【每日晨读】类风湿患者,双肺出现多发结节、斑片影


致谢湘西自治州人民医院感染科 洪桥爱老师


































王江涛:
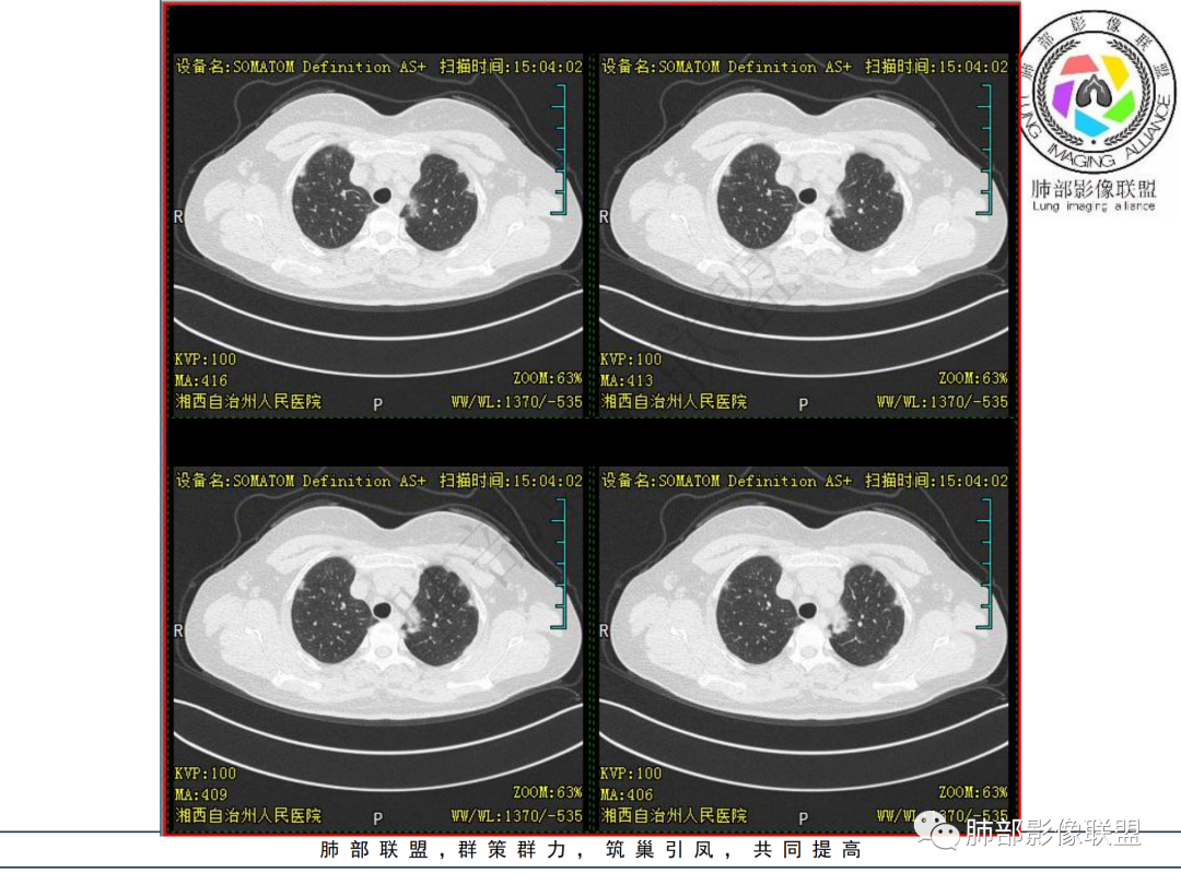
中年妇女,类风湿性关节炎病史,RF升高,感染性指标正常,双肺散在多发结节、斑片、条片灶,边缘欠清晰,大部分胸膜下分布,部分反晕,考虑RA-ⅠLD ,OP样改变
飞鹰行动:
中年女性,有类风湿关节炎病史,双肺内及胸膜下见多发结节,条索状及小实变影,部分结节病灶垂直支气管血管束生长,部分结节病灶内见偏心性空洞形成,病灶收缩力弱,病灶形态多样,部分可见纤维化样改变,整体符合Op表现,结合患者病史,考虑类风湿结节,隐球菌感染不能排除。
薏米:
中年女性,类风湿关节炎病史,双肺散在结节影,胸膜下分布为主,部分可见小空洞影,部分可见索条影,OP样改变,考虑类风湿结节,鉴别隐球菌
放射线:
双肺散在多发结节及斑片,边缘欠清晰,胸膜下分布为主,部分内可见支气管扩张,妇女,类风湿性关节炎病史,RF升高,感染性指标正常,考虑RA-ILD,鉴别淋巴瘤。
大雄:
中年女性,确诊类风关一年余,无发热及呼吸道症状,实验室检查无特殊。
双肺多发斑片影、结节影,胸膜下分布为主,部分沿支气管血管束分布,病灶大部分边缘平直。
复查CT病变进展,间隔时间不详。
总体倾向非感染非肿瘤性病变。
考虑:CTD-ILD(OP型)可能
鉴别:类风湿结节,一般与皮下结节同步出现。
下一步,建议穿刺活检
陈学君:
双肺散在多发结节及斑片,胸膜下分布为主,部分可见支气管扩张,类风湿性关节炎病史,RF升高,感染性指标正常,考虑RA-ILD,鉴别隐球。
小兜:
女性,49岁,多关节肿痛一年余,类风湿因子升高。CT示双肺多发斑片影结节影,胸膜下为主,部分内部可见支气管扩张,部分内部似见小空洞影,复查CT进展,首先考虑为RA—ILD,鉴别CTD—ILD
衡妈:
双肺多发结节状及斑片状不均质磨玻璃病灶,胸膜下分布为主,边缘有收缩、凹陷,部分反晕,病灶内可见支气管扩张。中年女性,类风湿关节炎,感染指标正常。类风湿结节?隐球菌?
刘丹:
