【每日晨读】上肺有强化的“指套征”


致谢病例提供:张凤霞老师
立秋




凉风有信,—叶知秋
夏天还没离开
秋天就这样急匆匆地走来
“立秋凉风至”通常是北方人才能体会到的幸福
南方往往还是“秋后一伏热死人”
并且雨水不断,除了热,还有湿的困扰



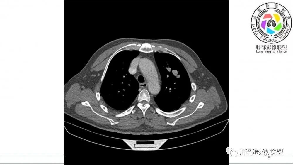
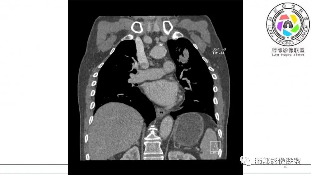
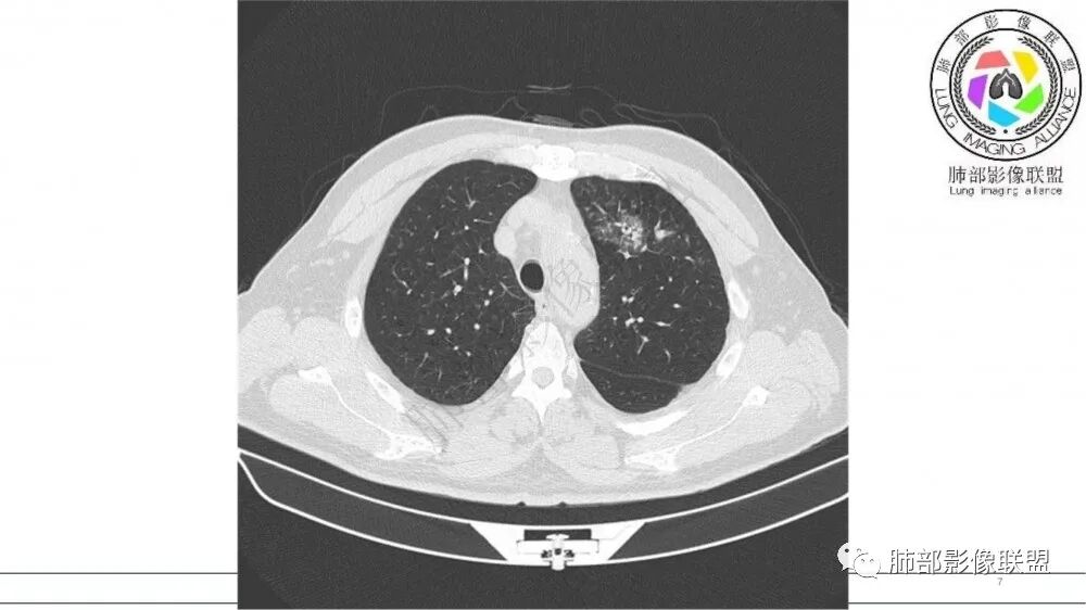
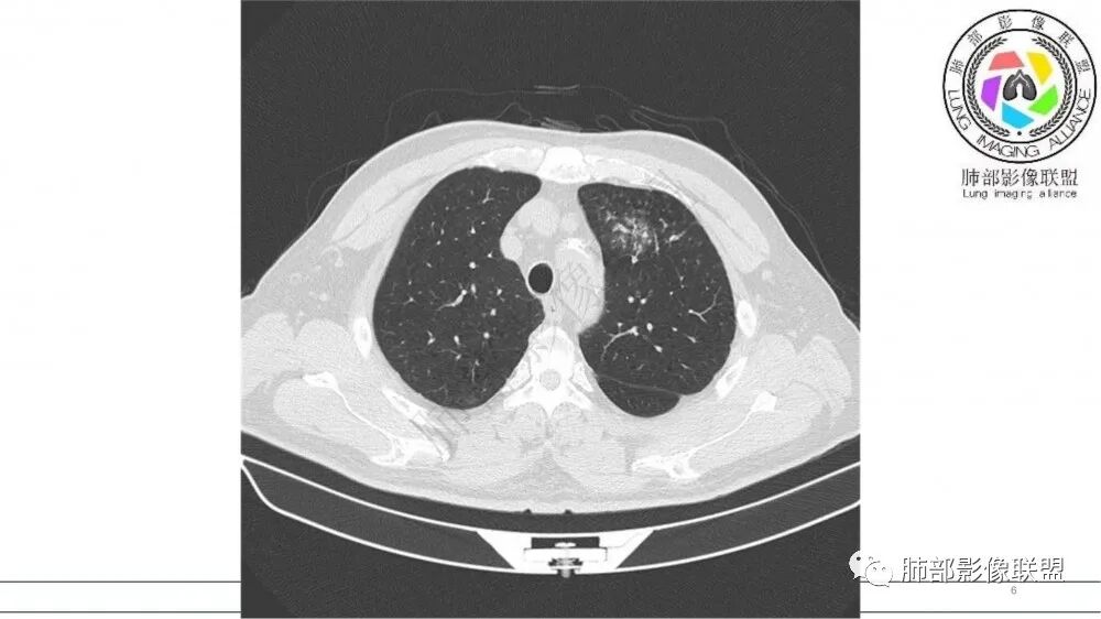
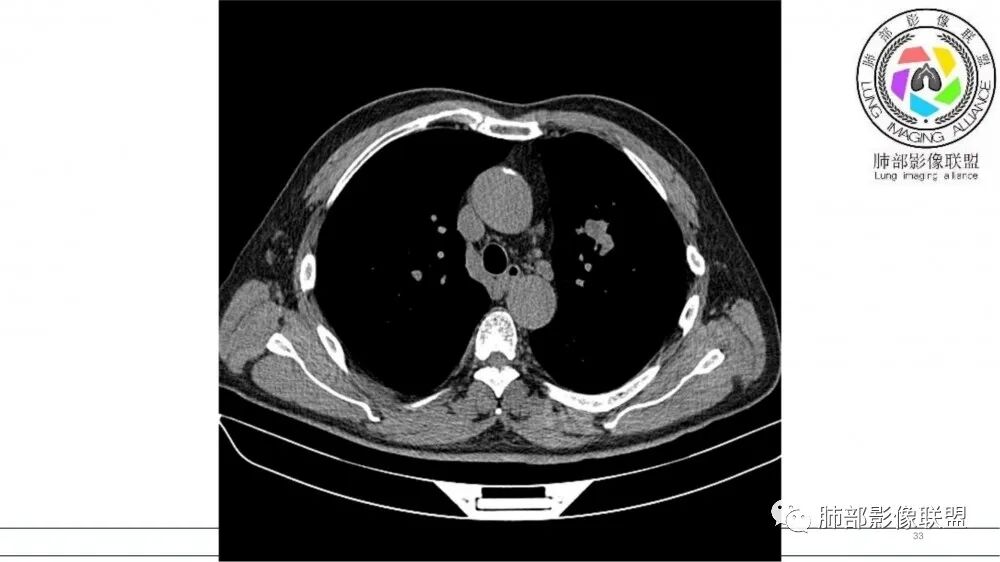
