【每日晨读】中纵隔出“鞘”




PART.1
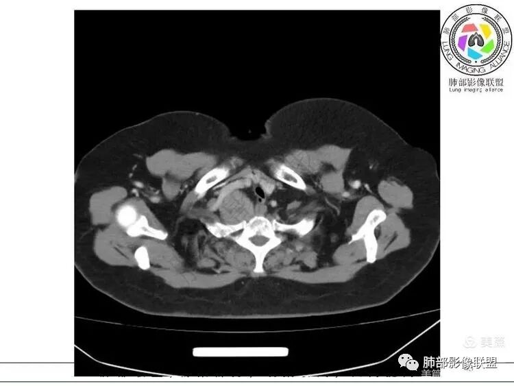
病例资料






































































PART.2
精彩讨论
大雄:定位: 纵隔(往左推移气管 往前推移腔静脉 往下推移肺尖胸膜)定性: 良性(边缘光滑,与周围结构境界清晰,无侵袭性生长特点)特征:增强可见AB区(富细胞区与粘液区),延迟强化明显。考虑:神经鞘瘤 ,鉴别:SFTKing:纵隔偏良性肿瘤,与甲状腺无关。首先考虑神经鞘,其他如副节,SFT,巨淋巴待鉴别。飞鹰行动:右侧上胸腔近纵膈类圆形软组织占位,边界清晰光滑,内见囊变,增强渐进性强化,考虑来源纵膈的病变,神经鞘瘤可能,鉴别孤立性纤维瘤。小兜:右上纵隔椭圆形占位,胸膜掀起,肺组织受压,气管受压移位,考虑来源于纵隔,边缘光滑,增强扫描渐进性不均匀强化,内见大片无强化区,考虑为神经鞘瘤可能,鉴别SFT。陈学君:后纵隔占位,多发囊变,渐进強化,考虑鞘瘤,鉴别SFT红星:右上胸廓入口类圆形肿块,肺瘤界面清晰,肺支气管及血管受压,强化不均,片状楔形坏死,考虑来源纵隔占位,神经鞘瘤。鉴别STF、肉瘤?宇宙:右上后纵隔旁椭圆形肿块,边缘光整,向上突入颈根部,肺组织、血管及气管受压移位,密度不均匀,不均匀渐进强化,囊变,考虑神经鞘瘤,鉴别SFT
Kery Wang:
右侧上胸腔近纵膈类圆形软组织占位,边界清晰光滑,考虑来源纵膈的病变,神经源性可能,鉴别孤立性纤维瘤。医然为伱つ:有AB区,首先考虑鞘瘤,鉴别SFT

PART.3
南大分析
南边:定位
上腔静脉后上方


肺侧边缘光滑,D字征,肺血管受压外移肺外没问题



血管、压缩肺组织病灶的长轴:上下走形

推压血管,进入颈部





供血血管:肋间或颈部、部分纵隔部分似有胸膜尾

胸膜?后纵隔?

南边:孤立的占位:胸膜多为SFT血供多为肺动脉(脏层胸膜),部分体动脉(壁层胸膜)这个最起码来自壁层胸膜或以外纵隔:这区域神经、血管、淋巴系统、异位强化——血管类不支持
淋巴结来源——CD,强化,不支持神经?异位?异位:甲状腺来源,不支持胸腺?罕见
南边:支持:神经源性,从病灶的形态突入颈部,跨多区域



南边:
从病灶的形态看:前外侧肋骨区域没有推开,纵隔侧没有受限迹象,提示病灶欺软怕硬,朝薄弱的地方发展。
胸膜来源?应该肺侧最薄弱,朝肺内突最明显
而不应该朝最硬的颈部凸起
支持纵隔来源,神经源性肿瘤,胸膜来源SFT其次,异位再次

