【每日晨读】HIV相关的双肺多发结节、肿块



病例资料
致谢无锡五院 江凯老师


微信群讨论
赵山河:
年轻男性,HIV病史,肺內多发团块影伴空气支气管征,首先考虑淋巴瘤。
一切∮随缘:
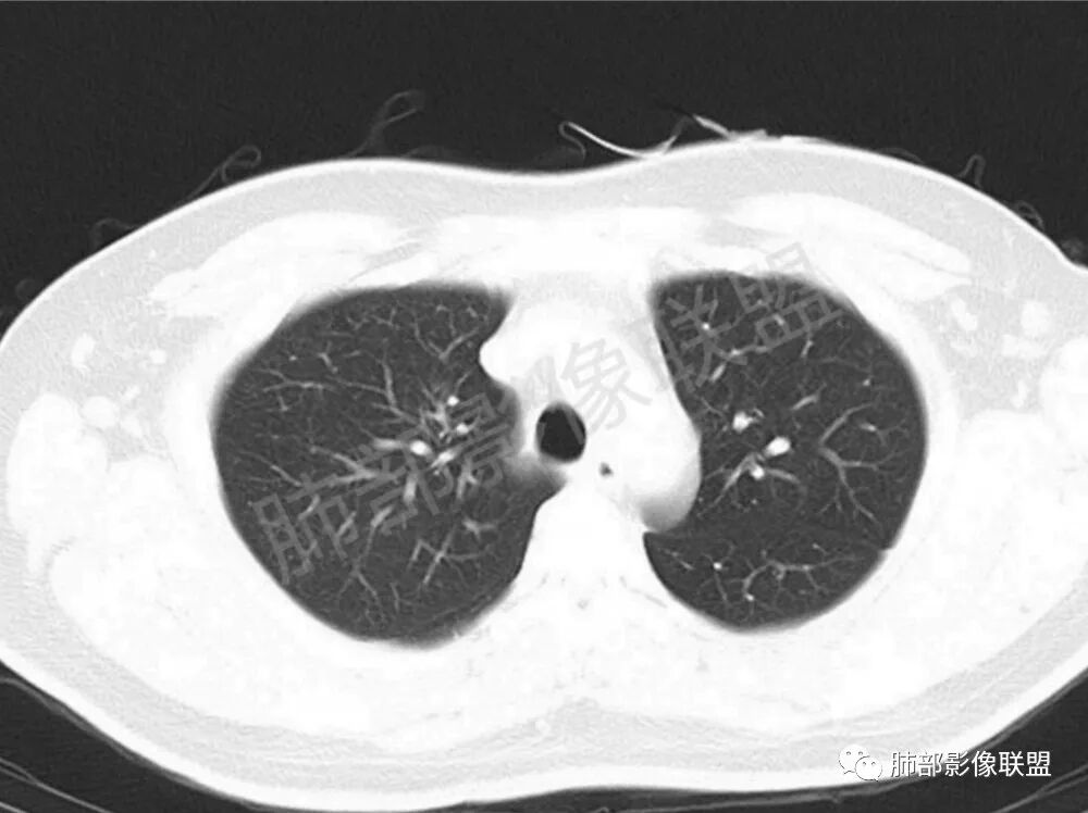
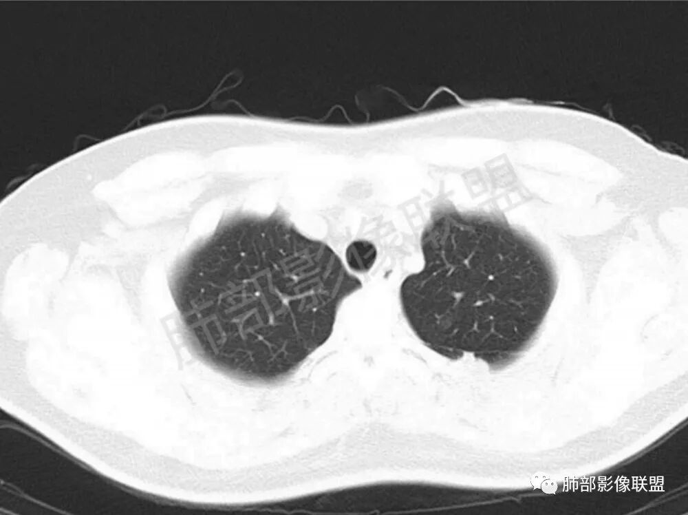
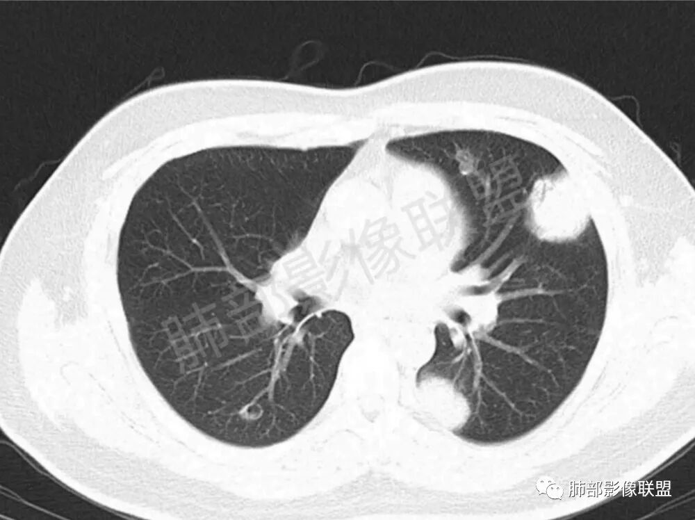
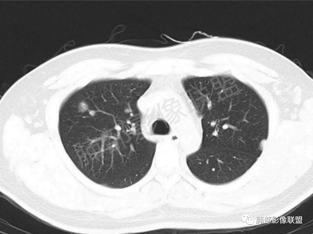