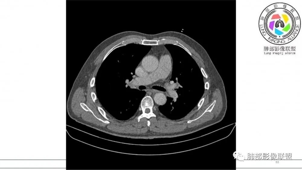
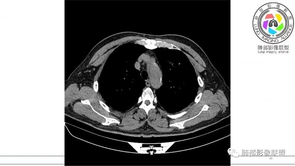
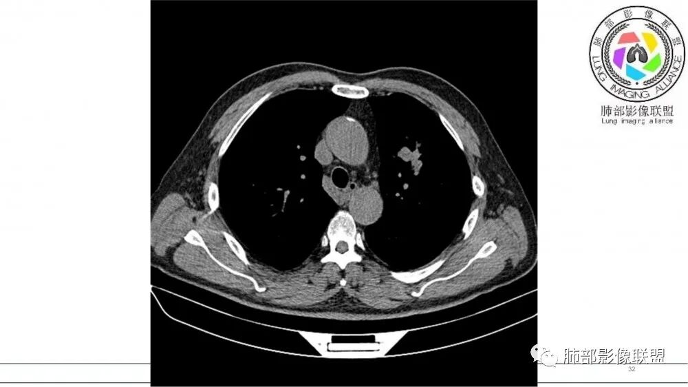
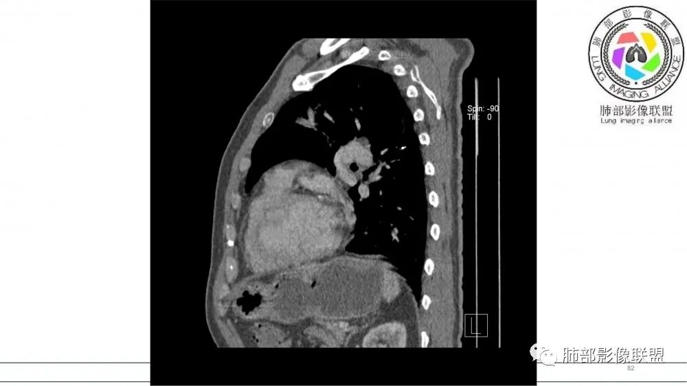
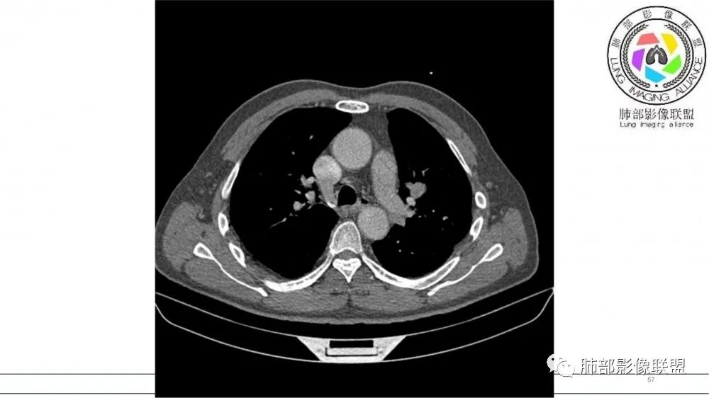
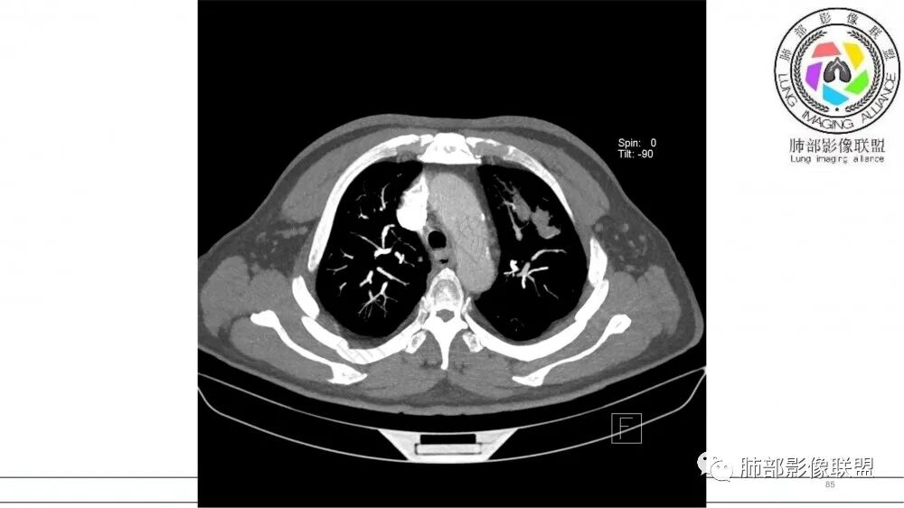
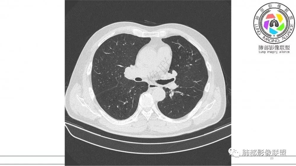
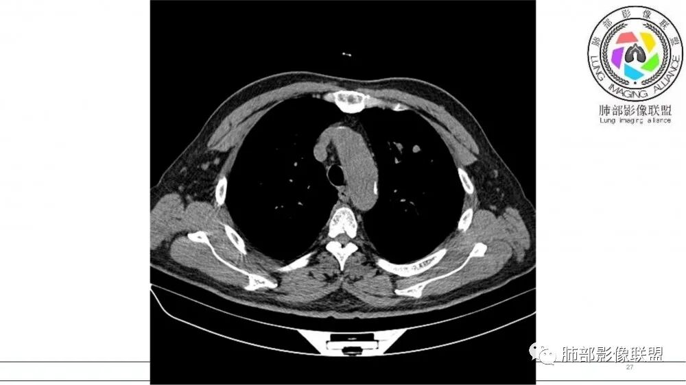
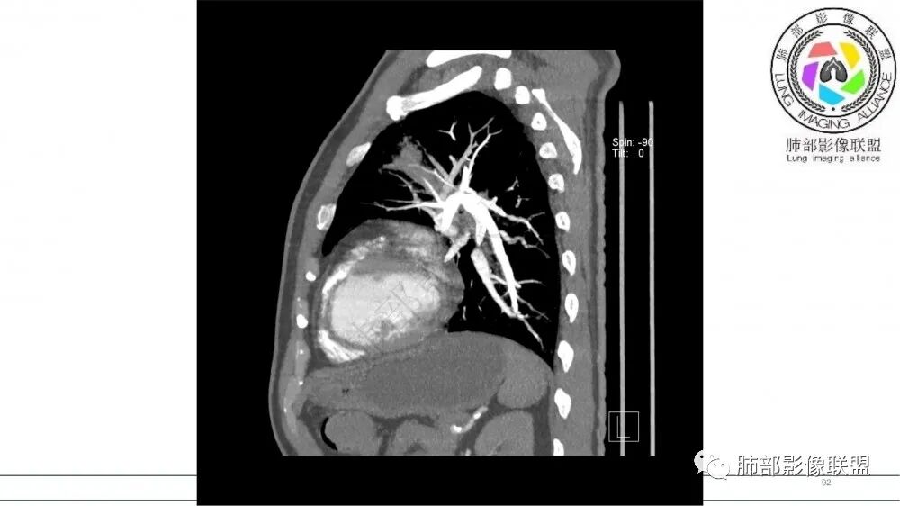
