【每日晨读】HIV相关的机会性感染


致谢:南昌市第九医院放射科 雷凤老师
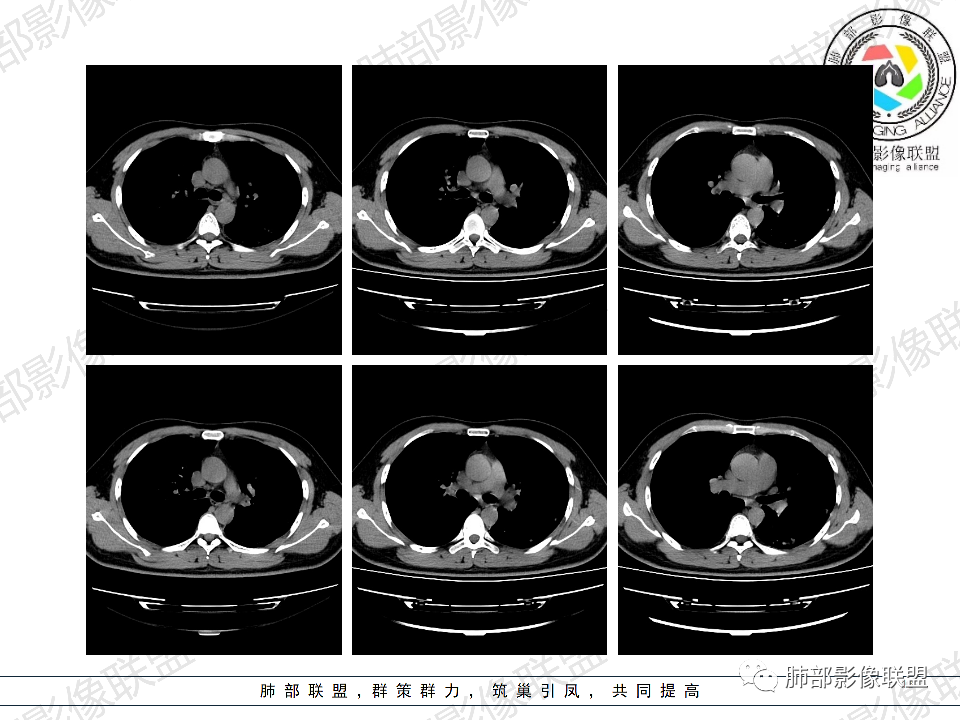
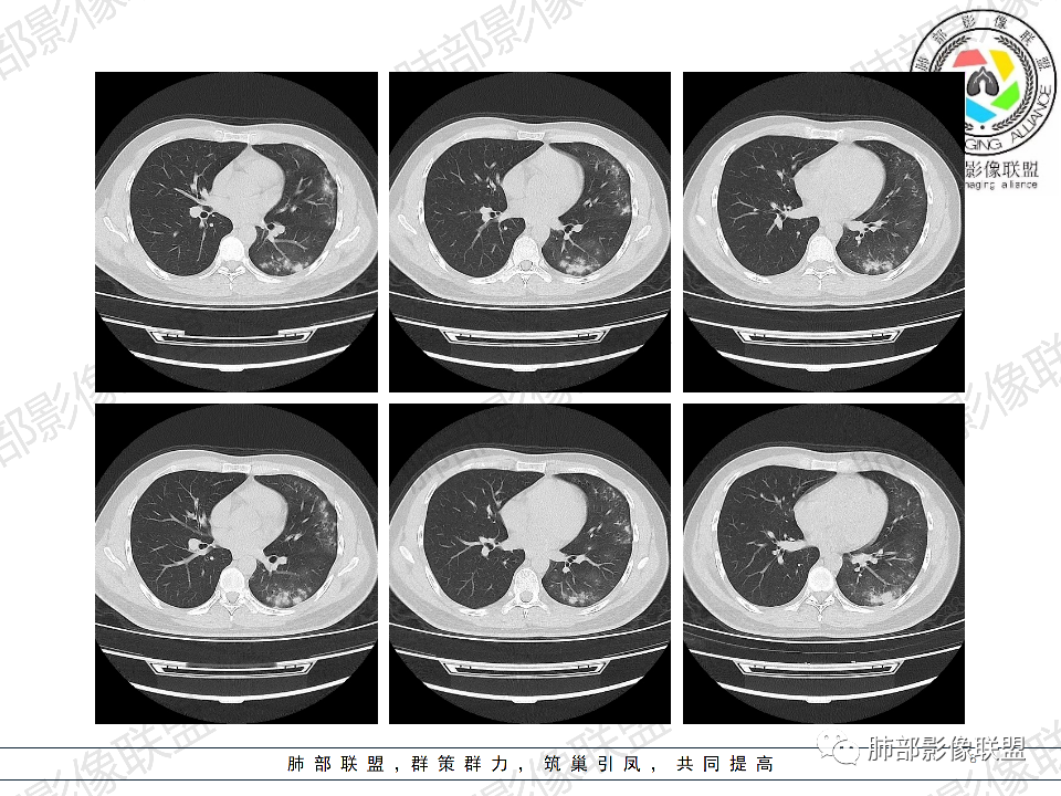
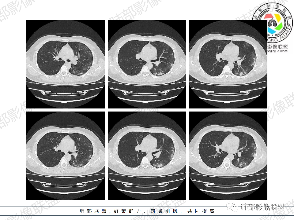
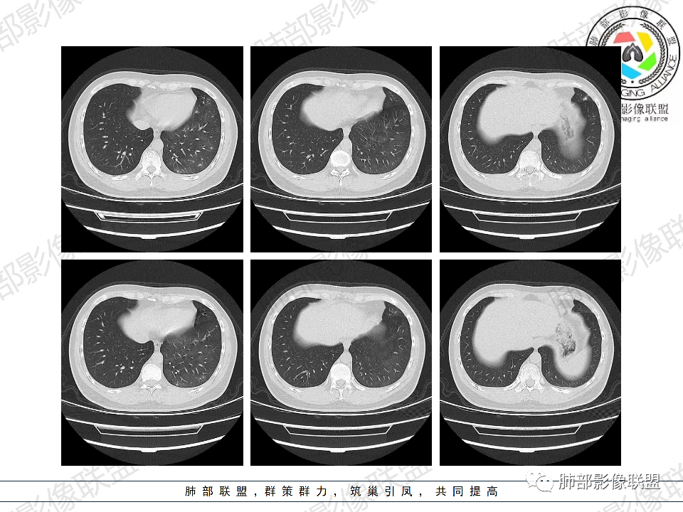
病例资料



















微信群精彩讨论
一切∮随缘:
年轻男性,有HIV病史,免疫力缺陷病史,CD4明显减低,左肺胸膜下多发大小不等结节影,部分侧向融合,平行于胸膜,周围伴有模糊的GGO,部分结节与血管相连,血管束增粗,考虑隐球菌,建议查隐球菌荚膜实验,脑脊液隐球菌荚膜,鉴别:CMV(局限性比较少见)
淋巴瘤样肉芽肿。(分布不符合)
结核(形态单一)
GPA。
飞鹰行动:
年轻人,男性,HIV阳性,双肺多发斑片状,结节状阴影,以胸膜下分布为主,病灶与支气管血管束垂直生长,周围可见磨玻璃影,考虑肉芽肿病变,隐球菌感染可能性大,鉴别GPA,胞子菌肺炎。
大雄:
HIV机会性感染
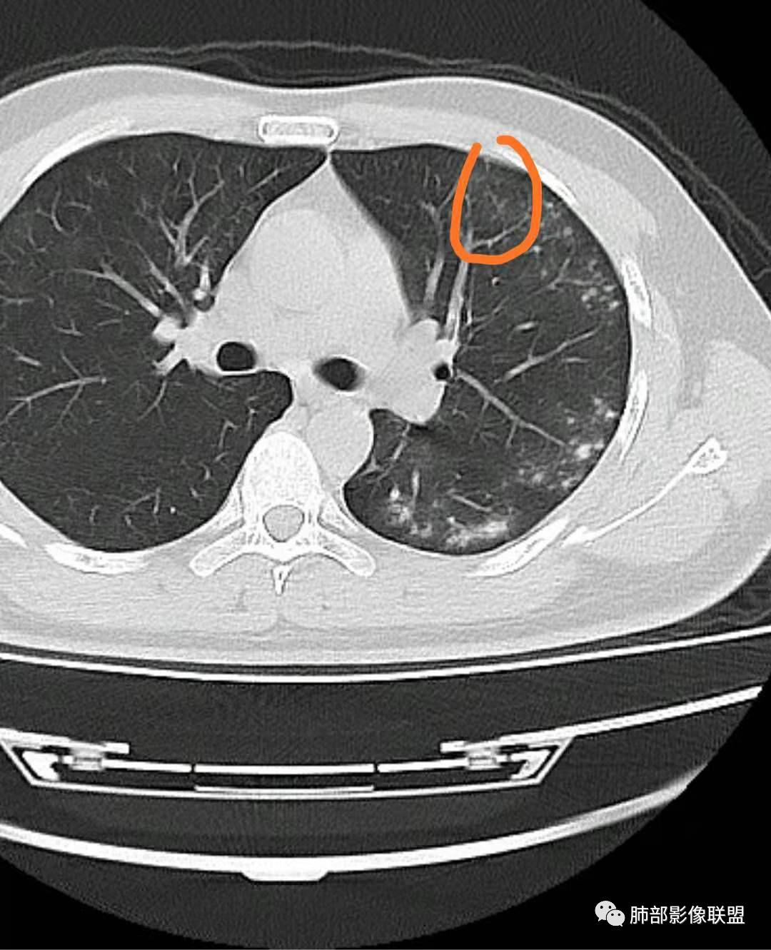
双肺胸膜下多发大小不等结节伴晕征,部分似有融合
隐球菌首先会考虑,
不过临床主诉是胸闷气喘,似乎不好用隐球解释,倒更像PCP,但影像又不符合
放射线:
左肺多发大小不等结节影,部分融合,胸膜下分布为主,平行于胸膜,周围伴有磨玻璃晕,考虑隐球菌,鉴别:PJP
Yishion:
从影像上来看更像隐球菌,从临床病史来看更支持PJP,反正不考虑肿瘤性病变
那个人:
小艾,临床症状不重,CD4基本么得了。不发热,无头痛,无血流动力学障碍。常见疾病普,PCP,结核,奴卡,NTM,隐球菌,病毒,特殊地理位置还有马儿,影像隐球最像,得进一步完善相关检查
小兜:
年轻男性,HIV阳性,胸闷喘憋,双肺胸膜下多发斑片结节影,周围伴晕,部分融合,白细胞低,CD4明显减低,考虑机会性感染性病变,隐球>PCP>结核
go and see:
这样的Cd4如此低,病情那么久了,隐球菌的话,脑子应该出问题了,但是患者没有中枢神经系统受损表现,马尼入血后可以出现呼吸困难。诊断真菌性机会性感染没问题,还是马尼>隐球菌。
吴婧wj:
hiv的隐球菌
但是有没有两种,很难说,隐球菌,合并pcp待排
若晗:
HIV阳性的年轻男性,白细胞缺乏,肺部CT示多发小结节分布,无发热,以胸闷,气促为明显,首先考虑感染,以真菌可能性大,倾向隐球
月亮圆了!:
HIV阳性,CD4极低,双肺胸膜下多发斑片·结节阴影,有融合,PC首先,派pcp
尘缘:
青年男性,HIV阳性,白细胞及淋巴细胞显著降低,CRP增高,胸闷气喘一周,影像为双肺胸膜下平行于胸膜分布的多发大小不等结节伴晕,单从影像上看,隐球是要首先考虑,但是不好解释临床症状。