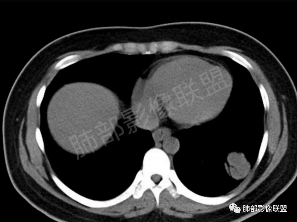
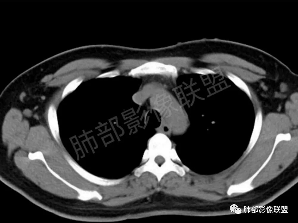
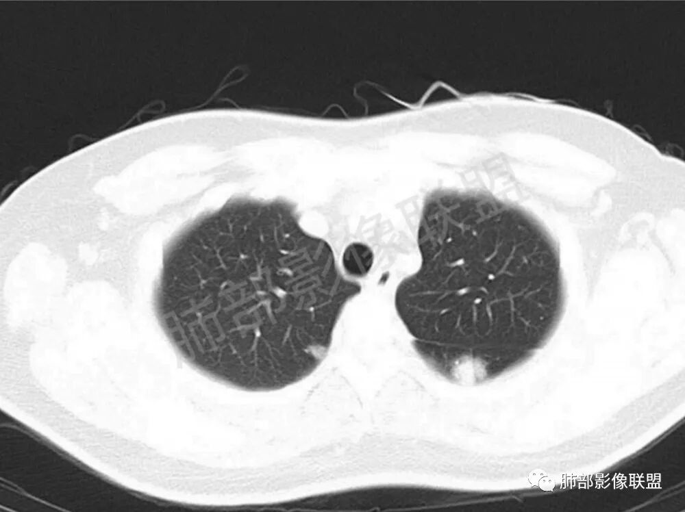
男性,22岁,HIV病史,症状半年,双肺多发大小不等结节影,边缘光滑,密度均匀,以胸膜下分布为主,部分与胸膜相连,胸膜下脂肪间隙可见,病灶近段支气管走行病灶内,远端似有堵塞,无增强图像,考虑隐球菌,鉴别:淋巴瘤,GPA
大雄:
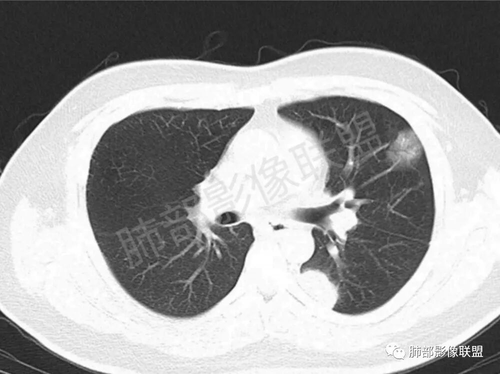