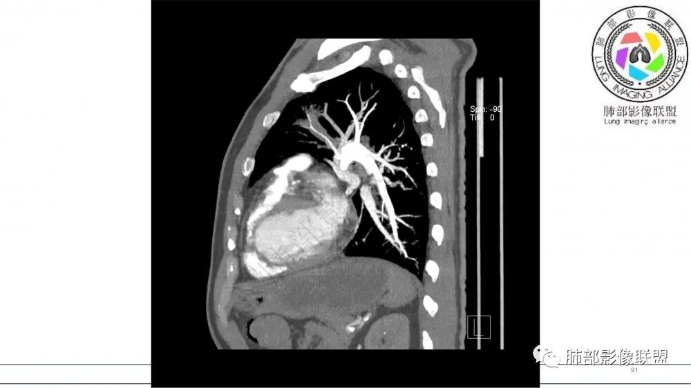
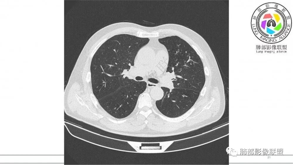
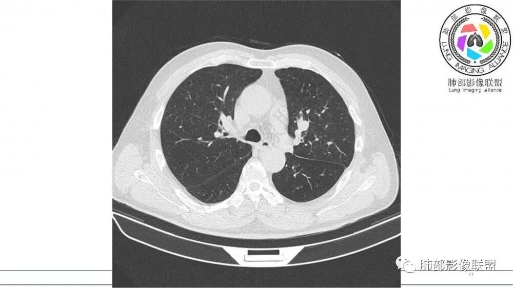
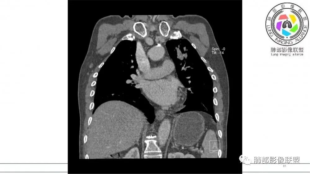
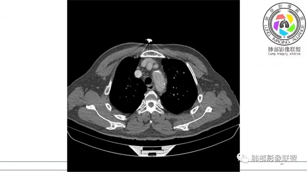
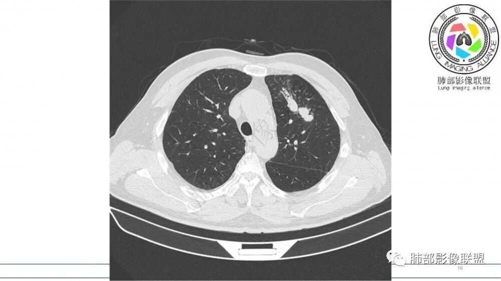
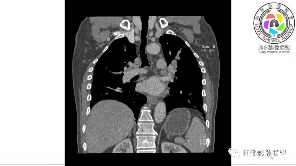
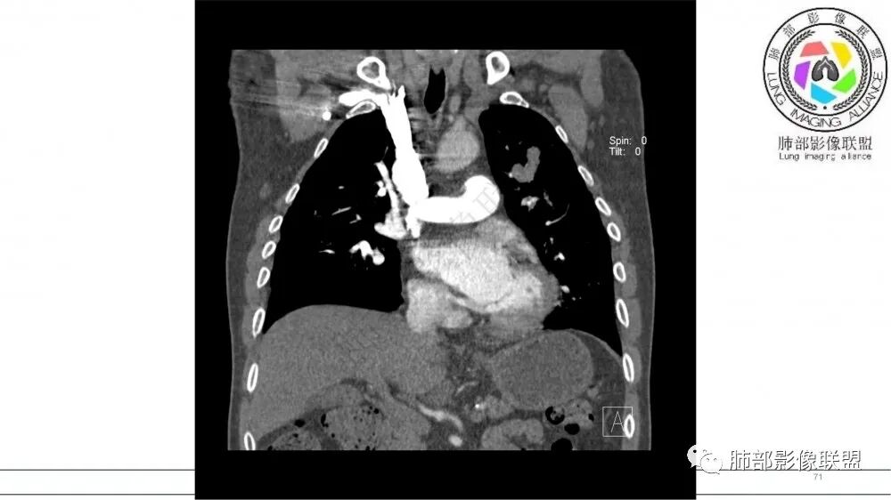
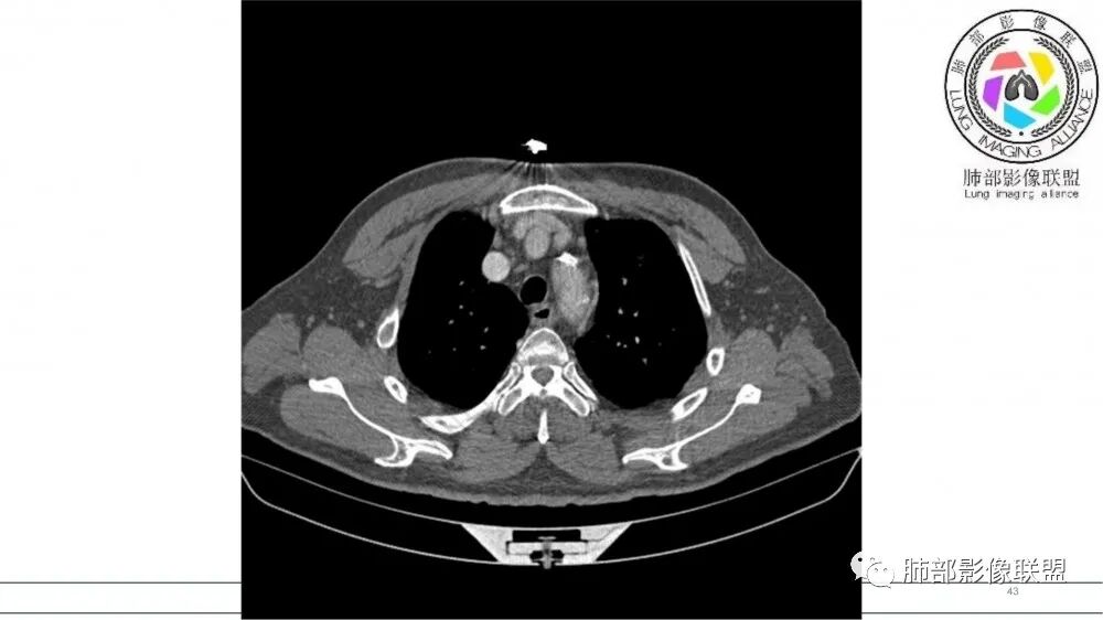