需要鉴别:1、曲霉所致IPA,临床有粒缺基础,胸闷一周要考虑,但影像不是典型的血道或气道分布又存疑,2、马尼,CD4低,HIV基础,要考虑,但是否有旅广史?另外纵隔淋巴结无肿大,肝脾不肿大,可能稍小。3、PCP,HIV基础,CD4低,胸闷气喘要考虑,影像分布不典型。4、腺病毒或EB病毒感染,HIV基础,影像改变要考虑,但是发病无发热,存疑。5、结核,临床与影像均不典型。可能小。综上,隐球>曲霉>PCP>马尼>病毒感染。下一步,查隐球荚膜抗原,NGS找病原体。
大雄:
符合隐球,  但是和平时看的隐球也不太一样  ,粟粒结节更多了一些,范围更散了一些。应该和HIV有关
尘缘:
影像表现符合隐球的,唯一只是临床症状重了一些
吴婧wj:
隐球菌可以没有症状,也可以很重
病理结果

后续讨论
嘻嘻🤭:
我们科里读片的时候,也是觉得主诉特别像PCP的主诉。但是影像学表现,双肺胸膜下多发小结节,结节周围带晕,蘑菇兄弟手拉手,有的结节侧向融合整体与胸膜平行。影像符合隐球。我们科里艾滋合并隐球菌真正确诊出来的很少。所以要说总结HIV合并隐球的病例特点,我没有发言权
早上有老师提到,说肺里这么多病灶,又是HIV免疫缺陷,一般会合并隐脑。但是我暂时还没发现同时合并隐脑的。
老师们最多鉴别的是马尼。马尼主要还是纵隔淋巴结,腹膜后多发淋巴结,肝脾大。我收集的病例还是以淋巴结肿大显著,有的时候双肺可以干净的很,可能就在一个角落里孤立的一个空洞
嘻嘻🤭:
@吴婧南京市第一医院 吴老师,是树芽吗?