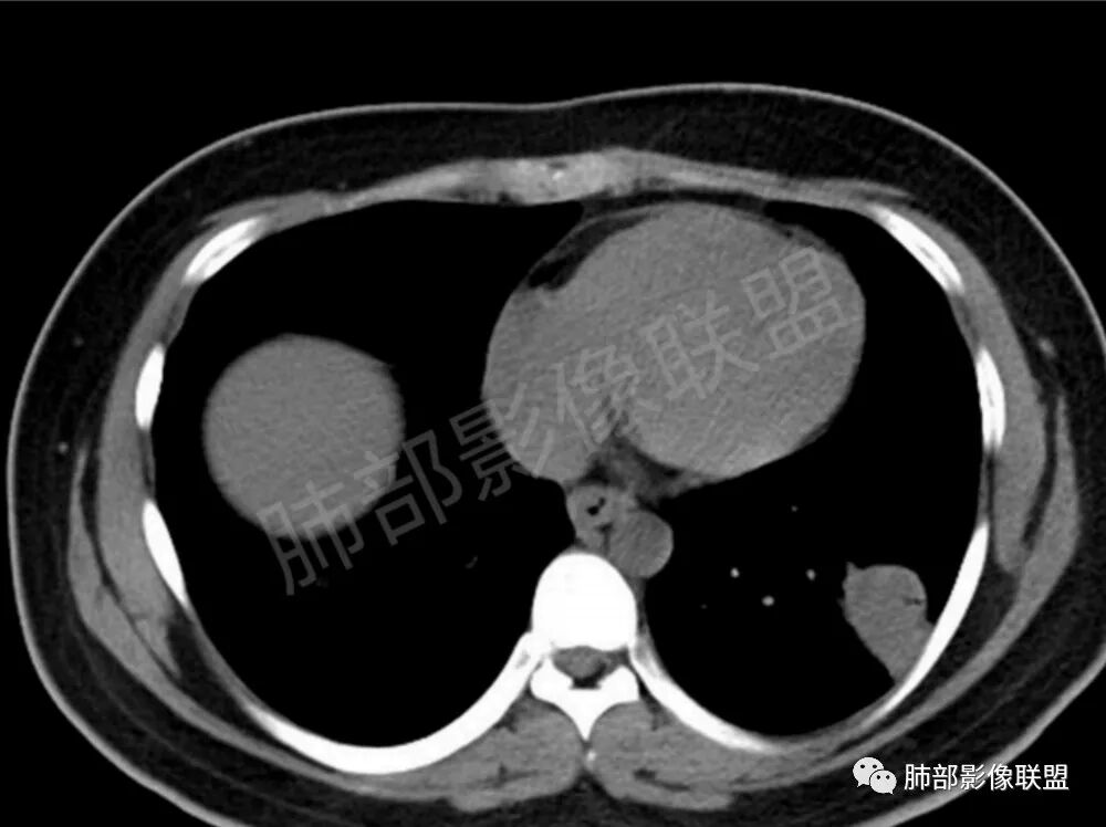
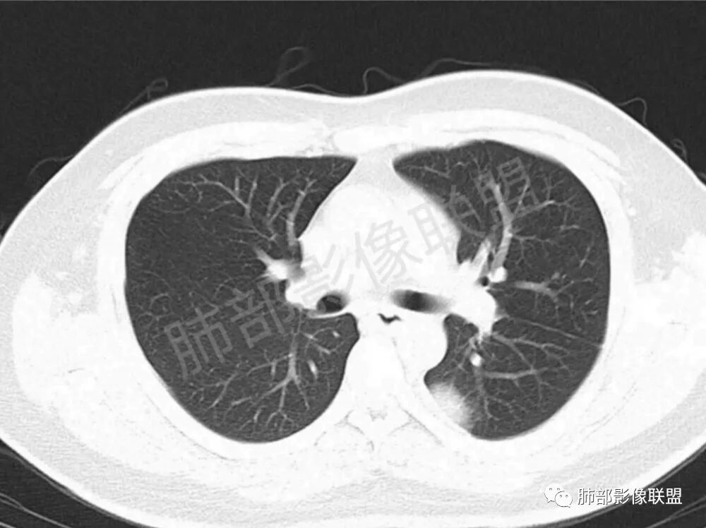
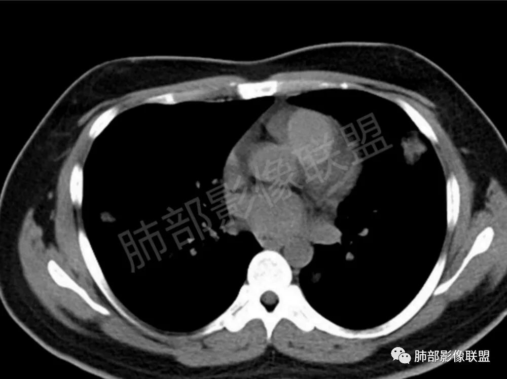
双肺多发结节影,膨隆,边缘光滑,圆顿,沿支气管血管束分布为主,部分贴胸膜,部分见空洞,空气支气管征
考虑艾滋病相关淋巴瘤
鉴别隐球菌、结核
建议完善增强,隐球抗原,经皮肺穿
不吝慷慨:
艾滋病相关淋巴增殖性病变,淋巴瘤样肉芽肿LyG?malt淋巴瘤?