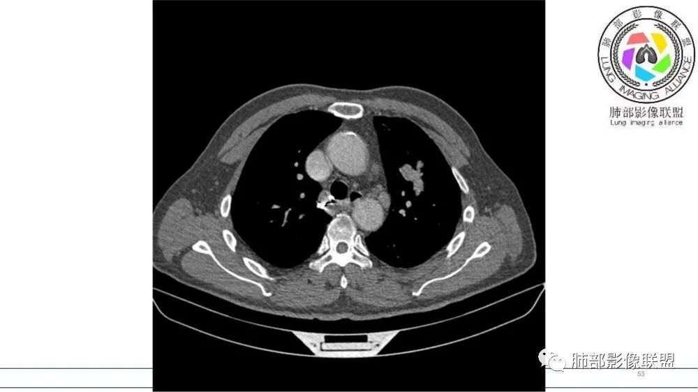
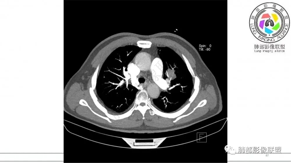
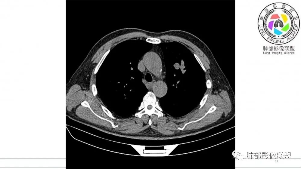
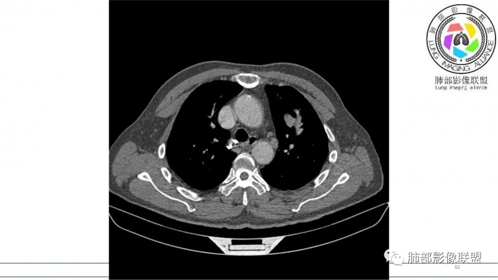
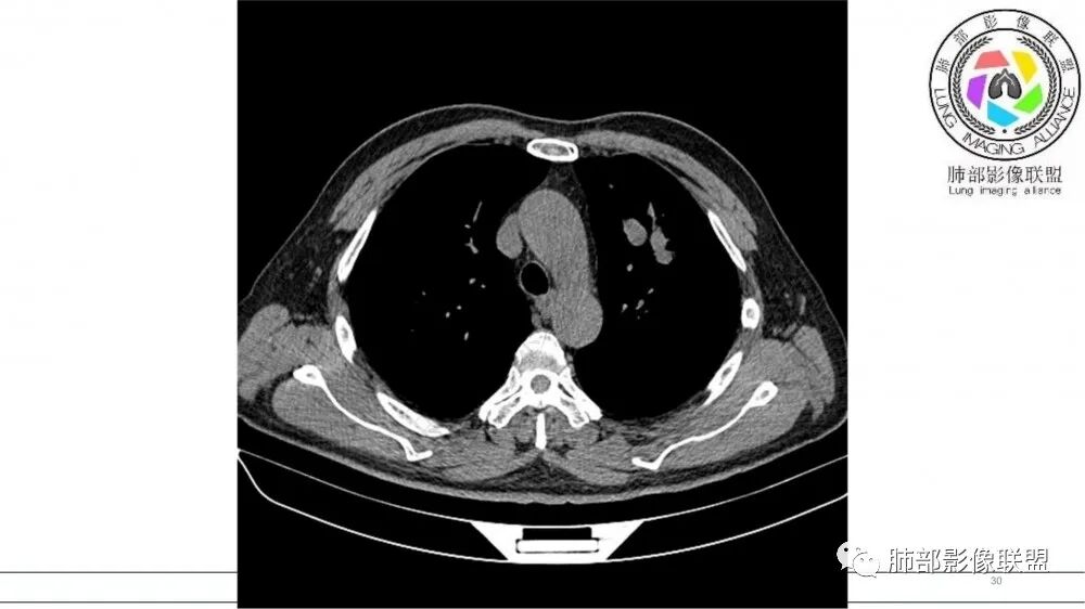
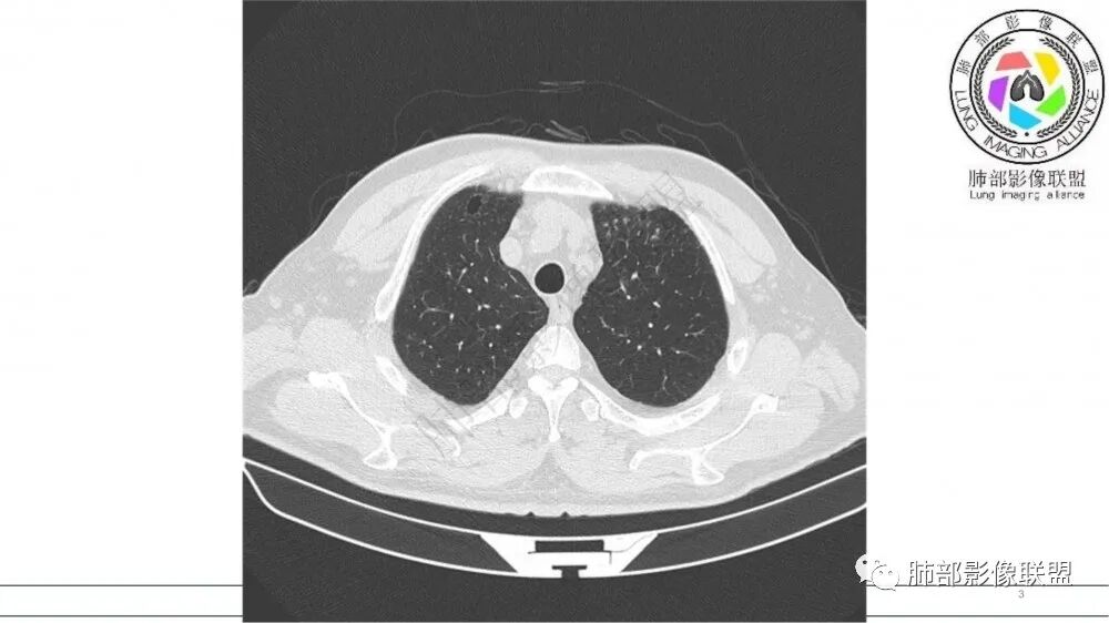
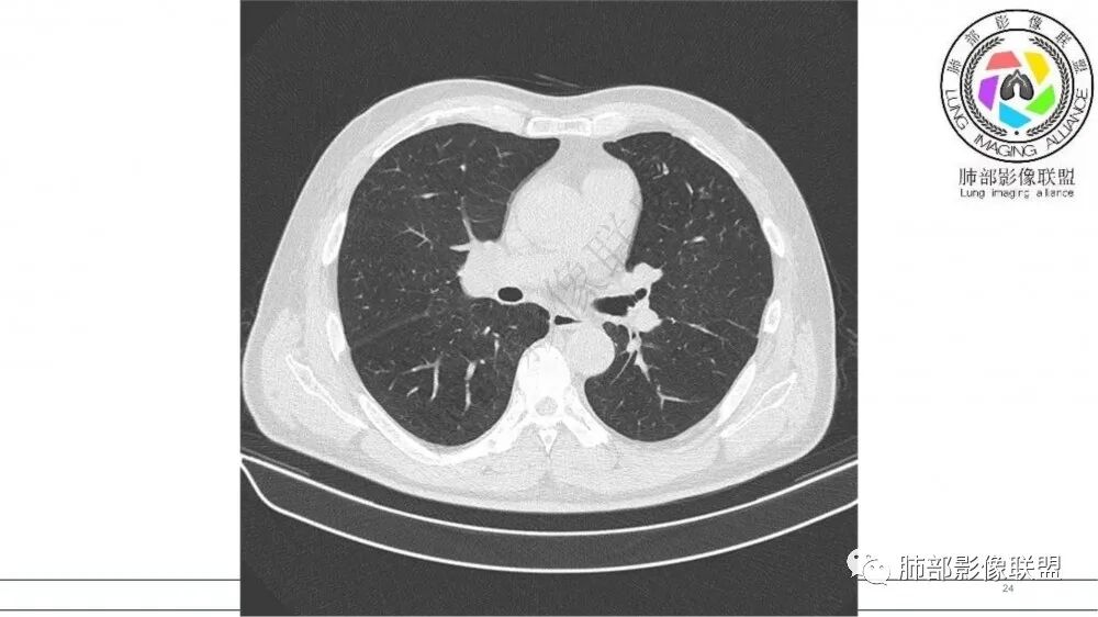
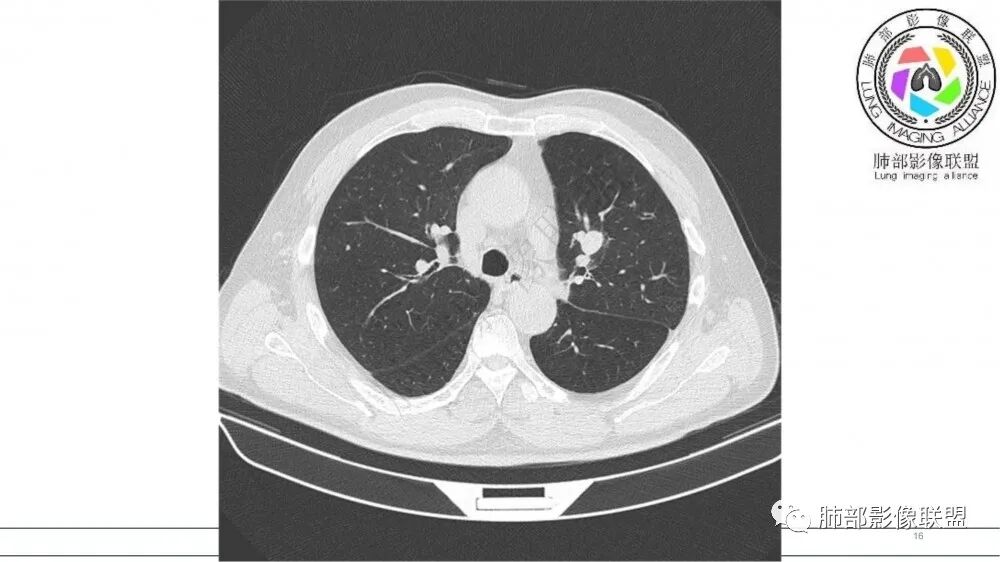
