【每日晨读】又见鹦鹉-早期鹦鹉热衣原体肺炎




病例资料
致谢无锡五院 朱峰老师




































































微信群讨论

宇宙:
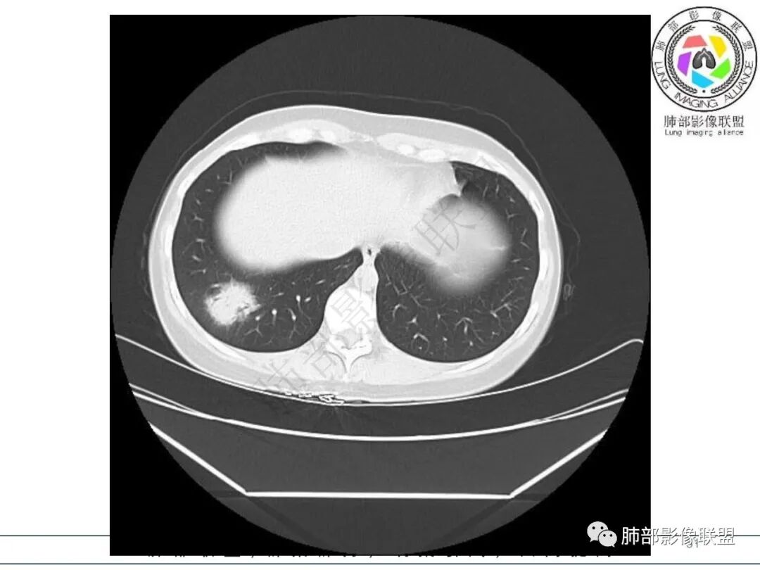
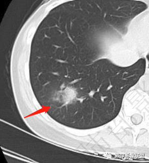
年轻女性,发热,白细胞略低,超敏CRP高,右肺下叶团片影,边缘毛糙,周围见磨玻璃晕,其内含气细支气管,考虑炎性肉芽肿,侵袭性曲霉菌感染?鉴别淋巴瘤
那个人:
年轻,急性起病,发热伴肺部阴影,考虑感染性病变没问题,无诱因,还是真无诱因,咳嗽无痰,有一些胃肠道症状及乏力。肺部一斑片影,考虑非典型病原菌,治疗无效考虑下特殊病原。这个病程3天,渗出不明显,周围磨玻璃感觉蛮清晰,支气管充气征?鉴别淋巴瘤?
大雄:
支持炎性病变
急性病程,发热畏寒,乏力纳差,恶心呕吐,白细胞不高,CRP及血沉升高。
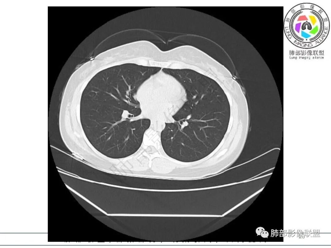
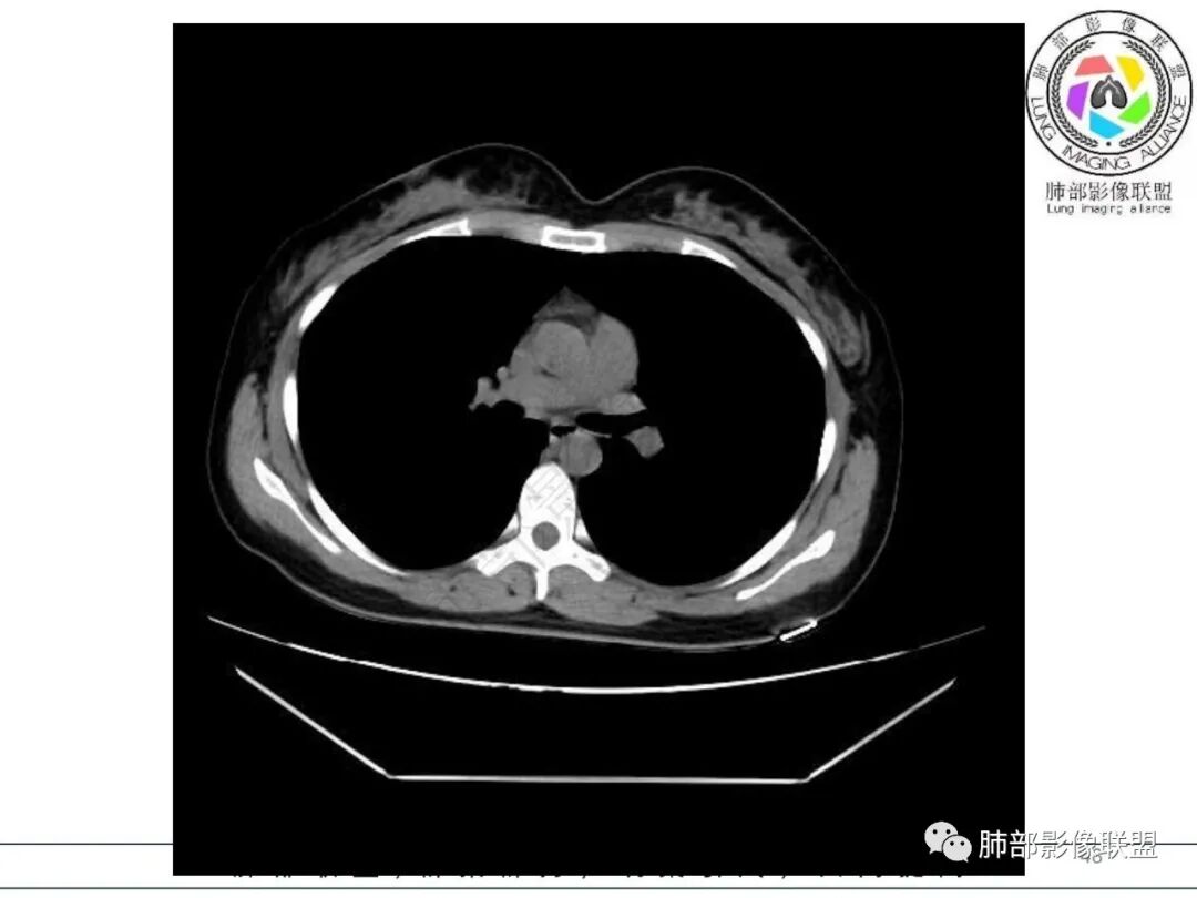