PART.4
病理结果


                    本例小结
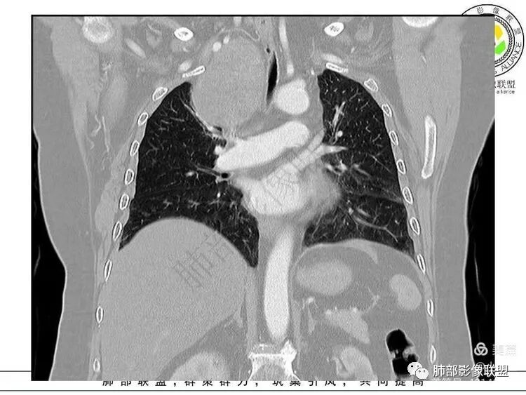
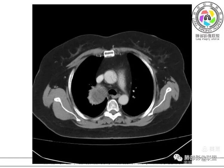
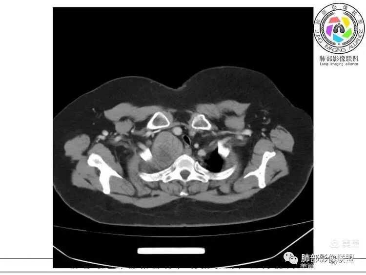
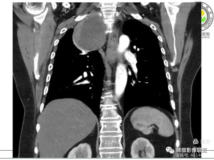
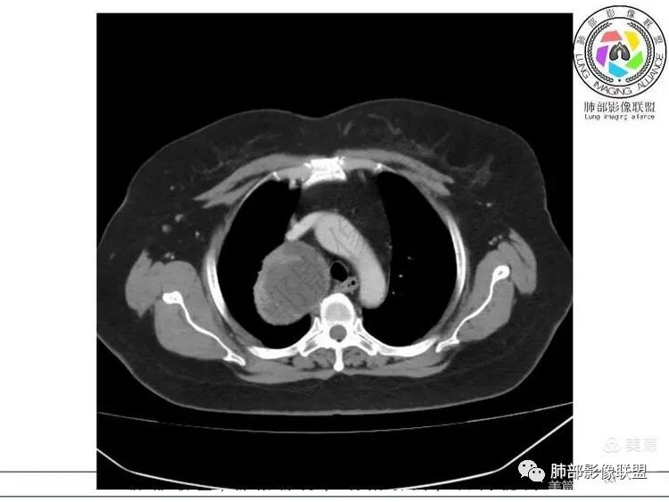
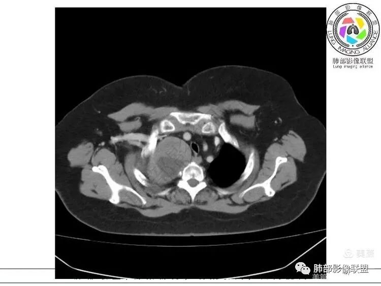
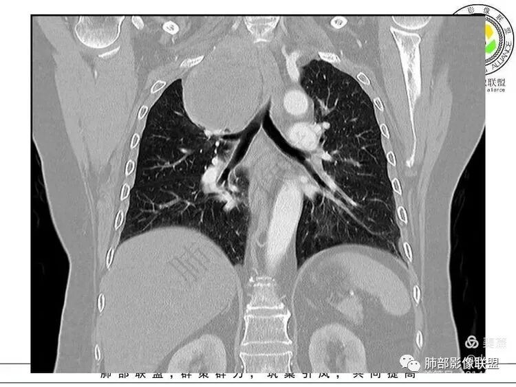
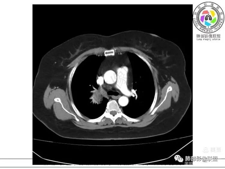
影像所见:
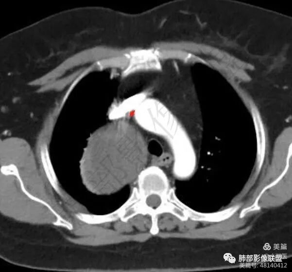
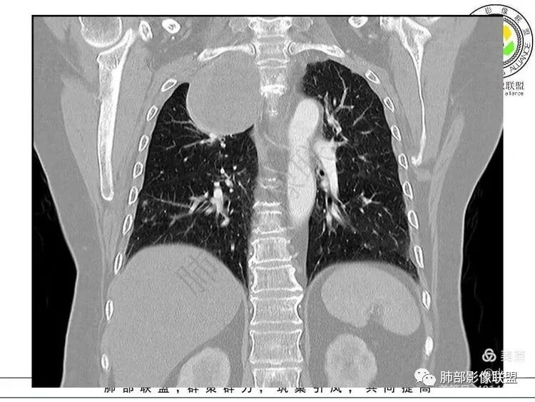
1. 右上胸廓入口区类椭圆形块影,边界清楚光整,纵向“嵌顿”于颈根部及上纵隔,向上推移右锁骨下动静脉,向外下方推移上肺胸膜及肺组织(肺血管、支气管),向前推移上腔静脉,界限清楚。
2. 块影不均匀轻度强化,可见较均匀实性区及液性密度区,未见积气、囊壁样结构、钙化或脂肪密度。可疑部分肋间动脉分支进入。
3.块影相邻椎骨及肋骨明确推压或骨质吸收破坏,未见椎管内结节或椎间孔扩大。
4.双肺门及纵隔未见肿大淋巴结。
综合分析:
1.块影定位肺外-上纵隔。块影密度以及强化方式不支持胸腔内甲状腺肿、副节瘤、巨淋巴结增生、支气管囊肿以及畸胎瘤等。
肿块部位、密度以及强化特点聚焦于良性神经鞘瘤及孤立性纤维瘤。
2.肿块远离胸膜向上延伸不大符合胸膜来源的孤立性纤维瘤。
3.而“A/B”区密度特点以及上下径较大更支持神经鞘瘤,尽管这不属于好发部位。
PART.5
知识拓展
     神经鞘瘤是周围神经最常见的肿瘤,起源于神经鞘膜的施万细胞,生长缓慢,包膜完整,与起源神经紧密相连,绝大多数为良性,恶性罕见;纵隔内神经源性肿瘤90%发生于后纵隔,发生在交感神经链或肋间神经的椎旁;偶尔,神经鞘瘤可位于中纵隔或前纵隔,最常见的发生于迷走神经,其次是喉返神经、膈神经等。所以神经源性肿瘤很重要一点在于解剖,一般只要存在神经组织,都可以发生神经源性肿瘤;后纵隔神经鞘瘤最常见的位置是脊神经刚出椎间孔的位置,并沿着肋间神经分布,所以一般横径大,上下径小,而且来源于神经根的可呈哑铃状跨越椎管内外生长;而来源于前或中纵隔神经的迷走神经或喉返神经等是上下走形,所以神经鞘瘤常表现为上下径长;神经鞘瘤在病理上包括A区和B区,Antoni A区富含细胞,密度较高,Antoni B区含有较多粘液成分,密度较低,可见囊变、出血,如果出血,血肿可见机化、钙化。
      

       肋间神经走形

后纵隔神经鞘瘤(肋间神经走形,左右径大于上下径)

中纵隔迷走神经走形

            中纵隔右侧迷走神经来源神经鞘瘤

中纵隔左侧迷走神经来源神经鞘瘤


中纵隔神经鞘瘤(迷走神经走形,上下径大于左右径)
编辑:龙  辉  蔡笑燕
审核:徐  晓



到顶部