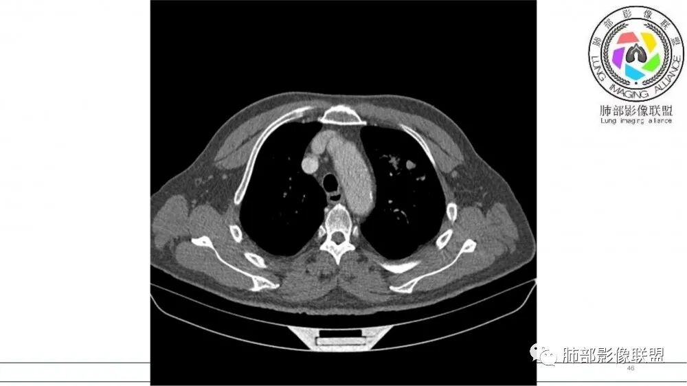
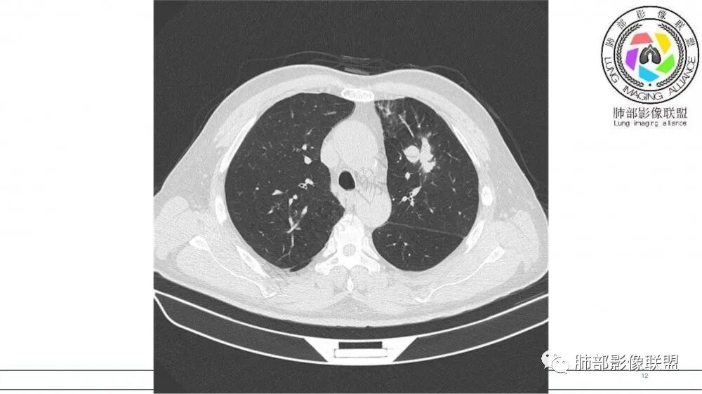
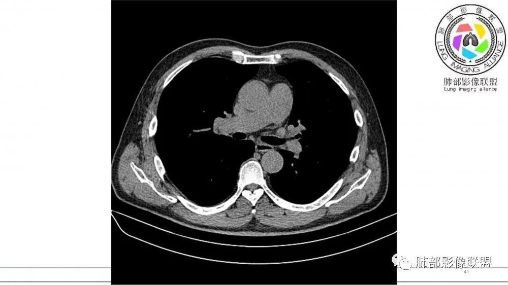
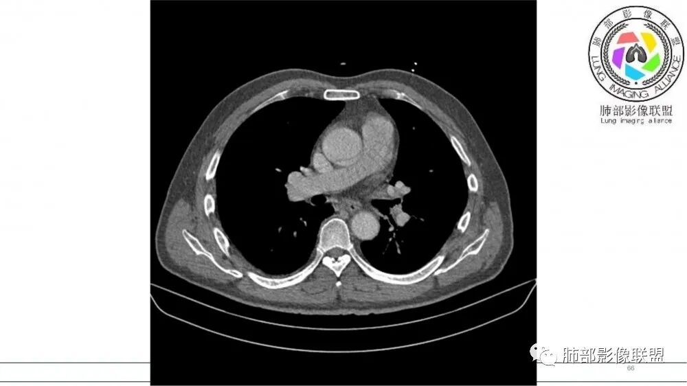
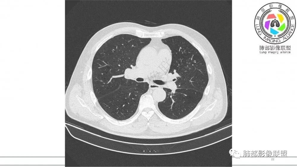
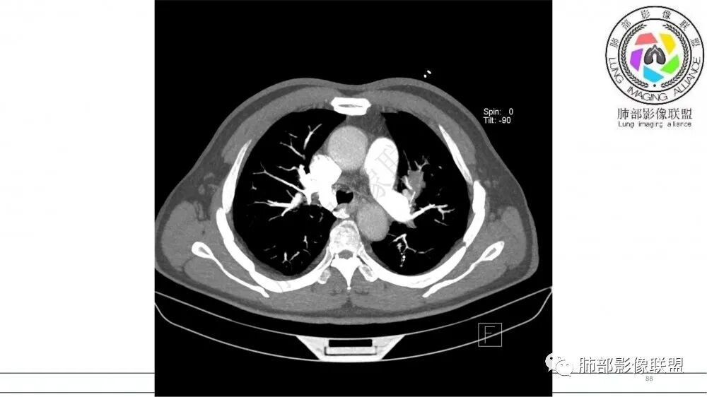
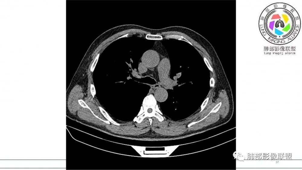
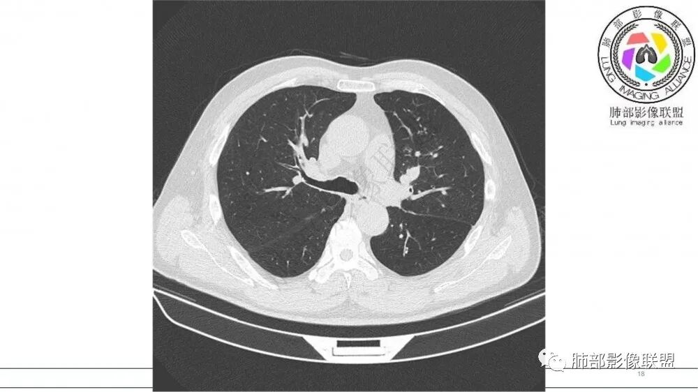
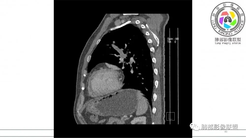