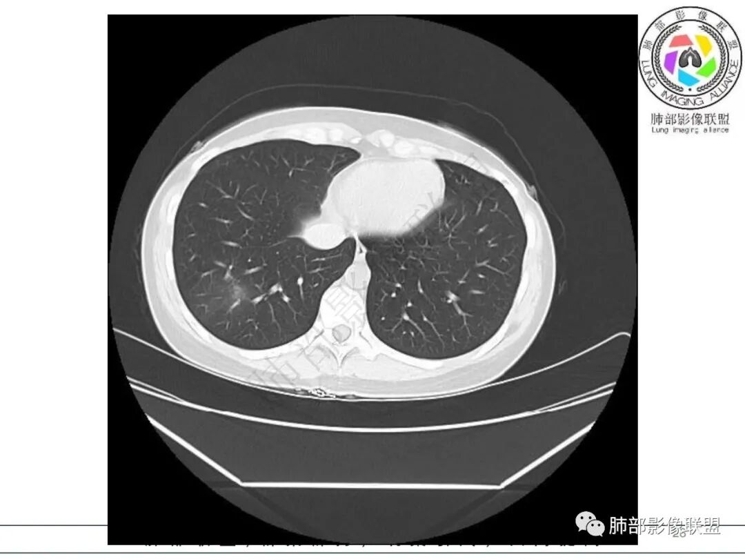
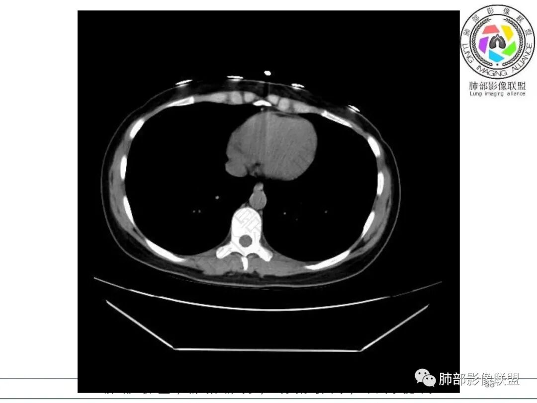
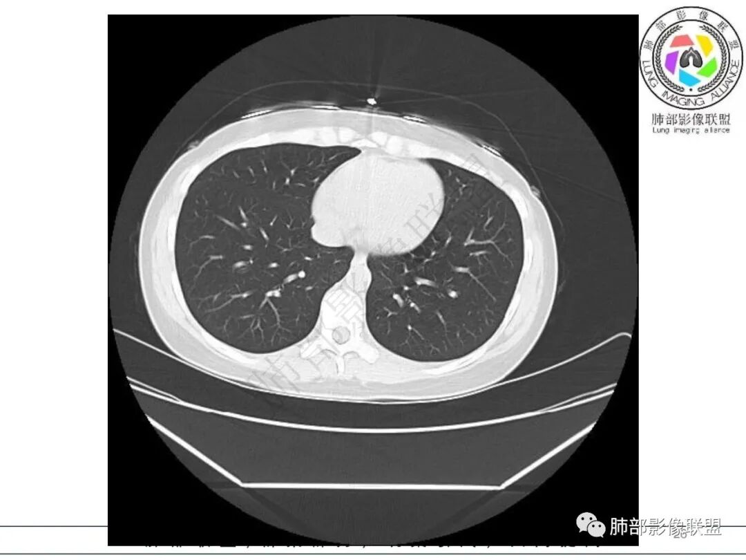
右肺下叶局限性实变影伴晕征。
影像轻,临床重,结合炎性指标,需考虑非典型肺炎(鹦鹉热衣原体可能)
建议支气管镜灌洗mNGS
采莲:
中年女性,急性起病,畏寒发热三天入院。伴恶心呕吐,白细胞不高,血沉快,CRP高,隐球菌荚膜抗原阴性。右肺下叶基底段团块实变影,边缘模糊,周围有晕及晕中毛刺,支气管充气征,考虑感染性病例,隐球菌肺炎?
流心明智:
女,34,畏寒、发热3天,伴纳差、恶心、呕吐。血像不高,ESR、CRP增高。胸部CT:右肺下叶局限斑片影,边缘模糊,内可见支气管穿行,个别层面融冰?肺动脉貌似增粗,考虑不典型病原体感染?肺梗?鉴别淋巴瘤等。
THINKER:
右下片影,伴周边渗出,气柱征明显,年轻人,3天起病伴发热丶wBc不高丶消化道症状明显,首先考虑非典型病源体,军团菌>支原体,
单从影像上常规需要鉴别  OP丶PC丶MALT
曲霉菌ⅠgG特异性很高,结合影像不排除早期血管侵袭性ⅠPA(更需要粒细胞缺乏丶免疫妥协史)
go and see:
青年男性,急性病程,发热内,白细胞,淋巴细胞及血小板降低,右下肺局限的小叶实变影,内见支气管扩张,边缘模糊,局部可见小叶间隔阻挡,这样的病灶注意排除淋巴瘤。骨穿是必须的了!边缘尚清楚,可见小叶间隔阻挡,衣原体,尤其衣原体肺炎可以,可予阿奇霉素抗感染1周后复查。
丁啸:
支气管还好吧,鹦鹉热可以表现为球形肺炎,而且这个临床,高热,肺外症状恶心呕吐,白细胞不高,crp高也比较符合。临床是也可以军团,但结合影像还是像鹦鹉热 。
如果是隐球,有发热全身症状,抗原绝大部分阳性,这个是做了是阴性
大雄:
其实大家考虑的方向差异还蛮大的
淋巴瘤,OP,普通炎症,非典,隐球,曲霉
治疗处理都不一样,常规抗炎覆盖非典吗?方向不一样,用药会不会有差异?常规抗炎覆盖非典,短期复查,我比较赞同
隐球 淋巴瘤  OP,说实话,都不好解释临床  乏力纳差 恶心呕吐
全身症状比较明显
隐球肺内病灶这么局限,全身反应这么明显,伴恶心呕吐的,还真没见过,看过一篇文献,荚膜抗原敏感性的浮动比较大,和肺内病变范围、累及程度、是否播散广泛也有很大关系,孤立肉芽肿阳性率比较低,广泛实变、双肺播散阳性率要高很多
go and see:
肺炎衣原体可以通过查IgM检查
南边:
高热,急性病史,无痰,白细胞不高,支气管镜显示急、慢性炎症


