【每日晨读】纵隔内带着星芒状瘢痕的孤立性肿块




群内讨论














精彩讨论
一切∮随缘:
右肺肺外来源大肿块,占位效应明显,周围肺组织挤压,体积略缩小,平扫密度欠均匀,增强扫描不均匀强化,可见外围环形包膜强化?考虑恶性肿瘤,肉瘤样癌,肉瘤(滑膜肉瘤,纤维肉瘤,平滑肌肉瘤)
病理提示间叶组织,肉瘤

衡妈:

来源于中纵纵隔?大肿块,密度不均,有囊变坏死,增强不均匀明显强化。考虑恶性肿瘤,病理提示间叶来源,考虑淋巴肉瘤,网状细胞肉瘤?
金豆:
梭形细胞肿瘤包括:纤维源性肿瘤、平滑肌肿瘤、横纹肌肿瘤(梭形细胞型)、血管源性肿瘤、神经纤维肿瘤、间皮肿瘤、恶性纤维组织细胞肿瘤、肌上皮肿瘤、恶性黑色素瘤(梭形细胞型)、滑膜肿瘤和梭形细胞癌等。晨读考虑肉瘤,鉴别鞘(A B区)
飞鹰行动:
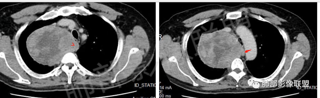
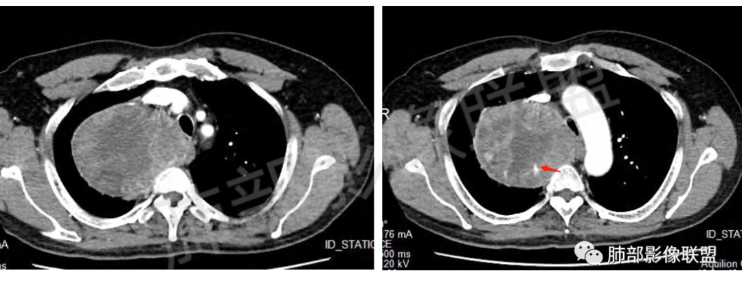
晨读病例,62岁男性,间断咳嗽四个月,影像表现右侧胸腔内见巨大肿块影,边界清晰,其内密度不均,增强扫描病灶呈不均匀性强化,病灶内见坏死及强化的小血管影,考虑恶性病变,肉瘤类病变,纤维肉瘤,滑膜肉瘤,癌肉瘤,恶性纤维组织细胞瘤。
大雄:
梭形细胞肿瘤有:
SFT 鞘瘤 间质瘤 间皮瘤 部分肉瘤
晨读定位是关键
定位肺内,肉瘤
定位纵隔,鞘瘤
定位纵隔胸膜,SFT
考虑SFT>鞘瘤>肉瘤
王江涛:
定位肺外,来源于胸膜的SFT(蛇纹状血管)、鞘瘤(不均匀强化,囊变坏死多)、间质瘤(部分层面与食管分界不清)。
流心明智:
男,62,间断咳嗽4月。胸部CT:右侧胸腔大肿块,向内压气管,向前压上腔Ⅴ,向外挤压右上肺,右上肺体积缩小,瘤肺界面清楚,交界处可见压缩带,胸膜尾可见,平扫密度不均匀,增强可见大片低密度区,AB区?考虑肺外来源,N源性肿瘤(鞘瘤)?SFT?鉴别胸腺肿瘤,肺肉瘤等。
小兜:
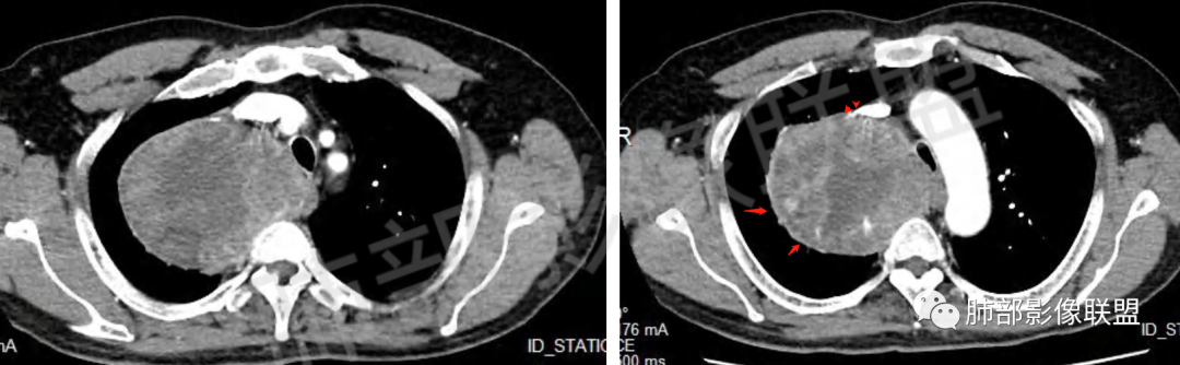
男,69岁,间断咳嗽4个月,右上肺体积缩小,可见巨大软组织占位,胸膜掀起,考虑来源于肺外,平扫密度不均匀,增强扫描明显不均匀强化,内部可见粗大血管及坏死区,周围组织受压移位。局部与食管分界不清,穿刺提示短梭形细胞,来源于间叶组织可能,综合考虑为神经鞘瘤>SFT
自信人生:
男,62岁,间断咳嗽四个月,右上肺及胸腔内见巨大肿块影,边界清晰,其内密度不均,增强不均匀性强化,条片可疑坏死区,右侧膈肌抬高太明显,是不是膈肌神经受影响,气管及食管受压左移,感觉与纵膈间线相对清晰,来源于胸膜 
鞘瘤或SFT
AB区或蛇纹血管征象
琦遇:
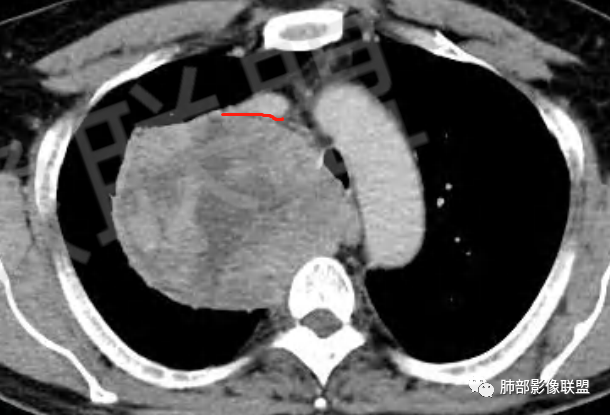
肿块把上腔静脉向前部推移,对肺内血管以及气管以推移为主,占位未见肺部血管供血,胸膜掀起处胸膜下脂肪间隙增宽,说明定位在肺外 SFT多为脏层胸膜起源,少部分壁层胸膜起源,壁层胸膜起源SFT不除外,但是胸膜掀起处胸膜下脂肪间隙增宽了,感觉SFT可能性比较小,这样囊变 AB区 纵膈神经起源的神经鞘瘤需要重点考虑,因为CT给的层不够,看不到肿瘤与椎间孔的关系,不敢确定,曾经病理提示高度考虑叶间起源肿瘤,肿瘤细胞呈短梭形细胞构成 不知道和神经鞘瘤是否符合!我重点考虑神经鞘瘤
南边老师分析