嘻嘻??:
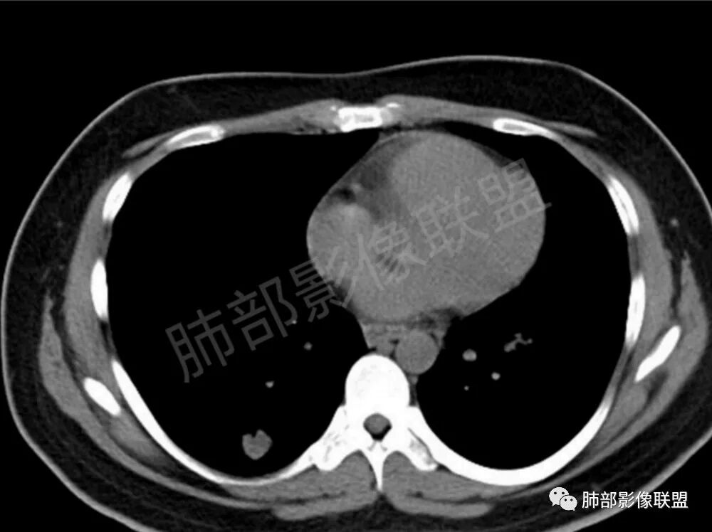
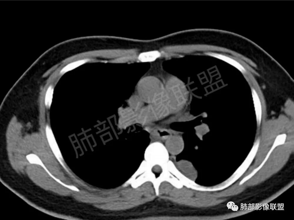
两肺多发结节性,大部分位于胸膜下,部分结节周围可见晕征。局部结节内可见扩张的支气管,纵隔淋巴结大,脾大,22岁男,HIV阳性,常规先考虑隐球菌。鉴别淋巴瘤,结核,马儿。
洪桥爱:
青年男性,咳嗽、少许咳痰半年,慢性病程,病程中无明显感染毒血症状,查TB-DNA阳性,HIV-Ab阳性,CA19-9、铁蛋白升高,CT提示双肺多发斑片状、团块状、结节状高密度影,可见一薄壁空洞,部分病灶可见支气管进入,病灶于肺外围区域优势分布,肺结核诊断明确,但是患者CT与结核影像不符,考虑二元论,复合感染:1.隐球  2.奴卡(肺部病灶气、血同现)3.AIDS机会性肿瘤:淋巴瘤
流心明智:
男,22,半年前咳嗽伴少痰,查HIV阳性,痰查TB阳性,既往有肺部斑片影伴空洞、纵隔淋巴结肿大、脾大。SCC、CA50、CA199、FER增高,此次胸部CT:两肺多发结节影,部分沿血管束分布,部分贴胸膜下,大小不一,密度不一,部分较散、边缘模糊,部分较实、圆钝、周围模糊晕,部分结节有支气管进入穿行自然,部分结节有血管分支自如通过。考虑HI∨相关淋巴增殖类病变,淋巴瘤?LYG?鉴别PC、TB。
尘缘:
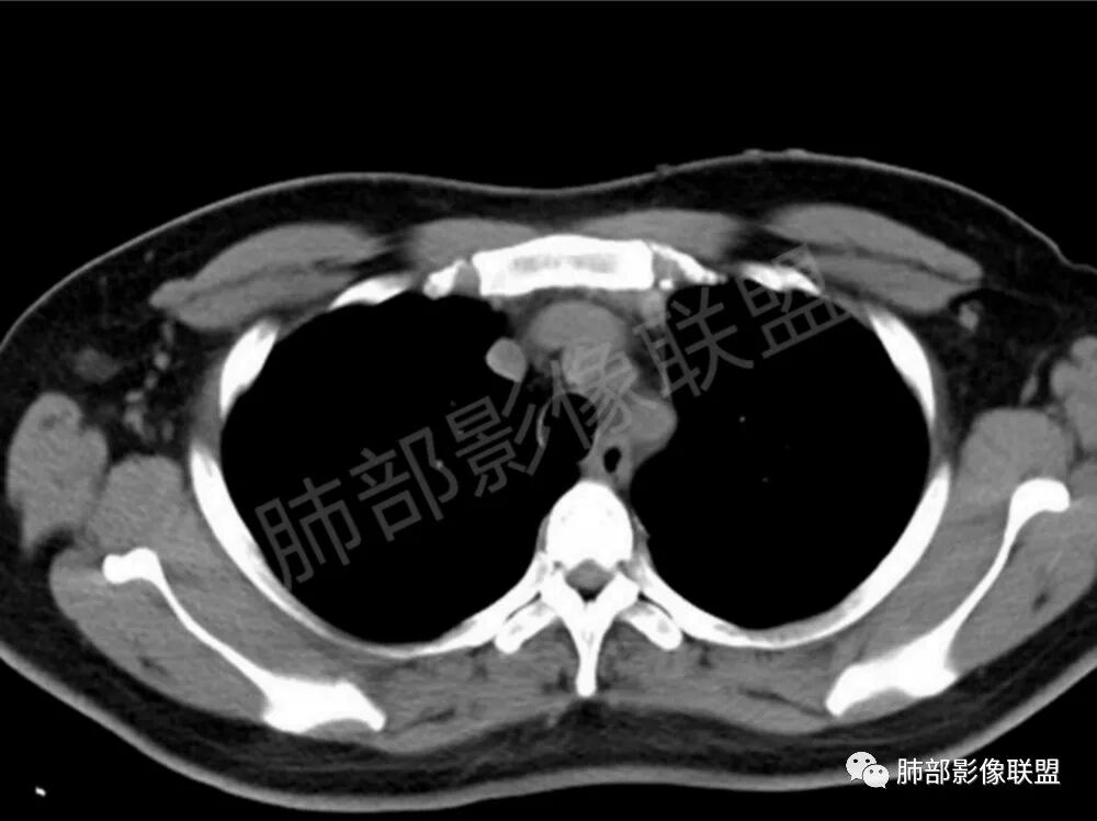
青年男性,半年前咳嗽,HIV阳性,结核DNA阳性,肿标糖类抗原和铁蛋白增高。外院影像有纵隔淋巴结增大伴脾大,肺部病灶空洞。现在影像:肺内多发沿支气管分布(有支气管充气征,长轴沿支气管分布)及胸膜下分布(平行于胸膜)的大小不等结节,个别伴有空洞,双侧腋窝淋巴结肿大。纵隔图片不够,是否还有淋巴结肿大未知,脾脏未显示。
疾病谱:一、感染性疾病,
1、结核,DNA阳性,血沉增高,要考虑,但XPERT阴性,半年前影像双肺斑片影伴空洞,现在肺内病灶无明确树芽征,无明确钙化,无明确干酪样坏死灶,未体现出多形多态改变。无结核中毒症状,基本排除,DNA阳性,考虑污染可能。