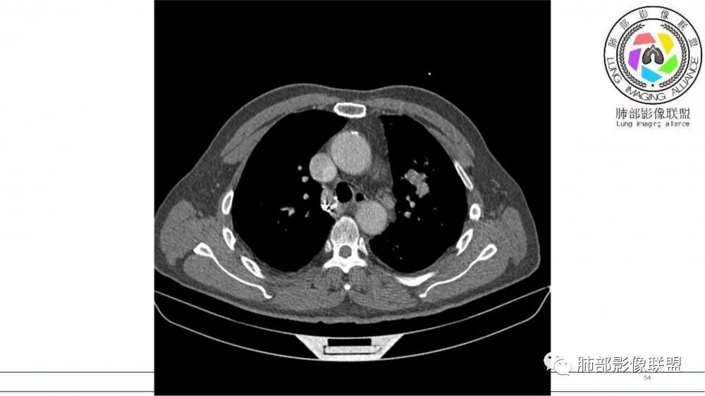
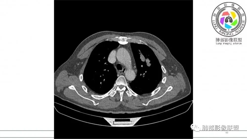
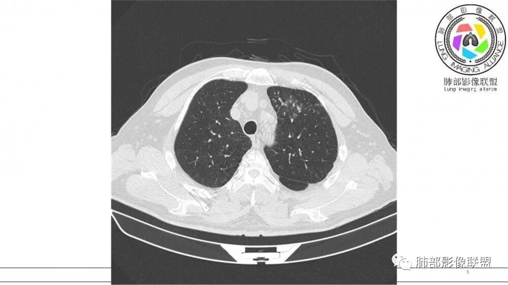
病例资料

































































































AUTUMN


微信群内精彩讨论

最后一束散射线:
猜个鳞,沿支气管塑型生长,周围小花小草,肺门及纵隔淋巴结增大,吸烟老年男。鉴别TB
秦化君:
左肺上叶前段支气管内铸形生长软组织影,增强后均匀强化,远侧见斑片状磨玻璃影。考虑恶性病变,粘表?粘液腺?