女,49岁,类风湿因子升高,影像双肺斑片及小结节影,胸膜下分布为主,部分病灶内支气管扩张,双侧胸膜增厚,复查病灶增多增大,考虑RA_ILD。
流心明智:
女性,49岁,多关节肿痛1年余。RF升高。胸部CT:双肺多发斑片影、结节影,胸膜下为主,部分沿支气管血管束分布,大小不等,部分病灶内支气管扩张,部分呈反晕,部分呈楔形宽基底贴附胸膜,复查CT进展,考虑:CTD—ILD?OP?鉴别血管炎、HP、肺梗、曲霉等。
初级诊断师:
中年女性,多关节肿痛一年,类风湿因子增高,双肺及胸膜下可见多发大小不一结节,部分呈楔形,以胸膜下分布为主,边缘平直,部分病灶分布于支气管血管束,部分可见空气支气管征、反晕征,复查病灶进展,类风湿结节?OP?
南边:
支持类风湿相关改变,op为主
段建民:
中年女性,既往类风湿,症状逍遥复查胸CT提示双肺结节较前扩大。无发热,无感染中毒症状。
胸部CT提示双肺多发的斑片实变结节影,磨玻璃。病灶分布以双肺胸膜下为主,部分病灶以支气管血管素分布,病灶内可见支气管穿行。总体符合间质性肺疾病。
荚膜抗原阴性结核阴性,肺泡灌洗液回报无特异性,无感染中毒症状以及血象异常,暂不考虑感染。
肿瘤也不符合。
考虑间质性肺疾病,机化性肺炎,
那个人:
中年女性,类风关,无发热及呼吸道症状,类风湿因子升高,双肺多发斑片影、结节影,胸膜下分布为主,部分沿支气管血管束分布,CTD-ILD,机化性肺炎可能
小锁:
中年女性,类风湿病史,无发热咳嗽,炎性指标不高,类风湿指标高。影像 :双肺多发结片状、结节状稍高密度影,双肺外周分布为主,延支气管血管束分布,大部分病灶边缘平直,部分病灶内网状改变,有病灶跨叶,支气管血管束增粗,肺动脉高压,考虑类风湿结节,机化性肺炎,鉴别肉芽肿性血管炎,
傅昌瑜:
双肺多发结节,胸膜下为主,内见空洞,边缘模糊见毛刺。类似病灶可见于:肺结核、肺隐球菌病、SPE、血管炎、类风湿结节……无发热、白细胞计数不高,排除SPE;无发热、消瘦、盗汗等症状,病灶形态较单一、无树芽征,肺结核可能性小;无多系统损害,GPA可能性小;肺内病灶较多,无明显临床症状,隐球菌抗原阴性,肺隐球菌病可能性小。结合病史,考虑类风湿结节可能性大。鉴别隐球菌病、肺结核。