2、隐球,胸膜下病灶形态符合,肺内沿支气管分布病灶不符合,原来斑片影伴空洞,现在未发出鬼脸征(空洞内容物排出后影像), 这个发展进程不符合隐球。
3、奴卡,有HIV阳性的免疫缺陷,原来肺内多发斑片影伴空洞,要考虑。
二、肿瘤性病变。
1、HIV相关淋巴瘤,有HIV阳性,有纵隔及腋窝淋巴结肿大,肺内病灶沿支气管分布(中轴淋巴间质)及胸膜下分布(周围淋巴间质),有脾大,这个是必须要考虑的。但是原来的影像是肺斑片影伴空洞,又有疑问,需要穿刺明确。
2、卡波西肉瘤,肺内多发结节,影像改变无明确火焰征,原来是斑片影伴空洞改变,不是太好解释。
三、非感染非肿瘤性病变。
1、HIV相关淋巴瘤样肉芽肿,影像改变和病程比较符合,要考虑。但是无发热及未提及皮损表现等存疑,需要了解皮肤改变,神经系统改变及肾脏改变。
2、血管炎,需要结合血管炎三项及相关抗体排除。
综上:初步考虑HIV相关淋巴瘤或HIV相关淋巴瘤样肉芽肿,鉴别诊断:
1、奴卡,
2、HIV淋巴瘤样肉芽肿或淋巴瘤伴隐球或奴卡的二元。
下一步处理,肺部结节穿刺,腋窝淋巴结穿刺及NGS找病原体。
南边:
临床:年轻男性,22岁,病史半年。痰阳,HIV
从临床资料是否可以提示结核应该有或者有过
多发肿瘤标志物增高
影像:
1.双肺多发大小不一结节,外围为主,边界尚清,部分周围似有GGO
2.类圆形,部分与胸膜相连,糊墙
3.支气管通畅或近端堵塞
支持肉芽肿性结节,隐球菌要考虑
结核,周围太干净了,放待排

病例结果


后续讨论
大雄:
大雄:
空洞  游走  多变  支气管血管束分布,好符合啊
尘缘:
支气管血管束和小叶间隔分布,其实也就是沿淋巴间质分布,这个好理解

淋巴瘤样肉芽肿病相关资料
        肺淋巴瘤样肉芽肿病( pulmonary lymphomatoid granulomatosis,PLG) 是一种由血管中心性淋巴组织 增生和血管炎性浸润引起的淋巴组织增生性疾病。临床罕见,好发于成年人,也可发生于免疫功能缺陷 的儿童,男性易感( 男女之比>2 ∶ 1) 。由 EB 病毒诱 导,表现为肺部多发结节,胸部 CT 表现与各种感染 性疾病、血管炎、肺癌等难以鉴别。根据EBV阳性B细胞所占比例的不同,该病可分为不同的等级,它们可进展为EBV阳性弥漫性大B细胞淋巴瘤。