赵山河:
考虑恶性占位,沿支气管塑型生长,增强未见明显强化,首先考虑鳞癌,鉴别APBA及结核,感觉不像,最后挂上小细胞肺癌。
安吉木子何方李:
病灶有强化,粘液栓不考虑。沿着支气管生长,远端小花小草,恶性首先考虑。鉴别结核
飞鹰行动:
老年男性,左肺上叶前段支气管内铸形阴影,增强后病灶不均匀强化,内部有坏死?远端可见斑片状阴影(阻塞性肺炎)。考虑恶性病变,老年人,鳞?类癌?粘表不能排除。
谢加平:
左肺上叶前段支气管杵状指样扩张,内见实性组织阻塞性,并强化明显,边缘饱满,周边多发小斑点影,小花小草征,老年男性,长期吸烟史,方向恶性,首选支气管内浸润鳞Ca可能性大。
?? 玫:
男,70岁,吸烟史,咳嗽,胸闷憋气一个月,左肺上叶不规则形软组织密度影,病灶沿支气管走形,周围见粟粒及棉絮样稍高密度影,增强扫描病灶内见少许坏死,考虑鳞癌可能,鉴别结核。
小强:
支气管壁病变
左肺上叶前段支气管管壁增厚,腔内软组织填充,有强化,远段阻塞性肺炎,考虑恶性
炎性:结核、肉芽肿性多血管炎、气道淀粉样变、复发性多软骨炎
肿瘤:良性乳头状瘤、平滑肌瘤等
        恶性鳞癌腺样囊性癌类癌粘液表皮样癌
Kery Wang:
ABPA?
宇宙:
老年男性,肺气肿,吸烟史,左肺上支气管腔内铸型高密度影,呈指套状,远端多发树芽,增强不均匀强化,考虑鳞癌,鉴别小细胞癌
海悦天 天悦海:
男性,吸烟,肿块沿左肺上叶支气管内生长,增强后病灶不均匀强化,考虑小细胞肺癌
曹志勇:
考虑鳞癌
东哥:
70岁男,吸烟史,左肺上叶不规则肿块,轻度强化,前段支气管增厚,周围可见阻塞性小花小草,考虑鳞癌
周太狼:
老年男性,吸烟史,左肺上叶沿支气管塑型生长软组织肿块,轻度强化,周围小花小草,肺门及纵隔淋巴结增大,倾向恶性病变,鳞癌?粘表?
陈学君:
老年男性,吸烟史,左肺上叶支气管铸形,轻度强化,周围可见阻塞性小花小草,考虑鳞癌
大雄:
支气管铸形生长的肿瘤,小细胞癌,大神泌,鳞癌,黏表都可以
老年,吸烟,最常见的是小细胞
THINKER:
B3指套征,常规不是鳞癌就是ABPA,有强化丶血管造影征,倾向于鳞癌
进一步查支气管镜,有胸闷,看看嗜酸性粒细胞高不高,查一下曲霉菌特异性ⅠgG丶ⅠgE,总lgE鉴别ABPA
凯、KAI:
考虑恶性病变,血管指状改变,鳞癌或小细胞。
丽:
老年男性,左侧支气管腔塑形生长肿块,边缘可见多发小结节,增强后不均匀轻度强化,考虑恶性,鳞癌可能大,鉴别结核
若晗:
病灶沿支气管生长,强化不均匀,坏死不明显,血管自然进入,支持恶性,小在先,鉴别淋巴瘤
放射 小医生:
老年男性,吸烟史,左肺上叶支气管塑形生长肿块,整体边缘较圆钝,不均匀强化,血管走形,形态较纤细,病灶远端可见花草样改变,恶性,先考虑小细胞癌鉴别鳞癌
蓝天白云:
老年男性,吸烟史,左肺上叶支气管铸形,变窄,轻度强化,周围阻塞性炎症,左肺门肿大淋巴结,考虑恶性,小细胞鉴别鳞癌
蔣勝華:
老年男性,影像支气管铸型,血管造影,考虑恶性,鳞癌,小细胞。
轩哥:
小花小草,支气管阻塞,考虑鳞癌,鉴别腺癌,结核,及淋巴瘤
孔儿:
老年吸烟男,左肺上叶支气管堵塞,远端小花小草,纵隔未见肿大淋巴结,考虑鳞癌,建议进一步支气管镜检查
衡妈:
左肺上叶支气管铸形生长,远端阻塞性炎症,增强后病灶有强化,坏死区明显。考虑中央型肺癌,鳞癌?小细胞癌?
张延军:
左肺上叶尖后段支气管近端截断,远端见高密度铸型,远侧见阻塞性改变,老年男性,吸烟史,考虑恶性,鳞癌。ABPA代排
爱跳舞的猫:
老年男性,吸烟史,左肺上叶不规则肿块,支气管铸型生长,增强轻度强化,周围可见阻塞性小花小草,考虑鳞癌
傅昌瑜:
老年男性,长期吸烟史。左上肺前段沿支气管走形的指套样病变,增强可见病灶强化(排除结核、ABPA(也无气喘症状)),远端多发点状高密度影。考虑恶性肿瘤,鳞癌可能性大。
飞杨:
老年男性,左肺上叶支气管内铸形影,远端阻塞炎症,小花小草,轻度强化,考虑恶性病变,鳞?小?粘表不能排除。
小飞:
老年男性,吸烟史,左肺上叶沿支气管生长指样影,边缘膨隆,轻度强化,周围斑点影,考虑恶性,鳞癌?