              





          类风湿相关性间质性肺疾病
结缔组织病常以间质性肺疾病(ILD)为特征性表现,包括系统性红斑狼疮(SLE)、类风湿性关节炎(RA)、进行性系统性硬化症(PSS)、皮肌炎(DM)和多发性肌炎(PM)、强直性脊柱炎(AS)、干燥综合征(SS)和混合性结缔组织病(MCTD)等。  
结缔组织相关性间质肺部疾病(ILD)的最常见病理类型包括非特异性间质性肺炎(NSIP),寻常间质性肺炎(UIP),机化性肺炎(OP),淋巴细胞性间质性肺炎(LIP),急性间质性肺炎(AIP)。

                         各种病例类型的CT表现
 

                           ILD各种病理类型

                           不同类型CTD所致肺部疾病
   类风湿关节炎(RA)是一种进行性系统性自身免疫性疾病,主要累及关节滑膜、软骨和骨质,导致关节破坏和畸形。大约40%-50%的RA患者具有关节外表现,而肺部是RA最常累及的器官.
 类风湿节关节炎(RA)累及胸部常出现胸膜病变、气道病变(支气管扩张、滤泡性支气管炎、闭塞性支气管炎等)、ILD、RA结节等。
  RA胸膜病变HRCT表现为轻度胸膜增厚,少量、单侧的胸腔积液,胸腔积液多为自限性,不定合并肺内病变,气道病变通常为RA肺内最早出现的征象,约30%~58%的RA患者HRCT可见支气管扩张。闭塞性细支气管炎CT表现为马赛克征、小气道闭塞、支气管扩张,深呼气相呈可见空气潴留。滤泡性细支气管炎CT多表现为磨玻璃样密度的小叶中心结节。
 RA相关的间质性肺病(ILD)是RA一种严重的肺部并发症,多达25%的RA患者被发现伴有ILD,类风湿因子阳性、关节损害严重者易出现ILD,其病理类型包括寻常性间质性肺炎(UIP)、非特异性间质性肺炎(NSIP)、机化性肺炎(OP)和急性间质性肺炎(AIP)/弥漫性肺泡损伤(DAD)等多类型疾病,RA相关ILD以UIP及NSIP最多见。
  类风湿肺结节(进行性坏死性结节)是一种RA特有的肺胸膜病变,机制是脉管炎和免疫复合物沉积,多数无临床症状,通常发生于RF阳性、重度类风湿关节炎和有多发皮下结节的患者,CT表现为肺结节多位于肺野的外带,多位于胸膜或小叶间隔附近,大小不等、类圆形、边界清,伴空洞,结节新发与自限并存、钙化少见。

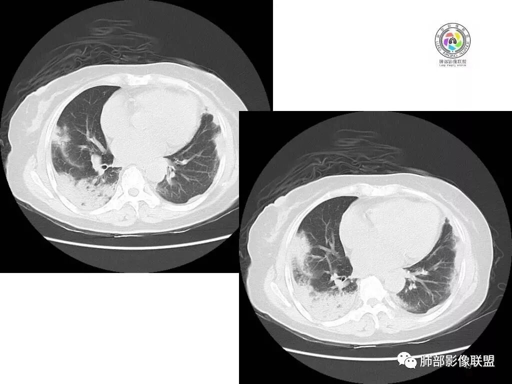
                         RA患者,类风湿结节(病例来源 韩思雨)
 



         RA-ILD OP型(病例来源衡水市人民医院 刘树荣)
 
  (ILD中OP型组织学改变是终末小气道,呼吸性细支气管,肺泡腔内增生的纤维组织团块填充,伴有肺泡间隔的炎症细胞浸润
填充物叫肉芽组织,由成纤维细胞和肌成纤维细胞,炎症细胞,黏液基质组成,注意不是肉芽肿,masson染色可以显示其形态,所以称马松小体;机化不破坏肺结构,可完全逆转)
部分内容来源于於雄老师,表示感谢 
参考文献:
[1]徐晓莉,隋昕,宋兰,黄耀,王晓,金征宇,宋伟.结缔组织病累及呼吸系统的影像特点[J].协和医学杂志,2020,11(01):79-84.  
                
             说在后面的话
影像与临床:
1.中年女性,发现双肺多发病变,且增多增大。
缺乏呼吸道症状及中毒症状,实验室炎性指标不高
既往多关节肿痛一年余,被诊断“类风湿”。此次就医无关节肿痛。
2.双肺多发片状影,胸膜下分布为主,部分沿支气管血管束分布,边界不清,实性及磨玻璃密度,趋于柔和,可见支气管进入或穿行,未见空洞、钙化及树芽等。部分病灶显示反晕。
3.未见腔积液。
4.双肺门及纵隔未见增大淋巴结。
综合分析:
1.中年女性,缺乏呼吸道症状及中毒症状,感染性病变也缺乏实验室检查支持。
2.双肺病变应想到类风湿肺部改变,但患者不在类风湿活跃期,没有皮下结节,让人疑惑。
3.侵袭性曲霉病。近期没有大量使用激素病史,病灶边界不清但缺乏呼吸道症状,未见空洞等,不大符合典型侵袭性曲霉病改变。同样理由也不大支持隐球菌感染。
4.血管炎。缺乏肾脏、五官等部位病变损害,多发病灶未见空洞,实验室检查也缺乏相关支持点。
5.淋巴瘤。肺部病灶持续,恒定且较为漫长,本例可能性不大。
6.双肺片影,有反晕,缺乏呼吸道症状及中毒症状,应想到机化性肺炎可能,尤其是此起彼伏,未见空洞的。
编辑:许慧良 蔡笑燕
审核:蔡笑燕 徐  晓



到顶部