后、外基底段实变

周围GGO边界不清

内部支气管还算通畅

偏密实区支气管显示欠佳,密度稍低区支气管显示,密实区边缘稍膨隆

考虑的方向?
急性病史,高热,支持急性感染,GGO符合
白细胞不高,无痰,一般的细菌性感染不支持,而且提示气道累及不重,因为无痰
按常规我们首先需要鉴别的是:肿瘤?炎症?
从病史分析,炎症有,是否能排除肿瘤合并急性炎症?
实变区密实,密度稍低区支气管通畅,如果肿瘤应该是淋巴瘤类,但是淋巴瘤应该一致性,实变区及密度稍低区支气管通畅应该一致性,似乎不太符合,所以目前影像与临床都不是很支持,放待排,治疗后复查就比较明确
炎症?如果考虑肉芽肿,就存在问题,就是这个病灶属于慢性病变伴随急性炎症,肉芽肿一般是慢性炎性病变,这个支气管镜倒是符合,也就是说这个是慢性炎性病变急性发作
结果及分析


南边:
鹦鹉热可以,确实在早期可以这样
边缘的膨隆提示渗出实变,不是收缩,不符合OP
只是思维太局限,固有在局灶,没想到大叶性早期,以后思路会开阔一些
黄高晓:
肺泡灌洗液不易灌出鹦鹉热?
go and see:
一般都容易灌出,只是这个病例,病灶局限,又在肺外带,所以觉得不易,但是我忘记了,鹦鹉热时大的气道都受累,很明显的炎症渗出
黄高晓:
对,鹦鹉热离不开肺门的病灶
病例小结
1.临床病史:急性病程,发热畏寒,乏力纳差,恶心呕吐,白细胞不高,CRP及血沉升高。
2.影像特征:右肺下叶局限性实变影伴晕征,边界不清,内部支气管尚通畅,实变区密实区边缘稍膨隆。符合炎性病灶特征。
3.综合分析:急性病程,炎性指标高,常见的是普通社区肺炎,如肺炎链球菌感染等。但本例患者临床表现较重,应先表现相对较轻,白细胞不高,须考虑非典型肺炎的可能性。本例隐球菌荚膜实验阴性,而军团菌临床症状一般较重,影像分布也更广泛、进展迅速,多器官损害更明显。因此考虑鹦鹉热衣原体可能性更大一些。其他如腺病毒等感染也是需要排除的。
最终支气管镜灌洗NGS确诊为鹦鹉热衣原体感染。


编辑:杨  丽
审核:徐  晓
【广西群读片系列】 爱恨情仇话鹦鹉
【每周一例】107期讨论实录    了解——鹦鹉热衣原体肺炎
【每日晨读】是谁动了我的肺?--鹦鹉?
到顶部