?????天涯?????:
老年男,吸烟史,支气管铸形,有强化,恶性考虑,小细胞?鳞癌?粘表?结核,ABPA鉴别
南边:
指套征明确吧
有强化吧,淋巴结大
恶性
若尘:
指套征,扩张支气管内软组织强化,远侧肺野阻塞性炎,纵隔、左肺门肿大淋巴结;老年男性,吸烟,考虑鳞癌,鉴别小
良孑:
小花小草,铸型粘液拴,左上叶支气管壁增厚,腔内可见软组织结节,粘液无强化,伴随血管粗细不均,老年,吸烟,定性恶性,磷癌
361度:
老年男性,术前检查肺气肿背景,左肺上叶结节,沿支气管蠕虫样生长,左肺门及纵隔淋巴结肿大,增强扫描不均匀强化,血管包绕,结合吸烟史,考虑小细胞肺癌。
空格:
老年吸烟男性,尖前段支气管内塑形生长,增粗蠕虫样,没有肺不张(排除鳞癌?),远端少许阻塞肺炎,增强低强化,锁定小
@白国峰 沈阳市十院 呼吸 请教下,白老师,ABPA,需不需要支扩的基础,或者本身就可以引起支扩?小细胞有不像的地方是,分支太多,太长,作为恶性肿瘤这是很没面子的事,常规应该一个支气管撑大,临近支气管来不及进去只能成为小尾巴状,这里三条支气管一字平肩王,没有主次,这是不踏实的地方,而且临床喘憋明显,abpa可能要往前放一放。
大雄:
有强化,ABPA不用考虑了
嘻嘻??:
老年男性,吸烟,指套征,蠕虫征,阻塞性炎症不严重。可见血管穿行,密度均匀,轻度强化,首先考虑小细胞肺癌。鉴别鳞
AUTUMN



病例结果

2021年8月6日晨读病例结果:小细胞肺癌
AUTUMN



资料拓展-指套征
  指套征:是影像征象,胸部平片表现为手指状密度增高影,以肺门为中心呈放射状分布,CT显示扩张支气管内低密度黏液栓形成或实性病变,呈管状、树枝状或卵圆形密度增高影;支气管扩张伴近端梗阻时,扩张支气管内部黏液分泌物不能排出而形成。可以伴随远端空气潴留征、阻塞性炎症。
  指套征疾病普:

  指套征良恶性病变的鉴别: 
    SCLC 在所有肺部恶性肿瘤中发病率为 25%,作为肺癌中最高恶性程度的肿瘤之一,该病预后较差,5 年生存率< 5.0%。 
    SCLC 好发于中老年人,以男性为主,疾病的发生与烟草具有相关性,基本为重度吸烟者 。 其他相关因素还有遗传、基因突变、电离辐射以及其他有害物质刺激等。
   临床中 SCLC 表现缺乏显著特异性,较为普遍的症状为咳嗽、咳痰、胸痛以 及体重减轻等 。 
   近年来采用 CT平扫或平扫加增强扫描展开肺癌诊断可提升肿瘤早期检出率,且联合纤维支气管镜、皮下 CT 引导中穿刺活检 可进一步增强早期 SCLC 诊断准确率,对指导治疗有重要意 义。 
    按照肿瘤发生部位,SCLC 主要有中心型与周围型。 
    研究报道,中心型 SCLC 经 CT 扫描后通常支气管表现为鼠尾样狭窄,肺门或纵隔肿块明显,由于肿块沿管壁生长表现为顺延支气管形态的不规则形状。病灶相对特征性影像学表现比如鸭蹼状、腊肠状、葫芦状及葡萄状改变,可以出现血管包埋,很少有空洞、空泡,较少引发肺不张,阻塞性炎症成都较轻。与一般肺癌比较,恶性程度高,侵袭力强、病灶很小就容易远处转移!Herzberg 等[19]研究指出,20%以上 SCLC 倍增时间短,预后不良。    
    文献报道周围型小细胞肺癌发生率为全部小细胞肺癌类型的 35%,近来有学者认为周围型病灶发生率可能更高。CT检查表现为肺实质结节或团块状,密度多较均匀,表现为浅分叶状,边缘光滑、锐利而有时可以酷似良性肿瘤。毛刺征、胸膜凹陷征与空洞、钙化少见,周围血管集束征表现为阴性,出现推移让位等情况。文献报道,增强扫描周围型肿块常表现为“沼泽地样”轻中度强化,增强后密度较低略为均匀,出现小片稍低模糊坏死 。
    SCLC 对放化疗敏感性高,手术并非首选理想治疗方案, 因此治疗前采用支气管镜或肺穿刺取得病理组织展开进一步诊断至关重要[26] 。
    Syn、CD56、CK、ki-67 等神经内分泌标志抗体在 SCLC 临床诊断中广泛应用。既往文献报道,在一些神经内分泌标志物呈现为阳性时,可按照镜下组织形态学特征联合其他相关指标共同诊断,所以通常把 Syn、CD56、 CK、ki-67 等指标联合评估 SCLC 的依据。 
    ki67 是近年来运用最广泛的增殖细胞标记之一,预示肿瘤细 胞增殖分裂速率,该指标在 SCLC 组织中呈现为高活性,可进 一步预测 SCLC 肿瘤恶性程度;既往研究发现,在 ki67 指数 ≥60%时,提示该疾病恶性程度高,病情变化快,且病理分期 基本为广泛期,治疗效果与预后不理想。 
    胸部平扫及增强CT常能发现并确定肿瘤位置、肿瘤特点和累及的范围及远处转移情况。运用胸部增强CT可明显缩小鉴别诊断的范围,而使部分患者可达到早期诊断;免疫组化病理特征可增强 SCLC 诊断阳性率,为鉴别诊断与组织学分型提供参考。

AUTUMN
参考文献:
中华肺部疾病杂志(电子版) 2021年02月 第14卷第1期 Chin J Lung Dis(Electronic Edition), February 2021, Vol 14, No.1
第八期 肺结节CT及病理诊断进阶班——王兆宇老师课件”小细胞肺癌的发展过程解析“


病例提供:张凤霞老师
编辑老师:雷  凤
审核老师:蔡笑燕、徐  晓
END



到顶部