临床表现:
      1.可有发热、咳嗽、咳痰、咳血、胸痛及气急等症状
      2.50%的患者可以有皮肤受累,红斑或丘疹样病灶,小而分散
      3.25%的患者出现中枢神经系统症状,轻-重度不等。
诊断:
       诊断依赖于病理典型三联征:多形性淋巴样浸润、动静脉被淋巴细胞透壁浸润、局部坏死
胸部影像表现:
       影像学缺乏特征性,以支气管血管周围、胸膜下及双肺下叶周边多发结节影最多见,结节易坏死形成空洞,伴有游走性和多变性的特征,结节周围可有磨玻璃样晕征,有时也可见单发结节影、薄壁的囊状阴影或弥漫性浸润影。肺门、纵隔淋巴结肿大少见, 可见胸腔积液和气胸。
       CT表现分为四种类型∶ 
类肺炎型∶表现为两肺大片状密度增高影,多位于两肺下野,边缘模糊,病灶内可见支气管气相;
肿块型∶表现为两肺多发大小不等的不规则肿块,肿块边缘不光整、欠锐利,有大的分叶,毛刺少见,增强扫描呈明显强化,可合并坏死、空洞;
结节型∶表现为两肺多发大小不等的结节,以两肺中下野多见,结节边缘欠锐利;
混合型∶表现为两肺大片状密度增高影及不规则肿块或结节影。
鉴别诊断:
      1.肉芽肿性多血管炎∶该病亦肺部受累最为常见。虽两者均有血管坏死性肉芽肿的病理特点,但肉芽肿性多血管炎具有特征性的多核巨细胞、肉芽肿常有较多的中性粒细胞及细胞碎屑而淋巴细胞较疏松,且凝固性坏死少见。血清中抗中性粒细胞抗体(ANCA)阳性是诊断肉芽肿性多血管炎的重要依据,可与LYG相鉴别;
      2.感染性肉芽肿病∶ 环死组织周围可伴反应性淋巴细胞浸润,常有明显的嗜中性粒细胞或肉芽肿改变,没有异型淋巴细胞和侵蚀性血管炎; 
      3.肺转移性肿瘤:肺转移性肿瘤也常可表现为肺部多发性结节。转移性肿瘤的结节常为圆形,边缘清晰、光滑,密度均匀无空洞,一般无大片浸润影,而LYG常表现为伴有空洞的结节形成,可见到肺大片浸润性阴影。
编辑:程  磊
审核:蔡笑燕  徐  晓
病例提供:无锡五院 江凯



到顶部