肺内?肺外?
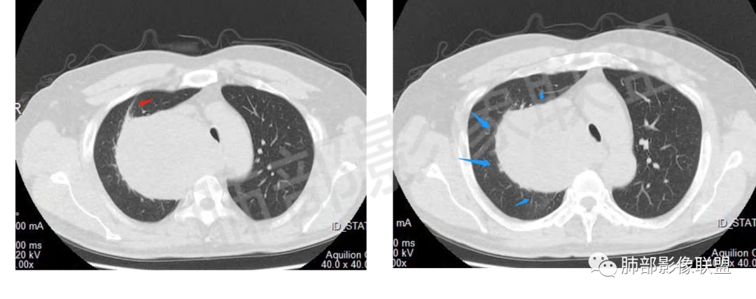
边界清楚、光滑,D字征,与肺血管、支气管关系不密切,胸膜被掀起都提示肺外来源


上腔静脉受压前移
提示病灶来源于后方或纵隔外后方,
胸膜来源:孤立,大的边界清,首选SFT
纵隔:上腔静脉后方主要是膈神经,神经源性可以;后方局部与食道关系密切,食道来源肿瘤也可能,一般食道来源向前推移,这里推移方向不支持;气管受压,壁完整,软骨连续,气管单纯受压没有破坏,后方向内推移,不支持气管来源

粗大强化血管,主要看他起源,如果是来源肺动脉,肺内血管供血一是肺内二是脏层胸膜,肺内排除,只剩脏层胸膜SFT;如果这个是纵隔供血,那它可能是神经源性或者壁层胸膜,也可以是SFT比较少
从影像分析:SFT、神经鞘瘤鉴别可能大
大雄:
“肉瘤”是间叶来源恶性肿瘤。常见的有:滑膜肉瘤,平滑肌肉瘤,动脉肉瘤,纤维肉瘤,软骨肉瘤。
“肉瘤样癌”是上皮来源兼有肉瘤样成分的一组恶性肿瘤的总称。包括5个亚型:多形性癌、梭形细胞癌、巨细胞癌、癌肉瘤和肺母细胞瘤。(新版WHO已把后两者独立出来)
“癌肉瘤”以前属于肉瘤样癌的一种,2015版WHO肺肿瘤分类把它独立出来了,但是实际工作中仍然可以笼统的把它归到“肉瘤样癌”里进行讨论。因为单独的癌肉瘤极其罕见。
病理结果



孤立性纤维性肿瘤(SFT)
    是一种少见的梭形细胞间叶组织源性肿瘤,大多数为良性和中间性,少数为恶性,可发生于全身各个组织,最常发生于胸膜,其他有腹膜腔、腹膜后等。
  影像表现:
    好发于肺胸壁交界区或纵隔交界区,病灶部位对病灶性质判断有较大价值。多单发,有包膜,边界清。
    密度:与肿瘤细胞疏松或密集、胶原纤维含量、出血、坏死、囊变及黏液变性等有关。镜下由梭形细胞组成、细胞间由胶原纤维沉积,CT平扫肿瘤实性部分为等、稍低密度,胶原纤维易发生黏液变性或囊变,呈多发灶性或不规则星芒状低密度区,较少出现钙化。一般肿瘤小,密度多均匀,肿瘤大,多发生坏死、囊变,密度多不均匀,。
    强化方式:多均匀或不均匀明显强化,增强肿瘤内可见迂曲血管影(蛇纹血管等),肿瘤较大可见“地图样”强化。
    恶性倾向:体积较大,多见出血、囊变及坏死;强化多不均匀;呈浸润性生长,与周围组织器官边界不清;出现远处转移等。    
    
病例来源:崔刚
编       辑:李志强
审       核:蔡笑燕  徐  晓 


到顶部