吴婧wj:
不明显
丁啸:
这种合并隐脑概率很大的
但是隐脑临床表现隐匿缓慢,
琦遇:
肺隐球菌多分布在肺野外带或胸膜下区域,下叶多见,可能余隐球菌更容易在胸膜下肺泡中定植或蔓延有关;显示腺泡结节,然后取决于宿主免疫,可以入血,然后血播
今日晨读有证据显示血播了吗?
我想问的是今日晨读病例影像上是气道结节还是血道结节?请老师们解惑!个人感觉是气道为主的
吴婧wj:
不是血播。是肺实质的肉芽肿
肺泡,肺实质内
其实,部分支气管也有。但是主要在肺泡内
如果是血播是随机分布,他这个是胸膜下
大雄:
不是血道,就是直接吸入到远端肺泡
今天这个没有血播依据
尘缘:
隐球结节的实质隐球菌自气道来,然后在支气管远端(呼吸性细支气管及肺泡)以及肺实质形成炎性肉芽肿结节
隐球菌肺炎诊断要点
1、宿主:生活及工作环境中有无鸽子及鸟禽接触史,有无免疫缺陷背景(艾滋、化疗、器官移植、激素及免疫抑制剂使用史)。
2、类型:常见有孤立肉芽肿型、肺炎实变型、混合型(多发结节/实变/空洞)、弥漫粟粒/间质型。免疫正常宿主多表现为孤立肉芽肿型,也可以表现为肺炎实变型或混合型。免疫缺陷宿主则容易肺内播散形成多发(结节、实变、空洞)或弥漫粟粒/间质型,可累及中枢系统并发隐球菌脑炎。
3、症状:免疫正常宿主发病率越来越高,临床表现各异,大部分患者感染隐球菌无明显呼吸道症状或症状轻微,少部分表现为急性下呼吸道感染症状,免疫缺陷患者则可能表现为重症肺炎伴呼吸衰竭。部分患者以胸痛就诊。
4、实验室:血象一般正常,少数可出现白细胞升高;G及GM试验阴性;隐球菌荚膜多糖抗原试验阳性(特异性高,敏感性各异)常提示诊断。
5、分布:病灶分布多位于胸膜下,可紧贴胸膜,也可与胸膜邻近,病灶长轴与胸膜平行。(划重点,分布特点非常重要)
6、支气管和血管:支气管通畅或进入后堵塞,增强可见血管造影征或血管影消失。
7、强化:增强强化程度各异,从轻度到中度强化均可。明显/显著强化相对少见。
8、晕征:病变早期可出现磨玻璃晕征,为周围炎性渗出或肺间质受累。
9、坏死:可无坏死,也可凝固性坏死,出现空洞,空洞可规则光整呈类圆形,也可以为不规则厚壁,或出现“鬼脸征”。
10、“葫芦兄弟”:邻近胸膜多发结节,形态密度类似,可簇状分布,较少多形性,没有新旧不等。
11、收缩力:张力往往较低,少数较明显且伴有胸膜牵拉。
12、少见征象:少见胸水、树芽征、液化坏死、明显钙化、空气新月征、腺泡结节。

END
编辑:刘权威
审核:蔡笑燕  徐  晓


到顶部