变
4、神经类:恶性神经鞘瘤
5、其他:脂肪肉瘤、异位来源病灶、转移瘤
生殖,年龄大了一点,几率比较低
神经类:不是好发部位,几率比较低
其他类几率也比较低
但是说完全排除也不敢
常规鉴别:胸腺类、淋巴瘤
病理结果

           
    
回顾性分析
影像与临床:
1.老年男性,面部肿胀一月余。(没有上肢肿胀记载)
2.上纵隔增宽并见不规则块影,密度不均,轻度不均匀强化,隐约见液化密度区。
病灶边界不清,轻度分叶,后方部分紧密包绕升主动脉且侵入上腔静脉及左无名静脉末端,相应上腔静脉及左无名静脉管壁不完整。
3.右肺上叶体积缩小并见边界较为清楚的条片影及结节影,密度较高且不均,期间显示支气管扩张。
4.右肺门及纵隔见钙化淋巴结。
5.双侧胸腔未见积液。
综合分析:
1.面部肿胀的临床表现很难让我们不联想到胸部的恶性肿瘤,如肺癌对纵隔的侵犯。
2.右肺上叶病灶,纤维硬结灶及支扩等,应该存在时间较长。
3.影像表现不复杂,上纵隔胸腺所在区域边界不清肿块影且侵入上腔静脉及左无名静脉等,具有较明显的恶性生物学行为。
4.综合分析更符合胸腺癌肿,原发可能性较大。
5.病理报告B2胸腺瘤出乎意料,应当囿于取材限制,而非手术大体病理。
小结
     胸腺上皮性肿瘤包括胸腺瘤和胸腺癌,而前者是前纵隔最常见的肿瘤;现目前多采用1999年WHO胸腺肿瘤组织学分型,按病理类型可分为6个亚型,即A、AB、B1、B2、B3及胸腺癌,又根据肿瘤的侵袭性和复发性将胸腺瘤分为低危型胸腺瘤(A、AB、B1)、高危型胸腺瘤(B2、B3)和胸腺癌;“良性胸腺瘤”的概念不符合医学实践,即使A型胸腺瘤也存在复发和转移的风险,所以现在胸腺瘤均为恶性肿瘤,都具有潜在复发和转移可能,只是恶性程度不一。
      胸腺癌是发生在胸腺的恶性上皮性肿瘤,可分为低度恶性肿瘤和高度恶性肿瘤,鳞癌、基底段细胞样癌、粘液上皮样癌属于低度恶性,其他类型如淋巴上皮样癌、肉瘤样癌、乳头状癌、透明细胞癌、未分化癌等为高度恶性,其中病理类型以鳞癌最为常见。
     因为有时候影像不好鉴别胸腺瘤的亚型,尤其少数B3型跟胸腺癌鉴别仍存在困难;那如何大致辨别低危型胸腺瘤、高危型胸腺瘤跟胸腺癌呢?我们主要从肿瘤的轮廓形态、肿瘤内部的成份(囊变坏死、钙化、纤维分隔等)、周围组织侵犯情况(胸膜、血管、心包、肺、膈神经)、有无纵隔淋巴结转移及远处转移来综合分析,为疾病的治疗及预后是有重要价值的。
  胸腺瘤/胸腺癌的影像分析
1.轮廓形态:
包膜完整、边缘光滑、规则---低位胸腺瘤;
边界不清、边缘不规则、分叶---高危胸腺瘤和胸膜癌;
2.内部成分:
a.多数密度均匀,少见囊变坏死,见纤维分隔影及钙化---多见于低位胸腺瘤,而且纤维分隔影以AB型显著, 实质性钙化多提示AB型及以上,A型钙化多发生于被膜钙化,呈蛋壳样;
b.密度不均匀,囊变坏死多见,纤维分隔影少见,有钙化---多见于高危胸腺瘤及胸腺癌以上,尤其大片囊变坏死多见于B1型以上胸腺瘤跟胸腺癌;钙化多见于肿瘤实质内,非边缘区,多发的泥沙样、微钙化及多形性钙化多见于B2、B3型;
(随着侵袭性的增强,纤维分隔影会逐渐减少)
3.周围及远处情况:
a. 纵隔脂肪线清晰,无胸膜、血管、心包及肺情况,罕见纵隔淋巴结肿大及远处血行转移--低危胸腺瘤
b. ①纵隔脂肪间隙模糊、胸膜、心包侵犯、膈肌受累--见于高危胸腺瘤及胸腺癌,但是心包侵犯多见于B3胸腺瘤跟胸腺癌
   ②纵隔大血管侵犯、肺转移、膈神经麻痹、淋巴结转移及远处血行转移---多见于胸腺癌,B3胸腺瘤罕

END
编辑:谢壁樯、赵永兵
审核:蔡笑燕、徐晓



到顶部